- Welche Therapiemethoden sind zur Behandlung der AC-Gelenkverletzung sinnvoll?
- Welche Operationstechniken sind bei AC-Gelenkverletzung möglich?
- Welche Vorteile hat die minimalinvasive AC-Gelenkrekonstruktion?
- Wie wird die Operation durchgeführt?
- Wie kann man einer chronischen Schultereckgelenksinstabilität vorgebeugen?
- Welche weiteren Therapien gibt es bei AC-Gelenkverletzungen?
- Wie lange dauert die Ruhigstellung nach Schultereckgelenkverletzung oder Operation der AC-Gelenksprengung?

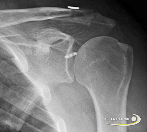
AC-Gelenkverletzungen und AC-Gelenksprengungen gehören zu den häufigsten Sportverletzungen der Schulter. Dabei steht die Abkürzung AC für das Akromioklavikulargelenk zwischen Schulterblatt und Schlüsselbein. Man bezeichnet das AC-Gelenk auch als Schultereckgelenk. Bei vielen Patienten mit einer Verletzung des Schultereckgelenks ist eine konservative Ausheilung ohne operativen Eingriff erfolgreich. Bei welchen Verletzungen des AC-Gelenks ist eine operative Versorgung durch einen Schulterspezialisten angebracht?
Welche Therapiemethoden sind zur Behandlung der AC-Gelenkverletzung sinnvoll?
In den Stadien I und II sind die konservative Behandlungsmethoden wie sechswöchige Ruhigstellung in einem Gilchrist-Verband und vor allem Aufhebung des axialen Zuges der Körperschwere sinnvoll. Dies führt zu einer Entlastung der Bandstrukturen und kann zu einer vollständige Ausheilung beitragen.
Welche Operationstechniken sind bei AC-Gelenkverletzung möglich?
Früher wurden überwiegend Drahtcerclagen mit langen Drähten und einer Drahtcerclage durchgeführt. Diese sollen die Kräfte, die am hängenden Arm wirken, neutralisieren. Weiterhin sind sogenannte Rüsselplatten, also Platten, die auf dem Schlüsselbein verschraubt werden und unter dem Schulterdach Stabilisierung finden, vorhanden. Agmentationstechniken, also Fadenkordeln, welche die Bandstrukturen stabilisieren oder augmentieren, sind ebenfalls beschrieben worden. Ziel einer solchen Therapie ist es, eine Heilung ohne eine Verlängerung oder Elongation der Bandstrukturen zu ermöglichen.
Ein häufiges Problem bei diesen Behandlungsmethoden sind Verknöcherungen im Bereich der Bandstrukturen und meist auch eine Verlängerung in den Bändern. Um dies zu verhindern, wurden in den letzten Jahren zunehmend arthroskopische Verfahren zur Schultergelenksstabilisierung entwickelt. Einige Nachteile sind dadurch aufgehoben worden. Dieses zeitaufwendige und technisch anspruchsvolle Verfahren ist aus Sicht der Schulterspezialisten der Gelenk-Klinik die für den Patienten erfolgversprechendste und schonendste Methode.
Welche Verfahren zur arthroskopischen Schulterstabilisierung nach AC-Gelenkverletzung sind bekannt?
Im Frühstadium innerhalb der ersten 12 Tagen kann mit einem sogenannten Kippanker und einer Cerclage zwischen dem Krähenschnabel und dem Schlüsselbein eine Fadenankerstabilisierung durchgeführt werden. Diese hat eine hohe Ausreißfestigkeit und ermöglicht es unter arthroskopischer Sicht eine Stabilisierung durchzuführen.
Welche Vorteile hat die minimalinvasive AC-Gelenkrekonstruktion?
Die minimalinvasive Gelenkrekonstruktion arbeitet mit kurzen Schnitten und einer geringen Schädigung des Gewebes. Es handelt sich um ein lang etabliertes Verfahren mit kurzer Operationszeit. Es wird eine hohe Gelenkstabilität erreicht.
Vor allem AC-Gelenkverletzungen der Rockwood Stadien III-VI können minimalinvasiv und arthroskopisch optimal versorgt werden. Weiterhin findet eine anatomische Wiederherstellung ohne vordere Verschiebungstendenz des Schlüsselbeines statt. Eine Abtragung der Sehnenreste im Bereich des Krähenschnabels mit Entfernung der Bandstrukturen ist nicht notwendig, ebensowenig eine Implantatentfernung.
Wer kann mit einer arthroskopischen Schultereckgelenksrekonstruktion versorgt werden?
- Verrenkungen und traumatische Verletzungen der Gelenkkapsel und des Schultereckgelenks (Rockwood-Verletzungen III-VI),
- chronische Instabilität in Kombination mit einem Bandersatz, z. B. eine Weaverdunn oder freies Sehnentransplantat,
- laterale Schlüsselbeinbrüche (Claviculafrakturen).
Wann ist die arthoskopische Versorgung der AC-Schultereckgelenksverletzung nicht möglich?
