- Was ist ein Fersenbeinbruch (Calcaneusfraktur)?
- Ist Arthrose des unteren Sprunggelenks nach Fersenbeinbruch unvermeidlich?
- Warum ist der Unfallhergang bei einer Fersenbeinfraktur wichtig?
- Was sind die Folgen einer Fersenbeinfraktur?
- Was sind die Spätfolgen einer Calcaneusfraktur?
- Symptome der Arthroseschmerzen im Subtalargelenk
- Prognose für Patienten mit chronischen Beschwerden nach Fersenbeinfraktur
- Wie kann der Arzt die Fersenbeinfraktur konservativ behandeln?
- Operative Therapie der Spätfolgen: Arthroskopie oder Versteifung?
Was ist ein Fersenbeinbruch (Calcaneusfraktur)
Warnzeichen nach einem ausgeheilten Fersenbeinbruch
- Diffuse Restschmerzen im Fuß
- Unteres Sprunggelenk gleicht Bodenunebenheiten nur noch unter Schmerzen aus
- Steifheit der Fußgelenke
- Schnelle Ermüdung beim Gehen
- Stechende Schmerzen unter dem Knöchel
- Fehlstellung des Fersenbeines
- Schmerzen an der Fußsohle (Plantarschmerzen)
Frakturen des Fersenbeins stellen einen Anteil von 1-2 % aller Knochenbrüche dar. Männer sind häufiger betroffen als Frauen. Fersenbeinbrüche treten gehäuft im Alter zwischen dem 30. und 50. Lebensjahr auf. Sehr oft - also fast zu 80 % - ist die wichtige hintere subtalare Gelenkfläche mitbetroffen. Daher gibt es häufig auch gravierende Langzeitfolgen des Fersenbein-Bruchs. Dazu gehören Störungen der Gelenkfläche des subtalaren Gelenks bzw. des unteren Sprunggelenks (USG). Etwa 10 % aller Patienten erleiden die Calcaneusfraktur beidseitig.
Wichtige Begriffe
Calcaneus oder Kalkaneus: Fersenbein bzw. Fersenknochen
Fraktur: Knochenbruch
Talus: Sprungbein, Teil des oberen Sprunggelenks (OSG)
Subtalares Gelenk: Gelenk zwischen Talus und Fersenbein
Arthrodese: Versteifung (Zusammenwachsen) durch chirurgische Aufhebung der beweglichen Verbindung zwischen zwei
Knochen
Arthrose: Entzündlicher und schmerzhafter Gelenkverschleiß

Fersenbeinbrüche gehören auf Grund der extrem hohen Kräfte, die zur Fraktur führen, zu den schwersten Verletzungen überhaupt. Vor allem bei komplizierten Brüchen mit Bildung mehrerer Knochenfragmente unter Beteiligung der Gelenkfläche, haben Patienten auch nach der Ausheilung der akuten Fersenbeinfraktur häufig noch lange Schmerzen und Gehstörungen.
Schwerpunkt dieses Artikels ist daher weniger die Behandlung des akuten Fersenbeinbruchs, sondern vor allem die langfristige Rehabilitation und Therapie eines gebrochenen Fersenbeines bzw. des unteren Sprunggelenks.
Ist Arthrose des unteren Sprunggelenks nach Fersenbeinbruch unvermeidlich?
Die Heilung nach einer akuten Fersenbeinfraktur ist nicht einfach vorherzusehen. Die extreme Krafteinwirkung kann vor allem dann zu langfristigen Störungen der Fußgelenke führen, wenn die Gelenkflächen des Subtalargelenkes beteiligt waren. Die Zeitdauer bis zum Auftreten von Arthrose ist - je nach Unfallhergang und Grad der Zerstörung des Fersenknochens - von Patient zu Patient sehr unterschiedlich. Daher ist es besonders wichtig, das Fersenbein lange wie möglich gelenkerhaltend zu versorgen.

Was ist das Fersenbein?
Das Fersenbein (lat Calcaneus) ist der größte der 28 Fußwurzelknochen. Es ist der am weitesten unten liegende Knochen des Rückfußes. Der Calcaneus liegt unter dem Sprungbein. Das Sprungbein bildet mit der Sprunggelenkgabel das obere Sprunggelenk.
Das Fersenbein ist ein Knochen im Rückfuß, der aus 4 Fortsätzen besteht. Diese Fortsätze tragen zum Teil Gelenkflächen. Das Fersenbein bildet mit dem Talus den Rückfuß. Mehrere Sehnen liegen dem Fersenbein direkt an. Bänder halten die Gelenke zu den benachbarten Knochen stabil. Am Calcaneus setzt auch die Achillessehne direkt am Fersenbeinhöcker, dem Tuber calcanei an.
