- Anatomie: Was ist das Radiusköpfchen?
- Ursachen: Warum bricht das Radiusköpfchen?
- Welche akuten Symptome verursacht die Radiusköpfchenfraktur?
- Klassifikation der Bruchformen: Auf welche Arten kann das Radiusköpfchen brechen?
- Welche Komplikationen und Spätfolgen können bei einer Radiusköpfchenfraktur auftreten?
- Diagnostik: Wie untersucht der Arzt einen Bruch des Radiusköpfchens?
- Therapie: Wie behandelt der Spezialist die Radiusköpfchenfraktur?
- Physiotherapie und Übungen bei Radiusköpfchenfraktur
- Häufige Patientenfragen zur Radiusköpfchenfraktur an PD Dr. med. habil. Bastian Marquaß von der Gelenk-Klinik

Synonyme für Radiusköpfchenfraktur:
- Fraktur des Caput radii
- Speichenköpfchenbruch
- Speichenkopfbruch
- Radiuskopffraktur
- Radiuskopfbruch
- proximale Radiusfraktur
Die Radiusköpfchenfraktur ist ein Bruch im ellenbogennahen Anteil des Speichenknochens (Radius). Diese Verletzung ist mit 30 % der häufigste Bruch am Ellenbogengelenk beim Erwachsenen. Männer und Frauen sind gleichermaßen betroffen. Die Fraktur entsteht beim Sturz auf die Hand bei gestrecktem oder leicht gebeugtem Arm. Die Unfallenergie wird dabei am Handgelenk aufgenommen und durch den Radius zum Ellenbogen geleitet, wodurch die Verletzung des Radiusköpfchens oder des Radiushalses entsteht. Man spricht in diesem Fall von einer indirekten Gewalteinwirkung als Auslöser für die Radiusköpfchenfraktur. Viel seltener entsteht der Bruch durch einen direkten Sturz oder Schlag auf den Ellenbogen.
Der Verletzungsmechanismus kann zu unverschobenen Brüchen, knöchernen Abscherungen oder Trümmerbrüchen des Radiusköpfchens führen. Immer, aber gerade bei komplexen Frakturen, muss mit begleitenden Kapsel- oder Bandverletzungen gerechnet werden. Das wiederum beeinflusst die Schwere der Verletzung sowie die Nachbehandlung und das zu erwartende Ergebnis entscheidend.
Typische Symptome der Radiusköpfchenfraktur sind Ellenbogenschmerzen und Schwellungen an der Außenseite. Zudem ist die Beweglichkeit des Ellenbogens häufig eingeschränkt.
Das Radiusköpfchen ist ein wichtiger Teil des Ellenbogengelenkes. Die Drehung des Radiusköpfchens um seine Längsachse ermöglicht uns die Einwärtsdrehung und Auswärtsdrehung des Unterarmes. Das Therapiekonzept muss die Art der Fraktur und die begleitende Bandverletzung erfassen, um Komplikationen und Spätfolgen durch eine unzureichende Heilung zu vermeiden. Mangelhaft verheilte Frakturen können zu Bewegungseinschränkungen und einer dauerhaften Instabilität im Ellenbogen führen. Eine Ellenbogensteife, vorzeitiger Gelenkverschleiß (Ellenbogenarthrose) oder sogar eine Radiusköpfchennekrose können die Folge sein.
Anatomie: Was ist das Radiusköpfchen?

Das Radiusköpfchen ist das obere (kraniale) Ende des Speichenknochens. Es spielt eine zentrale Rolle bei der Biomechanik des Ellenbogengelenks. Das Ellbogengelenk verbindet den Oberarmknochen (Humerus) mit den beiden Unterarmknochen Elle (Ulna) und Speiche (Radius). Es hat einen großen Bewegungsradius: Der Unterarm lässt sich bis zu 150 Grad beugen (Flexion) und ‒ insbesondere bei Kindern und Frauen ‒ manchmal bis zu 10 Grad über die Neutralstellung hinaus überstrecken (Extension). Um jeweils 90 Grad kann der Unterarm einwärts (Pronation) und auswärts (Supination) gedreht werden.
Das Ellenbogengelenk besteht aus drei Gelenkkomponenten, die eine funktionelle Einheit bilden. Eine gemeinsame Gelenkkapsel umfasst diese Einheit:
- Gelenk zwischen Oberarmknochen und Elle (Humeroulnargelenk)
- Gelenk zwischen Oberarmknochen und Speiche (Humeroradialgelenk)
- gelenkige Verbindung im oberen Teil zwischen Elle und Speiche, die Umwendbewegungen des Unterarms ermöglicht (proximales Radioulnargelenk)
Aufgrund seiner möglichen Beuge- und Streckbewegung sowie der Einwärts- und Auswärtsdrehung bezeichnet man den Ellenbogen als Drehscharniergelenk. Bei der Einwärtsdrehung und Auswärtsdrehung des Unterarms dreht sich das Radiusköpfchen um seine Längsachse.
Zeigt die Handfläche beim nach vorn gestreckten Arm nach oben, stehen beide Unterarmknochen parallel. Zeigt die Handfläche nach unten, überkreuzen sich Elle und Speiche. Bei der Drehbewegung hält das Ringband (Ligamentum anulare) das Radiusköpfchen. Es ist ein Teil der Gelenkkapsel und besitzt eine überknorpelte Innenfläche. Dies ermöglicht die reibungslose Drehung des Radiusköpfchens.
Das Radiusköpfchen überträgt bis zu 60 % der Axialkräfte (Kraft, die in Richtung der Körperachse wirkt) vom Handgelenk auf den Oberarm. Mithilfe der Bandstrukturen stabilisiert es das Ellenbogengelenk gegen den sogenannten Valgusstress. Das heißt, das Gelenk wird gegenüber Aufdehnungen entgegen der Mittellinie nach außen geschützt.
Ursachen der Radiusköpfchenfraktur: Warum bricht das Radiusköpfchen?

