- Was ist ein Kreuzbandriss?
- Prävention und Übungen: Wie kann ich einem Kreuzbandriss vorbeugen?
- Symptome und Schmerzen bei Kreuzbandriss
- Folgen des Kreuzbandrisses
- Diagnose: Wie lässt sich ein Kreuzbandriss feststellen?
- Operation des Kreuzbandrisses: nähen oder ersetzen?
- Häufige Patientenfragen zum Thema Kreuzbandriss an Prof. Dr. Sven Ostermeier von der Gelenk-Klinik

Ein Kreuzbandriss (Kreuzbandruptur) ist die vollständige oder teilweise Zerstörung durch Überlastung der innen im Knie verlaufenden Kreuzbänder. Ursachen sind häufig Sportverletzungen, wie beispielsweise eine Verdrehung (Distorsion) des Knies beim Skifahren oder ein Zusammenprall beim Ballsport.
Der Riss des Kreuzbandes verursacht Symptome wie stechende Schmerzen und eine starke Schwellung des betroffenen Kniegelenks. In vielen Fällen geht der Kreuzbandriss mit einem Knack- oder Knallgeräusch und einem Ruck im Kniegelenk einher. Der Patient kann sein Knie nicht mehr in vollem Umfang bewegen. Um das Knie wieder zu stabilisieren und einer Kniearthrose (Gonarthrose) vorzubeugen, kann der Spezialist für Knieerkrankungen das Kreuzband entweder nähen oder durch ein Sehnentransplantat ersetzen.
Was ist ein Kreuzbandriss?

Zentral im Kniegelenk kreuzen zwei Bänder, die Oberschenkel (Femur) und Schienbein (Tibia) miteinander verbinden und in ihrer Position halten – das vordere Kreuzband und das hintere Kreuzband. Durch einen Kreuzbandriss (Ruptur des Kreuzbandes) wird das Kniegelenk instabil. Ursächlich sind meist ein traumatisches Umknicken oder eine Verdrehung (Distorsion) des Kniegelenks. Dadurch entsteht eine Instabilität zwischen Oberschenkel- und Unterschenkelknochen. Der Oberschenkelknochen (Femur) schiebt sich dann nach vorne über das Schienbein (Tibia) hinaus.
Meistens ist das vordere Kreuzband von einer Ruptur betroffen. Häufig resultiert der Kreuzbandriss aus einer Sportverletzung. Kontaktsportarten wie Fußball oder Skifahren führen besonders häufig zum Kreuzbandriss im Kniegelenk. 40 % aller Knieverletzungen sind Bandverletzungen. Zu über 60 % sind die Kreuzbänder betroffen. Das vordere Kreuzband reißt etwa zehnmal häufiger als das hintere Kreuzband.
Die Form des Kreuzbandrisses kann sehr unterschiedlich sein. Unter den Bandverletzungen am Knie ist der Kreuzbandriss die häufigste Bandruptur, die wir in der orthopädischen Praxis sehen.
Funktion der Kreuzbänder im Knie

Um die Spätfolgen des Kreuzbandrisses besser zu verstehen, muss man sich die Funktion der Bänder im Knie anschauen. Im Kniegelenk sind Oberschenkel (Femur) und Unterschenkel (Tibia) über vier Bänder miteinander verbunden: Zentral im Knie verlaufen das vordere und hintere Kreuzband und die beiden Seitenbänder stabilisieren das Gelenk innen und außen.
Die Kreuzbänder halten das Kniegelenk bei jeder Belastung in seiner Position. Sie verlaufen im Inneren des Gelenks und überkreuzen sich dabei. Die beiden Bänder sind also die zentralen Stabilisatoren des Kniegelenks.
Das vordere Kreuzband besteht aus zwei relativ unabhängigen Faserbündeln. Diese Bündel sind spiralförmig verdrillt. Das macht das Kreuzband belastbar gegenüber den verschiedenen Kräften, die im Alltag auf das Kniegelenk einwirken.
Das hintere Kreuzband verhindert, dass das Schienbein nach hinten unter den Oberschenkelknochen gleitet. Das vordere Kreuzband verhindert, dass der Oberschenkelknochen über das Schienbein hinweg nach vorne ausweicht.
Die Kreuzbänder zentrieren die Knochen im Kniegelenk
Sowohl das vordere als auch das hintere Kreuzband stehen ständig unter einer gewissen Spannung. Sobald man das Kniegelenk belastet, sorgen sie für eine Zentrierung der Knochen im Kniegelenk. Sie schränken also die Beweglichkeit der oberen und unteren Gelenkfläche gegeneinander stark ein. So zentrieren die Bänder das Kniegelenk bereits, bevor die Muskeln bei einer Belastung als Stabilisatoren einspringen können. Die Muskeln im Bein rund um das Kniegelenk reichen ohne die Funktion der Kreuzbänder nicht aus, um eine Überbeweglichkeit des Kniegelenks zu verhindern.
Warum ist ein Kreuzbandriss ein behandlungsbedürftiger medizinischer Notfall?
Sofortmaßnahmen nach Kreuzbandriss:
- Knie ruhigstellen, evtl. mit Bandage oder Orthese
- sportliche Aktivität und Wettkampf sofort beenden
- Entlastung des Knies mit Unterarmgehstützen
- Schmerzen und Schwellung mit Schmerzmitteln (nichtsteroidale Antirheumatika) behandeln
- bei Schwellung Knie hochlagern und kühlen
Eine Ruptur der Kreuzbänder verursacht eine dauerhafte Instabilität des Kniegelenks, weil die Lage von Ober- und Unterschenkel dann nur noch durch die Muskelspannung der umliegenden Muskulatur fixiert ist.
Die aus dem Kreuzbandriss resultierende Überbeweglichkeit führt auf Dauer zu einem erheblichen Gelenkverschleiß und schädigt das Knie nachhaltig. Klinische und experimentelle Untersuchungen zeigen, dass ein vollständiger Riss des vorderen Kreuzbandes nicht von alleine ausheilt. Vielmehr führt eine bestehende Instabilität durch die Mehrbeweglichkeit des Knies in der Regel zur Entwicklung von Folgeschäden wie schmerzhafter Kniearthrose.
Welche Bänder tragen noch zur Stabilisierung des Kniegelenks bei?
Das Innenband verläuft auf der Innenseite (medial) des Kniegelenks. Es stabilisiert das Knie so, dass es nicht nach innen einknicken kann.
Auf der Außenseite (lateral) verläuft das Außenband des Kniegelenks. Es stabilisiert das Knie gegen ein Abknicken nach außen.
