- Was ist das Müller-Weiss-Syndrom?
- Anatomie: Welche Aufgaben hat das Kahnbein im Sprunggelenk?
- Wodurch entsteht das Müller-Weiss-Syndrom?
- Welche Beschwerden verursacht das Müller-Weiss-Syndrom?
- Wie diagnostiziert der Spezialist das Müller-Weiss-Syndrom?
- Wie therapiert der Spezialist das Müller-Weiss-Syndrom?
Röntgenbild seitlich: Im späten Stadium des Müller-Weiss-Syndroms sind das Fersenbein (Calcaneus) und das Fußlängsgewölbe abgesunken. Im Kreis ist das nach oben heraustretende Knochenstück des Kahnbeins sichtbar. Die Schädigung betrifft bereits das nachfolgende Gelenk zwischen Kahnbein und Keilbein. © Gelenk-Klinik
Das Müller-Weiss-Syndrom ist eine Erkrankung, bei der Knochengewebe des Kahnbeins am Fuß teilweise abstirbt. Das Müller-Weiß-Syndrom betrifft ausschließlich Erwachsene und die Ursachen sind bis heute ungeklärt. Das Kahnbein (Os naviculare) spielt eine wichtige Rolle im unteren Sprunggelenk (USG) und bei der Ausbildung des Fußgewölbes. Stirbt Knochengewebe des Kahnbeins ab, können Betroffene nicht mehr schmerzfrei auftreten und das Laufen auf unebenem Untergrund ist nur noch eingeschränkt möglich. Schreitet die Erkrankung ohne medizinische Behandlung fort, leiden die Patienten unter einer dauerhaften Gehbehinderung.
In der Gelenk-Klinik untersuchen und therapieren unsere erfahrenen Spezialisten für Fuß- und Sprunggelenk das Müller-Weiss-Syndrom angepasst an das Stadium der Erkrankung und an die individuelle Situation der Patienten.
Was ist das Müller-Weiss-Syndrom?
Synonyme zu Müller-Weiss-Syndrom:
Das Müller-Weiss-Syndrom wurde 1927 nach seinen Erstbeschreibern benannt, dem deutschen Orthopäden Walther Müller und dem Wiener Radiologen Konrad Weiss. Beim Müller-Weiss-Syndrom sterben äußere Knochenanteile des Kahnbeins am Fuß spontan ab (Osteonekrose). Die Erkrankung betrifft Erwachsene und hat keine erkennbare Ursache (idiopathisch). Das Müller-Weiss-Syndrom tritt meist an beiden Füßen auf (bilateral) und betrifft Frauen häufiger als Männer. Der Hauptteil der Betroffenen befindet sich zwischen dem 40. bis 60. Lebensjahr.
Die Osteonekrose verändert die Form des Kahnbeins und die Folgen für die Fußstellung und Fußform sind gravierend. Der größte Anteil der Kraftübertragung im Fuß erfolgt über das Gelenk zwischen Sprungbein und Kahnbein (Talonavikulargelenk) und dem Gelenk zwischen Kahnbein und Würfelbein (cuboideonaviculares Gelenk). Ein geschädigtes Kahnbein führt unbehandelt zu einer massiven Beeinträchtigung des Fußes sowie der Gehfähigkeit des Patienten.
Anatomie: Welche Aufgaben hat das Kahnbein im Sprunggelenk?
Das Kahnbein (Os naviculare) ist ein kleiner rechteckiger Knochen des Fußskeletts, der an der Ausbildung des Fußgewölbes und des unteren Sprunggelenks beteiligt ist.
Das Längsgewölbe des menschlichen Fußes ist wie ein Torbogen aufgebaut, an dessen höchster Stelle das Kahnbein platziert ist und den Bogen stabilisiert. Außerdem bildet das Kahnbein mit fünf weiteren knöchernen Strukturen des Fußes gelenkige Verbindungen. Seine knorpeligen Gelenkflächen grenzen körperfern (distal) an die drei Keilbeinknochen (Os Cuneiforme I, II, III) und das Würfelbein (Os cuboideum) der Fußwurzel. Zur Körpermitte hin gelegen (proximal) bildet es mit dem Sprungbein (Talus) den vorderen Anteil des unteren Sprunggelenks, das sogenannte Talonaviculargelenk.
