- Was ist eine fehlverheilte Sprunggelenksfraktur?
- Ursachen: Wie entstehen fehlverheilte Sprunggelenksfrakturen?
- Symptome einer fehlverheilten Sprunggelenksfraktur?
- Spätfolge der fehlverheilten Sprunggelenksfraktur: Sprunggelenksarthrose
- Diagnose: Wie überprüft der Spezialist die korrekte Heilung der Sprunggelenksfraktur?
- Therapie: Wie behandelt der Spezialist eine fehlverheilte Sprunggelenksfraktur?
- Häufig gestellte Patientenfragen zu fehlverheilten Sprunggelenksfrakturen an Dr. med. Thomas Schneider von der Gelenk-Klinik

Der Begriff fehlverheilte Sprunggelenksfraktur bedeutet, dass ein gebrochenes Sprunggelenk nicht wieder korrekt zusammengewachsen ist. Dies führt zu einer dauerhaften Schädigung des Gelenks mit belastenden Einschränkungen der Patienten für ihr tägliches Leben.
Das Sprunggelenk ist ständig hohen Belastungen ausgesetzt. Beim Gehen nimmt es das gesamte Körpergewicht über das Schien- und Wadenbein auf und leitet es an die Fußknochen weiter. Beim Laufen und Springen können Kräfte entstehen, die weit über dem Körpergewicht liegen.
Das Sprunggelenk ist anfällig gegenüber Umknickverletzungen und Verdrehungen (Distorsionen) z. B. beim Sport wie Fußball, Tennis oder Wandern. Zusätzlich können auch Stürze aus großer Höhe oder Verkehrsunfälle ‒ sogenannte Hochrasanzverletzungen ‒ eine Sprunggelenksfraktur verursachen.
Heilt die Fraktur nicht korrekt, können Fehlstellungen oder Stufenbildungen im Gelenk die Folge sein. Die Patienten leiden unter dauerhaften Schmerzen und Bewegungseinschränkungen. Die Fehlbelastung des Gelenks verursacht langfristig Knorpelschäden mit nachfolgender Sprunggelenksarthrose.
In der Gelenk-Klinik untersuchen und therapieren unsere Spezialisten für Fuß- und Sprunggelenk fehlverheilte Frakturen des Sprunggelenks oder verbliebene Fehlfunktion kompetent und angepasst an die individuelle Situation der Patienten.
Was ist eine fehlverheilte Sprunggelenksfraktur?
Bei einem Knochenbruch (Fraktur) ist die durchgehende Struktur eines Knochens komplett oder teilweise unterbrochen. Der menschliche Knochen kann sich nach einem Bruch wieder vollständig regenerieren. Dafür bildet er zwischen den Bruchenden frisches Knochenmaterial (Kallus), das nach und nach härter und belastbarer wird.
Das obere Sprunggelenk verbindet den Fuß mit dem Unterschenkel und wird durch drei Knochen gebildet: Es besteht aus dem Innenknöchel des Schienbeins (Tibia) und dem Außenknöchel des Wadenbeins (Fibula). Zusammen umschließen sie das keilförmige Sprungbein (Talus) von oben wie eine Zange (Malleolengabel). Ein stabiler Bindegewebsapparat führt den Talus in der Gelenkgabel. Das obere Sprunggelenk reguliert die Auf- und Abbewegung des Fußes.
Das untere Sprunggelenk verbindet das Sprungbein (Talus) mit dem Fersenbein (Calcaneus), dem Würfelbein (Os cuboideum) und dem Kahnbein (Os naviculare). Es reguliert die Stellung des Fersenbeins und Rückfußes nach Innen oder Außen bei unebenem Untergrund. Das Sprunggelenk wird zusätzlich durch einen starken bindegewebigen Bandapparat gehalten.
Frakturen am Sprunggelenk können verschiedene knöcherne Anteile betreffen. Die Gelenkgabel kann in unterschiedlichem Ausmaß geschädigt sein. Häufig wird die Fraktur von Verletzungen des Bandapparates begleitet.
Stehen die knöchernen Bruchenden am Sprunggelenk während des Heilungsprozess nicht exakt zueinander, entstehen Fehlstellungen und Formveränderungen des Gelenks mit möglicherweise schwerwiegenden Folgen:
- Bewegungseinschränkungen und Blockaden im Sprunggelenk
- Schmerzen bei Belastung, die die körperliche Aktivität einschränken
- dauerhafte Instabilität des Sprunggelenks mit häufigem Umknicken als Folge
- chronische Schmerzen
- vorzeitiger Gelenkknorpelverschleiß (Arthrose) durch Fehlstellung und Formveränderung des Sprunggelenks
Ziel jeder Behandlung einer Sprunggelenksfraktur ist deshalb immer, die Gelenkanatomie wiederherzustellen, damit das Gelenk seine Funktion optimal erfüllen kann. Faktoren, die die Ausprägung einer fehlverheilte Sprunggelenksfraktur bestimmen, sind:
- das Ausmaß der Verletzung
- eventuell begleitende Knorpelschäden der Gelenkfläche
- Weichteilverletzungen bei offener Fraktur
- starke Vernarbungen
- Alter und Geschlecht des Patienten
- die Wahl der konservativen oder chirurgischen Versorgung der Sprunggelenksfraktur
Welche Formen von fehlverheilten Sprunggelenksfrakturen gibt es?