Wie kann das Kreuzband reißen?
Nicht jeder Kreuzbandriss ist gleich. Man teilt die Verletzung je nach Ausmaß der Schädigung in Teilruptur, Zerrung oder vollständige Ruptur ein. Auch die Lage des Kreuzbandrisses ist wichtig: Einen mittigen Riss kann der Arzt eher mittels Naht refixieren (Kreuzbanderhaltung) als einen Ausriss aus der knöchernen Verankerung des Kreuzbandes. Die folgende Unterscheidung der unterschiedlichen Arten des Kreuzbandrisses ist wichtig für die nachfolgende Therapie.
Komplette Ruptur des Kreuzbandes
Bei der kompletten Ruptur ist der volle Durchmesser des Kreuzbandes durchtrennt. Die Stabilisierung des Kniegelenks ist dann ganz verloren gegangen. Meist liegt der Riss des vorderen Kreuzbandes im oberschenkelseitigen (femoralen) Anteil. Hat das Kreuzband keine Verbindung mehr zum Oberschenkel, sinkt es infolge der Schwerkraft ab. Es bleibt nicht mehr in Verbindung mit der Insertionsstelle (Stelle der Verletzung) und heilt daher nicht von alleine zusammen.
Teilruptur des Kreuzbandes
In manchen Fällen sind nur die inneren Fasern im Kreuzband gerissen. Die äußere Hülle wird dann lediglich gedehnt. Auch bei der Dehnung des Kreuzbandes ist die Stabilität im Kniegelenk nicht mehr gegeben, obwohl das Kreuzband äußerlich intakt scheint. Es kann aber sein, dass die Kreuzbandfunktion noch in Anteilen erhalten ist. Sobald der Hauptteil des Kreuzbandes als Leitstruktur erhalten ist und die Stümpfe nicht völlig voneinander getrennt sind, kann das vordere Kreuzband von selbst ausheilen.
Ausriss aus der knöchernen Verankerung des Kreuzbandes
Neben diesen Rissformen im Band selbst kann das Kreuzband auch aus seiner Verankerung im Knochen gerissen oder gelockert sein. Vor allem Kinder und Jugendliche sind häufig von dieser Art des Kreuzbandrisses betroffen, da ihre Knochenstrukturen im Vergleich zu den Bandstrukturen schwächer sind. Somit reißt das Kreuzband zusammen mit einem Knochenstück heraus. Insbesondere die untere (tibiale) Verankerung ist bei dieser Art des Kreuzbandrisses gefährdet. Auch beim Ausriss aus der knöchernen Verankerung geht die Kreuzbandfunktion vollständig verloren. In diesem Fall besteht die operative Möglichkeit der Refixierung des Kreuzbandes.
Ruptur des hinteren Kreuzbandes
Das hintere Kreuzband (PCL) reißt wesentlich seltener als das vordere Kreuzband. Es ist viel kräftiger. Außerdem wirken die meisten Traumata auf das vordere Kreuzband ein. Nur 7–10 % aller Kreuzbandrisse betreffen das hintere Kreuzband. Die typische Ursache des hinteren Kreuzbandrisses ist das Anstoßen des Knies am Armaturenbrett bei einem Autounfall.
Ursachen: Warum kommt es zum Kreuzbandriss?
Der vordere Kreuzbandriss ist meist eine Sportverletzung. In vielen Fällen dreht sich dabei der Unterschenkel aus der Beinachse (Distorsion). Folgende Situationen sind typisch für diese Verletzung:
- harter seitlicher Aufprall eines Gegners beim Fußball gegen das Kniegelenk
- Überstreckung des Kniegelenks
- plötzliches Abbremsen aus vollem Lauf
- plötzlicher Richtungswechsel aus vollem Lauf
- verunglückte Landung nach Sprung oder Drehung
Ein typischer Unfallhergang ist z. B. ein Angriff gegen das Bein eines Gegenspielers beim Fußball. Außerdem tritt ein Kreuzbandriss sehr häufig beim Skifahren im Rahmen eines Sturzes mit Verdrehung oder Überstreckung des Unterschenkels auf.
Eine weitere typische Ursache für einen vorderen Kreuzbandriss ist der Valguskollaps, also das Wegsacken des Knies nach innen. Dies passiert häufig, wenn der Betroffene in die Kniebeuge geht. Meist reißt dann nicht nur das vordere Kreuzband, sondern es kommt auch zum Innenbandriss und zur Verletzung des Innenmeniskus. Man spricht in diesem Fall von einer "Unhappy Triade" des Kniegelenks.
Symptome und Schmerzen bei Kreuzbandriss
- deutlich hörbares Knallgeräusch durch das reißende Kreuzband
- Schwellung des Kniegelenks
- nach Anschwellen des Kniegelenks stechender Schmerz wegen zunehmender Dehnung der Gelenkkapsel
- blutiger Gelenkerguss
- Gefühl der Instabilität des Kniegelenks, besonders beim Treppensteigen und Bergabgehen
- heftige Schmerzen im Inneren des Knies
- Knie lässt sich nicht mehr ganz strecken
Betroffene spüren meist schon im Moment des Unfalls ein Reißen im Kniegelenk. Häufig begleitet ein hörbarer Knall des überdehnten und reißenden Bandes den Kreuzbandriss. Aufgrund der durchtrennten Nerven im Kreuzband begleiten stechende Knieschmerzen den Kreuzbandriss, die aber schnell wieder abklingen.
Das Kniegelenk schwillt nach der Kreuzbandruptur schnell und deutlich an. Durch die Verdrehung (Distorsion) als Ursache des Kreuzbandrisses werden häufig noch andere Bänder oder der Meniskus verletzt. Das Kniegelenk ist nach einer Kreuzbandverletzung im Alltag und Sport weniger belastbar.
Beim Bergabgehen gibt das Kniegelenk stark nach. Es rutscht also nach vorne weg, weil der vom vorderen Kreuzband nicht mehr gehaltene Oberschenkelknochen über das Schienbein nach vorne ausweicht ("Giving Way").
Eine Instabilität des Kreuzbandes nach einem Kreuzbandriss ist erst bei deutlicher Beugung des Knies zu beobachten. Unter Belastung fühlt sich das Knie ab etwa 30° instabil an. Daher spüren Menschen mit geringer sportlicher Belastung im Alltag oft wenig vom Kreuzbandriss, weil sie den Bewegungsspielraum selten ausschöpfen und ihr Knie meist gestreckt lassen.
