- Was ist eine Revision der Hüftprothese und wann wird sie erforderlich?
- Was sind die Anzeichen für eine Lockerung der künstlichen Hüfte?
- Warum kann sich eine Hüftprothese lockern?
- Diagnose: Untersuchungen von Prothesenbeschwerden
- Hüftrevision: Herausforderungen und verwendete Materialien
- Prognose und mögliche Komplikationen nach Revision der Hüftprothese
- Häufige Patientenfragen zur Hüftprothesenrevision an Dr. Martin Rinio von der Gelenk-Klinik

Hüftprothesen werden zwar immer robuster und die verwendeten Materialien immer leistungsfähiger, trotzdem halten sie nicht ewig. Im Jahr 2020 wurden in Deutschland etwa 19.000 Wechseloperationen (Revisionen) von Hüftprothesen durchgeführt. Die häufigsten Gründe für eine Wechseloperation waren eine aseptische Lockerung, Luxationen, Protheseninfektionen und periprothetische Brüche (Frakturen). Orthopädische Hüftspezialisten können entweder einzelne Komponenten der Hüftprothese ersetzen oder einen vollständigen Austausch vornehmen.
Was ist eine Revision der Hüftprothese und wann wird sie erforderlich?
Bei einer Revision der Hüftprothese handelt es sich um einen operativen Eingriff, bei dem eine bereits eingesetzte künstliche Hüfte oder einzelne Teile davon ausgetauscht werden. Dieser Wechsel wird erforderlich, wenn die vorhandene Prothese ihre Funktion nicht mehr erfüllt. Das kann verschiedene Ursachen haben:
Die Komponenten einer klassischen Geradschaftprothese: Prothesenschaft, Prothesenkopf, Pfanneninlay aus Polyethylen und Hüftpfanne. © Implantcast
- aseptische (infektionsfreie) Lockerung der Prothese
- septische Lockerung (Infektion)
- Verschleiß der Gelenkflächen
- periprothetische Fraktur (Knochenbruch im Bereich der Prothese)
- Auskugeln der Prothese (Luxation)
- sehr selten Materialunverträglichkeit
2020 wurden in Deutschland etwa 228.000 Hüftprothesen als Erstimplantationen durchgeführt. Diesen standen etwa 19.000 Prothesenwechsel entgegen. Insgesamt geht man davon aus, dass etwa 10% der Hüftprothesenimplantationen einer Revision (Wechsel) bedürfen - wobei dieser Prozentsatz seit Jahren relativ konstant ist.
Sowohl die Mehrzahl der Erstimplantationen als auch die Hüftrevisionen konzentrieren sich auf den Lebensabschnitt zwischen 70 bis 85 Jahren. Im Gegensatz zu den Erstimplantationen von Hüftprothesen, bei denen die Frauen überwiegen, haben bei den Revisionen die Männer einen etwas höheren Anteil.
Was sind die Anzeichen für eine Lockerung der künstlichen Hüfte?
Symptome bei Versagen des Prothesenschaftes
Eine beginnende Schaftlockerung kann zu Schmerzen im Oberschenkel beim Gehen und Stehen, also unter Belastung, führen. Vor allem im Frühstadium fühlen sich diese oft dumpf an. Auch Anlaufschmerzen nach dem morgendlichen Aufstehen im Oberschenkel weisen auf eine Prothesenlockerung hin. Diese Schmerzen können bis in die Leiste ausstrahlen.
Eine Ausstrahlung in das Kniegelenk ist ebenfalls möglich. Häufig untersucht der Arzt bei Hüftprothesenlockerung zunächst das Kniegelenk auf Arthrosezeichen, weil der Prothesenschmerz nur als Ausstrahlung aus dem Oberschenkel in das Knie spürbar ist.
Symptome bei Versagen der Gelenkpfanne
- Leistenschmerzen
- Klickgeräusche in der Prothese
- Beinverkürzung
- Luxation oder "beinahe Auskugeln" (Subluxation) der Hüfte
Ein Prothesenverschleiß ist im Frühstadium der Prothesenlockerung nicht spürbar. Lockerungen der Hüftpfanne sind nicht schmerzhaft, sondern verlaufen zunächst relativ symptomfrei. Später, im fortgeschrittenen Stadium, kann die Pfannenlockerung Leistenschmerzen verursachen. Eine Lockerung des Prothesenschaftes bereitet hingegen schnell Schmerzen.
