- Was ist eine Arthrodese (Versteifung) des oberen Sprunggelenks?
- Indikation: Wann wird eine Arthrodese des Sprunggelenkes durchgeführt?
- Arthrodese bei Sprunggelenksarthrose
- Arthrodese des Sprunggelenks statt Wechsel der Prothese
- Arthrodese nach Sprunggelenksfraktur
- Arthrodese nach Infektion des Sprunggelenks
- Arthrodese bei schweren Fehlstellungen an Fuß- und Sprunggelenk
- Voruntersuchungen vor der Sprunggelenksarthrodese
- Für wen ist eine Sprunggelenksarthrodese geeignet?
- Wie wird die OSG-Arthrodese durchgeführt?
- Nachbehandlung und Sport mit Arthrodese im Sprunggelenk
- Mögliche Komplikation: Pseudarthrose (Falschgelenkbildung)
Was ist eine Arthrodese (Versteifung) des oberen Sprunggelenks?
Die Arthrodese (Versteifung) des Sprunggelenks bei schwerer Sprunggelenksarthrose ist der Goldstandard der Behandlung. Bei normaler Gehgeschwindigkeit ist das Gangbild durch die Versteifung nicht sichtbar beeinträchtigt. Die fehlende Beweglichkeit wird durch die Gelenke der Fußwurzelknochen ausgeglichen. Sportliche Aktivitäten wie Radfahren oder Wandern sind weiterhin möglich. © Viewmedica
Arthrose des Sprunggelenks führt zu einer schmerzhaften Bewegungseinschränkung im oberen Sprunggelenk (OSG). Patienten mit Sprunggelenksarthrose können nicht mehr über längere Strecken schmerzfrei gehen. Motorik und Abrollbewegung des Fußes sind dadurch gestört.
Eine Versteifung (Arthrodese) der Knochen im Sprunggelenk kann nach Sprunggelenksarthrose eine unter Belastung schmerzfreie Situation im Sprunggelenk herbeiführen.
Die Arthrodese des oberen Sprunggelenks will das obere Sprunggelenk zwischen Sprungbein (Talus) und Schienbein (Tibia) im Alltag wieder belastbar machen. Die Arthrodese ist seit Jahrzehnten bei der Behandlung der Sprunggelenksarthrose der Goldstandard unter den operativen Therapien. Die Beweglichkeit des oberen Sprunggelenks wird durch das therapeutische Zusammenwachsen (Fusion) der Knochen im Gelenk aufgehoben. Die Knochen wachsen so vollständig und belastbar zusammen, wie wir es auch z. B. bei der Heilung nach einem Knochenbruch sehen.
Wichtige Begriffe
- Sprunggelenks-Arthrodese:
Die Arthrodese ist eine therapeutische Versteifung durch absichtlich herbeigeführtes Zusammenwachsen (Fusion) zweier vorher gelenkig verbundener Knochen. Die Beweglichkeit des Gelenks ist nicht mehr vorhanden. Das versteifte (arthrodesierte) Gelenk ist belastbar und schmerzfrei. - Sprunggelenks-Prothese:
Die Prothese ist ein künstlicher Gelenkersatz, der eine beweglichkeitserhaltende Versorgung ermöglicht. Mit Hilfe des Implantates wird die schmerzfreie Beweglichkeit des OSG wieder hergestellt.
Der Fuß kann nach der therapeutischen Versteifung wieder voll belastbar und achsgerecht eingesetzt werden. Bei Gehen in normaler Geschwindigkeit ist das Abrollverhalten fast normal. Nur bei schnellerem Gehen oder Laufen, wo die Beweglichkeit des Sprunggelenks in höherem Masse erforderlich ist, ist eine Veränderung des Gangbildes erkennbar. Bei normalen Gehen wird die verloren gegangene Beweglichkeit des oberen Sprunggelenks durch die Fußwurzelgelenke, vor allem das Gelenk zwischen Sprungbein und Kahnbein (talonavikulares Gelenk), übernommen.
Die Arthrodese des Sprunggelenks ist geeignet, Fehlstellungen der Sprunggelenksachse zu therapieren.
Die Arthrodese ist nicht für jeden Patienten mit Arthrose im Sprunggelenk die optimale Behandlung: Wir werden auch auf die Umstände eingehen, die Entscheidung für gelenkerhaltende oder gangbilderhaltende Alternativen zur Arthrodese betreffen.
Externer Inhalt von youtube.com
Indikation: Wann wird eine Arthrodese des Sprunggelenkes durchgeführt?
Konservative Therapie der Sprunggelenks-Arthrose
- Schmerztabletten (Nichtsteroidale Antirheumatika).
- Injektionen von Hyaluronsäure ins Sprunggelenk.
- Injektionen von Steroiden (Kortison).
- Versorgung mit Schuheinlagen.
- Bandagen und Orthesen zur Bewegungslimitierung.
