- Was ist der Morbus Ledderhose und was ist seine Ursache?
- Beschwerden: Wie macht sich der Morbus Ledderhose bemerkbar?
- Diagnose: Wie diagnostiziert der Arzt einen Morbus Ledderhose?
- Konservative Behandlung des Morbus Ledderhose
- Welche Operationen helfen bei Morbus Ledderhose?
- Häufig gestellte Fragen zum Morbus Ledderhose an Dr. med. Thomas Schneider von der Gelenk-Klinik

Morbus Ledderhose ist eine chronische Erkrankung, bei der sich meist schubweise über Jahre hinweg bindegewebige Knoten an der Fußsohle bilden. Wenn diese größer werden, können sie Schmerzen auslösen und Probleme beim Gehen verursachen. Behandelt wird die Erkrankung mit konservativen Maßnahmen, bei ausgeprägten Beschwerden auch operativ.
Was ist der Morbus Ledderhose und was ist seine Ursache?

Der Morbus Ledderhose gehört zu den sogenannten Fibromatosen. Bei dieser Krankheitsgruppe handelt es sich um Bindegewebswucherungen, die zwar gutartig sind, aber durch unkontrolliertes Wachstum zu Schmerzen und Funktionseinschränkungen führen können. Fibromatosen kommen an verschiedenen Stellen des Körpers vor, z. B. an den Händen (Palmarfibromatose oder Morbus Dupuytren) und den Füßen (Morbus Ledderhose), am Penis (Induratio penis plastica) oder in der Bauchhöhle. Ihnen gemeinsam ist, dass die Bindegewebswucherungen nach operativer Entfernung häufig erneut auftauchen, also rezidivieren. In vielen Fällen treten verschiedene Fibromatosen kombiniert auf, z. B. gleichzeitig an Händen und Füßen.
Andere Bezeichnungen für den Morbus Ledderhose:
Der Morbus Ledderhose ist benannt nach dem in Frankfurt geborenen Chirurgen Dr. Georg Otto Ledderhose, der 1894 die Erkrankung als Erster beschrieben hat. Andere Bezeichnungen sind:
- Plantarfibromatose
- Ledderhose-Krankheit
- Ledderhose-Kontraktur
- Fibromatosis plantae
Bei Morbus Ledderhose bilden sich die bindegewebigen Knoten und Stränge an der Plantarfaszie. Das ist die auch als Plantaraponeurose bezeichnete 3 bis 4 mm dicke Sehnenplatte der Fußsohle, die vom Fersenbein fächerförmig zu den Zehen verläuft. Am häufigsten sitzen die Knoten im Bereich des Zehenstrahls der Großzehe und der beiden danebenliegenden Zehen, also eher an der Innenseite der Fußsohle. Die Erkrankung ist chronisch, wobei sich die knotigen Veränderungen und Verhärtungen meist schubförmig über Monate bis Jahre hinweg ausbilden. In seltenen Fällen können die Verdickungen auch akut entstehen. Das ist z. B. bei einem Riss der Plantarfaszie mit anschließender Vernarbung denkbar.
Das Ausmaß der Erkrankung variiert stark. Bei manchen Patienten finden sich nur einzelne, kaum schmerzhafte Knötchen oder Verhärtungen an der Fußsohle. Bei anderen ist die komplette Fußsohle von der Ferse bis zu den Zehen betroffen. Manchmal verwachsen die Knoten sogar mit der Haut oder dringen tief in die Muskulatur ein. In etwa 75 % der Fälle ist nur ein Fuß befallen, die übrigen Patienten haben Beschwerden an beiden Fußsohlen.
Die Veränderungen an der Sehne werden beim Morbus Ledderhose in 4 Stadien klassifiziert:
- Grad 1: Ein Knoten bzw. eine Verhärtung. Haut und Muskeln sind nicht betroffen. Es treten kaum Beschwerden auf, der Knoten stört eher kosmetisch.
- Grad 2: Mehrere Knoten oder Stränge an verschiedenen Stellen der Fußsohle. Haut und Muskeln sind noch nicht betroffen.