Am Kahnbein setzt der hintere Schienbeinmuskel (Musculus tibialis posterior) an. Dieser Muskel senkt und streckt den Fuß, ermöglicht das Heranziehen und die Einwärtsdrehung und stabilisiert das Fußgewölbe.
Darstellung der Fußwurzelknochen: Das Kahnbein (Os naviculare) ist durch seine knorpeligen Gelenkflächen mit den drei Keilbeinen (Os cuneiforme), dem Würfelbein (Os cuboideum) und dem Sprungbein (Talus) verbunden. Es ist Teil des unteren Sprunggelenks. © Gelenk-Klinik
Wodurch entsteht das Müller-Weiss-Syndrom?
Die Ursachen für die Entstehung des Müller-Weiss-Syndroms sind bis heute nicht geklärt. Mediziner nehmen an, dass die Erkrankung Folge von wiederkehrenden fokalen Durchblutungsstörungen ist. Die Minderdurchblutung führt zum spontanen Absterben des unterversorgten Knochenabschnittes (Osteonekrose). Das abgestorbene Knochengewebe wird umgebaut und meist resultiert daraus eine Verformung (Deformation) des Kahnbeins. Wiederholte Traumata bzw. chronischer Belastungsstress im Fußbereich können ursächlich für die Durchblutungsstörungen im Kahnbein sein.
Welche Beschwerden verursacht das Müller-Weiss-Syndrom?
Die Betroffenen leiden unter chronischen Schmerzen mit stechendem Charakter im Mittelfußbereich. Die Schmerzen treten besonders bei Belastung und sportlicher Aktivität am Fußrücken auf. Die Patienten berichten von einer fortschreitenden Verschlimmerung (Exazerbation) dieser Beschwerden.
Charakteristische Symptome bei Müller-Weiss-Syndrom sind:
- Schwellung, teilweise Rötung im Bereich des Mittelfußes
- Ruheschmerz
- stechende Schmerzen beim Abrollen, wenn der Vorfuß belastet wird, z. B. beim Gehen
- knackende und knirschende Geräusche (Krepitation) bei Bewegung des Fußes
- sichtbare Fehlstellungen des Fußes: abgeflachtes Fußgewölbe (Plattfuß, Spreizfuß), veränderte Fußachse (Knickfuß)
- häufiges Umknicken
- Vermeidung von bestimmten Bewegungen aufgrund der Schmerzen
- eingeschränkte Aktivität im alltäglichen Leben
Verlauf des Müller-Weiss-Syndroms
Die fortschreitende Schädigung des Kahnbeins an seiner Außenseite (lateral) führt zu einer keilförmigen Formänderung des Knochens. Im Verlauf der Müller-Weiss-Erkrankung erscheint das Fußlängsgewölbes zunächst erhöht, um dann deutlich abzusinken. Es droht sogar ein kompletter Kollaps des inneren Fußgewölbes.
Mit dem Fortschreiten der Erkrankung ändert sich Stellung des Sprungbeins (Talus) und damit auch die Stellung des Rückfußes im Verhältnis zum Vorfuß. Üblicherweise sinkt der Sprungbeinkopf (der vordere Anteil des Talus) nach unten außen ab. Schließlich kann das defekte Kahnbein auseinanderbrechen und ein großer innerer und ein kleiner äußerer Knochenteil entsteht. Die Bruchstücke verschieben sich charakteristisch: Der innere Knochenteil tritt nach unten innen und wölbt den inneren Fußrand vor. Der äußere Knochenteil wandert nach oben außen und wird dort prominent. Schließlich tritt das Sprungbein mit den drei Keilbeinen (Os cuneiforme) in Kontakt, das zerbrochene Kahnbein hat keine funktionierende Gelenkfläche mehr.
Vorsicht: Gefahr der Arthrose mit Gehbehinderung
Diese Fehlstellung zwischen Sprungbein und Kahnbein verursacht eine massive Schädigung der Gelenkfläche. Die daraus entstehende Arthrose des Talonavikulargelenks kann bei den Patienten zur dauerhaften Gehbehinderung führen. Aufgrund der Deformierung der Fußanatomie werden auch alle anderen Gelenkverbindungen übermäßig belastet und können sich arthrotisch verändern.
