- Was ist ein Hallux valgus?
- Symptome bei Hallux valgus
- Ursachen: Wieso bekommt man einen Hallux valgus?
- Prognose: Kann sich ein Hallux valgus wieder zurückbilden?
- Behandlung: Was kann man gegen einen Hallux valgus tun?
- Übungen bei Hallux valgus
- Häufige Patientenfragen zum Hallux valgus an Dr. Thomas Schneider

Leiden Sie unter Schmerzen im großen Zeh, der immer weiter nach außen abweicht? Eine solche Fehlstellung des Großzehengrundgelenks nennt man Hallux valgus oder auch Ballenzeh. Die Großzehe verdrängt dabei die anderen Zehen. Die damit einhergehende Entzündung des Großzehenballens birgt die ernsthafte Gefahr einer Arthrose im Großzehengrundgelenk, auch als Hallux rigidus bekannt.
Sind Sie in Ihrer Mobilität stark eingeschränkt und haben bereits konservative Ansätze wie Physiotherapie oder Hallux-valgus-Schienen ohne Erfolg ausprobiert? In solchen Fällen zieht der orthopädische Fußspezialist eine Operation in Betracht. Der Orthopäde richtet bei der Hallux-valgus-Operation die schief gestellte Großzehe wieder gerade aus und normalisiert den Zug der Sehnen und Muskeln. Dabei passt er die Operationstechnik individuell an Ihr Krankheitsbild an.
Was ist ein Hallux valgus?

Der Hallux valgus ist die häufigste Fehlstellung des Vorfußes und der Zehen. Wegen seiner auffälligen Form nennt man ihn auch Ballenzeh oder Überbein.
Dabei neigt sich der große Zeh in Richtung Fußaußenrand. Am Großzehengrundgelenk (Metatarsophalangealgelenk) tritt beim Hallux valgus das oft schmerzhaft entzündete und geschwollene Mittelfußköpfchen hervor und drückt gegen den Schuh. Die Großzehensehne verläuft beim Hallux valgus ebenfalls nicht mehr gerade durch das Großzehengrundgelenk. In Deutschland leiden 23 % der 18- bis 65-Jährigen und mehr als 35 % der über 65-Jährigen unter einem Hallux valgus.
Symptome bei Hallux valgus

- Das Großzehengrundgelenk ist gerötet, geschwollen und schmerzt.
- Die Großzehe ist weniger beweglich, manchmal sogar versteift.
- Die Großzehe weicht zur Seite hin ab und bedrängt die Kleinzehen.
- Patienten klagen über Druckschmerzen, vor allem an der Innenseite des Zehenballens.
- Die Großzehe ist um die eigene Achse verdreht.
- Die Ballen der 2. bis 4. Zehe sind gerötet, zeigen Schwielen und können deformiert sein.
- Die Patienten leiden unter Mittelfußschmerzen.
Der Hallux valgus stellt zwar eine häufige Fußerkrankung dar, führt aber nicht bei allen Betroffenen zu behandlungsbedürftigen Beschwerden. Die Fehlstellung der Zehen stört allerdings die meisten Patienten: Der Fuß verliert seine typische Form und der Ballenzeh ist kosmetisch nicht ansprechend.
Beschwerden in Verbindung mit Hallux valgus treten meist oberhalb des Großzehengrundgelenks auf. Dieses Gelenk tritt oft stark hervor und reibt am Schuhinnenrand. Dadurch entzündet es sich leicht. Der Zehenballen ist beim Hallux valgus gerötet und geschwollen. Im fortgeschrittenen Stadium können sich die Kleinzehen zu Hammerzehen oder Krallenzehen verformen.
Bursitis oder Arthrose verursachen typische Schmerzen bei Hallux valgus
Der Hallux valgus ist selbst nicht direkt schmerzhaft. Benachbarte Strukturen wie z. B. Schleimbeutel werden allerdings durch die veränderte Biomechanik des Abrollens übermäßig belastet. Sie entzünden sich und verschleißen. Patienten mit Hallux valgus berichten zu Beginn ihrer Erkrankung nur unter bestimmten Belastungen von Schmerzen. Später können belastungsunabhängige, quälende Ruheschmerzen hinzukommen.
Mit der Zeit verstärkt sich die Schwellung von Schleimbeuteln und Weichteilen. Die Reibung des Fußballens am Schuh nimmt zu. Als Reaktion schwillt der Schleimbeutel am Großzehengrundgelenk weiter an. Der Patient steckt in einem Teufelskreis.
Eine weitere Quelle für Beschwerden beim Hallux valgus ist die stetig zunehmende Arthrose im Großzehengrundgelenk. Der Knorpel im Gelenk nutzt sich durch Abrieb immer stärker ab. Es kann sich eine aktivierte Arthrose entwickeln, die besonders in Ruhe und nachts zu starken Fußschmerzen führt.
Sowohl die Reizung der Weichteile als auch eine beginnende Arthrose im Fuß lösen in den meisten Fällen eine Veränderung im Gangbild und im normalen Bewegungsablauf beim Gehen aus.
Transfermetatarsalgie: Schmerzen im Mittelfuß durch Überlastung der kleineren Zehen
Wenn der erste Zehenstrahl der Großzehe nach außen abweicht, verändert sich auch die Belastung der übrigen Mittelfußknochen: Sie tragen beim Abrollvorgang eine höhere Last, für die eigentlich die Großzehe ausgelegt ist. Diese Gewichtsverlagerung kann zu Mittelfußschmerzen führen. Man spricht hier von einer Transfermetatarsalgie als Folge des Hallux valgus.
Vor allem der 2. Mittelfußknochen wird bei einem Hallux valgus in Mitleidenschaft gezogen. Die direkte Folge ist dann eine Krallenstellung des zweiten Zehs mit massiver Überlastung und Schmerzen. Patienten mit Hallux valgus kaufen ihre Schuhe daher gerne ein oder zwei Größen zu groß, um die schmerzhafte Reibung zu vermindern. Viele Patienten nehmen in diesem Fall fälschlich an, dass der Hallux valgus eigentlich beschwerdefrei ist und nur der Mittelfuß schmerzt. Doch die Ursache bei diesen Metatarsalgien ist stets die Fehlstellung des Großzehs. Dort muss die Behandlung durch den Spezialisten ansetzen.
Ursachen: Wieso bekommt man einen Hallux valgus?
Risikofaktoren für Hallux valgus
- weibliches Geschlecht
- schwaches Bindegewebe
- erworbene Fehlstellung, z. B. durch enge Schuhe mit hohen Absätzen
- Spreizfuß oder Knickfuß
- Unfall (Trauma) mit Fußverletzung
- arthritische oder rheumatische Gelenkveränderungen
- neurologische Erkrankungen wie z. B. Charcot-Marie-Tooth (CMT-Erkrankung)
- Überlastung des Großzehengrundgelenks durch einen Hohlfuß
Es gibt zahlreiche Ursachen für den Hallux valgus, die sich gegenseitig überlagern. Die Fehlstellung kann familiär vererbt werden, es existiert also eine genetische Komponente (Prädisposition). Damit sich diese Veranlagung durchsetzt, müssen zusätzlich andere Faktoren hinzukommen.
Eine häufige Ursache für Hallux valgus ist eine vererbte Bindegewebsschwäche. Davon sind auch Bänder betroffen, die am Fuß das Längs- und Quergewölbe stabilisieren. Ein Spreizfuß entsteht, bei dem das vordere Quergewölbe des Fußes eingesunken ist. Die Zehen zeigen nicht mehr in ihrer natürlichen Richtung nach vorne. Der Spreizfuß ist daher der häufigste Ausgangsbefund eines Hallux valgus.
Zudem begünstigen Gelenkentzündungen (Arthritis) ebenso wie Fußfehlstellungen, die nach Unfall- oder Fußverletzungen wie Knochenbrüchen entstehen, einen Hallux valgus.
Auch Übergewicht und langes Stehen im Beruf destabilisieren die Bänder im Vorfuß, lassen das Quergewölbe absinken und können einen Hallux valgus verursachen.
Hohe, enge Schuhe sind Hauptauslöser für Hallux valgus