- Sprunggelenksschule und Bewegungsübungen zur Stabilisierung des Sprunggelenks
Wir empfehlen eine Versteifung des Sprunggelenks erst dann, wenn die Patienten sich nicht mehr schmerzfrei bewegen können. Sinkender Bewegungsradius im Rahmen der normalen Alltagsbelastung sind kennzeichnend für OSG-Arthrose. Das führt zu einer unerträglichen Steigerung der Sprunggelenksschmerzen. Konservative Behandlungsmethoden müssen endgültig ausgeschöpft sein: Wir müssen uns sicher sein, dass sie nicht mehr weiterhelfen. An Sport und normale Freizeitgestaltung ist für Patienten, die sich für die Versteifung qualifizieren, nicht mehr zu denken. Auch die Arbeitsfähigkeit ist in vielen Berufen, vor allem bei körperlicher Arbeit, durch chronische Arthrosesschmerzen stark beeinträchtigt. In diesen Fällen empfehlen wir eine operative Therapie: Neben den gelenkerhaltenden operativen Therapien stehen den Patienten bei schwerer Arthrose gelenkersetzende (Sprunggelenskprothese) oder gelenkversteifende (Arthrodese) Therapien zur Auswahl.
Externer Inhalt von youtube.com
Beweglichkeitserhaltende und gelenkerhaltende Alternativen zur Arthrodese
Alternativen zur Arthrodese
- Knochenumstellung (Osteosynthese):
Umstellung z. B. des Fersenbeines und Einheilen in neuer Position - Außenbandplastik
Bandnaht oder Bandtransplantation - Knorpeltherapien:
Knorpeltransplantation oder AMIC-Verfahren - Prothese im Sprunggelenk
Die Endoprothese kann das Gangbild erhalten und das Gelenk ersetzen
Jede Indikation zur Versteifung des Sprunggelenks muss kritisch - auch durch eine orthopädische Zweitmeinung - geprüft werden: Häufig gibt es doch noch gelenkerhaltende oder bewegungserhaltende Alternativen. Die gelenkerhaltende Alternative will die Beweglichkeit des Sprunggelenks ganz ohne Endoprothesen erhalten. Mit Hilfe von Knochenumstellungen, Fersenbeinumstellung und Osteosynthese (Trennung und Einheilung von Knochen in neuer Position), können wir häufig die Belastungsfähigkeit des Sprunggelenks wieder herstellen. Knorpelschäden können wir mit Hilfe von Knorpeltherapie oder Knorpeltransplantation wieder beheben.
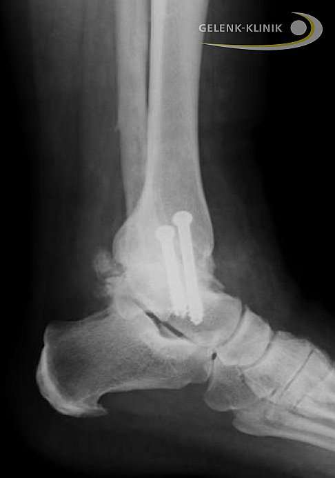
Arthrodese bei Sprunggelenksarthrose
Schädlich: Arthrosebedingte Spitzfußfehlstellung
Viele Patienten mit Sprunggelenksarthrose weichen in die Spitzfußfehlstellung aus. Dadurch schädigen sie weitere Gelenke am Fuß. Vor allem die Fußwurzelgelenke (Lisfranc-Gelenk und Chopart-Gelenke) sind davon betroffen. Eine frühzeitige Versorgung mit einer Prothese oder Arthrodese (Versteifung) des Sprunggelenks kann diese Fußgelenke gesund erhalten, weil der Spitzfuß als Ausweichbewegung vermieden wird.
Eine Arthrodese (operative Versteifung des oberen Sprunggelenkes) kann bei Arthrose des Sprunggelenkes eine sinnvolle Operation sein. Die Entscheidung, ob es Alternativen zur Sprunggelenksversteifung gibt, hängt stark von der vorliegenden Situation im Sprunggelenk ab.
Die Sprunggelenksarthrose ist die häufigste Indikation für eine Versteifungsoperationen des Sprunggelenks.
Die Fußwurzelgelenke: Chopart- und Lisfranc-Gelenke werden vom Spitzfußgang stark beeinträchtigt. © Viewmedica
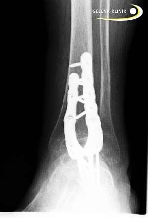
Arthrodese des Sprunggelenks statt Wechsel der Prothese
Versteifung des Sprunggelenks nach Revision einer Sprunggelenksprothese. Bei diesem Patienten erfolgte die Versteifung des oberen Sprunggelenks mit Hilfe einer Plattenosteosynthese. Die Platten werden von außen gegen das zu versteifende Gelenk geschraubt, um die Gelenkpartner in Position zu halten. © Gelenk-Klinik
Auch nach einer Prothesenversorgung kann die Versteifung des oberen Sprunggelenkes als Revisionsoperation eine Rolle spielen. Eine Sprunggelenksprothese kann aus mehreren Gründen versagen: Abnutzung, Fehlpositionierung oder ungenügende Herstellung einer prothesenverträglichen Sprunggelenksachse. Wenn die Sprunggelenksprothese nicht mehr funktioniert, besteht die Therapie der ersten Wahl natürlich Behebung in der der Ursachen für den Prothesenverschleiß und Prothesenwechsel. In manchen Fällen muss nach Ausbau der Prothese das Sprunggelenk versteift werden. Nach dem Versagen einer Sprunggelenkprothese müssen wir immer damit zurecht kommen, dass ein Teil der Knochensubstanz an Talus (Sprungbein), Tibia (Schienbein) und Fibula (Wadenbein) abgetragen wurde, um den erstmaligen Einbau der Prothese zu ermöglichen. Bei einer erneuten Prothesenverankerung steigt also die Wahrscheinlichkeit von Problemen bei der Verankerung. Dazu gehört beispielsweise eine Fraktur der Sprunggelenksgabel aus Mangel an verfügbarer Knochensubstanz. Scheint uns dieses Risiko nach Untersuchung der verfügbaren Knochensubstanz zu hoch, wählen wir eher die Versteifung als sichere Alternative zum Prothesenwechsel.