Formen fehlverheilter Sprunggelenksfrakturen
- Pseudarthrosen (Falschgelenk)
- knöcherne Achs- oder Rotationsfehlstellungen
- knöcherne Fehlstellungen
- knöcherne Verkürzungen oder Verlängerungen
- Bandinstabilitäten
Die Außenknöchelfrakturen werden nach der sogenannten Weber-Klassifikation unterschieden. Die Einteilung des Bruches ist abhängig von der Bruchhöhe im Bereich des unteren Wadenbeins sowie der Beteiligung des Syndesmosebandes.
Klassifikation der Sprunggelenksfraktur nach Weber
- Weber Typ A: Die Fraktur liegt unterhalb der Syndesmose, die Syndesmose ist nicht beschädigt.
- Weber Typ B: Bei der Weber-B-Verletzung ist der Bereich um die Syndesmose in die Fraktur miteinbezogen. Die Syndesmose ist häufig mit verletzt.
- Weber Typ C: Hier liegt die Fraktur oberhalb der Syndesmose. Die Syndesmose ist mit verletzt. Häufig ist auch die stabilisierende Membran zwischen Schienbein und Wadenbein (Membrana interossea cruris) verletzt.
Die Syndesmose ist die flächige Bandverbindung zwischen Schienbein und Wadenbein. Sie stabilisiert die Sprunggelenksgabel und hält sie zusammen. Die Beschädigung der Syndesmose bei Sprunggelenksfrakturen kann die Sprunggelenksgabel dauerhaft destabilisieren.
Eine besonders schwere Form der Sprunggelenksfraktur ist die Trimalleolarfraktur. Dabei sind drei Knochenbereiche beteiligt: Der Außenknöchel (lateraler Malleolus), der Innenknöchel (medialer Malleolus) und die hintere untere Kante des Schienbeins, das sogenannte Volkmann-Dreieck. Oft sind gleichzeitig die stabilisierenden Bänder und die Syndesmose betroffen.
Mögliche Spätfolgen nach Sprunggelenksfrakturen
Je nach Lokalisation des Bruches kann es bei Fehlheilung einer Sprunggelenksfraktur zu folgenden Problemen kommen:
- Außenknöchel: Sowohl nach konservativer als auch nach operativer Therapie einer äußeren Sprunggelenksfraktur können sogenannte Pseudarthrosen entstehen. Der Begriff Pseudarthrose kommt aus dem griechischen (pseudos = falsch, arthros = Gelenk) und beschreibt die Ausbildung eines Falschgelenks durch eine fehlerhafte Verheilung der Knochen. Das betroffene Wadenbein wächst nach einer Fraktur nicht wieder stabil zusammen. Achs- oder Drehfehlstellungen des Wadenbeins während des Heilungsprozesses führen zu Aufweitung oder einer zu engen Stellung der Gelenkgabel. Auch eine Verkürzung des Wadenbeins kann eine Spätfolge sein, zum Beispiel nach einer unzureichenden intraoperativen Reposition.
- Syndesmose: Durch einen Abriss der Syndesmose an ihrem knöchernen Ansatz kann die Gelenkverbindung zwischen Schienbein und Wadenbein dauerhaft geschädigt werden.
- Innenknöchel: Innere Sprunggelenksbrüche können zu knöchernen Fehlstellungen, knöchernen Verkürzungen oder sogar Verlängerungen des Schienbeins und somit Gelenkschäden führen.
- Hintere Schienbeingelenkfläche: Brüche im Bereich des Volkmann-Dreiecks (Volkmann-Fraktur) können Stufen- oder Spaltbildungen an der Gelenkfläche verursachen. Stufenbildungen führen langfristig beim Patienten zu einer schweren Sprunggelenksarthrose. Durch begleitende Risse der Innenbänder wird der stützenden Bandapparat instabil und das Gelenk auf Dauer falsch belastet.
- Übersehen der Sprunggelenksfraktur oder -verletzung
- Fehlbeurteilung der Sprunggelenksfraktur
- Vorliegen von Kontraindikationen für eine operative Versorgung der Fraktur
- Unzureichende alternative konservative Behandlung
- Unzureichende knöcherne Rekonstruktion des Sprunggelenks im Rahmen einer Operation, wobei besonders bei massiven Traumata aus medizinischer Sicht die exakte Rekonstruktion nicht immer primär möglich ist
- Instabilität nach erfolgreicher Operation und erneute Dislokation der Bruchenden
- Mangelnde Kooperation (Noncompliance) des Patienten während der Nachbehandlung
- Gestörter oder verzögerter Heilungsprozess z. B. durch Begleiterkrankungen (Diabetes, Osteoporose, pAVK), hohes Alter, Rauchen oder Alkoholabusus
- Das Sprunggelenk neigt zu Schwellungen.
- Die Abrollbewegung des Fußes ist eingeschränkt.
- Das Sprunggelenk ist bei der Streckung und Beugung blockiert.
- Die Belastung des Sprunggelenks ist schmerzhaft, die maximale Gehstrecke ist eingeschränkt.
- Das Sprunggelenk ist dauerhaft instabil, der Patient knickt häufig um.
- Das Sprunggelenk ist trotz Stabilisierung des Bruchs mithilfe eines Implantats überbeweglich.
- Der Patient hat chronische Schmerzen im Sprunggelenk.
- Der Patient hat nach einer Fraktur Beschwerden und Einschränkungen am Sprunggelenk, die länger als 6 Monate dauern.
