- Was ist eine Knieteilprothese?
- Vorteile der Knieteilprothese im Vergleich zur Knievollprothese
- Haltbarkeit der Knieteilprothesen
- Indikationen für Teilprothesen und Hemicaps
- Untersuchung: Wann ist die Knieteilprothese (Schlittenprothese) die richtige Therapie?
- Minimalinvasive Operation: Präzision bei Implantat und OP-Technik
- Arten von Knieteilprothesen: Repicci-Prothese und HemiCap®
- Rehabilitation nach Knieteilprothese: Wann kann eine Vollbelastung erfolgen?
- Welche Sportarten sind mit Knieteilprothese möglich?
- Wie lange dauert der stationäre Aufenthalt?
Die Knieteilprothese deckt nur die Arthrose des medialen (inneren) Anteils der Oberschenkelrolle (Kondyle) ab. © Prof. Dr. med. Ostermeier
Die Kniearthrose schreitet meist nicht in allen Bereichen des Kniegelenks gleich schnell voran. Häufig ist in einem noch nahezu gesunden Knie lediglich ein Bereich (Kompartiment) von Arthrose betroffen. Vor allem die innere Kammer des Knies und der Bereich hinter der Kniescheibe sind anfällig für Knorpelverschleiß.
Anatomie des Kniegelenks: Kniearthrose kann lokal begrenzt in den einzelnen Kompartimenten des Kniegelenks auftreten, dem inneren Kniegelenk, dem äußeren Kniegelenk und dem retropatellaren (femoropatellaren) Gelenk hinter der Kniescheibe.
Lokale Arthrosen im Kniegelenk
- mediale Kniearthrose (Varusgonarthrose):
Arthrose in dem der Körpermitte zugewandten Bereich des Kniegelenks (v. a. bei O-Beinen) - laterale Kniearthrose (Valgusgonarthrose):
Arthrose in der äußeren Kammer des Kniegelenks (v. a. bei X-Beinen) - Arthrose hinter der Kniescheibe (retropatellare Arthrose):
Arthrose im Gelenk zwischen Kniescheibe und Oberschenkel
In vielen Fällen wird auch bei einer sog. fokalen Gonarthrose (Knorpelschädigung in einem eng umgrenzten Bereich) noch heute eine Knievollprothese empfohlen. Diese ersetzt alle, auch die gesunden Bereiche des komplexen Kniegelenks. Es besteht jedoch die Möglichkeit, durch ein kleines Implantat lediglich den beschädigten Bereich zu sanieren. So bleiben die gesunden Bereiche des Knies intakt. Die noch gesunden Knorpel, Knochen und Kreuzbänder des Patienten erfüllen weiterhin ihre Funktion.
Mit den Knieteilprothesen fühlt sich für die Patienten auch die Bewegungssteuerung und die Koordination natürlich an.
Was ist eine Knieteilprothese?
- unikondyläre Knieprothese:
Die Kondylen sind die beiden runden Oberschenkelrollen im Kniegelenk. Eine unikondyläre Knieprothese deckt nur eine der beiden Kondylen ab. Damit ist die unikondyläre Knieprothese gleichbedeutend mit der → Schlittenprothese. - Repicci-Prothese:
Die unikondyläre Knieteilprothese im Knie wurde entwickelt von Dr. Repicci, einem US-amerikanischen Orthopäden. Sie wird daher auch als Repicci-Prothese bezeichnet. Sie hat wie konventionelle Prothesen ein Metallinlay im Oberschenkel mit einem Polyethylen-Gleitpartner auf der gegenüberliegenden Schienbeinseite. Weil diese Prothese wie eine Kufe auf der PET-Kunststoffoberfläche aufliegt, bezeichnet man sie auch als Schlittenprothese. - Oberflächenersatzprothesen (HemiCaps®):
HemiCaps® ist ein eingetragenes Warenzeichen, das Oberflächenersatzprothesen im Kniegelenk bezeichnet. Der Name hat sich eingebürgert für diesen Prothesentyp. Die Oberflächenersatzprothesen decken lediglich ein beschädigtes Areal ab und sind gelenkig verbunden mit der Knorpelfläche der gegenüberliegenden Seite. Die Option des Oberflächenersatzes im Kniegelenk ist gegeben, wenn nur einer der beiden Gelenkpartner (Oberschenkelknochen oder Schienbein) eine Arthrose aufweist.