Bei fortgeschrittener Osteolyse im Schaftbereich kann die Hüftprothese auch sintern (einsinken). Der Schaft sinkt dabei tiefer in den Markraum des Oberschenkelknochens. Neben Beinschmerzen ist eine zunehmende Beinlängendifferenz die Folge des Einsinkens.
Bei stärker beschädigter Verankerung treten unter Umständen Geräusche auf, ähnlich wie ein Klicken. Es kann durch die Instabilität zwischen den Gleitflächen der Hüftprothese zur Luxation (Ausrenken) der Hüfte kommen. Metallabrieb von Hüftprothesen – vor allem bei manchen Metall-Metall-Gleitpaarungen – kann neurologische Symptome wie Schwerhörigkeit verursachen und die Nierenfunktion verschlechtern.
Warum kann sich eine Hüftprothese lockern?
Verschiedene Faktoren können für die Lockerung der Hüftprothese aus ihrer Verankerung verantwortlich sein. Dabei kann der im Oberschenkel sitzende Prothesenschaft ebenso betroffen sein wie die Hüftpfanne (Acetabulum). Auch der Zeitpunkt variiert: Bei etwa 10% der Patienten kommt es innerhalb von zwei Jahren nach Implantation dazu (Frühlockerung). Die Mehrzahl der Prothesenlockerungen findet allerdings etwa 10 bis 15 Jahre nach der OP statt. Folgende Auslöser spielen eine Rolle:
- Das Material der Prothese selbst verschleißt ab einer bestimmten Belastungsintensität oder Belastungsdauer (Abrieb der Gleitpaarung).
- Die Verankerung der Hüftprothese kann sich durch Osteolyse (Knochenschwund) im Bereich der Hüftpfanne oder des Prothesenschaftes lockern. Dann entstehen starke Schmerzen im Bereich der Hüftprothese.
- Ein Knochenbruch im Bereich der Prothese (periprothetische Fraktur) kann einen Wechsel der Prothese erzwingen.
- Eine Infektion der Hüftprothese kann zu einer bakteriell bedingten Lockerung führen. Diese schwächt den Knochen rund um die Prothese (infektverursachte Osteolyse). Dann muss die Prothese dringend gewechselt und der infizierte Bereich mit Antibiotika behandelt werden.
- Eine ungünstige Positionierung beim Einbau einer Prothese kann zu einer mechanisch bedingten Lockerung führen und damit die Lebenszeit der Prothese reduzieren. Gründe dafür liegen in der Planung des Rotationszentrums der Hüfte. Ungünstige anatomische Verhältnisse erhöhen diese Gefahren. Eine Lockerung kann z. B. durch eine Hüftdysplasie bedingt sein: Ein sehr steiler Einbauwinkel der Hüftpfanne (Gefahr von Hüftluxationen) oder eine Verschiebung des Drehzentrums sind die Folge.
- Ein hoher Aktivitätsgrad des Patienten und ein nicht prothesengerechtes Verhalten verkürzen die Lebensdauer einer Hüftprothese.
Aseptische Lockerung der Hüftprothese und Prothesenmigration

Der häufigste Grund für eine Lockerung der Hüftprothese ist ein Abrieb der Gleitpaarung. Die daraus resultierende Entzündung führt zur Knochenschwäche. Die Mikropartikel aktivieren Immunzellen in der Gelenkflüssigkeit, die den Knochenabbau (Osteolyse) fördern. Dadurch lockern sich die Gelenkpfanne oder der Prothesenschaft. Eine gelockerte Prothese festigt sich nicht mehr von alleine. Zwischen Prothese und Knochen bildet sich eine Schicht aus Bindegewebe, sodass der umliegende Knochen nicht mehr in die Oberfläche der Prothese einwachsen kann.
