- Osteochondrosis dissecans (OD): Was ist das?
- Ursachen: Warum entsteht Osteochondrosis dissecans am Kniegelenk?
- Symptome der Osteochondrosis dissecans am Kniegelenk
- Diagnose: Wie untersucht der Arzt Osteochondrosis dissecans am Kniegelenk?
- Therapie: Wie behandelt der Spezialist Osteochondrosis dissecans am Kniegelenk?
- Prognose: Vorsicht, eine fortgeschrittene Osteochondrosis dissecans begünstigt eine frühe Arthrose am Kniegelenk
- Häufig gestellte Fragen zur Osteochondrosis dissecans an PD Dr. med. habil. Bastian Marquaß von der Gelenk-Klinik
Die Osteochondrosis dissecans im Knie bezeichnet das Absterben kleiner Knochenbezirke unterhalb des Gelenkknorpels im Kniegelenk. Diese Erkrankung tritt meist bei Kindern und Jugendlichen im Alter von 5 bis 20 Jahren auf. Das frühzeitige Erkennen und Behandeln der Osteochondrosis dissecans ist wichtig. Schreitet die Erkrankung unbehandelt fort, nimmt auch der Gelenkknorpel Schaden. Folge kann ein vorzeitiger Gelenkverschleiß (Kniearthrose) mit chronischen Knieschmerzen und Funktionsstörungen des Kniegelenks sein.
Die Ursache einer Osteochondrosis dissecans (kurz: OD) ist bisher nicht vollständig geklärt. Häufiger betroffen sind sportlich aktive Kinder. Mediziner nehmen an, dass wiederkehrende Überlastung oder Verletzungen im Kniebereich die Versorgung des Knochens unter dem Knorpel beeinträchtigen und das Auftreten einer Osteochondrosis dissecans begünstigen.
Die Erkrankung kann bei frühzeitiger Diagnose und Therapiebeginn vollständig ausheilen. Bei Kindern und Jugendlichen mit Knieschmerzen ohne Unfallhergang muss der Facharzt eine Osteochondrosis dissecans ausschließen.
Osteochondrosis dissecans: Was ist das?
Synonyme für Osteochondrosis dissecans:
- OD
- Osteochondritis dissecans
- osteochondrale Läsion
- OCL
- subchondrale Osteonekrose
Die Osteochondrosis dissecans (OD) ist eine herdförmige Knochenerkrankung direkt unterhalb des Gelenkknorpels (Erkrankung des subchondralen Knochens). Im Krankheitsverlauf kommt es schließlich zur Mitbeteiligung des Knorpels. Die Bezeichnung leitet sich vom Oberbegriff Osteochondrose ab, bei dem Knochen (lat. os) und Knorpel (griech. chondros) gleichzeitig beteiligt sind. Dabei entstehen freie Gelenkkörper, sogenannte Dissekate (lat. dissecare "abstoßen). Die Osteochondrosis dissecans ist vor allem eine Krankheit von Kindern und jungen Erwachsenen.
Die MRT-Aufnahme zeigt ein abgelöstes, aber im “Mausbett” befindliches Dissekat im Kniegelenk. © Gelenk-Klinik
Als Ursache vermutet man eine Minderdurchblutung eines umschriebenen Knochenareals unterhalb des Gelenkknorpels. Häufig wird der Knochen nur vorübergehend vermindert durchblutet, ohne dass gravierende Schäden der Knorpel oder Knochensubstanz entstehen. Je nach Ausmaß der Schädigung wird OD in vier Krankheitsstadien eingeteilt. Bei schweren Verläufen kommt es zum Absterben (Nekrose) und zum Abbau (Osteolyse) von Knochenzellen in diesem begrenzten Bereich. Medizinisch spricht man von einer aseptischen Knochennekrose, dass heißt, dieser Prozess wurde nicht durch eine bakterielle Entzündung ausgelöst.
Das abgestorbene Knochenstück (Fragment) löst sich zusammen mit dem darüber liegenden Knorpel aus der Gelenkfläche. Entweder verbleibt das abgestoßene Knorpel-Knochen-Fragment im Defektbereich oder es bewegt sich als freier Gelenkkörper (loose body) im Gelenk und verursacht Schäden und Blockierungen des Gelenks. Dies kann zu einem viel zu frühen Gelenkverschleiß im Knie (Gonarthrose) führen. Das abgestoßene Knorpel-Knochen-Fragment bezeichnet der Mediziner auch als Gelenkmaus oder Dissekat. Die Osteochondrosis dissecans (OD) ähnelt einer Erkrankung im späten Erwachsenenalter, die ebenfalls durch eine aseptische Knochennekrose am Kniegelenk verursacht wird. Mediziner bezeichnen diese Krankheit als Morbus Ahlbäck.
Lokalisation der Osteochondrosis dissecans (OD)
Am häufigsten tritt Osteochondrosis dissecans im Kniegelenk auf. Seltener sind andere Gelenke wie das Sprunggelenk, das Ellenbogengelenk oder das Hüftgelenk betroffen.
Im Bereich des Kniegelenks erkrankt vor allem der zur Körpermitte hin gelegene Anteil des Oberschenkelknochens (medialer Femurkondylus). Das Risiko eines Befalls beider Kniegelenke wird in der medizinischen Fachliteratur mit bis zu 25 % angegeben.
Anatomie des Kniegelenks von vorne gesehen: Auf dem verbreiterten Schienbeinplateau (Tibiaplateau) liegen die mächtigen rollenartigen Walzen des Oberschenkelknochens (Femurkondylen) als Gelenkpartner. An Osteochondrosis dissecans erkrankt vor allem der innen (medial) gelegene Femurkondylus. © ttsz, istockphoto
Alter und Geschlecht beeinflussen das Auftreten der Osteochondrosis dissecans
Geschlechtsspezifisch sind Jungen im Verhältnis 3:1 häufiger von einer Osteochondrosis dissecans (OD) betroffen als Mädchen.
Die Osteochondrosis dissecans ist vor allem eine Erkrankung des Heranwachsenden. Man unterscheidet eine kindliche (juvenile) Form und eine erwachsene (adulte) Form.
Bei der juvenilen OD sind die Wachstumsfugen noch offen. Kinder zwischen dem 6. und 11. Lebensjahr sind gehäuft betroffen. Diese juvenile Form kann vollständig spontan ausheilen. Im Gegensatz dazu ist die Prognose der adulten OD schlechter. Dies betrifft junge Erwachsene, da die Wachstumsfugen in höherem Alter bereits geschlossen sind. Zudem entstehen mit fortgeschrittenem Alter häufiger Schäden der Kniegelenkfläche durch das Absterben von Knochen- und Knorpelarealen.