Nicht in allen Fällen können höhergradige AC-Gelenksprengungen minimalinvasiv arthroskopisch versorgt werden. In folgenden Fällen ist die Operation des Schultereckgelenks problematisch:
- Patienten mit schlechtem Allgemeinzustand,
- Patienten mit lokalen Weichteilinfektionen,
- Schaftfrakturen des Schlüsselbeins,
- chronische Instabilitäten ohne Kombination mit Bandersatz.
Wie wird die Operation durchgeführt?
Bei frischen Verletzungen wird ein etwa 3 cm langer, längsverlaufender Schnitt über dem äußeren Schlüsselbein durchgeführt. Hierüber wird mit einem Zielgerät eine Bohrung in den sogenannten Krähenschnabelfortsatz (Akromion) gebohrt. Darüber wird die sogenannte Distatenkordel mit Fadenmaterial eingebracht und durch das äußere Ende des Schlüsselbeines eingeführt. Der Faden wird straff gezogen, so dass eine optimale Stellung zwischen äußerem Schlüsselbeinanteil und dem Schulterdachknochen entsteht.
Wie kann man einer chronischen Schultereckgelenksinstabilität vorgebeugen?
Eine chronische Schultergelenkinstabilität entsteht häufig nach akuter Schultereckgelenkssprengung, die unzureichend behandelt worden ist oder bei der die Primärverletzung falsch eingeschätzt wurde. Sind akute Schultereckverletzungen von niedrigem Ausmaß vorhanden, sollte eine ausreichende Ruhigstellung durchgeführt werden, um hierdurch die Ausheilung zu sichern. Ist hierbei keine erfolgreiche Therapie möglich, sind langwierige und sehr umfassende Operationsmethoden vorhanden. Hierüber können Beschwerden gemindert, meist aber nicht vollständig behoben werden. Die Stabilisierung der chronischen Verschiebung des AC-Gelenks wird durch moderne Operationsmethoden ermöglicht.
Im Folgenden stellen wir die sogenannte AC-Gelenkstabilisierung mit einem Sehnentransplantat vom Kniegelenk näher vor.
Vereinfacht wird hierbei ein gedoppeltes Sehnentransplantat aus dem Kniebeugerbereich als Ersatz für die Schlüsselbein-Krähenschnabelverbindungsbänder eingeführt. Bei diesem Verfahren verwendet der Operateur einen sogenannten Autograft, also körpereigenes Gewebe vom Patienten, gegen das der Körper keine Abstoßungsreaktionen entwickelt. Die Kniesehnen werden als Bandtransplantate eingesetzt, ähnlich wie in der Kreuzbandchirurgie.
Für wen kommt eine Behandlung der AC-Gelenkverletzung mit einem Bandtransplantat in Frage?
Chronische Instabilitäten sowie akute Rockwood-Verletzungen IV-VI mit kompletter Verschiebung des AC-Gelenkes sind Indikationen für eine Bandtransplantation.
Welche Transplantate werden verwendet?
Der Autograft, also das körpereigene Gewebe, wird aus dem Kniebereich entnommen. Hier werden bei uns häufig die Grazilissehne entnommen. Ebenfalls beschrieben ist die Transplantation der Semitendinosus- und Tibialissehne. Die Menge des Transplantats beträgt etwa 12-15 cm, es wird gedoppelt und durch ein 5,5 mm großes Bohrloch zwischen dem Krähenschnabel und dem Schlüsselbein eingeführt.
Kann die chronische Stabilisierung des AC-Gelenks mit arthroskopischer Hilfe durchgeführt werden?
Die Spezialisten der Gelenk-Klinik führen die Stabilisierung des lateralen Schultergelenkes in Abhängigkeit vom Ausmaß und der Verschiebung arthroskopisch durch.
Sicherlich ist weiterhin ein Teil der Patienten nur mit einem offenen chirurgischen Therapieverfahren mit Sehnenknochentransplantation aus dem Schulterdachbereich sicher zu versorgen. Bei entsprechender Indikation kann auch ein arthroskopisches Verfahren mit Sehnentransplantation zwischen dem coracoacromialen Band sinnvoll sein.
Wie wird das Transplantat befestigt?
Zur Festigung des Transplantates wird ein Ring sowie ein sogenannten Endobutton verwendet, der einen entsprechenden Halt unter dem Krähenschnabelfortsatz bietet.
Welche weiteren Therapien gibt es bei AC-Gelenkverletzungen?
Die Verwendung einer sogenannten Rüsselplatte ist ebenfalls ein Therapieverfahren, das bei Instabilität des Schultereckgelenkes eingesetzt werden kann.
Hier sind in den letzten Jahren vermehrt Anpassungen des sogenannten Rüssels der Platte, der unter dem Schulterdach zu liegen kommt, durchgeführt worden. Eine Verkürzung des Plattenkörpers lässt hier eine Verkürzung des Hautschnittes zu. Sie dient in erster Linie zur Versorgung bei frischen Verletzungen.
Die Indikation besteht ebenfalls bei AC-Gelenksluxationen Rockwood III-VI, lateralen Schlüsselbeinfrakturen sowie der Versorgung alter AC-Gelenkverletzungen in modifizierter Weaverdunn-Operationstechnik.