- Im Bereich der Fraktur besteht eine Infektion.
- Die knorpeligen Gelenkflächen verschleißen vorzeitig.
- Der Abrieb des Gelenkknorpels verursacht wiederkehrende Einklemmungen im Sprunggelenk.
- Chronische Schäden des Bandapparates verursachen eine dauerhafte Instabilität des Sprunggelenks.
- eine zunehmende Fußfehlstellung entwickeln,
- einen veränderten Abrieb der Schuhsohlen zeigen,
- ein verändertes Gangbild haben.
- Alter des Patienten
- Zustand der knöchernen und knorpeligen Gelenkanteile am Sprunggelenk
- Nebenerkrankungen des Patienten
- Anspruch des Patienten
- Wundheilungsstörungen durch periphere Nervenschäden und verminderte Durchblutung im Rahmen einer Polyneuropathie, z. B. bei Patienten mit schlecht eingestelltem Diabetes oder Alkoholmissbrauch
- Durchblutungsstörungen, zum Beispiel bei einer peripheren arteriellen Verschlusskrankheit (pAVK)
- Bakterielle Infektionen
- Weichteilschäden
- Bildung einer Pseudarthrose (Falschgelenk) durch nicht heilenden Brüche, vor allem bei Trümmerfrakturen
- Beck, M., & Mittlmeier, T. (2004). Spezielle Probleme und Spätfolgen nach OSG-Fraktur. Trauma und Berufskrankheit, 6(4), 408-416.
- Gercek, E., Nusselt, T., Nienhaus, M., Rothenbach, E., Bernhardt, A., & Hartmann, F. (2017). Fehlverheilte Frakturen am Unterschenkel und Sprunggelenk. Trauma und Berufskrankheit, 19(2), 119-125.
- Grass, R., Herzmann, K., Biewener, A., & Zwipp, H. (2000). Verletzungen der unteren tibiofibularen Syndesmose. Der Unfallchirurg, 103(7), 520-532.
- Meyer-Wölbert, B., Schmidt, R., Benesch, S., Fels, T., & Becker, H. P. (1999). Die prognostische Bedeutung verletzter Anteile bei Sprunggelenkfrakturen. Der Chirurg, 70(11), 1323-1329.
- Sailer, R., Hackl, W., Klestil, T., Hörbst, W., Rangger, C., & Blauth, M. (2002). Totalendoprothese des oberen Sprunggelenks nach posttraumatischer Arthrose. Der Unfallchirurg, 105(2), 170-173.
- Weber, D., Fritschy, D., Friederich, N. F., & Müller, W. (2001). Korrekturosteotomie der distalen Fibula bei posttraumatischer Fehlstellung. Operative Orthopädie und Traumatologie, 13(4), 292-304.
- Zwipp, H., & Grass, R. (2003). Rekonstruktion nach Fehlheilung der Pilon-tibiale-und oberen Sprunggelenkfraktur. Trauma und Berufskrankheit, 5(2), 285-289.
Sonderform der Sprunggelenksfraktur: Die Maisonneuve-Fraktur
Die Maisonneuve-Fraktur stellt eine Sonderform eines Bruchs des Sprunggelenks dar. Zusätzlich zu einer Innenknöchelfraktur oder Innenbandruptur liegt ein kniegelenksnaher Bruch des Wadenbeins vor. Die Syndesmose ist bei der Maisonneuve-Fraktur ebenfalls gerissen, meist auch die stabilisierende Membran zwischen den beiden Unterschenkelknochen (Membrana interossea cruris). Eine mögliche Spätfolge ist eine Fehlstellung im Bereich der Sprunggelenkgabel.
Ursachen: Wie entstehen fehlverheilte Sprunggelenksfrakturen?
Fehlverheilte Sprunggelenksfrakturen entstehen durch Störungen während der Knochenheilung. Die optimale Heilung eines Knochenbruchs wird verhindert, wenn sich die einzelnen Bruchstücke während der Regeneration gegeneinander bewegen.
Auch eine große Distanz der Frakturenden zueinander wirkt sich negativ in der Heilungsphase aus. Allgemein können biologische Störfaktoren wie z. B. Durchblutungsstörungen eine fehlverheilte Sprunggelenksfrakturen verursachen.
Störfaktoren für eine optimale Frakturheilung:
Symptome einer fehlverheilten Sprunggelenksfraktur?
Patienten mit fehlverheilten Sprunggelenksfrakturen berichten vor allem über spürbare Funktionseinschränkungen des Sprunggelenks an. Sie leiden unter einer verminderten Beweglichkeit und können den betroffenen Fuß beim Gehen nicht mehr optimal abrollen. Beim Anziehen des Fußrückens Richtung Schienbein verspüren die Betroffenen eine vorzeitige Blockade und auch die Fußstreckung ist nicht mehr uneingeschränkt möglich.
Im weiteren Verlauf können dauerhafte Schmerzen in Ruhe und bei Belastung eintreten. Auch einfaches Gehen ist nicht mehr schmerzfrei möglich. Die verminderte Belastbarkeit mit Einschränkung der maximalen Gehstrecke führt zu verminderter Aktivität und Muskelschwäche im verletzten Bein.
Es gibt typische Symptome, die bei einer Fehlheilung einer Sprunggelenksfraktur auftreten können:
Wie lange dauert die Nachbehandlung einer akuten Sprunggelenksfraktur?