Teilprothesen zur Versorgung lokaler Knorpelschäden im Knie
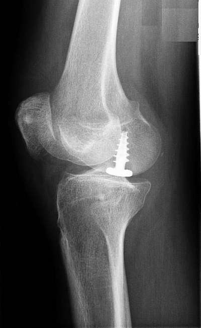
Seitliches Röntgenbild: Links ist die Kniescheibe zu sehen. Die Oberflächenersatzprothese (Hemicap) kann kleine lokale Knochen-Knorpelschäden überdecken und das Fortschreiten der Kniearthrose eindämmen. © Prof. Dr. med. Ostermeier
Bei vielen Patienten betrifft die Arthrose der Knorpeloberflächen nur einen Teil des Kniegelenks. Z. B. ist häufig nur der innere (mediale) Gelenkspalt verschlissen und die anderen Anteile vollkommen unversehrt. Dies ist vor allem bei Patienten mit einer verstärkten O-Bein-Fehlstellung (Varusgonarthrose) der Fall.
Die Knieteilprothese kann einen großen Teil des natürlichen Knies erhalten – inklusive Kreuzbänder und natürlicher Propriozeption (Gelenkgefühl). Über 80 % der natürlichen Anteile des Kniegelenks bleiben trotz Knieteilprothese erhalten. Das Bewegungsgefühl und die Koordinationsfähigkeit des weitgehend gelenkerhaltend versorgten Knies sind wesentlich besser und natürlicher als bei der Knievollprothese.
Stellenwert und Anwendungsgebiete der Knieteilprothese
Dennoch gehört die unikondyläre Knieteilprothese in vielen Kliniken noch nicht zur Standardversorgung bei einseitiger Kniearthrose. Ein Grund ist die sicherlich höhere Anforderung an die Ausbildung und Erfahrung des Operateurs bei der unikondylären Knieteilprothese.
Studien haben gezeigt, dass die Ergebnisse der unikompartimentellen Knieprothese (Knieteilprothese) sehr stark von der Erfahrung des Operateurs abhängig sind. Ihre Qualität ist erst dann mit der Haltbarkeit der Totalendoprothesen vergleichbar, wenn ein Operateur mindestens 20 % seiner Knieprothesen als Teilprothesen operiert. Optimal werden die OP-Ergebnisse bei einem Anteil zwischen 40 und 60 %. Diese Rate entspricht dem Anteil an Knieteilprothesen in unserer grundsätzlich auf Gelenkerhalt ausgerichteten orthopädischen Gelenk-Klinik.
Je nach Ausmaß, Alter des Patienten und der Art der Arthrose ist laut neueren Forschungsergebnissen bei über 50 % der Patienten mit Kniearthrose ein unikompartimenteller Oberflächenersatz möglich.
Um die übrigen Gelenkanteile, die nicht von der Arthrose betroffen sind, zu schonen, und nicht unnötig mit einem kompletten künstlichen Kniegelenk zu ersetzen, stehen heutzutage verschiedene Formen des Oberflächenersatzes zur Verfügung. Neben der Repicci-Prothese (unikondyläre Knieteilprothese) gibt es kleinere Inlays, die auch ohne Kunststoffkern auskommen.
Vorteile der Knieteilprothese im Vergleich zur Knievollprothese
Studie zu den Vorteilen der Knieteilprothese
Jeweils 115 Patienten mit Knievollprothese und Knieteilprothese nach Gelenkverschleiß durch Kniearthrose wurden untersucht. Patienten mit Knieteilprothese wiesen bereits bei Entlassung aus dem OP-Krankenhaus eine bessere Beweglichkeit auf (77° im Vergleich zu 67° bei Knievollprothese). Auch 6 Wochen nach der Operation war die Beweglichkeit bei Knieteilprothesen besser (115° im Vergleich zu 110 ° bei Knievollprothese). (Studie)
- Bei Arthrose in nur einem Kompartiment des Kniegelenks kann eine Repicci-Prothese die natürliche Funktion der intakten Kompartimente erhalten.
- Das Weichteiltrauma und die OP-Wunde sind bei diesem minimalinvasiven Eingriff kleiner als bei einer Vollprothese.
- Eine Knieteilprothese ist nach der Operation sofort voll belastbar.
- Das Kniegelenk weist eine größere Beweglichkeit auf als mit einer Vollprothese.
