- Was ist ein Hallux rigidus?
- Symptome des Hallux rigidus
- Risikofaktoren: Wodurch entsteht ein Hallux rigidus?
- Wann zum Arzt mit Hallux rigidus?
- Wie untersucht der Arzt einen Hallux rigidus?
- Konservative Therapie des Hallux rigidus
- Operative Therapie des Hallux rigidus

Bei einem Hallux rigidus ist das Großzehengrundgelenk von Arthrose befallen. Als Folge des Gelenkverschleißes entzündet sich das Gelenk und der Gelenkspalt verschmälert sich. Zudem können Ödeme (Wassereinlagerungen) im Knochen oder Knochensporne entstehen, die zusätzliche Fußschmerzen und Beschwerden beim Laufen verursachen. All diese Faktoren tragen zur Bewegungseinschränkung der Großzehe bei. Im Anfangsstadium lässt sich der Hallux rigidus meist noch durch konservative Maßnahmen wie Einlagenversorgung, Hyaluronsäure- bzw. Kortisoninjektionen oder spezielle Schuhzurichtungen wie eine Wiegesohle behandeln. Ist der Knorpelverschleiß allerdings zu weit fortgeschritten, stellen die Fußspezialisten der Gelenk-Klinik durch eine Operation die Schmerzfreiheit im Großzehengrundgelenk wieder her. Dabei gibt es je nach individuellen Bedürfnissen des Patienten unterschiedliche Möglichkeiten wie die Cheilektomie, die Arthrodese (Gelenkversteifung) oder den Einsatz einer knorpelähnlichen Teilprothese.
Was ist ein Hallux rigidus?
Wichtige Begriffe:
- Hallux rigidus: Hallux = Zehe, rigidus = steif, unbeweglich; Arthrose des Großzehengrundgelenks
- Hallux valgus: Hallux = Zehe, valgus = schief, gebeugt; im Gelenk nach außen abgeknickte Großzehe
- Hallux limitus: Hallux = Zehe, limitus = begrenzt; Beweglichkeit der Großzehe wird von Muskeln, Sehnen und Weichteilen eingeschränkt
Die steife Großzehe (Hallux rigidus) ist eine Erkrankung des Knorpels (Arthrose) des Großzehengrundgelenkes. Häufig ist sie mit einem schmerzhaften Bewegungsverlust des Gelenks verbunden. Etwa 2–3 % der Bevölkerung über 50 Jahren leidet unter einem Hallux rigidus. Frauen sind häufiger betroffen als Männer.
Das frühe, vor allem durch Verlust der Beweglichkeit gekennzeichnete Stadium des Hallux rigidus, wird auch als Hallux limitus bezeichnet. Den Hallux limitus kann nicht nur eine Arthrose, sondern auch eine eingeschränkte Beweglichkeit der Weichteile oder eine Fehlstellung der Knochen im GZG-Gelenk (Großzehengrundgelenk) verursachen.
Die Abrollbewegung beim Gehen ist bei einem Hallux rigidus erschwert. Der für das normale Gehen typische Schwerpunkt des Körpergewichts auf dem Großzehengrundgelenk ist verlagert. Normalerweise trägt das Großzehengrundgelenk während der "Push off"-Phase – dem letzten Abschnitt im Gangzyklus – mehr als 50 % des Körpergewichts. Beim Laufen und Springen kann sich die Belastung durch die entstehende Beschleunigung auf das 2–3-fache des Körpergewichts steigern. Diese "Push off"-Phase ist für Patienten mit Hallux rigidus sehr schmerzhaft.
Das Gangbild ändert sich durch die Schmerzen im großen Zeh und das Gewicht verlagert sich in Richtung der Außenkante des Fußes. Langfristig führt die Arthrose zur schmerzhaften Gelenkversteifung des Großzehengrundgelenks.
Externer Inhalt von viewmedica.com
Symptome des Hallux rigidus
Bei einem Hallux rigidus kommt es zunächst zur Schwellung und Entzündung der Gelenkschleimhaut. Die Versteifung des Gelenks wird durch den Knorpelabrieb vorangetrieben. Dazu bilden sich gelenkblockierende Osteophyten (Knochensporne) vor allem im oberen Teil des Gelenks, die zusätzlich Beschwerden verursachen. Diese Beteiligung von Knochen und Knorpel bezeichnet man als Osteochondrose.