Der häufigste Unfallmechanismus für eine Radiusköpfchenfraktur sind Stürze auf den gestreckten oder leicht gebeugten Arm, wenn der Betroffene versucht, sich beim Sturz mit der Handfläche am Boden abzustützen. Der Unterarm ist einwärts gedreht. Es entsteht eine ruckartige massive Krafteinwirkung über die Hand und den gestreckten Arm auf das Ellenbogengelenk. Dabei prallt das Radiusköpfchen gegen das massive Ende des Oberarmknochens und kann brechen. Die Fraktur entsteht in diesem Fall durch die indirekte Gewalteinwirkung.
Seltener werden Frakturen des Radiusköpfchens durch einen direkten Sturz oder Schlag auf das Ellenbogengelenk verursacht. Je stärker das Ellenbogengelenk beim Sturz gestreckt ist, desto wahrscheinlicher entsteht eine Radiusköpfchenfraktur. Die Fraktur tritt in allen Altersgruppen auf, wobei der Altersdurchschnitt bei ca. 40 Jahren liegt. Männer und Frauen sind gleichermaßen betroffen. Vor allem sportlich aktive Menschen können eine Radiusköpfchenfraktur erleiden.
Welche akuten Symptome verursacht die Radiusköpfchenfraktur?
Leitbeschwerden:

Die Radiusköpfchenfraktur verursacht häufig Beschwerden an der Außenseite des Ellenbogens, die bis in die Hand ausstrahlen können. Starke lokale Schmerzen werden durch Druck auf das betroffene Radiusköpfchen ausgelöst. Die Drehung des Unterarms nach innen und außen sowie Streckung und Beugung des Ellenbogens sind nur unter zunehmenden Schmerzen möglich. Ist der Bruch von einer Schwellung mit Hämatombildung (Bluterguss) im Ellenbogenbereich begleitet, kann dies ein Zeichen für zudem vorliegende Kapsel- oder Bandverletzungen sein.
Kommt es durch den Bruch zu einer Einblutung in das Gelenk, was häufig ist, schränkt dies die Beweglichkeit des Ellenbogens deutlich ein. Besteht eine verschobene Fraktur (Dislokation), kann die Beweglichkeit des Gelenks sogar komplett blockiert sein. Ebenso können durch den Sturz die anderen beiden knöchernen Gelenkpartner (Oberarmknochen und Elle) geschädigt werden.
Nervenschäden sind selbst bei schweren Verletzungen selten und ungewöhnlich. Resultiert dennoch eine Verletzung des Nervus radialis, der am Ellenbogen verläuft, treten Sensibilitätsstörungen im Bereich der Hand auf. Zusätzlich kann die Handfunktion beieinträchtigt sein. Ein Bruch im Ellenbogengelenk kann außerdem eine Fehlstellung des Unterarmes gebenüber dem Oberarm auslösen.
Begleitverletzungen einer Radiusköpfchenfraktur
Bei der Radiuskopffraktur werden bis zu 30 % zusätzliche Verletzungen des umliegenden Bandapparates oder an anderen knöchernen Strukturen beschrieben. Schon eine einfache Radiuskopffraktur kann ligamentäre (die Bänder betreffende) Begleitverletzungen verursachen.
Am häufigsten ist das Außenband (Ligamentum collaterale radiale oder LUCL = laterales ulnares collaterales Ligament) betroffen, das die Gelenkkapsel des Ellenbogengelenks verstärkt. Aber auch die anderen stabilisierenden Seitenbänder, das Ringband (Ligamentum anulare) und die Gelenkkapsel selbst können verletzt werden. Dies führt zu einem mehr oder weniger instabilen Ellenbogengelenk.
Elle und Speiche sind über ihre gesamte Länge durch eine kräftige Bindegewebsschicht verbunden (Membrana interossea antebrachii). Die Membran dient als breite Ansatzfläche für die Unterarmmuskulatur. Sie kann ebenfalls verletzt sein. Hierbei handelt es sich um teilweise schwierig zu erkennende Verletzungen mit schweren Folgen für die Funktion des Armes. Das Vollbild einer solchen Verletzung der Membrana interossea mit gleichzeitigem Bruch des Radiusköpfchens wird als Essex-Lopresti-Verletzung bezeichnet.
Durch die große axiale Krafteinwirkung können zusätzlich Brüche im Bereich der Handwurzelknochen, am unteren Ende des Oberarmknochens (Capitulum humeri) oder am Kronenfortsatz der Elle (Processus coronoideus) entstehen. Das Capitulum humeri und der Processus coronoideus sind knöcherne Anteile des Ellenbogengelenkes. Vor allem der Processus coronoideus übernimmt neben dem Radiuskopf eine wichtige stabilisierende Funktion.
Sind bei Trümmerfrakturen beide Knochen gebrochen und liegt zudem eine Bandverletzung vor, spricht man von einer Unhappy-Triade-Verletzung. Dies nicht zu unrecht, denn im Gegensatz zum einfachen Radiuskopfbruch handelt es sich hierbei um eine hoch instabile Verletzung, welche bei falscher oder unzureichender Versorgung mit späteren Funktionseinschränkungen des Ellenbogengelenkes einhergehen kann.
Vor diesem Hintergrund darf die Radiusköpfchenfraktur nicht als rein knöcherne (ossäre) Verletzung eingestuft werden. Häufig liegen osteoligamentäre (die Knochen und Bänder betreffende) Begleitverletzungen vor, was bei der Erstdiagnostik und im weiteren Verlauf bedacht werden muss.
Sonderfälle
Beim Sturz auf die Hand bei ausgestrecktem Arm entsteht eine massive Krafteinwirkung auf Ellenbogen, Unterarm und Handgelenk. Diese anatomischen Strukturen können durch das hochenergetische Trauma im Sinne einer Kettenreaktion verletzt werden.
Essex-Lopresti-Fraktur
Die Essex-Lopresti-Verletzung ist eine seltene Kombinationsverletzung am Unterarm. 1951 wurde sie erstmals von dem Unfallchirurgen Peter Essex-Lopresti beschrieben. Bei dieser Verletzung ist das Radiusköpfchen oder der Radiushals gebrochen. Die derbe Bindegewebsschicht (Membrana interossea), die zwischen Elle und Speiche gespannt ist, ist vollständig gerissen. Im unteren Ellen-Speichen-Gelenk (distales Radioulnargelenk = DRUG) am Übergang zur Hand ist ist die Ulna herausgesprungen und verschoben (Subluxation).
Monteggia-like-Verletzung (Monteggia-Äquivalent-Fraktur)
Die Monteggia-like-Verletzung beschreibt einen Bruch der Elle im oberene Anteil (proximal) bzw. einen Bruch des Ellenbogenhöckers (Olekranon) in Kombination mit einer Radiusköpfchenfraktur. Bei der eigentlichen Monteggia-Verletzung ist das Radiusköpfchen am Ellenbogengelenk ausgerenkt.
Klassifikation der Bruchformen: Auf welche Arten kann das Radiusköpfchen brechen?
Klassifikation nach Mason:
- Typ 1: nicht oder gering (< 2mm) dislozierte 2-Fragment-Fraktur
- Typ 2: dislozierte 2-Fragment-Fraktur (> 2 mm)
- Typ 3: mehrfragmentäre Fraktur (Trümmerbruch)
- Typ 4: Radiuskopfluxationsfraktur
Die Einteilung der Radiusköpfchenfraktur erfolgt nach der sogenannten Mason-Klassifikation. Es werden vier Bruchformen unterschieden. Die Einteilung berücksichtigt die Anzahl der Bruchfragmente und deren Verschiebung (Dislokation). Anhand dieser Kriterien gibt sie einen Überblick über die Schwere der Verletzung.
Die Typ-1-Fraktur nach Mason beschreibt einen einfachen Knochenbruch. Das Knochenfragment befindet sich direkt an der Bruchstelle oder ist weniger als 2 mm von der Speiche abgekippt.
Bei der Typ-2-Fraktur ist das abgebrochene Knochenstück mindestens 2 mm oder mehr von der Speiche abgewichen. Häufig ist auch die knorpelige Gelenkfläche durch den Bruch betroffen.
Die Typ-3-Fraktur ist ein komplizierter Bruch. Das gesamte Radiusköpfchen ist in mehrere Teile zerbrochen, eine sogenannte Trümmerfraktur liegt vor.
Die Typ-4-Fraktur beschreibt einen Bruch des Radiusköpfchens kombiniert mit einer Auskugelung aus dem Ellenbogengelenk (Luxation). Neben den knöchernen Verletzungen müssen auch die Verletzungen des Bandapparates und der Weichteile durch den Facharzt erfasst werden.
Welche Komplikationen und Spätfolgen können bei der Radiusköpfchenfraktur auftreten?
Spätfolgen der Radiusköpfchenfraktur:
- Bewegungseinschränkungen
- Ellenbogensteife
- chronische Instabilität des Ellenbogengelenks
- Arthrose des Ellenbogengelenks
- Absterben des Radiusköpfchens wegen Durchblutungsstörungen (Radiusköpfchennekrose)
- Schäden durch unerkannte Begleitverletzungen
Aus einer Radiusköpfchenfraktur können akute Komplikationen mit Spätfolgen resultieren. Diese Schäden werden durch das Trauma verursacht. Auch eine verzögerte oder nicht optimale Behandlung begünstigt Spätfolgen. Zu den häufigsten Komplikationen zählt die Bewegungseinschränkung des Ellenbogengelenkes. Verursacht die Radiusköpfchenfraktur einen Funktionsverlust des Gelenks, beeinträchtigt dies viele unserer Tätigkeiten in Beruf und Alltag. Für den Patienten entsteht ein großer Leidensdruck. Eine Radiusköpfchenfraktur sollte immer fachärztlich behandelt werden, um weitreichende Folgeschäden zu vermeiden. Die Ellenbogenspezialisten der Gelenk-Klinik beraten Sie gern.