Ursachen: Warum entsteht Osteochondrosis dissecans am Kniegelenk?
Faktoren, die das Auftreten von Osteochondrosis dissecans am Knie begünstigen:
- spontan lokale Minderdurchblutung des Knochens
- wiederkehrende Mikroverletzungen durch sportliche Überbelastung
- lokale Unterversorgung des Knochens durch dauerhafte Fehlbelastung, z. B. Beinachsenfehlstellung
- lokale Minderdurchblutung des Knorpel-Knochen-Areals nach Unfall
Bis heute ist die medizinische Ursache für das Auftreten einer Osteochondrosis dissecans (OD) nicht vollständig geklärt. Hauptsächlich geht man von einer lokalen Minderdurchblutung des Knochenareals aus, das direkt unter dem Kniegelenkknorpel liegt. In mehreren wissenschaftlichen Studien wurde kontrovers diskutiert, ob diese Durchblutungsstörungen spontan auftreten oder eine Verletzung ursächlich ist.
Sportlich aktive Kinder und Jugendliche sind überdurchschnittlich häufig von OD betroffen. Deshalb nehmen Mediziner an, wiederkehrende mechanische Belastungen beim Sport können eine Minderperfusion des Knochens auslösen und später zum Absterben (Nekrose) kleiner Knochenareale führen. Dass in den letzten Jahren die Erkrankungszahl der Kinder stieg, die früh mit Leistungssport begonnen haben, stützt diese Theorie.
Die ständig wiederkehrende Belastung des Kniegelenks verursacht Mikrotraumen, die schließlich zur Störung der lokalen Durchblutung des am Gelenk beteiligten Knochens führen. Wiederkehrende Mikroverletzungen betreffen vor allem Sportarten mit rasanten Abstoppbewegungen, abrupten Richtungswechseln und Rotationsbewegungen im Kniegelenk, wie zum Beispiel beim Fußball, Tennis oder Badminton.
Ebenso kann ein stattgehabtes Trauma (z. B. ein Unfall) ursächlich für lokale Durchblutungsstörungen des am Gelenk beteiligten Knochens sein. Wird dieser Knochenbezirk in Folge nicht mehr ausreichend ernährt, kommt es zur Knochennekrose. Wir beobachten vor allem lokale Schäden des Gelenkknorpels und Knochens am Knie bei Meniskusschäden bzw. nach Meniskusteilentfernung. Gerade Instabilitäten oder Einrisse des Vorderhorns des Innenmeniskus gelten als Mitursache der OD.
Auch Achsfehlstellungen des Beins wie das O-Bein (Genu varum) und das X-Bein (Genu valgum) belasten das Kniegelenk dauerhaft. Sie gelten ebenfalls als möglich ursächlicher Faktor für die Entstehung einer Osteochondrosis dissecans. Dagegen gibt es keinen Anhalt für einen Gendefekt oder eine familiäre Vererbung der Osteochondrosis dissecans.
Wie verläuft Osteochondrosis dissecans am Kniegelenk?
Krankheitsstadien der Osteochondrosis dissecans
- Stadium I: Sklerosierung des erkrankten Knochenareals mit Knorpelerweichung
- Stadium II: partielle Ablösung des erkrankten Knochenareals mit Knorpelverletzung
- Stadium III: vollständige Ablösung des Dissekats vom umliegenden Gewebe ohne Verschiebung (Dislokation)
- Stadium IV: vollständige Ablösung des erkrankten Dissekats mit Dislokation in den Gelenkraum
Im Verlauf der Osteochondrosis dissecans am Knie kann es zur vollständigen Ausstoßung des betroffenen Knorpel-Knochen-Fragments (Dissekat) in den Gelenkraum kommen. Bis zu diesem Prozess durchläuft die Erkrankung mehrere Stadien. Zu Beginn verdickt sich das betroffene Knochenareal unter dem Gelenkknorpel (subchondrale Sklerose). Dieses Areal ist meist nicht größer als eine Erbse. Der Knorpel darüber weicht auf. Die Sklerosierung führt zu einer stetigen Minderversorgung des betroffenen Knochen-Knorpel-Fragments.
Das absterbende Knochenstück löst sich teilweise (partiell) vom umgebenden intakten Knochen (Demarkation). Die Knorpeloberfläche wird dadurch verletzt und kann bereits teilweise brechen (partielle Diskontinuität). Schließlich löst sich das geschädigte Knochenstück vom gesunden umliegenden Gewebe. Allerdings verbleibt das Dissekat noch in seiner Position. Im letzten Stadium wandert das vollständig abgestoßene Knochen-Knorpel-Fragment in den Gelenkraum.
Dieser freie Gelenkkörper (“Gelenkmaus”) kann schmerzhafte Einklemmungen und Gelenkblockaden verursachen. Das ehemalige Lager des Dissekats bezeichnet man auch als “Mausbett”. Die Zerstörung der intakten Kniegelenkfläche durch den freien Gelenkkörper und das freie Lager können einen vorzeitigen Gelenkverschleiß auslösen. Die Folge ist eine frühe Arthrose des Kniegelenks (Gonarthrose).
Stadium IV der Osteochondrosis dissecans: Das abgestoßene Dissekat (“Gelenkmaus”) wandert in den Gelenkraum. Als freier Gelenkkörper kann es zu einer Gelenkblockade im Kniegelenk führen. © Gelenk-Klinik
Symptome der Osteochondrosis dissecans am Kniegelenk
Leitbeschwerden:
- dumpfe Knieschmerzen ohne konkreten Auslöser (idiopathisch)
- Entzündungsreaktionen: Schwellung, Gelenkergüsse
- Gelenkblockaden (Beuge- oder Streckdefizite) durch Einklemmung des freien Gelenkkörpers
Die Symptome der Osteochondrosis dissecans (OD) sind abhängig vom Krankheitsstadium und dem Alter der Patienten. Neben Knieschmerzen treten häufig Gelenkschwellungen und -ergüsse auf. Zudem leiden die Patienten an Bewegungseinschränkungen durch Gelenkblockaden.
Symptome der juvenilen OD
Bei juveniler OD stellen sich Kinder mit unspezifischen Knieschmerzen vor, die nach Sport oder anderen mechanischen Belastungen des Kniegelenks auftreten. Die Schmerzen werden vor allem im Bereich des vorderen inneren Gelenkbereichs angegeben. Hier tritt die Osteochondrosis dissecans am häufigsten auf. Diese Beschwerden können bereits im frühen Krankheitsstadium entstehen.