- Aufgrund der geringeren Auflagefläche der Knieteilprothese auf dem aus PET (Polyethylen) bestehenden Anteil kommt es bei der Repicci-Prothese zu weniger Metallabrieb. Dies ist vor allem für Metall-Allergiker wichtig. Auch die aseptische Osteolyse (Knochenauflösung) durch die Reaktion des Immunsystems auf die Kunststoffpartikel fällt geringer aus.
- Das Polyethyleninlay bei Repicci-Prothesen ist viel kleiner und weniger dick als bei Vollprothesen. Bei einem Prothesenwechsel von der Repicci-Prothese auf eine Vollprothese nach 15–20 Jahren steht also mehr Knochensubstanz für die stabile Verankerung der Vollprothese zur Verfügung. Die Prognose und Haltbarkeit einer Knievollprothese ist als Wechseloperation nach einer Repicci-Prothese wesentlich besser als nach einer herkömmlichen Wechseloperation mit vorangegangener Knie-TEP.
- Der Tragekomfort und die Patientenzufriedenheit liegen mit einer Repicci-Prothese wesentlich höher als bei einer Knie-TEP.
*Befragung von 65 % aller 2019 in der Gelenk-Klinik operierten Patienten. © Gelenk-Klinik
Haltbarkeit der Knieteilprothesen
Die Teilprothesen weisen eine Haltbarkeit von 10–15 Jahren auf. In diesem Zeitraum gewinnen gerade jüngere Patienten mit Kniearthrose wichtige Jahre mit hoher Lebensqualität. Durch den Erhalt der Nerven, Sehnen und der natürlichen Koordination im Kniegelenk fällt Sport mit Teilprothesen wesentlich leichter als mit einer Knie-TEP. Auch ambitionierte Sportler konnten mit einer Knieteilprothese schon häufig wieder auf hohem Niveau in ihren Sport zurückkommen (z. B. Tennis, Eishockey, Fußball). Voraussetzung ist eine gründliche Rehabilitation. Ein Versagen dieser Implantate wird selten beobachtet. Die knochensparende Versorgung in Verbindung mit dem hohen Aktivitätsgrad macht die Knieteilprothese damit vor allem zu einer Alternative für junge, aktive Patienten mit Kniearthrose.
Indikationen für Teilprothesen und Hemicaps
Es gibt bestimmte Einsatzgebiete, wo Teilprothesen und Hemicaps ihre Vorteile voll ausspielen können. Dazu gehören alle Erkrankungen des Kniegelenks, die zu einer lokalen Beschädigung des Knochens und Knorpels führen. Aus diesen lokalen Knochen- und Knorpelschäden mit Unebenheiten in der Gelenkfläche kann sich relativ rasch eine Kniearthrose entwickeln. Die Arthrose ist dabei ein sich selbst verstärkender Prozess. Entzündungen im Kniegelenk führen zu beschleunigtem Knorpelabbau. Dieser Prozess lässt sich durch Sanierung der betroffenen Oberflächen mithilfe von Oberflächenersatz (Hemicaps) und Knieteilprothesen eindämmen. Die noch vitalen Anteile und Strukturen des Kniegelenks können so noch viele Jahre ihre Aufgabe erfüllen.
Der metallene Bestandteil der Prothese wird zementfrei in die Oberschenkelrolle eingesetzt und wächst dort in die knöchernen Strukturen ein. Die Komponente aus Polyethylen überdeckt den tibialen (schienbeinseitigen) Anteil des Gelenks und sorgt für Gleitfähigkeit.
Osteonekrose (Knochentod) des Kniegelenks (Morbus Ahlbäck)
Das aufgeraute Gewinde des Hemicap-Schaftes erlaubt ein stabiles und zementfreies Einheilen des umgebenden Knochens. Diese Oberflächenersatzprothese kann kleinere Knochen- und Knorpelschäden direkt überdecken. Die minimalinvasive OP-Technik sorgt für eine im Vergleich zur Vollprothese schnelle, schmerzarme und komplikationsfreie Heilung. Der deutlich sichtbare Gelenkspalt im Röntgenbild zeigt, dass die gelenkschützende Knorpelschicht in diesem Kniegelenk noch völlig intakt ist. © Prof. Dr. med. Ostermeier
Die Osteonekrose des Kniegelenks (Morbus Ahlbäck) führt zum lokalen Absterben des Knochens an den Oberschenkelrollen im Kniegelenk (sog. Kondylen). Die Ursache dieser Erkrankung ist nicht genau geklärt. Bei sehr jungen Patienten oder Patienten mit gutem Regenerationsvermögen gelingt es häufig, die Regeneration des Knochens wieder anzuregen. Bei älteren Patienten kann der Knochen unter der Knorpelfläche einbrechen. Eine lokale Arthrose entsteht. In diesem Fall wird vielen Patienten eine Knievollprothese angeboten.