Sowohl Plastikabrieb (PET) des Kunststoffpartners der Gleitpaarung als auch Metallabrieb von Metall-Metall-Gleitpaarungen spielen eine Rolle. Bei Gleitpaarungen aus Kunststoff befindet sich das gleitfähige Polyethylen-Inlay als Gleitschicht in der Hüftpfanne (Acetabulum). Die Fresszellen, die die Plastikpartikel aufnehmen, verändern das Milieu der Gelenkflüssigkeit. Sie dringen auch in den Knochen rund um die Prothese ein und beschleunigen dort Demineralisierung und Knochenabbau. Die Tragfähigkeit des Knochens verringert sich durch die Osteolyse deutlich. Diese aseptische Osteolyse ist also ein chronischer Entzündungsvorgang, der nicht durch gefährliche Bakterien, sondern durch anorganische Fremdmoleküle ausgelöst wird.
Die aseptische Lockerung ist – vor allen anderen Gründen – der am weitesten verbreitete Grund für ein Versagen der Prothese. Von einer Frühlockerung spricht man aber nur etwa in den ersten 5 Jahren nach der Implantation einer Hüftprothese.
Diese Faktoren fördern eine aseptische Frühlockerung:
- Höheres Körpergewicht beschleunigt die Prothesenlockerung.
- Bei Männern lockert sich die Prothese häufiger und schneller.
- Je jünger der Patient, umso größer ist die Wahrscheinlichkeit der Prothesenlockerung.
Periprothetische Femurfraktur: Oberschenkelbruch oder Beckenbruch nahe dem Implantat

Periprothetische Frakturen – Knochenbrüche an der Prothese – betreffen meist ältere Patienten und sind Folge von Stürzen. Je älter der Patient, umso wahrscheinlicher wird eine Fraktur der Prothese. Neurologische Begleiterkrankungen können das Risiko zusätzlich steigern. Allerdings können auch gelockerte Prothesenteile ohne Sturz zu Knochenfrakturen (v. a. Stressfrakturen) unter Belastung im Alltag führen. Osteoporose (Knochenschwund) erhöht das Risiko der Prothesenfraktur ebenfalls deutlich.

Die Wahrscheinlichkeit von Prothesenfrakturen ist umso höher, je länger die Erstimplantation zurückliegt. Am häufigsten bricht der Knochen bei einliegender Hüftprothese im Bereich des Femurs (Oberschenkelknochen). Ein solcher Knochenbruch führt zur Instabilität. Die Verankerung der Prothese kann sich lockern, sodass diese ausgetauscht werden muss.

Um einen periprothetischen Bruch zu diagnostizieren, bringt die Anamnese (Erhebung der Krankengeschichte) klare Hinweise auf den Unfallhergang. Der Patient schildert zudem die typischen Symptome einer periprothetischen Fraktur (PPF): Belastungsschmerzen, Ruheschmerzen und Funktionseinschränkungen. Bei der Inspektion kann die Beinachse bereits verändert sein. Im Röntgen erkennt der Arzt oft schon die Frakturlinien und Lysesäume, also die Bereiche, wo in Prothesennähe die Knochendichte bereits vermindert ist. In Einzelfällen ist eine weitergehende Untersuchung der Fraktur mittels Computertomografie (CT) erforderlich.
Was gilt es bei einer Prothesenfraktur zu beachten?
- Lage und Ausmaß des Bruchs
- Instabilität der Prothese
- eventuelle Prothesenmigration (Verschiebung der Prothese)
- Knochenqualität des Patienten
- Funktionseinschränkungen des Gelenks
Eine konservative Therapie kommt bei einem Prothesenbruch fast nie infrage. Es würde zu lange dauern, bis der oft schon betagte Patient nach der Ausheilung der Fraktur wieder mobil wird. Die Wahrscheinlichkeit, dass der Knochen nicht verheilt, sondern sich eine instabile Pseudarthrose (Scheingelenk) in der Bruchstelle bildet, ist bei Prothesenfrakturen sehr hoch. Die Rate der Pseudarthrosen liegt bei über 20 %. Die konservative Therapie wird daher nur erwogen, wenn klare medizinische Kontraindikationen gegen die Operation bestehen.
Ein Prothesenbruch ist meist kein Notfall. Eine Versorgung innerhalb möglichst kurzer Zeit ist für ein gutes Ergebnis dennoch sehr wichtig.
Bei der operativen Behandlung der periprothetischen Fraktur soll aufgrund des meist fortgeschrittenen Alters des Patienten auf jeden Fall eine frühe Mobilisation möglich sein. Wir verfolgen daher das Ziel, durch eine geeignete Technik eine Vollbelastung ab dem Operationstag zu ermöglichen (frühfunktionelle Mobilisation).