Die beginnende OD kann außerdem Gelenkergüsse und Entzündungen der Gelenkschleimhaut (Synovialitis) verursachen. Die Patienten berichten von wiederkehrenden Schwellungen und Überwärmung des Kniegelenks. Aufgrund dieser allgemeinen Symptome können die Beschwerden fehlgedeutet werden, wodurch die OD erst zu einem späteren Zeitpunkt erkannt wird.
Bei unspezifischen Kniebeschwerden bietet eine Kernspintomographie (MRT) eine sichere Möglichkeit zur Diagnostik. Ebenso kann die juvenile OD im frühen Stadium symptomlos bleiben. Bei einer Röntgenuntersuchung oder Kernspintomographie (MRT) des Knies aus anderen Gründen wird sie dann als Zufallsbefund entdeckt.
Im fortgeschrittenen Stadium der juvenilen OD verursacht das abgelöste Knochen-Knorpel-Fragment starke Beschwerden mit möglichen Einklemmungen des Dissekats und Gelenkblockaden. Bei diesen Kindern fällt ein veränderter Gang auf. Sie hinken zur Entlastung des betroffenen Knies.
Symptome der adulten OD
Die älteren Patienten mit adulter OD haben meist einen rascheren Krankheitsverlauf (progredienter Verlauf). Das erkrankte Knorpel-Knochen-Fragment hat sich häufig bereits gelöst und die Patienten leiden unter starken lokalen Knieschmerzen. Der freie Gelenkkörper verursacht eine chronische Entzündungsreaktion mit Gelenkerguss und Überwärmung des Knies.
Die Patienten berichten von Gelenksteife und Einklemmungen mit Beuge- oder Streckdefiziten des betroffenen Knies. Das betroffene Knie wird auch bei adulter OD durch Entlastungshinken geschont. Manchmal kann sich das eingeklemmte Dissekat nach Schütteln des Beines spontan lösen, sodass die Bewegung des Kniegelenks vorübergehend wieder möglich ist.
Eine Osteochondrosis dissecans im Knie führt zu Knieschmerzen und Schwellungen im Gelenk. © peterschreiber.media
Diagnose: Wie untersucht der Arzt Osteochondrosis dissecans am Kniegelenk?
Differentialdiagnosen bei ähnlichen Kniebeschwerden:
- Verstauchung oder Distorsion (Verdrehung) des Kniegelenks
- Knorpelschaden durch Trauma, Sportverletzung
- Meniskusriss nach Unfall, Sportverletzung
- Störung der Neubildung von Knochen (Ossifikationsstörung), tritt vermehrt im Kindesalter auf, durch eine Röntgenuntersuchung abgrenzbar
- Hüfterkrankungen
Osteochondrosis dissecans äußert sich in den frühen Stadien meist durch unspezifische Kniebeschwerden oder bleibt gar symptomlos. Das ausführliche Gespräch mit dem Patienten über seine Beschwerden, verbunden mit der körperlichen Untersuchung durch den Facharzt und die apparative Bildgebung, ermöglichen auch die frühzeitige Diagnose einer OD. Ziel ist das sichere Erkennen der Erkrankung und die korrekte Stadienbestimmung. Die Therapieform der Osteochondrosis dissecans und ihre Prognose sind abhängig vom vorliegenden Krankheitsbefund.
Die Anamnese des Patienten ist diagnoseweisend
Die Krankengeschichte des Patienten gibt die ersten Hinweise auf das Vorliegen einer Osteochondrosis dissecans. Das ausführliche Arzt-Patienten-Gespräch ist unerlässlich, um wichtige Informationen auch bei allgemeinen Kniebeschwerden zu filtern. Teilweise treten Kniebeschwerden bei OD als unspezifischer Belastungsschmerz auf. Vor allem sportliche Aktivitäten können den betroffenen Patienten Probleme bereiten. Ist die OD weiter fortgeschritten, kann der Patient die Schmerzen präziser lokalisieren und berichtet über Gelenkschwellungen und möglicherweise Gelenkblockaden. Der Arzt sollte ebenfalls vorbestehende Knorpelschäden im Kniegelenk und bereits erfolgte Therapien oder Knieoperationen abklären.
Die körperliche Untersuchung
Schon die Inspektion (Betrachtung) des Knies liefert dem behandelnden Facharzt viele medizinische Informationen. Bei der klinischen Untersuchung kann ihm ein verändertes Gangbild und Fehlstellungen der Beinachse auffallen. Möglicherweise ist eine Muskelatrophie (Muskelschwund) der Beinmuskulatur sichtbar, verursacht durch starke Schonung des betroffenen Beines. Einen lokalen Druckschmerz und einen Gelenkerguss kann der Facharzt durch die Palpation (Abtasten) des Knies erfassen. Außerdem werden eventuelle Instabilitäten des Gelenks sowie Einschränkungen des Bewegungsumfangs bei der Bewegung des Knies durch den behandelnden Arzt beurteilt.
Apparative bildgebende Diagnostik: Röntgen
Die Röntgenaufnahme des Knies zeigt den Knochendefekt nach Ablösung des Dissekats. © Gelenk-Klinik
Das betroffene Kniegelenk wird in 2 Ebenen geröntgt. Dabei werden eine a.-p. Aufnahme (anterior-posterior, d. h. der Strahlengang verläuft von von vorne nach hinten durch das Kniegelenk) und eine seitliche Aufnahme des Kniegelenks angefertigt. Das Röntgen sollte unter Belastung des Gelenkes erfolgen, das heißt der Patient steht bei den Aufnahmen. Erst bei fortgeschrittenem Knochensterben (Nekrose) wird Osteochondrosis dissecans im Röntgenbild sichtbar. Dennoch ist eine indirekte Beurteilung des Knorpels im Kniegelenk möglich. Ist der sichtbare Gelenkspalt im Kniegelenk bei der Aufnahme im Stehen eingeengt, deutet dies indirekt auf eine abnehmende Festigkeit und Menge des vorhanden Knorpels hin. Die Röntgenaufnahmen können auch eine bestehende Achsfehlstellungen der Beine darstellen.
Magnetresonanztomographie (MRT)
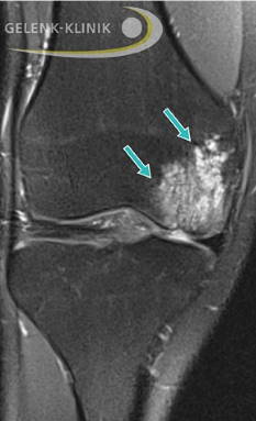
MRT-Darstellung Knie: Die Osteochondrosis dissecans wird von einem ausgeprägten Knochenmarködem begleitet. © Gelenk-Klinik
Für die exakte Diagnose einer Osteochondrosis dissecans ist die Magnetresonanztomographie (MRT) am besten geeignet. Durch diese Untersuchung bestimmt der Arzt die Größe des erkrankten Knorpel-Knochen-Fragments.