- Entzündungen: schmerzhaft geschwollenes und gerötetes Großzehengrundgelenk bei entzündlich aktivierter Arthrose
- zunehmende Schwierigkeiten, passende Schuhe zu finden
- stechende Schmerzen beim Gehen
- Versteifung des Großzehengelenks, vor allem bei der Bewegung der Großzehe nach oben (Dorsalextension)
- mögliche Folgebeschwerden an Knie- und Hüftgelenk durch die Fehlbelastung
- schmerzhafte Wassereinlagerungen im Knochen unter der Gelenkfläche (Knochenödeme)
- Knorpelabbau im Gelenkspalt
- Bildung von Osteophyten (Knochenspornen) an der Gelenkrändern
- zunehmende Einsteifung und reduzierte Beweglichkeit der Großzehe in alle Richtungen
- Transfermetatarsalgie: Fußschmerzen im Mittelfußbereich der kleineren Zehen als Folge der Gewichtsverlagerung durch den Hallux rigidus
- Veränderung des Gangbildes durch das Gehen über die Fußaußenkante
Krankheitsverlauf und Stadien
Wie bei jeder Gelenkarthrose bestehen auch beim Hallux rigidus verschiedene radiologisch ermittelte Phasen, die den Verlauf der Erkrankung einteilen. Diese Phasen geben dem behandelnden Arzt einen Anhalt über das zur Verfügung stehende Therapiespektrum.
Hallux rigidus Grad I:
Am Ende des passiv möglichen Bewegungsradius schmerzt die Großzehe bereits. Im Röntgen ist die Arthrose des Großzehengelenks noch nicht sichtbar.
Hallux rigidus Grad II:
Die aktive und passive Beweglichkeit des Großzehengelenks ist bereits begrenzt. Im oberen Bereich des GZG können sich erste sichtbare Osteophyten bilden. Das Röntgenbild zeigt einen verengten Gelenkspalt, da bereits Knorpel abgebaut wurde. Die Form des Gelenks kann bereits verändert sein: Verbreiterung der Gelenkfläche bzw. Abflachung des Metatarsalkopfes/Mittelfußkopfes.
Hallux rigidus Grad III:
In Stadium III treten zusätzlich Gelenkgeräusche im Großzehengelenk auf (Krepitation). Vereinzelt finden sich im Röntgen Zysten (Flüssigkeitseinschlüsse) unter dem stark verschmälerten Gelenkspalt. Zahlreiche große Osteophyten haben sich gebildet. Der Bewegungsspielraum des Gelenks ist in jede Richtung deutlich reduziert. Der Gelenkspalt ist wegen des sehr starken Knorpelverlusts kaum sichtbar. Meist ist der Verschleiß im oberen Gelenkbereich stärker ausgeprägt als im unteren.
Hallux rigidus Grad IV:
Das Endstadium des Hallux rigidus ist durch den vollständigen Verlust des Gelenkspalts und der Beweglichkeit gekennzeichnet. Die Beweglichkeit nach oben beträgt 10° oder weniger. Im Gelenkspalt können sich zusätzlich blockierende freie Gelenkkörper (loose bodys) befinden.
Risikofaktoren: Wodurch entsteht ein Hallux rigidus?

In vielen Fällen ist die Ursache des Hallux rigidus nicht genau zu ermitteln. Es kommen erbliche Faktoren, Mikroverletzungen und Fehl- bzw. Überbelastungen infrage. Häufig treten auch Sekundärarthrosen der Großzehe, also Arthrosen mit bekannter Ursache, z. B. durch Gicht auf. Zudem kann eine Abflachung des Fußlängsgewölbes bei nach innen abknickendem Rückfuß (sog. Pronation) das Großzehengrundgelenk überlasten und eine Arthrose begünstigen.
