- Was ist Rhizarthrose?
- Symptome der Rhizarthrose
- Ursachen der Rhizarthrose
- Diagnose der Rhizarthrose
- Konservative Therapie der Rhizarthrose
- Übungen bei Rhizarthrose
- Operative Therapie der Rhizarthrose
Patienten mit Rhizarthrose leiden unter Schmerzen und verminderter Beweglichkeit im Daumengelenk. © Evrymmnt, Adobe
Die Arthrose im Daumensattelgelenk (Rhizarthrose) gehört zu den häufigsten Formen der Arthrose, dem Knorpelverschleiß in Gelenken. Aufgrund der gegenwärtigen Alterspyramide tritt die Rhizarthrose in Deutschland zunehmend häufiger auf. Meist sind Patienten ab 50 Jahren von Rhizarthrose betroffen. Frauen leiden vielfach häufiger als Männer unter dieser schmerzhaften und den Alltag stark einschränkenden Arthroseform.
Eine konservative Therapie kann die Rhizarthrose in vielen Fällen erfolgreich behandeln. Dazu gehören die Entlastung des Sattelgelenks mithilfe von Schienen, Physiotherapie zur Verbesserung von Beweglichkeit und Kraft und eine angepasste Schmerztherapie mit entzündungshemmenden Präparaten. Im fortgeschrittenen Stadium kann der Handspezialist eine fortgeschrittene Arthrose im Daumensattelgelenk operativ behandeln, um die volle Funktion der Hand im Alltag wiederherzustellen.
Was ist Rhizarthrose?
Die Rhizarthrose betrifft das Gelenk zwischen dem 1. Mittelhandknochen des Daumens und dem großen Vieleckbein (Kreis). © bilderzwerg / fotolia
Synonyme zu Rhizarthrose
Das Wort Rhizarthrose kommt aus dem Griechischen: Rhiza bedeutet Wurzel, arthron ist das Gelenk. Die Rhizarthrose bezeichnet die Arthrose des Daumensattelgelenks. Das Daumensattelgelenk ist das Gelenk zwischen dem 1. Mittelhandknochen (Os metacarpalia I) und dem großen Vieleckbein (Os trapezium). Dieses Gelenk hat die Form eines Sattels, was ihm seinen Namen verlieh. Es ist mit einer Knorpelschicht ausgekleidet, die den beiden Knochen das reibungslose Gleiten und Bewegen erlaubt. Das große Vieleckbein ist Teil der Handwurzelknochen und wichtig für die volle Beweglichkeit des Daumens.
Das Daumensattelgelenk erlaubt dem Daumen die Beugung bzw. Streckung, das An- und Abspreizen sowie die Drehung. Nur aufgrund dieser Möglichkeiten kann der Daumen den anderen Fingern gegenübergestellt (opponiert) werden und mit dem Pinzettengriff Gegenstände zu greifen.
Wer bekommt häufig Rhizarthrose?
27 Knochen bilden die menschliche Hand. Dies ist ein Viertel aller Knochen des Körpers. Diese Vielzahl an Knochen, die dazugehörigen Gelenke und Muskulatur ermöglichen erst die hochkomplexen und feinmotorischen Funktionen der Hand. Erst, wenn die Beweglichkeit der Hand eingeschränkt ist, nehmen wir ihre große Bedeutung für das alltägliche und berufliche Leben wahr.
Eine Arthrose des Daumensattelgelenks trifft Frauen 10-fach häufiger als Männer. Meist tritt die Rhizarthrose beidseitig auf, also an beiden Händen.
Menschen, die im Beruf leichten bis mittleren Beanspruchungen ausgesetzt sind, dabei aber den Daumen oft im Pinzettengriff halten, sind von Rhizarthrose häufiger betroffen als Schwerstarbeiter. Zu diesen Berufsgruppen zählen zum Beispiel Mechaniker, Näherinnen und Köche.
Im Vergleich zum Gelenkverschleiß in den großen Gelenken – vor allem in Hüfte, Knie und Sprunggelenk – kommt die Rhizarthrose recht selten vor, obwohl sie die häufigste Arthrose der Hand darstellt.
