- Wann schmerzt das Sprunggelenk: nachts, in Ruhe oder bei Belastung?
- Ursachen: Wodurch entstehen Schmerzen im Sprunggelenk?
- Anatomie des oberen und unteren Sprunggelenks
- Diagnose: Wie untersucht der Arzt Schmerzen im Sprunggelenk?
- Behandlung von Sprunggelenkschmerzen
- 23 Übungen bei Sprunggelenkschmerzen
- Häufige Patientenfragen zu Schmerzen im Sprunggelenk an Dr. Schneider von der Gelenk-Klinik Freiburg
Bei der Untersuchung des Sprunggelenks achtet der Spezialist auf Schmerzen, Instabilitäten und Beweglichkeitseinschränkungen. © Dr. Thomas Schneider
Sprunggelenkschmerzen sind eigentlich Schmerzen im Knöchel: Der Knöchel ist die Verbindung zwischen Fuß und Unterschenkel. Das obere Sprunggelenk (OSG) ist sehr anfällig gegenüber Umknickverletzungen mit Verdrehungen (Distorsionen).
Meist lösen akute Verletzungen mit Umknicken und Prellung des Knöchels Schmerzen im Sprunggelenk aus. Es gibt aber auch andere Ursachen für Schmerzen in Sprunggelenk und Fuß, die wir im Folgenden vorstellen.
Wann schmerzt das Sprunggelenk: nachts, in Ruhe oder bei Belastung?
Schmerzauslösende Situationen:
Für die Diagnose ist es wichtig, dass der Arzt genau weiß, in welcher Situation die Schmerzen im Sprunggelenk auftreten und wie lange sie anhalten. Treten Sie in Ruhe auf, unter Belastung oder als Anlaufschmerzen? Möglichst genaue Angaben helfen dem Spezialisten für Fuß- und Sprunggelenkserkrankungen bei der Ursachenfindung.
Sprunggelenkschmerzen beim Stehen
Das Sprunggelenk ist durch seinen Aufbau besonders anfällig für Veränderungen der Fußstellung. Eine Fehlstellung des Fußes überträgt sich auf die Position des Talus in der Sprunggelenksgabel (Malleolengabel). Dazu gehören vor allem statische Fehlstellungen wie ein Knick-Senkfuß, Knick-Plattfuß oder auch ein Hohlfuß.
Bei einem Senkfuß kippt der Sprungbeinknochen oft nach vorne und unten ab. Dadurch entsteht aufgrund der kegelförmigen anatomischen Form des Sprungbeins eine Instabilität im oberen Sprunggelenk: Es kommt zu Sprunggelenkschmerzen am Innenknöchel.
Beim Stehen kann jede Fehlstellung zu Sprunggelenkschmerzen führen, besonders wenn bei langjährigem Bestehen weitere Schäden an den Bändern entstanden sind.
Auch Unfälle können Schmerzen beim Stehen verursachen. Dabei entstehende Verletzungen wie Sprunggelenksfrakturen mit Fehlstellungen im ehemaligen Bruchbereich können sich auf die statische Belastung auswirken.
Sprunggelenkschmerzen beim Gehen, Auftreten und Abrollen des Fußes
Sprunggelenkschmerzen beim Abrollen sind ähnlich wie Schmerzen beim Gehen durch die vertikale Bewegung des Fußes nach oben bedingt. Diese wird durch das obere Sprunggelenk unterstützt. Hierbei handelt es sich um Sprunggelenkschmerzen, die bei der Bewegung entstehen, genauer gesagt bei der Bewegung unter gleichzeitiger Belastung des Fußes nach oben.
Beim Bewegen des Sprungbeins in der Sprunggelenksgabel kann neben der statischen Fehlstellung des Fußes auch eine veränderte Stellung oder Weitung der Sprunggelenksgabel eine wichtige Rolle spielen. Das vorne breitere Sprungbein muss beim Anheben des Fußes in den vorderen Teil der Sprunggelenksgabel passen.
Syndesmoseschäden oder andere Bandschäden können die Rolle des Talus in der Abrollbewegung stören oder unmöglich machen. Auch Knochenanbauten im Rahmen einer Sprunggelenksarthrose stören die Abrollbewegung, wodurch Schmerzen und Veränderungen im Gangbild entstehen. Ein Spezialfall sind Schmerzen beim Abrollen bei Patienten mit gelockerter Sprunggelenksprothese. Eventuell ist hier ein Prothesenwechsel (Revision) erforderlich.
Syndesmosenruptur: Durch Riss des Syndesmosebandes zwischen Schienbein und Wadenbein kann sich die Stellung der Sprunggelenksgabel ändern. © Dr. Thomas Schneider
Sprunggelenkschmerzen beim Hocken
Sprunggelenkschmerzen, die beim Verharren in einer tiefen Hockposition eintreten, haben eine statische Schmerzursache. In dieser Zwangsposition tritt das Sprungbein im oberen Sprunggelenk maximal nach oben, also nach hinten in die Sprunggelenkgabel ein. Um diese Bewegung zu ermöglichen, muss die Syndesmose elastisch nachgeben. Neben Schäden an der Syndesmose können auch andere Bandschäden verantwortlich sein. Als Folge der Sprunggelenkarthrose nach Gelenkschäden bei Unfällen können sich Knochenanbauten (Osteophyten) bilden. Auch instabile, überbewegliche Sprunggelenke können nach jahrelanger Fehlbelastung knöcherne Anbauten bilden. Das ist der Versuch der Natur, das Gelenk wieder stabiler zu machen. Das Problem ist, dass das knöcherne Anschlagen die Beweglichkeit einschränkt. Sprunggelenkschmerzen beim Verharren in der Hockposition sind Frühzeichen für eine solche Entwicklung. Es können aber auch Weichteileinklemmungen oder ein Knorpelschaden eine Rolle spielen.
Sprunggelenkschmerzen beim Treppensteigen
Treppensteigen ist eine dynamische Belastungsform. Die Schmerzen sind davon abhängig, ob man die Treppe hoch oder runter geht. Beim Hochgehen belastet man vermehrt den Vor- oder Mittelfuß. Die Schmerzen beim Treppensteigen entstehen selten im Sprunggelenk. Hier sind Fußschmerzen durch Arthrose oder auch Achillessehnenbeschwerden sehr viel häufiger zu fühlen.
Beim Heruntergehen der Treppe befindet sich das hintere Sprunggelenk in einer starken Dorsalextension (Bewegung in Richtung Fußrücken), ähnlich wie beim Abrollen. Das Heruntergehen einer Treppe ist eine der stärksten Belastungen für das Sprunggelenk im Alltag. Die Belastung ist auch wegen des stärkeren Bewegungsausmaßes oft höher als beim Gehen.
Sprunggelenkschmerzen beim Treppensteigen sind ein häufiges Symptom, aber leider auch ein fortgeschrittenes Beschwerdebild.
Sprunggelenkschmerzen bei Nacht (Ruheschmerzen)
Sprunggelenkschmerzen, die in der Nacht auftreten, sind meist durch Nervenschädigungen (Polyneuropathien) bedingt. Eine weitere Ursache kann eine belastungsabhängige Reizung im Alltag sein. Zudem gibt es seltene Knochentumoren, die bei Nacht die wesentliche Schmerzsymptomatik entfalten. Dazu gehört z. B. das Osteoidosteom am Schienbein.
Die Alltagsbelastung des Sprunggelenks mit beginnender oder ausgeprägter Arthrose kann zu Abrieb im Gelenk führen. Bandschäden oder auch eine starke Überlastung verstärken diesen Prozess. Der Abrieb kann in der Gelenkkapsel zu einer schmerzhaften und meist von Überwärmung und Schwellung begleiteten Entzündung im Sprunggelenk führen. Die Schleimhaut, die das Sprunggelenk auskleidet, entzündet sich und verursacht auch in Ruhe Sprunggelenkschmerzen. Es liegt in diesem Fall eine entzündlich aktivierte Arthrose des Sprunggelenks vor.
Beschwerden aufgrund einer Reizung der Gelenkschleimhaut (Synovia) treten häufig bei Sportlern auf. Eine auf früheren Verletzungen beruhende Bandinstabilität begünstigt eine solche Synovitis. Instabile Bänder oder eine Fehlbelastung des Sprunggelenkes nach stärkeren Belastungen führen zur Entzündung der Schleimhaut. In der Nacht, aber auch in den ersten Tagen nach der sportlichen Belastung haben diese Patienten oft vermehrt Sprunggelenkschmerzen. Diese Art von Schmerzen sollte dringend abgeklärt werden.
Anlaufschmerzen bei Arthrose im Sprunggelenk
Anlaufschmerzen sind ein sehr häufiges Symptom am Sprunggelenk. Die ersten Schritte nach dem Aufstehen oder nach einer Ruhephase sind von Gelenksteifigkeit und Schmerzen geprägt. Diese Anlaufschmerzen legen sich nach wenigen Minuten meistens wieder. Der Rest des Tages ist dann beschwerdefrei. Dennoch sind Anlaufschmerzen ein wichtiges Warnsignal.
Eine Erklärung für Anlaufschmerzen sind Veränderungen der Schmierung im Gelenk. Die Ruhephase führt besonders im erkrankten Sprunggelenk zu einer veränderten Reibung zwischen den Gelenkpartnern (Schienbein und Sprungbein). Gelenkerkrankungen schwächen zudem die Gelenkschleimhaut, die für eine ausreichende Gelenkbeweglichkeit zuständig ist. Sie produziert bei Entzündungen Gelenkflüssigkeit (Synovialflüssigkeit) in anderer Menge und Zusammensetzung als im gesunden Gelenk.
Sprunggelenkschmerzen beim Gehen auf unebenem Untergrund
Für die gesunde Funktion des Sprunggelenks ist die Lage des Sprungbeins sehr wichtig. Daher ist auch eine mögliche Fußfehlstellung immer mit starken Auswirkungen auf die Gesundheit des oberen Sprunggelenks verbunden. Jede Verkippung des Fersenbeins nach innen oder außen schafft Belastungszonen im Sprunggelenk, die zu Verschleiß führen. Überbelastung durch eine Fehlstellung kann ebenfalls zu Arthrose im Sprunggelenk führen.
Schmerzen im Sprunggelenk beim Gehen auf unebenem Untergrund sind typisch für ein instabiles oberes Sprunggelenk (OSG): Für das Gehen auf unebenem Untergrund ist eine starke Muskelführung notwendig. Man kann sich die Sehnen, die neben den Bändern das Sprunggelenk stabilisieren, wie Schnüre an einem Lenkdrachen vorstellen. Eine Vielzahl von Sehnen führen die Position des Fußes und die Stellung des oberen und unteren Sprunggelenks. Das Gehen auf unebenem Untergrund fordert sie besonders stark. Es zeigen sich muskuläre Dysbalancen (Muskelungleichgewichte) ebenso wie Bandschäden. Auch Knorpelschäden und Knochenschäden im oberen oder unteren Sprunggelenk können ursächlich sein.