Vergleich eines gesunden Talonavikulargelenks mit einer Osteonekrose des Kahnbeins bei Müller-Weiss-Syndrom. Das vordere untere Sprunggelenk zwischen Kahnbein (Os naviculare) und Sprungbein (Talus) ist unmittelbar mitbetroffen. © Gelenk-Klinik
Wie diagnostiziert der Spezialist das Müller-Weiss-Syndrom
Im Arzt-Patienten-Gespräch berichten die betroffenen Patienten meist von chronischen stechenden Schmerzen im Fußwurzelbereich und Fußrücken, die belastungsabhängig sind.
Diese Beschwerden nehmen im Krankheitsverlauf deutlich und kontinuierlich zu (Exazerbation). Die Patienten sind in ihrer körperlichen Aktivität, Mobilität und Sportfähigkeit stark eingeschränkt. Allein aufgrund der Beschreibung dieser Beschwerden sollte der behandelnde Spezialist auch immer ein Müller-Weiss-Syndrom in Betracht ziehen.
Typische klinische Zeichen bei der körperlichen Untersuchung
Patient mit Müller-Weiss-Syndrom links im Spätstadium. Das Bild zeigt die Füße von hinten. Deutlich sichtbar ist eine massive X-Fußfehlstellung. © Gelenk-Klinik
Die laterale Osteonekrose des Kahnbeins verursacht beim Patienten die vollständige Abflachung des Fußlängsgewölbes. Die Stellung des Fußes kompensiert die X-Fehlstellung wie bei einem klassischen Knicksenkfuss. © Gelenk-Klinik
Bei der körperlichen Untersuchung ertastet der Spezialist häufig eine knöcherne Erhebung im Kahnbeinbereich. Das Gelenk zwischen Kahnbein und Sprungbein (Talonavikulargelenk) ist druckschmerzhaft. Ebenso empfindet der Patient die passive
Bewegung durch den Untersucher im unteren Sprunggelenk als schmerzhaft. Häufig besteht bereits eine Muskelschwäche des hinteren Schienbeinmuskels, da der Patient bestimmte Bewegung schmerzreflektorisch vermeidet.
Der untersuchende Arzt kann außerdem eine Schwellung am Fußrücken feststellen. Ist die Erkrankung weit fortgeschritten, können bereits Formveränderungen des Fußes eingetreten sein, zum Beispiel ein Knick-Plattfuß (Pes planovalgus) oder eine Rückfuß Varus Fehlstellung, bei der der Rückfuß nach innen gebogen ist.
Wichtige diagnostische Verfahren: medizinische Bildgebung
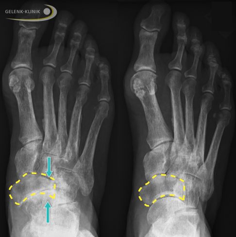
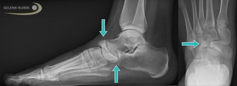
Die Röntgenaufnahmen zeigen bei fortgeschrittenem Müller-Weiss-Syndrom ein abgeflachtes Kahnbein, dass zunehmend nach innen (medial) und Richtung Fußrücken (dorsal) verdrängt wird. Das Kahnbein kann wie ein Komma erscheinen. Durch den Umbau (Sklerosierung) des abgestorbenen Knochenbereichs erscheint das Kahnbein auf der Röntgenaufnahme deutlich dichter und kompakter. In frühen Stadien der Erkrankung ist die Röntgenuntersuchung nicht hilfreich, da die knöchernen Veränderungen noch nicht sichtbar sind.
