- Was ist eine Kalkschulter (Tendinosis calcarea)?
- Symptome der Kalkschulter
- Ursachen der Kalkschulter
- Diagnose: Woran erkennt der Orthopäde eine Kalkschulter?
- Behandlung der Kalkschulter (Tendinosis calcarea)
- Übungen bei Kalkschulter
- Operation der Kalkschulter
- Häufig gestellte Patientenfragen zur Kalkschulter
Was ist eine Kalkschulter?
Die Kalkschulter (Tendinosis calcarea) ist eine Erkrankung im Bereich der Schultersehnen, besonders der Supraspinatussehne. Ursächlich ist eine Minderdurchblutung der Rotatorenmanschette, die zur Kalkablagerung in der Supraspinatussehne führt. Die Rotatorenmanschette besteht aus vier Muskeln und deren Sehnen, die das Schultergelenk schützend umfassen.
Der Grad der Belastung der Schulter und vorher erlittene Verletzungen oder Stürze auf die Schulter scheinen dabei unerheblich zu sein. Die Mehrzahl der Patienten ist zwischen 40 und 50 Jahre alt.
Häufig steht der Begriff der Kalkschulter als Sammelbegriff für entzündliche und verschleißbedingte Veränderungen der Schulter. Es gibt aber verschiedene andere Ursachen für diese Veränderungen, die mit einer Kalkschulter nicht verwechselt werden dürfen. Die Therapieempfehlungen der Schulterexperten unterscheiden sich bei einer Kalkschulter deutlich von der Behandlung anderer Schultererkrankungen.
Fachartikel zur Behandlung der Kalkschulter
Externer Inhalt von youtube.com
Entwicklung und typischer Verlauf
Vier Phasen unterteilen die Entwicklung und den Krankheitsverlauf der Kalkschulter:
1. Phase der Zellumwandlung:
Während dieser Phase wird das Sehnengewebe zu Faserknorpel umgebaut. Der Patient empfindet in der Regel keine oder nur sehr leichte Schmerzen.
2. Phase der Verkalkung:
Das Knorpelgewebe stirbt teilweise ab und Kalk lagert sich ein. Ab diesem Zeitpunkt lässt sich das Krankheitsbild mittels Ultraschall – später auch durch eine Röntgenuntersuchung – nachweisen. Wird die Schultersehne durch das Kalkdepot sehr aufgeworfen, kann es beim Anheben des Armes zu einer Enge im Schulterdach (Akromion) kommen. Dieses sogenannte Impingement reizt die unter das Schulterdach gleitenden Sehnen, vor allem die Supraspinatussehne sowie die Schleimbeutel.
3. Phase der Resorption:
Der Kalkherd wird resorbiert (aufgelöst), was mit einer heftigen Entzündungsreaktion einhergeht. Dies kann starke Schulterschmerzen auslösen. Wenn sich einzelne Kalkherde in den Schleimbeutel des Schulterdachs (Bursa subacromialis) ausdehnen, können sie dort eine Schleimbeutelentzündung (Bursitis) verursachen.
4. Phase der Reparatur:
Löst sich das Kalkdepot auf, kommt es nur äußerst selten zu wiederkehrenden Kalkdepots (Rezidive).
Nicht jede Kalkschulter durchläuft diesen Zyklus vollständig. Sie kann in jedem Stadium verharren. Die Beschwerden eines Patienten mit Kalkschulter können erheblich variieren. Dies hängt hauptsächlich von der Größe des Kalkdepots und dem Erkrankungsstadium ab. Leidet der Patient an akuten Schmerzen, treten diese aufgrund des phasenartigen Verlaufes meist schubhaft auf.
Symptome der Kalkschulter
Typische Symptome:
- Schmerzen beim Liegen auf der betroffenen Seite
- Belastungsschmerz
- Schmerzen nach Überkopfarbeit
- plötzliche Schulterschmerzen ohne Auslöser
- Bewegungsunfähigkeit des Armes (Pseudoparalyse)
Die Beschwerden einer Kalkschulter entwickeln sich häufig schleichend. Plötzlich einschießende Schulterschmerzen entstehen vor allem bei Drehbewegungen und beim Heben des Armes. Erst bei zunehmender Größe des Kalkdepots sind die Schmerzen dauerhaft. Dann verspüren die Patienten auch verstärkt Schmerzen beim Liegen auf der betroffenen Seite.
Ursachen der Kalkschulter
Ursache der Kalkschulter (Tendinosis calcarea) ist eine Minderdurchblutung der Rotatorenmanschette. Dadurch erhöht sich der Druck im Bereich des Sehnengewebes. Dies führt zu einer schlechteren Versorgung mit Sauerstoff.
Zudem sind Menschen gefährdet, die häufig Überkopfarbeiten ausführen. Auch bestimmte Sportarten erhöhen das Risiko einer Kalkschulter. Dazu zählen beispielsweise Volleyball oder Schwimmen sowie andere Sportarten, die mit wiederholten Überkopfbewegungen einhergehen.
Wiederkehrende Überkopfbewegungen wie beim Schwimmen belasten verschiedene Strukturen im Schultergelenk und können zur Kalkschulter führen. © takoburito, Fotolia
Wie entstehen Nackenschmerzen als Folge einer Kalkschulter?
