- Symptome: Wie spüren Sie eine Sprunggelenksarthrose?
- Ursachen der Arthrose im Sprunggelenk
- Stadien der Sprunggelenksarthrose
- Diagnose der Sprunggelenksarthrose: Arztgespräch und Untersuchung
- Konservative Therapie der Sprunggelenksarthrose
- Übungen und Physiotherapie bei Sprunggelenksarthrose
- Operative Therapie der Sprunggelenksarthrose
- Häufige Patientenfragen zu Sprunggelenksarthrose an Dr. Schneider von der Gelenk-Klinik Freiburg

Sprunggelenksarthrose, also der Verschleiß der Knorpelschicht im Sprunggelenk, trifft meist jüngere Patienten. Nur etwa 1 % aller Erwachsenen leiden unter einer schmerzhaften Sprunggelenksarthrose.
Das Sprunggelenk ist eigentlich weniger anfällig für Arthrose als Hüfte oder Knie. Meist begünstigen konkrete Ursachen wie Unfälle das Auftreten einer Sprunggelenksarthrose. Dieser Zusammenhang zu einem früheren Unfallereignis kann für ca. 80 % aller Patienten mit Arthrose im oberen Sprunggelenk (OSG) eindeutig hergestellt werden.
Die Entwicklung einer Arthrose im Sprunggelenk dauert ab dem auslösenden Trauma durchschnittlich 20 Jahre. Nur 5 % bis 10 % aller Fälle treten als primäre Sprunggelenksarthrose ohne konkrete Ursache auf.
Externer Inhalt von youtube.com
Symptome: Wie spüren Sie eine Sprunggelenksarthrose?
Symptome der Sprunggelenksarthrose:
- Anlaufschmerzen
- Ruheschmerzen am Morgen
- schnelle Ermüdung des Gelenks bei Belastung
- Verringerung der Gehstrecke (Belastungsschmerz)
- Reibegeräusche
- Bewegungsstörungen
- zunehmende Steifheit des Sprunggelenks
- Schwellung und Entzündung
- Verformung des Gelenks
- Blockierungen des Gelenks durch Einklemmung von Weichteilen, Knorpel und Knochenteilen
- Schmerzhaftigkeit beim Gehen auf unebenem Boden oder Gelände
Bei einer Arthrose im Sprunggelenk hat der Patient das Gefühl, sich am Morgen nach dem Aufstehen, nach einer Sitzpause oder nach einer Ruhephase erst "einlaufen" zu müssen. Das Gelenk ist "eingerostet" und häufig geschwollen. Auch Belastungen verträgt der Patient nicht mehr so gut: Nach einer körperlichen Anstrengung treten im Sprunggelenk mit Arthrose auch Tage danach noch Symptome wie Schmerzen und Schwellungen auf (sog. "Gelenkkater"). Durch zunehmende Sprunggelenksschmerzen beim Gehen nimmt die Lebensqualität mit Sprunggelenksarthrose stark ab.
Bewegungen mit Stoßbelastungen des Gelenks wie Joggen oder Tennis werden ganz unmöglich. Das Sprunggelenk schmerzt und versteift.
Die Arthrose des oberen Sprunggelenks tritt sehr häufig auf – sie gehört also zu den Volkskrankheiten. Im Endstadium der Arthrose ist das Sprunggelenk schmerzhaft versteift. Dann hilft den meisten Patienten eine Sprunggelenksprothese oder eine Arthrodese (Gelenkversteifung). Durch Gelenkersatz oder Gelenkversteifung bleiben Patienten mit schwerer Sprunggelenksarthrose weiterhin im Alltag gehfähig, auch wenn sportliche Leistungen mit hoher Laufintensität dann nicht mehr möglich sind.
Anatomie des Sprunggelenks

Drei Knochen sind am Sprunggelenk beteiligt: Im oberen Teil bilden Schienbein (Tibia) und Wadenbein (Fibula) eine Einheit. Sie werden durch die Syndesmosebänder zusammengehalten. Von unten spielt der Talus (Sprungbein) die Schlüsselrolle: Er nimmt das gesamte Körpergewicht auf und leitet es beim Gehen und Laufen an die Fußknochen weiter. Sowohl Talus als auch die Gelenkflächen von Sprungbein und Wadenbein sind von Knorpel bedeckt. Eine Fehlstellung des Sprungbeins erhöht die Gefahr der Sprunggelenksarthrose. Auch die Stabilität der Sprunggelenksgabel (Malleolengabel) ist sehr wichtig. Sie besteht aus dem Innenknöchel der Tibia und dem Außenknöchel der Fibula und umschließt den Talus von oben ähnlich einer Zange.
Ursachen der Arthrose im Sprunggelenk
Ursachen einer Arthrose im Sprunggelenk:
- Fehlstellungen im Sprunggelenk nach Bänderriss
- Fehlstellung im oberen Sprunggelenk nach Syndesmosebandriss
- Knochen- und Knorpelverletzungen nach Bänderriss
- Überlastung des Sprunggelenks durch Sport oder Übergewicht
- Bewegungsmangel
- Fehlstellungen und Störungen der Beinachse durch Fußfehlstellungen (Klumpfuß, Senkfuß, Hohlfuß)
- Fehlstellung nach einem fehlverheilten Bruch des Sprunggelenks
- Entzündungsvorgänge (Rheuma)
- neurologische Ursachen, z. B. Polyneuropathie (Schädigung peripherer Nerven) oder Nervenläsionen
- Stoffwechselstörungen: Gicht, Hämochromatose, Diabetes mellitus
Im Röntgenbild ist die Knorpelschicht nur indirekt durch den Abstand der Knochen im Gelenk sichtbar. Sie bildet den sogenannten Gelenkspalt. Ist diese Schicht noch ausgeprägt, halten die Gelenkpartner im Sprunggelenk einen im Röntgenbild deutlich sichtbaren Abstand zueinander.
Schwindet der Gelenkspalt durch Knorpelabrieb und Arthrose, resultiert eine erhöhte Belastung des angrenzenden Knochens. Die Folge ist vermehrter Knorpelabrieb.
Die stoßdämpfende Funktion des Gelenkknorpels im Sprunggelenk geht durch den Abrieb mehr und mehr verloren. Entzündungen mit Schwellung des Knöchels sind die Folge.
An den Rändern des Sprunggelenks, wo die Knochen nach zunehmender Verengung des Gelenkspaltes knirschend aneinanderreiben, kommt es zu überschießender Knochenbildung mit Knochenspornen (Osteophyten). Diese Knochensporne sind die direkte Folge des Knorpelschadens und markieren den Übergang zur Sprunggelenksarthrose.
Externer Inhalt von youtube.com
Sprunggelenksfraktur
Das obere Sprunggelenk erkrankt sehr häufig nach einer Sprunggelenksfraktur (Knochenbruch) an Arthrose. Meist tritt die Fraktur oberhalb der Sprunggelenksgabel auf. Eine solche Fraktur des Sprunggelenks kann viele unterschiedliche Schäden im Sprunggelenk zurücklassen. Dazu gehören vor allem Stufen in der Gelenkfläche. Die Form der Gelenkpartner kann sich ändern oder das Sprunggelenk wird instabil. Osteochondrale Läsionen (Schäden an Knochen und Knorpel) können sich zu einer gefährlichen Arthrose im Sprunggelenk entwickeln.
Die häufigste Fraktur betrifft den Außenknöchel der Fibula (Wadenbein). Diese Fraktur kann die Stellung des Wadenbeins im Sprunggelenk verändern. Durch die veränderte, fehlverheilte Knochenstellung im Sprunggelenk wird es instabil, was eine Arthrose begünstigt.