Symptome der Rhizarthrose
Typische Anfangsbeschwerden bei Daumensattelgelenksarthrose sind Griffschmerzen, etwa beim Anheben einer gefüllten Wasserflasche.
Röntgenbild einer Arthrose des Daumensattelgelenks: Der verschmälerte Gelenkspalt (Pfeil) ist deutlich sichtbar. © Gelenk-Klinik
Patienten mit Rhizarthrose haben Probleme beim Aufschrauben von Flaschen oder beim Umdrehen des Schlüssels in einem Schloss. Der Daumen fühlt sich – auch aufgrund der zunehmenden Gelenkfehlstellung im Daumensattelgelenk – instabil und wackelig an. Er ist bei Rhizarthrose nicht mehr im Daumensattelgelenk zentriert. Die Beweglichkeit des Daumen ist dabei in der Regel nicht eingeschränkt.
Häufig sind bei Rhizarthrose hörbare Reibe- und Knirschgeräusche (Krepitation) wahrnehmbar.
Im Endstadium der Rhizarthrose ist die Hand aufgrund von Schmerzen, Einsteifung des Daumengelenks, Fehlstellungen und entzündlichen Veränderungen nicht mehr vollständig belastbar.
Klinische Stadien der Rhizarthrose
Meist entsteht durch Überbeanspruchung, berufliche oder sportliche Überlastung über viele Jahre hinweg zunächst ein Knorpelschaden. In diesem Stadium kann das Gelenk durch Flüssigkeitseinlagerung schmerzhaft geschwollen sein. Der Abrieb des geschädigten Knorpels und weitere entzündliche Vorgänge greifen die Gelenkkapsel und die Bänder des Daumens an. Eine sichtbare Deformierung des Gelenkes entsteht.
Der Arzt teilt die Rhizarthrose entsprechend der Schwere der Verschleißerscheinungen in vier Stadien ein:
Stadium I:
Gelenkkontur noch normal, geringe Fehlstellung des Daumens, evtl. Flüssigkeitseinlagerung wegen Entzündung der Gelenkinnenhaut (Synovialis)
Stadium II:
Gelenkspalt bereits verschmälert, Osteophyten (Knochenanbauten) noch kleiner als 2 mm
Stadium III:
Verknöcherung und Zystenbildung im Knochen unterhalb des Gelenkknorpels, Osteophyten größer als 2 mm, Gelenkspalt verschwindet, Fehlstellung des Daumens deutlich sichtbar
Stadium IV:
Endstadium der Rhizarthrose mit kompletter Zerstörung des Daumensattelgelenks, deutlich sichtbare Umbauvorgänge im Knochen (Sklerosierung)
Ursachen der Rhizarthrose
Für die Arthrose des Daumensattelgelenks existiert meist keine genau benennbare Ursache. Die Rhizarthrose zählt also zu den primären Arthrosen und ist nicht Folge einer anderen Erkrankung oder einer traumatischen Einwirkung. Dennoch gibt es Risikofaktoren, die das Auftreten der Rhizarthrose begünstigen:
- weibliches Geschlecht
- mittleres bis hohes Alter
- hormonelle Umstellungen, Wechseljahre
- genetische Veranlagung (Prädisposition)
- Übergewicht, Bluthochdruck, Diabetes
- lockerer Bandapparat
- Verletzungen oder Brüche (Frakturen) des Daumens
- häufige Beanspruchung des Daumens im Beruf
Vor allem Frauen nach den Wechseljahren im 5. bis 6. Lebensjahrzehnt leiden unter Rhizarthrose. Als Krankheitsursache wird deshalb neben Überlastung auch eine hormonell bedingte Erschlaffung des Bandapparates um das Daumensattelgelenk diskutiert.
Im Verlauf der Entwicklung einer Rhizarthrose tritt die Gelenkdeformation zunehmend in den Vordergrund. Die Greifbewegung wird schwächer, die Koordinationsfähigkeit der Handbewegungen nimmt ab. Im Spätstadium ist das Gelenk vollständig zerstört und der Daumen liegt nicht mehr zentral im Gelenk.
Diagnose der Rhizarthrose
Der Orthopäde wird seinen Patienten zunächst befragen (Anamnese). Dabei kommen meist schon die typischen Symptome der Rhizarthrose zur Sprache: Koordinationsstörungen, Kraftverlust beim Griff nach schweren Gegenständen und Schwierigkeiten bei Drehbewegungen und beim Öffnen von Schraubverschlüssen.