Ist eine der Schultersehnen durch ein Kalkdepot eingeklemmt, wird der Patient die Schulter infolge der gereizten Sehnenansätze und damit verbundenen Schmerzen schonen. Dadurch kann sich eine Schultersteife entwickeln. Die schmerzhafte Bewegungseinschränkung der Schulter durch Entzündung der Gelenkschleimhaut und Schulterkapsel führt im Verlauf der Erkrankung zu einer Verdickung und anschließenden Schrumpfung der Schulterkapsel. Der Patient nimmt eine Schonhaltung ein, die wiederum die Kapselschrumpfung begünstigt und zu Nackenschmerzen - was tun? führen kann.
Normalerweise kann der Arm im Schultergelenk bis 90° angehoben werden. Die restlichen 90° bis zur vollständigen Überkopfstreckung von 180° erfolgen durch Gleitbewegungen des Schulterblattes auf dem Brustkorb (Thorax). Schrumpft die Gelenkkapsel aufgrund der Entzündung oder der schmerzbedingten Schonhaltung, bewegen Betroffene den Arm nicht mehr im Schultergelenk, sondern nur noch durch die Gleitbewegung des Schulterblattes. Dies führt zu Verspannungen und Überbeanspruchung der Nackenmuskulatur. Da der Verspannungsschmerz sich auf diese Weise vom Schultergelenk zum Nacken und oberen Rückenbereich verschiebt, wird das eigentliche Problem der Verkalkung vom Patienten oft nicht in der Schulter vermutet.
Ähnlich einem Stein, der in einem zu engen Schuh ein Loch im Strumpf verursacht, löst der Kalk Schäden am Sehnengewebe aus. Die Sehne wird brüchig, zeigt Einrisse und ist mechanisch weniger belastbar, bis sie letztendlich reißt. Setzt die Therapie zu spät ein, sind die Folgen oft irreparabel. Selbst wenn der Defekt genäht wird, reißt die Sehne immer wieder ein.
Diagnose: Woran erkennt der Orthopäde eine Kalkschulter?
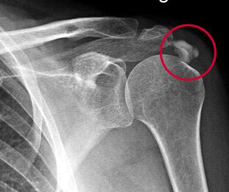
Sobald die Verkalkung eingetreten ist, kann ein Ultraschall oder eine Röntgenuntersuchung die Kalkschulter nachweisen. Eine Kernspinuntersuchung (MRT) ist für die unmittelbare Diagnostik nicht hilfreich, da sich das Kalkdepot hierbei schlecht darstellt. Für die Differentialdiagnose oder Diagnose von Begleiterkrankungen kann ein MRT dennoch sinnvoll sein.
Röntgenbild einer Kalkschulter. Deutlich sichtbar ist die Sehnenverkalkung über dem Schultergelenk (Kreis). © Gelenk-Klinik
Behandlung der Kalkschulter (Tendinosis calcarea)
Konservative Therapie der Kalkschulter:
Die Behandlung einer Kalkschulter erfolgt in den meisten Fällen konservativ. Erst wenn konservative Maßnahmen wie Stoßwellentherapie über einen längeren Zeitraum keine Besserung bringen oder das Kalkdepot bereits zu groß ist, sollte über eine Operation nachgedacht werden.
Entlastung durch Orthese
Besteht eine akute Schleimbeutelentzündung (Bursitis subacromialis) und leidet der Patient somit unter starken Schulterschmerzen, kann eine Schulterorthese (Bandage) den Arm kurzzeitig entlasten. Erst nach Abklingen der akuten Entzündung sollte der Patient mit leichten Bewegungsübungen beginnen.
Schmerztherapie bei Kalkschulter
Schmerzstillende und entzündungshemmende Medikamente sowie Kühlung der Schulter (Kryotherapie) lindern die Schmerzen und bremsen die Entzündungsvorgänge. Auch eine Injektion mit leichten Betäubungsmitteln führt zu einer schnellen Schmerzreduktion.
Konservative Behandlung mittels Stoßwellentherapie
Hochenergetische Druckwellen können Kalkdepots in der Schulter auflösen. © Dan Race, Fotolia
Eine Stoßwellentherapie kann wiederkehrende Schmerzen in der Schulter lindern. Hierbei wird das Kalkdepot gezielt mit akustischen Wellen beschossen. Die dadurch geförderten biologischen Heilungsprozesse lösen die Kalkeinlagerung auf.
Matrix-Therapie
Wenn das Gewebe entzündlich verändert und schmerzhaft ist, bietet die Matrix-Therapie einen konservativen Behandlungsansatz. Das Ziel der Methode ist die biomechanische Reinigung der Zellumgebung.
Um diese Reinigung zu erreichen, verstärkt die Matrix-Therapie die natürliche Muskelkontraktion. Diese Kontraktionen sind wichtig, um den Zellstoffwechsel aufrechtzuerhalten und Stoffwechselendprodukte abzutransportieren.
Übungen bei Kalkschulter
Sobald die schmerzhaft entzündete Kalkschulter es wieder zulässt, sollte das Schultergelenk bewegt werden. Das Schultergelenk neigt nach Schmerzepisoden durch Schrumpfung der Schulterkapsel zur Teilversteifung. Die Kalkschulter führt zudem häufig zu Schonhaltungen und Ausweichbewegungen der Schulter und angrenzender Bereiche. Diese gilt es durch eine funktionelle Beübung der Schulter und des Schulterblattes zu korrigieren, um langfristige Folgeschäden zu vermeiden.
Folgende Übungen können Ihnen dabei helfen, den funktionellen Ablauf Ihrer Schulterbewegungen zu verbessern und ein Einsteifen der Schulter zu verhindern.