Daher versorgen wir periprothetische Knochenbrüche mit winkelstabilen Platten (operative Osteosynthese). Diese weichteilschonenden Platten verbinden die Bruchstellen und stabilisieren sie. Wenn die Prothese bzw. der Prothesenschaft selbst nicht gelockert ist, genügt die Stabilisierung der Bruchstelle durch Platten.
Bei einer Lockerung des Prothesenschaftes wird zusätzlich die Prothese ausgetauscht. Ein solcher Prothesenwechsel muss schnell für Belastbarkeit sorgen und gleichzeitig die Hüftprothese langfristig stabil befestigen.
Hüftprothesenlockerung nach Infektion

Prothesen begünstigen die Ansiedlung von Bakterien. Das liegt daran, dass die Oberflächen von Endoprothesen eine geringere Immunabwehr haben und sich Bakterienfilme dort besonders leicht ansiedeln können.
Frühinfekte entstehen zum Zeitpunkt der Operation durch Keimeintrag. Meistens sind das Keime der Haut, die vom Wundrand in die Wunde gelangen. Die oberflächliche Desinfektion der Haut wirkt nicht in die Tiefe des Gewebes, wo sich ebenfalls Bakterien aufhalten. Der Frühinfekt kann aber auch auf einem bereits vorhandenen Entzündungsherd im Körper des Patienten (z. B. im Gebiss) beruhen. Insgesamt sind Frühinfekte aber sehr selten und durch prophylaktische Antibiotikagabe vor der OP gut kontrollierbar.
Tritt der Protheseninfekt mehr als drei Monate nach der Implantation der Hüftprothese auf, sprechen wir von einem Spätinfekt. Er entsteht durch Streuung über die Blutbahn, z. B. bei Vorliegen eines Eiterherdes im Körper. Ursache kann eine vereiterte Zahnwurzel im Gebiss sein. Daher sollten Prothesenträger bei Infektzeichen (Fieber, Schwitzen) immer zum Arzt gehen und sich antibiotisch behandeln lassen. Bei einer Streuung über die Blutbahn würden sich die Erreger auf der Endoprothese ansammeln. Dies ist für Prothesenträger sehr gefährlich.
Wenn ein Protheseninfekt vorliegt, muss die Hüftprothese gewechselt werden. Dafür baut der Operateur die vorhandene Prothese zunächst aus. An ihre Stelle implantiert er einen antibiotikahaltigen Platzhalter ("Spacer") aus Knochenzement. In einer stationären Behandlung erhält der Patient über einige Tage hinweg Antibiotika. Ist er vollständig vom Infekt befreit, kann die Wechselprothese implantiert werden.
Infekt als Grund für einen sofortigen Prothesenwechsel!

Ein Problem bei Protheseninfekten ist der Übergang auf die umgebenden Weichteile. Das kann eine Abszessbildung und eine Sepsis (Blutvergiftung) verursachen und so zu einem lebensbedrohlichen Zustand werden. Bei einem Spätinfekt muss also ein sofortiger Prothesenwechsel erfolgen und der Infekt saniert werden. Die befallenen Prothesenteile müssen ausgetauscht werden. Manche Bakterien bilden auf den Implantaten einen Film, der auch durch Antibiotika nicht angreifbar ist. Eine Hüftrevision nach Infekt ist daher höchst aufwendig. Zuerst muss die Wunde durch tagelange Behandlung komplett saniert werden, bevor eine Wechselprothese implantiert werden kann. Nur so lässt sich eine erneute Infektion der Prothese verhindern.