Die nachfolgend genannten Ursachen sind häufig mit dem Auftreten eines Hallux rigidus verbunden:
- Trauma, vor allem Ursache des einseitigen Hallux rigidus
- Fehlstellung des Großzehengelenks (Hallux valgus)
- familiäre Veranlagung: meist beidseitiger Hallux rigidus
- weibliches Geschlecht: Frauen bekommen häufiger Arthrose im Großzehengelenk als Männer
- Stoffwechselstörungen und Autoimmunerkrankungen wie rheumatische Arthritis, Gicht und Diabetes
- Osteochondrosis dissecans (Knochen-Knorpelschaden) des Großzehengelenks
- überlanger 1. Metatarsophalangealknochen
- fehlgestellter 1. Zehenstrahl (Metatarsus elevatus)
Wann zum Arzt mit Hallux rigidus?
- Stechende Beschwerden beim Abrollen, die immer wiederkehren.
- Beschwerden unter dem Ballen der Großzehe, besonders nach sportlicher Aktivität und langen Wanderungen.
- Patienten mit deutlichem Knick-Senkfuß besonders auf die frühen Zeichen einer Arthrose achten und sich bereits bei leichten Beschwerden ärztlich vorstellen
- Probleme beim Zehenspitzenstand sollten dringend abgeklärt werden.
Wie untersucht der Arzt einen Hallux rigidus?
Externer Inhalt von youtube.com
Nach dem Patientengespräch, bei dem häufig schon die typischen Symptome des Hallux rigidus zur Sprache kommen, untersucht der Arzt den schmerzenden Vorfuß. Fußschmerzen können viele Ursachen haben. Um herauszufinden, wodurch sie ausgelöst werden, muss der Orthopäde die Schmerzen genau lokalisieren. Zudem prüft der Arzt die Einsteifung bzw. die Bewegungseinschränkung im Vergleich zur anderen Großzehe.
Folgende Faktoren sind wichtig bei der klinischen Untersuchung des Hallux rigidus:
- eingeschränkte Beweglichkeit der Großzehe, vor allem bei der Dorsalextension (Bewegen des Zehs nach oben)
- Schmerzen im Großzehengelenk, vor allem in der Abdruckphase des Fußes
- Änderungen des Gangbildes durch das Gehen "über außen"
- Schmerzen oben auf dem Gelenk beim Tragen enger Schuhe mit schmalem Zehenraum
- Taubheit und Gefühlsstörungen an der Großzehe durch eingeengte Nerven
Vor allem Druck auf den oberen Teil des Großzehengelenks ist schmerzhaft. Dieser Bereich ist sehr empfindlich. Bei der manuellen Untersuchung kann der Arzt häufig Knochensporne direkt durch die Haut ertasten.
Wenn der Zeh passiv vom Arzt nach oben gebeugt wird, wird die Bewegung vor allem am Endpunkt stechend schmerzhaft. Das gesunde Großzehengrundgelenk toleriert eine solche passive Beugung hingegen schmerzfrei.
Ein wichtiger Untersuchungsbereich ist auch das interphalangealgelenk, also das über dem Grundgelenk liegende sichtbare Großzehengelenk. Wenn dieses Gelenk ebenfalls Arthrose zeigt, sind die Behandlungsmöglichkeiten sehr eingeschränkt. Beispielsweise darf nur eines der beiden Gelenke versteift werden, ansonsten wird der Gang zu stark beeinträchtigt.
Röntgenuntersuchung und MRT bei Hallux rigidus

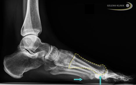
Es ist wichtig, Röntgenbilder unter Gewichtsbelastung des Fußes in verschiedenen Ebenen zu machen. Im Röntgenbild in mehreren Ebenen kann eine eigentlich für jede Art von Arthrose typische Veränderung des Knochens festgestellt werden:
- Einengung des Gelenkspaltes
- abgeflachte Form des Mittelfußkopfes
- Darstellung von Knochenspornen (Osteophyten) in der Umgebung des Gelenkspaltes
- Darstellung von subchondralen Zysten (Flüssigkeitseinschlüssen in Hohlräumen im Knochen)
Bei der Interpretation von Röntgenbildern ist Vorsicht geboten: Die Osteophyten können den Knorpelverlust im Gelenkspalt optisch ausgeprägter erscheinen lassen, als es der Wirklichkeit entspricht. Dabei beginnt die Arthrose meist dorsal, also im oberen Bereich des Gelenks. Der untere Bereich der Gelenkfläche des Großzehengrundgelenks ist deutlich weniger stark beeinträchtigt.
