- Was ist eine Beinachsenfehlstellung?
- Symptome und Folgen der Achsfehlstellung
- Was sind mögliche Ursachen der Achsfehlstellung der Beine?
- Diagnose: Wie untersucht der Arzt eine Beinachsenfehlstellung bei Kindern?
- Gibt es konservative Behandlungsmöglichkeiten bei einer Beinachsenfehlstellung?
- Wann empfiehlt der Kinderorthopäde eine Operation zur Korrektur der Beinachsenfehlstellung?
- Nachbehandlung und Prognose nach einer Korrektur der Beinachsenfehlstellung

Ab einer gewissen Abweichung von einer geraden Beinachse spricht man von einer Beinachsenfehlstellung. Diese Kniefehlstellung äußert sich entweder als X-Bein (Genu valgum) oder als O-Bein (Genu varum). Während bei einer geraden Beinachse das Kniegelenk optimal in der Mitte belastet wird, kommt es bei Achsfehlstellungen zu veränderten Gewichtsbelastungen. Die Knorpelflächen im Kniegelenk werden nicht mehr gleichmäßig belastet. Ein O-Bein belastet den inneren (medialen) Anteil des Kniegelenks vermehrt und bei einem X-Bein wird die äußere (laterale) Gelenkfläche verstärkt belastet. Dies führt auf Dauer zu Knorpelschäden bis hin zur Arthrose im Kniegelenk (Gonarthrose).
Bis zum Ende der Wachstumsphase können Beinachsenfehlstellungen sich bei idiopathischen Entstehungen (ohne erkennbare Ursache) spontan auswachsen, sodass keine Operation zur Korrektur der Beinachse (Osteotomie) notwendig ist. In vielen Fällen ist die Beinachsenstellung physiologisch, also über die normale körperliche Entwicklung erklärbar. Der Kinderorthopäde kann feststellen, ob es sich um eine solche physiologische Veränderung der Beinachsen handelt oder um eine von der Norm abweichende behandlungsbedürftige Beinachsenfehlstellung, die durch eine minimalinvasive Operation begradigt werden kann. Konservative Therapien sind in diesem Fall nicht erfolgversprechend.
Was ist eine Beinachsenfehlstellung?
In der Ansicht von vorne unterscheidet man zwei Arten von Beinachsenfehlstellungen: Genu varum (O-Bein) und Genu valgum (X-Bein). Ein wichtiges Kriterium zur Feststellung einer Achsfehlstellung der Beine ist die Mikulicz-Linie.
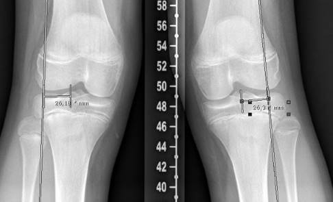
Die Mikulicz-Linie ist eine gedachte Linie vom Zentrum des Hüftkopfes bis zur Mitte des oberen Sprunggelenks. Orthopäden nutzen die Mikulicz-Linie zur Bestimmung der mechanischen Tragachse. Bei einer geraden Beinachse verläuft die Mikulicz-Linie durch die Mitte des Kniegelenks. Verläuft sie durch die Innenseite des Kniegelenks, handelt es sich um eine Varusfehlstellung (O-Bein). Bei einer Valgusfehlstellung (X-Bein) verläuft sie durch die Außenseite des Kniegelenks. Im Gegensatz zur anatomischen Achse, die durch die Knochen gebildet wird, bildet die Mikulicz-Linie die mechanische Achse. Besonders am Oberschenkel ist der Unterschied zwischen mechanischer und anatomischer Achse sehr groß.
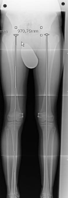
In einer Röntgenaufnahme des gesamten Beines kann der Arzt das Ausmaß der Abweichung von der Mitte des Kniegelenks genau bestimmen. Der Wert wird als MAD (mechanische Achsdeviation) in Millimetern angegeben. Zusätzlich wird der exakte Winkel der Achsabweichung ausgemessen.

Wie können Eltern feststellen, ob bei ihrem Kind eine Beinachsenfehlstellung vorliegt?
