- Was ist ein Hohlfuß?
- Welche Konsequenzen hat der Hohlfuß für Fuß und Sprunggelenk?
- Auswirkungen und Symptome des Hohlfußes
- Ursachen des Hohlfußes
- Diagnose und Untersuchung des Hohlfußes
- Konservative Therapie des Hohlfußes
- OP-Indikation: Wann muss ein Hohlfuß operiert werden?
- OP-Methoden: Wie wird ein Hohlfuß operiert?

Der Hohlfuß (Pes excavatus) ist an einer zu starken Wölbung des Fußlängsgewölbes erkennbar. Der Fuß berührt nur mit Fersen und Fußballen den Boden, die Fußsohle dazwischen liegt nicht auf. Im Gegensatz zum Senkfuß oder Plattfuß gleicht der Hohlfuß in der Seitenansicht einem Bogen. Der Fuß ist durch die Fehlstellung des Fußgewölbes stark verkürzt.
Es werden verschiedene Formen des Hohlfußes beschrieben: Abhängig davon, ob die Gewichtsverteilung auf dem Fuß beim Gehen eher hinten oder vorne liegt, werden z. B. Fersenhohlfuß oder Hackenhohlfuß voneinander unterschieden.
Etwa 10% der Bevölkerung haben einen Hohlfuß, der meist ohne Folgen bleibt. In manchen Fällen beeinträchtigt der Hohlfuß jedoch die benachbarten Fußgelenke und das Sprunggelenk. Dies führt zu einer krankhaften Veränderung des Gangbildes, die behandlungsbedürftig sein kann.
In den meisten Fällen entsteht der Hohlfuß durch eine Veränderung der Muskelspannung von Fuß und Wadenmuskulatur. Er entwickelt sich also im Laufe des Lebens und tritt erstmalig im Laufe des Erwachsenenalters auf. In einigen Fällen ist der Hohlfuß auch angeboren. Durch die starke Verkürzung ist der Hohlfuß unelastisch und dämpft beim Gehen weniger als der normale Fuß. Fußschmerzen, Gangstörungen, schmerzhafte Druckstellen am Fuß, Hühneraugen und Hornhautschwielen treten bei Hohlfußpatienten deutlicher häufiger auf.
Was ist ein Hohlfuß (pes excavatus)?
Der Hohlfuß (lat. Pes cavus oder Pes excavatus) beschreibt eine bestimmte Form oder Morphologie des Fußes. Der Hohlfuß hat einen besonders hohen Spann, der sich auch dann nicht absenkt, wenn der Fuß beim Gehen das gesamte Körpergewicht trägt. Es gibt mehr als eine Ursache für den Hohlfuß, so dass eine einheitliche Definition schwierig ist.
Der Hohlfuß ist, ähnlich wie der entgegengesetzte Typus " Knick-Senkfuß", eine Sammelbezeichnung für einen bestimmten Formtypus des Fußes, der häufig nicht mit Erkrankungen, Fußschmerzen oder anderen Gangbeschwerden verbunden ist.
Externer Inhalt von youtube.com
Folgen der Hohlfußfehlstellung für die Gesundheit der Bewegungsorgane
Der Hohlfuß stellt in vielen Fällen eine krankhafte Fußveränderung dar. Die benachbarten Gelenke an Vorfuß, Rückfuß und Sprunggelenk versuchen diese Fehlstellung zu kompensieren. Es kommt zu einer Überlastung, die mit ernsten Folgen verbunden sein kann.

Krallenzehen und Klauenzehen verursacht durch Hohlfußfehlstellung
Im Verlauf der Hohlfußerkrankung können durch eine Schwächung der intrinsischen Fußmuskeln (Muskeln, die im Fuß selber lokalisiert sind) Krallen- bzw. Klauenzehen entstehen. Zusätzlich schwächt der Hohlfuß die Fußheberfunktion der Peronealsehnen, welche das obere und untere Sprunggelenk stabilisieren. Der Körper versucht diese Schwäche durch Aktivierung der über den Fußrücken verlaufenden Zehenstreckersehnen auszugleichen. Sie kompensieren die fehlende Fußhebung.
Da die Zehenstrecker durch diese Überlastung überfordert werden, kommt es zu einer Zehenfehlstellung: Krallenzehen oder Klauenzehen sind daher manchmal die direkte Folge eines Hohlfußes. Auf der Oberseite der Krallenzehen entstehen auf Grund der permanenten Kompression durch den Schuh schmerzhafte Druckstellen oder Schwielen.
Der Hohlfuß belastet den Vorfuß: Vorfußschmerz (Metatarsalgie) ist die Folge
Der Vorfuß verläuft bei Hohlfußstellung im Verhältnis zum Rückfuß steiler zum Fußboden. Er ist "plantar flektiert", also nach unten geneigt. Dadurch wird der Vorfuß stärker belastet. Die Distanz zwischen Fersenbein und Mittelfußköpfchen ist durch den hoch gewölbten Spann deutlich verringert. Ein Fuß mit Hohlfußstellung ist daher insgesamt kürzer.
Als Folge können durch die Belastung des Vorfußes Krallenzehen oder Hammerzehen entstehen.
Eine weitere Konsequenz sind Mittelfußschmerzen (Metatarsalgie): Die stark belasteten Zehenköpfchen können eine Bursitis (Schleimbeutelentzündung) ausbilden. Man spricht auch von einer intermetatarsalen Bursitis, also einer Schleimbeutelentzündung zwischen den Mittelfußknochen. Unter den Zehenköpfchen bilden sich Hühneraugen (Hornhaut und Druckschwielen).
Fersenschmerz und Haglundferse als Folge des Hohlfußes
Der Hohlfuß kann zu einem besonders stark nach hinten hervortretenden Fersenbein führen. In diesem Fall ist der Schuhdruck auf das Fersenbein besonders hoch: Eine schmerzhafte Haglundferse kann die Folge sein. Bei der Haglundferse werden durch den erhöhten mechanischen Druck Schleimbeutel um die Achillessehne gereizt. Auch die Achillessehne selbst und der darunterliegende Knochen werden schmerzhaft gereizt.