Eine MRT (Magnetresonanztomographie) ist besonders vor gelenkerhaltenden Maßnahmen indiziert, um eine genaue Einschätzung der Situation zu ermöglichen. Die Untersuchung zeigt das Ausmaß und die Verteilung der Knorpelschäden, die Stärke der Knochenreizung und den Befall benachbarter Gelenke. Besonders bei bewegungsverbessernden Maßnahmen scheint das Gelenk zwischen Sesambeinen und Mittelfußkopf eine wichtige Rolle für Restschmerzen zu spielen. Außerdem kommt die MRT zur Planung von Teilprothesen oder elastischem Knorpelersatz (CARTIVA-Implantate) zum Einsatz.

Fußdruckmessung: Podometrie
Mithilfe einer Fußdruckuntersuchung (Podometrie) kann der Orthopäde sehr genau das Abrollverhalten des Fußes messen. Der Patient steht dabei auf einer Sensorplatte, die den Fußdruck aufzeichnet. Eine für den Hallux rigidus typische Gewichtsverlagerung kann mithilfe der Podometrie genau untersucht werden.
Funktionsuntersuchung: dynamische Ganganalyse
Bei der dynamischen Ganganalyse ist der Druck, den der Fuß beim Abrollen auf den Boden ausübt, relevant. Der Patient läuft über ein Laufband mit Messstation. Das System liefert genaue Daten, in welchen Bereichen der Patient seinen Fuß am meisten belastet. Diese Bereiche sind rot eingefärbt.
Darüber hinaus liefert die Ganganalyse ein ganzheitliches Bild des Bewegungsapparates. So können Fußschmerzen ihren Ursprung auch in einer Fehlstellung der Beinachse oder bei Problemen in der Wirbelsäule haben. Die kombinierte Analyse stellt einen Zusammenhang zwischen Bewegung, Haltung und Schmerz her.
Konservative Therapie des Hallux rigidus
Oberstes Ziel der Behandlung des Hallux rigidus ist es, die Großzehengrundgelenksarthrose zu verlangsamen, um ein schmerzfreies Laufen zu ermöglichen. Bis zum Hallux rigidus Grad II beginnt die Behandlung stets mit konservativen Maßnahmen. Dazu gehören folgende Therapien:
- Spezielle Einlagenversorgungen, vor allem Ballenrolle: Wölbung der Schuhsohle hinter den Zehengrundgelenken, die den Fuß beim Abrollen entlastet
- Zugbehandlung (Traktionsbehandlung) im Rahmen der Physiotherapie
- entzündungshemmende Medikamente und Schmerzmittel
- physikalische Therapiemaßnahmen (z. B. Kältetherapie)
- knorpelschützende Injektionsbehandlungen, z. B. mit in das Großzehengelenk injizierter Hyaluronsäure
- Anwendung homöopathischer Medikamente
- Kortisoninjektionen in das entzündete Großzehengrundgelenk
- Eigenbluttherapie mit plättchenreichem Plasma
Bevor eine Operation infrage kommt, sollte der Hallux rigidus möglichst lange konservativ behandelt werden. Dies kann die Arthrose zwar nicht stoppen, aber die schmerzfreie Mobilität im Alltag sollte mit konservativen Mitteln so lange wie möglich aufrechterhalten werden.
Einlagenversorgung
Einlagen und Orthesen:
- Ballenvertiefungen in den Schuhsohlen
- Entlastung des Großzehengelenks durch Ballenrolle oder Wiegesohle
- Unterstützung des Fußlängsgewölbes durch Einlagen
- Schienenversorgung des 1. Zehenknochens
Die Veränderung der Belastung der Großzehe durch Einlagen und Schuhzurichtungen ist eine bewährte Vorgehensweise bei Hallux rigidus. Ziel der Therapie ist häufig eine Gewichtsentlastung des Großzehengelenks. Das kann auf verschiedene Art und Weise geschehen.
Vor allem eine Versteifung der Großzehe durch Einlagen reduziert die Belastung und lässt die schmerzhafte Reizung wieder abheilen. Alle Maßnahmen, die das Beugen der Großzehe nach oben reduzieren, also die Sohle oder das Gelenk durch Orthesen versteifen, entlasten das Großzehengrundgelenk.