Revision nach Fehlplanung einer Hüftprothese

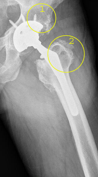
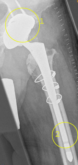
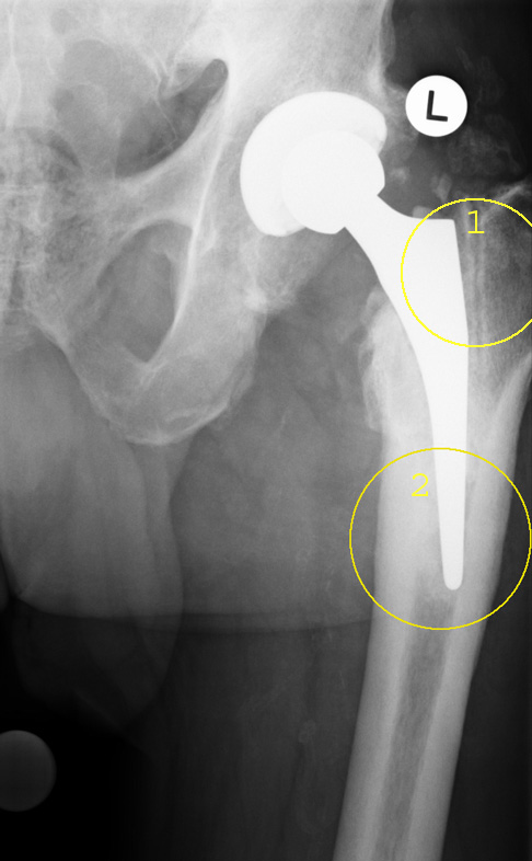
Bei der Prothesenplanung ist es für ein dauerhaft gutes Ergebnis entscheidend, die Pfannengröße und Schaftlänge optimal auf die anatomischen Gegebenheiten des Patienten anzupassen. Das Röntgenbild der Hüftprothese zeigt ein mechanisches Problem, das zu einer frühen Lockerung geführt hat: Die Schaftlänge wurde hier nicht optimal gewählt und der Zementmantel um die Prothese ist nicht ganz gleichmäßig. Der Oberschenkelknochen zeigt in der Höhe des Trochanters, einem seitlichen Knochenvorsprung des Oberschenkelknochens (Markierung 1), eine deutlich verminderte Knochendichte. Die Tragfähigkeit des Femurs (Oberschenkelknochen) ist also bereits vermindert. Der zementierte Prothesenschaft hat sich aufgrund der ungünstigen Geometrie gelockert und ist im Markraum des Oberschenkels verkippt. Eine schmerzhafte Sinterung (Einsinken der Prothese in den Oberschenkel) mit Beinlängenverkürzung ist die Folge. Der Patient konnte ohne Gehhilfe nicht mehr gehen. Seine maximale Gehstrecke war infolge der gelockerten Hüftprothese stark eingeschränkt.

Für die Wechseloperation wurde eine Prothese mit einem einwachsendem Langschaft, der tief im Oberschenkelknochen verankert ist, gewählt. Dies entlastet den geschwächten Trochanter (seitlicher Knochenvorsprung des Oberschenkelknochens). Tiefere Anteile des Oberschenkels beteiligen sich an der Last. Keramischer Ersatzknochen verstärkt die Knochenbildung am Trochanter, damit sich die Knochensubstanz in diesem Bereich wieder regeneriert. Der Patient war nach der Wechseloperation wieder beschwerdefrei.
Diagnose: Untersuchung von Prothesenbeschwerden

Klinische Untersuchung
Die Untersuchung von Prothesenbeschwerden gleicht der allgemeinen Untersuchung von Hüftschmerzen: Zunächst erfragt der Hüftspezialist Qualität, Zeitpunkt, Verlauf und Lokalisierung der Hüft- oder Oberschenkelschmerzen im Rahmen einer Anamnese (Erhebung der Krankengeschichte).
In einer klinischen Untersuchung untersucht der Arzt dann Beweglichkeit und Funktion der Hüfte. Zudem achtet er auf Beinlängenunterschiede, die ein Zeichen für eine Verschiebung oder ein Einsintern der Prothese darstellen. In der klinischen Untersuchung ermittelt der Hüftspezialist Bewegungsblockaden und Einschränkungen.
Bildgebung
Anhand von bildgebenden Verfahren, vor allem Röntgen und Computertomografie (CT), kann der Arzt die Lage der Prothese und die Knochenqualität in der Umgebung beurteilen. Dabei erlaubt das Röntgen nur eine Darstellung aus einer bestimmten Standard-Perspektive. Das CT-Bild liefert zudem eine räumliche Darstellung des Knochens rund um die Hüftprothese. Bei Frakturen (Knochenbrüchen) in der Umgebung ist die CT besonders hilfreich. Eine Skelettszintigrafie gibt konkrete Hinweise auf veränderte Stoffwechselaktivität nach Fraktur oder bei Entzündungen im Knochen.