Zum Sprungbein hat das Fersenbein drei Gelenkflächen, von denen die hintere Gelenkfläche - das eigentliche Subtalargelenk - das wichtigste ist. Bei Fersenbeinfrakturen ist dieses Gelenk am häufigsten verletzt. Daher sind Fersenbeinbrüche häufige Ursache von Bewegungsstörungen und chronischen Schmerzen. Diese entstehen durch Gelenkschäden am Knorpel oder durch Arthrosen im Subtalargelenk.
Nach einer Fersenbeinfraktur kommt es häufig zu Fehlstellungen des Fersenbeines. Das äußert sich durch diffuse bis stechende Schmerzen unter dem Knöchel, vor allem beim laufen auf unebenem Boden. Diese Beschwerden gilt es nach Möglichkeit gelenkerhaltend zu versorgen.
Dafür gibt es zahlreiche konservative Therapien, die das Fersenbein stabilisieren. Aber auch gelenkerhaltende operative Verfahren, wie die minimalinvasive Arthroskopie des unteren Sprunggelenks sind wichtige Verfahren, um die geschädigte Gelenkfläche wieder zu verbessern und ggf. zusätzlich eine gelenkerhaltende Knorpeltherapie durchzuführen.
Wann ist die gelenkerhaltende Therapie der Fersenbeinfehlstellung nicht mehr möglich?
Wenn die schmerzhaften Einschränkungen der Patienten zu gravierend sind und die Arthrose bereits sehr fortgeschritten ist. In diesem Stadium kann wir mit einer therapeutischen Versteifung des Subtalargelenks (Arthrodese) sehr effizient, auch bei sehr stark beeinträchtigtem Fersenbein, eine im Alltag schmerzfreie und relativ wenig eingeschränkte Situation hergestellt werden.
Warum ist der Unfallhergang bei einer Fersenbeinfraktur wichtig?
Ursachen des Fersenbeinbruchs
- Ca. 43 % treten nach Sturz aus großer Höhe auf.
- 53 % treten nach Verkehrsunfall mit Längsstauchung des Beines auf.
- 4 % andere Ursachen.
- 80 % der Fersenbeinbrüche entstehen unter Beteiligung des Gelenks (intraartikulär).
- 12-18 % der Fersenbeinbrüche sind beidseitig.
- Häufig entstehen - vor allem bei sehr hoher Aufprallenergie - mehrere Fragmente oder Trümmer des Fersenbeines.
- Viele Betroffene entwickeln eine Arthrose des unteren Sprunggelenks (Subtalargelenks)
- Der Fersenbeinbruch bei Osteoporose oder bei Ermüdung des Knochens kann auch nach einem Ereignis mit geringerer Gewalteinwirkung auftreten.
Fersenbeinbrüche treten häufig bei einem Sturz aus hoher Höhe auf. Bergsteiger, Fallschirmspringer, aber auch Turner, gehören zu den Risikogruppen.
Die Gewalteinwirkung bei der Landung führt zu einer Scherbelastung am Fersenbein. Der Calcaneus bricht und verschiebt sich in Richtung Außenknöchel. Die starke Zugkraft der Achillessehne verstärkt die Verschiebung und sorgt dafür, dass die Fehlstellung nach dem Bruch des Calcaneus erhalten bleibt.
Nach einer Ausheilung sind möglicherweise verbleibende Fehlstellung wesentlich für den weiteren Verlauf. Daher versucht man operativ, die Fersenbeinfraktur möglichst gut wieder in die Ausgangssituation zurückzubringen.
Arten von Fersenbeinbrüchen:
- Einfacher Fersenbeinbruch ohne Beteiligung des Gelenks.
- Komplexer Fersenbeinbruch mit Fragmentbildung und intrartikulärer Beteiligung.
- Beteiligung der Achillessehne durch Beteiligung des Tuber calcanei (Entenschnabelfraktur)
- Randbruch des Fersenbeins nach gewaltsamem Umknicken im Sprunggelenk.
Was sind die Folgen einer Fersenbeinfraktur?