Das ist jedoch häufig ein unnötig radikaler Eingriff. Mit einer Teilprothese kann man das geschädigte Areal der Oberschenkelrolle versorgen, sodass das Knie bis auf diesen Bereich völlig intakt bleibt.
Knochen-Knorpelschäden (osteochondrale Läsionen)
Verschiedene Ursachen können zu einer Beschädigung der unter dem Knorpel liegenden Knochenbereiche führen. Man spricht hier von osteochondralen Läsionen am Kniegelenk. Wenn eine Behandlung durch Auffüllung des beschädigten Knochens (Osteosynthese) und Knorpeltransplantation nicht mehr möglich ist, kann eine Teilprothese (Oberflächenersatz) die beschädigte Gelenkoberfläche wieder langfristig sanieren.
Osteochondrosis dissecans im Kniegelenk
Entwicklungsstörungen können zur Ablösung von Knochenteilen aus der Gelenkoberfläche führen (Osteochondrosis dissecans). Nach einer schwerwiegenden Knochenschädigung ist die Gelenkoberfläche nicht mehr eben. Häufig bildet sich aufgrund dessen eine Arthrose im Kniegelenk aus. Bei kleineren Schadstellen kann bereits ein kleines Hemicap-Implantat den Verlust an Knochen und Knorpel ausgleichen und die betroffene Stelle sanieren. Die Arthrose im Kniegelenk wird nach dieser Sanierung nicht mehr durch Unebenheiten, Knochen- und Knorpeltrümmern und freie Gelenkkörper vorangetrieben. Das Implantat beeinträchtigt die Lebensqualität der betroffenen Patienten im Vergleich zur Vollprothese nicht – oder nur minimal.
Knorpelschäden hinter der Kniescheibe (retropatellare Arthrose)
Eine isolierte Arthrose hinter der Kniescheibe kann durch ein speziell angepasstes Implantat behandelt werden. Das Hemicap-Implantat formt die retropatellare Gleitrinne auf dem Oberschenkelknochen (Trochlea) nach. © Prof. Dr. med. Ostermeier
Die Kniescheibe ist ein an Bändern und Sehnen frei aufgehängter Knochen. Sie bildet mit dem Oberschenkelknochen einen Teil des Kniegelenks.
Störungen der Beweglichkeit oder der Form der Kniescheibe können zu Knorpelschäden und Arthrose im patellofemoralen Gelenk zwischen Oberschenkelknochen und Kniescheibe führen. Das patellofemorale Gelenk ist sehr anfällig gegenüber Störungen der Form oder Beweglichkeit der frei aufgehängten Kniescheibe. Mögliche Ursachen der retropatellaren Arthrose sind große sportliche Belastungen, z. B. beim Abfahrt-Skifahren. Auch vorwiegend kniende Berufe (Fliesenleger, Pflasterer etc.) können die Kniescheibe überlasten und zu Arthrose führen.
Je nach Ausmaß des Gelenkverschleißes und Entwicklungsstadium der Arthrose kommen unterschiedliche Teilprothesen in Frage, die genau diesen Bereich gut versorgen können.
Wenn die retropatellare Arthrose beide Gelenkflächen – Patella und Oberschenkel – betrifft, kommt eine retropatellare Prothese mit patellaseitiger PET-Gleitschicht zum Einsatz. Dieses Röntgenbild zeigt nur die Metallkomponente. Der Kunststoff wird im Röntgen nicht dargestellt. © Prof. Dr. med. Ostermeier
Wenn die Knorpelschicht hinter der Kniescheibe noch intakt ist, kann die Versorgung durch ein patellofemorales Hemicap-Implantat als Oberflächenersatzprothese erfolgen. Dieses Implantat deckt das patellofemorale Gleitlager (Trochlea) ab und berührt die patellaseitige Knorpelschicht.