Labor
Ob eine Entzündung die Ursache der Prothesenlockerung ist, erkennt man im Labor vor allem an erhöhten Entzündungsparametern im Blut (CRP, BSG) oder am Nachweis von Bakterien in der Gelenkflüssigkeit nach Punktion des Hüftgelenks. Manchmal zeigt der Knochen in der Bildgebung jedoch Entzündungszeichen (z. B. lokal geringere Knochendichte in der Umgebung der Prothese), ohne dass das Labor eine Infektion bestätigt. Dann darf der Spezialist nicht zwingend auf die Abwesenheit einer bakteriellen Infektion schließen. Vielmehr ist es erforderlich, z. B. im Rahmen einer Hüftarthroskopie Gewebeproben zu entnehmen, um den Infekt sicher ausschließen zu können. Daher werden auch bei jedem Prothesenwechsel Gewebeproben entnommen und im Labor genau untersucht.
Differentialdiagnose und Abgrenzung
Auch bei Prothesenträgern können eine Vielzahl anderer Ursachen Schmerzen in der Hüfte auslösen. Beispielsweise sind auch Infekte außerhalb des Hüftgelenks, zum Beispiel im Bauchraum, möglich. Auch Rückenschmerzen und Bandscheibenprobleme können in den Hüftbereich ausstrahlen. Deswegen bezieht der Arzt die Lendenwirbelsäule (LWS) und das Iliosakralgelenk (Kreuzbein-Darmbein-Gelenk) mit in die Untersuchung der Hüftschmerzen ein. Knieschmerzen müssen ebenfalls im Kontext der Hüftprothese gesehen werden. Lockerungen des Schaftes der Hüftprothese können oft als Schmerz in das Kniegelenk ausstrahlen. In diesen Fällen entlarvt eine Untersuchung der Prothese häufig die wahre Ursache der scheinbaren Knieschmerzen.
Hüftrevision: Herausforderungen und verwendete Materialien

Eine Hüftrevision stellt im Vergleich zur Erstimplantation eine deutlich größere technische Herausforderung dar. Sie verlangt vom Operateur umfassende Erfahrung, den Einsatz spezieller Prothesen und Instrumente sowie eine genaue Anpassung an die individuellen Gegebenheiten, die während des Eingriffs vorgefunden werden.
So lässt sich eine neue Prothese im Vergleich zur ersten meist deutlich schwerer im Knochen befestigen. Eine Ursache dafür ist die Immunreaktion des Körpers auf den Prothesenabrieb – Metall oder Plastik. Diese kann die Knochensubstanz schwächen und dadurch die Verankerung bei einem Prothesenwechsel erschweren (aseptische Osteolyse). Auch bestimmte Grunderkrankungen, wie z. B. Osteoporose können die Lebensdauer von Hüftprothesen begrenzen oder den Einbau einer Ersatzprothese schwierig gestalten.
Knochensparende Prothesen erleichtern den Wechsel
Bei jüngeren Patienten (unter 60 Jahren) eignen sich besonders knochensparende Oberflächenersatzprothesen (McMinn) oder Kurzschaftprothesen. Da man später im Leben, im Alter von 75–85 Jahren, eine Revision der Hüftprothese nicht ausschließen kann, steht bei diesen Prothesentypen noch die gesamte Knochensubstanz zur Verfügung. In den bereits verbrauchten Knochen muss dann nicht wieder eine zweite Prothese verankert werden. Die Risiken der Hüftrevision sinken durch diese knochensparende Erstoperation stark. Das Risiko eines Prothesenwechsels ist der Grund, warum wir unseren Patienten häufig knochensparende Kurzschaft- oder Oberflächenersatzprothesen anbieten.
Folgende Faktoren wirken sich ungünstig auf einen Hüftprothesenwechsel aus:
- Die Tragfähigkeit des Beckenknochens unter der Gelenkpfanne oder im Markraum des Oberschenkelknochens (Femur) ist durch die vorangegangene Implantation der Prothese vermindert.
- Die Anatomie bzw. Form des Hüftgelenks kann durch Vorerkrankungen, Knochenschwund (Osteoporose) und Voroperationen verändert sein.
- Eine geschwächte Hüftmuskulatur kann zu Luxationen (Ausrenken des Prothesenkopfes) oder Subluxationen (beinahe Ausrenken mit starkem Unsicherheitsgefühl) führen.
