- Was ist eine Fußwurzelarthrose?
- Symptome der Fußwurzelarthrose
- Was sind die Ursachen einer Fußwurzelarthrose?
- Wie untersucht der Arzt die Fußwurzelarthrose?
- Fußwurzelarthrose konservativ behandeln
- Wann empfehlen wir die Operation bei Fußwurzelarthrose?
- Nachbehandlung und Heilung nach Fußwurzelarthrodese
- Für wen ist eine Fußwurzelarthrodese nicht geeignet?
Der Fuß wird in die Abschnitte Zehen, Mittelfuß, Fußwurzel und Rückfuß eingeteilt. Die Fußwurzel beginnt mit dem Chopart-Gelenk und umfasst den Rückfuß bis einschließlich zum Fersenbein. An der Fußwurzel sind meist die vorderen Gelenke – die Tarsometatarsalgelenke von Arthrose betroffen. Die Fußwurzelgelenke sind sehr straff eingestellte Gelenke. Sie behalten immer ihre Form und geben bei Belastung nur federnd nach. Verletzungen der Lisfranc-Gelenke werden bei der Untersuchung sehr häufig übersehen. Sie haben ein hohes Potential, bei nicht angemessener Behandlung, chronische Fußschmerzen zu verursachen. © Viewmedica
Bei einer Fußwurzelarthrose kommt es zum Verschleiß des Gelenkknorpels an den Fußwurzelknochen. Besonders häufig sind die Gelenke zwischen Fußwurzel und Mittelfußknochen betroffen. Man bezeichnet sie als Tarsometatarsalgelenke oder Lisfranc-Gelenke.
Fußwurzelarthrose tritt – besonders bei Frauen – ohne eindeutige Ursache auf. Bei dieser sog. idiopathischen Entstehung zeigt sich die Fußwurzelarthrose häufig an beiden Füßen gleichzeitig.
Risikofaktoren in der Lebensführung sind nicht bekannt. Prothesen der Fußwurzelgelenke sind nicht nötig: Meist können die Fußspezialisten der Gelenk-Klinik mit einer Versteifung (Arthrodese) der kleinen Fußwurzelknochen sehr nachhaltig die schmerzfreie Belastbarkeit bei den Patienten wiederherstellen.
Was ist eine Fußwurzelarthrose?
- Die Fußwurzelarthrose betrifft die Verbindung der Mittelfußknochen zur Fußwurzel (Lisfranc-Gelenk).
- Eine Ursache ist oft unklar (idiopathisch).
- Häufig ist ein Bruch (Fraktur) die Ursache der Fußwurzelarthrose.
- Die Gelenke können über den Fußrücken druckschmerzhaft ertastbar sein.
- Die Behandlung erfolgt konservativ oder durch Fusion (Arthrodese) der Fußwurzelknochen.
Die Fußwurzelarthrose ist eine Verschleißerkrankung – also Arthrose – der Fußwurzelgelenke. Sie entsteht aus Knorpelschäden, die im weiteren Verlauf zu Entzündungen und Reizungen führen.
Die Fußwurzelgelenke dienen in erster Linie zur Stabilisierung des Fußgewölbes und zur Dämpfung beim Gehen. Sie sind zu unterscheiden von den oberen und unteren Sprunggelenkabschnitten des Fußes (OSG und USG).