Klinische Zeichen des akuten Fersenbeinbruchs:
- Fehlstellung des Fersenbeins
- Stauchung (Verkürzung und Verbreiterung) der Ferse
- Abnorme Beweglichkeit des Fersenbeins
- Erkennbare Knochenfragmente bei offenen Brüchen
- Hämatome (Blutergüsse) an der Außenseite des unteren Sprunggelenkes
- Aneinanderreiben von Knochenfragmenten (Krepitation)
- bei gravierenden Weichteilverletzungen möglicherweise Kompartmentsyndrom am Fuß
- Extreme Fersenschmerzen beim Gehen und Stehen
- Verformung des Fußes, z. B. plötzlicher Knick-Senkfuß
Die Fersenbeinfraktur kann eine extrem schwere und folgenreiche Verletzung sein
Einschränkungen sind oft über Monate ja sogar Jahre und Jahrzehnte zu befürchten. Die Stauchung mit starker Scherbelastung und die Zugwirkung der Achillessehne sind wesentlich für die Verschiebung der Knochenfragmente am Fersenbein. Ursachen für langfristige Beschwerden nach Calcaneusfraktur:
Die Fehlstellung des Fersenbeines nach dem Fersenbeinbruch verursacht atypische Belastungen im Sprunggelenk.

Der Calcaneus ist mit seinen Frakturen häufig auch ein soziales Problem: Lange Krankschreibung und die aufwändige Rehabilitation bringen die Betroffenen oft in eine schwierige, unsichere Lebenssituation.
Die Entscheidung über die Art der Behandlung der Calcaneusfraktur erfolgt im Rahmen der Erstvorstellung im Notfallkrankenhaus. Dabei wird der klassische Fersenbeinbruch selten übersehen: Er ist einfach zu diagnostizieren. Die frühe Versorgung erfolgt häufig durch eine operative Stabilisierung der Fragmente mit Schrauben und Platten. Die Qualität dieser Versorgung ist für die Langzeitprognose und spätere Belastbarkeit des Patienten entscheidend.
Symptome: Wie spüre ich als Patient eine akute Fersenbeinfraktur?
Schmerzen, Schwellung und Blutergüsse im Fersenbereich sind relativ klar umschrieben. Häufig spürt man das besonders am Außenknöchel. Die starke, schmerzhafte Einschränkung der Gehfähigkeit nach dem vorangegangenen Sturz oder Unfallereignis führt sehr häufig zu einer frühzeitigen Vorstellung bei einem Facharzt mit einem entsprechenden Ereignis.
Behandlung der akuten Fersenbeinfraktur
Wenn der Bruch unkompliziert verlaufen ist, die Fraktur also außerhalb der Gelenkfläche des subtalaren Gelenks verläuft, kann die Fersenbeinfraktur meistens konservativ therapiert werden. Durch Entlastung und Ruhigstellung wird dem gebrochenen Fersenbein wieder Gelegenheit gegeben, auszuheilen. Unkomplizierte Fersenbeinbrüche ohne Beteiligung des Gelenkes können so fast immer ohne Langzeitschäden ausheilen.
Was sind die Spätfolgen einer Calcaneusfraktur?

Diffuse Restbeschwerden im Fuß
Auch nach erfolgreicher Heilung des Fersenbeinbruchs kann später eine erneuten Beschwerdeverschlechterung auftreten. Diffuse Restschmerzen und Bewegungseinschränkungen im Subtalargelenk über dem Fersenbein sind häufig schon direkt nach der Heilung des Fersenbeinbruches vorhanden. Häufig ist die Ausrichtung der Beinachse und der Gelenkflächen, nicht nur im unteren Sprunggelenk, sondern auch im oberen Sprunggelenk dauerhaft gestört.
Symptome der Arthroseschmerzen im Subtalargelenk

Diese Restbeschwerden werden anfänglich meist gut toleriert. Erst wenn im weiteren Verlauf Arthroseschmerzen im Gelenk entstehen, wird die Situation für den Patienten wieder kritisch: Die Aufgabe des unteren Sprunggelenks besteht im Ausgleich von Unebenheiten des Untergrundes. Bodenwellen, Schlaglöcher oder Gehen an einem Hang entlang erfordert die koordinative Beteiligung des wichtigen Subtalargelenks zwischen Sprungbein und Fersenbein. Gerade solche Situationen werden bei Arthrose des unteren Sprunggelenks zunehmend kritisch und schmerzhaft.
Steifigkeit und frühzeitige Ermüdung beim Gehen
Anfangs wird von den Patienten nur eine Steifigkeit und die frühzeitige Ermüdung beim Gehen beschrieben. Einschränkende Beschwerden werden dann im weiteren Verlauf immer häufiger. Schmerzen der Fußgelenke beim Gehen auf harten, unebenen Untergründen sind sehr typische Hinweise auf Arthrose des unteren Sprunggelenks.