Es gibt eine einfache Methode, mit der Sie bei Ihrem Kind feststellen können, ob eine Fehlstellung der Beinachse vorliegt. Messen Sie dazu den Abstand zwischen den Innenknöcheln. Passt Ihre ganze Hand (mehr als 8 cm) dazwischen, liegt vermutlich eine X-Fehlstellung vor. Anders bei einer O-Fehlstellung, bei der sich die Kniegelenke voneinander entfernen: Passt Ihre ganze Hand (mehr als 8 cm) zwischen die Kniegelenke, ist eine O-Fehlstellung wahrscheinlich. Lassen Sie in diesen Fällen eine Abklärung beim Orthopäden durchführen.
Neben Valgus- und Varusfehlstellungen können auch Drehfehlstellungen vorliegen. Diese treten teilweise in Kombination mit den Beinachsenfehlstellungen auf. Man erkennt eine Drehfehlstellung an der Fußstellung. Im Normalfall sollten die Füße gerade nach vorne zeigen. Bei einer Drehfehlstellung zeigen sie nach innen oder außen.
Bis zu welchem Alter kann das natürliche Wachstum eine Beinachsenfehlstellung korrigieren?
Bei idiopathischen Beinachsenfehlstellungen ohne erkennbare Ursache sollte eine operative Korrektur meist erst gegen Ende der Wachstumsphase erfolgen. So lange wartet man ab, da in dieser Zeit noch eine spontane Korrektur durch das natürliche Wachstum erfolgen kann. Die Wachstumsfugen müssen aber noch offen sein, damit eine mögliche operative Korrektur erfolgreich sein kann. Bei Mädchen schließen sich die Wachstumsfugen ungefähr im Alter von 14 Jahren und bei Jungen im Alter von 16 Jahren.
Eine Röntgenaufnahme der linken Hand kann die Endgröße und das Knochenalter bestimmen. Dies kann vom chronologischen Alter abweichen. Anhand der Messwerte bestimmt der Kinderorthopäde den optimalen Zeitpunkt der Operation. Der späteste Zeitpunkt für eine Korrektur ist häufig bei Mädchen im Alter von 12–13 Lebensjahren und bei Jungen im Alter von 14 Jahren erreicht.

Symptome und Folgen der Achsfehlstellung
Kinder mit einer leichten Beinachsenfehlstellung leiden in der Regel nicht unter Schmerzen oder Einschränkungen der Lebensqualität. Erst bei höhergradigen Achsabweichungen kommt es zu Knieschmerzen, Gelenkinstabilitäten oder Störungen des Gangbildes. Die Fehlstellung kann sich bei Nichtbehandlung immer weiter verschlimmern.
Durch die Achsfehlstellung wird der Gelenkknorpel im Kniegelenk ungleichmäßig belastet. Diese einseitige Gelenkbelastung kann langfristig zur Verringerung der Knorpelhöhe und zum Gelenkverschleiß (Kniearthrose) führen. Die Fehlstellung kann sich außerdem auf die gesamte Körperstatik auswirken. Nicht nur das Kniegelenk, sondern auch Hüfte oder Wirbelsäule können in Form von muskulären Ungleichgewichten oder vermehrten Gelenkbelastungen geschädigt werden.
Zudem kann eine Beinachsenfehlstellung Folgen für die Fußgesundheit haben. Auf der anderen Seite können Fehlstellungen der Füße ein Fehlwachstum der Beine bedingen. Häufig tritt ein X-Bein in Kombination mit einem Knick-Senkfuß auf. O-Fehlstellungen gehen hingehen eher mit Hohlfüßen einher. Meist sind solche Zusammenhänge erst in der dynamischen Ganganalyse sicher erkennbar. Bei frühzeitiger Diagnose dieser dynamischen Auswirkungen von Fehlstellungen oder falschen Spannungen der Muskelketten kann eine frühzeitige konservative Therapie eingeleitet werden. Die Untersuchung der Nachbargelenke ist also ein essentieller Teil der Ursachenfindung.
Was sind mögliche Ursachen der Achsfehlstellung der Beine?