Seien Sie sehr aufmerksam bei der Durchführung der Übungen. Treten während einer Übung Schmerzen auf, sollten diese unmittelbar danach wieder nachlassen. Ist dies nicht der Fall, unterlassen Sie die Übung bis auf Weiteres und halten Sie Rücksprache mit Ihrem Orthopäden oder Physiotherapeuten.
Wichtig: Leiden Sie unter einer begleitenden akuten Bursitis (Schleimbeutelentzündung), empfehlen wir Ihnen andere Übungen.
Dehnungsübungen
Aufgrund der verspannten Schulter-Nacken-Muskulatur ist die regelmäßige Durchführung von Dehnübungen wichtig und sinnvoll. Diese Verspannungen mit einer möglichen Schrumpfung der Gelenkkapsel aufgrund von entzündlichen Prozessen treten häufig bei einer Kalkschulter auf. Die Dehnübungen sollten neben dem Dehnungsschmerz keine Schmerzen in Ihrer Schulter verursachen.
Übung 1: Dehnung der rückseitigen Schulter
Dehnung der rückseitigen Schulter. © Gelenk-Klinik
Übungsziel: Entspannung und Mobilisation der rückseitigen Muskulatur sowie der Gelenkkapsel der Kalkschulter, um die Beweglichkeit wiederherzustellen.
Ausgangsstellung: Stehen oder sitzen Sie aufrecht. Legen Sie die Hand des zu dehnenden Armes auf der gegenüberliegenden Schulter ab. Der Arm hängt vor der Brust.
Durchführung: Drücken Sie nun mit der anderen Hand den Arm etwas nach hinten, bis Sie eine Dehnung auf der Schulterrückseite verspüren.
Wiederholung: Halten Sie diese Dehnung für mindestens 30 Sekunden und wiederholen Sie die Übung 2- bis 3-mal mit einer Pause von 30 Sekunden dazwischen.
Übung 2: Dehnung der Schulter-Nacken-Muskulatur
Dehnung der Schulter- und Nackenmuskulatur. © Gelenk-Klinik.de
Übungsziel: Spannungsminderung der aufgrund von Ausweichbewegungen häufig verspannten Schulter-Nacken-Muskulatur bei Kalkschulter.
Ausgangsstellung: Stehen oder sitzen Sie aufrecht.
Durchführung: Drücken Sie die Schulter auf der zu dehnenden Seite nach unten Richtung Boden. Neigen Sie Ihren Kopf zu der Seite, die Sie nicht dehnen möchten. Beugen Sie nun Ihren Kopf leicht nach vorne, bis Sie eine Dehnung im Schulter-Nacken-Bereich verspüren. Wenn Sie die Dehnung verstärken möchten, legen Sie Ihre freie Hand auf dem Kopf ab und erhöhen Sie damit den Zug.
Wiederholung: Halten Sie diese Dehnung für mindestens 30 Sekunden und wiederholen sie die Übung 2- bis 3-mal.
Übung 3: Dehnung der oberen Rückenmuskeln
Dehnung der oberen Rückenmuskulatur. © Gelenk-Klinik
Übungsziel: Mobilisierung und Entspannung der Muskulatur zwischen den Schulterblättern. Diese ist bei einer Kalkschulter aufgrund der Schonhaltung meist stark verspannt.
Ausgangsstellung: Stehen oder sitzen Sie auf einem Stuhl. Die Hände sind vor dem Körper verschränkt.
Durchführung: Strecken Sie nun die Schultern und die Arme nach vorne unten. Machen Sie dabei den Nacken lang, indem Sie das Kinn Richtung Kehlkopf ziehen. Spüren Sie die Dehnung zwischen Ihren Schulterblättern.
Wiederholung: Halten Sie diese Dehnung für mindestens 30 Sekunden und wiederholen sie die Übung 2- bis 3-mal mit einer Pause von 30 Sekunden dazwischen.
Übung 4: Dehnung der Brustmuskulatur
Durch Dehnung des Brustmuskels fördern Sie die Zentrierung des Schultergelenks. © Gelenk-Klinik.de
Übungsziel: Bei Kalkschulter ist die Brustmuskulatur häufig verspannt und verkürzt. Eine Dehnung sorgt für eine Belastungsminderung der Schulter.
Ausgangsstellung: Stellen Sie sich in einen Türrahmen und lehnen Sie sich mit beiden Armen – die Hände ein wenig oberhalb ihres Kopfes – dagegen.
Durchführung: Lehnen Sie sich nach vorne, bis Sie die Dehnung an der Vorderseite Ihrer Schultern spüren.
Halten Sie diese Dehnposition für mindestens 30 Sekunden.
Alternative: einseitige Dehnung der Brustmuskulatur
Die Drehung des Körpers dehnt die Brustmuskulatur. © Gelenk-Klinik
Ausgangsstellung: Stellen Sie sich neben einen Türrahmen oder eine Wandecke. Legen Sie Ihren Unterarm am Türrahmen bzw. an der Wandecke auf.
Durchführung: Drehen Sie nun den Körper langsam vom Arm weg, sodass Sie eine Dehnung des Brustmuskels spüren.
Wiederholung: Halten Sie diese Dehnung für mindestens 30 Sekunden und wiederholen sie die Übung 2- bis 3-mal mit einer Pause von 30 Sekunden dazwischen.