Wenn die patellaseitige Knorpelschicht ebenfalls schon abgenutzt ist, muss die Prothese mit einem Kunststoff-Gleitpartner implantiert werden. Bei der patellofemoralen Prothese verbindet sich das Implantat im Femur (Oberschenkelknochen) mit einer Polyethylen-Gleitschicht, die an der Patella (Kniescheibe) implantiert ist.
Beide Versorgungstypen dienen der raschen Sanierung und Eindämmung der retropatellaren Arthrose. Die Arthrose kann dann nicht mehr entzündlich aktiviert werden und den Rest des Knies in Mitleidenschaft ziehen. Die typischen Symptome wie Schwellung, Anlaufschmerzen oder Belastungsschmerzen hinter der Kniescheibe behandelt das retropatellare Implantat zuverlässig.
Externer Inhalt von youtube.com
Es gibt zahlreiche operative Therapieverfahren bei Knorpelschaden. Die sanfteste Behandlungsmethode ist der Ersatz des Gelenkknorpels durch eine Knorpelzelltransplantation.
Ziel der Knieteilprothese: So viel eigene Knochensubstanz erhalten wie möglich
Implantationen künstlicher Knieteilprothesen gehören zu den häufigsten orthopädischen Eingriffen. Diese Routine-Eingriffe belasten den Organismus nicht so sehr wie Vollprothesen. Ein erfahrener Operateur benötigt dafür keine langen Operationszeiten und der Eingriff erfolgt meist minimalinvasiv. Dieses schonende Verfahren ermöglicht durch kleinstmögliche Schnitte eine schnellere, komplikationsarme Heilung.
Für wen kommt eine Teilprothese in Frage?
Fakten zur Knieteilprothese:
- minimalinvasiver Eingriff
- kleiner Hautschnitt
- nachgewiesen geringeres Infektionsrisiko
- sofortige Belastbarkeit
- bessere Beweglichkeit
- hoher Anteil an Patienten mit sehr guten Ergebnissen für die Lebensqualität
- geringere Beeinträchtigung der Patienten durch Operation der Teilprothese (schonender Eingriff)
- nur 40 % der Komplikationsrate einer Vollprothese
- natürliches Gelenkgefühl (1,8-fach häufiger)
- Verzögerung des Gelenkvollersatzes um 10–15 Jahre
- durchschnittliche Haltbarkeit 10–15 Jahre
- Rückzug auf konventionelle Techniken möglich
- Vorteil für Metallallergiker: weniger Abrieb von Metallionen
- geringere Dicke des PET-Inlays auf der Tibia (erhält den Knochenbestand für spätere Wechseloperationen intakt)
Zunehmend werden jüngere und aktivere Patienten mit einer Teilendoprothese am Knie versorgt. Die Verankerung im Knochen und das Material, insbesondere das Polyethylen, sind dadurch größeren Belastungen ausgesetzt und unterliegen einem höheren Versagensrisiko.
Im optimalen Fall liegt die Lebenserwartung einer Knieprothese über der Lebenserwartung des Patienten, sodass sie nie gewechselt werden muss. Bei der zunehmenden Zahl jüngerer Patienten, die eine Kniearthrose in ihrem 5. oder 6. Lebensjahrzehnt erhalten, ist diese Hoffnung nicht berechtigt. Eine Teilprothese ist hier in vielen Fällen geeignet, den Zeitraum bis zum Einsatz der Knie-TEP bei hoher Lebensqualität zu überbrücken.
Je weniger originäre Knochensubstanz bei der Implantation geopfert werden muss, desto größer sind die im höheren Lebensalter noch vorhandenen Rückzugsmöglichkeiten beim Wechsel auf eine konventionelle Schlitten- oder Vollprothese.
Untersuchung: Wann ist die Knieteilprothese (Schlittenprothese) die richtige Therapie?
Untersuchung vor dem Einsatz der Knieteilprothese:
- Röntgenbilder:
Beugebelastungs- aufnahmen - Magnetresonanz- tomografie:
spezifische Knorpeldiagnostik durch Färbesubstanzen - Kniearthroskopie:
direkte Untersuchung der Knorpel, Knochen und Bänder durch eine kleine operative Inspektion des Knies
Zunächst erfolgt eine sorgfältige Untersuchung des Patienten, um das Beschwerdebild des betroffenen Kniegelenks zu präzisieren. Anschließend kann der Arzt mithilfe von speziellen Röntgenbildern (Beugebelastungsaufnahmen) eine erste Aussage über den Grad der Kniegelenksarthrose treffen. Eine auch in der Gelenk-Klinik durchführbare, aktuelle Kernspintomographie (MRT) hilft dem Kniespezialisten, die Beschaffenheit und das Ausmaß des vorliegenden Knorpelverschleißes zu beurteilen. Letztendlich führt eine Arthroskopie des Kniegelenks zur optimalen Beurteilung, ob und welcher Teiloberflächenersatz zur Behandlung der vorhandenen Arthrose geeignet ist.