Varusstellung des Rückfußes: Das Fersenbein kippt nach innen

Die Verkippung des Fersenbeins nach innen führt zu einer Überlastung. Häufig schädigt dies auch die Außenbänder: Weil sich die Beinachse nach außen verlagert, müssen die Außenbänder viel mehr Last tragen.
Zudem kann diese Steilstellung der Ferse zu Reizungen der Weichteile führen. Hier können Schleimbeutelentzündungen im Bereich des Achillessehnenansatzes entstehen. Überbeine (Exostosen) an der Ferse, auch Haglundexostosen genannt, können daraus resultieren. Durch die Fehlstellung des Rückfußes beim Hohlfuß entstehen an der Ferse besonders häufig chronische Schmerzen.
Sprunggelenksimpingement und Sprunggelenksarthrose
Der beim Hohlfuß sehr hochstehende Fußrist (Fußspann) schränkt die Beweglichkeit des Sprunggelenks ein. Vor allem im vorderen Bereich des Sprunggelenks kann der Hohlfuß zu einem Impingement, also einer Bewegungsblockade im Sprunggelenk führen. Dies kann sich zu einer Sprunggelenksarthrose entwickeln.
Ein weiterer schädigender Einfluss auf das Sprunggelenk entsteht durch die Einwärtskippung des Fersenbeines. Der Talus (Sprungbein), der auf dem Fersenbein aufsitzt, steht dann nicht mehr gerade in der Gelenkgabel des Sprunggelenks. Dadurch entstehen knorpelschädigende Überlastungen, die langfristig zur Sprunggelenksarthrose führen.
Hohlfuß und Plantarfasziitis
Durch die erhöhte Belastung der Ferse am Boden aufgrund des Hohlfußes können Reizungen der Plantarfaszie, einer Struktur an der Fußsohle, vermehrt auftreten. Die Folge der Fehlstellung sind Schwächen der kleinen Fußmuskeln und eine gesteigerte Spannung über der Plantarfaszie.

Schäden an der Peronealsehne
Häufig verursacht eine Hohlfußfehlstellung Schäden an den äußeren Sehnen, den sog. Peronealsehnen. Die Peronealsehnen kontrollieren die Fußposition beim Gehen und sind für das Absenken des Fußes (Plantarflexion) sowie für die horizontale Außenrotation des Fußes zuständig. Daher finden sich in jedem Bein zwei solcher Sehnen.
Chronische Entzündungen der Sehnen sind häufig auf den Hohlfuß zurückzuführen. Dabei können auch Teilschäden resultieren. Diese haben wegen der unterschiedlichen Funktion der beiden Peronealmuskeln (Wadenmuskeln), welche durch die Sehnen mit dem Fuß verbunden werden, sehr weitreichende Folgen. Schädigungen der Peronealsehnen führen daher zur Störung der Fußmotorik.