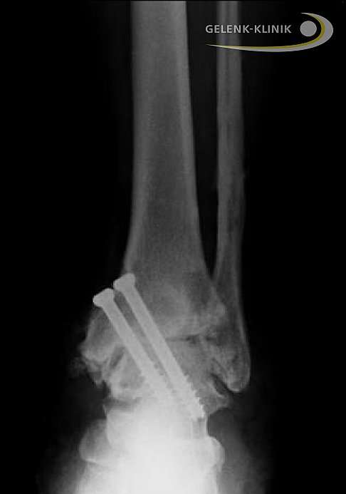
Arthrodese nach Sprunggelenksfraktur
Diese Schäden nach OSG-Fraktur verhindern eine Prothesenversorgung:
- Starke Innenbandrupturen
- Infekte am Sprunggelenk
- Nervenschäden (neurologisches Trauma) mit Bewegungsstärungen
- Schäden an Blutgefässen.
- Instabilität des Sprunggelenks
- Fehlstellung des Sprunggelenks
Auch nach Unfalltrauma mit Sprunggelenksfraktur kann die Versteifung eine Therapiemöglichkeit sein. Zuallererst steht die gelenkerhaltende Therapie im Vordergrund: Wir versuchen nach Fraktur das Gelenk wieder funktionsfähig und schmerzfrei herzustellen. Wenn die Fraktur des Sprunggelenks unter Beteiligung der Gelenkflächen erfolgt, kann es aber sehr schwer werden, das Sprunggelenk wieder herzustellen. Unter Umständen müssen wir dann, wenn eine schwere Arthrose nicht verhindert werden konnte, eine Sprunggelenksprothese oder eine Versteifung in Betracht ziehen.
Wenn die Voraussetzungen für die Sprunggelenksprothese z. B. nach komplettem Verlust der Innenbandfunktion oder nach schweren Infekten des Gelenks nicht mehr gegeben sind, wählen wir die häufig dann zuverlässigere Methode der Versteifung.
Versteifung nach Infektion im Sprunggelenk
Nach einer offenen Fraktur oder einer Operation des Sprunggelenks ist eine Infektion möglich. Diese Infektionen können den Gelenkknorpel zerstörten. Auch Arthritis und andere Entzündungen des Sprunggelenks, z. B. bei der Bluterkrankheit (Hämophilie) können die Arthrose im Sprunggelenk beschleunigen. Schwere bakterielle Infektionen des Sprunggelenks sind aber eine Kontraindikation für den späteren Einbau einer Sprunggelenksprothese. Bakterien können sich als nicht zu therapierender Bakterienfilm auf dem Metall-Implantat ansiedeln und sofort zu einer gefährlichen septischen Lockerung der Prothese führen. Nach einer überstandenen Infektion im Sprunggelenk empfehlen wir daher eher eine Sprunggelenksarthrodese, um der Gefahr des Protheseninfektes aus dem Wege zu gehen. Bei der Arthrodese als knöcherner Verbindung des Talus mit der Sprunggelenksgabel sehen wir keine erhöhte Gefahr der Lockerung nach einem überstandenen Infekt.
Durchführung der Arthrodese: Prinzip der Sprunggelenksversteifung
Das beachten wir bei der Indikationsstellung der OSG Arthrodese:
- Fehlstellungen der Knochen
- Gesundheit von Haut und Weichteilmantel um das Sprunggelenk.
- Narben nach Unfällen oder von vorangegangenen Operationen.
- Knochendefekte, oder Knochenenkrosen
- Knochendichte (Osteoporose).
- Vorgeschichte bakterieller Infektionen im Gelenk
- Sind noch Metallimplantate vorhanden?
Bei einer Versteifungsoperation des oberen Sprunggelenkes wird das relativ kleine Sprungbein (sog. Talus) mit Schrauben in der von oben kommenden Sprunggelenkgabel (bestehend aus Wadenbein und Schienbein) fixiert. Das Ziel jeder Versteifungsoperationen ist es, die Knochen im Gelenk dauerhaft miteinander verwachsen zu lassen. Die Beweglichkeit im Gelenk soll also zugunsten einer stabilen knöchernen Verbindung der Gelenkpartner aufgehoben werden. Ziel der Operation ist es, eine schmerzfreie, belastungsfähige und lockerungsfreie Situation im Sprunggelenk zu erreichen.
Die verschiedenen Methoden der Arthrodese erreichen dieses Ziel - je nach Ausgangslage - auf verschiedene Art und Weise. Ein individuell an die Voraussetzungen des Patienten angepasstes Vorgehen ist sinnvoll. Die folgenden Umstände müssen wir besonders berücksichtigen: Vitalität und Stabilität der Knochen, Fehlstellungen, Weichteilgewebe und Narben, Knochendefekte (z. B. Knochennekrosen), bereits vorhandene Metallimplantate zur Stabilisierung von Frakturen und eine mögliche Infektsituation.