Die MRT erfasst präzise den Status des Gelenkknorpels. Ein Ödem des subchondralen Knochens, freie Gelenkkörper oder ein Gelenkerguss werden gut dargestellt. Durch die MRT-Aufnahmen kann der Facharzt die Stabilität oder Instabilität der Osteochondrosis dissecans beurteilen.
Die MRT bietet eine exakte Einschätzung des OD-Stadiums vergleichbar mit den Ergebnissen einer Kniespiegelung (Arthroskopie). Die Untersuchungsergebnisse geben dem Facharzt wichtige Hinweise für die Prognose der vorliegenden OD. Die MRT-Befunde sind entscheidend für die Wahl der Therapie. Außerdem ermöglicht die MRT dem behandelnden Arzt, den Heilungsprozess der OD zu überwachen.
Computertomographie (CT) und SPECT-Untersuchung (Single Photon Emission Computed Tomography)
In wenigen Fällen hilft eine CT, um Größe und Lage des Knochendefektes genau zu bestimmen. Durch die Schnittbildführung können auch Hohlräume innerhalb des Knochens genau abgebildet werden. Eine SPECT bestimmt die Stoffwechselaktivität der Knochenläsion und kann zusätzliche Informationen über die Vitalität des betroffenen Gewebes geben.
Therapie: Wie behandelt der Arzt Osteochondrosis dissecans am Kniegelenk?
Die Behandlung der Osteochondrosis dissecans richtet sich im Wesentlichen nach dem Krankheitsstadium und dem Alter der Patienten. Je jünger die Patienten mit OD sind, umso besser sind die Heilungschancen. Der zeitliche Verlauf der Krankheit ist individuell unterschiedlich. Die OD kann in einem Stadium sistieren oder sogar spontan ausheilen.
Vor Verschluss der knöchernen Wachstumsfugen kann der kindliche Knorpel von allein regenerieren. Ist die Knochenläsion noch stabil, empfiehlt der behandelnde Arzt dem jungen Patienten eine konservative Therapie. Die spontane Knorpelregeneration ist nach der Pubertät nicht mehr möglich. Um das Fortschreiten der OD und bleibende Schäden am Kniegelenk zu vermeiden, werden unsere Gelenkspezialisten der Gelenk-Klinik Sie über die operativen Therapiemöglichkeiten beraten.
Konservative Therapie
Konservative Therapiemaßnahmen:
- Entlastung des Kniegelenks (entscheidend für den Krankheitsverlauf)
- Pausieren der sportlichen Aktivität
- Unterarmgehstützen bis zu 6 Wochen
- Schmerztherapie mit NSAR (z. B. Ibuprofen)
- Physiotherapie nach Abklingen der Schmerzen zur Stabilisierung des Kniegelenks
Die konservative Therapie ist vor allem erfolgversprechend, wenn die Wachstumsfugen des betroffenen Patienten noch nicht geschlossen sind (juvenile OD) und die Erkrankung in einem frühen Stadium diagnostiziert wird. In diesem Alter kann sich der Knorpel von allein regenerieren. Außerdem muss die OD stabil sein, das heißt, das Knorpel-Knochen-Fragment darf sich noch nicht gelöst haben.
Die Entlastung des betroffenen Knies ist bei der konservativen Therapie die entscheidende Maßnahme. Das Kniegelenk muss für einige Wochen konsequent geschont und entlastet werden. Der Patient muss während dieses Zeitraums Unterarmgehstützen benutzen. Dann wird die Druckbelastung im Kniegelenk vermindert und der betroffenen Kniebereich wird besser durchblutet. So kann eine natürliche Regeneration von Knorpel und Knochen erfolgen.
Der Patient darf in dieser Phase vor allem keine Sportarten mit rasanten Abstoppbewegungen, abrupten Richtungswechseln und Rotationsbewegungen im Kniegelenk wie zum Beispiel Fußball, Tennis oder Badminton ausüben. Um den Heilungsprozess zu unterstützen, wird Ihnen Ihr behandelnder Arzt zusätzliche Maßnahmen empfehlen. Schmerzen, aber auch Schwellungen und entzündliche Veränderungen des Gelenks können mit nichtsteroidalen Antirheumatika (NSAR, z. B. Ibuprofen) behandelt werden.
Ärztliche Verlaufsuntersuchungen und MRT-Kontrollen sind zur Beurteilung des Heilungsprozesses notwendig
Während der konservativen Therapie wird der Patient regelmäßig von seinem behandelnden Arzt untersucht. Wichtig ist insbesondere die Entwicklung der Schmerzsymptomatik. Ist der Patient schmerzfrei, kann er sein Bein im Alltag wieder normal belasten. Eine Physiotherapie in den folgenden Wochen ist sinnvoll, um die Beweglichkeit und den Muskelaufbau zur Stabilisierung des Kniegelenks zu gewährleisten.
Das Einheilen des Knorpel-Knochen-Fragmentes beurteilt der Gelenkspezialist durch eine MRT. Wurde der Heilungsprozess auch durch die Bildgebung gesichert, kann der Patient langsam wieder mit Sport beginnen. Zu Beginn eignen sich besonders gelenkschonende Sportarten wie Schwimmen und Radfahren. Wenn die Beschwerden trotz Ruhigstellung des betroffenen Knies anhalten, wird der Gelenkspezialist operative Maßnahmen mit Ihnen besprechen. Auch bei bereits fortgeschrittenen Stadien der OD ist eine konservative Behandlung selten erfolgreich.
Operative Therapie
Hat sich das Osteochondrosis-dissecans-Fragment erst gelöst, kann es fast nur mit operativen Maßnahmen behandelt werden. Das losgelöste Dissekat kann den Gelenkknorpel großflächig schädigen. Ziel jeder Therapie der Osteochondrosis dissecans ist das Aufrechterhalten einer glatten, gesunden Knorpeloberfläche im Gelenk. Es kommen unterschiedliche operative Verfahren infrage, welche sich nach dem Ausmaß des Knorpeldefekts und dem Zustand des darunterliegenden Knochens richten.