Symptome des Hohlfußes
Vom Hohlfuß betroffene Patienten bemerken ihr überhöhtes Fußlängsgewölbe und damit die typisch veränderte Form des Fußes ganz direkt beim Kauf von Schuhen oder Tragen von Konfektionsschuhen. Die Höhe des Fußrückens lässt das Tragen von Modeschuhen häufig nicht mehr zu. Der hohe Rist erlaubt nur das Tragen von flexiblen Schnürschuhen.
Symptome des Hohlfußes:
- Spreizfuß, Hallux valgus, Krallenzehen, Hammerzehen,
- Varusfehlstellung (O-Fehlstellung) des Fersenbeins
- Kontraktheit und schmerzhafte Reizung der Plantarsehne (unterer Fersensporn)
- Erhöhte Belastung und Schmerzen der Zehen-Köpfchen (“Transfermetatarsalgie”)
- Schwielenbildung ("Hühneraugen") unter den Zehenköpfchen
- Oberer Fersenschmerz und Haglund-Exostose
Außenrandbelastung und außen abgelaufene Schuhsohlen
Je nach Art der Hohlfußstellung können spezifische Tragemuster der Schuhsohle entstehen: Hohlfüße mit Rückfußfehlstellung führen zu einer vermehrten Belastung des Fußaußenrandes und damit zu einer vermehrten Abnutzung der Schuhsohle außen.
Meist beschwerdefreier Hohlfuß bei jungen Patienten
Patienten bemerken den Hohlfuß meist nur durch die Schuhkonflikte. Darüber hinaus sind sie, vor allem in jungen Jahren, weitgehend beschwerdefrei.
Teilweise stellen sich Patienten nicht wegen des Hohlfußes, sondern wegen Folgebeschwerden am Vor- und Rückfuß ( Fuß- und Fersenschmerz) beim Arzt vor.
Schmerzen an der Fußaußenseite
Häufig berichten Patienten mit Hohlfuß über Schmerzen an der äußeren Kante des Fußes. Durch die geänderte Gewichtsverteilung wird die Außenseite des Fußes besonders stark belastet. Das kann so weit gehen, dass manche Patienten eine Überlastungsfraktur Überlastungsfraktur am Fuß bekommen.
Spreizfuß und Belastung des Vorfußes
Weitere Beschwerden durch den Hohlfuß betreffen häufig den Vorfuß. Durch die verstärkte Verdrehung des Rückfußes gegen den Vorfuß wird dieser besonders stark belastet. Die Patienten beobachten zudem Hornhaut bzw. Schwielenbildung unter den Zehenköpfchen.
Gangunsicherheit, Schwäche und Schmerzen beim Gehen
Patienten, deren Hohlfuß durch eine neuromuskuläre Erkrankung verursacht wurde, berichten häufig von schneller Ermüdbarkeit und Schwäche beim Gehen. Die verkleinerte Auflagefläche und die häufig nach innen geknickte Ferse erschweren die Gangkoordination zusätzlich. Der Patient mit Hohlfuß ist dann nicht mehr so gut auf den Beinen.
Verdrehung des Unterschenkels gegenüber den Fuß