Bei den komplexeren Frakturen des oberen Sprunggelenks ist die Arthrosegefahr sehr hoch: Trümmerbrüche kann auch der beste Unfallchirurg selten ohne Veränderung der Gelenkform wieder zusammensetzen. Häufig entstehen Stufen in der Gelenkfläche und die Folge ist fast immer die Entstehung von Arthrose nach einigen Jahren.
Bandschäden
Zu den weiteren Auslösern von Sprunggelenksarthrose bei etwa 20 % aller Patienten mit OSG-Arthrose (OSG = oberes Sprunggelenk) gehören einmalige oder wiederkehrende Bandschäden durch Umknicken.
Fehlstellungen
Arthrose bildet sich ebenfalls aus, wenn sprunggelenksferne Knochenbrüche in einer Fehlstellung verheilen. Dies belastet den Knorpel im Sprunggelenk einseitig, wodurch es zum Verschleiß der Knorpelfläche kommt. Meist sind diese Schäden erst Jahre nach dem Ereignis sichtbar.
Fußfehlstellungen wie Hohlfuß oder Senkfuß beeinträchtigen das obere Sprunggelenk
Neben den erworbenen Ursachen können auch anlagebedingte Ursachen zu einer Sprunggelenksarthrose führen: angeborene Klumpfüße, Plattfüße oder manche Formen des Hohlfußes.
Der Knick-Senkfuß oder Plattfuß, bei dem das Fußlängsgewölbe stark abgesenkt ist, wird häufig begleitet von einer Fehlstellung des Fersenbeins nach außen (Valgusstellung). Weil das Sprungbein direkt auf dem Fersenbein aufliegt, schadet die X-Fehlstellung des Fersenbeins auch der Funktion des Sprunggelenks. Der Knorpel im äußeren Bereich des Sprunggelenks wird stärker belastet und verschleißt einseitig. Der Knick-Senkfuß kann neben erworbenen Ursachen auch angeboren sein und sich aus einer Störung in der embryonalen Entwicklung im Mutterleib herausbilden. Dabei bleiben knöcherne Verwachsungen im Mittelfuß oder Rückfuß bestehen. Man spricht medizinisch von tarsalen Koalitionen.
Bei der Hohlfußfehlstellung liegt ebenfalls eine Belastung des Sprunggelenks vor. Der Hohlfuß geht häufig einher mit einem stark erhöhten Fußlängsgewölbe und einem nach innen gestellten Fersenbein (Varusstellung oder O-Stellung). Auch diese Fehlstellung des Fersenbeins ändert die Position des Sprungbeins: Der Knorpel wird innen stärker abgerieben. Eine Sprunggelenksarthrose kann die Folge sein.


Knochen-Knorpelverletzungen (osteochondrale Läsionen)
Die mit Frakturen und Distorsionen (Verdrehungen) einhergehenden Quetschungen der Gelenkflächen im Sprunggelenk führen zum Absterben von Knorpelzellen. Gelenkflüssigkeit kann in den subchondralen – also unter dem Knorpel liegenden – Knochen eindringen. Diese schmerzhaften Ödeme sind typisch für Verstauchungen. Unter den Gelenkflächen können sich infolge dieser Knochen-Knorpelverletzungen flüssigkeitsgefüllte Zysten (Hohlräume) bilden, die die Gelenkfläche weiter destabilisieren. Bei Verletzungen, die Knorpel und Knochen gleichermaßen betreffen, spricht der Orthopäde von Osteochondrose.
Aseptische Nekrose oder Osteochondrosis dissecans im Sprunggelenk
Bei einer aseptischen Nekrose des Talus (Sprungbein) stirbt das Knochengewebe unter dem Knorpel wegen Durchblutungsstörungen ab. Im ersten Stadium lagert sich Wasser in das Knochengewebe ein. Ein schmerzhaftes Ödem entsteht. Die Krankheitsprozesse bei Knochennekrose und bei Osteochondrosis dissecans im Sprungbein sind nicht wirklich unterscheidbar. Osteochondrosis dissecans im Sprunggelenk tritt eher bei jugendlichen Patienten auf. Im späteren Lebensalter bezeichnet man das vergleichbare Phänomen der Durchblutungsstörung als Osteonekrose. Das Ergebnis ist in beiden Fällen ähnlich: eine zerstörte Gelenkfläche. Bei Osteochondrosis dissecans entsteht dies durch das Ablösen eines Knochenfragmentes (sog. Dissekat oder "Gelenkmaus") aus der Gelenkoberfläche.
Knochendefekte am benachbarten Kahnbein (Os naviculare) wie beispielsweise bei Müller-Weiss-Syndrom haben Auswirkungen auf das Talonavikulargelenk und können als Spätfolge ebenfalls Sprunggelenksarthrose haben.
Bei der Knochennekrose des Talus zerstört der Kollaps der Gelenkoberfläche über dem Nekrosebereich die Gelenkfläche des Sprunggelenks.
Sprunggelenksarthrose nach Außenbandriss am Sprunggelenk

Schlecht verheilte Außenbandrupturen gehören mit zu den wichtigsten Auslösern für eine Arthrose des OSG (oberes Sprunggelenk).
Außenbandrupturen am Sprunggelenk behandelt man heutzutage – im Rahmen einer begründeten und wirksamen Therapie – meist durch Ruhigstellung mit einer Orthese. Für etwa 20 % aller Patienten ist diese Ruhigstellung aber nicht ausreichend. Eine Bandinstabilität bleibt zurück.
Lockere Bänder und Sehnen haben zur Folge, dass das Sprunggelenk nicht mehr richtig geführt wird. Es entsteht eine "Rotationsinstabilität" am Sprungbein. Die einzelnen Knochen des Sprunggelenks sind nicht mehr optimal zueinander platziert. Dabei verschiebt sich das Sprungbein bei jeder Bewegung in der Sprunggelenksgabel. Der Knorpel wird an manchen Stellen im Gelenk überlastet und abgerieben. Er geht also verloren, wodurch der Gelenkspalt sich verschmälert. Durch den Verlust des Gelenkspaltes verstärkt sich die Fehlstellung. Ein Teufelskreis entsteht.
Vor allem Patienten mit hoher sportlicher oder beruflicher Belastung sind davon betroffen. Für Patienten mit Arthrose im Sprunggelenk ist das Testen der Beweglichkeit und der Stabilität der Bandstrukturen ein wichtiger Baustein der Diagnose.