Um sich einen Überblick über die Knorpelverhältnisse zu verschaffen, führt der Gelenkspezialist eine Arthroskopie (Gelenkspiegelung) durch und entscheidet, welche Therapieform geeignet ist. Das jeweilige Verfahren wird üblicherweise sofort während der Arthroskopie durchgeführt. Es stehen folgende operative Maßnahmen zur Verfügung:
Retrograde Anbohrung
Das Anbohren soll die Einheilung des erkrankten Knorpel-Knochen-Fragments in den gesunden Knochen bewirken. Die OD muss für dieses Verfahren noch stabil sein mit intakter Knorpeloberfläche. Die Anbohrung erfolgt von außen bis knapp unter die Knorpel-Knochen-Grenze (retrograd), ohne den Knorpel zu verletzen. Die Anbohrung mit gezielter Verletzung des Knochens kann eine Heilungsreaktion im Knochen erzeugen, die das Einwachsen von Blutgefäßen in die Nekrosezone provoziert.
Refixation des abgelösten Dissekats
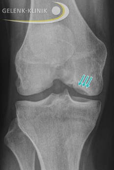
Die Röntgenaufnahme des Knies zeigt die Refixation eines abgelösten Knorpel-Knochen-Fragments. Dies kann mittels Titanschrauben (wie dargestellt) oder resorbierbarer Schrauben erfolgen. © Gelenk-Klinik
Das abgelöste Knorpel-Knochen-Fragment kann durch Schrauben oder Stifte wieder in seinem Bett befestigt werden. Dafür muss der Knorpelüberzug des Dissekats noch intakt sein. Das gelöste OD-Fragment befindet sich noch in seiner ursprünglichen Position. Zur Fixierung nutzt der Orthopäde bioresorbierbare oder metallische Materialien. Ergänzend kann eine Anfrischung des Knochens notwendig sein, um die Einheilung zu verbessern. Die Ergebnisse sind häufig gut.
Mikrofrakturierung
Bei der Mikrofrakturierung werden von oben kleine Löcher in die Knochenoberfläche gebohrt, damit es in die defekte Knorpelregion einblutet. Diese absichtliche Verletzung provoziert eine Heilungsreaktion des Knorpels.
Bestimmte Blutzellen können sich in verschiedene Gewebe umwandeln. An der Stelle der Einblutung bildet sich ein bindegewebiger Ersatzknorpel. Der Knorpel in der Umgebung der Schadstelle sollte intakt sein. Je größer die Schadfläche, umso geringer sind die Aussichten einer Behandlung durch die Mikrofrakturierung.
Generell eignet sich die Mikrofrakturierung eher zur Behandlung von kleineren reinen Knorpeldefekten, weniger zur Behandlung von Knorpel- und Knochendefekten.
Autologe Knorpelzelltransplantation (autologe Chondrozytentransplantation, ACT) mit Spongiosaplastik
Bei der autologen Chondrozytentransplantation verwendet man körpereigene Knorpelzellen des Patienten, um die Knorpeldefekte der Gelenkfläche aufzufüllen. Knorpelzellen wachsen im Körper nicht von selbst nach, können aber nach der Entnahme unter Laborbedingungen gezüchtet werden. In der orthopädischen Gelenk-Klinik setzen wir dieses Verfahren seit mehreren Jahren erfolgreich ein. Es eignet sich auch für größere durch Osteochondrosis dissecans verursachte Defekte. Voraussetzung ist, dass die gegenüberliegende Knorpelfläche noch intakt ist.
Die autologe Knorpelzelltransplantation erfolgt in zwei Schritten. Minimalinvasiv entnimmt der Arzt Knorpelzellen durch eine Arthroskopie aus einem wenig belasteten Gelenkbereich des Patienten. Diese Probe hat nur die Größe eine Korns, um das Gelenk nicht noch weiter zu schädigen.
Die enthaltenen Knorpelzellen werden im Labor in einem Zeitraum von 3–4 Wochen um das Vieltausendfache vermehrt. Die neu entstehenden Knorpelzellen haften aneinander und verhalten sich wie natürliche Knorpelzellen. Nach 4–6 Wochen erfolgt die zweite minimalinvasive Operation, um dem Patienten das gezüchtete Knorpelzelltransplantat zurückzugeben.
Zunächst entfernt der Spezialist die geschädigten Teile des Knorpels. Im Anschluss setzt er an dieser Stelle die gezüchteten Knorpelzellen ein. Sie haften nach wenigen Minuten am Untergrund. Bei diesem Eingriff wird wenn nötig auch das abgestorbene Knochenareal unterhalb des Knorpels mit behandelt. Eine Verpflanzung von körpereigenem Knochengewebe (Spongiosaplastik), meist aus dem Beckenkamm, frischt die abgestorbene Zone wieder auf. Das eingesetzte Knochengewebe wächst mit der umliegenden Spongiosa zusammen, verknöchert und bildet somit eine stabile Grundlage für das Knorpelregenerat.
Autologe matrixinduzierte Chondrogenese (AMIC)
Die AMIC-Technik bildet durch Einlage einer zellfreien Matrix neues Knorpelgewebe im ehemaligen Defektbereich der Osteochondrosis dissecans. Dieses Verfahren kann die Mikrofrakturierung oder eine Spongiosaplastik (Auffüllen von Knochendefekten mit Bälkchenknochen) ergänzen.
Nach Präparation des defekten Knochenareals wird die zellfreie Membran mit mehrschichtigem Aufbau in den Defekt eingebracht. Besteht ein relevanter Knochendefekt, wird dieser vorher mit körpereigenem Knochen aufgefüllt, die Membran deckt diesen dann zum Gelenk hin ab. Durch Einblutung aus dem Knochenmark wandern Stammzellen und Wachstumsfaktoren in das Areal ein und heften sich an die Membran. Dadurch bildet sich nach einiger Zeit ein körpereigenes Knorpelregenerat. Die Membran wird im Verlauf resorbiert.
Knorpelknochentransplantation (osteochondrale autologe Transplantation, OATS)
Bei der Knorpelknochentransplantation entnimmt der Gelenkspezialist einen Knorpel-Knochen-Zylinder aus einem wenig belasteten Bereich im Kniegelenk des Patienten. Diesen Zylinder passt er in den bestehenden Osteochondrosis-dissecans-Defekt ein. Das Verfahren ist limitiert – nicht viele und nicht zu große Zylinder dürfen aus dem gesunden Bereich entnommen werden. Ansonsten entsteht an dieser Stelle ebenfalls ein Gelenkschaden.