Neben einer idiopathischen Entstehung ohne erkennbare Ursache können auch Erbkrankheiten und Stoffwechselstörungen zu einer Veränderung der Beinachsen führen. Es kommt dann meist zu einer beidseitigen Fehlstellung. Bei Knochenbrüchen, Tumoren (z. B. Osteochondrom) oder Infektionen, die die Wachstumsfuge schädigen, tritt hingegen in den meisten Fällen eine einseitige Achsfehlstellung auf.
Idiopathische Beinachsenfehlstellung ohne erkennbare Ursache
Meistens liegen der Beinachsenfehlstellung keine erkennbaren Ursachen zugrunde. Man spricht in dem Fall von einer idiopathischen Achsabweichung. In der Regel treten diese Beinachsenfehlstellungen auf beiden Seiten gleichzeitig auf und sind nicht sehr stark ausgeprägt.
Genetische Erkrankungen und Wachstumsstörungen
Auch angeborene Ursachen können zu Achsfehlstellungen der Beine führen. Dazu zählen genetisch bedingte Knochenerkrankungen wie die Achondroplasie, die häufigste Form des Kleinwuchses, bei der Oberarmknochen (Humerus) und Oberschenkelknochen (Femur) verkürzt sind. Weitere Erbkrankheiten, die häufig mit Beinachsenfehlstellungen einhergehen, sind das Marfan-Syndrom, eine Erkrankung des Bindegewebes, und die Osteogenesis imperfecta (Glasknochenkrankheit).
Auch die spondyloepiphysäre Dysplasie führt zu Achsfehlstellungen der Beine, da sich die Epiphysen der langen Röhrenknochen verändern. Eine weitere angeborene Wachstumsstörung ist Morbus Blount. Die seltene genetische Erkrankung verlangsamt das Längenwachstum des Schienbeins auf der Innenseite (medial), wodurch eine Varusfehlstellung (O-Bein) entsteht. Gleichzeitig entwickelt sich eine zunehmende Innenrotation des Unterschenkels.
Eine Wachstumsstörung, die ebenfalls das Schienbein betrifft, ist die angeborene Tibiapseudarthrose (Crus varum congenitum). Es kommt dabei zu einer Verbiegung der Diaphyse, also des mittleren Teils des Schienbeins. Grund dafür ist eine gestörte Knochenbildung in diesem Bereich. Die Beinachse verformt sich meist einseitig und es kommt zu einer Varusfehlstellung (O-Bein).
Stoffwechselerkrankungen
Weitere Ursachen sind Stoffwechselerkrankungen, die eine verminderte Knochenqualität nach sich ziehen. Dazu zählt beispielsweise die Rachitis, eine Störung des Vitamin-D-Stoffwechsels, bei der es durch gestörte Mineralisation zu einer Erweichung und Verformung des Knochens im Bereich der Epiphyse (Gelenkende der Röhrenknochen) kommt.
In unserem spezialisierten Zentrum nimmt die Zahl der Fälle von Stoffwechselstörungen durch einen Vitamin-D-Mangel wieder zu. Die Hauptursache dafür ist vermutlich der veränderte Lebensstil, der häufig nicht mehr draußen im Freien, sondern in geschlossenen Räumen stattfindet. Da der Körper nur durch Sonnenlicht ausreichend Vitamin D produzieren kann, kommt es zu Mangelerscheinungen.
Einseitige Fehlstellungen durch Frakturen, Tumore und Infektionen
Unfälle mit Knochenbrüchen sowie Tumore (z. B. Osteochondrom) oder Infektionen können eine Beinachsenfehlstellung auslösen. In diesen Fällen entwickelt sich meist eine einseitige Achsfehlstellung. Betrifft ein Knochenbruch oder Tumor die Epiphysenfuge (Wachstumsfuge), kommt es häufig zu einem Wachstumsstopp in diesem Bereich. Liegt die Wachstumsstörung im inneren (medialen) Bereich, während der äußere (laterale) Anteil der Wachstumsfuge weiter wächst, kann dies zu einer Varusfehlstellung (O-Bein) führen.
Diagnose: Wie untersucht der Arzt eine Beinachsenfehlstellung bei Kindern?