Je nach Hohlfußtyp können Fehlstellungen des Unterschenkels resultieren. Die Drehfehlstellung des Unterschenkels folgt aus der Drehung des Sprungbeines in der Sprunggelenksgabel. Dieses zeigt wegen der Fehlstellung des Fersenbeins nicht mehr nach vorne, sondern ist im Gelenk seitlich rotiert. Oft bewirkt die Verdrehung im Unterschenkel ein deutlich verändertes Gangmuster.
Wenn nach wiederholtem Umknicken nach außen Schäden an den Außenbändern hinzukommen, können sich auf der Grundlage eines Hohlfußes die Drehfehlstellungen des Unterschenkels noch verstärken. Da die Kraftrichtungen der Muskeln und Sehnen nicht mehr natürlich sind, entstehen Koordinationsstörungen, leichte Ermüdbarkeit und weitere Schädigungen von Muskeln und Sehnen.
Rückenschmerzen
Das beim Hohlfuß veränderte Gangbild ist nicht nur im Bereich des Fußes und Unterschenkels schmerzhaft. Durch einen einseitigen Hohlfuß verändert sich die Belastung der Wirbelsäule. Die reduzierte Dämpfung bei hochstehendem Fußgewölbe belastet die Bandscheiben. Daher sind auch Rückenschmerzen häufige Folge einer Hohlfußfehlstellung.
Ursachen des Hohlfußes
In einigen Fällen ist der Hohlfuß angeboren. Weitaus häufiger entwickelt er sich ab dem frühen Erwachsenenalter, meist aufgrund einer Funktionsstörung der Muskulatur oder des Nervensystems. Etwa 70 % aller Fälle gehen auf neurogene (neurologische) Ursachen zurück. Dabei liegt eine veränderte Nervenansteuerung der für die Fußform wichtigen intrinsischen und extrinsischen Fußmuskulatur vor. Darüber hinaus kann der Hohlfuß verschiedenste Ursachen aufweisen. Es gelingt nicht immer, die spezifischen Ursachen zu ermitteln. Folgende Ursachen sind bekannt:
- Angeboren: findet sich relativ selten.
- Verletzung: Fehlstellungen nach einer Fraktur, z. B. des Talus oder Fersenbeins.
- Klumpfußbehandlung: Spätfolgen aus der Kindheit.
- Neurologisch: Erkrankungen von Muskulatur oder Nervensystem, wie z. B. Kinderlähmung (Poliomyelitis).
Nur etwa 20 % aller Fälle sind “idiopathische” Hohlfüße: Sie weisen keine bestimmte Ursache auf und verschlimmern sich nicht. Daher sind sie in der Regel unproblematisch. Für die Behandlungsentscheidung und die Prognose ist es jedoch wichtig, die Krankheitsursache des Hohlfußes in jedem bestimmten Fall herauszufinden.
Das Fußgewölbe wird definiert durch ein dynamisches Zusammenwirken von verschiedenen extrinsischen (außerhalb des Fußes, z. B. an der Wade lokalisierten) und intrinsischen (direkt am Fuß befindlichen) Fußmuskeln.
Enge Schuhe mit hohen Absätzen belasten nicht nur den Vorfuß, wodurch sie die Bildung des Spreizfußes begünstigen. Sie lassen auch viele der beim normalen Abrollen aktiven intrinsischen Muskeln verkümmern (Atrophie), sodass sie nicht mehr zur Stabilisierung des Fußlängsgewölbes beitragen können. Die den Fuß steuernden Sehnen verkürzen sich im Laufe des Lebens. Ungeeignete Schuhe begünstigen diese Entwicklung, sodass der Fuß seine Form verliert. Als gute Prävention gegen die Bildung von Hohl- und Spreizfuß gilt das Tragen von weiten und bequemen Schuhen und häufiges Barfußlaufen auf natürlichen (nicht harten und glatten) Oberflächen.
Einfluss des Muskelzuges auf das Fußlängsgewölbe: Senkfuß bzw. Plattfuß und Hohlfuß
Der Zug extrinsischer Fußmuskeln aus der Wade richtet das Fußgewölbe auf und gibt dem Fuß seine Form.
Das Fußgewölbe ist kein statisches Gebilde, das lediglich durch eine Anordnung der Knochen passiv stabil gehalten wird. Es ist ein dynamisches Gebilde: Der Zug einiger Sehnen, deren Muskelansätze im Unterschenkel liegen, sorgen für die dauerhafte Aufrichtung des Fußgewölbes.
Jede Erkrankung von Muskeln und Sehnen beeinflusst die Form des Fußgewölbes. Wir kennen diese Ätiologie (Krankheitsursache) bereits vom Senkfuß: Hier ist häufig eine Degeneration der Tibialis-posterior-Sehne, also der Sehne, die vom hinteren Schienbeinmuskel kommt, verantwortlich, dass der Muskelzug nicht mehr wirksam in das Fußgewölbe übertragen werden kann.
Für den Hohlfuß ist eine andere Sehne verantwortlich: Wenn die Peronaeus-longus-Sehne einen stärkeren Zug ausübt als die Tibialis-anterior-Sehne, wird der erste Zehenstrahl nach unten gedrückt und das Fußlängsgewölbe hebt sich an.
Wenn ein Hallux valgus (Schiefstand des großen Zehs) am Vorfuß besteht und dazu am Rückfuß eine Varusfehlstellung (O-Bein) des Fersenbeins auftritt, erhöht sich der Stress auf die Außenbänder des Sprunggelenks. Dadurch kann eine dauerhafte Instabilität der Bänder und des Sprunggelenks entstehen.
Die Behandlung des Hohlfußes hängt von der Schwere der Deformierung ab. Einen flexiblen Hohlfuß behandelt man mit Stufeneinlagen. Der rigide Hohlfuß wird durch eine Operation und möglicherweise eine knöcherne Umstellungsosteotomie des Mittelfußes korrigiert. Unterstützend tragen Fußgymnastik und bequemes Schuhwerk zur Besserung der Beschwerden bei.
Neuromuskuläre Erkrankungen als Ursache des Hohlfußes
Vermutlich bestehen bei etwa zwei Dritteln aller erworbenen Hohlfußerkrankungen neurogene, also aus dem Nervensystem stammende, Ursachen. Besonders voranschreitende Muskelerkrankungen sind wesentliche Faktoren bei der Diagnose und Behandlung des Hohlfußes.
Es gibt ganz unterschiedliche Erkrankungen des Nervensystems oder der Muskulatur, die zu einer Hohlfußfehlstellung führen können: Dazu gehören z. B. eine ganze Reihe neurologischer Erkrankungen:
- CMT-Erkrankung (Charcot-Marie-Tooth-Erkrankung, Degeneration der Nervenbahnen).
- Polyneuritis (Nervenentzündung)
- Poliomyelitis (Kinderlähmung)
- Folgen von Spina bifida bei der Geburt (Entwicklungsstörung des Rückenmarks)
- Lähmungen, die durch Veränderungen im Gehirn verursacht werden.
All diese Erkrankungen können sich auf das Muskelgleichgewicht auswirken, das letztlich Form und Ausprägung des Fußgewölbes bestimmt. So sollte ein Patient, der plötzlich auf einer Seite eine starke Hohlfußfehlstellung entwickelt, zeitnah auf eine neurologische Ursache oder einen Tumor im Rückenmark untersucht werden.
Anatomie und Formen des Hohlfußes

Der starke Muskelzug der tiefliegenden Wadenmuskulatur wird über Sehnen an das Fußgewölbe übertragen. So entsteht das Fußgewölbe. Wenn diese Muskelkräfte nicht im Gleichgewicht sind, führt das zu einer Verdrehung des Fußes um die dargestellten Längsachsen am Fuß. Die Lage der Sehnen (rot) zu den Drehachsen verdeutlichen die Dysbalancen und Ihre resultierenden Folgeschäden und Fehlformen. Das Spiralmodell des Fußes zeigt anschaulich, wie die Rückfußachse und Ferse gegenüber der Vorfußachse im Raum stehen.