Mit einer elektrothermischen Methode werden die Nerven verödet, die die Gelenkflächen des Sprunggelenks versorgen. So vermeiden wir Schmerzen in den Gelenkflächen nach der Entkorpelung.
Vorteile der minimalinvasiven Arthrodese des Sprunggelenks
Wenn wir die Entknorpelung der Gelenkflächen sowie das Einbringen des Schraubenmaterials minimalinvasiv durchführen, gehen wir besonders schonend vor. Dadurch entstehen weniger Narben am Sprunggelenk. Die Weichteile bleiben unbeeinträchtigt. Das führt zuallererst zu einer schnelleren Heilung nach der Arthrodese. Patienten sind nach dieser schonenden Operation schneller belastbar. Auf lange Sicht erleichtert dieses weichteilschonende Vorgehen auch einen späteren Wechsel von der Sprunggelenksversteifung zu einer Prothese. Die Prothese setzt, nicht anders als das natürliche Sprunggelenk, die normale, gesunde Funktion aller Sehnen und Weichteile voraus. Gewebeschonendes Vorgehen bei der Versteifung zahlt sich vor allem dadurch aus, weil dem Patienten wichtige Behandlungsoptionen für die Zukunft erhalten bleiben.
Sprunggelenksarthrodese im Vergleich zur Prothese
Das talonavikulare und das calcaneokuboidale Gelenk tragen zur vertikalen Beweglichkeit des Fußes bei. Zusammen bilden Sie das Chopart-Gelenk. Mit seiner vertikalen Beweglichkeit kann es nach einer Arthrodese des oberen Sprunggelenks die verloren gegangene Beweglichkeit in diese Richtung ersetzen. © Viewmedica
Vergleich Arthrodese – Prothese
- Nach Versteifung weniger Beweglichkeit als mit Prothese.
- Keine Lockerungsgefahr nach Arthrodese.
- Stärkere Belastbarkeit mit Arthrodese.
- Höhere Therapiesicherheit mit der Arthrodese im Vergleich zur Prothese.
- Stärkere Belastung der Fußwurzelgelenke nach Arthrodese.
Die Versteifungsoperation (Arthrodese) des oberen Sprunggelenkes führt zu Einschränkung der Beweglichkeit im Sprunggelenk. Diese Einschränkung ist vor allem beim schnellen Gehen oder Laufen spürbar. Bei langsameren Gangarten ist die Versteifung nicht bewegungseinschränkend. Daher ist die Versteifung des oberen Sprunggelenkes eine bewährte Operationsmethode mit stabilen und zuverlässigen Ergebnissen. Das Ergebnis der Sprunggelenksversteifung ist also normalerweise nicht im Alltag spürbar, wenn nicht der ganze Bewegungsspielraum des Sprunggelenks ausgeschöpft werden muss.
Wichtige Voraussetzung für ein gutes Ergebnis ist der Zustand und die Funktion des unteren Sprunggelenkes. Nach einer erfolgreichen Versteifungsoperation ist das obere Sprunggelenk zwar nicht zwar beweglich. Das untere Sprunggelenk ermöglicht aber durch den Ausgleich der oben verloren gegangenen Beweglichkeit trotzdem eine alltagstaugliche Funktion und über das Chopart-Gelenk auch eine Restbeweglichkeit des Fußes in vertikaler Richtung.
Patienten mit Versteifung des oberen Sprunggelenkes können häufig ohne im Alltag sichtbare Einschränkungen gehen. Nach erfolgreicher Versteifung sind die Schmerzen im Gelenk und damit die belastungsabhängigen Beschwerden vorüber. Da sich eine Versteifung nicht mehr lockert, ist die resultierende therapeutische Sicherheit für den Patienten sehr hoch. Das Resultat der Versteifung ist sicherer, als das einer Sprunggelenksprothese. Auch das Risiko einer Lockerung durch zu starke Belastung ist nach Arthrodese nicht vorhanden. Das macht sie zu einer geeigneten Lösung für sehr aktive oder körperlich arbeitende Patienten.
Ganganalysen zeigen, dass Patienten mit einer Versteifung des oberen Sprunggelenkes im Alltag gehen können, ohne zu Hinken. Erst bei schnellem Gehen erhöht sich die Sichtbarkeit der Bewegungseinschränkung.
Arthrodese bei schweren Fehlstellungen an Fuß- und Sprunggelenk
Die Lebensdauer von Sprunggelenksprothesen ist zwar wesentlich besser geworden. Standzeiten von über 10 Jahren sind möglich. Die Wahrscheinlichkeit eines Prothesenversagens ist am Sprunggelenk aber wesentlich höher, als an Knie oder Hüfte. Sprunggelenksprothese sind bei schweren Fehlstellungen des Sprunggelenks oder des Rückfußes nicht lange haltbar. In diesen Fällen ist die Versteifung des Sprunggelenks die dauerhaftere Therapiemöglichkeit. © Gelenk-Klinik
Patienten mit Arthrose im oberen Sprunggelenk hatten häufig über viele Jahre starke Einschränkungen der Lebensqualität und haben einen langen Leidensweg hinter sich. So stellen sich bei uns immer wieder Patienten vor, die durch jahrelanges Gehen in Spitzfußstellung bereits die Nachbargelenke, v.a. das untere Sprunggelenk, geschädigt haben.