Risikofaktoren und Auslöser für den Kreuzbandriss
- Fußball, Skifahren, Sportarten mit abrupten Richtungsänderungen
- Alter zwischen 15 und 25 Jahren
- weibliches Geschlecht: Frauen erleiden einen Kreuzbandriss 4–8-fach häufiger
- vorangegangener Kreuzbandriss
- körperliche Ermüdung und mangelnde Regeneration
- hohe Reibung der Schuhe am Untergrund
- Koordinationsstörungen, z. B. durch Ermüdung am Ende eines Spiels
- anatomisch schmales Kreuzband
Kreuzbandrisse treten vor allem bei Kontakt- und Ballsportarten auf. In der Mehrzahl aller Fälle geschieht ein Kreuzbandriss ohne Einwirkung eines Gegenspielers: Eine verunglückte Landung nach einem Sprung oder ein plötzlicher Richtungswechsel genügen, um das Kreuzband zu überlasten.
Für eine Ruptur des Kreuzbandes müssen erhebliche Kräfte auf das Band einwirken. Das Kreuzband hat eine Reißfestigkeit von etwa 2.400 kg. Seine Reißfestigkeit variiert aber: Bei Frauen ist der Durchmesser geringer, daher sind sie häufiger von Kreuzbandrissen betroffen. Bei Kindern erfolgt häufiger ein Ausriss des Kreuzbandes aus der knöchernen Verankerung im Schienbein (Tibia).
Beim Riss des hinteren Kreuzbandes sind größere Kräfte erforderlich als beim vorderen Kreuzbandriss, denn es ist viel kräftiger. Belastungen in dieser Größenordnung treten häufig bei Verkehrsunfällen auf, wenn zum Beispiel das Kniegelenk gegen den Innenraum des Autos schlägt.
Prävention und Übungen: Wie kann ich einem Kreuzbandriss vorbeugen?
Oft entsteht der Kreuzbandriss beim Sport ohne direkte Einwirkung des Gegners. Vor allem Sportlerinnen profitieren von Präventionsübungen. Bei Mädchen und Frauen treten Kreuzbandrisse vielfach häufiger auf als bei Männern.
Das einbeinige Landen nach einem Sprung (Volleyball, Basketball), ein plötzlicher Richtungswechsel (Handball, Fußball) oder Drehbewegungen wurden in Videoanalysen von Unfällen klar als kritische Situationen ermittelt.

Vor allem, wenn der Unterschenkel in der Beugung des Knies entweder nach außen oder innen rotiert, befindet sich das Kreuzband bereits vor der Landung in einer maximalen Spannung. In bestimmten Situationen wirken beim Sport enorme Kräfte auf die Bänder ein. Diese Kräfte kann nur eine starke Muskulatur auffangen.
Die Reaktionszeit der stabilisierenden Muskulatur ist also ein erheblicher Faktor zur Vermeidung von Kreuzbandrissen. Folgerichtig entstehen viele Kreuzbandrisse am Ende eines Wettkampfes oder Spiels infolge einer neuromuskulären Ermüdung.
Übungen zur Prävention:
- Beinachsentraining: Bewegung und Sprünge auf weichen Untergründen (Matten)
- Koordinationstraining: Sprungübungen
- Propriozeption: Balance-Board
Regelmäßige Übungen zur Förderung der neuromuskulären Koordination und Propriozeption (Selbstwahrnehmung) sind daher nachweislich wirksam zur Prävention von Kreuzbandrissen.
Eine der wichtigsten Übungen zur Förderung der Stabilität im Knie ist – neben allgemeinem Muskelaufbau – das Training mit dem sogenannten Balance-Board, einem Wackelbrett, auf dem das Gleichgewicht zu halten ist. Eine Studie zeigte, dass die Rate an Kreuzbandrissen in einem Fußballteam durch Training mit dem Balance-Board um 85 % gesenkt werden konnte (Caraffa et al, 1996).
Ein spezielles Sprungtraining kann für Risikosportarten knieschützende Bewegungsabläufe aufbauen und festigen.
Auch nach einer Kreuzbandoperation mit Kreuzbandplastik ist das Balance-Board zentral für die Vorbeugung erneuter Kreuzbandrisse am gleichen Knie oder auf der Gegenseite. Sportler, die bereits einen Kreuzbandriss hatten, haben eine 5-fach erhöhte Wahrscheinlichkeit im Vergleich zu nicht betroffenen Sportlern, auch auf der Gegenseite eine Kreuzbandruptur zu erleiden. Propriozeptionsübungen sind ein wirksames Mittel, um die Unfallwahrscheinlichkeit abzusenken. Gut geschützte Sportler verfügen über eine schnelle Aktivierung der kniestabilisierenden Muskulatur.
Lehrvideo: Praktische Trainingshinweise zur Prävention von Kreuzbandrissen
Externer Inhalt von youtube.com
Folgen des Kreuzbandrisses
Zu 80 % resultieren aus einem Kreuzbandriss zusätzliche Verletzungen an anderen Strukturen im Knie:
- Riss des Innenmeniskus oder Außenmeniskus
- Knochen-Knorpelschäden
- sekundäre Kniearthrose als Folge der eingeschränkten Meniskusfunktion und fehlender stabilisierender Bänder
- Innenbandverletzung
- Außenbandverletzung
- Riss der Gelenkkapsel des Kniegelenks

Häufig klagen Patienten nach einem Kreuzbandriss über ein instabiles Kniegelenk. Bei jeder Belastung knickt es unvermittelt weg. Längere Gehstrecken, Laufen oder Springen sind nicht mehr möglich. Meist begleiten Knieschmerzen beim Treppensteigen und Bergablaufen die Instabilität. Manchmal besteht eine Schwellung mit Gelenkerguss. Diese akuten Folgen des Kreuzbandrisses klingen nach wenigen Tagen oder Wochen wieder ab.
Spätfolgen eines unbehandelten Kreuzbandrisses
Folgeschäden des unbehandelten Kreuzbandrisses:
- Knorpeldegeneration (Kniearthrose)
- Meniskusdegeneration (Meniskusriss)
- Instabilität und Risiko einer erneuten Verletzung
Bleibt der Kreuzbandriss unbehandelt, kommt es im Laufe von mehreren Jahren zu Folgeschäden. Wie in einem ausgeschlagenen Getriebe werden die Gelenkflächen und auch die Menisken übermäßig belastet. Es droht ein vorzeitiger Knorpelverschleiß, Knorpelschäden und nach 10–15 Jahren eine Arthrose des Kniegelenks. Häufig reißt durch die bleibende Instabilität nach dem Kreuzbandriss auch der Meniskus ein.