Externer Inhalt von youtube.com
Symptome der Fußwurzelarthrose
Symptome der Fußwurzelarthrose:
- Schmerzen am Fußrücken
- belastungsabhängige Fußschmerzen während und nach Spaziergängen
- Ausweichbewegung durch Fersengang oder Gang über die Außenseite des Fußes
- Schmerzen beim Abrollen des Fußes
- schmerzende Stelle direkt durch Tasten auffindbar
- typische Schmerzentstehung beim Belasten des Vorfußes, z. B. beim Treppensteigen
- Gefühl als ob "der Fuß auseinanderbricht"
- stechende Schmerzen beim Abrollen möglich
- Fußschmerzen nachts
- Anlaufschmerzen im Fußrücken beim Loslaufen
- Wetterfühligkeit des Fußes
Typische Beschwerden, die im Rahmen einer Fußwurzelarthrose beschrieben werden, sind zum Beispiel massive Schmerzen beim Gehen. Die Belastung auf dem Vorfuß beim Abrollen kann Schmerzen bereiten. Die Schmerzen treten vor allem im Bereich des Fußrückens auf. Manchmal hat der Patient das Gefühl, der Fuß "bricht über dem Fußrücken auseinander". Auch Schwellungen und Überwärmungen im Fußrücken beobachtet man häufig.
Die Schwellungen können sowohl im Rahmen der alltäglichen Belastung, aber auch nachts als Ruheschmerz auftreten. Nach längerer Belastung tritt eine Verschlechterung der Beschwerden auf.
Häufig macht ein Patient mit Fußwurzelarthrose die Erfahrung, bei einem Spaziergang den Heimweg nicht mehr zu schaffen. Eine Schonhaltung entsteht durch überwiegende Belastung des Fersenbeins oder auch durch Belastung über den Fußaußenrand.
Meistens sind die Gelenke zwischen dem Lisfranc-Gelenk und dem Chopart-Gelenk wegen Fehlbelastung oder Überlastung von einer Fußwurzelarthrose betroffen. © Gelenk-Klinik
Welche Symptome der Fußwurzelarthrose sollte der Patient möglichst früh abklären?
Wenn nach bestimmten Gehstrecken regelmäßig Schmerzen am Fußrücken auftreten, sollten Betroffene diese ärztlich abklären lassen. So kann der orthopädische Facharzt frühzeitig eine konservative, gelenkerhaltende Behandlung einleiten. In späteren Stadien der Fußwurzelarthrose ist eine konservative Behandlung nur als Unterstützung der operativen Therapie – einer Versteifung der Fußwurzelgelenke – sinnvoll.
Was sind die Ursachen einer Fußwurzelarthrose?
Ursachen der Fußwurzelarthrose:
Allgemein ist die Ursache der Arthrose stets eine übermäßige Belastung eines Gelenks. Dabei ist der Gelenkknorpel – auch an den Fußgelenken – nicht direkt durchblutet. Das erklärt seine schlechten Heilungsaussichten nach Trauma (Verletzung) oder Überlastung. Vor allem vermehrter Druck auf die Fußgelenke durch ein Einsinken des Fußlängsgewölbes kann diese überlasten. Über einen längeren Zeitraum führt diese Überlastung zu zunehmendem Gelenkverschleiß in den Fußwurzelgelenken, hauptsächlich in den Lisfranc-Gelenken.
Verletzungen der Lisfranc-Gelenke als Ursache einer Fußwurzelarthrose
Verletzungen der Lisfranc-Gelenke oder ihrer Bänder am Fußrücken sind selten. Sie treten bei 1 von 55.000 Patienten pro Jahr auf. Wenn sie auftreten, haben sie aber häufig sehr langwierige Folgen. Möglich sind Bänderdehnungen der Lisfranc-Gelenke bis hin zu kompletten Frakturen der Tarsometatarsalgelenke (Gelenke zwischen Fußwurzel und Mittelfußknochen). Die Dehnungen oder der Riss des Lisfranc-Bandes, aber auch Dislokationen (Verschiebungen) und Brüche des Lisfranc-Gelenks, können sehr leicht chronische Schmerzen nach sich ziehen. Gute Ergebnisse für den Patienten erfordern möglichst eine schnelle Diagnose, eine angemessene Behandlung und eine Stabilisierung der Lisfranc-Gelenke.
Wir beobachten nicht selten unfallbedingte Schäden, z. B. nach Verkehrsunfällen oder schweren Verletzungen des Fußes mit schweren Distorsionen (Verdrehungen) als Ursache der Fußwurzelarthrose. Im Falle von Verkehrsunfällen ist der Schaden an den Weichteilen und der Umgebung des Lisfranc-Gelenks wegen der höheren Aufprallenergie meistens deutlich höher als bei Sportunfällen.