In den meisten Fällen muss die Instabilität des Außenbandes nicht operativ behandelt werden. Eine gezielte Physiotherapie und Eigenübungen aus der Sprunggelenksschule können die Instabilität sehr häufig wieder ausgleichen. In wenigen Fällen ist eine Operation dennoch indiziert.
Leider entfällt durch die hochgradig konservative Behandlung der Außenbandrupturen zu häufig die Nachuntersuchung. Diese wäre jedoch wichtig, um Restinstabilitäten in einem Zeitraum festzustellen, in dem sie der therapeutischen Intervention noch zugänglich sind.
Stoffwechselstörungen als Ursache der Sprunggelenksarthrose
Neben den unfallchirurgischen Ursachen der Sprunggelenksarthrose gibt es auch zahlreiche Stoffwechselveränderungen, die eine Arthrose im Sprunggelenk begünstigen können. Diese Ursachen sind allerdings wesentlich seltener als traumatisch und durch Fehlstellungen bedingte Sprunggelenksarthrosen.
Erkrankungen des rheumatischen Formenkreises
Rheumatische Erkrankungen von Muskeln, Sehnen, Knochen und Gelenken haben ziehende oder stechende Schmerzen zur Folge. Häufig verlaufen diese Schmerzen schubförmig. Ursachen können Entzündungen, Autoimmunerkrankungen oder Stoffwechselstörungen sein. Auch Arthritis sowie die aktivierte Arthrose gehören zu den Erkrankungen des rheumatischen Formenkreises. Viele Rheuma-Erkrankungen führen zur Zerstörung des Gelenkknorpels im Sprunggelenk und somit zur Sprunggelenksarthrose.
Bluterkrankheit und Arthrose im Sprunggelenk
Hämophilie (Bluterkrankheit) ist eine erblich bedingte Blutgerinnungsstörung. Die Einblutungen können in den Gelenken zur Knorpelzerstörung führen (sog. hämophile Arthropathie). Wegen der relativ hohen Gewichtsbelastung auf kleiner Fläche sind die Sprunggelenke von der hämophilen Arthropathie besonders häufig – auch beidseitig – von schmerzhafter Arthrose betroffen. Diese Form der Sprunggelenksarthrose ist meist nicht von einer Fehlstellung des Sprunggelenks begleitet. Wir versorgen Patienten mit Hämophilie (Bluterkrankheit) daher relativ häufig mit einer Sprunggelenksprothese oder führen Versteifungen (Arthrodesen) des Sprunggelenks durch.
Hämochromatose
Die Hämochromatose ist eine angeborene (erbliche) Störung des Eisenstoffwechsels. Die Einlagerung von Eisenstoffwechselprodukten kann zu einer beidseitigen Sprunggelenksarthrose führen. In vielen Fällen ist die Versteifung (Arthrodese) oder der Einsatz einer Sprunggelenksprothese die Therapie der Wahl für Patienten mit dieser stoffwechselbedingten Arthropathie (Gelenkerkrankung).
Fehlstellung des Rückfußes bei der Entstehung von OSG-Arthrose
Die korrekte Stellung des Sprungbeins (Talus) in der Sprunggelenksgabel ist von zentraler Bedeutung für die Gesundheit des Sprunggelenks. Jede Fehlstellung führt zu einseitiger mechanischer Belastung und zum Absterben der Knorpelschichten auf der Talusoberfläche. Damit wird die Stellung des Rückfußes zu einem zentralen Faktor, anhand dessen die Wahrscheinlichkeit einer Sprunggelenksarthrose beurteilt werden kann.
Valgusfehlstellungen wie bei einem Knick-Senkfuß (Stellung des Fersenbeins nach außen) führen zu einer Überlastung des äußeren Bereichs des Sprungbeins.
Es gibt eine ganze Reihe von Ursachen für eine Valgusfehlstellung:
- mediale Bandinstabilität (das sind die Bänder im Inneren des Sprunggelenks, u. a. das Ligamentum deltoideum)
- Fehlstellung des Fersenbeins
- Knick-Senkfuß wegen Schwäche der Tibialis-posterior-Sehne
Varusarthrose des Sprunggelenks
Die Varusarthrose des Sprunggelenks beruht auf einem nach innen gekippten Fersenbein (O-Stellung). So wird der Innenbereich des Sprungbeins überlastet und nutzt ab. Auch bei der Varusarthrose des Sprunggelenks ist die Ursache entweder posttraumatisch nach Malleolarfraktur (Knochenbruch im Bereich des Sprunggelenks) oder degenerativ, z. B. durch Rückbildung des Musculus tibialis posterior.
Unterschiedliche Formen der Arthrose im Sprunggelenk
Je nach Art und Ursache der Fehlstellung sind andere Bereiche des Talus (Sprungbeins) betroffen. Anhand der Lage der Arthrose kann der Spezialist einen Rückschluss auf die Ursache ziehen:
- mediale Arthrose des Sprunggelenks im inneren Bereich
- laterale Arthrose des Talus im äußeren Teil
- dorsalbetonte Arthrose im hinteren Teil des Sprunggelenks
- ventralbetonte Arthrose im vorderen Teil
Die zentrale Rolle der Bänder für die Funktion des Talus (Sprungbeins)
Die folgenden Bilder zeigen schematisch den Talus (Sprungbein) von oben gesehen. Die gelenkbildenden Partner Schienbein (Tibia) und Wadenbein (Fibula) sind gelb eingezeichnet. Das Sprungbein nimmt das gesamte Körpergewicht des Menschen beim Gehen auf. Kein Muskel hält das Sprungbein aktiv in Position. Lediglich Bänder sichern die Position des Talus. Diese umliegenden Bänder und Gelenke definieren das für die Entstehung der Arthrose wichtige Verhalten des Sprungbeins. Bei der Untersuchung der Sprunggelenksarthrose gilt diesem Zusammenhang unsere höchste Aufmerksamkeit.




Arthrose im Sprunggelenk ist meist kein altersbedingter Verschleiß
Arthrose im unteren Sprunggelenk kann auftreten
- im Subtalargelenk zwischen Fersenbein und Sprungbein,
- im talonavikularen Gelenk zwischen Sprungbein und Kahnbein,
- im calcaneocuboidalen Gelenk zwischen Fersenbein und Würfelbein.
Die Arthrose des oberen und unteren Sprunggelenkes entsteht – anders als die Arthrose von Hüfte und Knie – häufig infolge einer schon Jahre zurückliegenden Verletzung des Sprunggelenks:
Über 90 % der Fälle von Arthrose im Sprunggelenk sind eine Verletzungsfolge. Wenn ein bestimmtes Verletzungsereignis oder eine Grunderkrankung ursächlich für die Arthrose ist, sprechen wir von einer sekundären Sprunggelenksarthrose.
Die Therapiemöglichkeiten der Sprunggelenksarthrose verfolgen dabei immer das Ziel, einen Verlust an Lebensqualität zu vermeiden und das Sprunggelenk möglichst lebenslang zu erhalten.
Immer häufiger können wir bei richtiger Diagnose der Ursache eine gelenkerhaltende – im Gegensatz zu einer gelenkersetzenden (Prothese) oder gelenkversteifenden (Arthrodese) – Behandlung der Sprunggelenksarthrose durchführen.
Moderner Knorpelersatz (Knorpeltransplantation) kann beginnende Knorpelschäden wieder heilen und den Gelenkverschleiß stoppen. Diese Knorpelregeneration ist unter bestimmten Voraussetzungen zu einer zuverlässigen Therapie geworden.
Warum ist Sprunggelenksarthrose seltener als Kniearthrose?
- Der Knorpel im Sprunggelenk ist haltbarer gegenüber abbauenden Enzymen.
- Die Knorpelfläche im Sprunggelenk kann etwas besser regenerieren als im Knie.
- Der Talus (Sprungbein) passt exakt in die Sprunggelenksgabel: Gelenke mit einer hohen Kongruenz der Gelenkpartner sind stabiler gegenüber Arthrose.
Der Begriff Arthrose ist ein Sammelbegriff für Verschleißerscheinungen von Gelenken.
Ähnlich wie ein ungenauer Begriff wie "Bauchschmerz" nichts über die Ursache des Schmerzes aussagt, sagt auch die "Sprunggelenksarthrose" nichts über die spezifische Ursache der Gelenkerkrankung aus. Durch eine eingehende Diagnostik aller Bestandteile des Sprunggelenks gelingt es dem Arzt, die Ursache der Beschwerden herauszufinden.
Die Ursachen der Sprunggelenksarthrose stehen meist in Verbindung mit lange zurückliegenden Ereignissen wie einem Umknicktrauma, Sturz oder Verkehrsunfall.
Es gibt viele Mechanismen, die nach langer Zeit schließlich zu einer Sprunggelenksarthrose führen können. Dazu zählen beispielsweise ein freier Gelenkkörper (Dissekat), eine Achsfehlstellung, eine Bandverletzung und fehlverheilte Sprunggelenksbrüche.
Der Sprunggelenksarthrose können also völlig unterschiedliche Ursachen zugrunde liegen. Diese Faktoren gilt es durch die ärztliche Untersuchung herauszufinden, um eine gelenkerhaltende Behandlungsstrategie entwerfen zu können.
Gemeinsam ist diesen unterschiedlichen Ursachen und Krankheitsverläufen lediglich das schmerzhafte Endstadium: der Gelenkverschleiß im Sprunggelenk durch Abbau und Zerstörung der Knorpelschicht auf den Gelenkflächen.
Wer bekommt eine Sprunggelenksarthrose?
Wie häufig betreffen Sportunfälle das Sprunggelenk?
- Volleyball 40 %
- Basketball 39 %
- Fußball 36 %
- Trampolin 31 %
- Laufen/Joggen 30 %
Verglichen mit der Arthrose von Hüfte und Knie tritt eine Sprunggelenksarthrose relativ selten auf. Patienten mit Arthrose im Sprunggelenk sind durchschnittlich wesentlich jünger als andere Arthrosepatienten. Die Ursache ist meistens traumatisch, also unfallbedingt. Das Trauma führt zu Fehlstellungen und Überbeweglichkeit des Sprunggelenks, woraus sich später eine Arthrose entwickelt. Die genaue Analyse der Fehlstellungen und die Wiederherstellung der Belastungsachse sind stets die Grundlage der gelenkerhaltenden Therapie des Sprunggelenks. Findet diese Untersuchung nicht statt, können wir die Arthroseschmerzen und den Verschleiß nur symptomatisch behandeln.
Stadien der Sprunggelenksarthrose
Knorpelveränderungen bei Arthrose im Sprunggelenk
- Grad 0: gesunder gleitfähiger Knorpel
- Grad 1: Knorpelerweichung, Störungen der Knorpelstruktur
- Grad 2: mäßige Störung des Bindegewebes im Knorpel
- Grad 3: Einrisse in der Knorpeloberfläche, Aufrauung
- Grad 4: Knochen ist nicht mehr von Knorpel bedeckt, "Knorpelglatze"
Eine Arthrose des oberen Sprunggelenkes entsteht durch einen jahrelangen Krankheitsprozess. Am Anfang steht immer eine Schädigung des Gelenk-knorpels (Osteochondrose). Nach dieser initialen Schädigung ist die Knorpelfläche nur noch vermindert belastbar.
Der geschädigte Knorpel ist an seiner Oberfläche deutlich rauer als gesunder Knorpel. Es resultiert ein vermehrter Knorpelabrieb im Gelenk. Die Farbe des Gelenkknorpels ändert sich von weiß zu gelblich.