Das jahrelange Tragen zu enger Schuhe mit hohen Absätzen fördert die Entstehung des Hallux valgus. Ein großer Teil des Körpergewichts lastet nicht mehr auf der Ferse und dem Längsgewölbe, sondern auf dem empfindlichen Vorfuß. Das vordere Quergewölbe verliert seine Stabilität und ein Spreizfuß entsteht. Der große Zeh wird ständig in Richtung der anderen Zehen gedrückt. Dadurch verändern die ansetzenden Muskeln ihre Zugrichtung und ziehen den Großzeh weiter nach außen.
Durch den Zug der Sehnen dreht sich der Großzeh bei einem Hallux valgus aus dem Großzehengrundgelenk heraus – ähnlich wie ein gespannter Bogen. Er neigt sich nach außen, in Richtung der anderen Zehen. Der einwärts gedrehte Großzeh verdrängt die Zehen, wodurch diese ebenfalls eine Fehlstellung annehmen. Ein Hallux valgus tritt daher oft in Verbindung mit Hammerzehen oder Krallenzehen auf.
Rolle der Sesambeine bei Hallux valgus

In der Sehne des kurzen Großzehenbeugers (Musculus flexor hallucis brevis) sind zwei Sesambeine eingebettet. Diese kleinen Knöchelchen fungieren als Gleitlager und verstärken die Kraftwirkung des Muskels. Sie liegen unter dem Großzehengrundgelenk und nehmen normalerweise den 1. Zehenstrahl in ihre Mitte.