Bei Frauen mittleren Alters zwischen 50 und 60 Jahren tritt die Fußwurzelarthrose häufig auch ohne unfallbedingte Ursache (idiopathisch) auf. In der Untersuchung stellt sich dann ein beidseitiger Befall der Füße heraus. Häufig sind auch übersehene Fußverletzungen im Rahmen einer sogenannten Lisfranc-Luxationsfraktur, einer Verletzung in der betroffenen Gelenklinie, mögliche Ursachen.
Untersuchung der Fußwurzelarthrose im SPECT-CT: Die Kontrastmittelanreicherungen zeigen deutlich eine erhöhte Stoffwechselaktivität im subchondralen (unter dem Knorpel liegenden) Knochen. Diese Methode kann Arthrosen der Fußwurzeln genauer lokalisieren. © Gelenk-Klinik
Wie untersucht der Arzt die Fußwurzelarthrose?
Differentialdiagnosen: Welche Ursachen kommen noch für die Fußschmerzen infrage?
- Schleimbeutelentzündung
- Sehnenganglion (Zyste in der Sehne)
- Gicht und Stoffwechselerkrankungen
Die Angaben des Patienten im Arztgespräch mit Schwellung und dem Gefühl des "Auseinanderbrechens" des Fußes sind häufig erste Hinweise auf die Fußwurzelarthrose. Zum Teil werden auch Vorfußschmerzen oder Schmerzen in der Sprunggelenksbeuge beschrieben. Beschwerden durch Schonhaltung in Muskeln und Sehnen im Unterschenkel hinter dem Knöchel oder am äußeren Unterschenkel können wir ebenfalls beobachten.
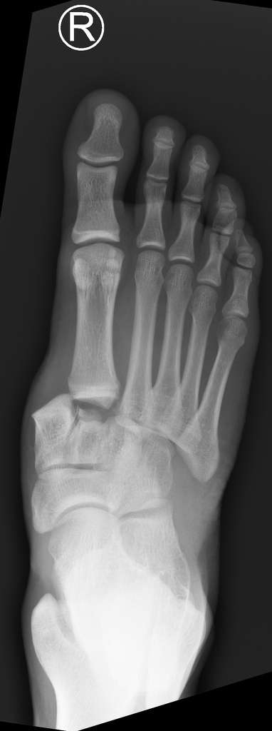
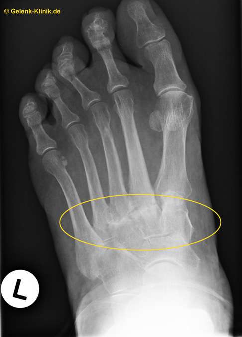
Lisfranc-Gelenk (tarsometatarsales Gelenk, gelbes Oval) einer 70-jährigen Patientin mit Arthrose im Röntgenbild. © Gelenk-Klinik
Klinische Untersuchung
Beweglichkeitsprüfung des Fußes: Bei der Tastuntersuchung achtet der Orthopäde auf Schmerzen und Bewegungseinschränkungen. © Gelenk-Klinik
Im Rahmen der Diagnose führt der Arzt primär eine allgemeine Stand- und Ganguntersuchung des Fußes durch. So erkennt er Fehlstellungen als Mitauslöser der Lisfranc-Verletzung oder Fußwurzelarthrose. Die klinische Untersuchung beinhaltet die Tastung und Beweglichkeitsprüfung verschiedener Gelenkabschnitte. So können wir den krankhaften Bereich eingrenzen. Osteophyten (knöcherne Anbauten am Gelenkspalt) können für Schwellungen und Schmerzen am Fußrücken verantwortlich sein.