Die betroffenen Patienten beschreiben auch häufig das scheinbare Versagen des Fußes, wenn sie unkonzentriert sind; oder bei Ermüdung nach einem Arbeitstag auf die Ferse stehen. Oft reicht auch das Steinchen am Boden oder der falsche Schuh, um das Gefühl der Belastungsunfähigkeit hervorzurufen.
Messerstichartige Schmerzen unter dem Knöchel
Besonders häufig sind diese teilweise messerstichartigen Schmerzen, die anfallartig außen am Knöchel auftreten. Sie bessern sich je nach Schwere der Beschwerden nach Schütteln des Fußes sehr schnell, manchmal aber auch erst nach Tagen. Zusätzlich kann eine Schwellung im unteren Sprunggelenk auftreten. Der Fuß wird deutlich steifer und fühlbar immer weiter eingeschränkt.

Prognose für Patienten mit chronischen Beschwerden nach Fersenbeinfraktur
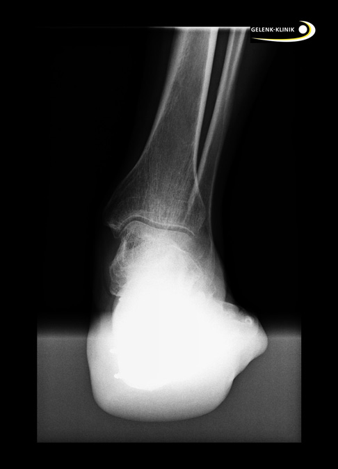
Bei unzureichender oder unvollständiger Wiederherstellung verbleibt eine Höhenminderung des Rückfußes bestehen. Auch eine Verbreiterung und Verkürzung des Calcaneusknochens ist eine häufige Folge der Fersenbeinfraktur.
Eine Stufe im Subtalargelenk ist die am weitesten verbreitete Ursache für Beschwerden nach Fersenbeinbrüchen. Auch die starke Zugbelastung der Achillessehne spielt eine wichtige Rolle: Dieser Zug führt leicht zur Verkippung des Fersenbeines gegenüber dem Sprungbein. Hierdurch entsteht eine Fehlstellungen des gesamten Fußes. Eine Subluxation des Talus oder eine Kippung des Sprungbeines nach hinten durch Fehlstellung des Calcaneus hat Auswirkungen auf die gesamte Situation des Fußes und des oberem Sprunggelenks. Das nach vorne breiter werdende Sprungbein (Talus) führt zu stärkerem Druck im Gelenk. Das frühere Anschlagen des Schienbein am Talus Hals wird ein zusätzliches Problem. Dieses "vordere Impingement" (Bewegungsblockade eines Gelenks) des Sprunggelenks mit Bewegungseinschränkung des oberen Sprunggelenkes kann auch dann zur Arthrose des oberen Sprunggelenkes führen, sogar wenn dies bei der Fersenbeinfraktur nicht direkt betroffen ist. Dies nennt man eine präarthrotische Fehlstellung.
Welche Symptome von Fersenbeinbrüchen sollte der Patient möglichst früh abklären?
Stufen im unteren Sprunggelenk
Nach Fersenbeinbruch oder Calcaneusbruch sind verbleibende Stufen im subtalaren Gelenk häufig Auslöser der Arthrose. Anfänglich sind die Beschwerden kaum wahrnehmbar. Die Bewegungseinschränkungen nach einem Fersenbruch sind häufig von Anfang an vorhanden und schränken die Funktion der benachbarten Gelenke zunehmend ein.
Langwierige Belastungsschmerzen in den Fußgelenken
Beschwerden, die nach der Belastung über die Nacht bis zum nächsten Tag anhalten, sind als Zeichen einer stärkeren Entzündung zu verstehen. Sie sollten frühzeitig abgeklärt werden. Auch Reizungen bei der Belastung auf der Außenseite unter dem Knöchel sollten bei einliegendem Platten (Implantaten zur Stabilisierung des Fersenbeinbruchs) nach einer Operation abgeklärt werden.
Sehnenschmerzen durch einliegende Arthrodeseplatten
Die dem Calcaneus oder Fersenbein nach operativer Versorgung anliegenden Platten können die Sehnen schädigen, die in diesem Bereich über die Platte verlaufen.