Beim Hallux valgus sind diese Sesambeine nach außen verschoben. Es entsteht ein Winkel zwischen dem Verlauf des Großzehenstrahls und der Sehne des Zehenbeugers. Je größer dieser Winkel ist, desto ausgeprägter ist die Hallux valgus-Fehlstellung.
In der Folge kann der Patient den Fuß beim Gehen über die Großzehe nicht mehr normal abrollen. Die kleineren Zehen tragen zunehmend mehr Last. Diese Gewichtsverlagerung weg von der Großzehe kann Mittelfußschmerzen (Transfermetatarsalgie) zur Folge haben.
Externer Inhalt von viewmedica.com
Wer ist betroffen von einem Hallux valgus?
Unter einem Hallux valgus leiden überwiegend Frauen. Die Häufigkeit des Hallux valgus steigt mit zunehmendem Alter deutlich an. Teilweise sind bereits sehr junge Frauen und Männer betroffen. In diesen Fällen liegt meist eine genetische Veranlagung (Prädisposition) zugrunde.
Der Hallux valgus tritt in Ländern, in denen Barfußlaufen oder bequeme, offene Schuhe oder Sandalen bevorzugt werden, nur selten auf. In Japan oder China, in denen kleine, schmale Füße ein Schönheitsideal darstellen, kommt er dagegen häufig vor.
Wie kann man einem Hallux valgus vorbeugen?
- Schuhe mit hohen Absätzen nicht täglich tragen.
- Absatzhöhe variieren.
- Möglichst häufig barfuß laufen.
- Mit regelmäßiger Fußgymnastik die Fußmuskulatur kräftigen.
Diagnose: Wie untersucht der Arzt den Hallux valgus?
Für den Orthopäden ist die Hallux valgus-Fehlstellung bereits beim Betrachten des Fußes ersichtlich. Der Hallux valgus geht mit einem sichtbar vergrößerten Winkel im Großzehengrundgelenk einher. Die Beschwerden des Patienten bestätigen die Vermutung des Arztes.
Patienten mit Hallux valgus weisen meist begleitende Fehlstellungen des Fußes auf: Der Spreizfuß mit sichtbar eingesunkenem vorderen Fußquergewölbe tritt regelmäßig gemeinsam mit dem Hallux valgus auf.
Arzt-Patientengespräch und körperliche Untersuchung
In einem ausführlichen Gespräch erkundigt sich der Orthopäde nach Familienmitgliedern, die einen Hallux valgus haben, da eine erbliche Veranlagung bestehen kann.
Bei der klinischen Untersuchung des Hallux valgus klärt der Fußspezialist folgende Fragen:
- Ist die Großzehe um die eigene Achse verdreht?
- Steht der 1. Mittelfußknochen am inneren Fußrand hervor?
- Gibt es eine hornhautüberzogene Vorwölbung innen am Zehengrundgelenk?
- Zeigen sich entzündete, gerötete Haut- oder Schleimbeutelschwellungen?
- Ist das Fußquergewölbe abgeflacht und der Vorfuß gespreizt und verbreitert?
- Kann der Patient den Fuß nur eingeschränkt bewegen?
- Sind an den benachbarten Zehen Deformationen wie Krallen- oder Hammerzehen sichtbar?
- Haben sich Schwielen unter den Köpfchen der Kleinzehen gebildet?
- Steht der Zehennagel der Großzehe außen höher als innen?
Tastuntersuchung des Hallux valgus
Mithilfe der sogenannten Palpation untersucht der erfahrene Orthopäde umfassend den Zustand des Großzehengrundgelenks. Wie ausgeprägt ist die Versteifung der Großzehe bereits? Wie stabil ist das Gelenk zwischen Mittelfuß- und Fußwurzelknochen? Und bestehen bereits Anzeichen für Verschleißerkrankungen wie Knochensporne (Osteophyten) oder Mittelfußarthrose?
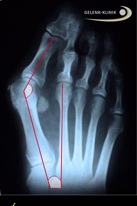
Röntgen zeigt das Ausmaß des Hallux valgus

Zusätzliche Informationen über das Stadium des Hallux valgus gibt ein Röntgenbild des Fußes. Dabei misst der Arzt im Stehen – also unter Belastung – die exakte geometrische Abweichung der Fehlstellung von der Normalstellung. Diese Abweichung bezeichnet der Mediziner als Hallux valgus-Winkel. Die Kernspintomographie (MRT) kann Knorpelschäden, Weichteileinklemmungen und Knochenschäden feststellen.
Stadien des Hallux valgus

- Eine Großzehenstellung mit einem Winkel von bis zu 10° gilt als normal.
- Eine milde Hallux valgus-Fehlstellung liegt zwischen 16° und 20° vor.
- Eine mittlere Hallux valgus-Fehlstellung weicht zwischen 21° und 40° ab.
- Eine schwere Hallux valgus-Fehlstellung weicht über 40° ab.
Fußdruckmessung und Ganganalyse als spezielle orthopädische Diagnostik
Auch andere Störungen des Fußgewölbes begleiten den Hallux valgus. Der Knick-Senkfuß beispielsweise ist eine Störung des Fußlängsgewölbes. Dabei erkennt der Arzt bei flach am Boden aufliegender Fußsohle eine X-Stellung der Ferse mit einem charakteristisch eingesunkenen Längsgewölbe.
Patienten mit Hallux valgus klagen häufig über belastungsabhängige Fußschmerzen bei längerem Stehen oder Gehen. Zur Abklärung führt der Fußspezialist eine computergesteuerte Fußdruckmessung (Podometrie) durch. Sie gibt mithilfe eines Farbcodes Informationen über die verschiedenen Belastungszonen im Fuß, die Lage des Körperschwerpunktes und die Statik des Fußes. Rot sind dabei stark belastete Bereiche, blau wenig belastete Zonen.

Eine weitere innovative Untersuchungsmethode der Orthopädie stellt die dynamische Ganganalyse dar. Dabei läuft der Patient über ein Laufband mit Messstation, das den Druck, den der Fuß beim Abrollen auf den Boden ausübt, ermittelt. Das System liefert genaue Daten, in welchen Gangphasen und Bereichen der Patient seinen Fuß am meisten belastet.
Darüber hinaus liefert die Ganganalyse ein ganzheitliches Bild des Bewegungsapparates. Die kombinierte Analyse stellt einen Zusammenhang zwischen Bewegung, Haltung und Schmerzen her. So können Fußschmerzen ihren Ursprung auch in einer Fehlstellung der Beinachse oder bei Problemen in der Wirbelsäule haben.
Prognose: Kann sich ein Hallux valgus wieder zurückbilden?
Die Prognose des Hallux valgus hängt erheblich vom Stadium der Fehlstellung und vom Patienten selbst ab. Bei jungen Patienten mit noch beweglicher, also aktiv rückführbarer Fehlstellung der Großzehe, besteht gute Aussicht auf eine Korrektur des Hallux valgus ohne Operation. Physiotherapeutische Fußgymnastik und konservative Behandlungsansätze können das Fußgewölbe aufrichten und die Hallux valgus-Stellung korrigieren.
Bei älteren Patienten mit einer bereits kontrakten, also nicht mehr aktiv rückführbaren Fehlstellung, kann die Hallux valgus-Operation Schmerzfreiheit erreichen und die Zehenfehlstellung dauerhaft normalisieren. Die Resultate der operativen Hallux valgus-Korrektur sind erfahrungsgemäß sehr gut.
Was passiert, wenn man den Hallux valgus nicht behandelt?