Übungen zur Schulterblattkontrolle
Die Bewegungen der Schulter erfordern eine feine Abstimmung mit dem Schulterblatt und ein funktionierendes Zusammenspiel aller beteiligter Muskelgruppen. Aufgrund der Entzündung und der verminderten Beweglichkeit bei einer Kalkschulter ist dieses Zusammenspiel häufig auch nach dem Rückgang der Entzündung gestört. Die folgenden Übungen unterstützen und fördern die Wiederherstellung dieser komplexen Zusammenarbeit.
Übung 5: Schulterblattkontrolle im Vierfüßlerstand
Übungsziel: Verbesserung der Muskelkoordination, um eine natürliche und schmerzfreie Schulterbewegung zu fördern.
Ausgangsstellung: Vierfüßlerstand, die Hände sind unter den Schultern platziert. Die Wirbelsäule befindet sich in neutraler Position. Die Arme sind gestreckt.
Durchführung: Drücken Sie den oberen Rücken vom Boden weg, indem Sie versuchen, den Brustkorb so weit wie möglich von Ihren Händen wegzustemmen. Die Bewegung kommt aus den Schulterblättern und ist sehr klein. Sie spüren, wie sich die Schulterblätter auseinanderbewegen. Halten Sie diese Position und heben Sie einen Arm zur Seite. Senken Sie ihn dann wieder in die Ausgangsposition. Wiederholen Sie die Bewegung mit dem anderen Arm. Wichtig ist, dass das Schulterblatt des stützenden Armes dabei in seiner Position bleibt und nicht absinkt.
Wiederholen Sie diese Übung 15-mal. Absolvieren Sie 3 Sets mit jeweils 30 Sekunden Pause dazwischen.
Ausgangsstellung: Vierfüßlerstand. © Gelenk-Klinik
Strecken Sie einen Arm zur Seite weg. © Gelenk-Klinik
Übung 6: Schulterblattkontrolle in Bauchlage
Übungsziel: Diese Übung unterstützt eine gesunde Position des Schulterblattes und damit eine möglichst natürliche Bewegung bei einer Kalkschulter.
Ausgangsstellung: Bauchlage, der Kopf ist abgestützt, z.B. auf einem Handtuch. Die Arme liegen seitlich neben dem Körper und die Handflächen zeigen nach unten.
Durchführung: Ziehen Sie die Schulterblätter zur Mitte Richtung Wirbelsäule und nach unten Richtung Gesäß. Heben Sie nun ganz leicht die Arme an und halten diese Spannung für 5 Sekunden. Legen Sie anschließend die Arme ab und entspannen die Muskeln um die Schulterblätter.
Wiederholen Sie diese Übung 15-mal. Absolvieren Sie 3 Sets mit jeweils 30 Sekunden Pause dazwischen.
Ausgangsstellung: Bauchlage. © Gelenk-Klinik
Haben Sie ganz leicht die Arme an. © Gelenk-Klinik
Übungen zur Bewegungserhaltung
Die Schulter ist ein besonders bewegliches Gelenk. Leider ist sie für eine Versteifung sehr anfällig. Eine funktionelle Beübung bei einer Kalkschulter ist deshalb wichtig. Bei der Durchführung der Übungen sollten Sie darauf achten, im schmerzfreien Bereich zu bleiben.
Die folgenden Übungen eignen sich besonders, um die Beweglichkeit der Schulter zu erhalten bzw. wiederherzustellen, wenn rein aktive Bewegungen noch schmerzhaft sind oder zu starke Ausweichbewegungen erzeugen.
Übung 7: Unterstütztes Strecken des Armes
Streckung des Armes auf einer Tischplatte. © Gelenk-Klinik
Übungsziel: Diese Übung ermöglicht eine schmerzfreie Mobilisation der Kalkschulter in die Streckung.
Ausgangsstellung: Sitzen Sie aufrecht an einem Tisch. Der betroffene Arm liegt auf einem Handtuch/Staubtuch o. Ä., um eine gute Rutschfähigkeit zu gewährleisten.
Durchführung: Strecken Sie langsam den betroffenen Arm auf dem Tisch aus. Dabei beugen Sie den Oberkörper nach vorne, um die Streckung zu verstärken. Richten Sie sich anschließend wieder auf. Der Arm bleibt immer in Kontakt mit dem Tisch und wird zu keinem Zeitpunkt abgehoben.
Wiederholen Sie diese Übung 15-mal. Absolvieren Sie 3 Sets mit jeweils 30 Sekunden Pause dazwischen.
Übung 8: Unterstütztes Heben des Armes
Durch den Seilzug die Beweglichkeit des Schultergelenks verbessern. © Gelenk-Klinik
Übungsziel: Eine sanfte Mobilisation der Kalkschulter, frei von Schmerzen.
Ausgangsstellung: Befestigen Sie ein Seil an einer höheren Stelle, sodass sich beide Enden bewegen lassen (optimalerweise über eine Rolle o. Ä.).
Durchführung: Fassen Sie nun mit jeder Hand ein Seilende und ziehen Sie den betroffenen Arm mit Ihrem gesunden Arm nach oben, indem Sie an dem entsprechenden Seilende ziehen. Der betroffene Arm kann bei dieser Bewegung leicht mitwirken. Lassen Sie anschließend den Arm wieder in die Ausgangsposition zurücksinken. Bremsen Sie die Bewegung mit dem gesunden Arm ab.
Wiederholen Sie diese Übung 15-mal. Absolvieren Sie 3 Sets mit jeweils 30 Sekunden Pause dazwischen.
Alternative: Wände krabbeln
Ausgangsstellung: Stehen Sie mit dem Gesicht zu einer Wand. Setzen Sie die Hand des betroffenen Armes an der Wand ab.