- Das Entfernen der alten Prothese aus der knöchernen Verankerung erschwert den Prothesenwechsel. Der Arzt muss dafür den Röhrenknochen im Oberschenkel aufsägen und der Länge nach öffnen.
- Osteoporose kann die Tragfähigkeit des Knochens vermindern.
- Septische (bakterielle) oder aseptische (nichtbakterielle) Osteolyse kann die Knochensubstanz angreifen, sodass man alternative Verankerungsmethoden für die tragenden Prothesenbestandteile finden muss.
- Eine Schwäche des prothesentragenden Knochens kann den Aufbau mit Knochenersatzstoffen (Keramik, metallischer Knochenersatz) erforderlich machen, um eine sichere Verankerung zu erzielen.
- Der Ausbau eines Prothesenschaftes erfordert einen sog. transfemoralen Zugang: Der Arzt muss den Röhrenknochen von außen öffnen und aufklappen, damit der Prothesenschaft und evtl. vorhandener Knochenzement ausgemeißelt werden können.
- Knochendefekte als Folge von Osteolyse, Infektion oder Lockerung der Prothese können die sichere Verankerung einer Wechselprothese erschweren.
- Bei Protheseninfektionen können schwierig zu behandelnde multiresistente Keime (MRSA) beteiligt sein. Die Sanierung des Infektes als Voraussetzung für einen sicheren Einbau wird dadurch deutlich erschwert. Diese Fälle müssen in besonderen Prothesenzentren der Maximalversorgung versorgt werden, die über entsprechende Einrichtungen verfügen.
Materialien für den Prothesenwechsel
Der noch vorhandene Knochen muss bei einer Revision häufig mit Knochenersatzstoffen, Knochentransplantaten oder metallischem Knochenersatz verstärkt werden, um einen sicheren Halt der Wechselprothese zu gewährleisten. Mit Spezialimplantaten wie z. B. Abstützschalen an der Gelenkpfanne können wir auch in geschwächtem Knochen ein stabiles Implantat verankern. Oft eingesetzte Materialien für den Prothesenwechsel sind z. B.:
- genaue Analyse des Prothesenversagens
- geeignete Verankerung
- Auswahl einer patientengerechten Gleitpaarung der Hüftprothese
- bei Bedarf geeignete Verstärkung des Knochengewebes an Becken und Oberschenkel durch Ersatzknochen oder Verpflanzung körpereigenen Knochens
- Verstärkung der Hüftpfanne durch Sockel und Verschraubung
- Abstützschalen an der Hüftpfanne
- Knochenaufbau durch ein fremdes Knochentransplantat (Spenderknochen)
- autologes (körpereigenes) Knochentransplantat aus dem Beckenkamm
- keramischer Ersatzknochen
- metallischer Ersatzknochen
- besonders tief verankernde Langschaftprothesen
- Zementspacer (Platzhalter) zur Sanierung des Gewebes bei Protheseninfekten
- Knochenzement mit Antibiotikazusatz bei Revision nach Protheseninfekt
So kann die Stabilität der Ersatzprothese erhöht werden:
Prognose und mögliche Komplikationen nach Revision der Hüftprothese
Im Vergleich zur primären Endoprothetik geht eine Wechseloperation mit mehr Komplikationen einher. Dazu gehören im Wesentlichen
- Protheseninfekte,
- Hüftluxationen (Ausrenken) und
- Beinlängenunterschiede.
Je nach operativem Zugang besteht auch das Risiko einer bleibenden Muskelschwäche.
Die Langzeitprognose nach Revision einer Hüftprothese ist prinzipiell gut. Sie hängt insbesondere von der Knochenqualität, dem Gesundheitszustand des Patienten und der Expertise des Operateurs ab. In den meisten Fällen sind die Betroffenen mit dem Eingriff zufrieden und berichten von einer deutlichen Verminderung der Schmerzen und einer Verbesserung der Funktion. Beim Protheseninfekt liegt die Erfolgsrate bei etwa 85 bis 90 %, dass die Hüfte nach der Behandlung infektfrei bleibt und eine Sanierung gelungen ist.
Häufige Patientenfragen zur Hüftprothesenrevision an Dr. Martin Rinio von der Gelenk-Klinik
Wie lange hält ein neues Hüftgelenk?