Zu Beginn der Fehlstellung ist der Hallux valgus noch beweglich und passiv ausgleichbar. Doch mit zunehmendem Fortschreiten versteift die Großzehe und krümmt sich immer weiter. Bei jedem Schritt entsteht am Ende des Abrollvorganges ein maximaler Zug auf die Sehne. Die Zugkräfte der Sehnen und Muskeln verschlimmern die Fehlstellung stetig, je weiter die Großzehe nach außen abweicht.
Die beim Hallux valgus unnatürliche Form des Großzehengrundgelenks und des Vorfußes beeinträchtigen die normale Funktion des Fußes. Die Fehlstellung betrifft den Abrollvorgang, die Gewichtsverteilung und die Koordination des Ganges.
Dauerhafte Reizungen der Haut, der Schleimbeutel und der Gelenkkapsel resultieren aus einem unerkannten oder unbehandelten Hallux valgus. Nichtbakterielle und bakterielle Schleimbeutelentzündungen (Bursitis) und Kapselausdünnung führen zu weiteren Beschwerden. Ein Hallux valgus kann auch die benachbarten Zehen verdrängen, überlagern oder deformieren. Die typischen Hammerzehen oder Krallenzehen sind die Folge.

Behandlung: Was kann man gegen einen Hallux valgus tun?
Bis zu einem gewissen Stadium lässt sich der Hallux valgus konservativ mit Schienen und Fußübungen therapieren. Erst im fortgeschrittenen Krankheitsverlauf empfehlen die Orthopäden der Gelenk-Klinik eine operative Korrektur der Großzehe.
Es gibt zahlreiche Therapieansätze bei Hallux valgus. Welche Behandlung jeweils für den Patienten geeignet ist, entscheidet der behandelnde Fußspezialist, ausgehend vom jeweiligen Grad des Hallux valgus, den vorhandenen Begleiterkrankungen und der Situation des Patienten.
Was sind die Therapieziele bei Hallux valgus?
- Verringern der Schmerzen
- gleichmäßige Belastung der Mittelfußknochen
- Fortschreiten der Fehlstellung verlangsamen und Arthrose im Großzehengrundgelenk (Hallux rigidus) vermeiden
- Korrektur der Fehlstellung
- Funktion und Belastbarkeit der Großzehe und des Großzehengrundgelenks wiederherstellen
- Ausheilen von Hautschäden (Hühneraugen, Schwielen)
Konservative Behandlung des Hallux valgus:
- orthopädische Schuhzurichtungen
- Physiotherapie: Fußschule und Zehengymnastik
- Hallux valgus-Schienen: Orthesen
- Einlagen zur Behandlung des Spreizfußes
- nichtsteroidale Antirheumatika (NSAR) als schmerzstillende, entzündungshemmende Medikamente
Übungen, die die freie Beweglichkeit der Großzehe in alle Richtungen fördern, beugen dem Entstehen des Hallux valgus wirksam vor. Die wenigsten Menschen führen aber präventive Übungen ab dem Jugendalter durch. Ist der Hallux valgus erst einmal aufgetreten, lindern konservative Therapien lediglich die Symptome. Eine Rückstellung des Hallux valgus ist dann nicht mehr möglich.
Vorbeugen hilft nur im Anfangsstadium des Hallux valgus

Stellt sich der Patient bereits im Anfangsstadium bei einem Arzt vor, kann dieser die Fehlstellung durch konservative Therapien mit gutem Erfolg behandeln. Zuallererst gehört dazu im Alltag das Tragen von Schuhwerk mit flachen Absätzen und genügend Freiraum für die Zehen.
Bei leichter Ausprägung des Hallux valgus stützen spezielle Einlagen das vordere Fußgewölbe und halten das Fortschreiten des Spreizfußes auf.
Einlagen und Orthesen bei Hallux valgus
- Zehenspreizer
- Zehenpolster
- Einlagen mit Abstützung
- Ballenrolle
- Orthesen (Hallux-Schienen)
Hallux valgus-Schuhe besitzen flache Absätze. Sie sind im Vorfuß- und Zehenbereich ausreichend breit und erlauben den Zehen eine große Beweglichkeit. Zudem gibt es Hallux valgus-Schienen, die den Druck des großen Zehs auf die benachbarten Zehen vermindern.

Gymnastik und Barfußlaufen können vor allem in frühen Stadien den weiteren Verlauf des Hallux valgus verbessern und Beschwerden lindern. Die Aktivierung und die Spannung der Fuß- und Zehenmuskeln stärken das vordere Fußgewölbe und richten es auf. Die natürliche Form des Fußes beruht nicht nur auf dem Knochenskelett: Ab dem Jugendalter sind gut trainierte, aktive Fußmuskeln erforderlich, um Form und Stabilität des Fußgewölbes herzustellen.
Für die Behandlung des Hallux valgus ist eine konsequente Hautpflege der Druckstellen sehr wichtig. Schwellungen und Reibung am Schuh verursachen Schmerzen. Daher sind abschwellende und hautpflegende Maßnahmen von zentraler Bedeutung für die konservative Behandlung der Beschwerden bei Hallux valgus.

Spezielle Hallux valgus-Schuhe, die dem Ballenzeh mehr Raum geben, können Reibung vermindern und Schwellung, Entzündung und Schmerzen reduzieren.