Die Regenerationszeit nach einer Sprunggelenksfraktur beträgt etwa sechs Monate. Beschwerden sind in diesem Zeitraum nicht ungewöhnlich.
Der Patient darf das betroffenen Sprunggelenk in der 6-bis 8-wöchigen Nachbehandlung nach der Verletzung nicht belasten. Anschließend können eingebrachte Implantate, mit denen der Orthopäde die Bruchstellen fixierte, operativ wieder entfernt werden.
Die Patienten können nach dieser Regenerationszeit auch angelegte Orthesen oder Schienen wieder ablegen. Wichtig ist nun die physiotherapeutische Mobilisation des Gelenks und der schonende Kraftaufbau mit Belastung. Als Reaktion auf die gesteigerte Belastung kann das Sprunggelenk zunächst anschwellen oder schmerzen. Auch Bewegungseinschränkungen durch Narbenbildung sind anfänglich normal.
Woran merke ich, dass die Sprunggelenksfraktur fehlverheilt ist?
Sechs Monate nach einer Fraktur soll der Patient das betroffenen Sprunggelenk wieder schmerzfrei im Alltag und beim Sport bewegen und belasten können.
Bestehen Schmerzen und Bewegungseinschränkungen am Sprunggelenk länger als 6 Monate nach beendeter Therapie und spürt der Patient keine Besserung, sollte der Bruch dringend durch einen Spezialisten für Fuß- und Sprunggelenkschirurgie untersucht werden. Nur die rechtzeitige Therapie der fehlverheilten Fraktur kann gravierende Spätfolgen im Sprunggelenk vermeiden.
Spätfolge der fehlverheilten Sprunggelenksfraktur: Sprunggelenksarthrose
Die frühzeitige Diagnose und Behandlung durch orthopädische Spezialisten kann schwerwiegende Folgeschäden nach einer fehlverheilte Sprunggelenksfraktur verhindern. Leider stellen sich viele Patienten mit ihren Beschwerden erst in unserem Zentrum für Fuß- und Sprunggelenkschirurgie vor, wenn die Schäden im Gelenk bereits weit fortgeschritten sind. Unseren Fußexperten stehen dann häufig nur noch die Möglichkeiten einer Gelenkversteifung oder der Einsatz eine Sprunggelenksprothese zur Verfügung.
Die fehlverheilte Sprunggelenksfraktur verursacht eine Fehlstellung oder Stufenbildungen im oberen Sprunggelenk (OSG). Das Sprungbein (Talus) steht beim gesunden Gelenk annähernd zu 100 % mit der Sprunggelenksgabel in Kontakt. Jede Fehlverheilung verändert die Kontaktzonen und damit die Belastungsflächen am Sprungbein ungünstig:
Die langfristige Folge ist in jedem Fall die Entstehung einer Arthrose im Sprunggelenk.
Wie schnell schreitet die Arthrose im Sprunggelenk voran?
Die Geschwindigkeit des Gelenkverscheißes ist nicht nur abhängig vom Ausmaß der Fehlstellung der Sprunggelenkfraktur. Folgeschäden werden auch stark von der Belastung auf das Sprunggelenk beeinflusst. Vor allem sogenannte High-Impact-Sportarten wie Joggen, Fußball, Rugby und Tennis können die Entstehung einer Arthrose beschleunigen. Patienten sollten deshalb vor Aufnahme von sportlichen Aktivitäten ihren behandelnden Arzt konsultieren.

Die operative Therapie der Fraktur kann eine chronische Infektion im Bereich der Implantate und im Gelenk hervorrufen. Die Patienten leiden ebenfalls unter andauernden Beschwerden im Sprunggelenk. Die chronische Infektion verursacht eine zunehmende Knorpelschädigung durch entzündliche Veränderungen. Der Spezialist kann den Heilungsprozess überprüfen und den Patienten individuell über den Zustand seines betroffenen Sprunggelenks informieren und beraten. Die Folgeschäden einer fehlverheilten Sprunggelenkfraktur können kurzfristig, aber auch erst nach Jahrzehnten eintreten.
Diagnose: Wie kann der Spezialist die korrekte Heilung der Sprunggelenkfraktur überprüfen?
Nach einer Sprunggelenkfraktur steht die korrekte Wiederherstellung der Gelenkanatomie für eine optimale Funktion des Sprunggelenks im Vordergrund. Der Spezialist kann den Heilungsprozess einer Sprunggelenkfraktur mit unterschiedlichen bildgebenden Verfahren prüfen. Je genauer die ursprüngliche Anatomie wieder erreicht wird, umso geringer sind die Einschränkungen nach der Frakturheilung.
Neben der Stellung der Knochenfragmente zueinander ist auch ein stabiler Bandapparat ‒ vor allem Syndesmose und Innenband ‒ für die regelgerechte Heilung des Sprunggelenks wichtig. Zusätzliche Verletzung des Gelenkknorpels am Sprungbein (Talus) oder Bruchlinien durch die Gelenkfläche verzögern eine korrekte Heilung oder können diese gar unmöglich machen. Das Sprunggelenk ist klein und kompliziert aufgebaut und trägt hohe Belastungen.
Eine Überlastung durch erhöhtes Körpergewicht und sportliche Aktivitäten können das Heilungsergebnis negativ beeinflussen. Die genaue Prüfung durch den Spezialisten in festgelegten Kontrollintervallen nach einer Fraktur ist wichtig, um fehlverheilte Sprunggelenkfrakturen rechtzeitig zu diagnostizieren. Nur die frühzeitige und konsequente Therapie der verbliebenen Fehlstellung kann eine Sprunggelenkarthrose aufhalten oder vermeiden.