Die frühzeitige Arthrodese des Sprunggelenkes oder auch die Versorgung mit einer Sprunggelenks-Prothese in einer korrekten Stellung kann diese irreversiblen Folgeschäden am Nachbargelenk vermeiden.
Daher sollte man die Fehlstellung und Einschränkungen prüfen lassen. Schäden an gesunden Gelenkes durch die Fehlstellung sind unnötig und sollten nicht in Kauf genommen werden.
Voruntersuchungen vor der Sprunggelenksarthrodese
Klinische Untersuchung vor der Versteifung des Sprunggelenks: Unser Fußchirurg Dr. Schneider untersucht die Beweglichkeit und Funktion des Sprunggelenks mit Sprunggelenksarthrose. © Gelenk-Klinik
Vor einer Sprunggelenksarthrodese müssen verschiedene Untersuchungen zur Beurteilungen der Situation im Sprunggelenk durchgeführt werden. Dabei wird nicht nur die Arthrose des Sprunggelenks und die Situation der Bänder geprüft: Auch die Vitalität und Gesundheit des Weichteilmantels ist für den Ausgang der Versteifungsoperation von entscheidender Bedeutung. Wir wollen auch die Vitalität des Knochenstoffwechsels prüfen: Für den Erfolg der Versteifungsoperation ist sind die Heilungsaussichten des Knochengewebes von entscheidender Bedeutung.
Untersuchung der Weichteile um das Sprunggelenk
Bei der Befragung und klinischen Untersuchung wollen wir auch auf die Weichteilverhältnisse (Narben und die Durchblutung) eingehen. Ein intakter Weichteilmantel um Fuß und Sprunggelenk und gut durchblutete, gesunde Haut ist ganz entscheidend für die komplikationsfreie postoperative Heilung nach der Versteifung.
Gefäßuntersuchungen mittels Duplexsonographie oder Doppleruntersuchungen können daher in Verdachtsfällen sinnvoll sein. Mit diesen Untersuchungen kann die intakte Durchblutung des Weichteilmantels um das Sprunggelenk dargestellt werden. Diese Durchblutung ist wichtig für normale Heilungsprozesse nach der Operation.
Untersuchung der Sprunggelenksfunktion und des Gangbildes
Fehlstellungen und Funktionsstörungen des oberen Sprunggelenkes, aber auch des gesamten Beines oder des Fußes einschließlich unterem Sprunggelenk sollen untersucht und beurteilt werden.
Kontraindikationen und erschwehrende Umstände
- Osteoporose (bzw. Störung des Stoffwechsels der Knochen)
- Durchblutungsstörung im Fuß-Sprunggelenksbereich
- Heilungsstörungen der Haut.
- Schwere Deformität des Sprunggelenks.
Die klinischen Untersuchung kann durch eine Ganguntersuchungen und Messung der dynamischen Druckverteilung (pedobarographische Untersuchung oder Podometrie) ergänzt werden. Funktionsuntersuchungen der Muskulatur und Sehnen können den Einfluß von Arthrose, Schonhinken und Bewegungsänderungen auf die Bewegungsorgane zeigen. Eine neurologische Untersuchung, elektromyographische Beurteilungen zeigen die Muskelaktivität, die sich bei Arthrose charakteristisch verändert.
Eine Knochendichtemessung (Osteodensitometrie) zeigt die Stoffwechselaktivität des Knochengewebes. Bei einer guen Knochendichte ist auch ein gutes Zusammenheilen der Arthodese zu erwarten. Eine geringe Knochendichte - kennzeichnend für Osteoprose - benötigt besondere Beachtung und evtl. auch zusätzliche knochenaufbauende Behandlung, weil es einer zu verzögerten Fusion der Knochen in der Arthrodese kommen kann.
Seitliche Röntgenaufnahme einer Arthrose im oberen Sprunggelenk. Der Patient steht, das Sprunggelenk ist also belastet. Da kein Knorpel im Gelenkspalt mehr vorhanden ist, ist der Spalt im Röntgen unter Belastung auch nicht mehr sichtbar. © Gelenk-Klinik.de
Bildgebende Untersuchungen: Sonographie, Röntgen und MRT
Eine röntgenologische Bildgebung muss im Stehen unter Belastung und in mit standardisierten Aufnahmen durchgeführt werden. Hierbei werden nicht nur das obere Sprunggelenk sondern auch die direkt benachbarten Gelenke am unteren Sprunggelenk und zusätzlich der gesamte Fuß abgebildet. Der Grad der Arthrose kann mit einem Röntgenbild unter Belastung viel besser dargestellt werden, als mit einem belastungsfreien MRT-Bild: Unter Belastung ist die Verschmälerung des Gelenkspaltes im Sprunggelenk charakteristisch für die Arthrose. Die Röntgenuntersuchung ist aber nur im Kontext der klinischen Untersuchung aussagekräftig. Manchmal haben Patienten mit im Röntgenbild sehr deutlicher Arthrose im Sprunggelenk nur wenig Schmerzen. Sie sind in Ihrem Lebensstil kaum eingeschränkt. Hier ist eine Versteifung oder Gelenkersatz nicht indiziert.