Bewegungseinschränkungen durch einen Radiusköpfchenbruch
Dauerhafte Bewegungseinschränkungen können als Spätfolge einer Radiusköpfchenfraktur zurückbleiben. Besonders für die Umwendbewegung des Unterarms ist das Radiusköpfchen wichtig. Fehlverheilte Brüche führen zu einer Stufenbildung im Bereich der Gelenkflächen und machen damit eine reibungslose Gelenkbeweglichkeit unmöglich.
Knochenfragmente oder freies Knorpelgewebe können im Gelenkspalt eingeklemmt werden und so die Einwärtsdrehung und Auswärtsdrehung des Unterarms blockieren. Der Nervus radialis verläuft anatomisch in unmittelbarer Nähe des Radiusköpfchens.
Schädigungen des Nervs lösen Missempfindungen im Bereich des Handrückens aus und können Lähmungen im Bereich des Unterarms verursachen. Hierbei kommt es typischerweise zu Störungen der Handstreckung.
Ellenbogensteife nach Radiusköpfchenfraktur
Zu den häufigsten Komplikationen des Radiusköpfchenbruchs zählt eine chronische Bewegungseinschränkung des Ellenbogengelenks. Eine Ellenbogensteife kann durch den Bruch selbst verursacht werden. Nach einer Verletzung des Radiusköpfchens kommt es im Rahmen des natürlichen Heilungsprozesses zur Narbenbildung innerhalb der Gelenkkapsel. Die Verwachsungen und Narben im Gelenk begleitet von einer verdickten Gelenkkapsel behindern die Ellenbogenfunktion.
Aufgrund ausgeprägter Schmerzen hält der Patient den betroffenen Arm meist in einer Beugestellung von 90°. Diese Schonhaltung kann mittelfristig eine Kapselschrumpfung mit nachfolgender Steife im Ellenbogengelenk verursachen. Auch eine längere Ruhigstellung des Gelenks in Beugestellung durch einen Gips oder nach einer Operation sind Risikofaktoren für die Ausbildung einer Ellenbogensteife. Die Gelenkkapsel schrumpft und verliert an Elastizität. Die Patienten spüren, dass ihr Bewegungsumfang deutlich eingeschränkt ist. Meist liegt nicht nur ein Streckdefizit vor, sondern häufig ist ebenfalls die Auswärtsdrehung (Supination) des Unterarms behindert.
Chronische Instabilität des Ellenbogengelenks
Je nach Schwere des Bruchs betreffen Begleitverletzungen nicht nur die Gelenkkapsel, sondern auch die Ansätze der Bänder und Sehnen. Heilen diese nicht adäquat an, kann eine Instabilität des Gelenkes entstehen. Diese kann häufig muskulär kompensiert werden. Andererseits steckt hinter mancher chronischer Epikondylitis (Tennisellenbogen) eine unterschwellige Bandinstabilität aus einer früheren Verletzung, die zu einer langfristigen Überlastung der Sehnenansätze führt.
Arthrose des Ellenbogengelenks
Fehlverheilte Brüche des Radiusköpfchens und Gelenkinstabilität können zu vermehrtem Knorpelabrieb im Ellenbogengelenk führen. Es entsteht ein vorzeitiger Gelenkverschleiß (Arthrose), der die Umwendbewegung des Unterarms, aber auch die Beugung und Streckung im Ellenbogengelenk beeinträchtigt. Die posttraumatische Ellenbogenarthrose stellt sich häufig erst viele Jahre nach der Ellenbogenfraktur ein.
Absterben des Radiusköpfchens wegen Durchblutungsstörungen (Radiusköpfchennekrose)
Bei einem Bruch des Radiusköpfchens können Blutgefäße, die den Knochen versorgen, zerstört werden. Dies betrifft vor allem Trümmerbrüche des Radiusköpfchens. Durch die anschließende Minderversorgung des Knochens kann das Radiusköpfchen absterben (Radiusköpfchennekrose).
Vorsicht: Spätschäden durch unerkannte Begleitverletzungen
Die Radiusköpfchenfraktur wird in den meisten Fällen von Verletzungen des umliegenden Bandapparates begleitet. Außerdem können knöcherne oder knorpelige Anteile der umliegenden Strukturen verletzt sein. Dazu gehören Schäden des Oberarmknochens und der Elle im Bereich des Ellenbogengelenks.
Selten ist die Radiusköpfchenfraktur mit einem Bruch des Handgelenkes kombiniert. Bleiben diese Begleitverletzungen bei der Diagnostik unerkannt, können sich die zuvor beschriebenen Komplikationen und Folgeschäden entwickeln. Es droht eine Funktionseinschränkung des betroffenen Unterarms und der Hand. Der Behandlungsverlauf einer Radiusköpfchenfraktur in solchen Fällen ist für den Patienten komplizierter und langwieriger.
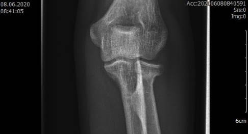
Diagnostik: Wie untersucht der Arzt einen Bruch des Radiusköpfchens?
In der Regel hat der Patient nach einem Bruch des Radiusköpfchens starke Schmerzen im Bereich des Ellenbogens und Unterarms. Meist ist die Beweglichkeit des Unterarms deutlich eingeschränkt. Die Radiusköpfchenfraktur kann mit Verletzungen des Bandapparates und der Gelenkkapsel am Ellenbogen einhergehen.
Die Therapie richtet sich zunächst nach der vorliegenden Bruchform und den zu erwartenden oder nachgewiesenen Begleitverletzungen. Die darauf abgestimmte Behandlung durch den Facharzt kann das Auftreten von Komplikationen und Spätschäden für die Funktion des Ellenbogengelenkes verringern.
Bei Verdacht auf eine Radiusköpfchenfraktur sollte umgehend ein Facharzt aufgesucht werden.
Der Unfallhergang ist diagnoseweisend
Den Hinweis auf das Vorliegen einer Radiusköpfchenfraktur kann bereits die Schilderung des Unfallhergangs geben. Die Patienten berichten meist von einem Sturz auf die Hand bei gestrecktem oder leicht gebeugten Arm.
Klinische Untersuchung
Wegweisend für die Diagnosefindung ist neben der Anamnese die klinische Untersuchung des betroffenen Arms. Der Patient stellt sich mit einer Schwellung im Ellenbogenbereich vor. Der Arm wird angewinkelt am Körper gehalten. Typisch ist ein starker lokaler Druckschmerz über dem betroffenen Radiusköpfchen an der Außenseite des Ellenbogens. Die Beweglichkeit des Ellenbogengelenks ist schmerzhaft eingeschränkt.
Eine Schmerzverstärkung kann durch Einwärts- und Auswärtsbewegung des Unterarms gegen Widerstand ausgelöst werden. Bei jedem Verdacht auf eine Radiusköpfchenfraktur muss das Handgelenk in die Untersuchung mit einbezogen werden, um dortige Verletzungen zu erkennen oder auszuschließen.
Zum Ausschluss von Gefäßverletzungen oder Nervenschäden untersucht der Facharzt die periphere Durchblutung (vom Körperzentrum entfernt) sowie Beweglichkeit und Sensibilität im Unterarm- und Handbereich. Bei begleitenden Nervenschädigungen ist eine zusätzliche neurologische Untersuchung indiziert.
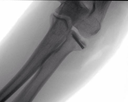
Apparative bildgebende Diagnostik: Röntgen
Die Standarduntersuchung ist die Röntgenaufnahme des Ellenbogens in zwei Ebenen. Dabei wird eine a.-p. Aufnahme angefertigt (anterior-posterior, d. h. der Strahlengang verläuft von von vorne nach hinten durch das Ellenbogengelenk). Zudem erfolgt eine seitliche Aufnahme des Ellenbogengelenks. Einfache Frakturen (Fraktur-Typ 1 und 2 nach Mason) können mit der Röntgenaufnahme sicher diagnostiziert werden.
Bei jeder Radiusköpfchenfraktur muss auch das untere Ellen-Speichen-Gelenk (distales Radioulnargelenk) am Übergang zur Hand begutachtet werden. Gegebenenfalls muss durch eine radiologische Untersuchung eine Essex-Lopresti-Verletzung ausgeschlossen werden.