Zu Beginn der Arthrose im oberen Sprunggelenk ist die Beeinträchtigung nur unter starker Belastung (Kontaktsport, Fußball, Tennis) bemerkbar. Das Gelenk bleibt nach der Belastung länger schmerzhaft, bis es sich wieder erholt hat.
Später kann aber auch die gewöhnliche Alltagsbelastung zu Schmerzen führen. Die Reibung glatter Knorpelflächen in einem gesunden Gelenk beträgt nur einen Bruchteil der Reibung zweier Eiswürfel aneinander.
Die Aufrauung oder das komplette Aufbrechen der Knorpelfläche erhöht die Reibung sehr stark. Im Laufe der Zeit geht neben der Gleitfunktion auch die stoßdämpfende Funktion des Knorpels im Sprunggelenk verloren.
Die abgeriebenen Partikel des Knorpels unterhalten den weiteren Verschleiß des Gelenks, da die entstehende fortlaufende Entzündungsreaktion im Gelenk den bereits geschädigten Knorpel weiter schwächt. Es resultiert eine vermehrte Belastung des angrenzenden Knochens, da die Dämpfung durch den immer weniger elastischen Knorpel nachlässt. Hierdurch bilden sich Knochenanbauten (Osteophyten) am Sprunggelenk, die das Gelenk zunehmend in der Bewegungsfähigkeit einschränken.
Externe Fachartikel zu Sprunggelenksprothese
Klassifikation: primäre und sekundäre Sprunggelenksarthrose
Man unterscheidet nach der Ursache der Sprunggelenksarthrose:
- primäre Sprunggelenksarthrosen (primäre OSG-Arthrosen)
- sekundäre Sprunggelenksarthrosen (sekundäre OSG-Arthrosen)
Klassifikation nach Ursachen der Sprunggelenksarthrose:
- nach Unfall entstehende Sprunggelenksarthrosen
- rheumatisch bedingte Sprunggelenksarthrosen
- infektionsbedingte Sprunggelenksarthrosen
- als Folge einer neurologischen Lähmung entstehende Sprunggelenksarthrosen
Bei der primären Sprunggelenksarthrose ist die Ursache nicht geklärt. Sie entsteht scheinbar spontan ohne Auslöser oder erkennbare Ursachen. Diese Form der Arthrose des Sprunggelenks ist selten. Man vermutet, dass es sich hierbei ebenfalls um traumatische Einwirkungen mit Knorpelschäden handelt, die nicht als solche erkannt wurden.
Sehr viel häufiger als bei anderen großen Gelenken (Knie, Hüfte) liegt der Arthrose des Sprunggelenks eine konkrete Ursache zugrunde. Diese sogenannte sekundäre Sprunggelenksarthrose kann verschiedenste Ursachen haben. Meistens ist ein Unfall (Trauma) vorausgegangen.
Diagnose der Sprunggelenksarthrose: Arztgespräch und Untersuchung
Die Untersuchung einer Sprunggelenksarthrose umfasst:
- Knorpel: die Gleitschicht zwischen den knöchernen Gelenkpartnern
- Knochengewebe unterhalb des Knorpels (subchondraler Knochen)
- Bänder und Sehnen, die das Gelenk führen
- Belastungsachse und Fehlstellungen der Fußknochen (v. a. Talus, Fersenbein, Sprunggelenksgabel)
- Gelenkschleimhaut (Synovialmembran, die Gelenkschmiere bildet)
- Gelenkspalt
Gründe für einen Arztbesuch sind meist starke Sprunggelenkschmerzen und Schwellungen. Treten die Schmerzen belastungsabhängig auf, also direkt nach dem Sport oder nach einer Wanderung, ist das ein Hinweis auf ein frühes Stadium der Sprunggelenksarthrose. Ruheschmerzen und Dauerschmerzen im Sprunggelenk weisen den Arzt auf eine fortgeschrittene Sprunggelenksarthrose hin.
Ein weiteres Anzeichen einer Sprunggelenksarthrose ist frühzeitige Ermüdung bei Belastung.
Zunächst verspüren Betroffen gelegentlich Schmerzen im Sprunggelenk, nachdem der Fuß stärker belastet wurde. Die Sprunggelenksbeschwerden nehmen im Verlauf der Erkrankung zu und die Belastbarkeit verringert sich. Die immer wiederkehrenden Entzündungen der Gelenkkapsel tragen zur abnehmenden Beweglichkeit des Sprunggelenks bei. Ein charakteristisches Entlastungshinken durch die schmerzbedingte Schonung des Fußes entsteht.
Je nach Ausmaß der Schäden im Sprunggelenk kann es zu verschiedenen Beschwerden kommen. Typische Arthrosebeschwerden des Sprunggelenkes äußern sich im Anfangsstadium als gelegentliche Schmerzen oder Ermüdungserscheinungen.
Morgendliche Anlaufschmerzen oder Schmerzen im Sprunggelenk nach längerer Ruhephase sind typisch. Erst im weiteren Verlauf der Arthrose treten die Schmerzen im Sprunggelenk auch als Ruheschmerzen nachts auf.
Die Sprunggelenksbeschwerden schränken die Lebensqualität der Betroffenen zunehmend ein. Die Gehstrecke verkürzt sich und die Belastbarkeit im Sport nimmt deutlich ab. Patienten mit Sprunggelenksarthrose verspüren nach sportlichen Belastungen oft noch tagelang einen "Gelenkkater": Das Gelenk schmerzt und fühlt sich entzündet an. Die Arthrose im Sprunggelenk schränkt die Teilnahme am Alltags- und Arbeitsleben deutlich ein. Bewegungseinschränkungen des Sprunggelenks und Schonhaltungen führen regelmäßig zur Ausstrahlung der Beschwerden in den Fuß oder Unterschenkel hinein.
Externer Inhalt von youtube.com
Inspektion der Beinachse und der Achse des Sprunggelenks
Fußfehlstellungen, die zu Sprunggelenksarthrose führen:
Pes valgus: Fehlstellung des Rückfußes, also der Ferse.
Pes planovalgus: Der Knick-Senkfuß geht mit einer Außendrehung der Ferse einher. Zusätzlich entsteht an der Fußwurzel eine Außendrehung der Längsachse des Fußes entlang der Linie zwischen Sprungbein und Fußwurzel. Das Fersenbein kippt als Reaktion auf diese Fehlstellung ebenfalls nach außen.
Bei der klinischen Untersuchung inspiziert der Fuß- und Sprunggelenkspezialist die Beinachse von vorne und hinten. Fehlstellungen des Fersenbeins nach innen oder außen beeinflussen die Gesundheit des Sprunggelenks sehr stark.
Ebenso untersuchen wir die Situation der Fußgewölbe. Ein Knick-Senkfuß (Pes planovalgus) kann mit einer Außenkippung des Fersenbeins (sog. Valgusstellung des Rückfußes) einhergehen. Angeborene oder durch einen Unfall erworbene Fehlstellungen können also direkt eine Sprunggelenksarthrose verursachen. Der Arzt wird daher im Gespräch stets eingehend nach Unfällen oder Fußschmerzen in der Vergangenheit fragen.
Die Röntgenuntersuchung des Sprunggelenks