Bildgebende Untersuchung: Ultraschall, Röntgen, Kernspin (MRT)
Tarsometatarsale Fraktur/Lisfranc-Fraktur im Röntgenbild: In diesem Bild sind die Fußwurzelgelenke disloziert, also nicht mehr in der normalen anatomischen Position. Das ist eine sichere Indikation zur Operation. © Case courtesy of Dr. Andrew Dixon, Radiopaedia.org
Die zusätzlich durchgeführte Ultraschalluntersuchung bestätigt Knochenanbauten und Schwellungen über den betroffenen Fußwurzelgelenken im Bild. Die Röntgendiagnostik kann den Verdacht bestätigen.
Röntgenaufnahmen der Füße in zwei Ebenen zeigen mögliche Arthrosezeichen in der Fußwurzel: Gelenkspaltverengung und Osteophyten (Knochenanbauten).
Zur diagnostischen Abklärung anderer möglicher Sehnen- und Weichteilerkrankungen wie Sehnenganglien (Aussackungen aus den Sehnenhüllen) wird häufig noch eine kernspintomographische Untersuchung (MRT-Untersuchung) durchgeführt.
Diese Untersuchung dient zugleich der exakten Stadienbeschreibung der Veränderungen.
Die bis vor einigen Jahren regelmäßig angewendeten Infiltrationen (Injektion von Schmerzmitteln) unter Röntgenkontrolle mit Kontrastmittel und lokaler Betäubung zur Eingrenzung der betroffenen Gelenke wird heute wegen der starken Belastung der Patienten und der nur eingeschränkten Aussagefähigkeit durch ein moderneres Verfahren ersetzt.
Zur genauen Zuordnung der Beschwerden zu den betroffenen Gelenken im Bereich der Fußwurzel stellt die sogenannte SPECT-CT-Untersuchung (Einzelphotonen-Emissions-Computertomografie) eine sinnvolle Diagnosemaßnahme dar.
Die computertomographische (CT) Untersuchung, also Röntgenschichtung unter gleichzeitiger Messung einer knochenszintigrafischen Verteilung durch Darstellung des Knochenstoffwechsels, erlaubt eine gezielte operative Therapie. Diese umfasst selektiv nur die von Arthrose tatsächlich betroffenen Gelenke.
Auf ein SPECT-CT zur genauen Lokalisierung verzichten wir in unserer Klinik daher vor operativen Eingriffen nicht mehr. Die Untersuchung wird als gezielte Diagnostik aber nur vor geplanten operativen Eingriffen empfohlen.
Weitere differentialdiagnostische Untersuchungen können auch bei einer computertomographischen Untersuchung ohne radioaktive Markierung möglich sein.
Fußwurzelarthrose konservativ behandeln
Einlagen (rot) im Schuh (grün) entlasten die metatarsalen Gelenke und können Arthroseschmerzen in der Fußwurzel effektiv vermindern. © Dr. Thomas Schneider
Die konservative Therapie der Fußwurzelarthrose ist durch unterstützende Schuheinlagen möglich. Es gibt auch Einlagen, die ausschließlich die betroffenen Mittelfußköpfchen der betroffenen Gelenke entlasten.
Tritt eine Arthrose zwischen dem zweiten Mittelfußknochen und der Fußwurzel auf, kann eine Weichbettung des Mittelfußköpfchens im Vorfußbereich eine Entlastung des arthrotischen Gelenkes bringen.
Auch eine physikalische Therapie zur Reizhemmung, muskuläre Therapien oder eine ZRT®-Matrix-Therapie (biomechanische Muskelstimulation) können Abhilfe schaffen.
Abhängig vom Stadium der Erkrankung können biologisch-regenerative Verfahren ebenso wie physiotherapeutische Trainingstherapien – auch als Eigenübungen – sinnvolle und ergänzende Maßnahmen der Behandlungen sein.
Auch schmerzstillende Infiltrationen oder Einspritzungen von Hyaluronsäure und reizhemmenden Mitteln sind bewährte konservative Therapiemethoden.