Diese Instabilität durch die fehlende Bandfunktion kann der Patient nicht durch Muskelarbeit ausgleichen. Die Bewegungskoordination und die Kraftentwicklung im Kniegelenk des Patienten sind nach der Kreuzbandverletzung fühlbar beeinträchtigt. Patienten, die sich sportlich im Leistungsbereich bewegen, spüren den Leistungsunterschied im Alltag deutlich. Chronische Knieschmerzen nach einer Kreuzbandverletzung können, müssen aber nicht auftreten.
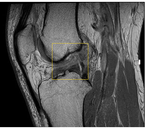
Diagnose: Wie lässt sich ein Kreuzbandriss feststellen?
Klinische Untersuchung:
Der Arzt untersucht Art und Ausmaß der Knieverletzung, um alle Folgen des Kreuzbandrisses richtig einschätzen zu können. Nur mit einem genauen Befund kann man eine gezielte Behandlung einleiten.
Vor der klinischen Untersuchung fragt der Arzt den Patienten nach dem Unfallhergang und einem bleibenden Instabilitätsgefühl. Das liefert Hinweise zu Art und Ausmaß der Kreuzbandverletzung. Leider erfolgt häufig erst nach vielen Jahren die Diagnose eines Kreuzbandrisses, weil viele Patienten den Unfallhergang als Bagatellverletzung (Verstauchung) einstufen.
Neben einer Bewegungsprüfung, die eher Aufschluss über begleitende Meniskusverletzungen gibt, können spezifische Stabilitätstests einen Kreuzbandriss nachweisen.
Schubladentest

Eine "hintere Schublade", bei der der Unterschenkel im Vergleich zur gesunden Seite deutlich weiter nach hinten fällt, ist ein Nachweis für eine Verletzung des hinteren Kreuzbandes.
Eine "vordere Schublade", bei der sich der Oberschenkelknochen über den Unterschenkelknochen herausziehen lässt, ist ein Nachweis für einen vorderen Kreuzbandriss.
Die klinische Untersuchung kann erschwert sein, wenn nur Teile des Kreuzbandes gerissen sind. Dann ist die Funktion des Kreuzbandes trotz der Bandschäden noch teilweise erhalten.
Lachmanntest

Die Kreuzbandfunktion lässt sich mittels Lachmanntest ermitteln. Der Test funktioniert ähnlich wie der Schubladentest, aber wird in 30°-Beugung des Knies durchgeführt. Weil bildgebende Verfahren wie Röntgen oder MRT beim Kreuzbandriss nicht immer aussagekräftig sind, ist die klinische Untersuchung durch den erfahrenen Spezialisten sehr wichtig, um eine Instabilität des Bandapparates im Knie festzustellen.
Pivot-Shift-Test
Der Pivot-Shift-Test ist eine Kombination aus Dreh- und Schiebebewegung des Unterschenkels. Er gibt ebenfalls Aufschluss über einen Riss des vorderen Kreuzbandes.
Gelenkpunktion (Untersuchung der Gelenkflüssigkeit) nach Kreuzbandriss
Da die Kreuzbänder gut durchblutet sind, kommt es bei einem Kreuzbandriss zu einer Einblutung in das Kniegelenk (Hämarthros). Eine Gelenkpunktion (Herausziehen von Gelenkflüssigkeit mit einer Nadel) kann die Einblutung nach der Verletzung nachweisen: Der Blutanteil in der Flüssigkeit ist ein deutliches Indiz. Allerdings ist diese Diagnose durch eine Punktion nur bei einem frischen Kreuzbandriss aussagekräftig.
Röntgenuntersuchung nach einem Kreuzbandriss
Röntgenbilder können den Zustand eines Bandes zwar nicht direkt darstellen. Um knöcherne Begleitverletzungen nach einer Distorsion des Kniegelenks auszuschließen, ist ein Röntgenbild aber ein unerlässlicher Teil der Untersuchung nach einem Kreuzbandriss. Ein Röntgenbild des Kniegelenks in zwei Ebenen kann einen knöchernen Ausriss des Kreuzbandes darstellen.
Untersuchung des Kreuzbandrisses mit Kernspintomografie (MRT)


Die im Röntgen oder durch klinische Untersuchungen nicht eindeutig feststellbaren Kreuzbandrisse kann eine MRT (Magnetresonanztomografie) viel besser darstellen.
Schwierig wird die Diagnose mittels MRT erst, wenn das Kreuzband nicht ganz gerissen ist, sondern nur gedehnt ist bzw. eine Teilruptur erlitten hat.
Teilrupturen des Kreuzbandes kann die Bildgebung nicht sicher darstellen. Man erkennt nur schwer, in welchen Anteilen das Kreuzband noch intakt ist. In diesen Fällen muss der Kniespezialist mit viel Erfahrung die Überbeweglichkeit des Kniegelenks im Vergleich zum anderen Knie überprüfen (Schubladentest).
Diagnose von Knochenödemen nach Kreuzbandriss
Häufig resultieren aus Distorsionsverletzungen, die zum Kreuzbandriss führen, auch Begleitverletzungen und Knochen-Knorpelschäden. Die Kernspintomografie kann diese sogenannten Bone Bruises anhand der Flüssigkeitseinlagerung im Knochen nachweisen.
So haben in der MRT über 80 % aller Patienten mit Kreuzbandriss ein sogenanntes Bone Bruise: Das ist ein mechanisches Trauma des Knochens, das zu sichtbaren Ödemen (Flüssigkeit im Knochen) führt. Nach Abheilen des Ödems ist es nicht mehr unmittelbar schmerzhaft. In vielen Fällen wird der Knorpel an diesen Stellen aber weich und ist weniger leistungsfähig. Bei Nachuntersuchungen zeigen sich an 50 % der Stellen mit Bone Bruise auch Knorpelerweichungen und Knorpelschäden.
Meniskus-MRT nach Kreuzbandriss
Die Magnetresonanztomografie (MRT) kann auch einen eventuellen Meniskusriss als Begleitverletzung des Kreuzbandrisses nachweisen. Diese Information ist wichtig für die Planung der Therapie. Manche Meniskusläsionen erfordern eine operative Meniskusnaht. Kleine Längsrisse in der Peripherie des Meniskus können auch konservativ behandelt werden.
Welche Schwierigkeiten bereitet die Diagnosestellung?

Ein kompletter Bandabriss verläuft häufig symptomarm. Teilrupturen sind von kompletten Abrissen in der klinischen Untersuchung schwer zu unterscheiden. Ergebnisse von Röntgen- sowie Kernspinuntersuchungen ergeben nicht selten fälschlicherweise negative Befunde. Man sieht also im Bild ein scheinbar intaktes Kreuzband, dessen innere Struktur – und damit auch seine Funktion – deutlich zerstört ist. Bei diesen falsch-negativen Befunden scheint das Kreuzband anatomisch intakt, obwohl es in Wirklichkeit keine Funktion mehr ausübt.