Zur Diagnose der Sprunggelenksarthrose sind Röntgenaufnahmen unter Belastung des Beines hilfreich. Eine Beurteilung der Sprunggelenksarthrose mithilfe von Aufnahmen, die ohne Belastung gemacht wurden, ist unvollständig. Aufnahmen unter Belastung stellen die Achsenverhältnisse und die Verteilung der Knorpelschäden im Sprunggelenk dar. Zugleich liefern sie Aussagen über die Ursache der Arthrose.
Röntgenuntersuchung der Sprunggelenksachse und der Beinachse
Um einschätzen zu können, wie sich die Fehlstellung des Rückfußes auf das Sprunggelenk auswirkt, ist eine sog. Saltzmann-Aufnahme hilfreich: Sie bildet die Stellung des Fersenbeins ab. So ist eine Aussage über die Rolle von Fehlstellungen des Rückfußes für die Entstehung einer Sprunggelenksarthrose möglich.

Weiterhin führen die Fußspezialisten der Gelenk-Klinik Belastungsaufnahmen des Fußes durch, um den Grad der schon vorhandenen Begleitarthrosen an den Nachbargelenken des Sprunggelenkes zu beurteilen.
Die Stellung des Fußlängsgewölbes ist von großer Bedeutung für das Sprunggelenk: Eine Abflachung des Fußgewölbes beim Plattfuß wie auch die Erhöhung beim Hohlfuß führen zu Konsequenzen für die Gesundheit des oberen Sprunggelenks.
Ganzbeinaufnahmen zur Beurteilung der gesamten Beinachse und ihres Einflusses auf das Sprunggelenk sind – nicht nur vor Umstellungsoperationen oder Protheseneinsatz – sinnvoll und notwendig.

Aufnahmen im Computertomografen können eine sinnvolle Ergänzung sein, um die Begleitarthrosen darzustellen.
Die SPECT-Untersuchung ermöglicht eine Einschätzung der aus der Lastverteilung resultierenden Knochenumbauprozesse.
Wie erkennt der Arzt die Sprunggelenksarthrose im Röntgenbild?
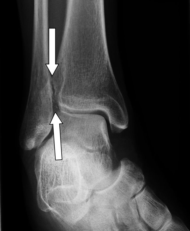
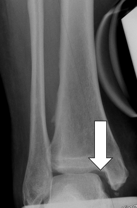
Eine Verschmälerung des Gelenkspaltes im Sprunggelenk weist indirekt auf eine Knorpelschädigung hin und ist damit ein frühes Zeichen der Sprunggelenksarthrose. Resultierend aus dem Knorpelschaden kommt es zu einer Anpassungsreaktion des umliegenden Knochens. Eine Verdichtung des Knochens (Sklerosierung) am Sprunggelenk ist die Folge des Knorpelabbaus.
Zeichen einer fortgeschrittenen Sprunggelenksarthrose im Röntgenbild
Der Gelenkspalt des Sprunggelenkes verschwindet zunehmend und der gelenknahe Knochen verdichtet sich immer stärker. Durch die vermehrte Belastung reagiert der Knochen im Randbereich mit der Ausbildung von Knochenanbauten (sog. Osteophyten). Die Druckzunahme im Knochen kann im Verlauf zu blasenförmigen Knochenauflösungen (sog. Geröllzysten oder Geoden) führen. Dies sind Hohlräume im Knochen, die durch Knochentod (Osteonekrose) entstehen. Als letztes Zeichen einer Sprunggelenksarthrose verformen sich die Gelenkpartner, weil die Belastungslinien des Gelenkes sich verändern.
Am oberen Sprunggelenk flacht das Sprungbein (Talus) häufig ab und der Knochen gleitet nach vorne. Durch diese Veränderungen resultieren zunehmende Einschränkungen, die sich weiterhin auf die benachbarten Gelenke auswirken können.
Externer Inhalt von youtube.com
Konservative Therapie der Sprunggelenksarthrose
Therapieprinzipien bei Sprunggelenksarthrose:
- Eine Verbesserung des Stoffwechsels fördert die Knorpelregeneration.
- Eine Verbesserung der Selbstschutzmechanismen (Propriozeption) verhindert weiteres Umknicken und weitere Verletzungen.
- Die Kräftigung der Muskeln verbessert Führung und Stabilität des Sprunggelenks.
- Die Begradigung der Beinachsen senkt knorpelschädigende Belastungen.
- Die Korrektur der Fehlstellung des Rückfußes verhindert eine einseitige Abnutzung der Knorpelschicht.
- Eine Schmerz- und Entzündungstherapie verbessert den Verlauf knorpelschädigender Entzündungen bei aktivierter Arthrose im Sprunggelenk.
Oberste Priorität haben nichtoperative Therapien der Sprunggelenksarthrose bei den Orthopäden der Gelenk-Klinik. Die unterschiedlichen Behandlungsmöglichkeiten sind vom Stadium der Sprunggelenksarthrose abhängig. Das Ziel all dieser Maßnahmen ist es, den Verlauf der Arthrose zu verzögern oder aufzuhalten.
Meist verbessert die Physiotherapie die Gelenkstabilität. Insbesondere eine spezielle Sprunggelenksschule kann die Führung des Sprunggelenks durch Muskeltraining und koordinative Übungen verbessern. Sie trägt durch Gelenkentlastung und Verbesserung der Gelenkführung auch zur Regeneration des Knorpels nach Knorpelschäden bei.
Ein weiteres effektives Mittel gegen Arthroseschmerzen im Sprunggelenk sind orthopädische Schuhversorgungen. Eine Erhöhung des Außen- oder Innenrandes oder eine spezielle Einlagenversorgung können die Bewegungsabläufe verbessern und die Stellung des Gelenks optimieren.
Je nach Diagnose können unterschiedliche Operationen helfen, den Verlauf zu verlangsamen oder Schäden zu beheben.
Um die Wirkung der konservativen Therapie zu verstehen, müssen wir auf die Entstehungsmechanismen der Sprunggelenksarthrose zurückblicken. Es geht darum, gezielt auf die Mechanismen der Arthroseentstehung einzuwirken. Jede konservative Therapiemethode hat also einen sinnvollen Platz im Gesamtkonzept.
Dabei ist es nicht hilfreich, zwischen operativen und konservativen Therapien zu unterscheiden. Beide Therapieformen verfolgen ein Ziel: Sie wollen die Kongruenz (Passform) und Stabilität des Sprunggelenks verbessern, um den Prozess der Arthrose zu verlangsamen oder ganz aufzuhalten.
Deswegen wollen wir Ihnen alle konservativen und operativen Maßnahmen unter dem Aspekt der Stabilisierung des Sprunggelenks vorstellen und zugleich den konkreten Nutzen innerhalb einer umfassenden Behandlungsstrategie der Sprunggelenksarthrose deutlich machen.
Konservative Maßnahmen:
- Schuhzurichtungen, Einlagen
- chondroprotektive (knorpelerhaltende) Therapie
- Varus-/Valgus-Entlastungsorthese
- Muskelaufbautraining
- Physiotherapie
- physikalische Therapie
Zunächst müssen wir das Therapiekonzept an das spezifische Stadium Ihrer Sprunggelenksarthrose anpassen. Auch beim Einsatz operativer Mittel erreichen Sie ein stabiles, schmerzfreies Sprunggelenk nur dann, wenn Sie Ihre Lebensweise langfristig an den Prinzipien der Sprunggelenksschule orientieren.
Dazu müssen Sie die Prinzipien nachvollziehen, unter denen ein Sprunggelenk gesund bleibt bzw. unter denen sich aufgrund von Fehlbelastungen eine Arthrose entwickelt.
Aus diesem Grund haben wir für unsere Patienten eine leicht durchführbare Sprunggelenksschule entwickelt, die sie in der Gelenkreha-Physiotherapie einüben können.
Externer Inhalt von youtube.com
Schmerzmittel
Die Grundlage einer medikamentösen Behandlung sind meist entzündungshemmende Schmerzmittel, sogenannte nichtsteroidale Antirheumatika oder NSAR (z. B. Diclofenac). Diese schmerzstillenden Medikamente haben in der Schmerztherapie und Therapie von Entzündungsprozessen durchaus ihre Berechtigung. Schmerzmittel sollten aber nicht täglich und bedenkenlos eingenommen werden. Nehmen Sie die Medikamente nicht schon regelmäßig am Morgen, sondern versuchen Sie, diese bei beginnenden Beschwerden im Alltag einzunehmen.
Nachdem die konservativen Maßnahmen ausgeschöpft wurden, können operative Therapiemaßnahmen infrage kommen, wenn das Therapieziel noch nicht erreicht wurde. In den meisten Fällen genügen konservative Therapieformen zur Versorgung der Sprunggelenksarthrose.
Aber auch nach einer erfolgreichen operativen Behandlung kann das Sprunggelenk nur mit einer langfristig angelegten konservativen Nachbehandlung seine Beweglichkeit und Schmerzfreiheit zurückerlangen.
Dafür ist die physiotherapeutische Sprunggelenksschule unerlässlich.
Übungen und Physiotherapie bei Sprunggelenksarthrose
Nach einer Bandverletzung beobachten wir bei 20 % der Patienten eine chronische Instabilität im Sprunggelenk. Vor allem bei Sportlern kann das ein Nachspiel haben, weil die Verletzungsneigung dauerhaft erhöht ist. Eine Bandinstabilität birgt die Gefahr von wiederholten Umknickverletzungen. Auch ein erhöhtes Spiel im Gelenk, also verminderte Kongruenz der Gelenkflächen, kann bereits zu einer Degeneration des Sprunggelenks führen. Häufig begünstigen die dabei entstehenden Verletzungen eine Sprunggelenksarthrose. In vielen Fällen kann ein spezifisches Training die Schutzreflexe schulen und weiteres Umknicken verhindern. Neben dem "Balance-Board" (siehe oben) gibt es dafür eine Reihe von Übungen, die die stabilisierenden Muskeln kräftigen, die Selbstwahrnehmung fördern und das Sprunggelenk langfristig stabiler machen. Auch nach einer operativen Bandplastik oder Bandrekonstruktion helfen diese Übungen, das Sprunggelenk wieder zu stabilisieren.
Übung mit dem Therapiekreisel:
Ziel dieser Übung: Verbesserung der Koordination und der Schutzreflexe im Sprunggelenk.
Ausgangsstellung: hüftbreiter Stand auf dem Therapiekreisel (oder Balance-Board).
Ausführung: Balancieren Sie Ihr Gleichgewicht auf dem Kreisel aus.