Belastungsabhängige Schmerzen im Sprunggelenk
Permanente Schmerzen im Sprunggelenk sind selten. Nach Belastung sind die Beschwerden oft nur vorübergehend. Ein sehr häufiges Symptom sind Schwellungen am Knöchel bzw. abendliche Schwellungen nach der Belastung des Tages. Besonders kritische Symptome, die man dringend Ernst nehmen sollte, sind anhaltende Schwellungen und Schmerzen nach dem Sport.
Patient berichtet über Schwellung des Knöchels nach dem Sport
Ein 35-jähriger Patient erzählt: "Ich habe häufig nach dem Sport Beschwerden im Knöchel. Wenn ich mit dem Sport beginne sind meine Sprunggelenkbeschwerden gering. Beim Fußballspielen habe ich keine Einschränkungen. Die Tage danach sind aber sehr beschwerlich. Wenn ich dann wieder loslaufe, spüre ich deutliche Beschwerden und mein Gelenk ist geschwollen. Diese Symptome nach dem Sport dauern oft einige Tage.”
Erklärung der Schwellung
Unter der Belastung entsteht vermehrt Abrieb im Gelenk. Je nach Ursache der Fehlstellung oder der Instabilität sind die Beschwerden unterschiedlich verteilt. Der Abrieb – das sind kleinste Partikel des Knorpels – führt an der Gelenkschleimhaut zu einer Entzündung. Diese Knöchelentzündung durch Schwellung und Flüssigkeitsansammlung erkennt man im MRT oder durch eine Arthroskopie (Gelenkspiegelung) an einer Rötung der Gelenkschleimhaut. Die Schwellung klingt bei Schonung häufig nach einigen Tagen wieder ab.
Ursachen: Wie entstehen Schmerzen im Sprunggelenk?
- Umknicken mit Bandverletzung
- angeborene Bandschwäche am Fußgelenk
- Umknicken mit Fraktur des Sprunggelenks
- Entzündung im Gelenk: Arthritis
- Fehlstellung im Fuß: Knick-Senkfuß
- Fehlstellung des Fersenbeins
- Arthrose im Sprunggelenk
- Syndesmosebandriss im Sprunggelenk
- Schmerzen nach Überlastung
- Blockaden im Sprunggelenk
- Einklemmungen (Entrapment) von Nerven
- Osteoidosteom am Sprunggelenk
Schmerzen im Sprunggelenk sind häufig Folge von Unfällen: Dazu gehören Umknickverletzungen mit Bandschädigungen und osteochondralen Läsionen. In vielen Fällen sind Schmerzen im Fußgelenk eine Langzeitfolge alter Bandverletzungen. Auch Überbelastung sowie angeborene oder erworbene Fehlstellungen im Sprunggelenk können zu Sprunggelenkschmerzen führen.
Die resultierenden Knorpelschäden machen sich oftmals erst bemerkbar, wenn ein Stadium 3 oder 4, d. h. eine Schädigung des Knorpels bis zum Knochen vorliegt.
Umknickverletzungen und Bänderrisse
Sprunggelenk von oben: Gelb eingezeichnet ist die Sprunggelenksgabel aus Wadenbein (links) und Schienbein (rechts). Bänderrisse (rot) können zu einer Fehlstellung des Sprungbeins (violett) im Sprunggelenk führen. © Dr. Thomas Schneider
Am weitesten verbreitet sind Sprunggelenkschmerzen nach Umknickverletzungen (Supinationstrauma). Beim Laufsport oder bei Kontaktsportarten (Fußball, Volleyball, Basketball) ist das Sprunggelenk besonders gefährdet. Vor allem bei Sprüngen oder auf unebenem Grund kann das Sprunggelenk mit großer Wucht nach außen abknicken.
Auch Schuhe mit hohen Absätzen, in denen der Fuß dauernd in einer gestreckten Position verharrt, machen das Sprunggelenk gegen Umknickverletzungen besonders anfällig.
Die überdehnten Bänder oder die bandartige Stabilisierung der Sprunggelenkgabel (Syndesmose) reißen oder werden zumindest in ihrer inneren Struktur geschädigt. Typisch ist dann die schnell eintretende schmerzhafte Schwellung, die häufig von Blutergüssen (Hämatome) und einer Blaufärbung des Gelenks begleitet wird. Dann führt jeder Schritt zu stechenden Schmerzen im Sprunggelenk. In Ruhe, wenn keine Belastung der verletzten Strukturen erfolgt, ist der Schmerz nach Umknickverletzungen dumpf und ziehend.
Meist ist eine Ruhigstellung mit Gehschiene ausreichend, um die Bänder wieder ausheilen zu lassen. Die Gehschiene fixiert das Gelenk, sodass die vertikale Beweglichkeit noch möglich ist, seitliches Umknicken aber ausgeschlossen ist. In dieser Fixierung heilen die gerissenen Bänder meist innerhalb von bis zu 6 Wochen wieder zusammen. In seltenen Fällen ist auch eine Operation der gerissenen Außenbänder notwendig, um sie wiederherzustellen oder zu refixieren.
Schmerzen durch Überbeweglichkeit des Sprungbeins nach Bandschäden
Häufig kommen nach einer dauerhaften Schädigung der Bänder noch Fehlstellungen des Sprunggelenks oder des Sprungbeins hinzu. Wiederholte Umknicktraumen, die durch instabile Bänder verursacht werden, sind die Folge. Das kann schließlich zu einer schmerzhaften Sprunggelenksarthrose führen.
Auch eine Überbeweglichkeit des Sprungbeins (Talus) kann aus einer Störung der Bandfunktion durch gerissene und insuffiziente Bänder resultieren. Das Sprungbein verschiebt sich dann bei jedem Schritt zu weit in der Sprunggelenksgabel nach vorne. Auch diese Verschiebbarkeit führt langfristig zu einer Arthrose im Sprunggelenk.
Gelenkentzündungen und Knorpel-Knochenschäden am Sprunggelenk
Nicht nur Bänder sind gefährdet: Beim Umknicken im Sprunggelenk besteht auch die Gefahr, dass sich das Sprungbein in der Sprunggelenksgabel verdreht und verkantet (Distorsion). Diese gewaltigen Drücke können zu einem langwierigen Schaden der Knorpel und Knochen der Gelenkoberfläche führen. Ein solches Knochen-Knorpeltrauma (osteochondrale Läsion) des Sprunggelenks kann über die Jahre zu immer wiederkehrenden, dumpfen und tiefliegenden Schmerzen im Sprunggelenk führen.
Gelenkentzündungen und Schmerzen nach dem Sport
Sprunggelenkschmerzen, die als Folge einer intensiven sportlichen Belastung über 2–3 Tage andauern, sind sicher ein Warnzeichen, das auf eine Schwächung des Sprunggelenks hindeutet.
Dabei ist die Belastbarkeit des Sprunggelenks deutlich reduziert. Manchmal beobachten die Patienten nach einer Belastung auch langwierige "Gelenkkater" mit tagelang ziehenden Schmerzen und Schwellungen am Knöchel.
Die Belastung führt hierbei wahrscheinlich zum Abrieb von Knorpel oder zu immer wiederkehrenden Einklemmungen von Weichteilen. Die Schleimhaut entzündet sich nach der Belastung über Nacht und schmerzt dann über einen längeren Zeitraum.
Erst wenn diese akute Synovitis wieder abgeklungen ist, lassen die Beschwerden nach. Eine Synovitis stört zudem die Produktion der Gelenkflüssigkeit. So kann es mit jedem Entzündungsereignis zu einer schlechteren Ernährung des Knorpelgewebes mit zunehmender Schwächung des Knorpels kommen.
Wenn Sie nach dem Laufen oder Fußballspielen lang andauernde Schmerzen im Sprunggelenk haben, sollten Sie die Belastung entsprechend dosieren. Eine ärztliche Untersuchung Ihres Sprunggelenks wäre sinnvoll, um mögliche Schäden früh zu erkennen.
Schmerzen durch Fehlstellung des Fußes
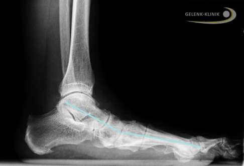
Röntgenbild von Fuß und Sprunggelenk (Längsschnitt). Die Linie zeigt das sichtbar abgesenkte Fußlängsgewölbe. Der dadurch nach innen geknickte Fuß führt zu einer Überlastung am Innenknöchel. Eine Sprunggelenksarthrose ist die mögliche Folge. © Dr. Thomas Schneider
Nicht nur Unfälle, auch Fußfehlstellungen gefährden die Gesundheit des oberen Sprunggelenks. Der Fuß ist ein entscheidend wichtiges Stellungsorgan, das die Ausrichtung der Gelenkpartner zueinander im Sprunggelenk bestimmt.
Der im Sprunggelenk verkantete Talus (Sprungbein) führt zu einer schmerzhaften Arthrose. Vor allem beim Gehen auf einem Untergrund mit Hangneigung können starke Sprunggelenkschmerzen entstehen. © Dr. Thomas Schneider
Eine Varusfehlstellung (nach außen gebogenes Sprunggelenk) des Fußes nach einem Bänderriss führt zum Hohlfuß. Die daraus resultierende mediale (innere) Sprunggelenksarthrose kann sehr schmerzhaft sein. © Dr. Thomas Schneider
Bei einem Knick-Senkfuß (X- oder Valgusstellung der Ferse) verkantet sich das Sprungbein in der Sprunggelenksgabel. Eine lokale Überlastung an den Stellen, die zu viel Druck bekommen, führt zu Knorpelschäden und schließlich zur Arthrose im Sprunggelenk. Beim Knick-Senkfuß sinkt der Talus nach innen ab. Daraus resultiert eine starke Überlastung im äußeren Talusbereich. Der Knick-Senkfuß verursacht daher eine laterale (äußere) Sprunggelenksarthrose. Die Schmerzen sind also außen im Sprunggelenk lokalisiert.
Eine mögliche Ursache für einen angeborenen Knick-Senkfuß sind Verwachsungen der Knochen von Rückfuß und Mittelfuß, die sogenannten tarsalen Koalitionen.
Auch ein Hohlfuß (O- oder Varusfehlstellung der Ferse) führt zu charakteristischen Überlastungsschäden im Sprunggelenk. Beim Hohlfuß (Pes excavatus) sinkt das Sprungbein in der Sprunggelenksgabel nach außen ab. Daher entsteht eine Überlastung des Sprungbeins im inneren (medialen) Bereich des Sprunggelenks. Der Sprunggelenkschmerz entsteht dann im Innenbereich des Sprunggelenks.
Die Arthrose als Folge der lokalen Überlastung des Sprungbeins (Talus) führt schließlich zu charakteristischen, dumpfen, tiefliegenden Schmerzen im Sprunggelenk.