- Grad 3: Mehrere, großflächigere Wucherungen, die entweder mit der Haut oder mit den Muskeln verwachsen sind.
- Grad 4: Mehrere Knoten, die sowohl mit der Haut als auch mit den Muskeln verbunden sind.
Ursachen und Risikofaktoren
Ein Morbus Ledderhose kann bei Frauen und Männern in jedem Alter auftreten. Am häufigsten leiden jedoch Männer im mittleren bis höheren Lebensalter darunter. Die Ursache der Erkrankung ist, wie bei allen Fibromatosen, unbekannt. Da der Morbus Ledderhose familiär gehäuft vorkommt, geht man zumindest bei einem Teil der Fälle von einer vererbten Komponente aus.
Verletzungen können das Risiko für die Entstehung eines Morbus Ledderhose fördern. Das Gleiche gilt für die Einnahme bestimmter Medikamente, wie z. B. Primidon und Phenobarbital. Zudem tritt die Erkrankung gehäuft auf bei Menschen mit
- Alkohol- oder Nikotinmissbrauch,
- Stoffwechselerkrankungen (z. B. Diabetes) und
- Herpes Zoster.
Beschwerden: Wie macht sich der Morbus Ledderhose bemerkbar?

Beim Morbus Ledderhose bilden sich im Laufe der Zeit Knoten, Verdickungen und Verhärtungen an der Fußsohle. Sie können nach und nach immer mehr und immer größer werden. Manchmal breiten sich die Wucherungen auch über weite Teile der Fußsohle aus und es kommt zu verhärteten Strängen oder Flächen.
Diese Verhärtungen können zu erheblichen Schmerzen an der Fußsohle und am inneren Fußrand führen. Sie treten zunächst beim Gehen oder Stehen auf, später sind sie bei manchen Patienten auch in Ruhe vorhanden. Große Knoten und Verhärtungen, auch Indurationen genannt, beeinträchtigen das Gehen, insbesondere erschweren sie das Abrollen des Fußes. Langes Stehen unter voller Belastung des Fußes ist häufig ebenfalls nicht möglich. Schmerzhaft ist oft auch das Tragen von Schuhen, vor allem wenn diese fest oder zu eng sind und ein hartes Fußbett haben.
Die Erkrankung verläuft in drei Phasen. Im Anfangsstadium (Phase 1) vermehren sich die Bindegewebszellen, wobei der Patient meist noch keine Knoten bemerkt. In der aktiven Phase bilden sich die schmerzhaften Knoten und Verhärtungen aus. Phase 3 ist die Spätphase der Erkrankung. Dabei kommt es zu Narbenbildung, zum Verwachsen der Knoten mit der Muskulatur sowie zum Zusammenziehen von Faszie und Haut.
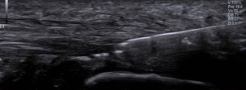
Diagnose: Wie diagnostiziert der Arzt einen Morbus Ledderhose?

Typischerweise berichten die Patienten selbst von den entdeckten Knoten an der Fußsohle und den dadurch verursachten Beschwerden. Mittels Inspektion und Abtasten kann der Arzt dann die umschriebenen Veränderungen an der Fußsohle und am Fußinnenrand leicht erkennen. Im Ultraschall lassen sich die Veränderungen gut darstellen und bestätigen.
Um die Fußstellung darzustellen und andere radiologisch sichtbare Erkrankungen auszuschließen, wird ein Röntgenbild angefertigt. Da der Morbus Ledderhose etliche Differenzialdiagnosen hat, ist eine kernspintomographische Untersuchung sinnvoll. Je nach Befund erfolgt diese mit Kontrastmittel.
Bei Unklarheiten kann eine Gewebeentnahme (Biopsie) mit anschließender histologischer Untersuchung nötig werden. Damit lässt sich vor allem das Fibrosarkom, ein bösartiger Tumor des Bindegewebes, ausschließen.