Bitte beachten Sie, dass wir ein eigenständig durchgeführtes Übungskonzept bei Sprunggelenksinstabilität, Sprunggelenksschmerzen und Sprunggelenksarthrose erst nach gründlicher ärztlicher Voruntersuchung, Diagnose sowie Einweisung durch unsere Physiotherapeuten empfehlen. Wir müssen sicherstellen, dass die Übungen tatsächlich zu Ihrer Situation passen.
Die für Sie besonders geeigneten Übungen werden Ihnen bei der Einweisung durch den Physiotherapeuten als für sie passendes Übungskonzept ausgehändigt.
Sprunggelenk unter Belastung beugen und strecken
Übungsziel: Verbesserung von Beweglichkeit und Kraft im oberen Sprunggelenk.
Ausgangsstellung: Sitzen auf einem Stuhl, der Fuß hat Bodenkontakt.
Ausführung: Rollen Sie den Fuß langsam auf die Zehenspitzen. Halten Sie dort kurz die Spannung. Setzen Sie dann den ganzen Fuß wieder auf den Boden und ziehen Sie die Zehenspitzen nach oben in Richtung Körper.



Weitere Übungen bei chronischer Instabilität des Sprunggelenks finden Sie auf https://fuss-sprunggelenk-akademie.de.
Schuhzurichtung und Einlagen bei Sprunggelenksarthrose
Orthopädische Schuhe und Einlagen verbessern das Abrollverhalten des Sprunggelenks. Schuhaußenrand- oder Innenranderhöhung können beispielsweise Fehlstellungen ausgleichen. Dadurch können Einlagen und orthopädische Schuhe Schmerzen im Sprunggelenk lindern und den Krankheitsprozess aufhalten.
Zusätzlich kann ein Arthrodesenstiefel das Sprunggelenk von außen stützen. Vor allem im Anfangsstadium der Sprunggelenksarthrose können orthopädische Hilfen den Arthroseschmerz deutlich reduzieren und die allgemeine Beweglichkeit im Sprunggelenk verbessern.
Operative Therapie der Sprunggelenksarthrose

Ebenso wie die konservative Therapie will auch die operative Therapie die Stabilität des Sprunggelenks wieder verbessern und dadurch die Ursache der Sprunggelenksarthrose therapieren.
Dabei stehen mehrere operative Verfahren zur Verfügung, die die mechanische Führung des Gelenks durch Muskeln und Sehnen wieder verbessern können. Wie oben erwähnt, verstärken Abweichungen der Beinachse oder Fehlstellungen im Sprunggelenk die Sprunggelenksarthrose.
Korrekturen, die die Sprunggelenksachse wiederherstellen oder eine asymmetrische Lage des Sprungbeins in der Sprunggelenksgabel beseitigen, sind daher entweder gelenkerhaltend oder zumindest arthroseverzögernd.
Externer Inhalt von youtube.com
Operative Möglichkeiten bei Sprunggelenksarthrose
- Arthroskopie des Sprunggelenks: Befreiung des Gelenks von freien Gelenkkörpern und Knorpelabrieb
- Abrasionsarthroplastik: Entfernung von zerstörten Knorpelflächen und Knorpelaufrauungen
- Mikrofrakturierung am Sprunggelenk: Anbohrung des Knochens unter dem Knorpel zur Anregung der Knorpelneubildung
- Knorpeltransplantation am Sprunggelenk: Verpflanzung körpereigener Knorpelzellen, die außerhalb des Gelenks gezüchtet werden
- Achskorrektur (Osteotomie) des Unterschenkels oder der Ferse: Korrektur der Beinachse und Beseitigung von Fehlstellungen
- Bandplastiken des Sprunggelenkes: Wiederherstellung der für die Gelenkfunktion wichtigen Stabilität der Außenbänder
- Implantation einer Sprunggelenksprothese: Erhaltung des Gangbilds und des normalen Bewegungsablaufs im Sprunggelenk
- Versteifung (Arthrodese) des Sprunggelenkes: schmerzfreie Stabilisierung des Sprunggelenks auch unter hoher Alltagsbelastung
Die Sprunggelenksprothese erhält das natürliche Gangbild des Patienten und nimmt einen immer wichtigeren Platz in der Versorgung ein.
Externer Inhalt von youtube.com
Sprunggelenksarthroskopie: Minimalinvasive Therapie der Sprunggelenksarthrose
Folgende Eingriffe können in der Sprunggelenksarthroskopie vorgenommen werden:
- Bandrekonstruktion
- Bandplastik und Refixation
- Knorpeltransplantation
- Knorpeltherapie
- Entfernung freier Gelenkkörper ("Loose Bodys")
- Entfernung von Knochenspornen
- Therapie der Synovialitis (Gelenkschleimhautentzündung)
- Therapie von Bewegungsblockaden (Impingement) des Sprunggelenks
Das direkteste operative Verfahren zur Inspektion und minimalinvasiven Therapie des Sprunggelenks ist die Sprunggelenksarthroskopie. Diese Schlüssellochoperation kommt mit kleinen Hautschnitten (ca. 1 cm) in der Umgebung des Sprunggelenks aus, durch die Behandlungsschläuche mit Geräten und kleinen Kamerasonden (Endoskop) in das Gelenk eingeführt werden.
Mit einer arthroskopischen Operation des Sprunggelenks kann der Fuß- und Sprunggelenksspezialist die Situation im Gelenk direkt inspizieren und den Zustand von Bändern, Knochen und Knorpel in direkter Kamerasicht ermitteln. Die Wundheilung nach einer Sprunggelenksarthroskopie verläuft durch die kleinen oberflächlichen Schnitte sehr schnell. Die Narbenbildung ist sehr gering. Dieser Eingriff ermöglicht eine komplikationsarme und sanfte operative Therapie der Sprunggelenksarthrose.