Daneben gibt es Patienten, die schon bei geringgradiger Arthrose in der Bildgebung starke Schmerzen und Gehbehinderungen haben. Hier ist es die Aufgabe des Spezialisten, die bestmögliche Therapie mit der für diesen Patienten geringstmöglichen Eingriffsschwelle zu finden. Wir streben hier eine gelenkerhaltende Therapie der Sprunggelenksarthrose an, wenn das Gelenk noch erhalten werden kann.
Im MRT (Magnetresonanztomografie) ist die Weichteilsituation - dazu gehören auch die Bänder am OSG - sehr gut darstellbar. Da z. B. ein Verlust des Innenbandes eine Kontraindikation für die Verwendung einer Sprunggelenksprothese darstellt, und daher eine Arthrodese nahelegt, ist diese Untersuchung wesentlich für die Indikationsstellung.
Für die Planung eines Versteifungseingriffes sind auch Ganzbeinaufnahmen zur Vermeidung von Fehlpositionierungen sinnvoll. Hierbei wird auch der Zustand von Hüftgelenk - und Kniegelenk beurteilt. Nicht nur das Sprunggelenk, sondern auch das untere Sprunggelenk werden untersucht. Hierbei geht es um Fehlstellungen, aber auch um Vorschädigungen dieser Gelenk. Weil das untee Sprunggelenk einen großen Teil der bei der Arthrodese reduzierten Beweglichkeit wieder kompensieren muss, ist eine gute Gelenksfunktion wesentlich für eine dauerhaft gute Lebensqualität nach Sprunggelenksarthrodese.
Planung der Arthrodese des Sprunggelenks
Eine Spitzfußstellung in der Versteifung soll vermieden werden. Diese Regel kann gebrochen werden, wenn der Patient eine ausgeprägte Beinlängendifferenz hat. Für eine Schuh- und Orthesenversorgung ist der Spitzfuß dann eher günstig. Bei Frauen kann eine Versteifung des Sprunggelenkes in Neutralstellung erfolgen: Das ist ein rechter Winkel im Gelenk. Frauen bevorzugen etwas höhere Absätze bis 5 cm und auch Barfußgehen ist damit gut möglich. Diese Möglichkeit hängt selbstverständlich von der Beweglichkeit der Nachbargelenke ab.
Bei Männern hat sich ein Arthrodesewinkel von 10-15° aus der Neutralstellung Richtung in Fußrücken am günstigsten erwiesen, also ein leicht angezogener Fuß. Bei erhaltener Beweglichkeit der Nachbargelenke kann der Patient normal auf dem Fuß stehen: Beim Abrollen werden die Nachbargelenke nicht wesentlich in Ihrer Endstellung belastet.
Zusätzliche Stabilisierung der Arthrodese des Sprunggelenks
Mit Hilfe der Gelenkkapsel und der Sehnen und Bänder des Sprunggelenks wird zusätzlich zu den Knochenschrauben eine Stabilisierung des versteiften Sprunggelenks bis zur vollständigen Fusion ermöglicht. © Gelenk-Klinik.de
Mit Hilfe der natürlichen Gelenkkapsel, die wir bei der Versteifungsoperation erhalten wollen, und der Sehnen, erreichen wir eine stabile Position des versteiften Sprunggelenks. Das erleichtert die stabile Einheilung bei der Arthrodese. Die daraus resultierende Belastung des Vorfußes erhöht die Kompression (den Druck) im Gelenkspalt: Damit wird die Einheilung der beiden Knochen zur Arthrodese abgesichert und beschleunigt.
Durch den Erhalt der hinteren Gelenkkapsel ist die Arthrodese bei Belastung, also beim draufstehen, schon ohne weitere Maßnahmen stabil. Die Aufgabe der Schraubenosteosynthese (Knochenverbindung mit Schrauben) besteht darin, das Sprungbein auch bei Nichtbelastung in der richtigen Stellung in der Sprunggelenksgabel zu halten. Durch die Nutzung der Gelenkkapsel als Stabilisator kann die Osteosynthese also mit nur 2 Schrauben erfolgen, die von hinten nach vorne zeigend (in ventraler Richtung) eingebracht werden.
Diese hohe Stabilität ermöglicht gleich nach der Operation eine kräftige Teilbelastung von 30-40 kg.
In der Ansicht von hinten oder vorne ist eine gute Stellung besonders wichtig. Für eine gute Fußfunktion hat sich eine vermehrte Valgusstellung (X-Stellung des Fersenbeines oder Pronation) mit einem leichten Knickfuß im Winkel von 10°-15° bewährt.
Da die Pronationsbewegung besonders wichtig ist und häufig bei einer Arthrose des oberen Sprunggelenks verloren geht, ist der Valgus (X-Stellung) der Ferse besser als eine Varusstellung (O-Stellung), die mit einer vermehrten Belastung des Fußaußenrandes einhergeht.
Für wen ist eine Sprunggelenksarthrodese geeignet?
Die Sprunggelenkversteifung hat als Goldstandard der Behandlung eine große Bedeutung für Patienten mit Sprunggelenksarthrose. Bei einem schmerzhaften Arthrose des oberen Sprunggelenks, das oft mit Fehlstellung und Schädigung des Sprunggelenkes einhergeht, führt die Arthrodese zuverlässig Stabilität und schmerzfreie Belastbarkeit herbei. Auch im Zeitalter zunehmend stabiler Sprunggelenksprothesen hat die Arthrodese des Sprunggelenk als Goldstandard der operativen Therapie bei Sprunggelenksarthrose noch immer einen hohen Stellenwert. Alle anderen Therapien müssen sich an den Ergebnissen der Arthrodese messen.