Schmerztherapie mit nichtsteroidalen Antirheumatika
Am weitesten verbreitet ist der Einsatz von nichtsteroidalen Antirheumatika (NSAR) zur Entzündungshemmung und Schmerzbehandlung der Großzehe. Synovialitis (Gelenkschleimhautentzündung) und aktivierte Arthrose des Großzehengrundgelenks müssen entzündungshemmend, mithilfe von Medikamenten, behandelt werden.
Hyaluronsäureinjektion bei Hallux rigidus
Einige Patienten profitieren von intraartikulären (in das Gelenk gespritzten) Hyaluronsäureinjektionen sowohl bei Belastungs- als auch bei Ruheschmerzen. Der körpereigene Wirkstoff trägt zur Knorpelernährung des Großzehengrundgelenks bei. Dabei ist der Erfolg von Hyaluronsäuretherapien umso größer, je mehr Knorpel noch erhalten ist. Wir sehen aber häufig, dass die anfänglich guten Ergebnisse bei Hyaluroninjektionen nicht über Jahre hinweg stabil bleiben, sondern immer weniger wirken. Mit zunehmendem Knorpelverschleiß wird die Hyaluronsäurebehandlung stetig ineffektiver.
Entzündungshemmung mit Kortisoninjektion
Bis zu einer Arthrose Grad II können Kortisoninjektionen häufig mehrmonatige schmerzfreie Zeiten erreichen. Bei Grad III ist die Wirkung von Kortison gegenüber Grad II schon um 50 % verringert. Als Dauertherapie ist die Kortisoninjektion nicht zu empfehlen.
Eigenblutbehandlungen (PRP)

Auch Eigenblutbehandlungen, sogenannte PRP (Platelet Rich Plasma)-Behandlungen, können als Injektionstherapie bei geringgradiger Arthrose im Großzehengelenk die Beschwerden lindern und die Beweglichkeit deutlich verbessern. Allerdings ist die Wirksamkeit im Einzelfall zu testen: Aussagekräftige Studien gibt es zur PRP-Injektion bei Hallux rigidus noch nicht.
Physiotherapie des Großzehengelenks
Auch physiotherapeutische Maßnahmen unterstützen das Gelenk. Übungen und manuelle Therapie sollen vor allem die Beweglichkeit des Großzehengrundgelenks wieder verbessern:
- Zug (Traktion) auf dem Großzehengelenk
- Mobilisierung der Sesambeine, die als Abstandhalter der Sehnen zum Knochen fungieren
- Kräftigung des Musculus flexor hallucis longus (FHL), des Großzehenbeugers in der tiefliegenden Wadenmuskulatur
- Dehnung der Plantarsehne (große, flächige Sehne unter der Fußsohle)
Bisher existieren wenige gute Studien, die diese konservativen Therapieverfahren bei Hallux rigidus untersuchen. In Einzelfällen sehen wir aber eine sehr gute klinische Wirksamkeit durch eine geeignete Kombination von Maßnahmen.
Konservative Therapie bei Hallux rigidus hilft oft langfristig
Im Allgemeinen muss bei einer unumkehrbaren Gelenkarthrose ein Gelenk irgendwann zwangsläufig endoprothetisch oder durch Versteifung behandelt werden. Bei Hallux rigidus jedoch kommen viele Patienten erstaunlich lange mit einer konservativen Behandlung aus.
Wenn keine verstärkten Anforderungen an die Funktion und Belastbarkeit des Großzehengrundgelenks bestehen, können viele Patienten mit Anpassungen wie steifen Schuhsohlen, die ausreichend Zehenraum haben, auch ohne Operation ganz gut mit dem Hallux rigidus leben. Die Schmerzen verschlechtern sich nicht weiter, sondern bleiben mithilfe konservativer Therapien im erträglichen Rahmen.
Die weitere, radiologisch feststellbare Verschlechterung der Arthrose wirkt sich dann nicht in zunehmendem Maße negativ auf die Lebensqualität aus.