Differenzialdiagnosen
Folgende andere Erkrankungen sollten beim Verdacht auf einen Morbus Ledderhose ausgeschlossen werden:
- Fibrosarkom
- Plantarfasziitis bzw. plantarer Fersensporn
- Tarsaltunnelsyndrom
- Ganglion
- gutartige Weichteiltumoren
Konservative Behandlung des Morbus Ledderhose

Die Therapie des Morbus Ledderhose zielt darauf ab, das weitere Wachstum der Knoten zu verringern oder sogar einzudämmen, die Schmerzen zu reduzieren und die Fähigkeit zum Gehen möglichst lange zu erhalten. Bei kleineren Knoten kann man den weiteren Verlauf unter einer konservativen Therapie zunächst abwarten. Zu den empfohlenen Maßnahmen gehören:
- Gute Versorgung mit Einlagen. Speziell angepasste orthopädische Einlagen oder Lochkissen können den Druck auf die betroffenen Bereiche lindern.
- Weite Schuhe. Um Reizungen der Fußsohle und des Fußinnenrandes zu verringern, sollten die Betroffenen weites Schuhwerk tragen.
- Schmerzmittel. Bei starken Schmerzen werden meist schmerzlindernde, antientzündliche Wirkstoffe aus der Gruppe der NSAR empfohlen, z. B. Ibuprofen-Tabletten.
Daneben kommen folgende physikalische Therapien zum Einsatz:
- Mildes Dehnen. Vorsichtiges Dehnen der Fußsohle kann die Spannung der Faszie verringern und die Durchblutung im Fuß verbessern. Beides hilft dabei, die Schmerzen zu lindern. Womöglich bessert regelmäßiges leichtes Dehnen auch die Ausrichtung der Kollagenfasern in der Faszie und damit die Gewebestruktur. Um die Übungen richtig durchzuführen, sollten die Patienten von einem erfahrenen Physiotherapeuten angeleitet werden.
- Kältebehandlung. Auch Kühlen lindert die Schmerzen bei Morbus Ledderhose. Zum Einsatz kommen dafür z. B. kalte Fußbäder oder das Auflegen von in Tüchern eingewickelten Cool-Packs.
- Stoßwellentherapie. Besonders hilfreich ist die Kombination von fokussierten Stoßwellen mit einer Laserbehandlung. Die Knoten werden weicher und dadurch die Beschwerden der Patienten gelindert.
- Magnetfeldtherapie. Sowohl die Extrakorporale Magnetotransduktions-Therapie (EMTT) als auch die Pulsierende Elektromagnetische Feldtherapie (PEMF) werden aktuell beim Morbus Ledderhose erprobt und haben schon klare Veränderungen erwirkt.
Akupunktur, Injektionen und Bestrahlung
Bei schmerzhaften Veränderungen wird zusätzlich häufig die Akupunktur empfohlen. Eine weitere Behandlungsoption ist die lokale Injektion von Kortison oder Enzymen, die die Knoten auflösen sollen. Solche Infiltrationen sind allerdings umstritten, da sie meist wenig erfolgreich und mit Nebenwirkungen belastet sind. Kortison kann beispielsweise dem Sehnengewebe schaden.
Auch die Bestrahlung der Fußsohlen mit Röntgenstrahlung (z. B. 10 Mal 3 Gray) wird zur Behandlung eingesetzt. Sie gilt allerdings als umstritten, da sie bei eher geringer Effektivität den Patienten mit radioaktiver Strahlung belastet.
Welche Operation hilft bei Morbus Ledderhose?

Bleiben konservative Maßnahmen erfolglos, ist bei starkem Leidensdruck die Operation notwendig. Operiert werden sollte auch dann, wenn es durch die Fibromatose der Plantarfaszie zu einer zunehmenden Fehlstellung der Zehen oder anderen Veränderungen im Fußbereich kommt.
Behandlungsziel der Operation ist die Entfernung der Fibromatose, also der bindegewebigen Wucherungen im Sehnenbereich mit umliegendem Gewebe. Entfernt man nur die Knoten und Verhärtungen, rezidiviert die Erkrankung häufig. Das bedeutet, dass sich nach der Operation erneut Knoten an der Sehne bilden und die Beschwerden erneut auftauchen.