Die Versteifung des Sprunggelenks führt nur selten zu Restbeschwerden. Die Ergebnisse sind gut - unabhängig vom Alter der Patienten. Dies ist zum Beispiel der Fall bei Fehlstellung, die über Jahre bestehen, die nicht operativ ausgeglichen werden können. Eine Arthrodese kann zum Teil über mehr als 25 Jahre lang problemlos schmerzfreie Belastbarkeit schaffen.
Patienten mit einer sehr starken Zerstörung des Sprunggelenkes, aber auch Patienten mit hohem Körpergewicht und sehr hoher Aktivität (Sport oder berufliche Belastungen) können mit Hilfe der Arthrodese eine entscheidende Verbesserung der Lebensqualität erzielen - auch im Vergleich zu allen anderen Versorgungsalternativen.
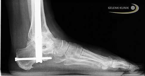
Wie wird die OSG-Arthrodese durchgeführt?
Die Arthrodese des Sprunggelenks kann für viele Patienten wieder schmerzfreie Belastbarkeit herstellen. Die Arthrodese des Sprunggelenks wird mit Schrauben oder Marknägeln durchgeführt, die das Gelenk in fester Position fixieren, bis die Verknöcherung vollständig ist. © Gelenk-Klinik
Bei der Sprunggelenksversteifung wird der Patient entweder unter Narkose operiert oder - bei lokaler Betäubung - sediert. Durch Hautschnitte wird der Zugang zum Sprunggelenk eröffnet. Bevor die Osteosynthese begonnen werden kann, wird das Sprunggelenk vollständig von Gelenkknorpel befreit: Die Gleitschicht zwischen den Gelenkpartnern im Sprunggelenk wird also entfernt. Erst dann besteht ein direkter Kontakt zwischen Schienbein und Talus, der das Verwachsen der beiden Knochen erlaubt.
Der für die Osteosynthese wichtige, stabile Knochenkontakt wird durch Schrauben oder Platten aufrechterhalten.
Bei der Arthrodesierung (Versteifung) des Sprunggelenks wird der Weichteilmantel um das Sprunggelenk durch zwei Schnitte geöffnet. Bei den arthroskopisch durchgeführten Versteifungen, die wir nach Möglichkeit einsetzen, sind diese Schnitte sehr klein. Weichteilschonendes Arbeiten ist uns sehr wichtig: Nur wenn wir die Narbenbildung so gering wie möglich halten, besteht zu einem späteren Zeitpunkt die uneingeschränkte Möglichkeit, die Sprunggelenksversteifung wieder zu einer beweglichen Prothese zu revidieren.
Die Arthrodese des Sprunggelenks kann auch mit Hilfe eines Marknagels durchgeführt werden, der Schienbein, Sprungbein und Fersenbein stabil verbindet. Vor allem Arthrose des unteren Sprunggelenks und schwere Fehlstellungen des Fersenbeines können diese Methode der Sprunggelenksarthrodese erforderlich machen. Bei dieser Anwendung des Marknagels zur Versteifung des Sprunggelenks wird zusätzlich das Gelenk zwischen Fersenbein und Sprungbein versteift. © Gelenk-Klinik
Mit den in der Vergangenheit verwendeten Techniken einer Sprunggelenkarthrodese dauerte die knöcherne Konsolidierung sehr lange und erforderte eine lange Ruhigstellung im Gipsverband. Die Problematik dieser langen Ruhigstellung bestand in einem Verlust der Geschmeidigkeit des Fußes und seine Anpassungsfähigkeit wurde gestört. Fortschritte wurden bei der Sprunggelenksarthrodese durch das Prinzip der Kompression bei Versteifungsoperationen erreicht.
Die Stellung der Arthrodese ist für die optimale Funktion extrem wichtig. Daher ist die korrekte Präparation der Gelenkflächen von größter Bedeutung, um diese Stellung zu ermöglichen. Die Stellung des Sprunggelenkes und Fußes beeinflusst den Gang, die Schrittlänge, die funktionelle Beinlänge, die Anforderungen an das Nachbargewebe und die Stabilität des Kniegelenkes.
Die bei der Arthrodese eingebrachten Metallimplantate müssen unter normalen Umständen nicht entfernt werden. Sie bleiben auch nach der vollständigen Arthrodese ohne Nachteile an Ort und Stelle.
Die pantalare Arthrodese des Sprunggelenks verbindet Sprungbein (Talus), Schienbein (Tibia), das Kahnbein (Os naviculare und das Würfelbein (Cuboid) miteinander. Die pantalare Arthrodese ist also eine Versteifung des unteren Sprunggelenks. Damit wir die normale Rückfußfunktion stark verändert. Diese umfassende Versteifung aller wesentlichen Fußgelenke wird bei umfassenden Erkrankungen der Gelenke und Sehnen am Fuß als Mittel der letzten Wahl durchgeführt. © Gelenk-Klinik
Externer Inhalt von youtube.com
Mögliche Komplikation: Pseudarthrose (Falschgelenkbildung)
Wie bei jeder Operation gibt es bei der Sprunggelenksversteifung die allgemeinen Operationsrisiken: Infektion, Gerinnungsstörung, dauerhafte Schäden an Blutgefäßen oder Nerven. Diese allgemeinen Komplikationen halten wir durch sorgfältigen Umgang mit den Operationsrisiken unter Kontrolle. Sie können aber nie ganz ausgeschlossen werden.