Schmerzende Einklemmung von Nerven am Sprunggelenk
Oberflächliche Schmerzen oder Gefühlsstörungen auf dem Sprunggelenk und Fuß entstehen durch das Tarsaltunnelsyndrom. Die Nerven werden dabei gegen die oberflächlich verlaufenden Bänder gedrückt. © Dr. Thomas Schneider
Brennende oder stechende, und manchmal dumpfe Schmerzen auf der Oberfläche des Sprunggelenks resultieren häufig aus Nerveneinklemmungen. Man spricht auch von einem Nervenkompressionssyndrom. Die unter der Haut verlaufenden Nerven werden in ihrem Verlauf gequetscht oder gedrückt. Häufig sind die horizontal am Sprunggelenk verlaufenden Bänder, die den Tarsaltunnel bilden, für diese Schmerzen verantwortlich. Der Tarsaltunnel bildet eine eingeengte Durchtrittsstelle für Nerven und Blutgefäße am Sprunggelenk. Man spricht daher vom Tarsaltunnelsyndrom. Dabei bildet jedes Band eine eigene mögliche Druckstelle. Häufig entstehen diese Nervenschmerzen am Sprunggelenk nach Schwellungen im Gewebe. Verschiedene Ursachen können diese Schwellung auslösen: Wassereinlagerungen (Ödeme) können ebenso die Ursache sein wie eine Verletzung mit einer lokalen Schwellung. Neben brennenden Schmerzen begleitet häufig auch ein Taubheitsgefühl an der Fußsohle das Tarsaltunnelsyndrom.
Schematische Darstellung des Tarsaltunnels an der Außenseite des Sprunggelenks. Alle Sehnen, Nerven und Blutgefäße, die vom Unterschenkel in das Bein hineinlaufen, passieren diesen Tarsaltunnel. Eine Schwellung im Sprunggelenk führt daher zu schmerzhaften Nerveneinklemmungen. © Dr. Thomas Schneider
Sehnenansatzentzündungen: Peronealsehne und Tibialis-posterior-Sehne
Die Entzündung von Sehnen und Sehnenansätzen (Entesiopathien) gehört ebenfalls in den Bereich der oberflächlichen Schmerzen am Sprunggelenk. Besonders erwähnenswert ist hier die Peronealsehne: Sie verläuft aus dem Unterschenkel in den Fuß hinein. Der Zug der Peronealsehne ist für das Aufrichten des Fußlängsgewölbes mitverantwortlich.
Auch die Tibialis-posterior-Sehne verläuft in den Fuß hinein und kann sich schmerzhaft entzünden. Eine Fehlfunktion der Tibialis-posterior-Sehne kann zu einem erworbenen Knick-Senkfuß führen.
Die für die Funktion des Fußes wichtige Peronealsehne und die Tibialis-posterior-Sehne verlaufen aus dem Unterschenkel um den Außenknöchel herum. Entzündungen dieser Sehnen und Sehnenansätze sind daher häufig als oberflächliche Schmerzen am Sprunggelenk zu spüren. © Dr. Thomas Schneider
Schmerzen im Knöchel nach Knorpelschäden
Häufige Ursachen für Sprunggelenkschmerzen beim Gehen sind Knorpelschäden am Sprungbein, Knorpel-Knochen-Schäden (osteochondrale Läsionen) oder eine Osteochondrosis dissecans. Freie Gelenkkörper (Loose Bodys) werden ebenfalls beim Gehen symptomatisch. Blockaden des Sprunggelenkes können die Folge sein.
Röntgenbild des Sprunggelenks (Seitenvergleich): Links sieht man ein gesundes Sprunggelenk mit einem normal großen Gelenkspalt. Rechts ist durch die Fehlstellung eines Knick-Senkfußes oder Knickplattfußes eine Arthrose am Innenknöchel entstanden. Ursache ist die Fehlstellung des Sprungbeins in der Gabel und eine resultierende instabile Situation des Sprungbeins. Das Abstützen des Fußlängsgewölbes kann die Beschwerden verbessern. © Dr. Thomas Schneider
Schmerzen im Sprunggelenk bei Gelenkblockaden
Die Sprunggelenkschmerzen können bei einem in der Beweglichkeit nach oben eingeschränkten Gelenk besonders stark sein. Ein Anstoßen des vorderen Anteiles des Sprungbeins am vorderen Schienbein kann ursächlich sein. Dies kann verschiedene Ursachen haben: Knochenanbauten (Osteophyten) oder Fehlstellungen durch einen Hohlfuß oder nach einer fehlverheilten Fersenbeinfraktur mit Anschlagen am vorderen Sprungbein.
Weiterhin können Schmerzen im Sprunggelenk beim Abrollen und Gehen auch durch ein Impingement entstehen. Das sind Gelenkblockaden, die aus Weichteileinklemmungen oder einem knöchernes Anschlagen resultieren. Instabile Sprunggelenke mit fehlender Funktion der Bänder können ebenfalls zu diesen Symptomen führen.
Stechende Schmerzen nach Sprunggelenksfraktur
Wenn das Umknicktrauma oder die Verdrehung (Distorsion) im Sprunggelenk mit großer Wucht erfolgt, sind auch Brüche am Sprungbein oder an der Malleolengabel möglich. Diese Frakturen des Sprunggelenks führen sofort zu starken Schmerzen. Das Auftreten auf dem Fuß wird nach der Fraktur unmöglich. Eine Schwellung mit Blutergüssen folgt. Die Schmerzen sind noch stärker als nach einem Bänderriss.
Die erste Maßnahme nach einer Sprunggelenksfraktur ist meist eine Ruhigstellung. Manchmal ist aber auch eine Operation zur Stabilisierung der dabei entstehenden Knochenfragmente erforderlich. Nach sechswöchiger Ruhigstellung ist die Fraktur des Sprunggelenks häufig wieder abgeheilt. Durch Fehlstellung der Malleolengabel können jedoch auch Langzeitfolgen der Sprunggelenksfraktur auftreten, die nach Jahren wieder zu Schmerzen und Beschwerden führen. Sollten solche Fehlstellungen entstehen, kann eine frühe Behandlung den weiteren Fortschritt der Arthrose aufhalten.
Externer Inhalt von youtube.com
Anatomie des oberen und unteren Sprunggelenks
Das Sprunggelenk ist die gelenkige Verbindung zwischen Fuß und Unterschenkel. Man unterscheidet zwei Abschnitte:
- das obere Sprunggelenk (kurz OSG)
- das untere Sprunggelenk (kurz USG)
Die Funktionen des oberen und unteren Sprunggelenks sind untrennbar miteinander verbunden: Während das obere Sprunggelenk vor allem für die Beweglichkeit nach oben und unten verantwortlich ist, leistet das untere Sprunggelenk seitliche Kippbewegungen, die für das Gehen auf unebenem Untergrund unerlässlich sind. Daher bilden oberes Sprunggelenk, unteres Sprunggelenk und Fußwurzel eine funktionelle Einheit.
Das obere Sprunggelenk ist aus drei Gelenkpartnern zusammengesetzt. Zwei Knochen – Fibula (Wadenbein) und Tibia (Schienbein) – bilden den unterschenkelseitigen Partner. Der Talus (Sprungbein) bildet den fußseitigen Gelenkpartner. Die Sprunggelenksgabel (Malleolengabel) umgibt das kegelförmige Sprungbein (Talus). Das hintere untere Sprunggelenk (talocalcaneares Gelenk) liegt zwischen Sprungbein (Talus) und Ferse (Calcaneus). Von den beiden vorderen unteren Sprunggelenken ist hier nur das talonaviculare Gelenk (gebildet von Sprungbein und Kahnbein) zu sehen. Nicht sichtbar ist das calcaneocuboidale Gelenk zwischen Fersenbein und Würfelbein. © Viewmedica
Das Verständnis der Funktion des oberen und unteren Sprunggelenks ist wichtig für die richtige Einschätzung von Sprunggelenkschmerzen. Besondere Auswirkung hat auch die Fußstellung auf die Funktion des Sprunggelenkes und auf die Belastungsverhältnisse. So sind die Belastungen im ausgestreckten Fuß (Spitzfußstellung) andere als bei angezogenem Fuß.
Mehrdimensionale Fehlstellungen wie z. B. der Knick-Senkfuß können sich wesentlich auf die Funktion der Sprunggelenke auswirken und dadurch Schmerzen hervorrufen.
Wie ist das obere Sprunggelenk knöchern aufgebaut?
Bewegungsrichtungen im Sprunggelenk: Das obere Sprunggelenk ist für die vertikale Beweglichkeit des Sprunggelenks zuständig. Die seitliche Beweglichkeit entsteht im unteren Sprunggelenk. © Dr. Thomas Schneider
Das mit 12 cm2 relativ kleine obere Sprunggelenk (OSG) verbindet Fuß und Unterschenkel. Es muss pro Fläche die größte Belastung aller Gelenke aushalten: Bei normalem Gehen oder Joggen lastet durch die Beschleunigung bis zum Siebenfachen des Körpergewichts auf dem OSG. Es trägt somit bei wesentlich kleinerer Fläche eine höhere Last als Knie- oder Hüftgelenk. Im Stand auf einem Bein muss es das gesamte Körpergewicht tragen. Fehlstellungen oder Verletzungen führen daher sehr schnell zu bewegungsabhängigen Schmerzen im Fußgelenk.
Das in mehreren Dimensionen bewegliche Sprunggelenk ist außerdem der Garant für unseren aufrechten Gang und ein Gangbild, das sich an das jeweilige Gelände anpasst. Das obere Sprunggelenk besteht aus drei Knochen: Sprungbein (Talus), Wadenbein (Fibula) und Schienbein (Tibia). Man bezeichnet das OSG daher auch als tibiotalares Gelenk, da Tibia und Talus die Hauptlast tragen.
Das obere Sprunggelenk ist essentiell für die Bewegung zwischen Fuß und Unterschenkel. Es ermöglicht ein Heben und Senken des Fußes. Diese Bewegungen sind für das Abrollen beim Gehen wichtig. Außerdem ermöglicht das OSG, dass der Mensch sich beim Springen abstoßen kann. Hierbei kommt es häufiger zum Umknicken des oberen Sprunggelenkes.
Welche Bedeutung haben Syndesmose und Bänder im oberen Sprunggelenk?
Die Beweglichkeit des oberen Sprunggelenks findet zwischen dem Sprungbein und der Sprunggelenksgabel (Malleolengabel) statt. Die Malleolengabel wird gebildet durch den Außenknöchel (Wadenbein) und Innenknöchel (Teil des Schienbeins).
Diese u-förmige Gabel bildet ein federndes Lager, das durch straffe Bänder gehalten wird. Diese Bindegewebsbrücke (Syndesmose) verleiht dem Gelenk Halt und Stabilität. Anhand der Festigkeit der Syndesmose lässt sich die Schwere von Sprunggelenksverletzungen beurteilen.
DVT-Aufnahme (digitale Volumentomografie) des Sprunggelenks: Gelb eingezeichnet sind die Außenbänder und – zwischen Schienbein und Wadenbein – das Syndesmoseband. © Dr. Thomas Schneider
Das obere Sprunggelenk wird wie alle Gelenke von einer Kapsel umgeben und von Bändern geführt. Man unterscheidet:
- die Innenbänder des oberen Sprunggelenks und
- die Außenbänder des oberen Sprunggelenks.