Woran erkennt der Arzt Daumenarthrose?
- Streckung und Opposition des Daumens löst Schmerzen aus
- Fehlstellung des Daumensattelgelenks
- Schwellung besonders auf der Streckseite des Daumens
- tastbare Osteophyten
- gestörte Drehbewegungen
- Kraftverlust, Gefühl der Instabilität und Muskelschwäche
- familiär gehäuftes Auftreten
- Verschlechterung der Adduktionsbewegung (Heranziehen) des Daumens
- Röntgendiagnose: Verschmälerung des Gelenkspaltes, Osteophyten, Sklerosierung
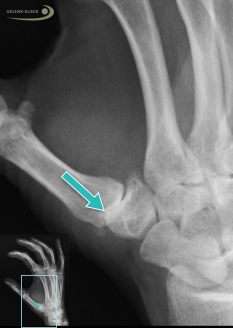
Röntgenbild einer Rhizarthrose: Sichtbar sind die knöchernen Anbauten im Gelenk (Osteophyten, Pfeil) und der deutlich verschmälerte Gelenkspalt. © Gelenk-Klinik
Sklerotische Veränderungen (Verknöcherungen) des Daumengelenks und Osteophyten (Knochenanbauten) an der Gelenkfläche stellt der Orthopäde durch Tasten (Palpation) fest. Fehlstellungen und Konturveränderungen des Daumensattelgelenks sieht er durch äußerliche Betrachtung.
Grind-Test bei Verdacht auf Rhizarthrose
Der Orthopäde kann die Arthrose des Daumensattelgelenks mithilfe des sogenannten Grind-Tests absichern. Dabei wird die Hand des Patienten fixiert und der Daumen im Gelenk leicht gedreht. Hört der Arzt Knirschgeräusche, ist eine Daumensattelgelenksarthrose wahrscheinlich.
Differentialdiagnose der Arthrose der Fingergelenke
Da es viele Störungen gibt, die mit einer schmerzhaften Verschlechterung der Daumenbeweglichkeit einhergehen, veranlasst der Orthopäde weitere Untersuchungen. Dazu gehören Laboruntersuchungen des Harnsäurestoffspiegels, der Entzündungswerte und von Autoantikörpern. Diese Nachweise erfolgen mithilfe einer Blutabnahme.
- Gicht: Abklärung der Harnsäurewerte durch Blutuntersuchung
- Arthritis: Nachweis erhöhter Entzündungsparameter (CRP, Blutsenkung, Leukozytenzahl)
- Rheuma: positiver Nachweis von Rheumafaktor und Autoantikörpern
- Ringbandstenose des Daumens: Tendovaginitis de Quervain
- Pseudarthrose (Scheingelenkbildung) nach Knochenbruch
- Arthrose der Sesambeine (kleine Knochen, die als Abstandhalter zur Sehne dienen)
- Zysten (Flüssigkeitseinlagerung) im Daumensattelgelenk
- RSI-Syndrom (Repetitive-Strain-Injury-Syndrom)
Konservative Therapie der Rhizarthrose
Konservative Behandlung der Rhizarthrose
- physikalische Therapie: Wärme oder Kälte
- Physiotherapie
- nichtsteroidale Antirheumatika als Entzündungshemmer
- pflanzliche Wirkstoffe
- Schmerzbehandlung durch lokales Betäubungsmittel
- im Einzelfall evtl. Kortisoninjektionen
- Tapeverband zur Entlastung des Daumengelenks
- stützende Schiene für das Daumengelenk (Orthese)
Im frühen Stadium der Rhizarthrose können Schmerzmittel aus der Gruppe der nichtsteroidalen Antirheumatika (NSAR) die knorpelzerstörende Gelenkentzündung eindämmen. Aufgrund möglicher unerwünschter Nebenwirkungen auf Magen und Verdauungstrakt raten wir von höheren Dosen und langer Anwendungsdauer ab.