Die sog. Wadenbeinmuskelsehne oder Peronealsehne ist hier häufig Ursache für unangenehme Zusatzbeschwerden. Bei frühzeitiger operativer Behandlung ist die Prognose häufig sehr gut.
Fehlstellung des Fersenbeines
Auch durch verbleibende Fehlstellung häufig in X-Stellung des Rückfußes, erkennbar am nach innen geknickten Knöchel, können durch Belastung vermehrt Beschwerden auftreten. Diese können im oberen Sprunggelenk vorne auftreten oder auch an der Ferse.
Frühe Alarm-Zeichen können daher auch Schmerzen beim Abrollen vorne in der Fußbeuge über dem oberen Sprunggelenk sein. Dieses Symptom sollte frühzeitig abgeklärt werden, insbesondere wenn eine Restfehlstellung des Fersenbeines oder eine Verkürzung des Calcaneus besteht. Eine Fehlstellung des Fersenbeines kann sich auch strukturell auf das obere Sprunggelenk auswirken.
Schmerzen und Plantarsehnenentzündung an der Fußsohle
Die Fehlstellung nach Fersenbeinfraktur kann auch zu Fersenschmerzen im Sinne einer Fasziitis plantaris (unterer Fersensporn oder Plantarsehnenentzündung) führen. Durch die Fehlbelastung wird der Sehnenansatz am Fersenbein falsch und damit übermäßig belastet und entzündet sich. Diese Beschwerden sollten frühzeitig erkannt und konsequent behandelt werden.
Wie untersucht der Arzt die frische Fersenbeinfraktur?
Ein deutlicher Hinweis auf die Calcaneusfraktur ergibt sich zumeist schon aus dem Unfallhergangsbericht des Patienten. In der klinischen Prüfung untersucht der Arzt den Fuß: Schwellungen, Blutergüsse und Druckschmerzhaftigkeit an der Ferse sind deutliche Zeichen.
Eine Röntgenuntersuchung muss bei Verdacht auf Fersenbeinbruch zwingend erfolgen. Mit Hilfe einer CT-Untersuchung kann eine genaue 3-D Darstellung der Bruchkanten und Fragmente erfolgen. Mit Hilfe eines MRTs können Begleitverletzungen an Sehnen und Weichteilen genau beurteilt werden.
Die Therapieentscheidung richtet sich nach dem Schweregrad und der Komplexität des Fersenbeinruchs. Die frische, komplexe Fersenbeinfraktur mit intraartikulärer Beteiligung wird nach dem Sturz oder Unfall meist stationär behandelt. Nur einfache, extraartikuläre Brüche ohne Beteiligung des Gelenkspaltes im Subtalargelenk werden konservativ - durch Ruhigstellung - behandelt. Die konservativ versorgten Fersenbeinbrüche sind aber in der Minderheit.
Klinische Untersuchung der ausgeheilten Fersenbeinfraktur auf Folgeschäden
Häufig stellen sich Patienten Jahre nach einer bereits ausgeheilten Fersenbeinfraktur mit zunehmenden Beschwerden und Bewegungseinschränkungen wieder bei einem Orthopäden vor. Durch das Patientengespräch ermittelt der Arzt das Ausmaß der verminderten Lebensqualität. Diese chronischen Beschwerden können durch verschiedene Probleme verursacht werden.
Verschiedene klinische Tests helfen bei der Aufklärung der Situation:
Die gezielte Bewegungsprüfung des
Subtalargelenkes kann weiterhelfen. Dies wird durch eine gezielte Kippbewegung des Fersenbeines gegen das Sprungbein
durchgeführt.
Gerade bei Arthrosen des subtalaren Gelenkes ist der sog. Schütteltest ein guter Test zur Prüfung des Gelenkes. Hierbei wird der Patient in Bauchlage untersucht. Durch Schüttelbewegungen des Unterschenkels lässt sich der typische Schmerz der subtalaren Schädigung hinter dem Außenknöchel auslösen.
Nach Einspritzung eines Betäubungsmittels in das Gelenk wird dieser Test vorübergehend schmerzfrei: Dann kann man von einer Reizung des subtalaren Gelenkes ausgehen. Sind nur aktive Bewegungen schmerzhaft, können die Beschwerden auch durch Sehnenreizungen entstehen.
Die Inspektion auf Schwellungen und Druckschmerzen über dem Gelenk liefert ebenfalls wichtige Signale.
Das Gehen auf unebenem Gelände ist häufig mit einer Unsicherheit verbunden. Fehlstellungen des Rückfüßes in Knickstellung nach Innen sind ebenfalls häufig zu beobachten.