Anamnese und klinische Untersuchung
Das Gespräch mit dem Patienten über seine Beschwerden verbunden mit der körperlichen Untersuchung durch den Facharzt und die apparative Bildgebung ermöglichen das frühzeitige Erkennung einer fehlverheilten Gelenkfraktur. In diesem Zusammenhang gibt die Krankengeschichte des Patienten wichtige Hinweise.
Das Ausmaß und die Lage der ehemaligen Fraktur geben erste Verdachtsmomente auf einen fehlverheilten Bruch im Sprunggelenk. Ebenso spielt das damals gewählte Therapieverfahren zur Frakturversorgung eine wesentliche Rolle. Das ausführliche Arzt-Patienten-Gespräch ist unerlässlich, um wichtige Informationen auch bei allgemeinen Sprunggelenksbeschwerden zu erfragen.
Es liegt der Verdacht auf eine fehlverheiltes Sprunggelenk nahe, wenn Patienten nach einer Sprunggelenksfraktur
Ziel ist das sichere Erkennen der fehlverheilten Fraktur, um weitere Spätschäden zu vermeiden.
Röntgen
Eine Röntgenaufnahme kann Fehlstellungen der am Gelenk beteiligten Knochen darstellen. Grundsätzlich sollten Belastungsaufnahmen der Sprunggelenke im Stehen und in zwei Ebenen durchgeführt werden. Der Spezialist kann den Gelenkspalt beurteilen und damit den Zustand des Gelenkknorpels bewerten. Die Aufnahmen liefern wichtige Hinweise für das Vorliegen einer Wadenbeinverkürzung und knöcherner Fehlrotationen. Auch eine Ausrenkung (Luxation) des Gelenks wird durch die Röntgenaufnahme sichtbar.
Magnetresonanztomographie (MRT)
Die Magnetresonanztomographie ergänzt die Röntgenaufnahme. Der Spezialist erkennt mit der MRT degenerative und entzündliche Skelett- und Weichteilveränderungen. Knorpelschäden sowie Verletzungen des Bandapparates und der Gelenkkapsel bildet die MRT ausgezeichnet ab.
Digitale Volumentomographie (DVT)
Die digitale Volumentomographie (DVT) ist ein röntgenbasiertes Schnittbildverfahren und stellt 3-D-Rekonstruktionen der knöchernen Strukturen dar. Die DVT hat den Vorteil, dass sie unter Gewichtsbelastung durchgeführt werden kann. Der Patient steht bei der Aufnahme mit seinem ganzen Körpergewicht auf dem zu untersuchenden Gelenk. Knöcherne Fehlstellungen, Bandinstabilitäten oder Weichteilschäden können so präzise dargestellt werden.
Arthrographie mit Kontrastmittel
Wenn der Spezialist durch Röntgen und MRT eine knöcherne Fehlstellung ausgeschlossen hat, kann die Arthrographie sinnvoll sein, um den Gelenkknorpel zu beurteilen. Der Spezialist setzt ein Kontrastmittel im Sprunggelenk ein und erkennt mithilfe der Farbverteilung bestehende Knorpeldefekte. Auch Vernarbungen im Gelenkspalt und Brandschäden lassen sich mithilfe der Arthrographie gut darstellen.
Arthroskopie
Nicht alle Fehlfunktionen und Beschwerden im Sprunggelenk lassen sich durch bildgebende Verfahren darstellen. Das betrifft vor allem Instabilitäten und Verletzungen des Bandapparates.
In diesen Fällen ist eine Gelenkspiegelung (Arthroskopie) des Sprunggelenks sinnvoll. Arthroskopie bedeutet, dass der Orthopäde einen minimalinvasiven operativen Eingriff durchführt. Er setzt in der Regel zwei kleine Hautschnitte seitlich des Sprunggelenks und nutzt kleine Spezialinstrumente, die in das Gelenk eingeführt werden.
Mithilfe die Sprunggelenksarthroskopie erkennt der Spezialist zweifelsfrei eine fehlverheilte Fraktur. Außerdem ermöglicht ihm der Eingriff, Schäden am Sprunggelenk direkt zu therapieren, bevor diese zu Gelenkverschleiß führen.
Entzündungswerte im Blut
Anhand von labormedizinischen Untersuchungen kann der behandelnde Arzt prüfen, ob eine schleichende Infektion der Grund für den verzögerten Heilungsprozess der Fraktur ist. Dazu wird dem Patienten Blut abgenommen und bestimmte Blutwerte, die sogenannten Entzündungswerte wie Blutsenkung, C-reaktives Protein (CRP) und Leukozyten, überprüft.
Therapie: Wie behandelt der Spezialist eine fehlverheilte Sprunggelenkfraktur?
Besteht nach verheilter Fraktur des oberen Sprunggelenks eine korrekturbedürftige Fehlstellung oder eine Instabilität der Gelenkgabel, sollte diese zügig durch den Fuss- und Sprunggelenksspezialisten beseitigt werden, um einen vorzeitigen Gelenkverschleiß (Arthrose) zu verhindern. Das Ziel jeder gelenkerhaltenden Rekonstruktion ist ein stabiles, achsengerecht eingestelltes Gelenk mit anatomisch zueinander passenden (kongruenten) Gelenkflächen.