Bei akuten Schmerzen gibt es die Möglichkeit, die Daumenschmerzen mit einem Lokalanästhetikum zu behandeln, um den Schmerz auszuschalten. Für ein langanhaltendes Ergebnis kann der Lokalanästhesie auch das entzündungshemmende Hormon Kortison beigefügt werden. Kortison ist jedoch nur zur gelegentlichen Anwendung geeignet. Aufgrund seiner Nebenwirkungen auf umliegendes Gewebe ist Kortison nicht als Daueranwendung zu empfehlen.
Bei abnehmender Griffstärke und Schmerzen kann eine Daumenschiene (Orthese) das Daumengrundgelenk unterstützen. Sie verleiht dem Handgelenk und dem Daumen Stabilität und Griffkraft.
Ist die Fingerarthrose bereits weit fortgeschritten, kann ein operativer Eingriff dem Patienten dazu verhelfen, seine Hand wieder schmerzfrei und mit voller Funktion einzusetzen.
Alltagstipps bei Rhizarthrose
- Schwere Lasten sollten Sie nur mit einem bequemen Griff tragen. Verteilen Sie das Gewicht möglichst auf beide Hände, um einseitige Knorpelüberlastungen zu vermeiden.
- Vermeiden Sie dauerhafte Belastungen der Finger, z. B. beim Karten spielen oder dem musizieren.
- Bei entzündlich aktivierter Arthrose helfen warme Bäder mit Badezalzen, die den Stoffwechsel aktivieren.
- Nutzen Sie Hilfen, um Auswringbewegungen zu vermeiden.
- Verwenden Sie im Alltag große Werkzeuge, bei denen die Hände möglicht weit geöffnet bleiben.
- Schränken sie mit einem Tapeverband bei schwerer Arbeit die Bewegungsfreiheit Ihres Daumengelenks ein, damit schützen Sie sich vor Gelenkverschleiß.
Übungen bei Rhizarthrose
Übung 1: Abduktion des Daumens
Ausgangsstellung: Legen Sie Ihre Hand flächig auf den Tisch. Die Finger und der Daumen berühren sich.
Durchführung: Spreizen Sie nun den Daumen seitlich ab und führen Sie ihn wieder in die Ausgangsstellung zurück.
Wiederholen Sie die Übung pro betroffener Hand 15–20 mal. Dies entspricht einem Satz. Führen Sie 2–3 Sätze durch mit jeweils circa 30 Sekunden Pause zwischen den Sätzen. Üben Sie mindestens 2- bis 3-mal pro Woche.
Ausgangsstellung: Die Hand liegt flach auf dem Tisch. © Gelenk-Klinik
Spreizen Sie nun den Daumen ab. © Gelenk-Klinik
Übung 2: Rotation des Daumens
Ausgangsstellung: Halten Sie Ihre Finger in leicht gebeugter Position. Die Fingerspitze des Daumens berührt den Zeigefinger.
Ausführung: Bewegen Sie nun den Daumen in einer Seitwärtsbewegung vom Zeigefinger weg. Die Fingerspitze des Daumens hält jedoch weiterhin Kontakt zum Zeigefinger. Auf diese Weise vergrößert sich die Öffnung zwischen Zeigefinger und Daumen.
Ausgangsstellung: Die Finger sind leicht gebeugt. © Gelenk-Klinik
Die Fingerspitze des Daumens wandert Richtung Fingerspitze des Zeigefingers. © Gelenk-Klinik
Alternative: Dieselbe Übung kann auch mithilfe eines Tennisballs durchgeführt werden. Dabei umgreift die Hand locker den Tennisball.
Ausgangsstellung: Die Finger umgreifen locker den Tennisball. © Gelenk-Klinik
Der Daumen rotiert. © Gelenk-Klinik
Übung 3: Traktion des Daumensattelgelenkes
Ausgangsstellung: Greifen Sie Ihren betroffenen Daumen mit der anderen Hand nahe am Grundgelenk. Der Griff sollte flächig und fest sein, aber nicht schmerzhaft.
Durchführung: Üben Sie nun einen leichten Zug in Verlängerung des Daumens aus. Der Zug sollte deutlich zu spüren sein, aber ebenfalls nicht schmerzhaft. Halten Sie den Zug für 10 Sekunden.