Um eine Achsfehlstellung der Beine zuverlässig diagnostizieren zu können, ist eine genaue Kenntnis der normalen Entwicklung der Beinachsen essentiell. Dazu muss man wissen, dass im Säuglingsalter ein O-Bein physiologisch (normal) ist und sich erst im Laufalter eine gerade Beinachse ausbildet. Im 3. und 4. Lebensjahr entwickelt sich dann ein zunehmendes X-Bein (Genu valgum). Erst mit 8 bis 10 Jahren ist die Entwicklung der Beinachsen abgeschlossen. Es zeigt sich in der Regel eine leicht valgische Beinachse. Viele Beinachsenabweichungen korrigieren sich bis zu diesem Alter spontan. Dann ist eine Therapie nicht erforderlich.
Klinische Untersuchung
Im ersten Schritt der Diagnose erkundigt sich der Kinderorthopäde nach Beschwerden und erfragt die Krankengeschichte (Anamnese) des Patienten. Wichtig für die Beurteilung sind Vorerkrankungen und Erbkrankheiten, die mit einer Veränderung der Knochenstruktur einhergehen. Dann betrachtet der Arzt die Beinachsen und begutachtet das Gangbild.
Röntgen-Ganzbeinaufnahme
Bei einer höhergradigen Achsfehlstellung, die nicht mehr nur durch das Alter des Kindes erklärbar ist, wird eine beidseitige Ganzbeinaufnahme im Röntgen angefertigt. So kann der Orthopäde sekundäre Ursachen ausschließen. Anhand des Röntgenbildes führt der Arzt eine Achsbestimmung und Winkelmessung durch. So kann er das Ausmaß und die Lokalisation der Beinachsenfehlstellung genau beurteilen. Erneute Röntgenaufnahmen können den Verlauf einer Beinachsenfehlstellung kontrollieren.
Dynamische Ganganalyse
Die dynamische Ganganalyse ist ein enormer Gewinn zur besseren Beurteilung des Gangbildes und der Beinachsen. Für die Berechnung der Beinachsen werden reflektierende Marker auf die Beine und auf den Rücken des Patienten geklebt. Anhand der Ergebnisse kann der Kinderorthopäde genau erkennen, in welchen Bereichen der Bewegungsapparat beim Gehen besonders belastet wird.
Eine Testung der Muskulatur in den verschiedenen Gangphasen ermöglicht eine bessere Therapieempfehlung und kann den Verlauf dokumentieren. Nur wenige Minuten auf dem Laufband reichen aus, um ein umfassendes Bild über Gangauffälligkeiten und Beinachsen zu erhalten. Die Ganganalyse verläuft ohne jegliche Strahlenbelastung. Neben der klinischen Untersuchung bietet die Ganganalyse somit einen einfachen Test, um Veränderungen zu dokumentieren.
Wie verläuft die Messung der Beinachsen?
Um die mechanische Achsdeviation (MAD), also das genaue Ausmaß der Abweichung von der Mitte des Kniegelenks abzuschätzen, ermittelt der Kniespezialist die Mikulicz-Linie. Diese bestimmt er anhand der Röntgen-Ganzbeinaufnahme. Sie führt vom Zentrum des Hüftkopfes bis zur Mitte des oberen Sprunggelenks. Verläuft die Mikulicz-Linie nicht mittig durch das Kniegelenk, sondern durch die Innenseite, handelt es sich um eine Varusfehlstellung (O-Bein). Verläuft sie durch die Außenseite des Kniegelenks, liegt eine Valgusfehlstellung (X-Bein) vor. Zusätzlich wird der exakte Winkel der Achsabweichung ausgemessen.
Gibt es konservative Behandlungsmöglichkeiten bei einer Beinachsenfehlstellung?
Eine konservative Therapie ist nur bei einer Rachitis als Ursache der Beinachsenfehlstellung möglich. Die Substitution von Kalzium und Vitamin D3 kann die Störung des Knochenstoffwechsels beheben und eine Begradigung der Beinachsen herbeiführen.
Eine Verbesserung durch Krankengymnastik, Orthesen oder Einlagen ist bei allen anderen sekundären Ursachen von Beinachsenfehlstellungen (z. B. Tumore, Frakturen) nicht zu erwarten. Die knöchernen Veränderungen der Beinachsen lassen sich von außen nicht beeinflussen.