Ganguntersuchungen und Fußdruckmessung (Podometrie) bestätigen das veränderte Abroll- und Belastungsverhalten des Fußes. Schonhaltungen und Fehlbelastung des Fußes beim Abrollen können so objektiviert und gemessen werden.
Untersuchung der Spätfolgen von Fersenbeinbrüchen durch bildgebende Verfahren
Bildgebende Verfahren wie Röntgen unter Belastung (während der Patient also mit seinem vollen Gewicht auf dem Fuß steht) helfen, die Schäden nach einer Fersenbeinfraktur abzuklären. Diese Röntgen-Untersuchung im Stehen ist natürlich erst nach Ausheilung der Fersenbeinfraktur möglich.
Bei den Untersuchungen im Stehen sollten die Rückfußstellung in der Saltzmannaufnahme ebenso wie die Veränderung der Ferse in der Ansicht von oben (sog. axiale Aufnahme) geröntgt werden. Zudem wird der stehende Fuß seitlich geröntgt.
Die Stellung der Nachbarknochen (vor allem das Sprungbein) nach der Fersenbeinfraktur wird hier direkt beurteilt.
Sehr gute Aussagen - allerdings ohne Belastung, weil der Patient im Liegen untersucht wird - bietet das CT (Computertomographie oder Röntgenschichtung). Damit können Knochen und die Gelenkflächen beurteilt werden.
Die sog. SPECT-CT - die Computertomographie in Kombination mit einer Skelettszinthigraphie - gibt deutliche Hinweise, inwiefern bereits eine Arthrose vorliegt.
Ein noch günstiges Untersuchungsergebnis ist die Darstellung einer Fehlstellung des Fersenbeines mit Fehlbelastung - ohne dass sich eine Arthrose entwickelt hätte. Das SPECT-CT kann allerdings erst dann zur Abklärung der chronischen Erkrankung eingesetzt werden, wenn die Fersenbeinfraktur mehr als 1,5 Jahre zurückliegt. Die nach der akuten Frakturheilung hochgefahrene Stoffwechselaktivität muss also abgeschlossen sein. Dieser frühe Befund erhält dem Patienten eine Vielzahl von gelenkerhaltenden Therapieverfahren.
Wie kann der Arzt die Fersenbeinfraktur konservativ behandeln?
Häufig muss eine konservative Therapie der Fersenbeinfraktur durchgeführt werden, weil eine Operation aus verschiedenen Gründen nicht möglich ist:
- Weichteilinfekte am Rückfuß.
- Schlechter Allgemeinzustand.
- Durchblutungsstörungen der Füße z. B. durch pAVK (Schaufensterkrankheit) oder Nikotinmissbrauch (Rauchen).
- Heilungsstörungen z. B. durch Diabetes.
Die Fersenbeinfraktur kann durch Ruhigstellung konservativ behandelt werden. Allerdings führt die Behandlung mit Ruhigstellung häufig, bei bis zu jedem 2. Patienten, zu einer Arthrose des subtalaren Gelenkes. Stattdessen wird häufig die operative Therapie der Fersenbeinfraktur empfohlen.
Bei Folgebeschwerden und Arthrosen in den Gelenken können Schuhversorung und ggf. Einlagen helfen, Symptome zu bessern. Hierbei wird häufig der bestehende Knick-Plattfuß behandelt.
Auch eine innere Verstärkung der Fersenkappe kann helfen, die Knickung der Ferse zu vermindern. Physiotherapie und Eigenübungen zum Aufbau der Fuß und Unterschenkelmuskulatur sind extrem wichtig.
Ziele der Behandlung ist eine Verbesserung des Gangbildes sowie eine Schmerzfreiheit bei Belastung. Die Funktion des subtalaren Gelenks - Kraft und Belastbarkeit - soll wieder hergestellt werden.
Operation der akuten Fersenbeinfraktur
Bei frischer Fersenbeinfraktur soll durch die Operation fast immer die Gelenkfläche des Subtalargelenks wiederhergestellt werden.
Die Position des Fersenbeines unter dem Sprungbein muss ebenfalls beachtet werden. Eine Fehlstellung des Fersenbeines kann die Funktion des unteren Sprunggelenks nachhaltig beeinträchtigen.
Meistens kommen nach Fraktuen des Fersenbeines offene OP-Methoden bei Fehlstellung des Fersenbeines, tw. auch unter Assistenz durch eine arthroskopische (minimalinvasiven) Behandlung des Gelenkes, zur Anwendung.