Nach der Behandlung mit einem OATS-Zylinder zeigt sich der Knorpel intakt und die Gelenkfläche wiederhergestellt. Der Knochen ist ebenso abgeheilt, das Ödem kaum noch nachweisbar. © Gelenk-Klinik
Außerdem ist die Transplantation technisch anspruchsvoll – der Spezialist muss den Zylinder exakt an die umliegende Knorpeloberfläche anpassen, damit keine Unebenheiten entstehen. Dieses Verfahren eignet sich besonders für kleinere Defektbereiche, welche mit 1–2 Zylindern behandelt werden können. Ein großer Vorteil ist die Versorgung des OD-Defekts im Kniegelenk durch körpereigenen funktionellen Knorpel. Das Knie ist nach dem Eingriff schnell wieder belastbar.
Knorpelchips (minced Cartilage)
Bei der minced Cartilage (“gehackter Knorpel”) gewinnt der Operateur durch eine Arthroskopie gesunden Knorpel aus dem Randbereich des Knorpelschadens und zerschneidet ihn in kleine Stücke. Diese sogenannten Knorpelchips werden direkt in den OD-Defekt eingesetzt. Die eingebrachten Knorpelzellen sind aktiv und bilden mit der Zeit neue Zellen, die den Defekt auffüllen und die Eigenschaften des Gelenkknorpels besitzen. Anders als bei der Knorpelzelltransplantation (ACT) ist bei dieser Technik nur eine Operation notwendig. Allerdings handelt es sich hierbei um eine relativ neue Methode. Langzeitergebnisse liegen noch nicht vor.
Welches dieser Verfahren für den OD-Patienten geeignet ist, entscheidet der behandelnde Arzt anhand des Krankheitsstadiums und möglicher Begleiterkrankungen. Das Behandlungskonzept wird durch die Gelenkspezialisten der Gelenk-Klinik anhand dieser Kriterien für jeden Patienten individuell erstellt.
Wichtig: Begleiterkrankungen am Knie müssen mitbehandelt werden
Um einen langfristigen Erfolg bei der Therapie von Osteochondrosis dissecans zu erzielen, müssen Begleiterkrankungen des Kniegelenks zwingend erkannt und mitbehandelt werden.
Akute Rupturen oder chronische Instabilitäten des Bandapparates am Knie können Knorpelschäden an der Gelenkfläche verursachen. Am häufigsten ist das vordere Kreuzband betroffen. Das betroffene Kniegelenk wird durch den instabilen Bandapparat während der Bewegung nicht mehr optimal gestützt und der Gelenkknorpel wird stärker belastet. In diesen Fällen sollte eine Gelenkinstabilität bei OD durch eine Bandplastik (z. B. Kreuzbandplastik) beseitigt werden.
Ebenso führen Achsfehlstellungen des Beines zu einer Fehlbelastung des Kniegelenkes und können eine OD aulösen. Achsveränderungen des Beines sind nicht immer angeboren, sondern entstehen auch als Folge von Unfällen. Die häufigsten angeborenen Fehlstellungen sind das O-Bein (Genu varum) und das X-Bein (Genu valgum). Eine Umstellungsosteotomie (Achskorrektur) korrigiert die Beinachse des Patienten und beseitigt die Fehlbelastung des betroffenen Kniegelenkes. Das betroffene Bein wird dazu nahe an die normale Beinachse ausgerichtet.
Durch einen Meniskusriss verliert der Meniskus seine Eigenschaften als Stoßdämpfer im Kniegelenk. Die halbmondförmigen Innen- und Außenmenisken dienen als mechanischer Schutz zwischen den Gleitflächen von Ober- und Unterschenkel. Bei einem Meniskusschaden erhöht sich der Druck auf den Gelenkknorpel massiv. Vor allem Instabilitäten oder Einrisse des Vorderhorns am Innenmeniskus scheinen eine OD zu verursachen. Wird ein Meniskusriss im Rahmen einer OD diagnostiziert, sollte dieser meniskuserhaltend genäht werden. Ist der Meniskus zu stark geschädigt, sollte der behandelnde Arzt auch die Möglichkeit der Transplantation eines Spendermeniskus erwägen.
Spezialartikel zu Meniskus-Operationen
Nachbehandlung der Osteochondrosis dissecans nach operativer Therapie
Nach der operativen Behandlung sollte der Patient das Kniegelenk für mehrere Wochen entlasten. Nur so kann der Knorpel optimal heilen, unabhängig vom gewählten operativen Verfahren. MRT-Verlaufskontrollen sind während des Heilungsprozesses wichtig, um den Erfolg der Operation zu beurteilen.
Der Patient kann Unterarmgehstützen zur Entlastung verwenden, damit die Knorpelfläche die nötige Zeit zur Regeneration hat. Gleichzeitig ist auf eine ausreichende Bewegung des Kniegelenks zu achten, damit die Durchblutung angeregt wird. Spezielle Bewegungsschienen und Physiotherapie unterstützen die Heilung.
Nach ca. sechs Wochen sollte der Patient mit einer Teilbelastung beginnen. Nach maximal drei Monaten hat sich die Knorpelfläche so weit regeneriert, um das Körpergewicht des Patienten wieder zu tragen. Ab wann die sportliche Aktivität wieder aufgenommen werden kann, ist abhängig vom Stadium der OD und dem Genesungsverlauf. Ihr behandelnder Arzt wird Sie dazu individuell beraten.
Prognose: Vorsicht, eine fortgeschrittene Osteochondrosis dissecans begünstigt eine frühe Arthrose am Kniegelenk
Die Prognose der Osteochondrosis dissecans richtet sich nach dem Alter der Patienten, dem Stadium, in dem die Erkrankung erkannt wird und nach der Größe des erkrankten Knorpel-Knochen-Areals. Allgemein gilt, je jünger die Patienten sind und je früher die OD erkannt wird, desto besser sind die Heilungschancen.
Bei jüngeren Kindern hat die Erkrankung bei noch intakter Gelenkfläche ein hohes Potential zur Regeneration. Die juvenile OD kann durch natürliches Knochenwachstum vollständig von selbst ausheilen. Die Fähigkeit zur Selbstheilung der Osteochondrosis dissecans nimmt mit zunehmendem Alter ab. Bei einer adulten OD löst sich das erkrankte Knorpel-Knochen-Fragment schneller ab und wandert in den Gelenkraum. Die intakte Gelenkfläche des Knies wird dadurch zerstört. Unbehandelt verschleißt der verletzte Gelenkknorpel vorzeitig und eine Kniearthrose ist die Folge. Die Osteochondrosis dissecans wird medizinisch auch als Präarthrose (Gelenkveränderung, die zur Arthrose führt) bezeichnet.