Patienten mit größeren sportlichen oder beruflichen Anforderungen können diesen Weg aber häufig nicht wählen. Ihr Fuß muss auch bei höheren Anforderungen schmerzfrei belastbar sein. Konservative Therapiemöglichkeiten sind dann meist erschöpft und der Patient muss über eine Operation nachdenken. Der OP-Zeitpunkt ist dabei nicht objektivierbar und wird ausschließlich durch den individuellen Leidensdruck bestimmt. Wenn dieser Zeitpunkt gekommen ist, bieten verschiedene OP-Verfahren einen Ausweg.
Operative Therapie bei Hallux rigidus
Operative Möglichkeiten
Sollten konservative Maßnahmen nicht den gewünschten Erfolg bringen oder die Erkrankung zu weit fortgeschritten sein, können chirurgische Behandlungsmethoden angewendet werden. Für die operative Therapie muss der Orthopäde den Grad der Gelenkzerstörung berücksichtigen. Bei relativ geringer Beschädigung des Gelenks sollte ein gelenkerhaltender oder wenigstens beweglichkeitserhaltender Behandlungsansatz im Vordergrund stehen.
Wir unterscheiden bei der operativen Behandlung des Hallux rigidus gelenkerhaltende Ansätze, wie z. B. die Entfernung der Knochenanbauten und eines Knochenkeils (Cheilektomie) von gelenkersetzenden Ansätzen wie Umstellungsoperationen (Osteotomie) oder Endoprothesen. Bei fortgeschrittenem Hallux rigidus sind die gelenkerhaltenden Verfahren nicht mehr sinnvoll. Es werden dann eher gelenkversteifende oder gelenkersetzende Verfahren angewendet:
- Resektionsarthroplastik nach Brandes
- Totalendoprothesen oder Oberflächenersatzprothesen
- Großzehengrundgelenkversteifung (Arthrodese des Großzehengrundgelenkes)
Im Mittelpunkt der operativen Therapie stehen heute bei leichter Arthrose gelenkerhaltende Verfahren wie die Cheilektomie. Bei schwerer Arthrose ziehen wir beweglichkeitserhaltende Verfahren vor. Man versucht, so wenig Versteifungen wie möglich durchzuführen. Die beweglichkeitserhaltenden Eingriffe haben heute in der modernen Fußchirurgie im Vergleich zur Versteifung (Arthrodese) enorm an Bedeutung gewonnen.
Bei weit fortgeschrittenen Gelenkschädigungen gibt es neben der Gelenkversteifung seit einigen Jahren einen elastischen Knorpelersatz zur Verbesserung der Lebensqualität und der Sportfähigkeit: Vor allem elastische Oberflächenersatzprothesen aus knorpelähnlichem Kunststoff sind bei Hallux rigidus eine wichtige Alternative geworden.
Gelenkerhaltende Cheilektomie: Entfernung eines Knochenkeils
Bei der Cheilektomie des Großzehengrundgelenks schneidet der Chirurg mindestens 30 % der Gelenkfläche im oberen Bereich des Großzehengrundgelenks keilförmig heraus. Gleichzeitig entfernt er während der meist offen durchgeführte Operation gelenkzerstörende Osteophyten (Knochensporne).
Die Cheilektomie des Hallux rigidus als gelenkerhaltende Operation wird durchgeführt, wenn der Gelenkknorpel noch relativ gut erhalten ist. Die Cheilektomie schlagen wir also höchstens bis Hallux rigidus Grad I bis Grad II vor. Um die Cheilektomie erfolgversprechend durchzuführen, dürfen nur kleinere Bereiche der Gelenkfläche – maximal 30 % – von der Arthrose befallen sein. Mindestens die Hälfte des Gelenkknorpels sollte noch erhalten sein. Wenn der Metatarsalkopf (Kopf des Mittelfußknochens) über einen noch größeren Abschnitt entfernt werden muss, wird das Gelenk instabil. Diese meist offen durchgeführten Operation erfolgt über einen Längsschnitt oben auf dem Großzeh.

Was sind die Therapieziele der Cheilektomie?
- Die operative Keilentnahme vergrößert die Beweglichkeit des Gelenks nach oben.
- Die Entfernung von Osteophyten und freien Gelenkkörpern (“Loose bodys") verlangsamt die Arthrose zumindest.
- Das natürliche Gelenk soll möglichst lebenslang erhalten bleiben.
Was sind die Vorteile der Cheilektomie?