Durchführung: “Krabbeln” Sie nun mit den Fingern der Hand an der Wand aufwärts, bis Sie zu Ihrer maximalen Streckung in der Schulter gelangen und anschließend auf die gleiche Weise wieder zurück. Wiederholen Sie diese Übung 15-mal. Absolvieren Sie 3 Sets mit jeweils 30 Sekunden Pause dazwischen.
Ausgangsstellung: Das Gesicht zeigt zur Wand. © Gelenk-Klinik
In der Endposition ist die Schulter maximal gestreckt. © Gelenk-Klinik
Übung 9: Unterstütztes Abspreizen des Armes
Seitliches Abspreizen des Armes. © Gelenk-Klinik
Übungsziel: Die häufig schmerzhaft eingeschränkte Abspreizbewegung wird mit dieser Übung schmerzfrei möglich. Dies verbessert die Beweglichkeit im Schultergelenk.
Ausgangsstellung: Sitzen Sie aufrecht an einem Tisch. Der betroffene Arm liegt auf einem Handtuch/Staubtuch o. Ä., um eine gute Rutschfähigkeit zu gewährleisten.
Durchführung: Spreizen Sie den Arm langsam zur Seite ab. Dabei beugen Sie den Oberkörper seitlich über den Tisch, um die Bewegung zu erweitern. Kehren Sie in die Ausgangsposition zurück. Der Arm wird nicht abgehoben, sondern bleibt immer in Kontakt mit dem Tisch.
Wiederholen Sie diese Übung 15-mal. Absolvieren Sie 3 Sets mit jeweils 30 Sekunden Pause dazwischen.
Aktivieren der Rotatorenmanschette und der Schulterdepressoren
Bei der Kalkschulter herrscht aufgrund der Kalkdepots im Sehnengewebe eine zunehmende Enge unterhalb des Schulterdaches. Daraus können Entzündungen der beteiligten Strukturen entstehen. Die Rotatorenmanschette gewährleistet die Stabilität im Schultergelenk und zentralisiert den Oberarmkopf unter der Gelenkpfanne.
Eine Beübung bzw. Aktivierung dieser Muskeln wirkt einer Entzündung (z. B. Schleimbeutelentzündung) entgegen.
Generell gilt: Bei einseitigen Belastungen am Arbeitsplatz oder beim Sport sind Ausgleichsübungen notwendig, um einer Überlastung vorzubeugen. Das Aktivieren der Depressoren (Muskeln, die den Oberarmkopf nach unten ziehen) der Schulter schafft einen Ausgleich zu Überkopfarbeiten und Schreibtischtätigkeiten.
Wichtig: Diese Übungen sollten auf keinen Fall bei einer akuten Schleimbeutelentzündung durchgeführt werden, da sich sonst die Reizung und Entzündung verschlimmern können.
Übung 10: Außenrotation gegen Widerstand
Übungsziel: Aktivierung der Außenrotatorenmuskeln zur Schulterzentrierung.
Ausgangsstellung: Stehen Sie aufrecht. Halten Sie ein Gymnastikband etwas weniger als schulterbreit und leicht gespannt in den Händen. Die Ellenbogen sind dicht am Körper und 90 Grad angewinkelt.
Durchführung: Ziehen Sie das Gymnastikband auseinander, indem Sie die Arme nach außen drehen und die Schulterblätter nach hinten und unten ziehen. Achten Sie dabei darauf, dass Ihre Ellenbogen weiterhin dicht am Körper bleiben und nicht zur Seite abweichen. Kehren Sie anschließend in die Ausgangsposition zurück. Geben Sie dabei kontrolliert dem Zug des Bandes nach.
Wiederholen Sie diese Übung 15-mal. Absolvieren Sie 3 Sets mit jeweils 30 Sekunden Pause dazwischen.
Die Ellenbogen sind in 90 Grad angewinkelt. © Gelenk-Klinik
Ziehen Sie das Gymnastikband auseinander. © Gelenk-Klinik
Übung 11: Pull down mit gestreckten Armen
Übungsziel: Aktivierung der Extensoren- und Außenrotatorenmuskeln.
Ausgangsstellung: Ein Gymnastikband ist sicher und fest in höherer Position vor Ihnen befestigt (z. B. in einem Türspalt). Die Enden des leicht gespannten Gymnastikbandes halten Sie in den Händen. Beugen Sie nun Ihren Oberkörper aus der Hüfte nach vorne und gehen Sie dabei leicht in die Knie.
Durchführung: Ziehen Sie Ihre gestreckten Arme gegen den Widerstand des Bandes nach unten, bis sich Ihre Hände auf Höhe Ihrer Hüfte befinden. Achten Sie darauf, dass Ihre Arme während des gesamten Bewegungsweges gestreckt bleiben und kein Hohlkreuz im Rücken entsteht. Kehren Sie anschließend in die Ausgangsposition zurück. Geben Sie dabei kontrolliert dem Zug des Bandes nach. Sie können zusätzlich die Außenrotatoren aktivieren, indem Sie die Hände während der Ausführung nach außen drehen und die Schulterblätter nach hinten unten ziehen.
Wiederholen Sie diese Übung 15-mal. Absolvieren Sie 3 Sets mit jeweils 30 Sekunden Pause dazwischen.
Das Gymnastikband ist leicht gespannt. © Gelenk-Klinik
Achten Sie darauf, dass die Arme während der gesamten Bewegung gestreckt bleiben. © Gelenk-Klinik
Übung 12: Rudern mit Gymnastikband (leichtere Variante des Pull down)
Übungsziel: Aktivierung der Extensorenmuskeln.