Häufig gestellte Fragen zur Osteochondrosis dissecans an PD Dr. med. habil. Bastian Marquaß von der Gelenk-Klinik
Was ist Osteochondrosis dissecans?
Die Osteochondrosis dissecans ist eine herdförmige Knochenerkrankung direkt unterhalb des Gelenkknorpels. Im Krankheitsverlauf kommt es zur Mitbeteiligung des darüberliegenden Knorpels. Im fortgeschrittenen Stadium löst sich das abgestorbene Knorpel-Knochen-Fragment aus der Gelenkfläche und kann sich als Fremdkörper frei im Gelenk bewegen. Dies schädigt die Gelenkfläche und kann einen viel zu frühen Gelenkverschleiß (Arthrose) verursachen.
Was ist eine Gelenkmaus?
Eine Gelenkmaus ist ein frei bewegliches Knorpel-Knochen-Fragment innerhalb eines Gelenks. Man nennt es auch Dissekat oder freien Gelenkkörper (engl. „Loose Body“). Die Gelenkmaus bildet sich bei fortgeschrittener Osteochondrosis dissecans, wenn das erkrankte Knorpel-Knochen-Fragment von der intakten Umgebung der Gelenkfläche abgestoßen wird. Diese Gelenkmaus kann schmerzhafte Einklemmungen und Gelenkblockaden verursachen. Das ehemalige Lager der Gelenkmaus bezeichnet man auch als “Mausbett”. Die Zerstörung der intakten Kniegelenkfläche durch den freien Gelenkkörper und das freie Lager kann einen vorzeitigen Gelenkverschleiß auslösen.
Was ist ein osteochondraler Defekt?
Ein osteochondraler Defekt (osteochondrale Läsion) ist eine Verletzung des Gelenkknorpels und dem direkt darunter befindlichen Knochen. Hierzu zählt die Osteochondrosis dissecans.
Was ist ein Dissekat?
Ein Dissekat ist ein frei bewegliches Knorpel-Knochen-Fragment innerhalb eines Gelenks. Man nennt es auch Gelenkmaus oder freien Gelenkkörper (engl. „Loose Body“). Dieses Fragment kann die normale Beweglichkeit des Gelenks – je nach Größe – einschränken und Schmerzen verursachen. Ein Dissekat kann im Krankheitsverlauf der Osteochondrosis dissecans auftreten. In einer arthroskopischen Operation entfernt der Operateur das Dissekat, um die normale Gelenkfunktion wiederherzustellen.
Wie entsteht Osteochondrosis dissecans?
Bisher konnte die Ursache für das Auftreten einer Osteochondrosis dissecans nicht vollständig geklärt werden. Mediziner nehmen an, dass eine lokale Minderdurchblutung des Knochens unter dem Gelenkknorpel die Erkrankung auslöst. Sportlich aktive Kinder und Jugendliche sind überdurchschnittlich häufig von Osteochondrosis dissecans betroffen. Vor allem wiederkehrende mechanische Belastungen beim Sport scheinen die Durchblutung des Gelenkknochens zu stören. Ebenso kann ein stattgehabter Unfall diese lokale Durchblutungsstörungen verursachen. Wird der Knochenbezirk in Folge nicht mehr ausreichend ernährt, kommt es zur Knochennekrose.
Am häufigsten tritt Osteochondrosis dissecans im Kniegelenk auf. Seltener sind andere Gelenke wie das Sprunggelenk, das Ellenbogengelenk oder das Hüftgelenk betroffen.
Wie lange ist man krankgeschrieben bei Osteochondrosis dissecans?
Diese Frage können wir nicht allgemeingültig beantworten. Die Entlastung des betroffenen Knies ist bei konservativer oder operativer Therapie die entscheidende Maßnahme. Das Kniegelenk muss für einige Wochen konsequent geschont werden. Der Patient kann Unterarmgehstützen zur Entlastung verwenden, damit die Knorpelfläche die nötige Zeit zur Regeneration hat. Körperlich anstrengende Berufe oder stehende Tätigkeiten dürfen Sie in diesen Wochen nicht ausüben. Auch vom Schulsport müssen Sie befreit werden. Berufe oder die Teilnahme am Unterricht, bei denen Sie das betroffene Knie konsequent entlasten können, sind während der Heilungsphase möglich. Ihr behandelnder Arzt wird Sie wegen einer Krankschreibung individuell beraten.
Ist Osteochondrosis dissecans heilbar?
Die Heilungschancen der Osteochondrosis dissecans richten sich nach dem Alter der Patienten und dem Stadium, in dem die Erkrankung erkannt wird. Allgemein gilt, je jünger die Patienten sind und je früher die Erkrankung erkannt wird, desto besser ist die Prognose.
Bei jüngeren Kindern kann die Osteochondrosis dissecans durch natürliches Knochenwachstum vollständig von selbst ausheilen. Die Fähigkeit zur Selbstheilung der Osteochondrosis dissecans nimmt mit zunehmendem Alter ab. Unbehandelt verschleißt der Gelenkknorpel vorzeitig und eine frühe Kniearthrose ist die Folge.
Was tun bei Osteochondrosis dissecans?
Wurde bei Ihnen Osteochondrosis dissecans festgestellt, sollte Ihre Behandlung durch einen orthopädischen Facharzt erfolgen. Die Heilungschancen der Erkrankung richten sich unter anderem nach dem Stadium, in dem die Osteochondrosis dissecans erkannt und behandelt wird. Der Gelenkspezialist verfügt über die speziellen Kenntnisse, die Erkrankung frühzeitig zu diagnostizieren und mit Ihnen die notwendige Therapie zu planen.
Wann darf ich wieder Sport machen nach Osteochondrosis dissecans?
Ab wann Sie Ihre sportliche Aktivität wieder aufnehmen können, ist abhängig vom Krankheitsstadium der Osteochondrosis dissecans und dem Genesungsverlauf. Über mehrere Wochen muss das betroffene Knie konsequent geschont und entlastet werden, damit der Gelenkknorpel regenerieren kann. Dies ist unabhängig von der Therapiemaßnahme.
Dürfen Sie sich nach Absprache mit Ihrem Arzt wieder sportlich betätigen, eignen sich zu Beginn besonders gelenkschonende Sportarten wie Schwimmen und Radfahren. Sportarten mit rasanten Abstoppbewegungen, abrupten Richtungswechseln und Rotationsbewegungen im Kniegelenk wie zum Beispiel Fußball, Tennis oder Badminton belasten die Kniegelenke stark und sollten nur nach vollständiger Abheilung der Osteochondrosis dissecans wieder ausgeführt werden. Ihr behandelnder Gelenkspezialist wird Sie dazu individuell beraten.