Begleitoperationen unterstützen Gelenkerhalt und Gelenkersatz gleichermaßen
Gelenkerhalt oder Gelenkersatz des Sprunggelenks?
Die haltbaren Sprunggelenksprothesen der 3. Generation wurden Mitte der 90er-Jahre eingeführt. Seither haben die Spezialisten viel über Faktoren gelernt, die eine Sprunggelenksprothese stabil halten. Diese Faktoren wurden dann immer öfter vor der Operation der der Sprunggelenksprothese durch Begleiteingriffe behandelt. So stellte sich heraus, dass viele Patienten, denen man bis vor Kurzem noch eine Arthrodese (Versteifung) empfohlen hätte, sogar gelenkerhaltend am Sprunggelenk behandelt werden konnten. Für diese Patienten können wir mithilfe operativer Begleiteingriffe auch bei einer Sprunggelenksarthrose häufig die natürliche Gehfähigkeit dauerhaft oder für einige Jahre erhalten.
Entscheidend für den Gelenkerhalt – ebenso wie für den Gelenkersatz – ist die Korrektur der meist arthroseauslösenden Begleitveränderungen in einem Sprunggelenk.
Die Behandlung der Begleitveränderungen ist für eine Prothesenversorgung elementar. Zu den Begleiteingriffen gehören folgende Operationen:
- Korrektur von Fehlstellungen durch Osteotomie
- Korrektur von Bandschädigungen am Sprunggelenk
- Korrektur der Sprunggelenksgabel
- Behandlung einer Arthrose im unteren Sprunggelenk durch Versteifung (Triple-Arthrodese)
Diese operativen Korrekturen des Sprunggelenks können einer frühzeitigen Lockerung der Sprunggelenksprothese vorbeugen.
Auch viele von einer Fehlstellung belastete und instabile Gelenke lassen sich nach erfolgreich durchgeführten Begleiteingriffen noch mit einer Sprunggelenksprothese versorgen.
Der komplexe Einfluss von Fußfehlstellungen auf die OSG-Prothese (OSG = oberes Sprunggelenk) erfordert viel Erfahrung. Eingriffe am Knochen oberhalb oder unterhalb des Sprunggelenks können notwendig sein.
Bei Fußfehlstellungen (Knick-Senkfuß) können auch Korrekturen an den Fußwurzelknochen mit Entnahme eines Knochenkeils oder Knochenverlängerung sinnvoll sein.
Operativer Gelenkerhalt statt Sprunggelenksprothese?
In die Entscheidung über die individuell geeignete operative Therapie fließen folgende Faktoren mit ein:
- die beobachtete Fehlstellung im Sprunggelenk
- das Körpergewicht
- der Aktivitätsgrad
- die Arbeitsbelastung
- das Alter des Patienten
Schon die Korrektur der Begleitveränderungen wirkt sich positiv auf die Arthrose im Sprunggelenk aus. Das Potenzial von gelenkerhaltenden Eingriffen ist in Verbindung mit der modernen Osteosynthese (Knochenverpflanzung) und Knorpeltherapie (Knorpeltransplantation im Sprunggelenk) deutlich gestiegen. Nach Versorgung der Begleiterkrankungen kommen in der Praxis viele Patienten letztlich ohne Sprunggelenksprothese oder Versteifung aus. Die Vermeidung oder das Hinauszögern einer Prothese oder Versteifung kann unseren Patienten über einige Jahre, manchmal für das gesamte weitere Leben Vorteile bringen.
Bandstabilisierung oder Bandplastik senkt die Wahrscheinlichkeit von Sprunggelenksarthrosen
Gelenkerhalt im Sprunggelenk durch:
- Beseitigung von Störfaktoren (freie Gelenkkörper, Entzündungen der Gelenkschleimhaut)
- Stabilisierung und Regeneration beschädigter Knorpelflächen
- Bandstabilisierung und Bandplastik
- Normalisierung der Beinachse durch Umstellung (Osteotomie) des Fersenbeins oder Sprungbeins
Neben der Stabilität der Sehnen und Bänder ist vor allem die Kongruenz, also die genaue Passung von Sprungbein und Sprunggelenksgabel, ein wichtiger Aspekt. Wenn der Talus (Sprungbein, der fußseitige Gelenkpartner des Sprunggelenks) nicht völlig gerade ausgerichtet ist, überlastet diese Fehlstellung manche Bereiche des Sprungbeins und der Sprunggelenksgabel. Andere Bereiche werden hingegen gar nicht belastet. In den überlasteten Bereichen kommt es zu einer nachhaltigen Knorpelschädigung. Eine Arthrose entwickelt sich auf den mechanisch überlasteten Flächen des Sprunggelenks.
Bei der Sprunggelenksarthrose stehen zahlreiche operative Sprunggelenksbehandlungen zur Verfügung.
Häufige Patientenfragen zu Sprunggelenksarthrose an Dr. Schneider von der Gelenk-Klinik Freiburg
Was ist eine Sprunggelenkarthrose?
Als Sprunggelenksarthrose bezeichnet man den Gelenkverschleiß im Sprunggelenk. Dabei kommt es zur Abnutzung und zum Verlust der Knorpelfläche. Oftmals ist die Sprunggelenksarthrose eine Spätfolge einer Verletzung des Sprunggelenks (z. B. Bänderriss oder Sprunggelenksfraktur).
Was hilft bei Sprunggelenksarthrose?
Eine beginnende Arthrose lässt sich oftmals konservativ behandeln. Maßnahmen wie Kräftigungsübungen oder eine Verbesserung der Stoffwechselsituation können geschädigten Knorpel zwar nicht regenerieren, aber den Verlauf der Arthrose verlangsamen oder sogar stoppen. Allerdings muss bei jedem Patienten individuell auf die Ursache der Sprunggelenksarthrose geschaut werden. Möglicherweise liegen Fehlstellungen oder Bandinstabilitäten vor, welche die Arthrose im Sprunggelenk verursacht haben. Solche Fehlstellungen müssen begradigt werden, da sie ursächlich für eine ungleichmäßige Belastung der Knorpelfläche sind.
Wie fühlt sich Arthrose im Sprunggelenk an?
Eine Sprunggelenksarthrose äußert sich vor allem durch Anlaufschmerzen am Morgen oder nach längerer Ruhepause. Das Gelenk ist häufig geschwollen, vor allem nach Belastung. Auch Reibegeräusche beim Bewegen des Gelenks sind möglich.
Welcher Arzt hilft bei Schmerzen im Sprunggelenk?
Ein Facharzt für Orthopädie besitzt genau die Erfahrung, die zur Unterscheidung der verschiedenen Erkrankungen des Sprunggelenks notwendig ist. Zudem ist eine Zertifizierung als Zentrum für Fuß- und Sprunggelenkschirurgie ein wichtiger Indikator in Bezug auf die Qualität der Diagnostik und Behandlung von Fuß- und Sprunggelenkserkrankungen. Mithilfe spezieller körperlicher Tests und bildgebender Diagnostik kann der Spezialist für Sprunggelenkserkrankungen zweifelsfrei feststellen, ob es sich um eine Sprunggelenksarthrose, ein Impingement, eine Fraktur oder eine sonstige Verletzung des Sprunggelenks handelt. Anhand der Diagnose kann er einen Therapieplan für den Patienten entwickeln.
Welche Erfahrungen haben die Orthopäden der Gelenk-Klinik mit der Sprunggelenksarthrose?