Operation des Hallux valgus
Zunächst stellt der orthopädische Facharzt eine sichere Indikation für eine Hallux valgus-Operation. Es müssen eindeutige medizinische Gründe vorliegen, den Hallux valgus zu operieren. Eine rein kosmetische Begradigung des Fußes reicht als alleiniger Grund für eine Operationsempfehlung nicht aus. Die Fußchirurgen der Gelenk-Klinik orientieren sich vorrangig an der Schmerzbelastung des Patienten. Erst wenn der Patient durch Beschwerden beeinträchtigt wird, ist die Operation angemessen.
Wann ist eine Operation des Hallux valgus sinnvoll?
- Der Patient leidet unter starken Fußschmerzen, die seine Mobilität einschränken.
- Der Zehenballen ist chronisch entzündet, geschwollen und schmerzt.
- Die Großzehe neigt sich sichtbar in Richtung der Kleinzehen.
- Die Großzehe ist zunehmend versteift und der Patient kann sie nicht mehr aktiv zurückstellen (Kontraktheit).
- Konservative Therapien brachten keine Besserung.
Wenn jeder Schritt schmerzt, kann nur eine Operation den Patienten dauerhaft von seinen Schmerzen befreien. Bei erwachsenen Patienten außerhalb des Jugendalters können wir mit physiotherapeutischen Übungen und Hallux-Schiene den Krankheitsprozess nur verlangsamen. In diesem Fall therapiert man den Ballenzeh durch eine operative Begradigung. Diese kausale Therapie ist die einzige Möglichkeit, Schmerzen und Folgeschäden am Großzehengrundgelenk dauerhaft zu vermeiden.
Wichtige Fragen vor der Hallux valgus-Operation
- Wie groß ist die Abweichung des Hallux valgus von der normalen Anatomie?
- Welches Operationsverfahren ist geeignet, um eine weitgehend normale Stellung der Großzehe zu erreichen?
- Welches Ergebnis kann nach der Operation erwartet werden?
- Wie stark ist die Arthrose im Großzehengrundgelenk fortgeschritten?
Welche operativen Eingriffe sind möglich?
Welches Operationsverfahren beim Hallux valgus im Einzelfall angewandt wird, entscheidet der behandelnde Orthopäde individuell und bespricht es ausführlich mit dem Patienten. Alle Operationsverfahren bei Hallux valgus folgen einheitlichen Prinzipien und kombinieren meist verschiedene Methoden:
- Ein Weichteileingriff korrigiert Sehnen und Gelenkkapsel, um eine Geradestellung der Großzehe zu ermöglichen.
- Ein Eingriff am Großzehenknochen – meist in Form einer Knochenumstellung (Osteotomie) – begradigt die Großzehe.
- Bei Schäden am Großzehengrundgelenk wird dass Gelenk gelenkerhaltend (Cheilektomie) oder versteifend operiert (Arthrodese).
Ziele der Hallux valgus-Operation
1. Schmerzen und Mobilitätseinschränkungen durch den Hallux valgus beseitigen
Die Patienten wollen nach der Operation wieder anatomisch normale, begradigte und kosmetisch ansprechende Füße haben, die in Sport und Alltag belastbar sind. Dafür ist ein operativer Eingriff an den Weichteilen (Sehnen, Gelenkkapsel) notwendig.
2. Stellungskorrektur (Osteotomie) der Zehenknochen
Die wichtige Stellungskorrektur soll dem Verschleiß (Arthrose) des Großzehengrundgelenks und den Problemen im Vorfuß vorbeugen. Eine dauerhafte Normalisierung des Gangbildes und der Mechanik des Abrollvorgangs beim Gehen sind das Ziel.
3. Stabilisierung des Großzehengrundgelenks bei Arthrose
Durch die Hallux valgus-Fehlstellung kann das wichtige Großzehengrundgelenk unter Arthrose (Gelenkverschleiß) leiden. Man bezeichnet diese als Hallux rigidus. Der Arzt kann sie entweder gelenkerhaltend behandeln (arthroskopische Cheilektomie) oder er versteift das Gelenk (Arthrodese). Daneben gibt es die Möglichkeit einer Versorgung mit Vollprothesen und Teilprothesen (Hemiprothesen).
Weichteileingriffe: Behandlung von Sehnen und Gelenkkapsel an der Großzehe

Die Kapsel um das Großzehengrundgelenk hat sich durch die Fehlstellung bereits so verengt, dass die Fehlstellung kontrakt, also nicht mehr aktiv durch den Patienten zurückführbar ist. Auf der Seite des Knicks im Großzehengrundgelenk (rot) ist die Kapsel überdehnt, auf der Gegenseite ist sie verkürzt. Um die Großzehe dauerhaft zu begradigen, löst und erweitert der Fußspezialist die Gelenkkapsel und passt die Länge der Sehnen an, die die Großzehe steuern.
Osteotomie: Umstellung der Knochen in eine neue Position