Der Aufbau der Außenbänder ist klar strukturiert. Die drei Bandanteile sind entsprechend ihres anatomischen Verlaufs benannt. Man unterscheidet sie anhand ihrer Funktion für das Sprunggelenk. Unterschiedliche Bänder haben durch ihren anatomischen Aufbau verschiedene Funktionen. Das Band zwischen Wadenbein und Sprungbein ist in ein vorderes und ein hinteres unterteilt. Das vordere Wadenbein-Sprungbein-Band (Ligamentum fibulotalare anterius) und das hintere Wadenbein-Sprungbein-Band (Ligamentum fibulotalare posterius) liegen fast im rechten Winkel zueinander. Dazwischen liegt das Wadenbein-Fersenbein-Band (Ligamentum fibulocalcaneare).
Die Bänder stabilisieren das Sprunggelenk in Abhängigkeit von seiner Stellung.
Wie viel Bewegung ist im oberen Sprunggelenk möglich?
Das Sprunggelenk ermöglicht die Bewegung zwischen Fuß und Unterschenkel und das Heben und Senken des Fußes. Diese Bewegungen sind für die Abrollbewegung beim Gehen und für das Abstoßen beim Springen wichtig.
Die Beweglichkeit im oberen Sprunggelenk beträgt im Durchschnitt 46°. Durch Kombinationsbewegungen mit den restlichen Gelenken der Fußwurzel erreichen wir für den gesamten Bewegungsumfang 60°.
Wie ist das untere Sprunggelenk knöchern aufgebaut und welche Funktion hat es?
Das untere Sprunggelenk ist komplexer aufgebaut als das obere Sprunggelenk. In diesem mehrteiligen Gelenk stehen Sprungbein (Talus), Fersenbein (Calcaneus), Würfelbein (Os cuboideum) und Kahnbein (Os naviculare) in Kontakt. Die Freiheitsgrade der Bewegung im unteren Sprunggelenk sind räumlich schwer vorstellbar. Es erfüllt die besondere Aufgabe, auf unebenem Gelände die Fußstellung auszugleichen. Hier werden auch häufig Symptome beklagt.
Die Führung des USG erfolgt durch multiple Bänder. Hierdurch ist die Diagnostik und Behandlung deutlich erschwert. Zudem ist es besonders verletzungsanfällig, weil beim Senken des Fußes die natürliche Stabilität des Gelenks sinkt. Wenn die Funktion des unteren Sprunggelenks gestört ist, kommt es wegen des fehlenden Ausgleichs von Unebenheiten durch horizontale Beweglichkeit häufiger zum Umknicken. Es resultieren Bänderzerrungen, Risse, Brüche des Knöchels, Knorpelschädigungen und weitere Gelenkverletzungen.
Auf diese Weise entstehen schmerzhafte Fehlstellungen und Fehlbelastungen, die zu Schädigungen weiterer Gelenke führen können.
Wie verstärken sich Beschwerden im Sprunggelenk selbst?
Durch die vermehrte Belastung aufgrund der Fehlstellung verstärkt sich die Schädigung im Sprunggelenk. Die zunehmende Schädigung begünstigt wiederum die Fehlstellung. Ein Teufelskreis entsteht.
Oft ist nur ein Teil des Gelenks – innen oder außen – betroffen. Durch die Schädigung verschiebt sich die Belastungsachse nach innen. Dadurch wird das Gelenk einseitig überlastet und es entsteht eine vermehrte Schädigung des Knorpels und des subchondralen (unter dem Knorpel liegenden) Knochens.
Diagnose: Wie untersucht der Arzt Schmerzen im Sprunggelenk?
Untersuchungsmethoden:
- manuelle Tastuntersuchung (Palpation)
- digitales Röntgen im Stehen unter Belastung des Gelenks
- Ganganalyse
- Fußdruckmessung (Pedobarografie)
Schmerzen im Sprunggelenk untersucht der Spezialist zunächst durch eine klinische Funktionsprüfung. Dabei stellt er fest, welche Bewegungen den Schmerz auslösen. © Gelenk-Klinik
Für den Behandlungserfolg entscheidend ist die möglichst frühzeitige Erkennung der Ursachen mithilfe moderner Diagnostik und aufgrund fachlicher Spezialisierung und Erfahrung.
Ziel ist es, bei Störungen der komplizierten Fußmechanik oder Veränderungen an Knochen und Weichteilen rechtzeitig durch geeignete Maßnahmen gegenzusteuern. Computergestützte Untersuchungsmethoden, die die Druckverteilung der Fußbelastung ermitteln (Pedobarografie) und den genauen Bewegungsablauf beim Gehen analysieren (Ganganalyse), helfen bei der Wahl der individuell richtigen Behandlung.
Externer Inhalt von youtube.com
Wann sollten Sie mit Sprunggelenkschmerzen zum Arzt?
Bestehen Schmerzen im Sprunggelenk, sollte der Betroffene in der Akutphase frühzeitig einen Arzt aufsuchen, selbst wenn die Schmerzen nach Eigenmaßnahmen nachgelassen haben. Die Ursachen von Schmerzen im Sprunggelenk sind vielfältig und sollten durch den Facharzt abgeklärt werden. Wenn die Schmerzen länger als drei Tage andauern oder sogar zunehmen, ist die Vorstellung bei einem Facharzt definitiv sinnvoll. Ebenso, wenn das Sprunggelenk stark geschwollen und überwärmt ist oder ein Bluterguss auftritt. Kann der Patient vor Schmerzen nicht mehr auftreten, sollte er sofort ärztlich untersucht werden. Eine genaue Diagnostik ermöglicht die frühzeitige Einleitung einer gezielten Therapie. Ein schneller Behandlungsbeginn minimiert das Risiko von bleibenden Schäden im Sprunggelenk. Dadurch sinkt zum Beispiel die Gefahr, dass das Sprunggelenk nach Bandverletzungen dauerhaft instabil bleibt oder eine Arthrose durch vorzeitige Knorpelabnutzung entsteht.
Externer Inhalt von youtube.com
Schmerzqualität: Wie schmerzt das Sprunggelenk?
Beschreibung der Schmerzen:
Die subjektive Schmerzqualität kann wichtige Hinweise auf die Ursache geben. Dabei ist das Schmerzempfinden nicht immer eindeutig. Bei Sprunggelenksarthrose – auch bei weitgehendem Knorpelverlust – gibt es immer wieder Etappen mit geringen oder keinen Schmerzen. Die Schmerzempfindung ist häufig von Umgebungsfaktoren abhängig: Feuchte Kälte kann Schmerzen steigern, die sich bei Wärme wieder auflösen.
Tiefliegende Schmerzen im Sprunggelenk
Eine Reihe von Ursachen kommen für tiefliegende Schmerzen infrage. Diese Schmerzen können im Sprunggelenk hinten oder vorne lokalisiert sein. Häufig sind Schädigungen im Knochen-Knorpelbereich verantwortlich für diesen Schmerztyp. Zu den Auslösern gehört z. B. eine Osteochondrosis dissecans (OD) im Sprunggelenk. Das ist eine Knochen-Knorpel-Erkrankung, die zu einem lokalen Absterben des Knochens unter dem Knorpel führt. Schließlich löst sich der Knochen aus seinem Knochenbett und bildet einen Fremdkörper (Loose Body) im Sprunggelenk, der zu weiteren Knorpelschäden führt.
Die OD ist eng verwandt mit einer Knochennekrose im Sprunggelenk (Talusnekrose), die ebenfalls zu dumpfen, tiefliegenden Schmerzen führen kann. Auch bei der Talusnekrose stirbt der Knochen unter dem Knorpel ab. Der demineralisierte Knochen kann schließlich unter dem Knorpel einbrechen.
Dumpfe Schmerzen – Langzeitfolgen von Sprunggelenksfrakturen
Auch Jahre nach der Ausheilung einer Sprunggelenksfraktur können Schmerzen und Beschwerden verbleiben. In einigen Fällen ist die Malleolengabel in einer falschen Position zusammengewachsen. Wenn sie beispielsweise zu weit ist, führt das zur Überbeweglichkeit des Talus im Gelenk. Daraus resultieren schmerzhafte Knochen-Knorpelschäden und schließlich Arthrose.
Auch bei Brüchen des Sprunggelenks unter direkter Beteiligung der Gelenkflächen sind schmerzhafte Langzeitfolgen wahrscheinlich: Es können osteochondrale Schäden und Stufen im Gelenk zurückbleiben, die zu dumpfen oder ziehenden Schmerzen im Sprunggelenk führen.
Stechende Schmerzen im Sprunggelenk
Stechende Schmerzen im Sprunggelenk sind häufig bewegungs- oder belastungsabhängig. Treten stechende Sprunggelenkschmerzen auch in Ruhe auf, kann eine Nervenstörung ursächlich sein.
Stechende Schmerzen bei Bewegung sind oft ein Zeichen einer Einklemmung im Sprunggelenk. Die Schmerzen sind von der Lage der Nervenkompression abhängig. Die Einklemmung ist oft durch Weichteile zwischen den Knochen bedingt. Dies kann auch direkt im Gelenkspalt eintreten.
Strukturen, die einklemmen können, sind zum Beispiel Schleimhaut, Bandreste oder Narben im Sprunggelenkspalt beim Bewegen. Bei Instabilitäten treten besonders häufig Einklemmungen auf. Plötzlich einschießende Schmerzen beim Gehen oder nach dem Sport können auch auf eine Verletzung des Syndesmosebandes hindeuten. Typisch für eine solche Verletzung der bindegewebigen Verbindung zwischen den beiden Unterschenkelknochen (Syndesmoseband) ist eine zunehmende Instabilität im Sprunggelenk.
Auch knöcherne Anbauten im Rahmen einer Fehlbelastung oder auch durch Instabilitäten können stechende Schmerzen hervorrufen. Wir unterscheiden ein knöchernes Impingement (Einklemmung) vom Weichteilimpingement im Sprunggelenk.
Schmerzen im Sprunggelenk können als Folge eines Impingements (Blockade) entstehen. Eine Form der Gelenkblockaden sind Weichteilimpingements, die durch Einklemmungen von Weichteilen im Sprunggelenk entstehen. Bei einem knöchernen Anschlagen der Gelenkpartner spricht man von einem knöchernen Impingement. © Dr. Thomas Schneider
Geräusche im Sprunggelenk: Knirschen, Knacken und Raspeln
Nicht selten kommen Patienten mit deutlichen Geräuschen im Sprunggelenk zu uns in die Sprechstunde. Es kann sich dabei um sehr deutliche und wiederkehrende Knack-, Klack-, Knirsch- oder Raspelgeräusche handeln.
Diese Gelenkgeräusche können nur gelegentlich oder regelmässig in bestimmten Situationen auftreten. Im Zweifel sollten Sie orthopädisch abklären lassen, welchen Krankheitswert diese Geräusche bei Ihnen haben könnten, denn es kann sich um verschiedene Auslöser handeln.
- Ein helles Gelenksknacken kann beim Drehen des Sprunggelenks entstehen, wenn Sehnen über Knochenvorsprünge gleiten. Das ist ein harmloses Geräusch, das zu keinen Befürchtungen Anlass gibt.