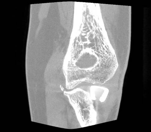
Computertomografie (CT), digitale Volumentomografie (DVT) und Magnetresonanztomografie (MRT)
Ist der Bruch nicht sicher im Röntgenbild zu beurteilen oder liegt ein komplizierter Bruch oder gar eine Zertrümmerung des Radiusköpfchens vor, erfolgt zusätzlich eine Computertomografie (CT)/digitale Volumentomografie (DVT).
Diese Untersuchungen ermöglichen eine eindeutige Einteilung des vorliegenden Bruchs und die Darstellung von möglicherweise vorhandenen knöchernen Begleitverletzungen. Der Bruch des Processus coronoideus ist ein wichtiger Hinweis für ein instabiles Ellenbogengelenk. Dieser knöcherne Vorsprung der Elle stabilisiert das Gelenk neben dem Radiuskopf nach vorne.
Begleitende Verletzungen der Gelenkkapsel oder des stabilisierenden Bandapparates werden vor allem in der Magnetresonanztomografie (MRT) optimal dargestellt.


Therapie: Wie behandelt der Spezialist die Radiusköpfchenfraktur?
Das Ziel der Therapie einer Radiusköpfchenfraktur ist die anatomische Wiederherstellung und die Wiedererlangung einer optimalen Funktionsfähigkeit des Ellenbogengelenkes. Bei der Therapiewahl darf aber nicht nur die vorliegende Verletzung ausschlaggebend sein.
Der Patient selbst und seine persönlichen Anforderungen, seine Aktivität in Freizeit und Beruf und sein gesundheitlicher Zustand müssen in das Therapiekonzept mit einbezogen werden. Die Ellenbogenspezialisten der Gelenk-Klinik werden Sie bei der Therapieplanung optimal beraten.
Unsere langjährigen Erfahrungen im Umgang mit diesem Verletzungsbild lassen eine stadiengerechte Therapie zu. Hierbei berücksichtigen wir den individuellen Anspruch des Patienten an die Funktion des Armes ebenso wie das zugrunde liegende Verletzungsmuster inklusive möglicher Begleitverletzungen und damit auch die zu erwartende Prognose bei konservativer oder operativer Therapie.
Konservative Therapie
Nicht oder nur gering verschobene Brüche ohne schwere begleitende Verletzung der Bänder werden konservativ behandelt. Dazu gehören vor allem die Typ-1-Frakturen nach Mason. Eine temporäre Ruhigstellung des betroffenen Arms in einem Tragetuch oder durch einen Oberarmgips lindert den Akutschmerz. Die Ruhigstellung sollte nicht länger als eine Woche erfolgen, um eine Bewegungseinschränkung oder Versteifung des Ellenbogengelenkes zu vermeiden.
Ergänzend hilft eine adäquate Schmerztherapie mit z. B. nichtsteroidalen Schmerzmitteln, um die Beschwerden zu reduzieren. Im Anschluss an die konservative Therapie durch eine Schiene oder einen Gips muss das Ellenbogengelenk frühzeitig wieder mobilisiert werden. Um Verschiebungen des Bruchs während des Heilungsprozesses (sekundäre Dislokation) zu erkennen, wird ein bis zwei Wochen nach dem Unfall eine Röntgenkontrolle durchgeführt.
Operative Therapie
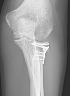
Ist das gebrochene Knochenfragment mehr als 2 mm vom Radiusköpfchen verschoben, ist eine operative Therapie erforderlich. Die optimale Rekonstruktion des Radiusköpfchens soll gewährleistet sein, um einen Funktionsverlust im Ellenbogengelenk oder chronische Schmerzen zu vermeiden. Der Umfang der operativ durchgeführten Maßnahmen richtet sich hierbei nach dem Ausmaß des Bruches.
Vor allem bei einer Trümmerfraktur des Radiusköpfchens stellt dies eine Herausforderung dar. Der Radiuskopf ist ein wichtiger Stabilisator für den Ellenbogen und sollte durch eine Rekonstruktion oder einen prothetischen Ersatz erhalten werden. Auch Begleitverletzungen anderer knöcherner Strukturen oder des Bandapparates müssen im Rahmen der operativen Therapie versorgt werden, um ein stabiles Gelenk zu erhalten.
Rekonstruktion des Radiusköpfchens durch Schrauben und Plättchen
Eine Fraktur mit nur einem verschobenen Bruchstück von mehr als 2 mm (Typ-2-Fraktur nach Mason) wird meist durch Kleinstfragment-Schrauben oder Plättchen versorgt. Dieses Verfahren wird als Osteosynthese bezeichnet und kann minimalinvasiv durchgeführt werden.
Das verschobene Knochenfragment wird dabei in seine ursprüngliche anatomische Lage reponiert (gerichtet) und fixiert. Eine Stufenbildung der Gelenkfläche soll so vermieden werden, um die Funktion des Radiusköpfchens im Ellenbogengelenk optimal wiederherzustellen. Schrauben oder Plättchen müssen bei korrekter Lage später nicht zwingend entfernt werden. Begleitverletzungen der Bänder können ebenfalls während des Eingriffes versorgt werden.

Rekonstruktion des Radiusköpfchens durch winkelstabile Platten

Auch komplexe Frakturen mit mehreren Bruchstücken und begleitender Verrenkung (Luxation) können durch eine Osteosynthese kopferhaltend therapiert werden. Dazu werden spezielle winkelstabile Radiusköpfchenplatten verwendet, die die einzelnen Fragmente stabil fixieren.
Irreparable Radiusköpfchenfraktur: Einsatz einer Radiusköpfchenprothese

Ist das Radiusköpfchen in viele kleine Fragmente zerbrochen, kann eine Rekonstruktion nicht mehr möglich sein. In diesem Fall sollte in der Akutsituation die Implantation einer Radiusköpfchenprothese erwogen werden, um das Ellenbogengelenk ausreichend zu stabilisieren. So ist nicht nur das Gelenk stabil geführt, sondern auch vorhandene Kapsel-/Bandverletzungen können in korrekter Stellung zur Ausheilung gebracht werden.
Bei stabilem Bandapparat auf der Innenseite (mediales Seitenband) und intaktem Processus coronoideus, kann auch eine Entfernung des Radiusköpfchens ohne Prothesenersatz erfolgen. Der Körper bildet dann einen knorpeligen, narbigen Ersatz am Radiushals. Problematisch ist, dass die Trümmerfrakturen nahezu immer mit Begleitverletzungen einhergehen, sodass eine Radiuskopfresektion im Akutfall eher die Ausnahme ist.
Die Implantation einer Radiusköpfchenprothese ist technisch anspruchsvoll. Der Prothesendurchmesser sollte dem ursprünglichen Radiusköpfchen entsprechen und die Prothese darf im Verhältnis zum Gelenkbereich der Elle nicht zu weit hervorstehen. Man spricht auch vom “Overstuffing” der Radiusköpfchenprothese. Dies muss vermieden werden. Nur so lassen sich lokale Beschwerden mit Bewegungseinschränkungen und einem vermehrten Knorpelabrieb im Ellenbogengelenk vermeiden.
Externer Inhalt von youtube.com
Nachbehandlung der Radiusköpfchenfraktur
Das Wichtigste nach einer Radiusköpfchenfraktur ist es, die Funktion des Ellenbogens wiederherzustellen. Dabei richtet sich die Nachbehandlung im Detail nach der durchgeführten Therapie. Generell sollte jedoch eher eine frühe Beübung angestrebt werden, um das Risiko von späteren Bewegungseinschränkungen zu reduzieren.
Bei der konservativen Therapie wird das Ellenbogengelenk eventuell in der Akutphase zur Schmerzlinderung kurze Zeit mittels Schiene oder Gips ruhiggestellt. Spätestens nach 7 Tagen sollte eine Beübung des Ellenbogens erfolgen, um bleibende Bewegungseinschränkungen zu vermeiden.
Nach einer operativen Versorgung des Bruchs wird ebenfalls eine frühe Beübung des Ellenbogengelenkes angestrebt. Diese kann durch möglicherweise mitbehandelte Begleitverletzungen in den ersten Wochen nur in einem eingeschränkten Bewegungsumfang sinnvoll sein, um eine Instabilität zu vermeiden. In diesen Situationen muss zwischen Ruhigstellung und Gefahr einer Einsteifung gegenüber früher Beübung und dem Risiko einer Instabilität abgewogen werden.
Nach etwa 6 Wochen und einem komplikationslosen Verlauf kann häufig mit einem intensiven Beübungsprogramm und mit einem dosierten Krafttraining begonnen werden.
Physiotherapie und Übungen bei Radiusköpfchenfraktur
Unabhängig davon, ob eine Fraktur konservativ oder operativ versorgt wurde, lassen sich einige generelle Übungsempfehlungen aussprechen:
Die angrenzenden Gelenke (Schulter/Hand) sollten bereits am ersten Tag aktiv bewegt werden, ohne dabei das Ellenbogengelenk zu belasten. Auf diese Weise regt der Patient den für die Regeneration benötigten Stoffwechsel zusätzlich an und beugt einer Versteifung der angrenzenden Gelenke vor. Auch eine Mobilisation des Schulterblattes sowie eine Anleitung zur aufrechten Körperhaltung entlasten die Muskulatur des oberen Rumpfes sowie des Armes und beugen somit Schmerzen und Schonhaltungen vor.
Übungen für angrenzende Gelenke (ab dem 1. Tag möglich)
Übung 1: Schulterkreisen
Übungsziel: durch das Bewegen der Schultermuskulatur und des Schulterblattes werden Verspannungen vorgebeugt und der Stoffwechsel angeregt.
Ausgangsstellung: Stand oder Sitz; der betroffene Arm ist in der Schiene oder im Gips ruhiggestellt.
Durchführung: Führen Sie mit Ihren Schultern eine Kreisbewegung nach hinten durch. Die Arme bleiben dabei locker hängen. Die Bewegung kommt aus den Schultern. Betonen Sie bei der Kreisbewegung die Bewegung nach hinten unten.
Wiederholen Sie diese Übung 15- bis 20-mal. Dies entspricht einem Satz. Führen Sie 2–3 Sätze durch mit jeweils 30 Sekunden Pause dazwischen.