Externer Inhalt von youtube.com
Wann empfehlen wir eine Operation bei Fußwurzelarthrose?
Wann kann die Fußwurzelarthrose nicht operiert werden?
- Vorhandene Infektionen machen den Gebrauch von Implantaten an den Fußgelenken unmöglich.
- Weichteilschäden nach Trauma erschweren die postoperative Heilung nach der Fußoperation.
- Probleme in der Blutversorgung (pAVK oder Beschädigung von Blutgefäßen) erschweren die Heilung und die Knochenfusion.
- Offene Verletzungen im Bereich des Fußrückens sind ein Ausschlusskriterium für eine Operation.
Sind konservative Behandlungsmaßnahmen nicht ausreichend, kann der Fußspezialist mit einer Knochenfusion der von Arthrose betroffenen Fußwurzelgelenke (Arthrodese) dem Patienten zu einer guten Lebensqualität verhelfen. Viele Patienten erreichen in unterschiedlichem Ausmaß wieder eine altersgerechte Sportfähigkeit.
Die Funktion der nur in geringem Ausmaß beweglich verbundenen Fußwurzelgelenke besteht in erster Linie in der Dämpfung der Gehbewegung. Der Bewegungsradius beträgt im gesunden Gelenk lediglich 3–5°. Für die Gesamtbeweglichkeit des Fußes spielen die Fußwurzelgelenke keine Rolle. Bewegungseinschränkungen durch eine Arthrodese im Bereich der Fußwurzeln sind daher nicht zu erwarten.
Die Beweglichkeit der Mittelfußgelenke ist mit 3–7° sehr gering. Sie sollen vor allem den Fuß in allen Situationen stabil halten. Daher führt eine Versteifung der Tarsometatarsalgelenke zu keiner signifikanten Einschränkung der Beweglichkeit. © Dr. Thomas Schneider
Die schmerzhaften Sehnenreizungen durch Knochenüberstände (Osteophyten) über den betroffenen Gelenken am weichteilarmen Fußrücken sind ebenfalls Ziel der operativen Therapie.
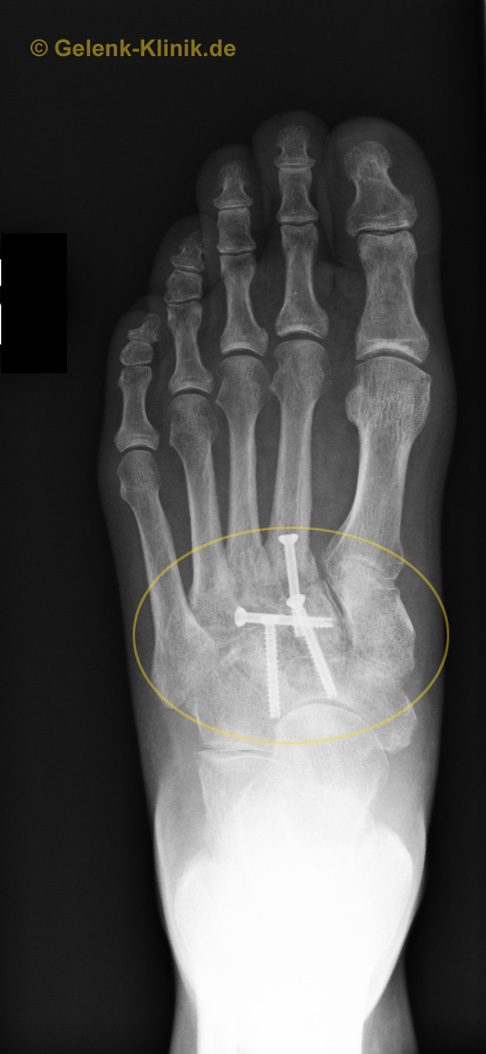
Das Röntgenbild zeigt den Zustand nach der Versteifung der Fußwurzelgelenke (gelbes Oval). Die Implantate heben die Beweglichkeit der Fußwurzelgelenke auf und ermöglichen ein stabiles Verwachsen (Arthrodese) dieser Gelenke. Die Versteifung stoppt die schmerzhaften entzündlichen Prozesse an den Gelenkflächen endgültig. Weil die Beweglichkeit der Fußwurzelknochen nicht im Vordergrund steht, ist diese Versteifung im Alltag ohne Funktionsverlust durchführbar. © Gelenk-Klinik
Die Operation wird immer als Antwort auf den tatsächlich vorhandenen Leidensdruck der Patienten angeboten. Ist die Lebensqualität durch die Einschränkung beim Laufen zu groß, sorgen wir mit einer Versteifung der Fußwurzelknochen für schmerzfreie Stabilität in Bewegung. Wenn der Patient noch nicht unter deutlich einschränkenden Schmerzen leidet, ist ein operativer Eingriff nicht gerechtfertigt.