Die Methoden zur Operation des Morbus Ledderhose haben sich in den letzten Jahren weiterentwickelt. Auch wenn weiterhin nur wirklich störende Fibromatosen entfernt werden sollten, ermöglichen die modernen perkutanen Verfahren eine schonendere Behandlung der Knoten und der Narben als die traditionelle offene Operation.
Minimalinvasive, perkutane Gewebeablation
Bei der minimalinvasiven, perkutanen Gewebeablation werden die Knoten und ihr Nachbargewebe über kleine Schnitte in der Haut entfernt. Diese Methode erfordert viel Erfahrung des Operateurs in verschiedenen diagnostischen und operativen Techniken.
Während der perkutanen Gewebeablation werden alle Schritte des Eingriffs mithilfe eines Ultraschallgeräts überwacht. Vorteil des Ultraschalls ist, dass man damit die Weichteile wie Sehnen und Faszien besser darstellen kann als im Rahmen einer offenen Operation.
Nach lokaler Betäubung führt der Fußchirurg über kleine Hautschnitte spezielle Sonden in das erkrankte Gewebe ein. Auf dem angeschlossenen Monitor sieht er die Sonde ebenso wie die Sehnen oder die Faszienveränderung und kann die bindegewebigen Verdickungen gezielt entfernen. Dadurch reduziert sich die Gewebemenge in der Sehnenplatte, was wiederum den Druck in diesem Bereich der Fußsohle verringert und das Fußgewölbe entlastet. In der Folge verbessern sich bei den meisten Patienten die Schmerzen und Probleme beim Gehen deutlich.
Offene Operation
Eine weitere Möglichkeit zur Behandlung des Morbus Ledderhose ist die offene Operation. Meist entfernt man dabei die Verhärtungen selektiv. Um das Rezidivrisiko zu minimieren, wird um jeden Knoten herum ein 2 bis 3 cm breiter Streifen mit reseziert. Bei sehr ausgeprägtem Befall kann es auch nötig werden, die Plantarfaszie in Teilen oder sogar komplett zu entfernen.
Bei der offenen Operation ist das Infektionsrisiko höher als bei der minimalinvasiven OP. Es treten häufiger Wundheilungsstörungen auf und die Narben sind ausgeprägter. Das Rezidivrisiko ist nach selektiver Entfernung der Knoten relativ hoch, es wird z. T. mit bis zu 60 % angegeben. Bei vollständiger (radikaler) Entfernung der Plantarfaszie soll die Rezidivrate etwa 25 % betragen.
Der offene Eingriff wird meist in Vollnarkose oder unter einer Nervenblockade durchgeführt. Er dauert bis zu 45 Minuten. Danach erfolgt eine Schmerzmittelgabe und der Patient wird stationär überwacht.
In den ersten 2 bis 3 Wochen darf der Fuß nicht belastet werden, um das Nachbluten und eine vermehrte Narbenbildung zu vermeiden. Bis die Wunden verheilt sind, dauert es etwa 14 Tage. Meist muss für 4 bis 6 Wochen nach dem Eingriff ein spezieller Schuh getragen werden, um die Fußsohle zu schonen.
Häufig gestellte Fragen zum Morbus Ledderhose an Dr. med. Thomas Schneider von der Gelenk-Klinik
Wer operiert den Morbus Ledderhose?
Die Operation eines Morbus Ledderhose ist Sache des Facharztes für Orthopädie und Unfallchirurgie, insbesondere für Experten mit Spezialisierung auf Fuß- und Sprunggelenkchirurgie. Am besten wendet man sich an ein zertifiziertes Zentrum für Fuß- und Sprunggelenkchirurgie der Maximalversorgung (ZFSmax).
Kann sich ein Morbus Ledderhose von selbst zurückbilden?
Der Morbus Ledderhose ist eine chronische Erkrankung, bei der sich die Knoten in der Regel nicht zurückbilden. Meist ist das Gegenteil der Fall, auch wenn das Wachstum des Bindegewebes häufig sehr langsam verläuft.
Ist der Morbus Ledderhose nach operativer Entfernung der Knoten geheilt?