- Knackt es, wenn Sie in die Hocke gehen, können im vorderen Abschnitt des Sprunggelenks Weichteile oder freie Gelenkkörper im Gelenkspalt einklemmen und diese Knackgeräusche verursachen. Möglicherweise hat sich auch ein Knochen-Knorpelstück im Rahmen einer Osteochondrosis dissecans gelöst oder es liegt bereits eine Arthrose im Sprunggelenk vor.
- Auch schabende oder kratzende Geräusche (Krepitation) gehen oft einher mit einer Arthrose des oberen Sprunggelenks. In seltenen Fällen sind die Knackgeräusche ein Symptom des Müller-Weiss-Syndroms, bei dem aus noch ungeklärten Gründen Teile des Kahnbeins am Fuß absterben.
- Geräusche im hinteren Bereich des Sprunggelenks beobachten wir zum Beispiel bei Leistungssportlern, Fußballern oder Tänzern. Meist finden wir in der Anamnese leichte Bagatellverletzungen in der Vergangenheit wie Umknicken.
- Die Verletzung der Sehne des langen Großzehenbeugers (Musculus flexor hallucis longus) kann ebenfalls Ursache von Knackgeräuschen sein. Damit verbunden leiden Betroffene unter Schmerzen im Unterschenkel.
Behandlung von Sprunggelenkschmerzen
Therapiemöglichkeiten:
Fehlstellungen und Erkrankungen der Füße können beim Gehen und sogar in Ruhestellung erhebliche Schmerzen verursachen. Das wirkt sich auf die Mobilität und damit auf die Lebensqualität aus. Wir bieten Ihnen eine moderne und funktionsgerechte Fuß- und Sprunggelenkstherapie für die bekannten Krankheitsbilder an.
Die Schwellung und der Schmerz als Warnsymptom lassen sich durch entzündungshemmende Mittel wie Ibuprofen oder Diclofenac unterdrücken. Auch Einspritzungen mit Kortikoiden (Kortison) oder entzündungshemmende Injektionstherapien z. B. mit Hyaluronsäure sind möglich.
All diese Therapien sind keine kausalen Therapien und damit nur eingeschränkt wirksam. Eine ursächliche Behandlung therapiert die Instabilität des Sprunggelenks oder das zugrundeliegende biomechanische Problem, also die Fehlstellung oder die ungünstige Gewichtsverteilung.
Wir verfügen über eine Vielzahl von erprobten Behandlungskonzepten, aus denen der Spezialist das geeignete auswählt. So bieten konservative Therapien wie aktive Fußgymnastik, Stoßwelle und Orthopädietechnik Linderung und Hilfe im Frühstadium. Im fortgeschrittenen Stadium schaffen gezielte Operationen wie arthroskopische Eingriffe oder Knorpeltransplantationen Abhilfe. Erst wenn konservative Möglichkeiten und minimalinvasive Eingriffe keine Besserung der Beschwerden erreichen, kommt der Einsatz einer Sprunggelenksprothese infrage.
Externer Inhalt von youtube.com
23 Übungen bei Sprunggelenkschmerzen
Aufgrund der verschiedenen Auslöser für Schmerzen im Sprunggelenk ist eine Abklärung der Ursache beim Facharzt vor der Durchführung der Übungen besonders wichtig. Denn nicht bei jeder Diagnose ist die Durchführung von Übungen förderlich. Die folgenden Übungen richten sich daher an Patienten, bei denen eine entsprechende Abklärung erfolgt ist und eine konservative Behandlung erfolgen soll und kann.
Sollten während oder nach den Übungen vermehrt Schmerzen auftreten, halten Sie Rücksprache mit Ihrem Arzt oder Therapeuten und passen die Intensität entsprechend an. Achten Sie auf die korrekte Haltung und Ausführung während der Übungen.
Übungen zur Verbesserung der Stabilität im Sprunggelenk
Liegen den Beschwerden Instabilitäten der Bänder des Sprunggelenkes zugrunde, sind Übungen zur Verbesserung der Stabilität sinnvoll. Durch eine Steigerung der Effizienz sowie der Koordination der Muskeln rund um das Sprunggelenk entlasten Sie das Gelenk und die Bänder und verbessern eventuelle Fehlstellungen.
Kräftigende Übungen zur Stabilisierung der Außenbänder
Die folgenden Übungen eignen sich zur Stabilisierung der Außenbänder bei einer Bandinstabilität. Dies kann beispielsweise die Spätfolge eines Außenbandrisses sein.
Übung 1: Kräftigung des Musculus Peroneus tertius und der Zehenstrecker
Hilfsmittel: Gymnastikband
Ausgangsstellung: Sitz auf einem Stuhl mit ausgestreckten Bein: Eine Gummibandschleife wird vor dem Fuß in Verlängerung des Beines befestigt. Positionieren Sie den Fuß in Vorspannung.
Durchführung: Ziehen Sie das Band mit dem Fuß nach oben. Wichtig ist hierbei die Hebung des Fußaußenrandes. Der Fuß sollte zu Beginn der Übung leicht ausgestreckt sein und dann kontinuierlich angezogen werden.
Wiederholen Sie die Übung 15-mal und führen Sie 2 bis 3 Sätze durch. Zwischen jedem Satz sollten etwa 30 Sekunden Pause liegen. Absolvieren Sie die Übung an 2 bis 3 Tagen pro Woche.
Ausgangsstellung: Positionieren Sie den Fuß in Vorspannung. © Gelenk-Klinik
Ziehen Sie das Band nach oben. Heben Sie dabei den Fußaußenrand. © Gelenk-Klinik
Übung 2: Kräftigung des Musculus peroneus brevis
Hilfsmittel: Gymnastikband, kleines Kissen
Ausgangsstellung: Legen Sie das Gymnastikband als Schlaufe um den Ballen des zu trainierenden Fußes.
Durchführung: Schieben Sie das Band mit dem Fuß nach außen. Der Fuß muss hierbei leicht ausgestreckt sein. Lassen Sie die Zehen hängen. Diese sollten fast unbewegt bleiben.
Überprüfung: Der markierte Bereich an der Unterschenkelaußenseite muss sich bei der Übung anspannen. Dies lässt sich tasten.
Wiederholen Sie die Übung 15-mal und führen Sie 2 bis 3 Sätze durch. Zwischen jedem Satz sollten etwa 30 Sekunden Pause liegen. Absolvieren Sie die Übung an 2 bis 3 Tagen pro Woche.
Ausgangsstellung: Das Gymnastikband liegt als Schlaufe um den Fußballen. © Gelenk-Klinik
Schieben Sie das Band mit dem Fuß nach außen. © Gelenk-Klinik
Die Außenseite des Unterschenkels (pinke Markierung) muss angespannt sein. Dies können Sie tasten. © Gelenk-Klinik
Kräftigende Übungen zur Stabilisierung der Innenbänder
Nach einer Verletzung der Innen- und Außenbänder treten häufig Beschwerden im Sprunggelenk auf. Mit den folgenden Übungen werden Sie wieder sicherer gegen Umknicken in beide Richtungen.
Übung 3: Kräftigung des Musculus tibialis posterior
Hilfsmittel: Gymnastikband
Ausgangsstellung: Sitz. Befestigen Sie das Gymnastikband seitlich auf Höhe des Fußes. Wickeln Sie das Band so um den Vorfuß, dass der Zug des Bandes von außen kommt. Positionieren Sie Ihren Fuß in Vorspannung.
Durchführung: Ziehen Sie das Band mit dem Fuß nach innen. Der Fuß sollte zu Beginn der Übung leicht ausgestreckt sein. Die Zehen können verstärkend mitaktiviert werden. Ein Einkrallen ist möglich.
Überprüfung: Der markierte Bereich an der Unterschenkelinnenseite muss sich bei der Übung anspannen. Dies lässt sich tasten.
Wiederholen Sie die Übung 15-mal und führen Sie 2 bis 3 Sätze durch. Zwischen jedem Satz sollten etwa 30 Sekunden Pause liegen. Absolvieren Sie die Übung an 2 bis 3 Tagen pro Woche.
Die Innenseite des Unterschenkels (pinke Markierung) ist bei der Durchführung angespannt. Dies können Sie tasten. © Gelenk-Klinik
Übung 4: Seitlicher Zug mit dem Gymnastikband
Ziel: Verbesserung der Stabilität des Fußes und des Beines
Hilfsmittel: Gymnastikband
Ausgangsstellung: Befestigen Sie das Gymnastikband dicht über dem Boden an einem stabilen Haltepunkt (z. B. Heizung). Nehmen Sie das andere Ende des Gymnastikbandes in die Hand. Stellen Sie sich nun so seitlich zu dem Ankerpunkt, dass die Hand mit dem Gymnastikband weiter vom Fixierpunkt entfernt ist als die andere. Heben Sie das Bein vom Boden ab, das nicht auf der Seite des festgehaltenen Gymnastikbandes ist.
Durchführung: Ziehen Sie mit dem Arm das Gymnastikband nach schräg oben außen. Achten Sie darauf, dass das Knie des Standbeines immer lotrecht über dem Fuß bleibt und nicht nach innen fällt. Knicken Sie außerdem nicht mit dem Fuß nach innen weg.
Drehen Sie sich um und wiederholen Sie die Übung mit der anderen Seite. Das andere Bein ist nun das Standbein und die andere Hand hält das Gymnastikband.
Wiederholen Sie die Übung pro Bein 10-mal und führen Sie 2 bis 3 Sätze durch. Zwischen jedem Satz sollten etwa 30 Sekunden Pause liegen. Absolvieren Sie die Übung an 2 bis 3 Tagen pro Woche.
Ausgangsposition einnehmen. © Gelenk-Klinik
Ziehen Sie das Theraband im Einbeinstand nach oben außen. © Gelenk-Klinik
Gleichgewichtsübungen zur allgemeinen Stabilitätsverbesserung
Die folgenden Übungen verbessern insgesamt die Koordination im Sprunggelenk und kräftigen die Fuß- und Beinmuskulatur.
Übung 5: Einbeinstand mit Fußbewegungen
Übungsziel: Verbesserung der Koordination und Kräftigung der Fuß- und Beinmuskulatur
Ausführung: Bringen Sie Ihr Körpergewicht im Stehen auf den betroffenen Fuß und achten Sie darauf, dass die Ferse gerade ist (Achillessehne steht senkrecht). Das Fußgewölbe ist aufgerichtet. Das leicht gebeugte Knie befindet sich lotrecht über dem Vorfuß. „Tappen“ Sie nun mit dem freien Bein in einem Dreieck hin und her. Achten Sie darauf, dass das Standbein stabil stehen bleibt.
Absolvieren Sie mindestens 10 Wiederholungen, aber nur bis zur Ermüdung. Führen Sie 2 bis 3 Sätze durch. Zwischen jedem Satz sollten etwa 30 Sekunden Pause liegen. Absolvieren Sie die Übung an 2 bis 3 Tagen pro Woche.