Ausgangsstellung: Stehen Sie aufrecht. Ein Gymnastikband ist vor Ihnen sicher befestigt, z. B. an einer Türklinke. Sie halten das leicht gespannte Gymnastikband mit gestreckten Armen.
Durchführung: Ziehen Sie nun die Ellenbogen zurück und die Schulterblätter nach hinten unten. Kehren Sie anschließend in die Ausgangsposition zurück. Geben Sie dabei kontrolliert dem Zug des Bandes nach. Wiederholen Sie diese Übung 15-mal. Absolvieren Sie 3 Sets mit jeweils 30 Sekunden Pause dazwischen.
Die Arme sind zu Beginn der Bewegung gestreckt. © Gelenk-Klinik
Ziehen Sie nun die Ellenbogen zurück. © Gelenk-Klinik
Übung 13: Extension mit abgespreiztem Arm
Übungsziel: Aktivieren der Extensorenmuskeln.
Ausgangsstellung: Stehen Sie aufrecht. Ein Gymnastikband ist vor Ihnen sicher auf Höhe Ihrer Schulter befestigt. Sie halten das leicht gespannte Gymnastikband mit gestrecktem Arm.
Durchführung: Führen Sie den Ellenbogen nach hinten, beugen Sie ihn dabei gleichzeitig an und ziehen Sie das Schulterblatt Richtung Wirbelsäule. Der Arm bleibt dabei immer auf der Höhe Ihrer Schulter. Es kann bei dieser Übung zu einer leichten Drehung im Oberkörper kommen. Kehren Sie anschließend in die Ausgangsposition zurück. Geben Sie dabei kontrolliert dem Zug des Bandes nach.
Wiederholen Sie diese Übung 15-mal. Absolvieren Sie 3 Sets mit jeweils 30 Sekunden Pause dazwischen.
Das Gymnastikband ist auf Höhe der Schultern befestigt. © Gelenk-Klinik
Achten Sie darauf, dass der Arm während der Bewegung auf Höhe der Schulter bleibt. © Gelenk-Klinik
Übung 14: Adduktion (Arm heranziehen)
Übungsziel: Aktivierung der Adduktorenmuskeln.
Ausgangsstellung: Befestigen Sie ein Band sicher und hoch vor sich. Eine Möglichkeit besteht darin, es in der Tür einzuklemmen. Stehen Sie seitlich mit dem betroffenen Arm zur Wand/Tür.
Durchführung: Greifen Sie das Band so, dass sie mit leicht abgespreiztem Arm etwas Spannung auf dem Band haben. Ziehen Sie nun den Arm seitlich an den Körper. Halten Sie die Position für ca. 5 Sekunden. Kehren Sie in die Ausgangsposition zurück. Geben Sie dabei kontrolliert dem Zug des Bandes nach. Wiederholen Sie diese Übung 15-mal. Absolvieren Sie 3 Sets mit jeweils 30 Sekunden Pause dazwischen.
Schulter gegen Widerstand nach unten ziehen. © Gelenk-Klinik.de
Operation der Kalkschulter
Da die Kalkschulter oft spontan heilt, ist man mit der operativen Behandlung eher zurückhaltend. Folgende Bedingungen sprechen allerdings für eine Operation der Kalkschulter:
- Die genannten konservativen Therapien führen zu keiner Besserung.
- Der Patient leidet anhaltend unter starken Schmerzen.
- Der Kalkherd ist größer als 1 cm.
- Der Kalkherd ist von harter Konsistenz.
Durchführung der Kalkschulter-Operation
Während der Operation entfernt der Chirurg die Kalkdepots und erweitert den Raum unter dem Schulterdach (Akromion). Er führt diesen Eingriff in der Regel arthroskopisch (minimalinvasiv) durch. Während der Spiegelung (Arthroskopie) kann der Orthopäde gleichzeitig Zusatzschäden (Arthrose, Rotatorenmanschettenriss) diagnostizieren und gegebenenfalls mitbehandeln. Nach dem operativen Eingriff sollte der Patient seine Schulter für etwa drei Wochen schonen. Krankengymnastik sorgt in dieser Zeit für den Erhalt der Schulterbeweglichkeit.
Häufige Patientenfragen an Prof. Dr. Sven Ostermeier von der Gelenk-Klinik Freiburg
Wie lange ist man mit einer Kalkschulter arbeitsunfähig?
In den meisten Fällen wird die Kalkschulter konservativ behandelt. Eine Krankschreibung ist während des Behandlungszeitraums nicht unbedingt erforderlich. Sie müssen in dieser Zeit den Bewegungsumfang und die Gesamtbelastung der Schulter kontrollieren. Vor allem Überkopfbewegungen sollten Sie vermeiden. Ihr behandelnder Arzt kann Ihre individuelle Situation am besten einschätzen. Auch Ihr Allgemeinbefinden, die Größe des Kalkdepots und Begleiterkrankungen wird er berücksichtigen.
Die Arbeitsunfähigkeit nach arthroskopischer Operation einer Kalkschulter kann 2 bis 6 Wochen dauern.
Wie soll man mit einer Kalkschulter am besten schlafen?
Schlafen Sie nicht auf der Seite der schmerzenden Schulter. Nur so kann die betroffenen Schulter entlastet werden. Die beste Schlafposition ist die Rückenlage, in der sich das Körpergewicht gleichmäßig verteilt. Wenn Sie auf der nicht betroffenen Seite schlafen, sollten Sie den Arm mit der schmerzenden Schulter auf einem Kissen ablegen.