Die Verdrehung des Vorfußes gegenüber dem Rückfuß ist beim Hohlfuß deutlich verstärkt. Das Spiralmodell des Fußes zeigt anschaulich wie die Rückfußachse und Ferse gegenüber der Vorfußachse im Raum stehen.
Je nach Scheitelpunkt der Fehlstellung treten unterschiedliche Auswirkungen auf den Bewegungsapparat und damit die alltägliche Belastung des Fußes auf.

Um den Hohlfuß in verschiedene Formen einteilen zu können, betrachtet man die Fehlstellung in den drei Raumebenen (Längsachse, Querachse, Pfeilachse). Außerdem ist die Lage des Scheitelpunktes im Spann des Fußes ausschlaggebend. Als letztes Kriterium zur Beschreibung des Hohlfußes beachten wir die mögliche Beteiligung der von Nerven gesteuerten Muskeln. Neben dem Ausfall eines Glieds der Funktionskette aus Nerven, Muskeln oder Sehnen ist es ebenfalls möglich, dass mehrere Glieder ausfallen. Es ist die anspruchsvolle Aufgabe der ärztlichen Differentialdiagnose, die genaue Ursache zu finden.
Untersuchung und Diagnose des Hohlfußes

In unserer Praxis sehen wir ein breites Spektrum an Hohlfußfehlstellungen. Wir beginnen die Aufarbeitung des individuellen Hohlfußes immer mit einer vollständigen Krankengeschichte: Unfälle, Frakturen, Stoffwechselerkrankungen und individuelle Beschwerden tragen zum Gesamtbild bei.
Durch neuromuskuläre Erkrankungen verursachte Hohlfußfehlstellungen können häufig Hinweise auf erbliche Ursachen aus der Familiengeschichte geben.
Plötzlich auftretende einseitige Hohlfußfehlstellungen lassen die Ursache im Bereich des Rückenmarks vermuten. In diesen Fällen ist eine MRT-Untersuchung des Rückenmarks nötig.
Externer Inhalt von youtube.com
Welche Arten der Hohlfußfehlstellung beobachten wir?
Es gibt ein ganzes Spektrum von Formvarianten des normalen Fußes, die meist keinen unmittelbaren Krankheitswert für die betroffenen Patienten haben:
Hochgesprengter Fuß:
Der Fuß mit hohem Spann ist eher eine Variante des normalen Fußes, als ein krankheitsauslösender Hohlfuß. Er macht in den meisten Fällen keinerlei Beschwerden. Lediglich das Schnüren von Schuhen kann durch den hohen Spann erschwert sein.
Ballenhohlfuß:
Beim Ballenhohlfuß ist vor allem der 1. Zehenstrahl sehr steil gestellt. Der Druck beim Gehen wird besonders stark auf den Ballen des Großen Zehen übertragen. Der Vorfuß hat ähnliche Beschwerden wie beim Spreizfuß: Druckstellen, Schwielen an der Fußsohle und Mittelfußschmerzen (Metatarsalgie). Die Zehen sind beim Ballenhohlfuß häufig verkrümmt (Klauenhohlfuß).
Hackenhohlfuß:
Beim Hackenhohlfuß ist das Fersenbein besonders steil gestellt. Der Vorfuß trägt beim Hackenhohlfuß besonders wenig Last. Die Wadenmuskulatur ist deswegen typischerweise stark zurückgebildet.
Ganguntersuchung

Die Untersuchung beginnt mit der Beobachtung des Gangbildes. Eine videogestützte orthopädische Bewegungs- und Ganganalyse kann hierfür sehr hilfreich sein. Dabei beachten wir besonders die Position des Rückflusses. Wir evaluieren die Varusfehlstellung des Fersenbeins (O-Stellung), also das Abknicken des Fersenbeins nach innen. Wir untersuchen die Funktion der verschiedenen Sehnen, die vom Unterschenkel in den Fuß hinein verlaufen. Die Auswertung der Schuhsohle ist ebenfalls wichtig: Eine einseitige Abnutzung beweist eine veränderte Gewichtsverteilung.
In Folge der Hohlfußfehlstellung haben die betroffenen Patienten ein häufig deutlich verändertes Gangbild. Weil sich die Wadenmuskulatur häufig zurückgebildet hat, ist die normale Koordination des Fußes verändert. Die Betroffenen mit ausgeprägtem Hohlfuß rollen ihren Fuß beim Gehen nicht mehr ab, sondern bekommen ein eher stampfendes oder staksiges Gangbild. Zugleich ist die Schrittlänge verkürzt. Der Fuß hat insgesamt eine gestauchte Erscheinung.