Bei der chirurgischen Osteotomie werden Mittelfuß- und Zehenknochen durchtrennt und in der gewünschten Richtung wieder zusammengesetzt. Schrauben, Drähte oder kleine Metallschienen stabilisieren die Knochen, bis sie in der neuen Position eingeheilt sind.
Gelenkschäden an der Großzehe: gelenkerhaltende Arthroskopie
Wenn der Gelenkknorpel noch zu mehr als 50 % erhalten ist, kann eine gelenkerhaltende, minimalinvasive Gelenkspiegelung des Großzehengrundgelenks durchgeführt werden. Man bezeichnet diese als Cheilektomie. Knochensporne werden dabei ebenfalls abgetragen. Eine sichere Prognose kann der Operateur teilweise erst während der Cheilektomie nach direkter Sicht auf das Gelenk geben. Ist die Schädigung bereits weit fortgeschritten, bessern sich die Beschwerden durch diesen Eingriff meist nicht.
Arthrodese: Versteifung des Großzehengrundgelenks
Schwere Hallux valgus-Fehlstellungen und Arthrose des Großzehengrundgelenks erfordern manchmal, dass das Gelenk ganz entfernt und versteift wird. Diese Versteifung erfolgt durch Fusion der beiden Gelenkpartner, die in dem Gelenk aufeinandertreffen.
Minimalinvasive Operation mit kleinsten Schnitten und minimaler Narbenbildung
Vorteile einer minimalinvasiven Operation:
- wenig Implantatmaterial
- minimale Hautschnitte
- kurze Nähte
- geringe Narbenbildung
- Naht im nicht sichtbaren Bereich der Großzehe
Der medizinische Fortschritt ermöglicht heute unterschiedliche Methoden der Hallux valgus-Operation. Die vielversprechendste Technik wurde in den letzten Jahren neu entwickelt. Sie ist international bewährt, wird aber bislang nur in wenigen deutschen Kliniken angewandt: die sogenannte miniinvasive Hallux valgus-Chirurgie. Der Einsatz von kleinsten Instrumenten, ähnlich zahnärztlichen Geräten, kann Weichteilverletzungen bei der Hallux-Operation deutlich reduzieren. Dies verkürzt auch die Heilungszeit und es treten weniger Komplikationen auf.
Das Besondere: Bei dieser Art der Hallux valgus-Operation werden bei milden Fehlstellungen keine Schrauben gesetzt. Eine Nachoperation zur Schraubenentfernung entfällt.
Durch den Einsatz kleinster Werkzeuge erfolgt die bei dem Hallux valgus erforderliche Korrekturosteotomie mit minimalen Haut- und Weichteilverletzungen. Die Heilungszeit und die Komplikationsrate verringern sich. Die Wundheilung ist wegen der geringen Weichteilverletzungen beschleunigt.
Kosmetisches oder medizinisches Problem?

Ein Hallux valgus ist nicht immer schmerzhaft. Für viele Betroffene stellt er – zumindest anfangs – in erster Linie ein kosmetisches Problem dar, das in offenen Schuhen für alle sichtbar wird. Der Hallux valgus muss den Alltag dabei nicht beeinträchtigen. Mit der Zeit verstärkt sich die Fehlstellung aber. Die Schäden an Großzehengrundgelenk und Vorfuß nehmen laufend zu.
Eine rein kosmetische Indikationsstellung für eine Begradigung des Hallux valgus ist aus unserer Sicht nicht sinnvoll. Mit jeder Operation sind allgemeine medizinische Risiken und postoperative Einschränkungen im Alltag verbunden. Der Wunsch nach einem guten kosmetischen Ergebnis findet aber selbstverständlich auch bei uns Beachtung und hat eine hohe Priorität. Die kosmetisch optimale Operation verläuft immer möglichst gewebeschonend: Hautschnitte, Narbenbildung und Implantatmaterial werden so klein wie möglich gehalten.
Aufgrund des progredienten Verlaufs des Hallux valgus ist eine konservative oder operative Begradigung der Großzehe auch dann schon ratsam, wenn noch keine starken Schmerzen auftreten. Je später die Korrektur der Großzehenstellung erfolgt, desto gravierender sind die Folgeschäden, die am Großzehengelenk und dem Vorfuß der meist weiblichen Patienten auftreten.
Übungen bei Hallux valgus
Durch die veränderte Stellung der Großzehe ändern Muskelsehnen ihre Verläufe und verstärken die Fehlstellung zusätzlich. Der Spreizfuß begünstigt durch seinen breiten Vorfuß das Abwandern der Großzehe.
Somit ist der Hallux valgus nicht nur eine Erkrankung der Großzehe, sondern betrifft die ganze Fußstatik und verändert das Gangbild nachhaltig. Mit speziellen Fußübungen kann man diesem Prozess entgegenwirken.
Tritt während dem Üben ein Schmerz auf, sollte dieser unmittelbar wieder nachlassen. Ist dies nicht der Fall, lassen Sie die Übung bis auf Weiteres weg und halten Sie Rücksprache mit Ihrem Arzt oder Physiotherapeuten.
Übung 1: Mobilisation des Quergewölbes

Ausgangsstellung: Sitz auf dem Boden oder einem Stuhl. Nehmen Sie Ihren Vorfuß in beide Hände, sodass die Finger die Fußsohle berühren und die Handballen jeweils am Groß- und Kleinzehenballen anliegen.
Durchführung: Rollen Sie beide Zehenballen behutsam nach unten innen und üben Sie gleichzeitig mit den Fingerkuppen eine sanften Druck in der Mitte der Fußsohle aus. Sie sehen nun, wie sich ein schönes Quergewölbe aufbaut und die Zehenknöchel in einem gleichmäßigen C- Bogen aufgereiht sind.
Wiederholen Sie diese Bewegung pro betroffenem Fuß 10-mal rhythmisch und leicht. Dies entspricht einem Satz. Führen Sie 2–3 Sätze durch mit jeweils circa 30 Sekunden Pause zwischen den Sätzen. Üben Sie mindestens 2- bis 3-mal pro Woche.
Übung 2: Mobilisation der Großzehe

Ausgangsstellung: Sitz auf Boden oder Stuhl. Mit der einen Hand üben sie an Groß- und Kleinzehenballen einen sanften Druck auf den Vorfuß aus, bis ein harmonisches Quergewölbe entsteht. Mit der anderen Hand greifen Sie ballennah die Großzehe.
Durchführung: Drehen Sie nun vorsichtig die Großzehe nach innen und führen Sie sie gleichzeitig weg vom zweiten Strahl.
Wiederholen Sie diese Bewegung pro betroffenem Fuß 10-mal. Dies entspricht einem Satz. Führen Sie 2 bis 3 Sätze durch. Üben Sie mindestens 2- bis 3-mal pro Woche.
Übung 3: Großzehenkontakt