Die wesentliche Komplikation bei Sprunggelenksarthrodese ist jedoch das Ausbleiben einer stabilen Knochenverheilung. Dieser Mangel an fester Verbindung wird auch als "Falschgelenk" oder Pseudarthrose bezeichnet. Die Fusion der Knochen in der Arthrodese wird bei Pseudarthrose nicht fest, sondern bleibt beweglich. Dieses Risiko besteht prinzipiell bei allen Versteifungsoperationen oder bei verheilenden Knochenbrüchen. Über 90% aller Arthrodesierungen am Sprunggelenk erfolgen aber problemlos. Eine Pseudarthrosebildung muss dann durch eine Erneuerung der Fusionsschauben und ggf. auch durch Knochenimplantate im Sprunggelenk operativ revidiert werden, so dass die Knochen dann doch noch stabil zusammenwachsen.
Eine weitere, langfristige Komplikation der Versteifung ist die Überlastung benachbarter Gelenke im Fuß, die sogenannte Begleitarthrose. Sie entwickelt sich, wenn überhaupt, meist schleichend über Jahre und kann zu Arthrose in weiteren Fußgelenken führen, vor allem im Bereich der Fußwurzelgelenke.
Nachbehandlung und Sport mit Sprunggelenksarthrodese
Bei einer arthroskopisch operierten Arthrodese erhält der Patient für 8 Wochen eine Orthese. In dieser Zeit darf er seinen Fuß maximal mit halbem Körpergewicht belasten. Bei einer offenen Operation hängt es von der Form der Arthrodese ab. Wenn noch Knochen eingesetzt worden ist, darf der Fuß über 12 Wochen mit maximal 20 kg belastet werden. Skifahren oder allgemein Sport (ausgenommen Gehen und Radfahren) sollte nicht vor einem Jahr wieder ausgeübt werden.
Das obere Sprunggelenk unterstützt vor allem die vertikale Beweglichkeit des Fußes. Durch Versteifung wird diese Beweglichkeit vermindert. Die Fußwurzelgelenke können das zum Teil ersetzen, sodass bei normaler Gehgeschwindigkeit keine Änderung des Gangbildes zu beobachten ist. Der Fuß ist also nicht ganz versteift. Auch die seitliche Beweglichkeit des Fußes, die durch das untere Sprunggelenk unterstützt wird, bleibt erhalten. Im Alltag ist mit normalen Schuhen und normaler Gehgeschwindigkeit also kein Hinken zu beobachten.
Patienten mit Arthrodese können dem Sprunggelenk auch schwere Belastungen zumuten. Typischerweise gehören körperliche Schwerarbeiter zu Patienten, bei denen die Arthrodese bevorzugt wird. Wenn Sie Fragen haben, sollten Sie Ihr Bewegungsprogramm stets eingehend mit uns besprechen.
Kann ich auch nach der Versteifung noch eine Sprunggelenksprothese bekommen?
Es ist prinzipiell möglich, auch später, nach vielen Jahren, eine Sprunggelenksarthrodese zu einer Prothese zu revidieren. Wir führen diese Behandlung immer häufiger durch bei Patienten, deren Versorgungswunsch sich nach einigen Jahren geändert hat. Manchmal legt auch eine Begleitarthrose in den Fußwurzelgelenken den Wechsel zu einer beweglichen Sprungggelenksprothese nahe. Die Fußgelenke werden durch das mit Prothese wieder vollbewegliche Sprunggelenk entlastet. Die meisten Patienten haben mit einer Arthrodese aber eine so gute Lebensqualität, das kein Grund für den Wechsel zu einer Sprunggelenksprothese besteht.
Ebenso kann auch nach Jahren jederzeit von einer Sprunggelenskprothese auch zu einer Versteifung gewechselt werden. Das ist bei Prothesenversagen eine wichtige Behandlungsmöflichkeit.
Was sind die negativen Begleiterscheinungen einer Sprunggelenksarthrodese?
Durch die Versteifung werden die beim Gehen auf dem Fuß wirkenden Kräfte ganz anders verteilt. Die Belastung der Fußwurzelgelenke ist bei Versteifung des Sprunggelenks größer. Das kann in einigen Fällen zu Gelenkverschleiß und schließlich zu einer Begleitartrose in den Fußwurzelgelenken führen.
Ist eine Instabilität des Sprunggelenks möglich?
Bei der Arthrodese ist Umknicken unwahrscheinlich, weil das Sprunggelenks versteift ist. Bei einer Prothese ist das durchaus möglich, weil die Bänder immer noch eine stabilisierende Rolle spielen. Bei starker Bandschädigung, vor allem der Innenbänder, gibt es zur Versteifung daher keine Alternative.
Ist die horizontale Beweglichkeit des Fußes nach Sprunggelenksversteifung noch vorhanden?
Für die Seitwärtsbewegung ist das untere Sprunggelenk zuständig. Daran ändert sich also durch die Versteifung nichts. Damit ist auch noch die Fähigkeit erhalten, beim Gehen unebene Untergründe auszugleichen. Das ist wichtig, denn so bleibt der Patient auch mit Sprunggelenksversteifung "geländegängig"