Eine Operation muss immer dann durchgeführt werden, wenn die Gelenke der Fußwurzelknochen nach einer Fraktur verlagert sind (Dislokation).
Die Knochenanbauten über den Gelenken können ebenfalls stören. Diese kann der Operateur zum Teil abtragen.
Wie erfolgt die Operation bei der Fußwurzelarthrose?
Die Arthrodese der Fußwurzel kann abhängig vom betroffenen Gelenk unterschiedlich ausgeführt werden. Hier kommen minimalinvasive oder offene Methoden zum Einsatz. Implantatfreie Methoden sind allerdings nicht möglich. Die korrekte Stellung der Gelenke in Bezug auf die Belastung der Mittelfußknochen muss ebenfalls berücksichtigt werden.
Das seitliche Röntgenbild zeigt den Zustand nach der Versteifung der Fußwurzelgelenke (gelbes Oval). Je nach genauer Lage und der an der Arthrose beteiligten Gelenke werden auch Platten als Implantate eingesetzt, um die Knochen stabil zu verbinden. © Gelenk-Klinik
Abhängig von der Lage des tatsächlich geschädigten Fußwurzelgelenks führt der Operateur einen Hautschnitt am Fußrücken durch. Unter Röntgen überprüft er die Lokalisation und Übereinstimmung mit dem vorliegenden SPECT-CT. Die Restknorpelanteile werden entfernt. Der knorpelnahe Knochen wird angefrischt, um das Zusammenheilen der Knochen während der Arthrodese (Versteifung) zu verbessern. Knochensubstanz kann je nach Defektgröße zusätzlich angelagert werden. Unter intraoperativer Röntgenkontrolle wird dann ein stabilisierendes Metallimplantat eingebracht. Je nach Schadensgröße können das Schrauben, Klammern oder Platten sein. Das Ausmaß der Arthrodese ist abhängig von der Zahl der betroffenen Gelenke und der begleitenden Fehlstellung.
Da die Versteifung die Beweglichkeit nicht merklich einschränkt, sind viele Patienten nach Ausheilung der Arthrodese wieder uneingeschränkt arbeits- und sportfähig und zudem schmerzfrei.
Externer Inhalt von youtube.com
Gibt es gelenkerhaltende Therapiemaßnahmen bei Fußwurzelarthrose?
Knochenanbauten bei Arthrose können die Sehnen und Weichteile reizen oder zu Schleimbeutelentzündungen führen. In diesem Fall sollten sie zeitnah entfernt werden. Häufig führen diese Maßnahmen aber zur Destabilisierung des Gelenkes und zu versteifenden Operationsmaßnahmen der Fußwurzelknochen.
Nachbehandlung und Heilung nach Fußwurzelarthrodese
Im Rahmen der Nachbehandlung ist eine Belastung des Vorfußes und damit der Mittelfußknochen und der Fußwurzel erst wieder nach 6–8 Wochen möglich. Die eingebrachten Osteosynthesematerialien verhindern zwar eine direkte Verschiebung der Knochen. Allerdings wird eine längere oder stärkere Belastung des Vorfußes nicht toleriert. Eine zu frühe Belastung kann zur Bildung von Pseudarthrosen führen: Das sind Arthrodesen mit schmerzhafter Restbeweglichkeit, die nur mangelhaft verknöchert sind.