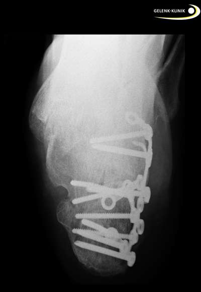
Metallplatten am äußeren Calcaneus halten das wiederhergestellte Gelenk bis zur Knochenheilung in der richtigen Position. Allerdings ist der Fersenbeinknochen (Calcaneus) auf Grund der hohen, auf diesen Knochen wirkenden Kräfte, schwierig zu versorgen.
Operative Therapie der Spätfolgen: Arthroskopie oder Versteifung?
Nach Ausheilung eines Fersenbeinbruches haben immer noch viele Patienten Beschwerden im subtalaren Gelenk. Häufig liegt das auch daran, dass Patienten gerade nach Unfall nicht nur Fersenbrüche, sondern auch weitere Weichteil- und Skelettverletzungen in Hüftgelenken, Wirbelsäule und anderen Bewegungsorganen haben, die ebenfalls dringend versorgt werden müssen.
Nach der unfallchirurgischen Erstversorgung dieser Schäden stellen sich - je nach Lebensumständen und Schwere der Verletzungen - nach einigen Jahren oft zunehmende Folgeschäden heraus. Das ist im Fall des Fersenbeins eine Funktionsstörung des unteren Sprunggelenks, Schmerzen beim Gehen auf unebenem oder geneigtem Boden und zunehmend geringere Belastbarkeit des betroffenen Fußes.
Externer Inhalt von youtube.com
Arthroskopie des unteren Sprunggelenks
Werden die Beschwerden aber so schlimm, dass eine konservative Therapie die Lebensqualität nicht mehr erhalten kann, ist als kleinste Maßnahme eine Arthroskopie des unteren Sprunggelenkes notwendig: Je nach Lage der Schädigung am Knorpel oder Knochen kann diese an unterschiedlichen Postionen durchgeführt werden.
Bei dieser Gelenkspiegelung des Sprunggelenks werden Narben entfernt, aber auch Knorpelschäden im frühen Stadium gelenkerhaltend behandelt. Der Nutzen liegt in einer verbesserten Beweglichkeit und in der Verminderung der schmerzhaften Entzündungsreaktion bei Arthrose.
In einem frühen Stadium kann auch eine Knorpeltherapie des Subtalargelenks erwogen werden.
Die Arthroskopie ist ein sehr modernes Verfahren. Sie soll helfen, die Schäden frühzeitig gelenkerhaltend zu behandeln: Eine spätere Versteifung soll ganz vermieden werden.
Metallentfernung nach Fersenbeinfraktur
Nach Fersenbeinbrüchen kommen außer der Arthroskopie auch eine Metallentfernung der Platten am Außenknöchel in Frage. Sehnen und Weichteilreizung, besonders bei Restfehlstellung, können störende Beschwerden im unteren Sprunggelenk verursachen. Insbesondere bei Knickfuß-Stellung ist die Metallentfernung ein wichtiger Gesichtspunkt, wenn noch chronische Schmerzen in der Fersenregion auftreten. Das außen am Fersenknochen angebrachte Plattenmaterial kann durch seine Lage die Bewegungsabläufe stören.
Arthrodese (Versteifung) des unteren Sprunggelenks
Wenn eine Arthrose - Gelenkverschleiß - des unteren Sprunggelenks die Beschwerden erklärt, kann eine subtalare Arthrodese (Versteifung des unteren Sprunggelenks) das letzte Mittel sein, um für den Patienten, oft nach Jahren quälender Fußschmerzen, wieder eine im Alltag stabile und schmerzfreie Beweglichkeit herzustellen.
Hierbei werden die beiden übereinander liegenden Knochen im Rückfuß, das Fersenbein und das Sprungbein, mit Schrauben fixiert und zum Zusammenwachsen gebracht.
Dies kann in der vorhandenen Stellung erfolgen. Man spricht dann von einer "in situ Arthrodese" des unteren Sprunggelenkes. Bei starker Fehlstellng des Fersenbeines kann auch eine reorientierende - also geradestellende - Versteifung durchgeführt werden.
Re-orientierende Versteifung: Stellungskorrektur im unteren Sprunggelenk durch Arthrodese

Bei der reorientierenden Versteifung des subtalaren Gelenkes wird ein Knochenstück eingepflanzt, um die Knick-Plattfuß Stellung zu korrigieren. Auch ein Ausgleich der Fehlstellung des Sprungbeines (Talus) kann bei der geradestellenden Versteifung im unteren Sprunggelenk erfolgen.