Teilweise kann solch eine Arthroskopie auch zum Ausschluss einer prothetischen Versorgung führen, da der vorliegende Knorpelschaden sich vielmehr für ein regeneratives Verfahren eignet (z. B. Knorpelzelltransplantation). Insbesondere eine gute biologische Beschaffenheit und Unversehrtheit der um- und gegenüberliegenden Knorpelflächen würden eher zur Empfehlung einer gelenkerhaltenden Knorpeltherapie führen.
Minimalinvasive Operation: Präzision bei Implantat und OP-Technik
- Behandlungsstrategie aus der Zahnmedizin: Nur beschädigte Bereiche werden ersetzt.
- Minimalinvasive Therapie, daher nur kleinste Schnitte und schnelle Heilung.
Künstliche Gelenke aus innovativen, gut verträglichen Materialien tragen zur erstaunlich kurzen Rehabilitationszeit bei. Langzeituntersuchungen bestätigen die besonders gute Haltbarkeit der modernen Implantate. Die Präzision, mit der ein Implantat eingesetzt wird, ist entscheidend für den Heilungserfolg. Dieser hängt somit unmittelbar von der Erfahrung und der manuellen Geschicklichkeit des Operateurs ab.
Der amerikanische Zahnarzt und Orthopäde Dr. Repicci hat Techniken der Zahnmedizin in seine OP-Methode mit dem Ziel eingebracht, möglichst viel vom Gelenk zu erhalten. Vergleichbar mit einem Inlay in der Zahnmedizin wird nur der verschlissene Teil des Gelenks durch ein Metall-/Kunststoffinlay ersetzt. Alle Bänder und Gelenkabschnitte mit gutem Knorpel bleiben intakt. Im Vergleich zu einer Knievollprothese kann man so über 80 % der körpereigenen Strukturen des Kniegelenks erhalten.
Arten von Knieteilprothesen: Repicci-Prothese und HemiCap®
Es gibt verschiedene Typen der Knieteilendoprothese. Je nach Lage und Ausmaß der Knorpelschädigung sind verschiedene Prothesenmodelle möglich.
HemiCap®-Prothese des Knies
Die HemiCap®-Knieteilprothese wird zementfrei, lediglich mit einer Knochenschraube befestigt. Diese Methode kann kleine Knorpelschäden an unterschiedlichen Bereichen des Knies abdecken und sichern.
Die kleinste Möglichkeit des Oberflächenersatzes stellt eine kreisrunde, gewölbte Metallfläche (HemiCap®) dar.
HemiCap® kommt vor allem bei kleinen, lokalen Knorpeldefekten in allen großen Gelenken des Körpers zum Einsatz. Diese Knorpeldefekte können durch Unfälle oder Traumata hervorgerufen werden.
Das HemiCap®-Implantat wird mit einer Knochenschraube im Knochen zementfrei verankert.
Es stehen verschiedene Durchmesser und Wölbungsgrade der Metallfläche zur Verfügung, um diese der umliegenden, individuellen Gelenkform anzupassen und einen stufenlosen Übergang zwischen Metall- und Knorpeloberfläche zu erreichen.
Bei dieser Art des Teilersatzes berührt (artikuliert) die Metallfläche mit dem unversehrten gegenüberliegenden Knorpelbereich. Wissenschaftliche Studien konnten zeigen, dass dieser Bereich dabei biomechanisch nicht überlastet wird.