Mit dem Fuß nach vorne tappen. © Gelenk-Klinik
Mit dem Fuß zur Seite tappen. © Gelenk-Klinik
Mit dem Fuß nach hinten tappen. © Gelenk-Klinik
Übung 6: Einbeinstand auf weichem Untergrund
Übung Einbeinstand: Diese Übung auf weichem Untergrund kräftigt das Kniegelenk und verbessert die Koordination. © Gelenk-Klinik
Ziel: Verbesserung der Koordination rund um das Sprunggelenk
Hilfsmittel: Handtuch, Kissen o. Ä.
Ausgangsstellung: Einbeinstand auf weichem Untergrund (z. B. Handtuch, Kissen oder Matratze). Sind Sie zu unsicher, beginnen Sie die Übung auf festem Boden oder verwenden eine stabile Stütze.
Durchführung: Heben Sie das nicht betroffene Bein nach vorne oben und ziehen Sie die Fußspitzen an. Der Oberkörper bleibt dabei aufrecht. Achten Sie darauf, dass Knie und Füße nicht nach innen fallen. Halten Sie die Position für ca. 5 Sekunden und gehen Sie dann wieder in die Ausgangsposition zurück.
Wiederholen Sie die Übung pro Bein 10-mal. Dies entspricht einem Satz. Führen Sie 2–3 Sätze durch mit jeweils circa 30 Sekunden Pause zwischen den Sätzen. Üben Sie 2- bis 3-mal pro Woche.
Übung 7: Therapiekreisel
Ziel: Verbesserung der Koordination und der Schutzreflexe im Sprunggelenk
Hilfsmittel: Therapiekreisel oder Balance Board
Ausgangsstellung: hüftbreiter Stand auf dem Kreisel
Durchführung: Balancieren Sie Ihr Gleichgewicht auf dem Kreisel aus.
Variante:
Am Anfang bietet es sich an, sich mit den Händen an einem Geländer o. Ä. festzuhalten. Fortgeschrittene können die Schwierigkeit erhöhen, indem sie:
- einen schwereren Ball zwischen den Händen mit großen Bewegungen hin- und hergeben. Achten Sie darauf, dass Rumpf und Beine dabei stabil stehen bleiben.
- leichte Kniebeuge machen.
- das Gewicht des Oberkörpers durch langsames in der Hüfte Beugen und Strecken verändern.
- diese Übungen einbeinig durchführen.
Versuchen Sie 20–30 Sekunden oder bis zur Ermüdung Ihr Gleichgewicht zu halten und führen Sie 2 bis 3 Sätze durch. Zwischen jedem Satz sollten etwa 30 Sekunden Pause liegen. Absolvieren Sie die Übung an 2 bis 3 Tagen pro Woche.
Halten Sie das Gleichgewicht. © Gelenk-Klinik
Stehen Sie hüftbreit auf dem Therapiekreisel. © Gelenk-Klinik
Variante: Sie können die Übung auch einbeinig durchführen. © Gelenk-Klinik
Übungen zur Verbesserung von Fußfehlstellungen
Fußfehlstellung können ursächlich für Schmerzen oder daraus entstehende Strukturschäden sein. Die konservative Korrektur erfolgt neben Einlagen hauptsächlich durch Übungen.
Übung 8: Knick-Senkfuß
Ziel: Wahrnehmung und Verbesserung einer Knick-Senkfuß-Fehlstellung
Ausgangsstellung: Stand, die Füße stehen hüftbreit auseinander.
Durchführung: Lenken Sie Ihre Aufmerksamkeit auf beide Fersen. Führen Sie abwechselnd eine rhythmische Gewichtsverlagerung des Rückfußes (Ferse) auf die Außenkante/Innenkante durch. Werden Sie langsam mit den Pendelbewegungen kleiner, bis die Achillessehne gerade/senkrecht eingestellt ist. Die Ferse sollte nun tendenziell auf der äußeren Seite belastet sein. Versuchen Sie, diese Fußstellung immer wieder in Ihrem Alltag einzunehmen.
Übung: Das Fersenpendel kann eine Knick-Senkfuß-Fehlstellung verbessern. © Gelenk-Klinik.de
Übung 9: Isometrische Anspannung der tiefen Schienbeinmuskulatur
Übung zur Kräftigung der Schienbeinmuskulatur. © Gelenk-Klinik.de
Ziel: Verbesserung einer Knick-Senkfuß-Fehlstellung
Ausgangsstellung: Sitz. Beide Großzehenballen berühren sich, zwischen den beiden Fersen ist etwas Luft.
Durchführung: Üben Sie mit dem Großzehenballen des betroffenen Fußes Druck gegen den anderen Fuß aus und halten Sie kurz die Spannung. Achten Sie darauf, dass beide Füße ganz lang sind.
Wiederholen Sie die Übung 15-mal und führen Sie 2 bis 3 Sätze durch. Zwischen jedem Satz sollten etwa 30 Sekunden Pause liegen. Absolvieren Sie die Übung an 2 bis 3 Tagen pro Woche.
Übungen zur Stabilisierung des Fußlängsgewölbes
Bei einer Schwäche der Tibialis-posterior-Sehne kommt es zum Einsinken des Fußlängsgewölbes. Betroffene können das Fußgewölbe durch Muskeltraining und sensorische Übungen gezielt wieder aufbauen. Gesunde Patienten mit leichten Beschwerden können durch diese Übungen einem Knick-Senkfuß vorbeugen. Wenn Sie bereits deutliche Beschwerden oder eine akute schmerzhafte Reizung des Fußes haben, sollten Sie die Übungen nicht ohne gründliche ärztliche Untersuchung und Beratung durchführen. Insbesondere die Stabilität und Entzündungsfreiheit Ihrer Tibialis-posterior-Sehne sollte gegeben sein, bevor Sie anfangen, das Fußgewölbe durch Übungen zu kräftigen.
Übung 10: Gewölbe bauen
Übungsziel: Kräftigung der kurzen Fußmuskulatur zur Verbesserung des Längsgewölbes
Ausgangsstellung: Sitz. Der Fuß ist unbelastet, flächig auf dem Boden platziert.
Ausführung: Ziehen Sie die Zehengrundgelenke kräftig zurück in Richtung Ferse. Sie können beobachten, wie sich das Fußlängsgewölbe hebt. Achten Sie darauf, dass Sie nicht mit den Zehen krallen und dass Groß- und Kleinzehenballen Kontakt zum Boden haben.
Führen Sie 1–2 Minuten eine rhythmische, federnde Bewegung durch.
Übung bei Knick-Senkfuß: Gewölbe bauen. © Gelenk-Klinik
Übung 11: Kräftigung der kurzen Fußmuskulatur
Übungsziel: Kräftigung des Längsgewölbes
Ausgangsstellung: Stand: Das eine Ende des Gymnastikbandes ist unter dem äußeren Drittel der Ferse platziert, das andere Ende unter dem Großzehengrundgelenk. Bringen Sie nun das Gymnastikband auf Spannung.
Ausführung: Achten Sie darauf, dass Sie besonders an den Punkten des Gymnastikbandes fest verwurzelt sind. Auch Kleinzehenballen und die Zehen sollten einen satten Kontakt zum Boden haben. Richten Sie Ihr Längsgewölbe auf, ohne die Enden des Gymnastikbandes zu verlieren.
Übung bei Knick-Senkfuß: Kräftigung der kurzen Fußmuskulatur. © Gelenk-Klinik
Übung 12: Kräftigung der tiefen Schienbeinmuskulatur
Übungsziel: Kräftigung des Musculus tibialis posterior
Ausgangsstellung: Sitz. Ein Gymnastikband wird seitlich auf Höhe des Fußes befestigt. Wickeln Sie das Band so um den Vorfuß, dass der Zug des Bandes von außen kommt. Positionieren Sie Ihren Fuß in Vorspannung.
Ausführung: Ziehen Sie das Band mit dem Fuß nach innen. Der Fuß sollte zu Beginn der Übung leicht ausgestreckt sein. Die Zehen können verstärkend mitaktiviert werden. Ein Einkrallen ist möglich.
Überprüfung: Der markierte Bereich an der Unterschenkelinnenseite muss sich bei der Übung anspannen. Dies lässt sich tasten.
Übung bei Knick-Senkfuß: Kräftigung des Musculus tibialis posterior. © Gelenk-Klinik
Übung 13: Kräftigung der tiefen Wadenbeinmuskulatur
Übungsziel: Kräftigung des Musculus peroneus longus
Ausgangsstellung: Sitz. Das Knie des betroffenen Fußes ist nach außen gekippt und bleibt dort während der gesamten Übung. Der Fuß liegt auf dem Außenrand auf dem Boden. Schieben Sie das Ende des Gymnastikbandes unter das äußere Drittel der Ferse und ziehen Sie dann eine Schlaufe um das Großzehengrundgelenk. Führen Sie das Band nach außen und halten oder fixieren Sie es dort.
Ausführung: Drücken Sie das Großzehengrundgelenk zum Boden und achten Sie darauf, dass das Knie außen bleibt und die Ferse nur außen belastet ist.
Übung bei Knick-Senkfuß: Kräftigung des Musculus peroneus longus. © Gelenk-Klinik
Übungen bei Hohlfuß
Übung 14: In die Länge rollen
Hilfsmittel: Gymnastikband
Ziel: Aktives Gewinnen von „Fußlänge“
Ausgangsstellung: Sitz. Falten Sie ein Gymnastikband der Länge nach und wickeln Sie ein Ende um den großen Zeh. Lassen Sie das Band an der Fußsohle entlang unter die Ferse laufen und halten Sie es unter leichter Spannung fest.
Durchführung: Sie starten mit dem Fuß auf der Ferse. Der Fußrücken ist weit hochgezogen, die Zehen hängen locker. Nun rollen Sie den Fuß langsam zum Boden und versuchen, ihm gleichzeitig so viel Länge wie möglich zu geben. Stellen Sie sich vor, Sie wollen mit Ihrem Fuß das Band lang ziehen. Auf dem Boden angekommen, versuchen Sie Ihre Auflagefläche gut wahrzunehmen und Ihre Schuhgröße noch einmal um eine Nummer zu vergrößern.
Wiederholen Sie die Übung 15-mal und führen Sie 2 bis 3 Sätze durch. Zwischen jedem Satz sollten etwa 30 Sekunden Pause liegen. Absolvieren Sie die Übung an 2 bis 3 Tagen pro Woche.
Sie starten mit angezogenem Fuß. © Gelenk-Klinik
Rollen Sie den Fuß langsam zum Boden. © Gelenk-Klinik
Übung 15: Sinkendes Gewölbe
Ziel: Bewusstes Loslassen der Muskulatur und Sinkenlassen des Fußbettes
Hilfsmittel: Gymnastikband
Ausgangsstellung: Stand. Ein Gymnastikband ist der Länge nach gefaltet. Sie schieben das Band von der Innenseite des Fußes an der höchsten Stelle durch das Fußgewölbe hindurch.
Durchführung: Lassen Sie durch aktives Loslassen den Fußaußenrand und das Fußbett weit auf den Boden absinken. Das Gymnastikband ist jetzt fixiert. Bringen Sie mit einer Hand etwas Zug auf das Band und achten Sie darauf, dass es nicht unter dem Fuß wegrutscht.
Variante: Zur Steigerung können Sie auch in den Einbeinstand gehen.