Warum hat man bei einer Kalkschulter Schmerzen bis in die Finger?
In den Schultersehnen verlaufen Nervenfasern. Wenn sich Kalk in den Sehen ablagert, reizt das die Nervenfasern. Dies ist schmerzhaft und die Schmerzen können bis in die Finger ausstrahlen.
Wer bekommt eine Kalkschulter?
Frauen sind öfter von einer Kalkschulter betroffen als Männer. Meistens tritt sie im Alter von 35 bis 50 Jahren erstmals auf. Durch eine Minderdurchblutung verändert sich das Gewebe der Schultersehne und Kalkablagerungen entstehen. Ursächlich dafür können vorangegangene Unfälle, Stürze und Sehnenrisse sein. Auch bei wiederholter Überbeanspruchung durch Schwerarbeit oder Sport kann eine Kalkschulter entstehen. Vor allem häufige Überkopfarbeiten (z. B. Fensterputzer, Malern) oder Überkopfbewegungen bei bestimmten Sportarten (z. B. Volleyball, Schwimmen) erhöhen das Risiko. Ebenso spielt der Alterungsprozess und eine schwache Durchblutung bei der Entstehung der Kalkschulter eine Rolle.
Wo schmerzt die Kalkschulter?
Die Beschwerden durch eine Kalkschulter entwickeln sich häufig schleichend. Plötzlich einschießende Schulterschmerzen entstehen vor allem bei Drehbewegungen und beim Heben des Armes. Wenn die Kalkdepots größer werden, leiden die Patienten meist unter dauerhaften Beschwerden im Schultergelenk. Auch das Liegen auf der betroffenen Seite ist dann nicht mehr möglich.
Welcher Sport ist mit einer Kalkschulter erlaubt?
Im Prinzip ist jeder Sport bei einer Kalkschulter erlaubt. Meist sind die Schulterschmerzen der limitierende Faktor. In der akuten Entzündungsphase sollten Sie Ihre schmerzende Schulter schonen. Nach Abheilen der Kalkschulter ist es sinnvoll, durch spezielle Schulterübungen den normalen Bewegungsumfang Ihrer Schulter wiederherzustellen und Ihre Muskulatur zu stärken. Im Anschluss können Sie Ihre sportlichen Aktivitäten wieder aufnehmen. Bei Sportarten mit häufigen Armbewegungen über Kopfhöhe (z. B. Volleyball, Tennis, Schwimmen) oder armbetontem Krafttraining wird die Schulter stark belastet. In diesen Fällen empfehlen wir Ihnen, sich mit Ihrem behandelnden Arzt zu beraten, der Ihren Krankheitsverlauf kennt.
Welcher Arzt behandelt eine Kalkschulter?
Ein Facharzt für Orthopädie ist die richtige Wahl zur Behandlung der Kalkschulter. Er besitzt die nötige Erfahrung, um die verschiedenen Erkrankungen des Schultergelenks zu erkennen und zu behandeln.
Welche Medikamente helfen bei einer Kalkschulter?
Bei starken Schmerzen empfehlen wir die Einnahme von schmerzstillenden und entzündungshemmenden Medikamenten (NSAR, z. B. Ibuprofen). Bei sehr starken Schmerzen kann Ihnen Ihr behandelnder Arzt Schmerzmittel oder Betäubungsmittel direkt in das Schultergelenk injizieren. Medikamente zur Auflösung der Kalkdepots gibt es bislang nicht.
Wann muss man eine Kalkschulter operieren?
Der Schulterspezialist empfiehlt die Operation, wenn die konservative Therapie über einen längeren Zeitraum keine Besserung bringt. Auch Kalkdepots über 1 cm Größe mit harter Konsistenz sind für die operative Therapie geeignet. Die Kalkdepots werden durch eine Schulterarthroskopie minimalinvasiv entfernt. Zusätzlich können bei dem Eingriff Begleiterkrankungen der Schulter erkannt und behandelt werden.
In welchem Alter bekommt man eine Kalkschulter?
Die Kalkschulter tritt meist zwischen dem 35. und 50. Lebensjahr auf.
Was ist der Unterschied zwischen Kalkschulter und Frozen Shoulder?
Die Kalkschulter (Tendinosis calcarea) ist eine schmerzhafte, oft plötzlich auftretende Erkrankung im Schultergelenk. Sie entsteht durch eine Kalkeinlagerung im Ansatzbereich der Schultersehnen. Im Ultraschall oder im Röntgen ist diese Verkalkung für den Schulterspezialisten gut zu erkennen. Die Frozen Shoulder (adhäsive Kapsulitis) beschreibt eine schmerzhafte Bewegungseinschränkung des Schultergelenks, die auf degenerative Prozesse im Bereich der Gelenkkapsel zurückzuführen ist. Die Gelenkkapsel fibrosiert (Umwandlung in Bindegewebe) und schrumpft. Im Ultraschall oder Röntgen sind diese Veränderungen kaum darstellbar. Die Erkrankung wird häufig nur anhand ihrer Symptome diagnostiziert.
Ist eine Kalkschulter gleich Arthrose?
Nein. Schulterarthrose ist ein Gelenkverschleiß, eine Kalkschulter sind Kalkablagerungen.
Kalkschulter und Ernährung: Was sollte ich beachten?