Weil durch eine Fehlstellung im unteren Sprunggelenk das gesamte Sprunggelenk in Mitleidenschaft gezogen wird, ist die Wirkung auf das obere Sprunggelenk besonders wichtig.
Durch eine Fehlstellung des Fersenbeines und damit des Sprungbeines können Fehlbelastung des oberen Sprunggelenkes verstärkt werden. Die Vermeidung von Arthrosen im oberen, nicht geschädigten Sprunggelenk, kann daher auch direkt durch eine Korrektur des unteren Sprunggelenks unterstützt werden.
Schmerzfreiheit durch Arthrodese
Nach dem Fersenbeinbruch ist die Beweglichkeit im hinteren, unteren Sprunggelenk oft lange Zeit massiv und häufig auch schmerzhaft eingeschränkt. Der Patient ist an diesen Zustand also bereits gewöhnt. Eine weitere fühlbare Einschränkung durch eine Arthrodese des unteren Sprunggelenks, ist also nicht vorhanden. Wenn man nur das betroffene hintere untere Sprunggelenk behandeln muss, ist nur eine geringe Zunahme der Einschränkung zu erwarten. Die Einschränkung bei einer subtalaren Arthrodese ist oft kaum spürbar. Dafür sind die Patienten im Alltag häufig sehr schnell wieder völlig schmerzfrei und belastbar. Sie können schmerzfrei gehen. Bei fortgeschrittener Arthrose im unteren Sprunggelenk ist die Arthrodese also ein sehr zielführender Eingriff.

Minimalinvasive Versteifung nach Fersenbeinfraktur
Die in situ Versteifung kann heute auch arthroskopisch assistiert - also als Schlüssellochoperation - durchgeführt werden. Die Entknorpelung und Anfrischung der darunterliegenden Knochenflächen erfolgt also nur über drei kleine Hautschnitte. Die Osteosynthese erfolgt perkutan über zwei kleine Stichinzisionen (Hauteinstiche) am Fersenbein. Das Einbringen der Schrauben führen wir unter Röntgen-Bildwandler durch: Es erfordert keine direkte Sicht auf das Operationsgebiet.
Offene Arthrodese des Fersenbeines bei einer Stellungskorrektur der Ferse
Eine reorientierende Versteifung des subtalaren Gelenkes muss als offene Operation erfolgen. Ein Zugang von außen vor dem Außenknöchel oder dahinter ist gut möglich. Eine Metallschiene an der Außenseite des Fersenbeines muss bereits entfernt worden sein.
Die Nachbehandlung bei einer Spiegelung des unteren Sprunggelenkes hängt wesentlich von der durchgeführten Therapie ab. Die frühzeitige Bewegungstherapie hat sich bewährt.
Nach in situ Versteifung des unteren Sprunggelenkes ist eine Teilbelastung mit 20 KG für sechs bis acht Wochen ausreichend. Wenn reorientierend versteift wird, dauert diese Phase 12 bis 16 Wochen, da der eingeführte Knochenspan länger zur Integration braucht.
Einschränkungen und Möglichkeiten nach Arthrodese des Fersenbeines
Die verbleibende Einschränkung betrifft vor allem das Fersenbein bzw. die Rückfußbeweglichkeit. Die Beweglichkeit des vorderen unteren Sprunggelenks (Chopart-Gelenk) ist nur geringfügig eingeschränkt. Diese Beweglichkeit im Chopart-Gelenk bleibt also erhalten. Für die Lebensqualität des Patienten ist dies sehr günstig. Die bessere Beweglichkeit im oberen Sprunggelenk kann bei der aufrichtenden Versteifung des subtalaren Gelenkes sogar einen positiven Effekt auf die Beweglichkeit und die Lebensqualität des Patienten haben.
Nach Fersenbeinbrüchen sind oft von Anfang an irreversible Einschränkungen vorhanden. Die Betroffenen profitieren nach nach Fersenbeinfraktur von der Versteifung von der Schmerzfreiheit. Diese ermöglicht auch eine höhere Belastungsfähigkeit.
Auch die Wiedererlangung der Sportfähigkeit ist möglich. Hier sind Sportarten auf ebenem Untergrund besonders geeignet. Fußball und Kontaktsport-Arten können in Ausnahmefällen auch möglich sein, auch wenn diese auch nicht die ideale Belastungsformen bei Einschränkungen am Fuß darstellen.