Zusätzlich untersuchen wir die Beweglichkeit des oberen Sprunggelenks, des unteren Sprunggelenks und des Vorfußes. Diese kann in beiden Gelenken stark eingeschränkt sein.Das Spektrum dabei ist groß: Von kaum merklichen Einschränkungen bis hin zu schweren Bewegungsstörungen und Impingement des Oberen Sprunggelenks ((Blockaden des OSG) können wir alles beobachten.
Wenn nur eine Seite des Hohlfußes betroffen ist, sehen wir ein schaukelndes Gangbild. Einer der Füße rollt normal ab, der andere zeigt eine verkürzte Schrittlänge und ein verändertes Abrollen.
Bei beidseitigem Hohlfuß ist die Schrittlänge verkürzt. Das Gehen wird unsicherer, weil die Auftrittsfläche geringer ist. Die Rückbildung (Atrophie) der Wadenmuskeln beeinträchtigt häufig die Muskelkoordination.
Podometrische Fußabdruckmessung
Den Fußabdruck können wir in der computergestützten Podometrie – der Fußabdruckmessung auf einer Sensorplatte – genau aufzeichnen und auswerten. Je nach Art des Hohlfußes sehen wir eine verstärkte Belastung auf der Außenkante des Fußes. Beim Hackenhohlfuß ist die Ferse stark, der Vorfuß dagegen kaum belastet. Insgesamt zeigt der Fußabdruck des Hohlfußes nur Ferse und Vorfuß: Die Fußsohle ist nur an vergleichsweise kleinen Flächen belastet.

EMG (Elektromyographie): Messung der Muskelaktivität
Die Elektromyografie (EMG) misst mithilfe von Hautelektroden die relative Aktivierung der an Fußstellung und Bewegung beteiligten Muskeln. Vor allem bei der Diagnose der neuromuskulären Charcot-Marie-Tooth- Erkrankung (CMT) ist das eine wichtige Untersuchung.

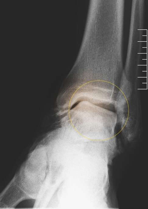
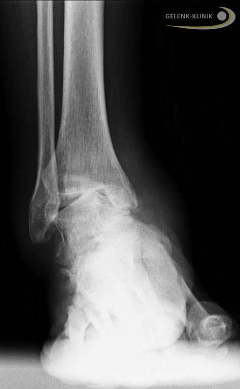
Bildgebende Diagnostik: Röntgen, DVT, MRT
Auf Röntgenbilder finden wir eindeutige Hinweise auf degenerative Veränderungen von Sprunggelenk und Fußgelenken. Unter Belastung – also im Stehen – können wir zudem eine Fehlstellung des Fersenbeines in mehreren Ebenen auf den Bildern zeigen. Des Weiteren untersuchen wir die Vorfußstellung im Verhältnis zum Rückfuß.
Das MRT-Bild (Magnetresonanztomografie) zeigt uns den Status von Sehnen, Bändern und Weichteilgeweben.
Mithilfe des DVT (digitale Volumentomografie) können wir einen Einblick in die genauen räumlichen Darstellungen der knöchernen Verhältnisse der beteiligten Fußknochen bekommen.