Erscheinungsform des Müller-Weiss-Syndroms: Sklerosierung des Kahnbeins und Ausbildung einer Komma-Form und Verlagerung des Kahnbeins zum Fußrücken aus seiner normalen Position (dorsalseitige Subluxation). © Gelenk-Klinik
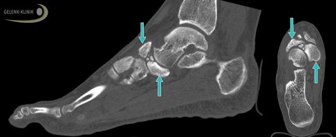
Die Schnittbilder der digitalen Volumentomografie (DVT) zeigen ein gebrochenes Kahnbein bei Müller-Weiss-Syndrom. Die Fraktur des Kahnbeins ist in der Seitenansicht des Fußes (links) und der Ansicht von oben (rechts) durch Pfeile gekennzeichnet. © Gelenk-Klinik
Frühe Diagnose durch eine Magnetresonanztomographie (MRT) und digitale Volumentomographie (DVT)
Eine frühe Diagnose ermöglicht dem Spezialisten die Magnetresonanztomographie (MRT). Durch die MRT kann der Spezialist bereits ein Knochenödem im betroffenen Kahnbein nachweisen. Er wird dann weitere bildgebende Untersuchungen wie Röntgen oder digitale Volumentomographie (DVT) unter Belastung und schräge bzw. seitliche Aufnahmen veranlassen.
Magnetresonanztomographie (MRT) bei Müller-Weiss-Syndrom: Das defekte Kahnbeinfragment sinkt im Fuß nach unten ab (Pfeile). Es verdrängt und komprimiert die darunter liegenden Weichteile. © Gelenk-Klinik
Die Digitale Volumentomographie (DVT) zeigt den Defekt und die Fehlstellung des Kahnbeins bei Müller-Weiss-Syndrom im Stehen (Pfeile). Diese Aufnahmen unter Belastung nutzt der Spezialist für die Therapieplanung, die er an die Situation des Patienten anpasst. © Gelenk-Klinik
Diagnose von Funktionsstörung durch Fußdruckmessung und Ganganalyse
Schmerzen oder Fehlstellungen ändern den Fußabdruck sichtbar. Die genaue Lastverteilung beim Auftreten, aber auch die Abrollbewegung des Fußes spiegeln die Situation der Gelenke im Fuß wieder. Die elektronische Fußdruckmessung (Podometrie) macht solche Probleme sichtbar und hilft dem orthopädischen Facharzt bei der Diagnosestellung.
Die Ganganalyse unterstützt den Fuß- und Sprunggelenksspezialisten bei der Beurteilung von Fußfehlstellungen, die bei einem Müller-Weiss-Syndrom entstehen. Die dynamische Ganganalyse zeigt deutlich die Funktionsstörung im Fuss bei Bewegung, die durch Schmerzen, aber auch durch die Formveränderung im Kahnbein verursacht wird. Vor allem, wenn die Schmerzen zu Beginn nur Belastungsabhängig auftreten, ist die Ganganalyse eine sinnvolle diagnostische Methode.
Wichtige Differentialdiagnosen des Müller-Weiss-Syndroms
Der Spezialist grenzt das Müller-Weiss Syndrom von anderen in der medizinischen Bildgebung ähnlich erscheinenden Krankheiten ab.
- Morbus Köhler I des Kindesalter (Osteochondrosis juvenilis ossis navicularis pedis): nicht entzündliche (aseptische) Knochennekrose des Kahnbeins am Fuß, betrifft vor allem Jungen im Alter von 3 bis 8 Jahren
- Stressfraktur des Kahnbeins durch ständige Überlastung des Fußes
- zweigeteiltes Kahnbein (Os naviculare bipartitum): angeborene Fehlbildung des Kahnbeins
- Osteonekrose als Folge einer systemischen Grunderkrankung (sekundäre Osteonekrose): zum Beispiel bei rheumatoider Arthritis, systemischem Lupus erythematodes, chronischer Niereninsuffizienz sowie langanhaltender systemischer Kortikosteroid-Einnahme
- Pseudarthrose (Falschgelenk): Folge eines übersehenen oder nicht ausreichend behandelten Kahnbeinbruchs am Fuss
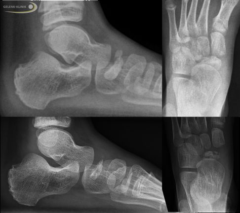
Die Röntgenbilder zeigen eine nicht entzündliche (aseptische) Knochennekrose des Kahnbeins am Fuß, die nur bei Kindern vorkommt: Morbus Köhler I. Der Kahnbeinknochen ist zu klein und verformt. Die übrigen Fußknochen sind altersentsprechend entwickelt. Die großen Abstände zwischen den einzelnen Fußknochen entsprechen den noch knorpeligen Wachstumsbereichen. © Gelenk-Klinik
Die Röntgenbilder zeigen ein zweigeteiltes Kahnbein (Os naviculare bipartitum) am Fuß einer jugendlichen Patientin. Die defekte Form des Kahnbeins ähnelt der bei Müller-Weiss-Syndrom. Die knöchernen Strukturen zeigen radiologisch allerdings keine Osteonekrose und Sklerosierung des Kahnbeins. © Gelenk-Klinik
Wie therapiert der Spezialist das Müller-Weiss-Syndrom?