Übung 2: Schultern hoch- und runterziehen
Übungsziel: Durch das gezielte Anspannen der Schulter-Nackenmuskulatur kann sie anschließend besser entspannen und damit die Halswirbelsäule entlasten.
Ausgangsstellung: Stand oder Sitz; der betroffene Arm ist in der Schiene oder im Gips ruhiggestellt.
Durchführung: Ziehen Sie die Schultern Richtung Ohren und senken Sie sie anschließend langsam wieder ab. Auch bei dieser Übung starten Sie mit kleinen Bewegungen, die Sie zunehmend steigern. Kombinieren Sie diese Übung mit Ihrer Atmung. Atmen Sie beim Hochziehen der Schultern ein und beim Absenken aus.
Wiederholen Sie diese Übung 10- bis 15-mal. Dies entspricht einem Satz. Führen Sie 2–3 Sätze durch mit jeweils 30 Sekunden Pause dazwischen.


Übung 3: Entspannung/Dehnung der Atemhilfsmuskulatur

Übungsziel: Durch diese Kombination aus Anspannung und Atmung wird die Atemhilfsmuskulatur sanft gedehnt und erfährt dadurch eine Spannungssenkung. Freieres Atmen und eine reduzierte Spannung im Schulter-Nacken-Bereich sind die Folge.
Ausgangsstellung: Sitz auf einem Stuhl. Die Unterarme sind auf den Oberschenkeln oder den Armlehnen des Stuhls locker abgelegt bzw. der betroffene Arm ist in einer Schlinge oder einem Gips ruhiggestellt.
Durchführung: Atmen Sie langsam durch nur leicht geöffnete Lippen aus. Am Ende der Ausatmung drücken Sie die Schultern nach unten, sodass sich Ihr Schultergürtel nach unten senkt. Atmen Sie in dieser Position tief durch die Nase ein. Achten Sie darauf, dass sich der Schultergürtel nicht hebt. Beim Ausatmen entspannen Sie.
Wiederholen Sie diese Übung 5- bis 7-mal. Dies entspricht einem Satz. Führen Sie 2–3 Sätze durch mit jeweils 30 Sekunden Pause dazwischen.
Übung 4: Faustschluss
Übungsziel: Diese Übung regt den Stoffwechsel im Arm an und beugt einem Muskelabbau vor.
Ausgangsstellung: Platzieren Sie die betroffene Hand in einer Stellung mit ausreichend Bewegungsfreiheit. Der betroffene Arm ist dabei in einer Schiene oder einem Gips ruhiggestellt.
Durchführung: Ballen Sie eine Faust. Halten Sie diese Position für 5 Sekunden. Öffnen Sie anschließend die Hand, bis Sie die maximale Streckung in den Fingern und in der Handinnenfläche erreichen und schließen Sie die Hand erneut zur Faust.
Wiederholen Sie die Übung 7- bis 10-mal. Dies entspricht einem Satz. Führen Sie 2–3 Sätze durch mit jeweils 30 Sekunden Pause zwischen den Sätzen.


Übung 5: Knetmasse oder Softbälle kneten
Hilfsmittel: Knetmasse, Softball oder Schwamm.
Übungsziel: Diese Übung regt den Stoffwechsel im Arm an und beugt einem Muskelabbau vor.
Ausgangsstellung: Nehmen Sie einen Softball, einen weichen Schwamm oder Knetmasse in die betroffene Hand. Der betroffene Arm ist in einer Schiene oder einem Gips ruhiggestellt.
Durchführung: Kneten Sie mit regelmäßigen und sanften langsamen Bewegungen den Gegenstand in Ihrer Hand.
Wiederholen Sie die Übung 15- bis 20-mal. Dies entspricht einem Satz. Führen Sie 2–3 Sätze durch mit jeweils 30 Sekunden Pause zwischen den Sätzen.

Übungen zur Bewegungserweiterung des Ellenbogens (ab entsprechender Belastungs- und Bewegungsfreigabe möglich)
Achtung! Diese Übungen sind erst mit entsprechender Belastungs- und Bewegungsfreigabe durch Ihren Arzt durchführbar! Halten Sie deshalb unbedingt Rücksprache, bevor Sie die folgenden Übungen durchführen.
Übung 6: Beugung/Streckung des Ellenbogens im Sitzen
Übungsziel: belastungsarme Bewegungserweiterung des Ellenbogens.
Ausgangsstellung: Sitz, der betroffene Arm ist auf einem Tisch abgelegt, sodass die Hand am Rande des Tisches liegt.
Durchführung: Wischen Sie mit dem Unterarm über den Tisch, bis der Ellenbogen gestreckt ist. Kehren Sie anschließend in die Ausgangsposition zurück.
Wiederholen Sie die Übung 15- bis 20-mal. Dies entspricht einem Satz. Führen Sie 2–3 Sätze durch mit jeweils 30 Sekunden Pause zwischen den Sätzen.


Übung 7: Ellenbogenstreckung in Rückenlage
Hilfsmittel: Handtuch o. Ä.
Übungsziel: belastungsarme Verbesserung der Streckung des Ellenbogens.
Ausgangsstellung: Liegen Sie auf dem Rücken auf einer nicht zu weichen Unterlage. Legen Sie ein kleines aufgerolltes Handtuch unter den Oberarm, direkt oberhalb des Ellenbogens.
Durchführung: Strecken Sie den Ellenbogen, soweit wie es schmerzfrei möglich ist. Die Handfläche zeigt nach oben. Achten Sie darauf, dass sich die Schulter nicht zu weit von der Unterlage abhebt. Sie können ggf. die nicht betroffene Hand auf die betroffene Schulter legen, um diese unten zu halten. Halten Sie die Endposition für ein paar Sekunden und kehren Sie anschließend in die Ausgangsposition zurück.
Wiederholen Sie die Übung 15- bis 20-mal. Dies entspricht einem Satz. Führen Sie 2–3 Sätze durch mit jeweils 30 Sekunden Pause zwischen den Sätzen.