Das Kreuzband besteht aus vielen Einzelfasern, die mit einer Hüllstruktur umgeben sind – ähnlich wie bei einem ummantelten Telefonkabel. Die Fasern reißen häufig im Inneren, während die Hülle noch intakt ist. Bleibt die Umhüllung unversehrt, misslingt der Nachweis des Kreuzbandrisses im Kernspin, weil die Struktur äußerlich intakt zu sein scheint.
Werden die Fasern komplett durchtrennt, führt dies in Abwesenheit von starken Begleitverletzungen zu einer Schwellung, die häufig nach 1–2 Tagen wieder abklingt.
Danach kann das Knie mit Kreuzbandriss über Jahre relativ symptomfrei, aber funktionell instabil sein. Daher werden viele Kreuzbandrisse erst Monate oder sogar Jahre nach der Ruptur diagnostiziert.

Erst wenn sekundäre Symptome wie Meniskusrisse und Knorpelschäden auftreten, wird deren Ursache – oftmals arthroskopisch – erkannt. Es handelt sich dabei häufig um einen Jahre zurückliegenden Kreuzbandriss.
Die muskuläre Stabilisierung des Gelenks erfolgt mithilfe von Dehnungsrezeptoren in der Gelenkkapsel. Dieser Verarbeitungsprozess benötigt Zeit, in der die Kräfte, die ohne die Kreuzbandfunktion auf das Gelenk wirken, ungeschützt das Gelenk angreifen können.
Behandlung des Kreuzbandrisses: konservativ oder operativ?
Die Kniespezialisten wägen zwischen der konservativen Behandlung, die auf eine Operation verzichtet, und der operativen Rekonstruktion des Kreuzbandes ab. Nicht jeder Kreuzbandriss erfordert eine Operation. Die gesamte Situation des Patienten sowie alle auftretenden Begleitverletzungen spielen bei der Therapieentscheidung eine Rolle. Wenn der Patient nicht besonders körperlich oder sportlich aktiv im Leben ist und das Knie sich nach dem Kreuzbandriss stabil anfühlt, kann auf eine operative Behandlung verzichtet werden.
Für körperlich aktive Menschen haben die Kreuzbänder eine zentrale und unersetzliche Rolle bei der Herstellung der stabilen Beinachse: Die Wiederherstellung der Kreuzbandfunktion nach einem Kreuzbandriss ist für die meisten Patienten unverzichtbar für die Gesundheit des Kniegelenks.
Externer Inhalt von youtube.com
Konservative Behandlung des Kreuzbandrisses
Wann ist ein Kreuzbandriss konservativ zu therapieren?
- Das Aktivitätsniveau des Patienten ist niedrig und er übt keine Risiko- und Kontaktsportarten aus.
- Es bestehen keine oder geringe Begleitverletzungen im Knie durch die Distorsionsverletzung.
- Bei Teilruptur des Kreuzbandes müssen mindestens 75 % des Kreuzbandes noch intakt sein, um eine Spontanheilung zu unterstützen.
- Bei knöchernem Ausriss sollte das Band noch an der Abrissstelle anhaften und nicht verschoben sein.
Die Kreuzbänder haben eine wichtige mechanische Stabilisierungsfunktion. Daher besteht keine Priorität für die konservative Behandlung. Auf eine Wiederherstellung der Kreuzbandfunktion nach Kreuzbandriss kann man bei aktiven Patienten nicht verzichten.
Die konservative Behandlung nimmt jedoch zur Vorbereitung einer Kreuzbandersatzplastik oder in der Rehabilitation nach einer Kreuzbandnaht einen sehr hohen Stellenwert ein.
Sie besteht im Wesentlichen aus dem Muskelaufbau im Bein. Die Muskulatur soll die verlorene Bandfunktion im Knie kompensieren.
Konservative Wiederherstellung der Kreuzbandfunktion nach Teilriss
Bei einer Teilruptur des Kreuzbandes ist eine Selbstheilung möglich. Die noch intakten Kreuzbandfasern dienen als Leitstruktur für die gerissenen Fasern. Als Voraussetzung müssen mindestens 75 % des Kreuzbandes noch intakt sein.
Auch ein vollkommen unverschobener knöcherner Ausriss des Kreuzbandes kann in Einzelfällen ohne Operation, also konservativ ausheilen. Dazu führt der Patient gezielte Übungen zur Kräftigung der Ober- und Unterschenkelmuskulatur durch.
Durch konsequentes Trainieren der Muskulatur kann der Patient sein Kniegelenk weitgehend stabilisieren. Die Muskeln dienen dabei quasi als Schiene für das Gelenk. Auch der kurzfristige Einsatz von Orthesen ist möglich. Diese entlasten das Kreuzband und schonen es für die Selbstheilung.
Studie: Konservative und operative Behandlung im Vergleich
Viele Orthopäden empfehlen heutzutage keine operative Rekonstruktion nach Kreuzbandriss mehr. Sie berufen sich auf eine schwedische Studie (N Engl J Med. 2010 Aug 26; 363(9) :893). Patienten nach Kreuzbandriss wurden nach 2 und 5 Jahren über den subjektiven Zustand des Knies anhand einer Schmerzskala befragt. Demnach gab es weder nach 2 noch nach 5 Jahren nennenswerte Unterschiede im subjektiven Wohlbefinden zwischen operierten (Kreuzbandplastik) und nicht operierten Patienten. Die Aussage der Studie muss jedoch mit starken Einschränkungen gesehen werden:
- Schäden an Menisken und am Knorpel aufgrund der Instabilität im Kniegelenk treten meist erst nach 10 Jahren auf.
- Sowohl Knorpel als auch Menisken besitzen keine Schmerzfühler – Degeneration wird also erst im fortgeschrittenen Stadium fühlbar.
- Die Studiengruppe bestand aus Patienten ohne jegliche Begleitverletzungen neben dem Kreuzbandriss. In der Realität betrifft das maximal 20 % aller Patienten.