Konservative Versorgung des Hohlfußes: Orthopädische Schuhe und Einlagen
Die konservative Versorgung des Hohlfußes beruht vor allem auf Schuhzurichtungen und Einlagen. Die Einlagenversorgung beim Hohlfuß ist schwieriger als beim Senkfuß oder Plattfuß, wo man vor allem das Fußlängsgewölbe stützen und erhöhen will.
Einlagen sollen die spezifischen Beschwerden von Patienten mit Hohlfuß ausgleichen. Das konkrete Therapieziel der konservativen Einlagentherapie des Hohlfußes kann von Fall zu Fall sehr unterschiedlich sein:
- Ausgleich und Reduktion des Hochstandes des Fußlängsgewölbes.
- Entlastung und Polsterung des Vorfußes beim Ballenhohlfuß.
- Dehnung und Abflachung des Fußlängsgewölbes zur Vergrößerung der Abrollfläche des Fußes ("Aufspreizung" des Hohlfußes).
- Ausgleich der meist innengerichteten Fersenfehlstellung (Varusstellung des Fersenbeines)
- Polsterung im Bereich des Spanns, um Druckstellen zu vermeiden.
- Beweglichkeit des Sprunggelenks verbessern.
- Kontrolle von Hautschäden, Druckschwielen und Druckstellen des Fußes und der Zehen durch Polster.
Die Hohlfußeinlagen müssen in fast allen Fällen individuell angefertigt werden. Um dies zu ermöglichen, wird die Fußform mit Hilfe von Abdrücken ausgemessen und die Einlage nach dem individuellen Gipsmodell des Fußes erstellt.
Wenn die Hohlfußdeformität nicht fortschreitet, also stabil ist, kann der Hohlfuß häufig über längere Zeit konservativ behandelt werden. Wenn das Gangbild und die Schmerzsituation gut kontrolliert werden können, ist die Schuhversorgung des Hohlfußes erfolgreich.
Zusätzlich bieten wir eine physiotherapeutische Begleitung der Hohlfußtherapie durch ein interdisziplinäres Team aus Physiotherapeuten und Orthopäden an.
Mit Hilfe von speziellen Dehnübungen verbessern wir die die Funktion der Fußgewölbe. Physiotherapie zudem die Beweglichkeit sowie die Umknicksicherheit des Sprunggelenks verbessern.
Allerdings hat die konservative Therapie Grenzen. Wenn sich die Fehlstellung verschlimmert und starke Schmerzen auftreten, muss über eine Operation des Hohlfußes nachgedacht werden.
Insbesondere bei den zu erwartenden Folgeschäden des Hohlfußes an benachbarten Gelenken ist immer eine ganzheitliche Betrachtung notwendig. Auch wenn der Hohlfuß häufig abwartend und konservativ therapiert wird, ist eine Prognose über mögliche Folgeschäden an Rückfuß, Vorfuß und Sprunggelenk erforderlich Nur so kann die Leistungsfähigkeit und Beweglichkeit unserer Patienten auch in Zukunft erhalten werden.
Wann wird ein Hohlfuß operiert?
Erst wenn die konservative Therapie an ihre Grenzen gerät, sollte über eine Operation nachgedacht werden. Folgende Indikationen sprechen für eine Operation:
- Der Hohlfuß schreitet schnell voran, er ist also progredient.
- Fußsohlen und die Haut des Hohlfußes weisen Verletzungen und wunde Stellen auf, die nicht mehr beherrschbar sind.
- Gangunsicherheit und Schmerzen nehmen zu.
- Das Abknicken des Fußes nach außen belastet die Außenbänder zu stark.
Wenn der Fuß also mit konservativen Mitteln nicht mehr schmerzfrei und stabil ist, müssen wir an eine Operation des Hohlfußes denken.
Eine Operation ist immer nur komplikationsfrei möglich, wenn der Fuß gut durchblutet ist. Im Zweifel muss ein Gefäßspezialist die Durchblutung vor der OP-Planung untersuchen.
Planung einer Hohlfußoperation?
Das Ziel der Hohlfußoperation ist ein stabiler, schmerzfreier Fuß, der für den Patienten im Alltag gut belastbar ist. Daneben wollen wir auch für die absehbare Zukunft die noch beweglichen Gelenke am Fuß und Sprunggelenk erhalten. Hier steht häufig das wichtige obere Sprunggelenk im Vordergrund, das bei Hohlfuß arthrosegefährdet ist.
Der Hohlfuß tritt bei jedem Patienten in unterschiedlicher Form und Intensität auf. Daher muss für jeden Einzelfall ein genaues Verständnis des individuellen Hohlfußes entwickelt werden. Die Analyse der Weichteilsituation, z. B. mögliche Sehnenkontrakturen, Sehnenschäden oder Muskelschwäche, sind ein wichtiger Bestandteil der funktionellen Diagnose. Knochenstellung und Stellung einzelner Gelenke sowie der Grad der Arthrose in den Fußgelenken und sonstige Folgeschäden müssen am Anfang der Behandlung ebenfalls analysiert werden.
Folgende Faktoren spielen bei der Entscheidung über die operative Behandlung eine Rolle:
- Grad der Fehlstellung
- Kontraktheit und Schäden der Sehnen in der Fehlstellung
- Krankheitsursachen (Ätiologien)
- Begleitschäden an Vorfuß, Sprunggelenk und Fersenbein
- Leistungsfähigkeit der Muskulatur
Die bei Hohlfuß im Einzelfall tatsächlich gewählten operativen Eingriffe sind also abhängig von der Ausprägung, dem individuellen Beschwerdebild und dem Stadium. Einen einheitlichen Standard für die Hohlfuß-Operation gibt es also nicht.