Die Behandlung der Wahl im frühen Stadium des Müller-Weiss-Syndroms ist die konservative Therapie. Erst bei persistierenden Beschwerden unter konsequenter konservativer Therapie und Fehlstellung des Fußes mit Gehbehinderung bespricht der Fuß- und Sprunggelenksspezialist mit dem Patienten die Möglichkeiten einer operativen Therapie.
Konservative Therapie im frühen Krankheitsstadium
Konservative Maßnahmen bei Müller-Weiss-Syndrom
- entzündungshemmende Schmerzmittel (nichtsteroidale Antirheumatika)
- individuell angefertigte Schuheinlagen und Orthesen
- maßgefertigte orthopädische Schuhe
- Stosswellentherapie (ESWT)
- Ultraschalltherapie
Der Spezialist empfiehlt den Betroffenen entzündungshemmende Schmerzmittel (NSAR) gegen die Beschwerden im Mittelfußbereich. Er berät den Patienten, wie er die Füße zunächst konsequent entlasten und er seinen Alltag dementsprechend anpassen kann. Unterstützend helfen individuell angefertigte Schuheinlagen und Orthesen. Diese Maßnahmen optimieren die Rückfußstellung und entlasten das Talonavikulargelenk.
Abhängig vom radiologischen Befund des Müller-Weiss-Syndroms empfiehlt der Fuß- und Sprunggelenksspezialist den Betroffenen maßgefertigte orthopädische Schuhe. Diese können Achsfehlstellungen der Füße und Bewegungseinschränkungen durch den fortgeschrittenen Knochendefekt ausgleichen.
Einige Patienten empfinden Linderung der Beschwerden durch Stosswellentherapie (ESWT) und Ultraschalltherapie. Diese Verfahren können die Knochenheilung anregen. Eine medikamentöse Therapie, um den Krankheitsverlauf des Müller-Weiss-Syndroms stoppen, gibt es bisher nicht. Alle Maßnahmen haben das Ziel, weitere Folgeschäden im Fußbereich durch den zerstörten Kahnbeinknochen verhindern.
Operative Therapie bei zunehmenden Beschwerden und fortschreitendem Krankheitsverlauf
Eine operative Standardtherapie existiert bisher nicht. Der Fußexperte wählt die operative Technik angepasst an die individuelle Situation des Patienten aus. Diese Therapieentscheidung trifft er anhand seiner Untersuchungsergebnisse durch MRT (Magnetresonanztomographie), DVT (digitale Volumentomographie) und Röntgenaufnahmen. Gegebenfalls fertigt er Röntgenübersichtsaufnahmen des gesamten Beins an, um Informationen über zusätzliche Achsfehlstellungen zu erhalten. Die Spezialisten der Gelenk-Klinik führen außerdem eine SPECT (Single Photon Emission Computed Tomography)-Untersuchung durch.
Ziel der operativen Therapie bei Müller-Weiss-Syndrom:
- Schmerzreduktion
- Korrektur der Fußstellung
- bestmögliche Wiederherstellung des Fußgewölbes
- Wiederherstellung der ursprünglichen Gewebespannung
Ist das Kahnbein noch nicht zusammengesunken oder auseinander gebrochen, versucht der Spezialist, den defekten äußeren Kahnbeinanteil mit körperfremden (allogen) Knochenmaterial oder keramischen Knochen aufzufüllen und zu stabilisieren. Außerdem optimiert der Spezialist bei diesem Vorgehen immer die Stellung des Fußes. Dazu reicht es in einigen Fällen aus, die Fersenstellung zu korrigieren, ohne eine Gelenkversteifung (Arthrodese) durchzuführen.