Übung 8: Ellenbogenstreckung im Sitzen
Hilfsmittel: Handtuch o. Ä.
Übungsziel: belastungsarme Verbesserung der Streckung des Ellenbogens.
Ausgangsstellung: Stehen oder sitzen Sie. Legen Sie die Handflächen auf einem gut rutschenden Handtuch auf einem Tisch ab.
Durchführung: Schieben Sie die Hände auf dem Tisch entlang und strecken Sie die Ellenbogen dabei so weit, wie es schmerzfrei möglich ist. Kehren Sie anschließend in die Ausgangsposition zurück.
Wiederholen Sie die Übung 15- bis 20-mal. Dies entspricht einem Satz. Führen Sie 2–3 Sätze durch mit jeweils 30 Sekunden Pause zwischen den Sätzen.


Häufige Patientenfragen zur Radiusköpfchenfraktur an PD Dr. med. habil. Bastian Marquaß von der Gelenk-Klinik
Was ist eine Radiusköpfchenfraktur?
Die Radiusköpfchenfraktur ist ein Bruch im ellenbogennahen Anteil des Speichenknochens (Radius). Das Radiusköpfchen ist ein wichtiger Teil des Ellenbogengelenkes. Es ermöglicht uns die Einwärtsdrehung und Auswärtsdrehung des Unterarmes. Das Radiusköpfchen kann bei Stürzen auf den gestreckten oder leicht gebeugten Arm brechen, wenn der Betroffene versucht, sich beim Sturz mit der Handfläche am Boden abzustützen.
Wie lange dauert die Heilung einer Radiusköpfchenfraktur?
Der Heilungsprozess einer Radiusköpfchenfraktur verläuft unterschiedlich und ist von der Art des Bruchs und dem Vorliegen von Begleitverletzungen abhängig. Ein einfacher, nicht grob verschobener Bruch mit konservativer Behandlung braucht 4–6 Wochen, um belastungsstabil zu sein. Dann können noch Bewegungseinschränkungen im Ellenbogengelenk bestehen, welche sich in den folgenden Wochen bessern sollten. Ein komplizierter Verlauf ist meist ein Zeichen für Begleitverletzungen. Bei einem schwierigen und langwierigen Heilungsprozess sollte z. B. mittels MRT (Magnetresonanztomografie) gezielt nach Begleitverletzungen gesucht werden.
Nach einer operativen Stabilisierung des Bruchs dauert es etwa 6 Wochen, bis der Patient das Gelenk wieder belasten kann. Übungen und alltägliche Belastungen sind meistens schon früher möglich. Das genaue Nachbehandlungsschema wird vom Operateur individuell festgelegt.
Wann darf ich den Ellenbogen wieder belasten?
Die Belastbarkeit des Ellenbogens nach einer Radiusköpfchenfraktur ist vom Heilungsverlauf abhängig. 6 Wochen nach der Therapie kann mit intensiven physiotherapeutischen Übungen und einem dosierten Krafttraining des Armes begonnen werden. Dies gilt in der Regel sowohl bei einer konservativen Therapie als auch bei einer operativen Versorgung des Bruchs. Ist der Verlauf komplikationslos, kann das Ellenbogengelenk nach einer Radiusköpfchenfraktur In der Regel nach 3–6 Monaten wieder vollständig belastet werden.
Wie lange bin ich nach einer Radiusköpfchenfraktur arbeitsunfähig?
Die Dauer der Krankschreibung nach einer Radiusköpfchenfraktur richtet sich nach dem ausgeübten Beruf und der Art der Fraktur. Ein Patient, der im Beruf seine Arme wenig einsetzen muss, wird schneller wieder arbeitsfähig sein als beispielsweise ein Maler oder Maurer, dessen Ellenbogengelenke bei seiner täglichen Arbeit stark beansprucht werden. Die Dauer kann dementsprechend zwischen zwei Wochen und mehreren Monaten bei komplizierten Radiusköpfchenfrakturen variieren. Daher sollte die Krankschreibung stets in Absprache mit dem behandelnden Arzt erfolgen.
Wann sollte ich zum Arzt gehen?
Bei dem Verdacht auf eine Radiusköpfchenfraktur sollten Sie umgehend einen Arzt aufsuchen. Der Verdacht besteht nach einem Sturz auf die Hand bei ausgestrecktem oder leicht gebeugten Arm mit starken Schmerzen an der Außenseite des Ellenbogens, die bis in den Unterarm und die Hand ausstrahlen. Häufig ist die Ein- und Auswärtsdrehung des Unterarms nur mit Beschwerden möglich. Eine frühe fachärztliche Versorgung kann Komplikationen und dauerhafte Bewegungseinschränkungen im Ellenbogengelenk durch einen Bruch des Radiusköpfchens weitestgehend vermeiden.
Wann darf ich nach einer Radiusköpfchenfraktur wieder Auto fahren?
Nach einer Radiusköpfchenfraktur sollte der Betroffene frühestens nach zwei Wochen selbst wieder Auto fahren. In einigen Fällen ist es sogar erst nach Monaten wieder möglich. Das ist natürlich abhängig von der Schwere der Verletzung und dem Heilungsverlauf des Knochenbruchs. Die Bewegung der Arme beim Autofahren belastet das Ellenbogengelenk stark. Bitte sprechen Sie mit Ihrem behandelnden Arzt, ab wann Ihr Ellenbogen wieder dermaßen beansprucht werden kann. Nehmen Sie das Autofahren erst wieder auf, wenn Sie sich sicher und in der Lage dazu fühlen.
Welche Prognose hat eine behandelte Radiusköpfchenfraktur?
Die Prognose einer Radiusköpfchenfraktur ist umso besser, je unkomplizierter die Fraktur ist und je unkomplizierter die Heilung verläuft. Einfache, stabile Brüche ohne Verschiebung der Knochenfragmente haben eine bessere Prognose als instabile, verschobene Brüche oder Trümmerfrakturen. Nicht selten verbleibt unabhängig vom gewählten Therapieverfahren bei komplizierten Frakturen oder Verläufen eine Einschränkung der Streck- bzw. Beugefähigkeit oder der Umwendbewegung des Unterarms zurück.
Wie lange muss ich den Verband bzw. Gips nach einer Radiusköpfchenfraktur tragen?
Eine längere Ruhigstellung fördert das Risiko einer Bewegungseinschränkung und sollte bei unkomplizierten Brüchen nicht länger als eine Woche andauern. Jedoch kann je nach Verletzungsschwere auch eine längere Ruhigstellung notwendig sein. Ggf. wird bewusst eine leichte Einsteifung des Gelenkes in Kauf genommen. Die Tragedauer muss mit dem behandelnden Arzt abgesprochen werden.
Wann darf ich nach einer Radiusköpfchenfraktur wieder Sport machen?