Dabei wollen wir mit Hilfe der Diagnostik auch eine Prognose über die zukünftige Entwicklung des Hohlfußes entwickeln. Nur durch eine Prognose können wir möglichst viel der Beweglichkeit erhalten. Wir wollen nach Möglichkeit auch gelenkerhaltend, und erst in zweiter Linie gelenkversteifend therapieren. So ist bei der Behandlung des Hohlfußes häufig begleitend die Entwicklung einer Sprunggelenksarthrose zu berücksichtigen.
Die Erhaltung der Beweglichkeit des oberen Sprunggelenks ist sehr wichtig. Um dieses Ziel zu erreichen, kann es notwendig sein, die Beweglichkeit anderer Fußgelenke zu opfern und eine Versteifung durchzuführen. Diese Versteifung z.B. des Gelenks zwischen Sprungbein und Fersenbein (talocalcaneares Gelenk) kann die Beinachse im Fuß stabilisieren und damit die Voraussetzung für eine verschleißfreie Funktion des Sprunggelenks schaffen.
Die angewandten Operationen werden sinnvollerweise auch nach dem Alter der Betroffenen differenziert. Insbesondere bei jungen Menschen sind Weichteileingriffe, isoliert durchgeführt oder in Kombination mit Knocheneingriffen, besonders effektiv. Dabei werden die beteiligten Fußgelenke erhalten. Die Korrektur erfolgt lediglich über die operative Änderung des Sehnenzuges. Dieses Ziel kann durch Weichteileingriffe und Sehnentransplantationen erreicht werden.
Bei älteren Patienten gelten häufig andere Kriterien. Oftmals sind Knocheneingriffe notwendig. Die alleinige Behandlung durch einen Sehnentransfer, wie er bei Kindern und Jugendlichen durchgeführt wird, ist nicht mehr hinreichend, sondern wird lediglich als Begleiteingriff durchgeführt. Diese knöchernen Eingriffe sind für die Haltbarkeit einer möglichen Sprunggelenksprothese, aber auch für die Belastungsfähigkeit des Fußes nach einer Sprunggelenksarthrodese (Versteifung) sehr wichtig.
Literaturangaben
- Berciano J, Gallardo E, García A, Pelayo-Negro AL, Infante J, Combarros O. New insights into the pathophysiology of pes cavus in Charcot-Marie-Tooth disease type 1A duplication. J Neurol. 2011 Sep. 258(9):1594-602.
- Mann DC, Hsu JD. Triple arthrodesis in the treatment of fixed cavovarus deformity in adolescent patients with Charcot-Marie-Tooth disease. Foot Ankle. 1992 Jan. 13(1):1-6.
- Wapner KL, Myerson MS. Pes cavus. Myerson MS, ed. Foot and Ankle Disorders. Philadelphia, Pa: WB Saunders; 2000. 919-941.
- Balsdon ME, Bushey KM, Dombroski CE, LeBel ME, Jenkyn TR. Medial Longitudinal Arch Angle Presents Significant Differences Between Foot Types: A Biplane Fluoroscopy Study. J Biomech Eng. 2016 Oct 1. 138
- Mulier T; Dereymaeker G; Fabry G Jones transfer to the lesser rays in metatarsalgia: technique and long-term follow-up. Foot Ankle Int. 1994; 15(10):523-30 (ISSN: 1071-1007)
- Brugh AM; Fallat LM; Savoy-Moore RT Lateral column symptomatology following plantar fascial release: a prospective study. J Foot Ankle Surg. 2002; 41(6):365-71 (ISSN: 1067-2516)
- Mubarak SJ; Van Valin SE Osteotomies of the foot for cavus deformities in children. J Pediatr Orthop. 2009; 29(3):294-9 (ISSN: 1539-2570)
- Alexander IJ; Johnson KA Assessment and management of pes cavus in Charcot-Marie-tooth disease. Clin Orthop Relat Res. 1989; (246):273-81 (ISSN: 0009-921X)
- Burns J; Landorf KB; Ryan MM; Crosbie J; Ouvrier RA Interventions for the prevention and treatment of pes cavus. Cochrane Database Syst Rev. 2007; (4):CD006154 (ISSN: 1469-493X)
- Najafi B; Barnica E; Wrobel JS; Burns J Dynamic plantar loading index: understanding the benefit of custom foot orthoses for painful pes cavus. J Biomech. 2012; 45(9):1705-11 (ISSN: 1873-2380)
- Knupp, Markus; Pagenstert, Geert; Valderrabano, Victor; Hintermann, Beat; Osteotomien zur Entlastung der Varusarthrose im oberen Sprunggelenk, Operative Orthopädie und Traumatologie,20,3,262-273,2008,Urban and Vogel
- Ortiz, Cristian; Wagner, Emilio; Keller, Andres; Cavovarus foot reconstruction,Foot and ankle clinics,14,3,471-487,2009,Elsevier
- Wetmore, ROBERT S; Drennan, JC; Long-term results of triple arthrodesis in Charcot-Marie-Tooth disease ,The Journal of bone and joint surgery. American volume,71,3,417-422,1989,
- Niethard, F. U., Pfeil, J. & Biberthaler, P. (2009). Orthopädie und Unfallchirurgie. Stuttgart : Thieme.
- Orthofer, P. (2004). Orthopädietechnik. Huber Hans.
- Sullivan, R. J. (2010). The pediatric foot and ankle.. Foot and ankle clinics, 15, ix.
- Valderrabano, V., Engelhardt, M. & Küster, H. -. (2008). Fuß & Sprunggelenk und Sport: Empfehlungen von Sportarten aus orthopädischer und sportmedizinischer Sicht. Deutscher Arzte-Verlag.
- Wulker, N., FRCSIMater, M. M. & III, M. D. (1998). An Atlas of Foot & Ankle Surgery (1st ed). Martin Dunitz.
- Wülker, N. (2005). Taschenlehrbuch Orthopädie und Unfallchirurgie. Stuttgart : Thieme.