Die Gelenk-Klinik in Freiburg ist eines der ersten zertifizierten Zentren für Fuß- und Sprunggelenkschirurgie (ZFS) in Baden-Württemberg. Als solches unterliegen wir einer ständigen Qualitätskontrolle. Unsere Experten für Sprunggelenkschmerzen weisen eine hohe operative Erfahrung bei Eingriffen an Fuß und Sprunggelenk nach. Regelmäßige Begehungen unserer Fachklinik für Sprunggelenke sichern die Qualität unserer diagnostischen und therapeutischen Maßnahmen.
Kann man Arthrose im Sprunggelenk operieren?
Es stehen verschiedene operative Verfahren zur Behandlung einer Sprunggelenksarthrose zur Verfügung. Dazu zählen beispielsweise die Gelenkspiegelung des Sprunggelenks (Arthroskopie), die Knorpeltransplantation oder eine Mikrofrakturierung. Bei diesem Verfahren bohrt der Operateur den unter dem Knorpel liegenden Knochen an, um die Knorpelneubildung anzuregen. Bei fortgeschrittenem Gelenkverschleiß sind diese Maßnahmen nicht mehr möglich. Dann kommen eine Sprunggelenksprothese oder eine operative Versteifung infrage.
Welcher Sport ist erlaubt bei Sprunggelenksarthrose?
Auch mit einer Arthrose im Sprunggelenk ist Sport erlaubt und sinnvoll. Allerdings sollten Sie auf sogenannte High-Impact-Sportarten verzichten. Dazu zählen alle Sportarten, die mit schnellen Drehbewegungen oder intensiven Belastungen für die Gelenke einhergehen (z. B. Tennis, Skifahren, Joggen). Vor allem bei Kontaktsportarten wie Fußball oder Handball ist dies häufig der Fall.
Geeignete Sportarten für Menschen mit Sprunggelenksarthrose sind beispielsweise Nordic Walking, Radfahren, Schwimmen oder Yoga.
Welche Schuhe sollte ich mit einer Sprunggelenksarthrose tragen?
Menschen mit Sprunggelenksarthrose sollten beim Kauf ihrer Schuhe auf einen flachen Absatz und eine gute Polsterung achten. Vor allem Schuhe mit stoßdämpfenden Sohlen entlasten das Sprunggelenk. Achten Sie außerdem auf eine gute Passform. Die Schuhe sollten nicht zu eng sein.
Wie lange ist man nach einer Operation bei Sprunggelenksarthrose krankgeschrieben?
Wie lange Sie nach einer Operation am Sprunggelenk krankgeschrieben sind, hängt von der gewählten Operationsmethode und Ihrem Beruf ab. Menschen mit einer sitzenden Tätigkeit können in der Regel schon 2 bis 3 Wochen nach der Operation wieder arbeiten. Körperlich arbeitende Menschen sind länger arbeitsunfähig. Je nach Heilungsverlauf kann es etwa 2 bis 3 Monate dauern, bis Sie Ihr Sprunggelenk wieder belasten dürfen.
Welche Einlagen helfen bei einer Sprunggelenksarthrose?
Es gibt spezielle orthopädische Einlagen, die stoßdämpfend wirken oder die Fußstellung korrigieren. Für Menschen mit einer Sprunggelenksarthrose aufgrund einer Fußfehlstellung ist dies in vielen Fällen eine geeignete konservative Behandlungsmöglichkeit. Unterstützend sollten Physiotherapie und Fußgymnastik erfolgen. Besprechen Sie die für Sie geeigneten Maßnahmen mit einem Spezialisten.
Welchen Grad der Behinderung erlangt man mit einer Sprunggelenksarthrose?
Menschen mit einer Bewegungseinschränkung im Sprunggelenk können maximal einen Grad der Behinderung von 20 erreichen. Je nach Bewegungsausmaß gibt es unterschiedliche Abstufungen. Erst eine Sprunggelenksversteifung des oberen und unteren Sprunggelenks aufgrund einer Arthrose führt zu einem GdB (Grad der Behinderung) von 30.
Literaturangaben
- Baumhauer, J. F., Alosa, D. M., Renström, A. F., Trevino, S. & Beynnon, B. (1995). A prospective study of ankle injury risk factors.. The American journal of sports medicine, 23, 564-70.
- Buchhorn, T., Weber, J., & Lampert, C. (2020). Arthrose des oberen Sprunggelenks. Arthroskopie, 33(1), 1–3.
- Fehske, K., Weber, C., & Waizy, H. (2020). Gelenkerhaltende Eingriffe zur Therapie der Sprunggelenkarthrose. Arthroskopie, 1–6.
- Harrasser, N., von Eisenhart-Rothe, R., Pohlig, F., Waizy, H., Toepfer, A., Gerdesmeyer, L., & Eichelberg, K. (2017). Arthrose des oberen Sprunggelenks. Der Orthopäde, 46(7), 625–638.
- Jerosch, J. (2019). Knorpelschäden am Sprunggelenk. Orthopädie & Rheuma, 22(3), 30–33.
- Jerosch, J. (2020). Konservative Therapie von Knorpelschäden am Sprunggelenk. Arthroskopie, 33(1), 4–8.
- Karlsson, J., Bergsten, T., Lansinger, O. & Peterson, L. (1988). Reconstruction of the lateral ligaments of the ankle for chronic lateral instability.. The Journal of bone and joint surgery. American volume, 70, 581–8.
- Karlsson, J., Bergsten, T., Lansinger, O. & Peterson, L. (1989). Surgical treatment of chronic lateral instability of the ankle joint. A new procedure.. The American journal of sports medicine, 17, 268–73; discussion 2.
- Karlsson, J., Eriksson, B. I., Bergsten, T., Rudholm, O. & Swärd, L. (1997). Comparison of two anatomic reconstructions for chronic lateral instability of the ankle joint.. The American journal of sports medicine, 25, 48–53.
- Mittlmeier, T. (2017). Paradigmenwechsel bei Sprunggelenksfrakturen. Orthopädie & Rheuma, 20(5), 22–22.
- Niethard, F. U., Pfeil, J. & Biberthaler, P. (2009). Orthopädie und Unfallchirurgie. Stuttgart : Thieme.
- Pagenstert, G. I., Hintermann, B. & Knupp, M. (2006). Operative management of chronic ankle instability: plantaris graft.. Foot and ankle clinics, 11, 567–83.
- Schäfer, D., Boss, A. & Hintermann, B. (2003). Accuracy of arthroscopic assessment of anterior ankle cartilage lesions.. Foot & ankle international / American Orthopaedic Foot and Ankle Society [and] Swiss Foot and Ankle Society, 24, 317–20.
- Stufkens, S. A., Knupp, M., Horisberger, M., Lampert, C. & Hintermann, B. (2010). Cartilage lesions and the development of osteoarthritis after internal fixation of ankle fractures: a prospective study.. The Journal of bone and joint surgery. American volume, 92, 279–86.
- Unknown. (2007). Praxis der konservativen Orthopädie. Thieme Georg Verlag.
- Valderrabano, V., Engelhardt, M. & Küster, H. -. (2008). Fuß & Sprunggelenk und Sport: Empfehlungen von Sportarten aus orthopädischer und sportmedizinischer Sicht. Deutscher Arzte-Verlag.
- Wulker, N., FRCSIMater, M. M. & III, M. D. (1998). An Atlas of Foot & Ankle Surgery (1st ed). Martin Dunitz.
- Wülker, N. (2005). Taschenlehrbuch Orthopädie und Unfallchirurgie. Stuttgart : Thieme.