Die Platte ist anatomisch geformt und wird zum Teil auf dem äußeren Schlüsselbein mit 3-4 Schrauben befestigt. Der Halt wird am gegenüberliegenden Schulterdachknochen durch den sogenannten Rüssel gegeben.
Wie lange dauert die Ruhigstellung nach Schultereckgelenkverletzung oder Operation der AC-Gelenkssprengung?

Grundsätzlich ist eine Ruhigstellung des Arms in einem sogenannten Gilchrist-Verband für mindestens 4 Wochen, je nach Angaben des Operateurs bis zu 6-8 Wochen notwendig. Bewegungsübungen des Ellenbogengelenks sowie der Handgelenke sind möglich. Vorsichtige Mobilisation des Armes ist ebenfalls sinnvoll und möglich.
Wie lange hat der Patient Beschwerden nach einer Schultereckgelenkverletzung?
Häufig werden vom Patienten noch über 3-6 Monate deutliche Restbeschwerden, auch im Bereich des Schultereckgelenks, angegeben.
Kann der Arzt einen operativen Erfolg garantieren?
Eine Garantie - insbesondere bei chronisch verletzten Schultereckgelenken - ist nicht möglich. Zum Teil sind die Bandstrukturen und meniskusartigen Strukturen im Acromionklavikulargelenk verletzt. Diese müssen bei weiterhin bestehenden chronischen Beschwerden zum Teil entfernt werden. In manchen Fällen ist auch die Entfernung des äußeren Teils des Schlüsselbeins notwendig, um hier eine Besserung zu erreichen.
Grundproblem ist, dass eine starke körperliche Belastung bei vorverletztem Schultereckgelenk in der Zukunft kaum noch zu erreichen ist.
Literaturangaben
- Spezialgebiete aus der Schulter- und Ellenbogenchirurgie 2: Update 2006 (German Edition). (2006) (1 ed). Steinkopff.
- BERBRAYER, P. (1958). Cyst of an intra-articular disc of the acromio-clavicular joint.. The Journal of bone and joint surgery. British volume, 40-B(1), 100-102.
- Berman, J. L. & Shaub, M. S. (1983). Arthrography of the shoulder.. Clinics in sports medicine, 2(2), 291-308.
- DEWAR, F. P. & BARRINGTON, T. W. (1965). THE TREATMENT OF CHRONIC ACROMIO-CLAVICULAR DISLOCATION.. The Journal of bone and joint surgery. British volume, 47, 32-35.
- Echtermeyer, V. & Bartsch, S. (2005). Praxisbuch Schulter : Verletzungen und Erkrankungen systematisch diagnostizieren, therapieren, begutachten ; 10 Tabellen. Thieme.
- Forthomme, B., Crielaard, J.-M. & Croisier, J.-L. (2008). Scapular positioning in athlete's shoulder : particularities, clinical measurements and implications.. Sports medicine (Auckland, N.Z.), 38(5), 369-386.
- Gohlke, F. & Hedtmann, A. (2002). Handbuch Orthopädie, Schulter. Thieme, Stuttgart.
- Haas, N. & Blauth, M. (1989). [Injuries of the acromio- and sternoclavicular joint--surgical or conservative treatment?].. Der Orthopäde, 18(4).
- Hedtmann, A., Fett, H. & Ludwig, J. (1998). [Management of old neglected posttraumatic acromioclavicular joint instability and arthrosis].. Der Orthopäde, 27(8), 556-566.
- KENNEDY, J. C. & CAMERON, H. (1954). Complete dislocation of the acromio-clavicular joint.. The Journal of bone and joint surgery. British volume, 36-B(2), 202-208.
- Kessel, L. & Watson, M. (1977). The painful arc syndrome. Clinical classification as a guide to management.. The Journal of bone and joint surgery. British volume, 59(2), 166-172.
- Kumar, V. P. (2002). Biomechanics of the shoulder.. Annals of the Academy of Medicine, Singapore, 31(5), 590-592.
- Nath, R. K., Melcher, S. E. & Paizi, M. (2006). Surgical correction of unsuccessful derotational humeral osteotomy in obstetric brachial plexus palsy: evidence of the significance of scapular deformity in the pathophysiology of the medial rotation contracture.. Journal of brachial plexus and peripheral nerve injury, 1.
- Peetrons, P., Rasmussen, O. S., Creteur, V. & Chhem, R. K. (2001). Ultrasound of the shoulder joint: non "rotator cuff" lesions.. European journal of ultrasound, 14(1), 11-19.
- Takase, K., Yamamoto, K. & Imakiire, A. (2004). Therapeutic results of acromioclavicular joint dislocation complicated by rotator cuff tear.. Journal of orthopaedic surgery (Hong Kong), 12(1), 96-101.
- Trikha, S. P., Acton, D., Wilson, A. J. & Curtis, M. J. (2004). A new method of arthroscopic reconstruction of the dislocated acromio-clavicular joint.. Annals of the Royal College of Surgeons of England, 86(3), 161-164.
- van der Heijden, G. J. (1999). Shoulder disorders: a state-of-the-art review.. Baillière`s best practice & research. Clinical rheumatology, 13, 287-309.