Studie zu Meniskusläsionen nach Kreuzbandriss
Die aus der Kreuzbandruptur resultierende Überbeweglichkeit des Kniegelenks kann zu einer verschleißbedingten Degeneration des Meniskus führen. Die Rate an Meniskusschäden, die von einer unbehandelten Ruptur des Kreuzbandes abgeleitet sind, beträgt:
- nach 1 Jahr: 40 %
- nach 5 Jahren: 40 %
- nach 10 Jahren: 80 %
Wenn die Meniskusfunktion durch Verschleiß gestört wird, begünstigt der Riss des vorderen Kreuzbandes zwangsläufig auch die Entwicklung einer Kniearthrose. Ein intakter Meniskus als Stoßdämpfer ist wesentlich für eine gesunde Knorpelschicht im Kniegelenk. Daher leiden Patienten mit Kreuzbandriss durchschnittlich 15–20 Jahre früher an Kniearthrose als Patienten mit intakter Kreuzbandfunktion (Approach to cartilage injury in the anterior cruciate ligament-deficient knee., Levy & Meier, 2003). Ein Kreuzbandriss ist daher ein deutlicher Risikofaktor für das frühe Auftreten einer Kniearthrose.
Wir sehen vor allem bei jüngeren und aktiven Patienten mit Kreuzbandriss eine Indikation zur Kreuzbandrekonstruktion. Insbesondere Patienten, die Sportarten mit vielen Richtungswechseln bei gebeugtem Knie durchführen, sind ohne Kreuzbandplastik nicht stabil.
Auch bei Patienten über 40 Jahren besteht eine deutliche Indikation zur Kreuzbandplastik nach einem Kreuzbandriss, wenn diese sehr aktiv sind oder körperlich arbeiten. Nur bei älteren Patienten mit fortgeschrittener Kniearthrose wirkt die Kreuzbandplastik nicht mehr vorbeugend.
Operation des Kreuzbandrisses: nähen oder ersetzen?
Die akute Verletzung nach einem Kreuzbandriss hat Folgen: Eine Operation des Kreuzbandes kann nach einer Ruptur erst nach abgeschlossener Wundheilung, Ausheilen aller Begleitverletzungen und Physiotherapie erfolgen. Daher findet die Kreuzbandrekonstruktion etwa zwei bis drei Monate nach dem Kreuzbandriss statt. In dieser Zeit ist die Funktion des Kniegelenks deutlich eingeschränkt.
Bei Leistungssportlern zieht man den Eingriff manchmal auch vor und führt ihn im akuten Stadium – wenige Tage nach der Verletzung – durch. So kann der Betroffene möglichst schnell wieder ins Training zurückkehren.
Bei Rupturen der Außen- oder Innenbänder des Kniegelenks kann eine Ruhigstellung mithilfe von Orthesen normalerweise ein spontanes Zusammenwachsen fördern. Diese Selbstheilung ist aber beim vorderen und hinteren Kreuzband nicht gegeben. In der Regel ist eine Operation des Kreuzbandes erforderlich, um seine Funktion wiederherzustellen.
Nicht jeder Patient profitiert von einer operativen Kreuzbandrekonstruktion. Je jünger und aktiver der Patient, desto eher ist die operative Wiederherstellung der Kreuzbandfunktion angezeigt.
Doch auch die Kreuzbandrekonstruktion kann den ursprünglichen Zustand des Knies nicht ganz wiederherstellen. Die Lage und sensomotorische Qualität des Kreuzbandersatzes entsprechen nie genau dem gerissenen Kreuzband.
Das natürliche Kreuzband enthält Dehnungs- und Lagesensoren, die dem Gehirn Position und Spannungszustand mitteilen und so die Bewegungskoordination unterstützen. Diese Rezeptoren sind in einem Kreuzbandtransplantat nicht enthalten. Daher geht die sensorische Funktion nach einem Kreuzbandriss verloren. Lediglich die mechanische Stabilität verbessert sich.
Das Kreuzband besteht aus zwei unabhängigen Faserbündeln. Ist nur ein Strang gerissen, kann der andere bei der Rekonstruktion des Kreuzbandes erhalten bleiben. Nur der gerissene Anteil wird durch ein Transplantat ersetzt.
Doppelbündeltechnik bei Kreuzbandriss:
Das vordere Kreuzband besteht aus zwei fast unabhängigen Faserbündeln. Diese sind spiralförmig umeinander gewickelt. Das erhöht die Stabilität des Kreuzbandes. Für Leistungssportler bieten wir die Möglichkeit, diese Konstruktion durch die sogenannte Doppelbündeltechnik zu rekonstruieren. Dabei werden zwei Ersatzsehnen spiralförmig umeinander gewickelt und unabhängig voneinander zur Einheilung verankert. Die Stabilität ist fast doppelt so hoch wie bei der meistens üblichen Einzelbündeltechnik des Kreuzbandersatzes. Dafür ist die OP-Zeit erhöht. Meistens profitieren nur Leistungssportler von dieser OP-Technik.
Wann sollte eine Kreuzbandverletzung operiert werden?
Folgende Umstände erfordern eine operative Behandlung des gerissenen Kreuzbandes:
- Begleitverletzungen der Außenbänder des Knies
- Begleitverletzungen an Menisken
- Wunsch nach Fortsetzung der sportlichen Aktivität
- körperlich arbeitende Patienten
Eine vollständige Ruptur des vorderen Kreuzbandes ist bei jüngeren Patienten oder Patienten ohne Kniearthrose eigentlich immer eine Indikation für eine operative Therapie. Die beste Voraussetzung für diese Operation ist ein reizloses, abgeschwollenes Kniegelenk.
Bei akuter Verletzung wird das Kreuzband daher nicht sofort operiert. An dieser Stelle ist Physiotherapie wichtig, um die Entzündung zurückzubilden, das Knie zu stabilisieren und die Muskulatur zu kräftigen.
Kreuzbandersatz durch Sehnentransplantation


Die traditionell am weitesten verbreitete Operation ist der Kreuzbandersatz. Der Operateur entfernt das gerissene Kreuzband zur Vorbereitung der Kreuzbandersatzoperation zunächst vollständig. Teile körpereigener Sehnen aus dem Kniegelenk dienen als Transplantat. In der Regel kommt dafür ein Teil der Patellasehne zwischen Kniescheibe und Schienbein infrage. Auch die Hamstringsehne des Musculus Biceps femoris, die hinten in der Kniekehle verläuft, kann als körpereigenes (autologes) Transplantat das Kreuzband ersetzen. Diese Sehne verbindet den Oberschenkelmuskel mit dem Unterschenkel.
Die Vorteile des autologen Sehnentransplantates liegen eindeutig in der fehlenden Abstoßung. Das Transplantat wird nach der Verankerung in Oberschenkel- und Unterschenkelknochen mithilfe von Knochenschrauben nach kurzer Zeit wieder durchblutet.