Die Beweglichkeit der Großzehe nach oben (Dorsalextension) bleibt auch bei einem nur noch gering ausgeprägten, knorpelhaltigen Gelenkspalt erhalten. Die Cheilektomie ist bei geeigneter Patientenauswahl als schmerzreduzierende und gelenkerhaltende Therapie über einen mittleren Zeitraum von 4–5 Jahren sehr erfolgreich.
Was sind die Nachteile einer Cheilektomie?
Auch nach einer Cheilektomie setzt sich der Knorpelverschleiß fort, wenn auch verlangsamt. Langfristig, über einen Zeitraum von mehr als 5 Jahren, kann eine Cheilektomie die Arthrose nicht aufhalten. Die Beweglichkeit und die Schmerzfreiheit sind nach der Operation verbessert. Lebenslange schmerzfreie Beweglichkeit des Großzehengrundgelenks kann die Cheilektomie allerdings nicht garantieren. Manchmal gewinnt man nur einige Jahre, bis doch noch eine Gelenkversteifung notwendig wird.
Die Cheilektomie vermindert zudem die weiteren Behandlungsoptionen: Die für die Befestigung einer Vollprothese oder Oberflächenersatzprothese aus PVA notwendige Knochensubstanz fehlt durch die Entfernung eines keilförmigen Knochenstücks aus dem Gelenk.
Nach einer Cheilektomie besteht daher nur noch die Möglichkeit der Versteifung (Arthrodese). Andere beweglichkeitserhaltende OP-Verfahren bei Hallux rigidus scheiden nach einer Cheilektomie aus.
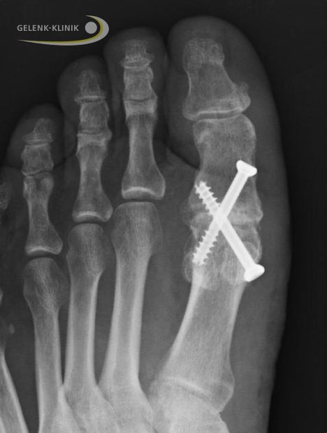
Arthrodese (Versteifung) des Großzehengrundgelenks bei Hallux rigidus

Die Versteifung des Großzehengrundgelenks gilt bei mittelschwerer bis hin zur endgradigen Arthrose als Standardbehandlung. Vor allem bei aktiven Patienten, die sich im Alltag körperlich auslasten, ist die Versteifung eine sehr zuverlässige Behandlung.
Bei der Arthrodese des Großzehengrundgelenks fusioniert der Chirurg den 1. Zehenstrahl mit dem 1. Zehenknochen durch Schrauben und Platten dauerhaft.
Die wichtigste Komplikation bei der Arthrodese ist das Ausbleiben der Knochenfusion, also die Bildung einer schmerzhaften Pseudarthrose (Falschgelenk) im versteiften Gelenk. Unter Einsatz von Platten gibt es evtl. weniger Pseudarthrosen, als wenn das Gelenk nur versteift wird.
Um ein gutes, alltagstaugliches Ergebnis zu erzielen, muss das Großzehengelenk in einem bestimmten Winkel versteift werden: 15°–40° in Dorsalextension (Beugung nach oben) und etwa 15° valgus (horizontal in Richtung Fußaußenkante geneigt).
Was sind die Ziele der Arthrodese bei Hallux rigidus?

- schmerzfreie Dauerbelastung des Fußes
- kraftvoller Fußabdruck in der Beschleunigungsphase des Gangzyklus ("Push-off"-Phase)
- schuhtaugliche Einstellung des Winkels der versteiften Großzehe
- Stabilität in gewichttragenden Situationen
- Einsatz der Großzehe als Träger des Körperschwerpunktes beim Gehen und Laufen
Was sind die unerwünschten Folgen der Arthrodese?
- Möglichkeit einer Pseudarthrose (fehlende knöcherne Durchbauung des Großzehengelenks)
- Mittelfußschmerzen (Metatarsalgie) wegen zu starker Belastung der Mittelfußknochen
- vor allem bei Frauen limitierte Schuhoptionen: Tragen hoher Absätze wegen fehlender Beweglichkeit nicht mehr möglich
Prothese und Teilprothese des Großzehengrundgelenks

Prothesen können theoretisch eine schmerzfreie Beweglichkeit des von Arthrose betroffenen Gelenks wiederherstellen. Bei vielen Gelenken gehört die Endoprothetik daher zur Standardversorgung bei Arthrose.
