- Was ist ein Hallux rigidus?
- Wann ist eine Operation des Hallux rigidus erforderlich?
- Aufbau der Hemiprothese des Großzehengrundgelenks
- Vorteile der Hemiprothese am Großzehengrundgelenk
- Welche Untersuchungen müssen der OP-Entscheidung vorausgehen?
- Für wen eignet sich eine Hemiprothese am Großzehengrundgelenk?
- Kontraindikationen der Teilprothese des Großzehengrundgelenks
- Wie operiert man eine Hemiprothese am Großzehengrundgelenk?
- Heilungsdauer und Nachbehandlung nach Einsatz einer Hemiprothese am Großzehengrundgelenk
Röntgenbild einer Hemiprothese zur Behandlung einer Arthrose des Großzehengrundgelenks (Hallux rigidus). © Gelenk-Klinik
Eine Hemiprothese des Großzehengrundgelenks kann bei fortgeschrittenen Schäden am Gelenkknorpel eingesetzt werden. Die Beschwerden beim Hallux rigidus verstärken sich bei Überstrecken des Gelenkes beim Abrollen. Klinisch fällt diese Erkrankung durch einen eingeschränkten Bewegungsumfang in bisher passendem Schuhwerk oder durch erschwertes Abrollen des Fußes auf. Diese krankhafte Veränderung kann in eine vollständige, schmerzhafte Versteifung des Großzehengrundgelenks übergehen, die häufig von Entzündungszeichen wie Schwellung und Rötung des darüberliegenden Hautareals begleitet wird. Im fortgeschrittenen Stadium macht der Hallux rigidus das Gehen längerer Strecken unmöglich. Die Hemiprothese kann einen schmerzfreien, fast vollständigen Bewegungsumfang im Großzehengrundgelenk wiederherstellen.
Was ist ein Hallux rigidus?
Der Hallux rigidus bezeichnet eine Arthrose (Gelenkverschleiß) des Großzehengrundgelenks. Dabei entstehen bei Belastung, also eigentlich bei jedem Schritt, stechende Schmerzen in der Großzehe. Häufig entsteht diese Arthrose in Verbindung mit einem Hallux valgus (Ballenzeh) der Großzehe. Dabei handelt es sich um eine Fehlstellung, bei der der große Zeh nach außen in Richtung Kleinzehen abweicht. Wie jede andere Arthrose auch kann der Hallux rigidus in einigen Fällen zu vollständigem Gelenkverschleiß im Großzehengrundgelenk führen. In diesen Fällen muss das Gelenk ersetzt werden.
Schematisches Bild eines Hallux rigidus: Deutlich sichtbar ist der verschmälerte Gelenkspalt des arthrotischen Gelenks. Im fortgeschrittenen Stadium bilden die Gelenkflächen an den Seiten Knochenanbauten (Osteophyten) aus (rot markiert), um die veränderte Druckverteilung im Gelenk zu kompensieren. © Gelenk-Klinik
Wann ist eine Operation des Hallux rigidus erforderlich?
Um die schmerzfreie Beweglichkeit, Sportfähigkeit und Arbeitsfähigkeit des Patienten zu erhalten, hilft bei Hallux rigidus mit fortgeschrittenem Knorpelverschleiß nur noch eine Operation des Großzehengrundgelenks. Herkömmlicherweise wird die Operation bei endgradigem Hallux rigidus als Gelenkversteifung durchgeführt. Man bezeichnet diese therapeutische Versteifung des Großzehengelenks auch als Arthrodese.
Die Arthrodese ist sehr belastbar und zuverlässig schmerzmindernd. Die Versteifung hat jedoch den Nachteil, dass die am Gelenk beteiligten Knochen in einem bestimmten Winkel fixiert werden müssen. Das ist in vielen Fällen zwar hinreichend für das normale Gehen oder Joggen in flachen Schuhen.
Gerade bei weiblichen Patienten besteht jedoch häufig die Einschränkung, dass der festgelegte Winkel bei der Arthrodese die Schuhauswahl deutlich limitiert. Schuhe mit hohen Absätzen können dann nicht mehr getragen werden, weil die dafür erforderliche Beugung im Großzehengrundgelenk nach einer Arthrodese nicht mehr erbracht werden kann.
In diesen Fällen kann die bewegliche Versorgung des Großzehengelenks durch eine Oberflächenersatzprothese (Teilprothese) weiterhelfen.