Unserer Erfahrung nach reicht der Einsatz von konservativen Behandlungsmaßnahmen nicht aus, um ein zufriedenstellendes Ergebnis für die Patienten mit einer fehlverheilten Sprunggelenksfraktur zu erreichen.
Für welche Patienten eignet sich die gelenkerhaltende korrigierende Operation?
Bis zu welchem Stadium ein gelenkerhaltendes operatives Korrekturverfahren durchgeführt wird, entscheidet der Spezialist individuell anhand folgender Faktoren:
Spezialist und Patient besprechen gemeinsam auf Basis der vorhandene Schäden am Sprunggelenk die Prognose einer gelenkerhaltenden Therapie.
Stellungskorrektur durch Osteotomie
Der operative Gelenkerhalt durch stellungskorrigierende Maßnahmen kann nicht exakt den ursprünglichen, Zustand, vor dem Unfall erreichen. Auch nach erfolgreicher Operation können Einschränkungen der Beweglichkeit im Sprunggelenk oder Sensibilitätsstörungen im Fuß verbleiben.
Dennoch erzielt ein operativer Eingriff auch bei Patienten mit hohem Leidensdruck bei bereits fortgeschrittenem Verschleiß des Sprunggelenks eine deutliche langanhaltende Besserungen der Beschwerden. In diesen Fällen behebt der Fuß- und Sprunggelenkspezialist operativ die Ursache der Arthrose durch eine Stellungskorrektur der knöchernen Gelenkanteile (Osteotomie).
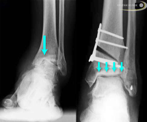
Osteotomie am Außenknöchel: Fehlverheilte Wadenbeinfraktur
Bei fehlverheilten Knöchelfrakturen kann das Wadenbein verkürzt zusammen gewachsen sein und sich nach außen verdreht haben. Daraus ergeben sich Fehlstellungen des betroffenen Fußes, z. B. ein Knickfuß. Ist die Syndesmose ebenfalls verletzt, passt die Weite der Sprunggelenkgabel nicht mehr korrekt.
Die operative gelenkerhaltende Therapie soll die physiologische Gelenkstellung und die normale Sprunggelenkachse stufenfrei wiederherstellen (Reposition). Der Spezialist wendet dazu unterschiedliche Osteotomietechniken an, bei denen die Position der betroffenen Knochen umgestellt wird. Er durchtrennt gezielt den Wadenbeinknochen und entfernt gegebenenfalls einen Knochenkeil. Nachdem die Knochenanteile in ihre korrekte Lage gebracht wurden und die neue Länge und Stellung des Wadenbeins überprüft wurde, fixiert der Spezialist die Bruchstücke zueinander mit Schrauben und Platten (Osteosynthese).
Durch die Trennung und Einheilung der betroffenen Knochen in neuer Position kann der Fuß- und Sprunggelenkspezialist häufig die anatomische Form und somit die Belastungsfähigkeit des Sprunggelenks wieder herstellen.
Eventuell versorgt der Operateur gleichzeitig Syndesmosenverletzungen. In manchen Fällen stabilisiert er die Sprunggelenkgabel durch eine kaum einschränkende Versteifung der unteren Verbindung zwischen Schienbein und Wadenbein.
Osteotomie am Innenknöchel: Fehlverheilte Schienbeinfraktur
Genau wie bei einem fehlverheilten Bruch des Außenknöchels dient die gelenkerhaltende Therapie des Innenknöchels der Wiederherstellung der Sprunggelenksfunktion. Bei einer Fehlstellung der Schienbeingelenkfläche muss vor allem die große Kontaktfläche zwischen Sprungbein und Schienbein optimal ausgerichtet werden. Auch hier verwendet der Spezialist Plattenosteosynthesen zur Fixierung des Innenknöchels. Er kann so nach einer gezielten gelenknahen Durchtrennung des Schienbeins die knöchernen Bruchstücken korrekt aneinander lagern und begradigen.

Osteotomie der hinteren Schienbeingelenkfläche: Fehlverheiltes Volkmann-Dreieck
Fehlverheilte Volkmann-Frakturen können Stufen- oder Spaltbildungen an der hinteren Gelenkfläche des Schienbeins verursachen. Der Operateur begradigt diese Unebenheiten und stellt die richtige anatomische Lage der knöchernen Komponenten wieder her. In seltenen Fällen nimmt der Orthopäde eine Veränderung des Gelenkwinkels vor. Dafür verändert er die Achse des Schienbeinknochens durch Entfernung eines gelenknahen Knochenkeils. Die neue Stellung des Schienbeinknochens fixiert der Spezialist mithilfe einer Platte.
Vorsicht: Verletzungen der Bänder am Sprunggelenk
Während der Operation einer fehlverheilten Sprunggelenkfraktur begutachtet der behandelnde Arzt den kompletten Bandapparat. Bandverletzungen von Syndesmose, Innen- und Außenbändern korrigiert er durch eine Bandrekonstruktion. Verbleibende Verletzungen führen zu einer Instabilität des Bandapparates und können erneut eine Fehlstellung im Sprunggelenk verursachen.
Regeneration der Gelenkfläche durch körpereigene Knorpelzelltransplantation (ACT)
Lokal begrenzte Knorpelschäden im fehlverheilten Sprunggelenk kann der orthopädische Spezialist durch eine körpereigene (autologe) Knorpeltransplantation (ACT) beheben. Im Rahmen der gelenkerhaltenden Operation entnimmt er dem Patienten Knorpelzellen an einer Stelle ohne Knorpelschaden. Die Knorpelzellen werden im Labor vermehrt und nach etwa 6–8 Wochen an den Ort mit Knorpelschaden implantiert.