Wiederholen Sie die Übung pro betroffener Hand 10-mal. Dies entspricht einem Satz. Führen Sie 2–3 Sätze durch mit jeweils circa 30 Sekunden Pause zwischen den Sätzen. Üben Sie mindestens 2- bis 3-mal pro Woche.
Ausgangsstellung: Greifen Sie den Daumen mit Ihrer anderen Hand. © Gelenk-Klinik
Üben Sie leichten Zug aus. © Gelenk-Klinik
Übung 4: Selbstmassage der Daumenmuskulatur
Ausgangsstellung: Die betroffene Hand liegt mit dem Handteller nach oben auf dem Tisch.
Durchführung: Suchen Sie nun mit der anderen Hand die schmerzhaften Punkte am Daumenballen. Haben Sie diese gefunden, üben Sie mit den Fingern Druck auf diese Punkte aus. Halten Sie den Druck, bis der Schmerz und die Spannung im betroffenen Bereich nachlässt. Es ist auch möglich, die entsprechenden Stellen mit leicht kreisenden Bewegungen zu massieren.
Der Handteller zeigt nach oben. © Gelenk-Klinik
Üben Sie leichten Druck auf die schmerzhaften Punkte aus. © Gelenk-Klinik
Operative Therapie der Rhizarthrose
Für die operative Therapie der Daumenarthrose stehen vielfältige Möglichkeiten der Handchirurgie zur Verfügung. Über die bestmögliche Maßnahme entscheidet der Handchirurg anhand der individuellen Situation des Patienten und anhand des Arthrosestadiums.
Frühstadium der Rhizarthrose: Synovektomie
In den Frühstadien der Rhizarthrose kann eine minimalinvasive (arthroskopische) Operation des betroffenen Gelenks die Symptome beim Patienten lindern. Bei einer Synovektomie entfernt der Arzt operativ die entzündete Gelenkschleimhaut.
Frühstadium der Rhizarthrose: Denervation des Daumengrundgelenks
Bei der operativen Denervierung des Sattelgelenks werden die schmerzleitenden Nervenfasern, die das Daumengrundgelenk versorgen, durch lokale Erwärmung (Koagulation) zerstört. Diese arthroskopische Operation reduziert das Schmerzempfinden und die Schmerzweiterleitung im Daumen. Weil periphere Nerven aber eine hohe Regenerationsfähigkeit haben und sich nach einiger Zeit wieder mit ihrem Zielgebiet verbinden, ist die Denervation nur vorübergehend wirksam.
Fortgeschrittenes Stadium: Entfernung des großen Vieleckbeins mit Sehnenplastik
Die Trapezektomie entfernt das verschlissene Daumensattelgelenk. Kombiniert mit einer Sehnenplastik bringt dieser Eingriff für den Patienten die stabile Funktion des Daumens zurück. Die Schmerzen verringern sich zuverlässig und der Patient erhält seine Griffkraft dauerhaft zurück. Die Trapezektomie erzielt also eine deutliche Verbesserung der Situation des Patienten im Vergleich zum Ausgangsbefund der fortgeschrittenen Daumenarthrose.
Fortgeschrittenes Stadium: Versteifung des Daumensattelgelenks
Die Versteifungsoperation (Arthrodese) des Daumengelenks führt der Operateur mithilfe von Schrauben durch. Im Vergleich zu einem durch Arthrose zerstörten Gelenk kann diese Maßnahme ebenfalls Griffkraft, Schmerzsituation und Handfunktion des Patienten deutlich verbessern.
Die Beweglichkeit des Daumens nimmt durch diesen Eingriff deutlich ab. Dafür ist das versteifte Gelenk nach dem Eingriff wieder schmerzfrei und kann im Alltag eingesetzt werden.
Prothese des Daumensattelgelenks
Bei fortgeschrittener Arthrose des Daumens ist es möglich, das Daumengelenk durch eine Prothese des Daumensattelgelenks zu ersetzen. Dieses künstliche Kugelgelenk bringt die Beweglichkeit des Daumengelenks zurück und stellt die Schmerzfreiheit wieder her.
Literaturangaben
- (2006a). Osteoarthritis: Diagnosis and Medical/Surgical Management (Fourth ed). Lippincott Williams & Wilkins.