Wie alle Fibromatosen neigt leider auch der Morbus Ledderhose zu Rezidiven. Das bedeutet, dass auch nach Entfernung der Knoten häufig wieder neue nachwachsen. In manchen Fällen liegt das daran, dass die Knoten nicht vollständig entfernt wurden. In anderen Fällen kann auch eine genetische Veranlagung ursächlich sein.
Kann ein Morbus Ledderhose bösartig werden?
Bei den bindegewebigen Knoten der Fibromatosen handelt es sich um gutartige Veränderungen, die in der Regel nicht bösartig entarten, d. h. zu Krebs werden. Gutartig heißt allerdings nicht, dass sie kaum Beschwerden verursachen. Durch das Größenwachstum können die Knoten zu erheblichen Schmerzen und Problemen beim Gehen führen.
Welche Schuhe trägt man am besten bei Morbus Ledderhose?
Wer unter einer Plantarfibromatose leidet, sollte ganz besonders auf geeignetes Schuhwerk achten. Hilfreich sind flache Absätze, ein weiches Fußbett und eine ausreichende Breite der Schuhe. Die Schuhe sollten gut passen, um Reibungen und Druckstellen zu vermeiden.
Hilft Ernährung bei Morbus Ledderhose?
Es gibt keine wissenschaftlichen Belege dafür, dass eine bestimmte Kost oder Diät den Verlauf des Morbus Ledderhose beeinflusst. Da bei der Erkrankung durch die Gewebereaktionen um die Knoten herum auch entzündliche Prozesse eine Rolle spielen, könnte eine entzündungshemmende Ernährung sinnvoll sein. Auf jeden Fall sollte man Übergewicht vermeiden: Je mehr Gewicht auf den Füßen ruht, desto stärker sind die durch die Knoten an der Fußsohle hervorgerufenen Probleme
Wer übernimmt die Kosten der Operation bei Morbus Ledderhose?
Die Krankenkassen übernehmen die Kosten für die Entfernung der Knoten nicht immer oder nur teilweise. Wir unterstützen Sie bei der Kostenfrage, indem wir einen Kostenvoranschlag erstellen, den Sie im Vorfeld der Operation bei Ihrer zuständigen Krankenkasse einreichen können.
Literatur
- Andone, I., Cocolos, A., Elisei, I., Spînu, A., Popescu, C., Ciocoi, A., ... & Onose, G. (2024). Ledderhose Disease: a synthetic overview of a rare medical condition and the role of physical therapy in a clinical case presentation. Balneo & PRM Research Journal, 15(1)
- Anwander, H., Weichsel, F., Cullmann, J., Seidel, A., Hayoz, A., & Krause, F. (2024). Recurrence Rate After Wide Resection of Plantar Fibromatosis: A Case Series and Systematic Literature Review. Foot & Ankle Specialist, 17(2), 109-116.
- Beltran, L. S. (2022, December). Presurgical Perspective and Postsurgical Evaluation of the Plantar Fascia. In Seminars in Musculoskeletal Radiology (Vol. 26, No. 06, pp. 684-694). Thieme Medical Publishers, Inc..
- de Haan, A., Hijmans, J. M., van der Vegt, A. E., van der Laan, H. P., van Nes, J. G., Werker, P. M., ... & Steenbakkers, R. J. (2023). Effect of painful Ledderhose disease on dynamic plantar foot pressure distribution during walking: a case-control study. The Foot, 56, 101990.
- Harrasser, N., & Toepfer, A. (2023). Die plantare Fibromatose. Fuß & Sprunggelenk, 21(1), 47-54.
- Mohede, D. C., Riesmeijer, S. A., de Jong, I. J., Werker, P. M., & van Driel, M. F. (2020). Prevalence of Peyronie and Ledderhose diseases in a series of 730 patients with Dupuytren disease. Plastic and reconstructive surgery, 145(4), 978-984.
- Reichert, B., & Wach, W. (2022). Morbus Ledderhose und andere fibromatöse Krankheiten. In Morbus Dupuytren: Ein Patientenratgeber (pp. 113-130). Berlin, Heidelberg: Springer Berlin Heidelberg.
- Tersago, J., & Constantin, A. (2024). Soleful Solutions: Advancements in Treatment Strategies for Ledderhose Disease. Foot and Ankle Surgery.