Jede künstliche Hüfte hat eine begrenzte Lebensdauer. Für die meisten Patienten, die ihre Hüftendoprothese (Hüft-TEP) erst im höheren Lebensalter erhalten, spielt das keine Rolle. Die Hüftprothese hält bei diesen älteren Patienten lebenslang.
Jüngere Patienten im Alter unter 65 Jahren müssen durchaus mit der Möglichkeit eines Prothesenwechsels leben. Wir versuchen das nach Möglichkeit aber zu vermeiden. Nach der Revision einer Hüftprothese hat die Wechselprothese meist eine kürzere Lebensdauer. Dabei ist die Komplikationsrate bei einem Prothesenwechsel im Vergleich zur Erstimplantation leicht erhöht.
Gibt es Gründe, warum trotz einer Lockerung keine Hüftrevision erfolgen kann?
Für die Revision gelten ähnliche Kontraindikationen wie für die Erstimplantation einer neuen Hüfte. Dazu gehören schlechter Allgemeinzustand und schwere Begleiterkrankungen. Eine aktive Infektion oder eine Sepsis müssen erst antibiotisch behandelt werden, bevor eine neue Hüfte implantiert werden kann.
Woran erkennt man, ob ein Prothesenwechsel nötig ist?
Patienten mit Hüftprothesen, die Schmerzen im Hüftgelenk, in den Oberschenkeln oder im Knie entwickeln, sollten hellhörig werden und diese sofort beim Orthopäden abklären lassen. Gleiches gilt für das Gefühl der Instabilität in der Hüfte, Klickgeräusche oder wenn auf einmal das operierte Bein kürzer zu sein scheint.
Wovon ist die Abriebfestigkeit der Prothese abhängig?
Der Partikelabrieb hängt von der Genauigkeit der Prothesenimplantation ab. Passen Hüftkopf und Hüftpfanne genau ineinander und haben den richtigen Winkel, bildet sich ein schützender Flüssigkeitsfilm auf der Gleitfläche der Hüftprothese. Die Belastung und damit der Abrieb sind dann stark vermindert. Die Haltbarkeit der Hüftprothese hängt also sehr stark von der Erfahrung und Routine des Operateurs ab.
Literatur
- Fink, B. (2013). Erweiterte Zugänge bei Hüftprothesenwechseln und Muskelschonung. Geht das? Zeitschrift für Orthopädie und Unfallchirurgie, 151(03), 243–247.
- Jeschke, E., & Günster, C. (2018). Wenn Komplikationen nicht ausbleiben. Orthopädie und Unfallchirurgie, 8(5), 30–32.
- Mohr, G. (2018). Hüftprothesenwechsel/Femurfraktur. Fallbuch Physiotherapie Muskuloskelettal.
- Peters, K. (2008). Rehabilitation nach Hüftprothesenwechsel. In Revisionsendoprothetik der Hüftpfanne, 239–254. Springer, Berlin, Heidelberg.
- Peterson, T., Riester, U., & Wissing, H. (1996). Der Hüftprothesenwechsel – technische Aspekte und eigene Ergebnisse. Unfallchirurgie, 22(4), 160–167.
- Röhner, E., & Matziolis, G. (2017). Einsatz von Dual-Mobility-Pfannen beim Hüftprothesenwechsel. Der Orthopäde, 46(2), 114–120.
- Rudert, M., Hoberg, M., Prodinger, P. M., Gradinger, R., & Holzapfel, B. M. (2010). Femoraler Hüftprothesenwechsel. Der Chirurg, 81(4), 299–309.
- Schmelzer, L. (2017). Kritische Evaluation unerkannter periprothetischer Infektionen in einem Patientenkollektiv von 1064 Hüftprothesenwechseln (Doctoral dissertation).
- Schwaller, C. A., & Elke, R. (2001). Zemententfernung mit Ultraschall bei Revisionen von Hüfttotalprothesen. Der Orthopäde, 30(5), 310–316.
- Wengler, A., Nimptsch, U., & Mansky, T. (2014). Hüft- und Kniegelenkersatz in Deutschland und den USA. Deutsches Ärzteblatt, 111(23-24), 407-416.
- Wissenschaftliches Institut der AOK, QSR-Verfahren (2018). Abschlussbericht "Hüftprothesenwechsel". WIdO, Berlin.