Ausgangsstellung: Sitz. Die Füße hängen frei und locker. Beide Fersen und Großzehenballen berühren sich.
Durchführung: Drücken Sie die Großzehnballen zusammen und versuchen Sie gleichzeitig die Lücke zwischen beiden Großzehen zu schließen. Die Zehen sollten locker hängen und nicht krallen.
Wiederholen Sie diese Bewegung 10-mal. Dies entspricht einem Satz. Führen Sie 2 bis 3 Sätze durch. Üben Sie mindestens 2- bis 3-mal pro Woche.
Übung 4: dynamische Kräftigung des langen Wadenbeinmuskels (M. peronaeus longus)
Hilfsmittel: Gymnastikband.
Ausgangsstellung: Sitzen Sie auf einem Stuhl. Das Knie des betroffenen Fußes ist leicht nach außen gekippt und sollte während der gesamten Übung in dieser Position bleiben. Der Fuß ist auf den Außenrand gekippt. Schieben Sie das Ende des Gymnastikbandes unter das äußere Drittel der Ferse und fixieren Sie es damit. Ziehen Sie dann eine Schlaufe um das Großzehengrundgelenk. Führen Sie das Band anschließend nach außen und halten und fixieren es dort.
Durchführung: Drücken Sie nun das Großzehengrundgelenk gegen den Widerstand des Gymnastikbandes zum Boden und achten Sie dabei darauf, dass das Knie nach außen gekippt bleibt und die Ferse nur außen belastet wird.
Wiederholen Sie die Übung pro betroffenem Fuß 10-mal. Dies entspricht einem Satz. Führen Sie 2–3 Sätze durch mit jeweils circa 30 Sekunden Pause zwischen den Sätzen. Üben Sie mindestens 2- bis 3-mal pro Woche.