Die Haltbarkeit einer Vollprothese des Großzehengrundgelenks ist hingegen nicht sehr zuverlässig. Über 35 % der GZG-Endoprothesen waren bei Reihenuntersuchungen schon nach zwei Jahren gelockert. In der Gelenk-Klinik führen wir diese Operationsmethode daher nicht mehr durch.
Eine Alternative zur herkömmlichen Hemiprothese bietet der Oberflächenersatz mittels elastischer Knorpeloberfläche (CARTIVA®).
Aufbau der Hemiprothese des Großzehengrundgelenks
Die Hemiprothese unterscheidet sich vom vollständigen Gelenkersatz (Totalendoprothese), da nur eine der beiden Gelenkflächen mit einer Prothese versorgt wird. An der Gelenkfläche des Mittelfußknochens verzichtet man auf die Prothese. Im Gegensatz zur Versteifung des Gelenks kann die Bewegungsfreiheit im Gelenk erhalten bleiben. So sind insbesondere Frauen in der Auswahl ihrer Schuhe nach der Operation nicht eingeschränkt.
Vorteile der Hemiprothese am Großzehengrundgelenk
- schnelle Schmerzfreiheit
- bessere Funktion und bessere Belastbarkeit
- gute Gewebeverträglichkeit
- zementfreie Implantation
- individuelle Prothesenanpassung möglich
- gute Rückzugsmöglichkeit auf andere Operationsverfahren durch geringe Knochenresektion
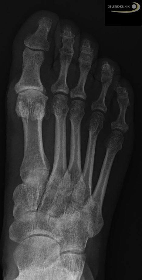
Welche Untersuchungen müssen der OP-Entscheidung vorausgehen?
Hallux rigidus im Röntgenbild: Der Gelenkspalt des Großzehengrundgelenks ist aufgrund des fehlenden Knorpels stark verschmälert. © Gelenk-Klinik
Um feststellen zu können, ob eine Hemiprothese für einen Patienten geeignet ist, veranlasst der Arzt eine klinische und radiologische Untersuchung. Wenn symptomatisch Beschwerden bestehen, muss ein Röntgenbild einschätzen, ob eine Arthrose vorliegt. Der Arzt erkennt die Arthrose des Großzehengrundgelenks an einem verschmälerten Gelenkspalt, der auf den fehlenden Knorpel an den Gelenkflächen zurückzuführen ist.
Wenn eine Arthrose als Ursache für die Beschwerden festgestellt werden kann, darf diese ein gewisses Maß nicht überschreiten, damit eine Hemiprothese infrage kommt. Eine sehr fortgeschrittene Arthrose an beiden Gelenkflächen wäre eine Indikation für eine Versteifung des Gelenks. Die Untersuchungen können jedoch auch andere Ursachen als Grund für eine schmerzhafte Bewegungseinschränkung zum Ergebnis haben, sodass sich für Sie eine andere Therapie als optimal herausstellt.
Für wen eignet sich eine Hemiprothese am Großzehengrundgelenk?
Der Hallux rigidus hat keinen Bezug zum Alter des Patienten und kann in allen Altersklassen vorkommen. Als Krankheitsursache geht man von einer genetischen Veranlagung im Zusammenhang mit einer Überbelastung des Gelenks aus. Sogenannte Mikrotraumata, also kleine Verletzungen des Gelenks (z. B. durch Gewalteinwirkung), können ebenfalls eine Krankheitsursache sein. Sie bleiben häufig zunächst unentdeckt und machen sich erst zu einem späteren Zeitpunkt bemerkbar. Oftmals treten die Beschwerden auch im Rahmen einer Gicht (Störung des Harnsäurestoffwechsels) auf.
Insbesondere wenn die Wiederherstellung einer guten Beweglichkeit der Großzehe bei bestehendem Hallux rigidus gewünscht wird, ist die Hemiprothese eine geeignete Therapiemöglichkeit.
Kontraindikationen der Teilprothese des Großzehengrundgelenks
Bei einer weit fortgeschrittenen Arthrose im Großzehengrundgelenk ist die Versorgung durch eine Hemiprothese evtl. nicht mehr möglich. Eine Schädigung der Gelenkfläche über dem Mittelfußknochen ist zwar keine absolute Kontraindikation für den Einsatz einer Hemiprothese, kann aber ein Grund dafür sein, dass eine Versteifung (Arthrodese) bevorzugt wird. Auch bei Beschwerden, die auf Fehlstellungen des Fußes oder der Großzehe zurückgehen (z. B. Hallux valgus), kann eine Hemiprothese die Beschwerden nicht beseitigen. Zunächst müsste die Fehlstellung korrigiert werden.