Wiederholen Sie die Übung 15-mal und führen Sie 2 bis 3 Sätze durch. Zwischen jedem Satz sollten etwa 30 Sekunden Pause liegen. Absolvieren Sie die Übung an 2 bis 3 Tagen pro Woche.
Fixieren Sie das Gymnastikband mit dem Fußaußenrand. © Gelenk-Klinik
Übungen zur Bewegungsverbesserung im Sprunggelenk
Sanfte Übungen zur Bewegungsverbesserung eignen sich u. a. nach Operationen am Sprunggelenk (mit entsprechender Bewegungsfreigabe durch den Arzt oder Therapeuten) sowie nach längeren Ruhigstellungen und Schonzeiten.
Übung 16: Fußabrollen
Ziel: Verbesserung der Beweglichkeit im oberen Sprunggelenk
Ausgangsstellung: Sitz. Der Fuß ist flächig abgestellt.
Durchführung Rollen Sie den Fuß langsam auf die Zehenspitzen, halten Sie dort kurz die Spannung. Setzen Sie dann den ganzen Fuß wieder auf den Boden und ziehen Sie die Zehenspitzen nach oben.
Wiederholen Sie die Übung 20-mal und führen Sie 2 bis 3 Sätze durch. Zwischen jedem Satz sollten etwa 30 Sekunden Pause liegen. Absolvieren Sie die Übung an 2 bis 3 Tagen pro Woche.
Halten Sie das Gleichgewicht. © Gelenk-Klinik
Stehen Sie hüftbreit auf dem Therapiekreisel. © Gelenk-Klinik
Variante: Sie können die Übung auch einbeinig durchführen. © Gelenk-Klinik
Übung 17: Passive Selbstmobilisation des unteren Sprunggelenkes
Ziel: Verbesserung der Beweglichkeit im unteren Sprunggelenk
Ausgangsstellung: Legen Sie im Sitz auf einem Stuhl den zu trainierenden Fuß über das andere Knie.
Durchführung: Halten Sie mit der einen Hand die Ferse, während Sie mit der anderen Hand den Vorfuß greifen. „Verschrauben“ Sie beide Hände gegeneinander. Die Betonung der Bewegung liegt auf der Ferse.
Wiederholen Sie die Übung 20-mal und führen Sie 2 bis 3 Sätze durch. Zwischen jedem Satz sollten etwa 30 Sekunden Pause liegen. Absolvieren Sie die Übung an 2 bis 3 Tagen pro Woche.
Greifen Sie den Fuß an der Ferse und am Vorfuß. © Gelenk-Klinik
Drehen Sie mit beiden Händen in die entgegengesetzte Richtung. © Gelenk-Klinik
Übung 18: Boden wischen
Diese Übung verbessert die Beweglichkeit des oberen Sprunggelenks (OSG). © Gelenk-Klinik
Hilfsmittel: rutschfähiges Tuch
Ziel: Verbesserung der Beweglichkeit des oberen Sprunggelenkes
Ausgangsstellung: Sitz mit angewinkelten Bein auf einem Hocker. Der Fuß steht auf einem Tuch, das auf einem Boden mit wenig Widerstand liegt (z. B. Parkett/Fliesen).
Durchführung: Wischen Sie durch Ausstrecken und Anziehen des Beines im Kniegelenk den Boden mit dem Fuß. Achten Sie darauf, dass der Fuß zu jeder Zeit flächig den Boden berührt und die Ferse und Zehen sich nicht vom Boden abheben. Führen Sie die Bewegungen gleichmäßig aus.
Wiederholen Sie die Übung pro Bein 20-mal. Dies entspricht einem Satz. Führen Sie 2–3 Sätze durch mit jeweils circa 30 Sekunden Pause zwischen den Sätzen. Üben Sie 2- bis 3-mal pro Woche.
Übungen zur Weichteil-/Muskelmobilisation
Das umliegende Gewebe und die Muskulatur können sich bei wiederkehrenden oder anhaltenden Schmerzen verhärten und entzündlich verändern. In manchen Fällen sind solche Prozesse die Auslöser der Schmerzen im Sprunggelenk. Eine gezielte Mobilisation und Spannungsreduktion des Gewebes hilft dem Körper, den Stoffwechsel in diesen Bereichen zu verbessern und damit auch Entzündungen besser zu bewältigen.
Übung 19: Mobilisation der Wadenmuskulatur
Hilfsmittel: Faszienrolle o. Ä.
Ziel: Lockerung und Durchblutungsverbesserung der Wadenmuskulatur
Ausgangsstellung: Sie sitzen auf dem Boden, die Hände stützen seitlich. Die Wade des betroffenen Beines liegt auf der Faszienrolle. Das andere Bein ist angestellt.
Durchführung: Rollen Sie nun vorsichtig langsam vor und zurück. Rollen Sie 5-mal mittig, innen und außen an der Wade entlang.
Rollen Sie vorsichtig vor und zurück. © Gelenk-Klinik
Übung 20: Mobilisieren der Plantarfaszie
Hilfsmittel: Faszienrolle/Tennisball
Ziel: Lockerung, Mobilisierung und Durchblutungsverbesserung der Plantarfaszie
Ausgangsstellung: Stand oder Sitz
Durchführung: Stellen Sie den betroffenen Fuß auf eine Rolle oder einen Ball. Rollen Sie nun vorsichtig über die gesamte Fußsohle, jeweils ca. 5-mal mittig, innen und außen.
Übung mit Massageball. © Gelenk-Klinik
Übung mit Faszienrolle. © Gelenk-Klinik
Übungen zur Dehnung von Muskeln am Unterschenkel
Dehnungen der Muskulatur verbessern die Bewegunglichkeit und reduzieren Spannungen. Sie eignen sich besonders bei Überlastungssymptomatiken, die häufig mit verspannten Muskeln einhergehen. Achten Sie darauf, dass Sie bei der Ausführung der Übungen nur das klassische Dehnungsgefühl verspüren.
Übung 21: Dehnung des Musculus gastrocnemius
Dehnen Sie Ihre Wadenmuskulatur, um Spannungen abzubauen. © Gelenk-Klinik
Ziel: Dehnung des M. gastrocnemius
Ausgangsstellung: Stand vor einer Wand oder einem Stuhl. Stellen Sie das zu dehnende Bein nach hinten auf.
Durchführung: Stützen Sie sich mit den Händen leicht gegen die Wand oder einen Stuhl. Gehen Sie mit dem vorderen Bein in die Beugung und schieben Sie gleichzeitig die Ferse des hinteren Beines Richtung Boden. Sie sollten ein deutliches Spannungsgefühl in der Unterschenkelrückseite spüren. Das zu dehnende Bein ist im Kniegelenk möglichst gestreckt.
Halten Sie die Dehnung pro Bein jeweils ca. eine Minute. Dies entspricht einem Satz. Führen Sie 2–3 Sätze durch mit jeweils circa 30 Sekunden Pause zwischen den Sätzen. Üben Sie 2- bis 3-mal pro Woche.
Übung 22: Dehnung der vorderen Schienbeinmuskulatur
Ziel: Dehnen des Musculus tibialis anterior
Ausgangsstellung: Stand
Durchführung: Stellen Sie den betroffenen Fuß mit den Zehenrücken so weit hinter den Körper wie möglich. Die Zehen sind eingerollt. Bringen Sie Ihren Fuß so unter Dehnung, dass er ganz lang wird. Sie sollen vorne am Schienbein eine Spannung spüren.
Halten Sie die Dehnung pro Bein jeweils ca. eine Minute. Dies entspricht einem Satz. Führen Sie 2–3 Sätze durch mit jeweils circa 30 Sekunden Pause zwischen den Sätzen. Üben Sie 2- bis 3-mal pro Woche.
Stellen Sie den Fuß so weit wie möglich nach hinten. © Gelenk-Klinik
Der Zehenrücken liegt auf dem Boden. © Gelenk-Klinik
Übung 23: Dehnung des Musculus soleus
Gehen Sie mit beiden Beinen in die Beugung. © Gelenk-Klinik
Ausgangsstellung: Stand vor einer Wand oder einem Stuhl. Stellen Sie das zu dehnende Bein nach hinten auf.
Durchführung: Stützen Sie sich mit den Händen leicht gegen die Wand oder einen Stuhl. Gehen Sie mit beiden Beinen in die Beugung. Achten Sie darauf, dass beim hinteren Bein die Ferse nicht vom Boden abhebt. Sie sollten ein deutliches Spannungsgefühl in der Unterschenkelrückseite spüren.
Halten Sie die Dehnung pro Bein jeweils ca. eine Minute. Dies entspricht einem Satz. Führen Sie 2–3 Sätze durch mit jeweils circa 30 Sekunden Pause zwischen den Sätzen. Üben Sie 2- bis 3-mal pro Woche.
Häufige Patientenfragen zu Schmerzen im Sprunggelenk an Dr. Schneider von der Gelenk-Klinik Freiburg
Was tun bei Schmerzen im Sprunggelenk?
Ist eine Verletzung Auslöser der Sprunggelenkschmerzen, können Sie sich an der PECH-Regel orientieren (P=Pause, E=Eis, C=Compression, H=Hochlagern). Gönnen Sie Ihrem Sprunggelenk Ruhe und lagern Sie es hoch. Die Hochlagerung bewirkt eine bessere Ableitung der Lymphflüssigkeit und verbessert den Blutfluss, wodurch Schwellungen reduziert werden. Kühlung lindert die Schmerzen und wirkt gefäßverengend. Achten Sie darauf, Kühlpads nicht direkt auf die Haut zu legen. Ein stützender Kompressionsverband fördert den Rückstrom von Blut im Sprunggelenk und reduziert Schwellungen.
Welcher Arzt hilft bei Schmerzen im Sprunggelenk?
Wenn die Schmerzen im Sprunggelenk über mehrere Tage andauern oder eine Verletzung vorliegt, sollten Sie umgehend einen Arzt aufsuchen. Ein Sportmediziner oder Orthopäde kann Ihre Beschwerden am besten einschätzen.
Welche Salbe hilft bei Sprunggelenkschmerzen?
Entzündungshemmende Gels oder Salben aus der Gruppe der nichtsteroidalen Antirheumatika (NSAR) lindern Schmerzen und Entzündungen im oder am Sprunggelenk. Dies betrifft vor allem Weichteilgewebe wie Sehnen, Sehnenscheiden oder Schleimbeutel. Infrage kommen beispielsweise Wirkstoffe wie Diclofenac oder Ibuprofen. Eine pflanzliche Alternative ist Arnika. Salben, Cremes und Gels bieten den Vorteil, dass sie lokal wirken und daher weniger Nebenwirkungen haben als Tabletten. Bei offenen Wunden oder Entzündungen der Haut sollten Sie keine Schmerzsalben anwenden.
Was ist die Ursache für Schmerzen außen unter dem Knöchel?
Treten ohne ersichtlichen Grund oder eine Verletzung Schmerzen außen unter dem Knöchel auf, können Sehnen- oder Sehnenansatzentzündungen dafür verantwortlich sein. Diese verlaufen um den Außenknöchel herum und können Beschwerden an dieser Stelle verursachen.