Ein Nachteil des körpereigenen Sehnentransplantates zur Behandlung des Kreuzbandrisses besteht in der schmerzhaften Schwächung des Beines durch die Entnahme der Sehne (sog. Entnahmepathologie). Die Entnahmestellen sind häufig über Monate schmerzhaft und geschwächt. Die maximale Kraftentwicklung ist durch die Sehnenentnahme reduziert. Vor allem für Leistungssportler ist das eine schwierige Situation, die viel Physiotherapie und Aufbautraining erforderlich macht.
Ein Kreuzbandersatz stellt auch die für die Koordination wichtige Innervierung des Transplantates nicht wieder her.
Kreuzbandnaht durch Refixation des gerissenen Kreuzbandes
Bei frischer Diagnosestellung kommt je nach Art des Kreuzbandrisses und der vorhandenen Begleitverletzungen eine Naht des gerissenen Kreuzbandes infrage. Hierzu stehen verschiedene Systeme zur Verfügung. Diese stabilisieren das genähte Kreuzband während der Anheilungsphase. Zunächst muss aber das gerissene Kreuzband wieder genäht (refixiert) werden. Dazu eignen sich besonders knochennahe Ausrisse des vorderen Kreuzbandes. Der gerissene Stumpf wird dabei mit Fäden und Ankermaterialien im Knochen befestigt und kann in den folgenden Wochen und Monaten anheilen. Wenn das gelingt, ist eine Kreuzbandplastik mithilfe körpereigener Sehnen nicht mehr notwendig.
Bei der Sehnenrefixation muss also keine körpereigene Spendersehne gewonnen werden. Es gibt somit keine Entnahmepathologie mit Schmerzen und Muskelschwäche an der Entnahmestelle. Für Sportler kann das sehr wichtig sein. Je nach Rissart und Befestigung kann der Patient das Knie mit dem gerissenen Kreuzband wenige Tage nach der Operation wieder belasten.
Bevor die Entscheidung für die operative Refixierung des Kreuzbandes getroffen werden kann, ist eine ausführliche MRT-Untersuchung erforderlich. Die Durchführung des Eingriffes ist sehr zeitkritisch: Das gerissene Kreuzband ist nach mehr als drei Wochen nicht mehr so gut regenerationsfähig. Bei der Refixierung ist also eine Operation während der Akutphase innerhalb der ersten drei Wochen nach der Ruptur des Kreuzbandes erforderlich.
Das Implantat aus Polyethylenfäden mit Federsystem können wir nach erfolgreicher Einheilung etwa sechs bis neun Monate nach der Operation in einem kleinen operativen Eingriff wieder entfernen. Bei der Entfernung des Implantates prüfen wir zudem die Heilung des Kreuzbandes noch einmal arthroskopisch.
Erfolgsraten nach Kreuzband-OP
Die Kreuzband-OP ist eine sehr erfolgreiche Operation, die zu über 90 % wieder zur Herstellung der Kniefunktion führt. Die meisten Patienten können nach einer Kreuzband-OP wieder in ihren Leistungssport oder in die berufliche Tätigkeit zurückkehren. Die Kreuzband-OP wird häufig durchgeführt. Daher liegen viele operative Erfahrungen vor.
Heilungsdauer und Krankschreibung nach Kreuzband-OP
Die stationäre Behandlung nach der Kreuzbandoperation dauert drei bis vier Tage. Nach drei bis vier Wochen kann der Patient wieder eine sitzende Tätigkeit ausüben. Leichtes sportliches Training oder körperlich belastende Arbeiten können frühestens nach drei Monaten wieder aufgenommen werden. Schwere Belastungen sowie Start-Stopp-Bewegungen sind erst nach bis zu neun Monaten nach der Kreuzband-OP ohne die Gefahr einer erneuten Ruptur möglich.
Häufige Patientenfragen zum Thema Kreuzbandriss an Prof. Dr. Sven Ostermeier von der Gelenk-Klinik
Wo kann man einen Kreuzbandriss operieren lassen?
Mit einem Kreuzbandriss sind Sie in einer Fachklinik für Orthopädie und Unfallchirurgie gut aufgehoben. Den Spezialisten für Erkrankungen des Bewegungsapparates stehen diagnostische und therapeutische Möglichkeiten zur Verfügung, um einen Kreuzbandriss optimal zu behandeln. Es ist ratsam, eine Klinik auszuwählen, die hohe Fallzahlen bei der Therapie des Kreuzbandrisses aufweisen kann.
Warum sollte man die Kreuzband-OP erst nach 6 Wochen durchführen?
In der Akutphase kann das Kreuzband nicht sofort durch eine Rekonstruktion operiert werden. Man wartet ab, bis das Knie reizlos geworden ist. In dieser Zeit sollte der Patient sein Knie durch Unterarmgehstützen entlasten. So können auch Begleitverletzungen wie Knochen-Knorpelschäden (Bone-Bruise-Verletzungen) abheilen.
Welches Kreuzband reißt häufiger?
Das vordere Kreuzband reißt wesentlich häufiger als das hintere Kreuzband. Nur etwa 7–10 % aller Kreuzbandrisse betreffen das hintere Kreuzband. Grund dafür ist, dass das hintere Kreuzband fester und stabiler ist als das vordere.
Wann darf man nach einem Kreuzbandriss wieder Sport machen?
Frühestens 3 Monate nach der Operation des Kreuzbandes darf der Patient mit leichter sportlicher Betätigung beginnen. Dazu zählen beispielsweise Bewegungsübungen und Radfahren auf ebenen Strecken. Belastende Sportarten wie Joggen sollte man frühestens 4 Monate nach der Operation wieder aufnehmen. In Absprache mit Ihrem behandelnden Arzt sollten mindestens 9 Monate vergangen sein, bis Kontaktsportarten wie Fußball oder sprungintensive Sportarten wie Volleyball wieder ausgeübt werden.
Welcher Arzt behandelt einen Kreuzbandriss?
Ein Facharzt für Orthopädie und Unfallchirurgie mit Spezialisierung auf das Kniegelenk ist die richtige Adresse zur Behandlung eines Kreuzbandrisses. Auch Sportmediziner können einen Kreuzbandriss zuverlässig behandeln. Die Behandlung des Kreuzbandrisses durch einen Spezialisten ist wichtig, um Komplikationen und Folgeschäden zu minimieren.
Lässt sich ein Kreuzbandriss nähen?
In den meisten Fällen wird ein gerissenes Kreuzband durch ein körpereigenes Transplantat ersetzt. Eine Kreuzbandnaht kommt nur bei Teilrissen infrage, die weniger als 50 % des Banddurchmessers betreffen. Die gerissenen Fasern werden dann mittels spezieller Nahttechniken wieder angenäht.