Am Großzehengrundgelenk gilt dies für Totalendoprothesen (Vollprothesen) allerdings nicht. Zu gering ist die Haltbarkeit der Implantate. In Studien sind nach zwei Jahren schon über 35 % der Endoprothesen gelockert und müssen revidiert (erneuert) werden. Meist erfolgt danach als Rückzugsoperation die Arthrodese (Versteifung), um Schmerzen im Gelenk zu unterbinden.
Bewegliche Oberflächenersatzprothese aus Polyvinylalkohol
Ein anderes Bild sehen wir bei der Versorgung mit Oberflächenersatzprothesen des Großzehengrundgelenks. Synthetische Großzehenprothesen aus elastischem Knorpelersatzmaterial erlauben bei Hallux rigidus eine sehr zuverlässige, haltbare und zugleich bewegliche Versorgung.
Literaturangaben
- Baumhauer, J. F., Daniels, T., & Glazebrook, M. (2019). New Technology in the Treatment of Hallux Rigidus with a Synthetic Cartilage Implant Hemiarthroplasty. Orthopedic Clinics, 50(1), 109–118.
- Claassen, L., Ettinger, S., Yao, D., Lerch, M., Plaass, C., & Stukenborg-Colsman, C. (2019). Die konservative Therapie des Hallux rigidus. Fuß & Sprunggelenk.
- Daniels, T. R., Younger, A. S., Penner, M. J., Wing, K. J., Miniaci-Coxhead, S. L., Pinsker, E., & Glazebrook, M. (2017). Midterm outcomes of polyvinyl alcohol hydrogel hemiarthroplasty of the first metatarsophalangeal joint in advanced hallux rigidus. Foot & ankle international, 38(3), 243–247.
- Engelhardt, P., Schuh, R., & Wanivenhaus, A. (2018). Operationen am Hallux und Metatarsale I. Orthopädische Fußchirurgie, 109–135. Springer, Berlin, Heidelberg.
- Hawke, F., Burns, J., Radford, J. A. & du Toit, V. (2008). Custom-made foot orthoses for the treatment of foot pain. Cochrane database of systematic reviews (Online), CD006801.
- Lee, K.-B., Hur, C.-I., Chung, J.-Y. & Jung, S.-T. (2009). Outcome of unilateral versus simultaneous correction for hallux valgus. Foot & ankle international / American Orthopaedic Foot and Ankle Society [and] Swiss Foot and Ankle Society, 30, 120–3.
- Mann, M. A., Sharma, O. P., Yee, G., & Lau, J. T. (2016). Hallux rigidus: cheilectomy, osteotomy, arthroplasty, and arthrodesis. Foot and Ankle Disorders, 57–75. Springer, Berlin, Heidelberg.
- Marx, R. C. & Mizel, M. S. (2010). What´s new in foot and ankle surgery. The Journal of bone and joint surgery. American volume, 92, 512–23.
- Menz, H. B. & Morris, M. E. (2005). Footwear characteristics and foot problems in older people. Gerontology, 51, 346–51.
- Oliva, F., Longo, U. G. & Maffulli, N. (2009). Minimally invasive hallux valgus correction. The Orthopedic clinics of North America, 40, 525–30, x.
- Orthofer, P. (2004). Orthopädietechnik. Huber Hans.
- Valderrabano, V., Engelhardt, M. & Küster, H. (2008). Fuß & Sprunggelenk und Sport: Empfehlungen von Sportarten aus orthopädischer und sportmedizinischer Sicht. Deutscher Arzte-Verlag.
- Wu, D. (2008). Current concept review: hallux valgus part I & II. Foot & ankle international / American Orthopaedic Foot and Ankle Society [and] Swiss Foot and Ankle Society, 29, 464; author reply 46.
- Yao, D. (2016). Hallux rigidus – Knorpelimplantat als Alternative zur MTP-I-Arthrodese? Zeitschrift für Orthopädie und Unfallchirurgie, 154(04), 335–335.