Welche Medikamente helfen bei Osteochondrosis dissecans?
Eine medikamentöse Therapie gegen Osteochondrosis dissecans gibt es leider nicht. Um die Schmerzen zu lindern und den Heilungsprozess zu unterstützen, empfehlen Ihnen die Orthopäden der Gelenk-Klinik schmerzstillende Medikamente, deren Dosierung individuell an Ihre Symptomatik angepasst wird. Schmerzen, aber auch Schwellungen und entzündliche Veränderungen des Gelenks können mit nichtsteroidalen Antirheumatika (NSAR, z. B. Ibuprofen) behandelt werden.
Welche Erfahrungen haben die Spezialisten der Gelenk-Klinik mit der Osteochondrosis dissecans?
Ein hoher Spezialisierungsgrad, Kenntnisse über den aktuellen Stand der medizinischen Wissenschaft und jahrelange Berufserfahrung zeichnen die Fachärzte der Gelenk-Klinik aus. Prof. Dr. med. Sven Ostermeier und PD Dr. med. Bastian Marquaß sind die anerkannten Spezialisten für den orthopädischen Fachbereich Knie. Beide verfügen über langjährige Erfahrungen in der Diagnostik und der konservativen sowie operativen Behandlung von Knieerkrankungen. Patienten mit Osteochondrosis dissecans werden durch uns regelmäßig betreut.
Literaturangaben
- Bachmann, G., Jürgensen, I., Rominger, M., & Rau, W. S. (1999). Die Bedeutung der Magnetresonanztomographie für die Verlaufskontrolle der Osteochondrosis dissecans am Knie-und Sprunggelenk. RöFo-Fortschritte auf dem Gebiet der Röntgenstrahlen und der bildgebenden Verfahren, 171(2/5), 372–379).
- Berrsche, G., & Schmitt, H. (2015). Osteochondrosis dissecans am Kniegelenk. German Journal of Sports Medicine/Deutsche Zeitschrift für Sportmedizin, 66(10).
- Berrsche, G., Engelleiter, K., & Schmitt, H. (2014). Osteochondrale Läsionen als Folge einer operativen Versorgung von traumatischen und kongenitalen Meniskusschäden im Kindes-und Jugendalter. Sports Orthopaedics and Traumatology Sport-Orthopädie-Sport-Traumatologie, 30(4), 346–351.
- Cahill, B. R. (1995). Osteochondritis dissecans of the knee: treatment of juvenile and adult forms. JAAOS-Journal of the American Academy of Orthopaedic Surgeons, 3(4), 237–247.
- Hefti, F., Beguiristain, J., Krauspe, R., Möller-Madsen, B., Riccio, V., Tschauner, C., ... & Zeller, R. (1999). Osteochondritis dissecans: a multicenter study of the European Pediatric Orthopedic Society. Journal of pediatric orthopedics. Part B, 8(4), 231–245.
- Jacobi, M., Wahl, P., Bouaicha, S., Jakob, R. P., & Gautier, E. (2010). Association between mechanical axis of the leg and osteochondritis dissecans of the knee: radiographic study on 103 knees. The American journal of sports medicine, 38(7), 1425–1428.
- Jung, J., & Kohn, D. (2009). Osteochondrosis dissecans im Kindesalter. Arthroskopie, 22(1), 21–26.
- Kessler, J. I., Nikizad, H., Shea, K. G., Jacobs Jr, J. C., Bebchuk, J. D., & Weiss, J. M. (2014). The demographics and epidemiology of osteochondritis dissecans of the knee in children and adolescents. The American journal of sports medicine, 42(2), 320–326.
- Kijowski, R., Blankenbaker, D. G., Shinki, K., Fine, J. P., Graf, B. K., & De Smet, A. A. (2008). Juvenile versus adult osteochondritis dissecans of the knee: appropriate MR imaging criteria for instability. Radiology, 248(2), 571–578.
- Kraeutler, M. J., Belk, J. W., Purcell, J. M., & McCarty, E. C. (2018). Microfracture versus autologous chondrocyte implantation for articular cartilage lesions in the knee: a systematic review of 5-year outcomes. The American journal of sports medicine, 46(4), 995–999.
- Kramer, J., Stiglbauer, R., Engel, A., Prayer, L., & Imhof, H. (1992). MR contrast arthrography (MRA) in osteochondrosis dissecans. Journal of computer assisted tomography, 16(2), 254–260.
- Kutscha-Lissberg, F., Singer, P., Vécsei, V., & Marlovits, S. (2004). Osteochondritis dissecans des Kniegelenks. Der Radiologe, 44(8), 783–788.
- Masquijo, J., & Kothari, A. (2019). Juvenile osteochondritis dissecans (JOCD) of the knee: current concepts review. EFORT open reviews, 4(5), 201–212.
- Massen, F. K., Inauen, C. R., Harder, L. P., Runer, A., Preiss, S., & Salzmann, G. M. (2019). One-step autologous minced cartilage procedure for the treatment of knee joint chondral and osteochondral lesions: a series of 27 patients with 2-year follow-up. Orthopaedic journal of sports medicine, 7(6), 2325967119853773.
- Pascual-Garrido, C., Tanoira, I., Muscolo, D. L., Ayerza, M. A., & Makino, A. (2010). Viability of loose body fragments in osteochondritis dissecans of the knee. A series of cases. International orthopaedics, 34(6), 827–831.
- Petrie, P. W. (1977). Aetiology of osteochondritis dissecans. Failure to establish a familial background. The Journal of bone and joint surgery. British volume, 59(3), 366–367.
- Quatman, C. E., Quatman-Yates, C. C., Schmitt, L. C., & Paterno, M. V. (2012). The clinical utility and diagnostic performance of MRI for identification and classification of knee osteochondritis dissecans. The Journal of Bone and Joint Surgery. American volume, 94(11), 1036.
- Schrock, J. B., Kraeutler, M. J., Houck, D. A., McQueen, M. B., & McCarty, E. C. (2017). A cost-effectiveness analysis of surgical treatment modalities for chondral lesions of the knee: microfracture, osteochondral autograft transplantation, and autologous chondrocyte implantation. Orthopaedic journal of sports medicine, 5(5), 2325967117704634.
- Vaishya, R., Kansagra, A., Vijay, V., Vaish, A., & Agarwal, A. K. (2019). Management of loose osteochondritis dissecans in an adolescent. Journal of clinical orthopaedics and trauma, 10(6), 1121–1127.