Therapie einer schleichenden Infektion
Eine chronische Infektion im Sprunggelenk nach einer Osteosynthese beeinträchtigt den Heilungsprozess. Der behandelnde Arzt reinigt in diesem Fall die Wunde chirurgisch, indem er das infizierte Gewebe abträgt (Wunddebridement). Arthroskopisch kann der Spezialist das Gelenk intensiv spülen und Trägersubstanzen mit Antibiotika (z. B. Ketten oder Schaum) sowie Drainagen in das Wundgebiet einlegen. Außerdem entfernt er alle Fremdkörper und zuvor eingebrachten Implantate. Diese Maßnahmen verhelfen meist zur vollständigen Ausheilung der schleichenden Infektion und vermeiden so die fortschreitende Entstehung von Knorpelschäden und Arthrosen.
Wann ist eine gelenkerhaltende Therapie kontraindiziert?
Umstände, die gegen eine operative gelenkerhaltende Therapie sprechen, sind:
Vor einer gelenkerhaltenden Therapiemaßnahme prüft der Spezialist das betroffene Sprunggelenk auf Anzeichen von Infektionen und Weichteilschäden. Ebenso wichtig ist die Abklärung der lokalen Durchblutung und Nervenfunktion.
Wann ist es für eine gelenkerhaltende korrigierende Operation der fehlverheilten Sprunggelenkfraktur zu spät?
Bei der fortgeschrittenen schmerzhaften Sprunggelenkarthrose durch eine fehlverheilte Fraktur ist eine gelenkerhaltende Therapie meist nicht mehr sinnvoll. Zwar korrigiert der Spezialist durch diesen Eingriff die Ursache der Arthrose, aber der Patient kann seinen Fuß dennoch nicht mehr schmerzfrei bewegen. Die Patienten leiden unter dem eingeschränkten Bewegungsradius bei ihrer normalen Alltagsbelastung. Sport und aktive Freizeitgestaltung werden für die Betroffenen unmöglich. Auch ihre Arbeitsfähigkeit in Berufen, die mit körperlicher Arbeit verbunden sind, wird durch die chronischen Arthroseschmerzen stark beeinträchtigt. In vielen Fällen wurden die konservativen Behandlungsmöglichkeiten von den Patient bereits vollständig ausgeschöpft und verhalfen ihnen nicht zu einer Linderung der Beschwerden.
In diesen Fällen stehen den Patienten die gelenkersetzende (Sprunggelenskprothese) oder gelenkversteifende Therapien (Arthrodese) zur Verfügung.
Sprunggelenkprothese: künstlicher Gelenkersatz
Ziel der Sprunggelenksprothese ist die Wiederherstellung eines schmerzfreien, aber auch natürlichen Bewegungsablaufs im Sprunggelenk bei fortgeschrittener Arthrose durch die fehlverheilte Fraktur. Der Erhalt des Gangbildes ist der besondere Vorteil der Sprunggelenksprothese.
Voraussetzung für die Prothesenimplantation ist die korrekte Stellung des Gelenks. Schäden des Bandapparates oder knöcherne Fehlstellungen des Sprunggelenkes müssen zwingend im Vorfeld behoben werden. Somit kann eine gelenkerhaltende stellungskorrigierende Operation am Sprunggelenk (Osteotomie) der Prothesenimplantation vorausgehen. Die Stellungskorrektur bessert die Schmerzen manchmal sogar deutlich, so dass der geplante Gelenkersatz zeitlich hinausgezögert werden kann.
Sind die Voraussetzungen für die Sprunggelenksprothese nicht gegeben, empfiehlt der Spezialist die Versteifung des Sprunggelenks.
Sprunggelenksarthrodese: Versteifung des Sprunggelenks
Arthrodesen sind künstlich herbeigeführte, knöcherne Verwachsungen zwischen Unterschenkelknochen und Fuß. Bei einer Versteifungsoperation des oberen Sprunggelenkes wird das Sprungbein mit Schrauben in der von oben kommenden Sprunggelenkgabel fixiert. Die Knochen im Gelenk verwachsen nach einer Arthrodese dauerhaft miteinander. Die Beweglichkeit im Gelenk wird zugunsten einer stabilen knöchernen Verbindung der Gelenkpartner aufgehoben. Durch die Versteifung kann der Patient das von Arthrose betroffene Sprunggelenk wieder schmerzfrei und voll belasten. Die Arthrodese hebt auch eine zuvor bestehende Instabilität des Gelenks auf.
Allerdings geht mit der Versteifung stets eine deutliche Bewegungseinschränkung im Sprunggelenk einher. Das natürliche Gangbild wird durch die Arthrodese des Sprunggelenks sichtbar verändert. Der geänderte Bewegungsablauf überlastet benachbarte Gelenke und es besteht die Gefahr für die Entstehung von Arthrose in Hüfte, Fuß- und unterem Sprunggelenk.
Häufig gestellte Fragen zu fehlverheilten Sprunggelenksfrakturen an Dr. med. Thomas Schneider von der Gelenk-Klinik
Welche Erfahrung haben die Spezialisten der Gelenk-Klinik bei der Versorgung von fehlverheilten Sprunggelenkfrakturen?