Wie sieht die Nachbehandlung nach einem Kreuzbandriss aus?
Die Nachbehandlung nach einem Kreuzbandriss orientiert sich an der Art der Therapie und der Schwere der Verletzung. Nach einer Operation sollten Sie das betroffene Knie für 3 bis 4 Wochen entlasten. Danach sollten Sie in Absprache mit Ihrem behandelnden Arzt mit Muskelaufbau und Physiotherapie beginnen.
Worauf sollte man bei einem Kreuzbandriss in der Zeit bis zur OP achten?
Eine konservative Therapie muss zur Überbrückung bis zur operativen Therapie durchgeführt werden. Die Kreuzbandoperation wird zur Vermeidung von Komplikationen überwiegend erst nach Abschwellung der akuten Verletzungsfolgen durchgeführt. Die erste Phase der Physiotherapie konzentriert sich auf heilungsfördernde und abschwellende Maßnahmen:
- Matrix-Therapie zur Aktivierung des Stoffwechsels
- Lymphdrainage zur Verbesserung des Lymphflusses und damit zur Abschwellung nach der akuten Verletzung
- Mikrostromtherapie (Wund- und Heilströme) zur Verbesserung der Regeneration
Ist dieses Ziel nach 1–3 Wochen erreicht, folgen Übungen zum Muskelaufbau und zur Förderung der Kraft und Koordination. Zudem sollte der Patient als Vorbereitung der Rehabilitation seine Beinachse trainieren.
- Muskelaufbau nach 2–3 Wochen (abgeschlossene Heilung der Akutverletzung)
- Propriozeptionstraining (Balance-Board, Matten, Training der Beinachse)
Vor dem Start der Kräftigungs- und Koordinationstherapie sollte die umfassende Diagnose der Kreuzbandverletzung abgeschlossen sein. Begleitverletzungen an Menisken, Knorpeln und Seitenbändern müssen vor dem Einleiten der Kräftigung und des Koordinationstrainings abgeklärt sein.
Wie lange bin ich mit Kreuzbandriss krankgeschrieben?
Die Krankschreibung nach einem Kreuzbandriss hängt von verschiedenen Faktoren ab. Dazu zählen beispielsweise die Art der Operation, die Schwere des Kreuzbandrisses und möglicher Begleitverletzungen sowie Alter und Beruf des Patienten. In der Regel dürfen Patienten mit sitzender Tätigkeit nach etwa 3 bis 4 Wochen wieder in den Job zurückkehren. Patienten, die körperlich arbeiten, sind etwa 3 Monate arbeitsunfähig.
Literaturangaben zu Kreuzbandplastik
- Biau, D. J., Katsahian, S., Kartus, J., Harilainen, A., Feller, J. A., Sajovic, M. et al. (2009). Patellar tendon versus hamstring tendon autografts for reconstructing the anterior cruciate ligament: a meta-analysis based on individual patient data. The American journal of sports medicine, 37, 2470–8.
- Hamner, D. L., Brown, C. H., Steiner, M. E., Hecker, A. T. & Hayes, W. C. (1999). Hamstring tendon grafts for reconstruction of the anterior cruciate ligament: biomechanical evaluation of the use of multiple strands and tensioning techniques. The Journal of bone and joint surgery. American volume, 81, 549–57.
- Bublak, R. (2016). Kreuzbandriss: Frühe Op. zahlt sich später aus. Orthopädie & Rheuma, 19(5), 8–8.
- Kathmann, W. (2016). Kniegelenk nach Kreuzbandriss instabil: konservative Therapie erwägen. Orthopädie & Rheuma, 19(3), 54–54.
- Kim, S.-G., Kurosawa, H., Sakuraba, K., Ikeda, H. & Takazawa, S. (2006). The effect of initial graft tension on postoperative clinical outcome in anterior cruciate ligament reconstruction with semitendinosus tendon. Archives of orthopaedic and trauma surgery, 126, 260–4.
- Mayr, H. O., Beck, T., Hube, R., Jäger, A., von Eisenhart-Rothe, R., Bernstein, A. et al. (2005). [Axial load in case of press-fit fixation of the ACL graft--a fundamental study]. Zeitschrift für Orthopädie und ihre Grenzgebiete, 143, 556–60.
- McCarty, E. (2011). Unique Press-Fit ACL Technique Demonstrates Excellent Long-Term Results for Both Hamstring and Patellar Grafts: Summary of: Wipfler B, Donner S, Zechmann CM, Springer J, Siebold R, Paessler HH. Anterior Cruciate Ligament Reconstruction. The Journal of bone and joint surgery. American volume, 93, 7N.
- Miyatake, S., Kondo, E., Tsai, T.-Y., Hirschmann, M. T., Halewood, C., Jakobsen, B. W. et al. (2011). Biomechanical Comparisons Between 4-Strand and Modified Larson 2-Strand Procedures for Reconstruction of the Posterolateral Corner of the Knee. The American journal of sports medicine.
- Vogrin, T. M., Höher, J., Aroen, A., Woo, S. L. & Harner, C. D. (2000). Effects of sectioning the posterolateral structures on knee kinematics and in situ forces in the posterior cruciate ligament. Knee surgery, sports traumatology, arthroscopy: official journal of the ESSKA, 8, 93–8.
- Wagenhäuser, K., & Feustel, M. (2017). Vordere Kreuzbandplastik mit der Semitendinosussehne. Im OP, 7(04), 144–149.
- Widhalm, H. (2017). Kreuzbandriss. Österr Ärzteztg, 18, 22–28.
- Xergia, S. A., McClelland, J. A., Kvist, J., Vasiliadis, H. S. & Georgoulis, A. D. (2011). The influence of graft choice on isokinetic muscle strength 4–24~months after anterior cruciate ligament reconstruction. Knee surgery, sports traumatology, arthroscopy: official journal of the ESSKA, 19, 768–80.
- Yamazaki, S., Yasuda, K., Tomita, F., Minami, A. & Tohyama, H. (2006). The effect of intraosseous graft length on tendon-bone healing in anterior cruciate ligament reconstruction using flexor tendon. Knee surgery, sports traumatology, arthroscopy: official journal of the ESSKA, 14, 1086–93.
- Yasuda, K., van Eck, C. F., Hoshino, Y., Fu, F. H. & Tashman, S. (2011). Anatomic Single- and Double-Bundle Anterior Cruciate Ligament Reconstruction, Part 1: Basic Science. The American journal of sports medicine.