- (2006b). Rehabilitation, Physikalische Medizin und Naturheilverfahren (Springer-Lehrbuch) (German Edition) (1 ed). Springer.
- Assmus, H. (2000). [Tendovaginitis stenosans: a frequent complication of carpal tunnel syndrome]. Der Nervenarzt, 71, 474–6.. Osteoarthritis and cartilage / OARS, Osteoarthritis Research Society, 17(2), 152–160.
- Chambers, R. G. (2009). Corticosteroid injections for trigger finger. American family physician, 80, 454.
- Cooke, T. D. (1985). Pathogenetic mechanisms in polyarticular osteoarthritis.. Clinics in rheumatic diseases, 11, 203–38.
- Cooley, H. M., Stankovich, J. & Jones, G. (2003). The association between hormonal and reproductive factors and hand osteoarthritis. Maturitas, 45, 257–65.
- Dillon, C. F., Hirsch, R., Rasch, E. K. & Gu, Q. (2007). Symptomatic hand osteoarthritis in the United States: prevalence and functional impairment estimates from the third U.S. National Health and Nutrition Examination Survey, 1991–1994.. American journal of physical medicine & rehabilitation / Association of Academic Physiatrists, 86, 12–21.
- Dinarello, C. A. (2011). A clinical perspective of IL-1β as the gatekeeper of inflammation. European journal of immunology, 41(5), 1203–1217.
- Evans, C. H. (2005). Novel biological approaches to the intra-articular treatment of osteoarthritis. BioDrugs: clinical immunotherapeutics, biopharmaceuticals and gene therapy, 19(6), 355–362.
- Haidar, R., Harfouche, B. & Koudeih, M. (2009). Trigger finger after partial flexor tendon laceration: two case reports and review of the literature. The Journal of hand surgery, European volume, 34, 690–1.
- Irlenbusch, U. & Schäller, T. (2006). Investigations in generalized osteoarthritis. Part 1: genetic study of Heberden`s nodes. Osteoarthritis and cartilage / OARS, Osteoarthritis Research Society, 14, 423–7.
- Jones, G., Cooley, H. M. & Bellamy, N. (2001). A cross-sectional study of the association between Heberden`s nodes, radiographic osteoarthritis of the hands, grip strength, disability and pain. Osteoarthritis and cartilage / OARS, Osteoarthritis Research Society, 9, 606–11.
- Kerkhof, H. J., Doherty, M., Arden, N. K., Abramson, S. B., Attur, M., Bos, S. D. et al. (2011). Large-scale meta-analysis of interleukin-1 beta and interleukin-1 receptor antagonist polymorphisms on risk of radiographic hip and knee osteoarthritis and severity of knee osteoarthritis. Osteoarthritis and cartilage / OARS, Osteoarthritis Research Society, 19(3), 265–271.
- Koch, A. R. & Vaandrager, J. M. (1991). [Good results with the surgical treatment of trigger finger (tendovaginitis stenosans)]. Nederlands tijdschrift voor geneeskunde, 135, 1124–7.
- Loughlin, J. (2011). Osteoarthritis year 2010 in review: genetics. Osteoarthritis and cartilage / OARS, Osteoarthritis Research Society, 19(4), 342–345.
- Maar, D. & Pereszlényi, A. (1986). [Etiology and treatment of trigger finger – digitus saltans]. Acta chirurgiae orthopaedicae et traumatologiae Cechoslovaca, 53, 291–5.
- McGonagle, D., Tan, A. L., Grainger, A. J. & Benjamin, M. (2008). Heberdentext`s nodes and what Heberden could not see: the pivotal role of ligaments in the pathogenesis of early nodal osteoarthritis and beyond. Rheumatology (Oxford, England), 47, 1278–85.
- Nguyen, D. M. (1996). The role of physical medicine and rehabilitation in pain management. Clinics in geriatric medicine, 12(3), 517–529.
- Ragoowansi, R., Acornley, A. & Khoo, C. T. (2005). Percutaneous trigger finger release: the lift-technique. British journal of plastic surgery, 58, 817–21.
- Rewatkar, P. V., Kokil, G. R., Verma, A. & Thareja, S. (2010). Rheumatoid arthritis: a new challenge in coming era. Mini reviews in medicinal chemistry, 10, 98–107.