Die Sportfähigkeit nach einer Radiusköpfchenfraktur ist abhängig von der Verletzungsschwere und der Art des Sports. So sind stützende Übungen, die das Ellenbogengelenk stark belasten, ungefähr nach 3 Monaten sinnvoll, wenn das Gelenk dabei schmerzfrei bleibt. Radfahren hingegen kann bereits nach 2 Wochen wieder möglich sein. Hier hilft die Nachfrage beim behandelnden Arzt, da es sich um eine sehr individuelle Entscheidung handelt.
Darf ich mit einer Radiusköpfchenfraktur radfahren?
Wie oben angesprochen kann Radfahren nach zwei Wochen bei einem nicht verschobenen Bruch und konservativer Therapie denkbar sein. Bei instabilen Situationen oder nach einem operativen Eingriff, sollte Radfahren in den ersten 6 Wochen vermieden werden, um ein Abheilen des Bruchs zu ermöglichen. Generell sollte auch nach 6 Wochen umsichtig Rad gefahren werden, um das Sturzrisiko so gering wie möglich zu halten. Gerade hier in Freiburg spielt (Down-Hill-)Mountainbiken eine große Rolle. Dies ist aufgrund der damit einhergehenden Stützbelastung und den Erschütterungen für den Ellenbogen nicht vor der vollständigen knöchernen Durchbauung zu empfehlen. Dies dauert mindestens 3–6 Monate.
Wann muss eine Radiusköpfchenfraktur operiert werden?
Sind die gebrochenen Knochenfragmente bei einer Radiusköpfchenfraktur um mehr als 2 mm voneinander verschoben oder liegt gar ein Trümmerbruch vor, ist eine operative Therapie zu empfehlen. Bei der Operation werden auch Begleitverletzungen der Bänder versorgt. Nicht oder nur gering verschobene Brüche ohne schwere begleitende Verletzung der Bänder können konservativ behandelt werden. Dazu gehören die Typ-1-Frakturen nach Mason.
Nicht selten werden operative Eingriffe auch längere Zeit nach einem Radiusköpfchenbruch durchgeführt, da die Ellenbogenfunktion eingeschränkt bleibt oder anhaltende Schmerzen bestehen. Grund hierfür können u. a. eine Gelenksteife, freie Gelenkkörper oder Knorpelschäden sein. In diesen Fällen kann eine Arthroskopie (Gelenkspiegelung) und entsprechende Behandlung der Ursache helfen, die Beschwerden zu verbessern.
Literaturangaben
- Amis, A. A., & Miller, J. H. (1995). The mechanisms of elbow fractures: an investigation using impact tests in vitro. Injury, 26(3), 163–168.
- Chen, X., Wang, S. C., Cao, L. H., Yang, G. Q., Li, M., & Su, J. C. (2011). Comparison between radial head replacement and open reduction and internal fixation in clinical treatment of unstable, multi-fragmented radial head fractures. International orthopaedics, 35(7), 1071–1076.
- Duckworth, A. D., Wickramasinghe, N. R., Clement, N. D., & McQueen, M. M. (2014). Long-term outcomes of isolated stable radial head fractures. JBJS, 96(20), 1716–1723.
- Essex-Lopresti, P. (1951). Fractures of the radial head with distal radio-ulnar dislocation. The Journal of bone and joint surgery. British volume, 33(2), 244–247.
- Gebauer, M., Rücker, A. H., Barvencik, F., & Rueger, J. M. (2005). Therapie der Radiusköpfchenfraktur. Der Unfallchirurg, 108(8), 657–668.
- Hackl, M., Wegmann, K., Ries, C., Leschinger, T., Burkhart, K. J., & Müller, L. (2015). Radial head replacement-surgical technique and own clinical results. Zeitschrift fur Orthopadie und Unfallchirurgie, 153(6), 652–656.
- Hausmann, J. T., Vekszler, G., Breitenseher, M., Braunsteiner, T., Vécsei, V., & Gäbler, C. (2009). Mason type-I radial head fractures and interosseous membrane lesions – a prospective study. Journal of Trauma and Acute Care Surgery, 66(2), 457–461.
- Josten, C., Korner, J., & Lill, H. (2002). Radiusköpfchenfrakturen. Ellenbogenverletzungen, 137–149. Steinkopff, Heidelberg.
- Kaas, L., van Riet, R. P., Vroemen, J. P., & Eygendaal, D. (2010). The epidemiology of radial head fractures. Journal of shoulder and elbow surgery, 19(4), 520–523.
- Koslowsky, T. C., Mader, K., Dargel, J., Koebke, J., Hellmich, M., & Pennig, D. (2007). Reconstruction of a Mason type-III fracture of the radial head using four different fixation techniques: an experimental study. The Journal of Bone and Joint Surgery. British volume, 89(11), 1545–1550.
- Leschinger, T., Müller, L. P., Hackl, M., & Wegmann, K. (2016). The cortical irregularity in the transition zone of the radial head and neck: a reliable radiographic sign of an occult radial head fracture. Archives of orthopaedic and trauma surgery, 136(8), 1115–1120.
- Lindemann-Sperfeld, L., Jansch, L., Genest, M., Haferkorn, K., Marintschev, I., & Otto, W. (2002). Differenziertes Behandlungskonzept der Radiusköpfchenfraktur. Zentralblatt für Chirurgie, 127(03), 218–233.
- Mason M. (1954). Some oberservations on fractures of the head of the radius with a review of one hundred cases. Br J Surg 42, 123–132.
- Marquaß, B., & Josten, C. H. (2010). Primäre Endoprothetik nach Trauma. Trauma und Berufskrankheit, 12(1), 18–23.
- Marquaß, B., & Josten, C. (2010). Akute und chronische Instabilitäten des Ellenbogengelenks. Zeitschrift für Orthopädie und Unfallchirurgie, 148(06), 725–740.
- McGinley, J. C., Gold, G., Cheung, E., & Yao, J. (2014). MRI detection of forearm soft tissue injuries with radial head fractures. Hand, 9(1), 87–92.
- Moghaddam, A., Lennert, A., Studier-Fischer, S., Wentzensen, A., & Zimmermann, G. (2008). Endoprothesenversorgung nach Radiusköpfchentrümmerfrakturen. Der Unfallchirurg, 111(12), 997–1004.
- Röhm, C., Lill, H., Korner, J., & Josten, C. (2002). Radiusköpfchenfrakturen. Trauma und Berufskrankheit, 4(1), 91–95.
- Schmidt-Horlohe, K., Siebenlist, S., Stöckle, U., Pichl, J., & Hoffmann, R. (2011). Radiuskopf- und Radiushalsfrakturen. Zeitschrift für Orthopädie und Unfallchirurgie, 149(06), e69–e88.
- Van, F. G., Van, R. R., & Verstreken, J. (2001). Current concepts in the treatment of radial head fractures in the adult. A clinical and biomechanical approach. Acta orthopaedica belgica, 67(5), 430–441.
- Wegmann, K., Ries, C., Mueller, L. P., & Burkhart, K. J. (2013). Die Radiuskopffraktur. Arthroskopie, 26(3), 211–218.