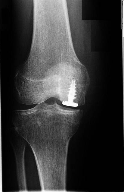
Detailansicht Teilprothese (HemiCap®): Die Verankerungsschraube ermöglicht eine zementfreie Fixierung der Metalloberfläche. Der Knochen wächst stabil in die speziell vorbereitete Unterseite ein. Anders als die Repicci-Prothese verfügt die HemiCap®-Prothese über keinen Plastik-Gleitpartner. Die genau angepasste Oberfläche liegt der gegenüberliegenden Knorpelfläche auf. © 2med
Das bei der HemiCap® verwendete Material ist biokompatibel und wird schon seit Jahrzehnten in der Prothetik verwendet. Die Verankerungsstelle des HemiCap®-Implantates wird arthroskopisch vorbereitet. Über einen zweiten Zugang bringt der Operateur das Implantat in das Knie ein und setzt es im Bereich des lokalisierten Knorpelschadens ein.
Behandlung eines größeren Knorpelschadens durch eine Knieteilprothese
Sind gegenüberliegende Knorpelbereiche verschlissen und übersteigt die betroffene Fläche ein gewisses Maß, so kommen Systeme zum Einsatz, die beide Gelenkflächen ersetzen. Ist das im Gelenkspalt zwischen Ober- und Unterschenkel der Fall (tibiofemorale Arthrose) wird eine sog. Schlittenprothese eingesetzt. Diese besteht aus einem metallischen, kufenartigen Anteil am Oberschenkelknochen (Femur) und einem flachen, plateauartigen Kunststoffanteil am Schienbein (Tibia). Ist solch ein gegenüberliegender Verschleiß im Bereich zwischen Kniescheibe (Patella) und Oberschenkel vorhanden, kommt eine Patellofemoralprothese zum Einsatz. Diese ersetzt den verschlissenen Knorpelanteil des Oberschenkelknochens (Trochlea femoris) mit einem form- und größengerechten metallischen Anteil. Die Rückfläche der Kniescheibe (Patella) ersetzt ein runder, dornförmiger Kunststoffanteil.
Bei dieser Art des Teilersatzes berührt (artikuliert) der metallische Anteil den jeweiligen Kunststoffanteil. Auch diese Art des Oberflächenersatzes führt nicht zu einer Überlastung der noch unversehrten Knorpelbereiche.
Animation: Standard-Onlay-Technik einer Knieteilprothese
Rehabilitation nach Knieteilprothese: Wann kann eine Vollbelastung erfolgen?
Die Prüfung des Bewegungsumfanges gehört nach einer Operation der Knieteilprothese zur Nachsorge. 90° sollten so schnell wie möglich erreicht werden. Typische Alltagssituationen wie Sitzen, Fahrradfahren und Autofahren hängen davon ab. Ziel nach dem Einsatz einer Knieteilprothese ist es, den vollständigen Bewegungsumfang zurückzuerlangen. © Gelenk-Klinik.de
Nach Einsatz der Teilprothese kann das operierte Gelenk sofort wieder voll belastet und trainiert werden. Da der Arzt die Teilprothesen durch minimierte Schnitte in das Kniegelenk einsetzt und die übrigen Strukturen des Kniegelenks (Seitenband- und Kreuzband) nicht verändert oder verletzt werden, ändert sich der Bewegungsablauf (Biomechanik) des Kniegelenks nicht. Das individuelle Körper- und Bewegungsgefühl des Patienten bleibt außer der Beseitigung der vorhandenen arthrosebedingten Schmerzen und Bewegungseinschränkungen unverändert.
Welche Sportarten sind mit Knieteilprothese möglich?
Vergleichende klinische Studien zeigen, dass die innovative Implantationstechnik insbesondere für hohe Beanspruchung (hohes Aktivitätsniveau) und sportliche Belastung geeignet ist. Darüber hinaus wird knochensparend implantiert, sodass ein Wechsel der Prothese in der Folgezeit möglich ist. Durch die Beibehaltung der umgebenden Strukturen kann der Patient sein ursprüngliches Bewegungsniveau vor Eintritt der Kniegelenksarthrose wieder erreichen. Eine Vielzahl sportlicher Betätigungen ist auch nach Einsatz einer Teilprothese im Kniegelenk noch uneingeschränkt möglich. Allerdings sollten Betroffene auf sog. High-Impact-Sportarten mit unkontrollierbaren Stürzen (alpine Skiabfahrten auf schwarzen Pisten) oder ausgeprägtem Körperkontakt (Handball, Rugby) verzichten.
Wie lange dauert der stationäre Aufenthalt?
In der Regel dauert der stationäre Aufenthalt 4–5 Tage. Danach beginnt eine ambulante oder stationäre Rehabilitation.
Literaturangaben
- Knieendoprothetik: Komplikation – Revision – Problemlösung (German Edition). (1998) (1 ed). Steinkopff.