Sie sollten auf eine ausgewogene Ernährung achten, um eine Übersäuerung Ihres Körpers zu vermeiden. Die ständige Übersäuerung führt zu einer verminderten Durchblutung und zu einem unzureichend funktionierenden Stoffwechsel. Eine Minderdurchblutung und Stoffwechselstörungen der Schultersehnen kann eine Kalkschulter verursachen. Wir empfehlen, den Verzehr von säurebildenden Nahrungsmitteln zu reduzieren. Dazu gehören Fleisch, Milch und Milchprodukte sowie Brot- und Teigwaren. Reduzieren Sie Ihren Alkoholkonsum. Auch mangelnde Bewegung, geringe Flüssigkeitszufuhr, Stress und Rauchen beeinflussen den Säure-Basen-Haushalt negativ.
Welches Hausmittel hilft bei Kalkschulter?
Um den akuten Entzündungsschmerz in der Schulter zu lindern, können sie Wickel mit Quark anlegen. Quark enthält entzündungshemmende Inhaltsstoffe und kühlt. Auch schmerzlindernde Salben mit Menthol, Arnika, Rosmarin und Kampfer können sinnvoll sein.
Hilft Bewegung oder Ruhe bei einer Kalkschulter?
Im Krankheitsverlauf der Kalkschulter kommt es zu einer Entzündungsreaktion und starken Schmerzen im Schulterbereich. In dieser Phase hilft Ihnen Ruhe und Schonung der Schulter. Sobald Ihre schmerzhaft entzündete Kalkschulter es wieder zulässt, sollten Sie Ihr Schultergelenk bewegen. Das Schultergelenk neigt bei längerer Immobilisation zur Teilversteifung durch Schrumpfung der Schulterkapsel. Um Bewegungseinschränkungen im Schultergelenk zu vermeiden, empfehlen wir Ihnen spezielle Übungen bei Kalkschulter.
Literaturangaben
- Spezialgebiete aus der Schulter- und Ellenbogenchirurgie 2: Update 2006 (German Edition). (1. ed). Steinkopff.
- Chianca, V., Albano, D., Messina, C., Midiri, F., Mauri, G., Aliprandi, A., ... & Sconfienza, L. M. (2018). Rotator cuff calcific tendinopathy: from diagnosis to treatment. Acta Bio Medica: Atenei Parmensis, 89(Suppl 1), 186.
- Daecke, W., Kusnierczak, D. & Loew, M. (2002). [Extracorporeal shockwave therapy (ESWT) in tendinosis calcarea of the rotator cuff. Long-term results and efficacy]. Der Orthopäde, 31, 645–51.
- Diehl, P., & Schauwecker, J. (2015). Schmerzhafte Schulter – ist es Kalk? Orthopädie & Rheuma, 18(4), 36–41.
- Echtermeyer, V. & Bartsch, S. (2005). Praxisbuch Schulter: Verletzungen und Erkrankungen systematisch diagnostizieren, therapieren, begutachten; 10 Tabellen. Thieme.
- Engelke, K., & Hlatky, M. (2019). Nacken- & Schulterschmerzen: Was wirklich hilft. Verlagshaus der Ärzte.
- Georgousis, H., van Bevern, T., & Bachmann, J. (2019). Schultergelenke – Indikationen operativer Behandlung in einer hochkomplexen Region. Deutsche Zeitschrift für Akupunktur, 62(2), 128–131.
- Gleich, J., Fleischhacker, E., Siebenbürger, G., Helfen, T., Böcker, W., & Ockert, B. (2019). Diagnostik und Therapie bei Schulterschmerzen. MMW-Fortschritte der Medizin, 161(17), 62–73.
- Gohlke, F. & Hedtmann, A. (2002). Handbuch Orthopädie, Schulter. Thieme, Stuttgart.
- Haake, M., Deike, B., Thon, A. & Schmitt, J. (2001). [Value of exact focusing of extracorporeal shock waves (ESWT) in therapy of tendinitis calcarea. A prospective randomized study]. Biomedizinische Technik. Biomedical engineering, 46, 69–74.
- Jerosch, J., Strauss, J. M. & Schmiel, S. (1996). [Arthroscopic therapy of tendinitis calcarea – acromioplasty or removal of calcium?] Der Unfallchirurg, 99, 946–52.
- Kim, M. S., Kim, I. W., Lee, S., & Shin, S. J. (2020). Diagnosis and treatment of calcific tendinitis of the shoulder. Clinics in Shoulder and Elbow, 23(4), 210.
- Nowotny, J., & Kasten, P. (2019). Weichteilerkrankungen der Schulter und Subakromialsyndrome. Orthopädie und Unfallchirurgie up2date, 14(04), 383–405.
- Rupp, S., Seil, R. & Kohn, D. (2000). [Tendinosis calcarea of the rotator cuff]. Der Orthopäde, 29, 852–67.
- Scheuer, R. (2018). Stoßwellen: Selbstheilung mit Druck ankurbeln. der Standard.
- Seil, R., Wilmes, P. & Nührenbörger, C. (2006). Extracorporeal shock wave therapy for tendinopathies. Expert review of medical devices, 3, 463–70.
- Zelle, B. A., Gollwitzer, H., Zlowodzki, M. & Bühren, V. (2010). Extracorporeal shock wave therapy: current evidence. Journal of orthopaedic trauma, 24 Suppl 1, 66–70.
- van Leeuwen, M. T., Zwerver, J. & van den Akker-Scheek, I. (2009). Extracorporeal shockwave therapy for patellar tendinopathy: a review of the literature. British journal of sports medicine, 43, 163–8.