Was ist der Grund für Schmerzen im Sprunggelenk beim Radfahren?
Radfahren im hohen Gang oder über eine längere Steigung kann Schmerzen im Sprunggelenk auslösen. Grund dafür ist die erhöhte Belastung des Gelenks, wenn der Fuß Druck auf die Pedale ausübt. Außerdem sollten Sie auf passendes, nicht zu enges Schuhwerk mit stabiler Sohle achten, die den Druck gleichmäßig auf den gesamten Fuß verteilt.
Wie lange dauern Schmerzen im Sprunggelenk?
Die Dauer von Schmerzen im Sprunggelenk hängt von der Ursache ab. Bei einer Bandverletzung sollten die Schmerzen spätestens nach zwei Wochen wieder abklingen. Sprunggelenksfrakturen benötigen einen längeren Zeitraum, bis die Schmerzen nachlassen. Nach etwa vier bis sechs Wochen können Sie Ihren Fuß vorsichtig belasten. Entzündliche Prozesse haben einen unterschiedlichen Heilungsverlauf. Die Schmerzen nach einer Entzündung im Sprunggelenk können bereits nach wenigen Tagen wieder abklingen. Ist allerdings eine entzündlich aktivierte Arthrose der Auslöser der Schmerzen, können die Beschwerden wesentlich länger anhalten, da eine Arthrose nicht vollständig heilbar ist.
Wie entsteht eine Schwellung außen unter dem Knöchel?
Eine Schwellung außen unter dem Knöchel deutet auf eine Bandverletzung hin. Oft ist ein Unfall oder eine Sportverletzung (Umknicktrauma) ursächlich. Die Schwellung geht meist mit einem Hämatom und starken Schmerzen einher.
Was ist der Grund für gleichzeitige Schmerzen in Knie und Sprunggelenk?
Tritt im Sprunggelenk eine Arthrose auf, ohne dass ein ersichtlicher Grund wie beispielsweise eine Verletzung oder Fehlstellung vorliegt, ist es wahrscheinlich, dass die Arthrose auch weitere Gelenke wie das Knie- oder Hüftgelenk betrifft. In einigen Fällen besteht eine Veranlagung zu weichem Knorpelgewebe, das anfälliger für Abrieb ist. Auch Morbus Bechterew, eine chronische Gelenkentzündung, die hauptsächlich die Wirbelsäule angreift, kann sich auf Knie- und Sprunggelenk auswirken.
Was ist die Ursache für Sprunggelenkschmerzen nachts oder in Ruhe?
Gelenkschmerzen, die nachts oder in Ruhe auftreten, deuten häufig auf eine fortgeschrittene Arthrose (Gelenkverschleiß) hin. Zu Beginn verursacht eine Arthrose häufig noch keine Beschwerden. Mit zunehmendem Verschleiß nehmen die Schmerzen zu. Während die Beschwerden zunächst nur unter Belastung auftreten, verursacht die fortgeschrittene Sprunggelenksarthrose auch in Ruhe Schmerzen. Weitere Gründe für Schmerzen im Sprunggelenk nachts oder in Ruhe sind Polyneuropathie (Nervenschädigungen) oder entzündliche Prozesse wie eine Synovitis (Gelenkschleimhautentzündung).
Was ist der Grund für Schmerzen im Sprunggelenk beim Joggen?
Fehlstellungen des Fußes wie ein Knick-Senkfuß können für Schmerzen im Sprunggelenk beim Joggen verantwortlich sein. Dabei werden Fuß und Sprunggelenk unnatürlich belastet. Auch Überlastungen durch Übergewicht oder ein gesteigertes Trainingspensum können Sprunggelenkschmerzen beim Joggen verursachen.
Wie entstehen Schmerzen am Sprunggelenk innen?
Wird der am Innenknöchel verlaufende Schienbeinnerv (Nervus tibialis) eingeklemmt, kommt es zu Schmerzen in diesem Bereich. Die Schmerzen strahlen vor allem auch in den Fußrücken aus. Man spricht dann von einem Tarsaltunnelsyndrom. Ein weiterer Grund für Sprunggelenkschmerzen innen sind die seltener auftretenden Innenbandverletzungen.
Wie kommt es zu Dauerschmerzen im Sprunggelenk?
Schmerzt das Sprunggelenk dauerhaft, kann eine Arthrose ursächlich sein. Wegen der hohen Belastung durch das Körpergewicht ist das Sprunggelenk eins der am häufigsten von Arthrose betroffenen Gelenke.
Warum habe ich plötzlich starke Schmerzen im Sprunggelenk?
Neben Verletzungen wie Bänderrissen oder Frakturen im Sprunggelenk können auch Überlastungen durch Sport zu plötzlichen heftigen Schmerzen im Sprunggelenk führen. Sie sollten solche Schmerzen nicht ignorieren, sondern einen Arzt aufsuchen.
Wie entstehen Schmerzen im Sprunggelenk beidseitig?
Schmerzen im Sprunggelenk, die beidseitig auftreten, können ein Hinweis auf eine rheumatische Erkrankung sein. Auch eine Osteochondrosis dissecans (OD), also ein Absterben des unter der Knorpelfläche liegenden Knochens, kann beidseitige Sprunggelenkschmerzen auslösen. In 40 % aller Fälle tritt die OD beidseitig auf.
Welche Schmerzen treten bei einem Bänderriss am Sprunggelenk auf?
Bei einem Bänderriss verspürt der Patient sofort heftige Schmerzen am Sprunggelenk. Die Verletzung geht mit einer Schwellung und Hämatombildung einher und der Patient kann seinen Fuß nicht mehr belasten. Die Schmerzen halten meist über einige Tage an und klingen dann langsam ab. Der Bereich um die Verletzung ist sehr druckschmerzhaft.
Warum habe ich Sprunggelenkschmerzen bei Belastung?
Belastungsschmerzen am Sprunggelenk können auf eine beginnende Sprunggelenksarthrose hindeuten. Die Schmerzen sind meist tiefliegend und treten beim Sport oder nach akuten Belastungen auf. Auch Übergewicht oder andere überlastungsbedingte Ursachen können Schmerzen im Sprunggelenk begünstigen. Sie sollten nicht in den Schmerz hineintrainieren und Ihr Sprunggelenk schonen. Halten die Beschwerden an, suchen Sie einen Arzt auf.
Literaturangaben
- Anders, S., Götz, J., Grifka, J., & Baier, C. (2017). Knorpelreparative Eingriffe am oberen Sprunggelenk. Der Orthopäde, 46(11), 938–946.
- Baumhauer, J. F., Alosa, D. M., Renström, A. F., Trevino, S. & Beynnon, B. (1995). A prospective study of ankle injury risk factors. The American journal of sports medicine, 23, 564–70.
- Fuchs, S., Sandmann, C., Skwara, A. & Chylarecki, C. (2003). Quality of life 20 years after arthrodesis of the ankle. A study of adjacent joints. The Journal of bone and joint surgery. British volume, 85, 994–8.
- Giza, E., Fuller, C., Junge, A. & Dvorak, J. (2003). Mechanisms of foot and ankle injuries in soccer. The American journal of sports medicine, 31, 550–4.
- Gould, J. S., Alvine, F. G., Mann, R. A., Sanders, R. W. & Walling, A. K. (2000). Total ankle replacement: a surgical discussion. Part I. Replacement systems, indications, and contraindications. American journal of orthopedics (Belle Mead, N.J.), 29, 604–9.
- Gruber, G., Schamberger, C., & Konermann, W. (2018). Sprunggelenk. Sonografie in Orthopädie, Unfallchirurgie und Rheumatologie, 161–187. Springer, Berlin, Heidelberg.
- Hamel, J., & Zwipp, H. (2016). Sprunggelenk und Rückfuß. Springer Berlin Heidelberg.
- Hintermann, B. (1999). [Short- and mid-term results with the STAR total ankle prosthesis]. Der Orthopäde, 28, 792–803.
- Hintermann, B. & Valderrabano, V. (2003). Total ankle replacement. Foot and ankle clinics, 8, 375–405.
- Karlsson, J., Bergsten, T., Lansinger, O. & Peterson, L. (1988). Reconstruction of the lateral ligaments of the ankle for chronic lateral instability. The Journal of bone and joint surgery. American volume, 70, 581–8.
- Karlsson, J., Bergsten, T., Lansinger, O. & Peterson, L. (1989). Surgical treatment of chronic lateral instability of the ankle joint. A new procedure. The American journal of sports medicine, 17, 268–73; discussion 2.
- Karlsson, J., Eriksson, B. I., Bergsten, T., Rudholm, O. & Swärd, L. (1997). Comparison of two anatomic reconstructions for chronic lateral instability of the ankle joint.. The American journal of sports medicine, 25, 48–53.
- Na. Komplikationen in Orthopädie und Unfallchirurgie: vermeiden; erkennen; behandeln.
- Niethard, F. U., Pfeil, J. & Biberthaler, P. (2009). Orthopädie und Unfallchirurgie. Stuttgart: Thieme.
- Orthofer, P. (2004). Orthopädietechnik. Huber Hans.
- Pagenstert, G. I., Hintermann, B. & Knupp, M. (2006). Operative management of chronic ankle instability: plantaris graft. Foot and ankle clinics, 11, 567–83.
- Schäfer, D., Boss, A. & Hintermann, B. (2003). Accuracy of arthroscopic assessment of anterior ankle cartilage lesions. Foot & ankle international / American Orthopaedic Foot and Ankle Society [and] Swiss Foot and Ankle Society, 24, 317–20.
- Schneidmüller, D., & Marzi, I. (2016). Sprunggelenk. In: Kindertraumatologie, 441–475. Springer, Berlin, Heidelberg.
- Studer, K., & Camathias, C. (2019). Überlastungsschäden und Traumata am Fuß und Sprunggelenk im Sport im Kindesalter. Sports Orthopaedics and Traumatology, 35(3), 244–253.
- Seifarth, A. (2019). Anatomie und pathologie der bänder im oberen und unteren sprunggelenk. Arthroskopie, 32(2), 125–132.
- Stufkens, S. A., Knupp, M., Horisberger, M., Lampert, C. & Hintermann, B. (2010). Cartilage lesions and the development of osteoarthritis after internal fixation of ankle fractures: a prospective study. The Journal of bone and joint surgery. American volume, 92, 279–86.
- Sullivan, R. J. (2010). The pediatric foot and ankle. Foot and ankle clinics, 15, ix.
- Unknown. (2007). Praxis der konservativen Orthopädie. Thieme Georg Verlag.
- Valderrabano, V., Engelhardt, M. & Küster, H. -. (2008). Fuß & Sprunggelenk und Sport: Empfehlungen von Sportarten aus orthopädischer und sportmedizinischer Sicht. Deutscher Ärzte-Verlag.
- Wulker, N., FRCSIMater, M. M. & III, M. D. (1998). An Atlas of Foot & Ankle Surgery (1st ed). Martin Dunitz.
- Wülker, N. (2005). Taschenlehrbuch Orthopädie und Unfallchirurgie. Stuttgart: Thieme.