Wie operiert man eine Hemiprothese am Großzehengrundgelenk?
Zunächst öffnet der Operateur das Gelenk durch einen etwa 3 cm langen Schnitt auf der Rückseite der Großzehe. Anschließend entfernt er alle im Rahmen der Erkrankung entstandenen Knochenauswüchse (Osteophyten). Indem der Arzt das Gelenk leicht auseinanderzieht, hat er freie Sicht auf den Gelenkspalt. Er verkürzt das Grundglied der Großzehe um einige Millimeter. Dabei wird die Gelenkfläche samt Knorpeldefekt abgetragen. Die Verkürzung entlastet außerdem das unter Sehnenzug stehende Gelenk. Mit einer Messlehre bestimmt der Operateur am knöchernen Ende des Grundglieds die optimale Größe der Prothese. Dann befestigt er sie mit einem Dorn auf der Rückseite der künstlichen Gelenkfläche im Knochen. Nachdem der Arzt den Bewegungsumfang der Prothese überprüft hat, verschließt er das Operationsgebiet mit einer Naht.
Durch das Press-fit-Verfahren verläuft der Einsatz der Hemiprothese komplett zementfrei. Zudem ermöglicht die knochensparende Operationsmethode einen Rückzug auf eine möglicherweise später erforderliche Gelenkversteifung (Arthrodese).
Heilungsdauer und Nachbehandlung nach Einsatz einer Hemiprothese am Großzehengrundgelenk
In den ersten Tagen nach der Operation wird der operierte Fuß hochgelagert und gekühlt. Ab dem zweiten Tag sollte der Patient mit leichten Bewegungen beginnen. Die Einnahme von entzündungshemmenden Schmerzmitteln unterstützt den Heilungsprozess. Es sollte für vier vier Wochen nach der OP ein Verbandschuh mit steifer Sohle getragen werden. Nach ca. 6 Wochen ist die Teilprothese fest mit dem Knochen verwachsen.
Literaturangaben
- [Surgical treatment of Hallux rigidus]. (1997). Revue de chirurgie orthopédique et réparatrice de l'appareil moteur, 83 Suppl 3, 35–54.
- Brigido, S. A., Troiano, M. & Schoenhaus, H. (2009). Biologic resurfacing of the ankle and first metatarsophalangeal joint: case studies with a 2-year follow-up. Clinics in podiatric medicine and surgery, 26(4), 633–645.
- Chee, Y. H., Clement, N., Ahmed, I., Thomson, C. E. & Gibson, J. N. (2011). Functional outcomes following ceramic total joint replacement for hallux rigidus.. Foot and ankle surgery, 17(1), 8–12.
- Marks, R. M. (2005). Arthrodesis of the first metatarsophalangeal joint. Instructional course lectures, 54, 263–268.
- Marti, R. K. & Schröder, J. (2006). Arthrodesis of small joints, illustrated by the carpometacarpal joint of the thumb. Operative Orthopädie und Traumatologie, 18(1), 57–65.
- Niethard, F. U., Pfeil, J. & Biberthaler, P. (2009). Orthopädie und Unfallchirurgie Stuttgart: Thieme.
- Orthofer, P. (2004). Orthopädietechnik. Huber Hans.
- Seeber, E., & Dobbert, D. (2007). Systeme des endoprothetischen Gelenkersatzes des Großzehengrundgelenkes. Fuß & Sprunggelenk, 5(4), 262–268.
- Unknown. (2007). Praxis der konservativen Orthopädie. Thieme Georg Verlag.
- Wulker, N., FRCSIMater, M. M. & III, M. D. (1998). An Atlas of Foot & Ankle Surgery (1st ed). Martin Dunitz.
- Wülker, N. (1997). [Hallux rigidus]. Der Orthopäde, 26(8), 731–740.
- Wülker, N. (2005). Taschenlehrbuch Orthopädie und Unfallchirurgie. Stuttgart: Thieme.
- Ziegler, J., Amlang, M., Bottesi, M., Kirschner, S., Witzleb, W.-C. & Günther, K.-P. (2007). [Results for endoprosthetic care in patients younger than 50 years]. Der Orthopäde, 36(4), 325–336.