Als eines der ersten zertifizierten Zentren für Fuß- und Sprunggelenkschirurgie (ZFS) in Baden-Württemberg unterliegt die Gelenk-Klinik einer ständigen Qualitätskontrolle. Unsere Sprunggelenkspezialisten besitzen eine große operative Erfahrung bei Eingriffen an Fuß und Sprunggelenk. Dazu zählen die gelenkerhaltenden Operationen, gelenkersetzende Operationen und Versteifungsoperationen bei einer fehlverheilten Sprunggelenkfraktur. Regelmäßige Begehungen unserer Fachklinik für Sprunggelenkschirurgie sichern die Qualität unserer diagnostischen und therapeutischen Maßnahmen.
Wie lernt man nach der Operation das Laufen wieder?
Das Gehen mit dem operierten Sprunggelenk wird im Rahmen der meist mehrmonatigen Rehabilitation in mehreren Phasen erlernt. Zunächst wird das Sprunggelenk geschont und vorsichtig ohne Belastung mobilisiert. Sobald eine Belastung erlaubt ist, beginnt die Gangschule. Dabei werden die Übungen schrittweise gesteigert und an den Heilungsverlauf angepasst. In der Endphase stehen intensive Gleichgewichts- und Kraftübungen auf dem Programm. Das Ziel ist die vollständige Wiederherstellung der Fußfunktion.
Kann man das Sprunggelenk trotz fehlverheilter Fraktur erhalten?
Eine frühzeitige operative Korrektur der knöchernen Fehlstellung im Sprunggelenk und Rekonstruktion des Bandapparates kann einen vorzeitigen Gelenkverschleiß vermeiden oder zumindest aufhalten. Durch die operative Therapie werden die Beschwerden des Patienten und die Bewegungseinschränkungen im Sprunggelenk vermindert oder ganz aufgehoben. Der Fuß- und Sprunggelenksspezialist führt individuelle angepasste gelenkerhaltende Operationsverfahren durch. Bei rechtzeitiger Diagnosestellung und Therapieplanung kann eine drohende Gelenkprothese oder Versteifung vermieden werden.
Wie schnell kann man nach einer Operation eines fehlverheilten Sprunggelenks wieder Treppen steigen?
Auch nach operativer Korrektur einer fehlverheilten Sprunggelenkfraktur ist das Treppensteigen wieder möglich. Zunächst wird es mit Gehstützen im Rahmen der Physiotherapie geübt. Beim Hinaufgehen geht das gesunde Bein voran, Gehstütze und operiertes Bein folgen auf dieselbe Stufe. Beim Herabgehen geht es in der umgekehrten Reihenfolge: Erst die Gehstütze und das operierte Bein, dann folgt das gesunde. In der Anfangsphase darf das operierte Bein nicht belastet werden. Im Verlauf der weiteren Rehabilitation wird die Belastung nach ärztlicher Vorgabe immer weiter gesteigert.
Wie erfolgt die Nachbehandlung nach operativer Therapie der fehlverheilten Sprunggelenkfraktur?
Nach operativer Korrektur einer fehlverheilten Sprunggelenkfraktur mithilfe einer Osteotomie schließt sich eine physiotherapeutische Behandlung zur Mobilisation und Kräftigung des Gelenks an. Durch regelmäßige klinische Kontrollen und Röntgenkontrollen der Heilung überprüft der Spezialist die korrekte Heilung des Sprunggelenks. Die Implantatentfernung kann ab 12 Monaten nach der Operation erfolgen.
Wie lange hält eine operative Korrektur der fehlverheilten Sprunggelenkfraktur?
Die operativen Korrekturverfahren zur Behandlung einer fehlverheilten Sprunggelenkfraktur können weitere Folgeschäden für das Gelenk bis zu 10 Jahren vermeiden oder verzögern. Das Ziel jeder gelenkerhaltenden Rekonstruktion ist ein stabiles, achsengerecht eingestelltes Gelenk mit anatomisch zueinander passenden Gelenkflächen. Schreitet der Gelenkverschleiß (Arthrose) im Sprunggelenk schließlich weiter fort, überprüft der Fuß- und Sprunggelenksspezialist, ob eine weitere gelenkerhaltende Behandlung möglich ist. Ist dies nicht der Fall, stehen den Patienten die gelenkersetzende (Sprunggelenskprothese) oder gelenkversteifende Therapien (Arthrodese) zur Auswahl.
Kann ich nach einer fehlverheilten Sprunggelenksfraktur wieder Sport machen?
Grundsätzlich sind alle Sportarten nach operativer Korrektur einer fehlverheilten Sprunggelenksfraktur wieder möglich. Vor allem eignen sich Sportarten, bei denen das Sprunggelenk nicht oder nur wenig belastet wird wie beispielsweise Schwimmen oder Krafttraining unter Ausschluss der Beine. Joggen, sogenannte High-Impact-Sportarten und Kontaktsportarten, die mit ruckartigen Bewegungen und Drehbewegungen einhergehen, dürfen frühestens nach einem Jahr wieder aufgenommen werden. Auch Patienten mit Arthrodese können dem Sprunggelenk wieder Belastungen zumuten. Nach Implantation einer Gelenkprothese empfehlen wir unseren Patienten, Sportarten mit schnellen Belastungswechseln, Schlageinwirkung und Sprints zu vermeiden. Das sind unter anderem Tennis, Squash, Kampfsport und Fußball.