- Becher, C., Szuwart, T., Ronstedt, P., Ostermeier, S., Skwara, A., Fuchs-Winkelmann, S. et al. (2010). Decrease in the expression of the type 1 PTH/PTHrP receptor (PTH1R) on chondrocytes in animals with osteoarthritis. Journal of orthopaedic surgery and research, 5.
- Becher, C., Huber, R., Thermann, H., Ezechieli, L., Ostermeier, S., Wellmann, M. et al. (2011). Effects of a surface matching articular resurfacing device on tibiofemoral contact pressure: results from continuous dynamic flexion-extension cycles. Archives of orthopaedic and trauma surgery, 131(3), 413–419.
- Bongartz, T., Halligan, C. S., Osmon, D. R., Reinalda, M. S., Bamlet, W. R., Crowson, C. S. et al. (2008). Incidence and risk factors of prosthetic joint infection after total hip or knee replacement in patients with rheumatoid arthritis. Arthritis Care & Research, 59(12), 1713–1720.
- Bretin, P., O'Loughlin, P. F., Suero, E. M., Kendoff, D., Ostermeier, S., Hüfner, T. et al. (2010). Influence of femoral malrotation on knee joint alignment and intra-articular contract pressures. Archives of orthopaedic and trauma surgery.
- Clark, J. P., Hudak, P. L., Hawker, G. A., Coyte, P. C., Mahomed, N. N., Kreder, H. J. et al. (2004). The moving target: a qualitative study of elderly patients' decision-making regarding total joint replacement surgery. The Journal of bone and joint surgery. American volume, 86–A(7), 1366–1374.
- Ding, C., Cicuttini, F., Scott, F., Cooley, H., Boon, C. & Jones, G. (2006). Natural history of knee cartilage defects and factors affecting change. Archives of internal medicine, 166, 651–8.
- Fortin, P. R., Clarke, A. E., Joseph, L., Liang, M. H., Tanzer, M., Ferland, D. et al. (1999). Outcomes of total hip and knee replacement: preoperative functional status predicts outcomes at six months after surgery. Arthritis and rheumatism, 42(8), 1722–1728.
- Hinkelmann, U. (2007). Die Endoprothese: Das künstliche Hüft- und Kniegelenk Schritt für Schritt erklärt. München: Elsevier.
- Kennon, R. E. (2008). Hip And Knee Surgery: A Patient Guide To Hip Replacement, Hip Resurfacing, Knee Replacement, And Knee Arthroscopy. Lulu.com.
- Richter, B. I., Kellner, S., Menzel, H., Behrens, P., Denkena, B., Ostermeier, S. et al. (2011). Mechanical characterization of nacre as an ideal-model for innovative new endoprosthesis materials. Archives of orthopaedic and trauma surgery, 131(2), 191–196.
- Richter, B. I., Ostermeier, S., Turger, A., Denkena, B. & Hurschler, C. (2010). A rolling-gliding wear simulator for the investigation of tribological material pairings for application in total knee arthroplasty. Biomedical engineering online, 9.
- Winiarsky, R., Barth, P. & Lotke, P. (1998). Total Knee Arthroplasty in Morbidly Obese Patients. J Bone Joint Surg Am, 80(12), 1770–4.
- Deutsche Gesellschaft für Unfallchirurgie, A., Holz, U. & Wittner, B. (2011). Endoprothese bei Gonarthrose.
- Alexander Rümelin, D. (2005). Kursbuch Künstliche Gelenke: Wieder schmerzfrei leben – Die neuesten Methoden, Operationen, Nachsorge.
Thema: Arthrose und Arthrose im Knie
- Arthrose: Gelenkerhaltende und knochenerhaltende Therapie
- Kniearthrose (Gonarthrose)
- Knorpeltransplantation (ACT) bei Arthrose
- Symptome der Arthrose im Kniegelenk
- Sport bei Kniearthrose
Therapie der Kniearthrose
- Kniearthrose: Medikamente, Nahrungsergänzung, Injektionen
- Übungen gegen Kniearthrose
- Operation bei Kniearthrose: Knorpeltransplantation, Gelenkerhalt und Knieprothese
- Retropatellararthrose (Kniescheibenarthrose)
- Knieendoprothese (Knie-TEP)
- Kniearthroskopie
- Laterale Knieteilprothese
- Knieteilprothesen