Im Anschluss an eine 6-wöchige Fersenbelastung in einem Vacoped-Verbandschuh als Gipsersatz kann dann im weiteren Verlauf nach Röntgenkontrolle (4 und 8 Wochen) die weitere Belastung erfolgen. Die Röntgenkontrollen bestätigen eine knöcherne Durchbauung häufig bereits. Die klinische Untersuchung spielt für die Beurteilung der Nachbehandlung ebenfalls eine wichtige Rolle.
Welche Folgen kann die Versteifung im weiteren Leben haben?
Sicherlich kann auch im Rahmen einer Arthrodese der Fußwurzel, bei nur teilweise durchgeführter Versteifung, im Verlauf ein Nachbargelenk durch vermehrte Belastung ebenfalls eine Arthrose entwickeln. Die Entstehung von Begleitarthrosen nach 10–15 Jahren ist in der Literatur allerdings nicht ausreichend beschrieben und tatsächlich eher selten. Trotzdem besteht die Möglichkeit der späteren Arthrosebildung benachbarter Fußwurzelgelenke als nachteilige Folge der Versteifung.
Bei geringer Beweglichkeit sind die Risiken aber geringer als bei Versteifungen des oberen oder unteren Sprunggelenkes.
Prognose nach der Fußwurzelversteifung
Die Prognose und Lebensqualität nach der Versteifung einer Fußwurzelarthrose ist sehr gut: vor allem, wenn keine weiteren Schäden im Fuß und Sprunggelenk vorhanden sind. Meist erreicht der Eingriff eine Wiederherstellung der Lebensqualität und damit eine Verbesserung der Gehfähigkeit. Die meisten Patienten erleben postoperativ eine normale Belastungsfähigkeit im Alltag und eine deutliche Verbesserung der Gehstrecke.
Für wen ist eine Fußwurzelarthrodese nicht geeignet?
Patienten mit einer ausgeprägten Arthrose des oberen Sprunggelenks oder Arthrose des unteren Sprunggelenkes und der Fußwurzel profitieren von einer alleinigen Fußwurzelarthrodese nicht. Nur bei isolierter Fußwurzelarthrose erzielen wir gute Therapieergebnisse.
Literaturangaben
- Delman, C., Patel, M., Campbell, M., Kreulen, C., & Giza, E. (2019). Flexible Fixation Technique for Lisfranc Injuries. Foot & ankle international, 40(11), 1338–1345.
- Engelhardt, P., Schuh, R., & Wanivenhaus, A. (2018). Eingriffe an der Fußwurzel und an den Metatarsalia II–V. Orthopädische Fußchirurgie, 89–107. Springer, Berlin, Heidelberg.
- Jonard, B., Wroblewski, A., & Junko, J. (2019). LisFranc Fusion. Journal of orthopaedic trauma, 33, 42–43.
- Klos, K., Simons, P., Schilling, B., & Knobe, M. (2018). Biomechanik des Chopart-und Lisfranc-Gelenkes. Fuß & Sprunggelenk, 16(3), 141–150.
- Klos, K., Randt, T., Simons, P., & Knobe, M. (2019). Vor- und Mittelfußfrakturen beim Erwachsenen. Orthopädie und Unfallchirurgie up2date, 14(01), 63–89.
- Niethard, F. U., Pfeil, J. & Biberthaler, P. (2009). Orthopädie und Unfallchirurgie. Stuttgart: Thieme.
- Putz, C., Hagmann, S., & Dreher, T. (2018). Bildgebende Diagnostik des Fußes. Der Radiologe, 58(5), 400–405.
- Wülker, N. (2005). Taschenlehrbuch Orthopädie und Unfallchirurgie. Stuttgart: Thieme.