Häufige Patientenfragen zum Hallux valgus an Dr. Thomas Schneider
Welche Hallux valgus-Schiene ist die beste?
Die wesentliche Funktion der Hallux valgus-Schiene besteht darin, die Großzehe wieder in ihre natürliche Position zu bringen oder zumindest ein Fortschreiten der Fehlstellung zu verhindern. Die Schiene kann dazu beitragen, die Schmerzen zu lindern, indem sie den Druck auf den betroffenen Bereich reduziert. Je nach Schweregrad eignen sich unterschiedliche Schienentypen. Im Anfangsstadium ist ggf. eine Nachtschiene ausreichend, während weiter fortgeschrittene Fehlstellungen eine dauerhafte Korrekturschiene erforderlich machen. Wir empfehlen, einen Fußspezialisten aufzusuchen, der Ihnen eine individuelle Behandlungsempfehlung, abhängig vom Schweregrad der Erkrankung und Ihrer Lebenssituation, geben kann.
Welche Schuhe sollte man bei Hallux valgus tragen?
Menschen mit Hallux valgus sollten auf Schuhe mit hohen Absätzen verzichten. Ein flacher und breiter Schuh, der dem großen Zeh genügend Platz bietet, ist die richtige Wahl. Zudem sollte er über einen verstellbaren Verschluss verfügen (z. B. Klettverschluss oder Schnürsenkel), um eine individuelle Anpassung zu ermöglichen. Die Sohle sollte weich und flexibel sein. In einigen Fällen können speziell angefertigte orthopädische Schuhe oder Einlagen sinnvoll sein. Wir empfehlen, Schuhe am Nachmittag zu kaufen, da die Füße im Laufe des Tages leicht anschwellen. Dies gewährleistet, dass die Schuhe auch bei maximaler Fußgröße bequem sind.
Welche Übungen helfen gegen einen Hallux valgus?
Gezielte Übungen können die Fußmuskulatur stärken und die Beweglichkeit der Zehen fördern. Dafür eignen sich z. B. Greifübungen, bei denen Sie mit den Zehen etwas vom Boden aufheben müssen (z. B. ein Handtuch). Achten Sie v. a. darauf, das Fußquergewölbe zu trainieren, um einem Spreizfuß entgegenzuwirken.
Wo verursacht ein Hallux valgus Schmerzen?
Das Abweichen des großen Zehs nach außen verändert die Belastungssituation im gesamten Fuß. Die Hauptlast, die zuvor von der Großzehe getragen wurde, verschiebt sich in Richtung der kleinen Zehen, die nicht dafür ausgelegt sind. Die so entstehenden Mittelfußschmerzen bezeichnet der Mediziner auch als Transfermetatarsalgie. Aber auch im Großzehengrundgelenk selbst oder an den Zehenballen können Schmerzen entstehen. Die veränderte Fußform verursacht Druckstellen im Schuh, die zudem schmerzhaft sein können.
Wie lange ist man nach einer Operation des Hallux valgus arbeitsunfähig?
Die Dauer der Arbeitsunfähigkeit nach einer Hallux-valgus-OP kann individuell stark variieren und richtet sich nach der Art der Operation, dem Gesundheitszustand des Patienten, dem Heilungsverlauf und der beruflichen Situation. Nach kleinen arthroskopischen Eingriffen können Sie oft bereits nach 1 bis 2 Wochen an den Arbeitsplatz zurückkehren. Bei einer Osteotomie beträgt die Krankschreibung in der Regel zwischen 3 und 6 Wochen.
Sollte man eine Operation des Hallux valgus im Sommer oder Winter machen?
Prinzipiell lassen sich Eingriffe zur Korrektur des Hallux valgus ganzjährig durchführen. Wann für Sie der beste Zeitpunkt der Operation ist, hängt von individuellen Wünschen und Vorstellungen ab. Für eine Operation im Sommer spricht, dass Sie nach dem Eingriff leichte Kleidung und luftige Schuhe tragen können. Außerdem haben viele Menschen im Sommer Urlaub, der für die Erholung nach der Operation genutzt werden kann. Im Winter verbringen wir mehr Zeit drinnen, was möglicherweise förderlich für die Genesung sein kann. Es fällt uns leichter, zur Ruhe zu kommen, da wir uns im Winter nicht so ausgiebig sportlich betätigen. Zudem sind wir besser vor Hitze geschützt, was die Gefahr von Schwellungen minimiert.
Welche Einlagen helfen bei Hallux valgus?
Bei den meisten Patienten liegt die Ursache des Hallux valgus in einem Spreizfuß begründet. Dieser lässt sich durch spezielle Einlagen, die das Fußquergewölbe unterstützen, verbessern. Einlagen lindern oft die Beschwerden, indem sie bestimmte Druckpunkte entlasten, Stöße beim Gehen dämpfen und den Fuß stabilisieren. Sie können die Fehlstellung der Großzehe jedoch nicht korrigieren. Bevor Sie Einlagen verwenden, sollte eine genaue Analyse des Fußes und der Gangart durch einen Orthopäden oder Podologen durchgeführt werden.
Welcher Arzt behandelt einen Hallux valgus?
Mit einem Hallux valgus sollten Sie einen Facharzt für Orthopädie aufsuchen, der im besten Fall auf Erkrankungen des Fußes spezialisiert ist. Bei einer schnellen Diagnose und einem schnellen Therapiebeginn liegen die Chancen höher, dass sich Ihr Hallux valgus konservativ behandeln lässt.
Gibt es einen Hallux valgus am kleinen Zeh?
Der Begriff "Hallux valgus" verweist spezifisch auf die Deformität des großen Zehs (Hallux). Es gibt jedoch eine vergleichbare Fehlstellung im kleinen Zeh, die als "Digitus quintus varus" oder auch Schneiderballen bezeichnet wird. Dabei weicht die Kleinzehe nach innen in Richtung Großzehe ab. Der Schneiderballen tritt allerdings wesentlich seltener auf als der Hallux valgus.
Literaturangaben
- Del Vecchio, J. J., & Ghioldi, M. E. (2020). Evolution of minimally invasive surgery in hallux valgus. Foot and Ankle Clinics, 25(1), 79–95.
- Engelhardt, P., Schuh, R., & Wanivenhaus, A. (2018). Operationen am Hallux und Metatarsale I. Orthopädische Fußchirurgie, 109–135. Springer, Berlin, Heidelberg.
- Fuhrmann, R. A., Rippel, W., & Traub, A. (2017). Konservative Therapie des Hallux-valgus-Syndroms. Der Orthopäde, 46(5), 395–401.
- Geigner, B. (2019). Konservative Therapie häufiger orthopädischer Fußkrankheiten. Orthopädie & Rheuma, 22(2), 43–47.
- Heinze, A. (2019). Hallux valgus. Arthritis und Rheuma, 39(03), 183–187.
- Holme, T. J., Sivaloganathan, S. S., Patel, B., & Kunasingam, K. (2020). Third-generation minimally invasive chevron Akin osteotomy for hallux valgus. Foot & Ankle International, 41(1), 50–56.
- Kuhn, J., & Alvi, F. (2020). Hallux Valgus.
- Menz, H. B., Roddy, E., Marshall, M., Thomas, M. J., Rathod, T., Peat, G. M., & Croft, P. R. (2016). Epidemiology of shoe wearing patterns over time in older women: associations with foot pain and hallux valgus. Journals of Gerontology Series A: Biomedical Sciences and Medical Sciences, 71(12), 1682–1687.
- Menz, H. B., Marshall, M., Thomas, M. J., Rathod‐Mistry, T., Peat, G. M., & Roddy, E. (2023). Incidence and progression of hallux valgus: a prospective cohort study. Arthritis Care & Research, 75(1), 166–173.
- Munteanu, S. E., Menz, H. B., Wark, J. D., Christie, J. J., Scurrah, K. J., Bui, M., ... & Wluka, A. E. (2017). Hallux valgus, by nature or nurture? A twin study. Arthritis care & research, 69(9), 1421–1428.
- Niethard, F. U., Pfeil, J. & Biberthaler, P. (2009). Orthopädie und Unfallchirurgie. Stuttgart: Thieme.
- Putz, C., Hagmann, S., & Dreher, T. (2018). Bildgebende Diagnostik des Fußes. Der Radiologe, 58(5), 400–405.
- Schievink, F. (2017). Orthopädieschuhtechnische Versorgung mit Einlagen und orthopädischen Schuhzurichtungen. Fuß & Sprunggelenk, 15(4), 217–224.
- Stukenborg-Colsman, C. (2017). Hallux valgus. Der Orthopäde, 46(5), 387–387.
- Stukenborg-Colsman, C., Claaßen, L., Ettinger, S., Yao, D., Lerch, M., & Plaaß, C. (2017). Distale Korrekturosteotomie zur Behandlung des Hallux valgus (Chevron-Osteotomie). Der Orthopäde, 46(5), 402–407.
- Thomas, M. (2017). Die erworbene Hallux varus Deformität. Fuß & Sprunggelenk, 15(3), 181–189.
- Torkki, M, Malmivaara, A, Seitsalo, S, Hoikka, V, Laippala, P,& Paavolainen, P (2001). Surgery vs orthosis vs watchful waiting for hallux valgus: a randomized controlled trial. JAMA, 285(3), 2474–2480.
- Waizy, H., Bouillon, B., Stukenborg-Colsman, C., Claaßen, L., Danniilidis, K., Plaaß, C., & Arbab, D. (2017). Weichteiltechniken in der Hallux-valgus-Chirurgie. Der Orthopäde, 46(5), 434–439.
- Zirngibl, B., Grifka, J., Baier, C., & Götz, J. (2017). Hallux valgus. Der Orthopäde, 46(3), 283–296.