Mögliche operative Versteifungstechniken beim Müller-Weiss-Syndrom:
Talonavikular-Arthrodese: Versteifung des Gelenks zwischen Sprungbein und Kahnbein
Triple-Arthrodese: 3-fache Versteifung aller Abschnitte des unteren Sprunggelenks:
- talocalcaneares Gelenk (Subtalargelenk) zwischen Sprungbein und Fersenbein
- Talonavikulargelenk zwischen Sprungbein und Kahnbein
- calcaneocuboidales Gelenk zwischen Fersenbein und Würfelbein
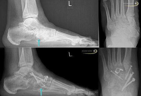
Röntgenbilder eines fortgeschrittenen Müller-Weiss-Syndroms vor OP (oben) und nach Versteifungsoperation (Arthrodese, unten). Der Kahnbeinknochen ist stark geschädigt und hat eine ausgeprägte Fehlstellung des Fußes verursacht. Der Operateur hat die Stellung des Fußes durch die Versteifung der Gelenke zwischen Sprungbein und Kahnbein (Talonavikulargelenk) sowie der Gelenke zwischen Kahnbein und Keilbeinen mittels Schrauben und Spangen korrigiert. Der Knochendefekt wurde mit Knochenspänen aus dem Beckenkamm des Patienten ausgeglichen (autologer Knochentransfer). © Gelenk-Klinik
Röntgenbild der Triple-Arthrodese aller drei Abschnitte des unteren Sprunggelenks (USG). © Gelenk-Klinik.de
Das Röntgenbild zeigt die vollständige Aufrichtung des Fußlängsgewölbes. Die eingebrachte Platte stabilisiert die innere Säule des Fußgewölbes und unterstützt die Einheilung des eingesetzten Knochenspans. © Gelenk-Klinik.de
Literaturangaben
- Ahmed, A. S. A. A., Kandil, M. I., Tabl, E. A., & Elgazzar, A. S. (2019). Müller-Weiss disease: a topical review. Foot & ankle international, 40(12), 1447-1457.
- DiGiovanni, C. W., Patel, A., Calfee, R., & Nickisch, F. (2007). Osteonecrosis in the foot. JAAOS-Journal of the American Academy of Orthopaedic Surgeons, 15(4), 208-217.
- Dingerkus, M. L., Maier, D., Raeder, F., & Imhoff, A. B. (2003). Avaskuläre Osteonekrose des Os naviculare pedis beim jungen Sportler. Arthroskopie, 16(2), 110-116.
- Fernández de Retana, P., Maceira, E., Fernández-Valencia, J. A., & Suso, S. (2004). Arthrodesis of the talonavicular-cuneiform joints in Müller-Weiss disease. Foot and ankle clinics, 9(1), 65-72.
- Janositz, G., Sisák, K., & Tóth, K. (2011). Percutaneous decompression for the treatment of Mueller–Weiss syndrome. Knee Surgery, Sports Traumatology, Arthroscopy, 19(4), 688-690.
- Maceira, E., & Rochera, R. (2004). Müller-Weiss disease: clinical and biomechanical features. Foot and ankle clinics, 9(1), 105-125.
- Monteagudo, M., & Maceira, E. (2019). Management of Müller-Weiss Disease. Foot and ankle clinics, 24(1), 89-105.
- Müller, W. (1927). I. Über eine eigenartige doppelseitige Veränderung des Os naviculare pedis beim Erwachsenen. Deutsche Zeitschrift Für Chirurgie, 201(1), 84-89.
- Tosun, B., Al, F., & Tosun, A. (2011). Spontaneous osteonecrosis of the tarsal navicular in an adult: Mueller-Weiss syndrome. The Journal of foot and ankle surgery, 50(2), 221-224.
- Wang, X., Ma, X., Zhang, C., Huang, J. Z., & Jiang, J. Y. (2012). Flatfoot in Müller-Weiss syndrome: a case series. Journal of medical case reports, 6(1), 1-6.
- Wong-Chung, J., McKenna, R., Tucker, A., Gibson, D., & Datta, P. (2021). Radiographic analysis of Müller-Weiss disease. Foot and Ankle Surgery, 27(5), 501-509.