Liegt eine idiopathische Beinachsenfehlstellung ohne erkennbare Ursache vor, lässt sich das veränderte Wachstum bei frühzeitigem Erkennen noch korrigieren. Der Kinderorthopäde oder Physiotherapeut kann anhand der Ergebnisse der Ganganalyse entsprechende Empfehlungen geben.
Wann empfiehlt der Kinderorthopäde eine Operation zur Korrektur der Beinachsenfehlstellung?
Zunächst muss der Orthopäde unterscheiden, ob es sich bei der Fehlstellung um eine idiopathische Entstehung handelt oder ob erkennbare Ursachen vorliegen, die zu einer abweichenden Beinachse geführt haben.
Bei einer idiopathischen Entstehung (ohne erkennbare Ursache) wartet man in der Regel ab, bis das Ende der Wachstumsphase erreicht ist. In vielen Fällen kann das natürliche Wachstum Beinachsenfehlstellungen spontan korrigieren, sodass kein operativer Eingriff notwendig ist.
Zur Einschätzung der Beinachsenfehlstellung wird die Ganzbein-Röntgenaufnahme des Kniegelenks von vorne in 4 Quadranten eingeteilt. Verläuft die Mikulicz-Linie und somit die mechanische Beinachse innerhalb der beiden mittleren Quadranten, liegt eine normale bzw. geringgradig abweichende Beinachse vor, die nicht operativ korrigiert werden muss. Verläuft die Beinachse außerhalb der inneren Quadranten, liegt eine pathologische (krankhafte) Beinachse vor.
Hat der Orthopäde eine relevante Beinachsenfehlstellung festgestellt, kann nur eine operative Korrektur die Beinachsen begradigen. Ansonsten besteht die Gefahr von Folgeschäden im weiteren Verlauf des Lebens. Durch die einseitige Belastung der Gelenkflächen kann es zu einer Arthrose (Gelenkverschleiß) oder einer Minderung der Knorpelhöhe bis hin zum vollständigen Knorpelverlust kommen. Zudem spielen die erwarteten Auswirkungen und Folgen für die Nachbargelenke sowie Veränderungen der Gesamtstatik des Bewegungsapparates eine Rolle bei der Entscheidung für eine Operation.

Für wen eignet sich die Achskorrektur nicht?
Nachdem die Wachstumsfugen geschlossen sind oder wenn nur noch ein unzureichendes Restwachstum vorliegt, ist eine Korrektur der Beinachsen mittels wachstumslenkender Operation nicht mehr möglich. Dies ist bei Mädchen im Alter von etwa 13 Jahren und bei Jungen mit ca. 15 Jahren der Fall. Der genaue Zeitpunkt, ab wann eine solche Operation nicht mehr möglich ist, muss im Einzelfall geprüft werden.
Wie operiert der Arzt eine Beinachsenfehlstellung bei Kindern?

Im Wachstumsalter ist die temporäre Hemiepiphysiodese die erfolgversprechendste Methode zur operativen Begradigung der Beinachsen bei Kindern und Jugendlichen. Dabei wird die Wachstumsfuge im Bereich des Kniegelenks vorübergehend einseitig blockiert. Auf der anderen Seite bleibt die Wachstumsfuge weiterhin aktiv.
In einer minimalinvasiven Operation bringt der Orthopäde Implantate (z. B. Eight-Plate oder RigidTack) über kleinste Hautschnitte ins Kniegelenk ein. Über einen kleinen Draht wird das Implantat korrekt positioniert. Die Implantate werden außerhalb der Wachstumsfugen mit Titanschrauben im Knochen verankert und überbrücken diese. Es hängt vom Alter des Kindes und der genauen Beinachsenwinkel ab, welche Wachstumsfugen blockiert werden müssen.
Nachbehandlung und Prognose nach einer Korrektur der Beinachsenfehlstellung
Da der Eingriff zur Begradigung der Beinachsen durch den minimalinvasiven Zugangsweg sehr schonend verläuft, werden die Weichteilstrukturen nur in geringem Ausmaß geschädigt. Der Patient kann daher schon früh mobilisiert werden und es ist nur ein kurzer stationärer Aufenthalt in der Klinik notwendig. Eine Vollbelastung ist direkt nach der Operation möglich.
Im weiteren Verlauf erfolgen alle 3 Monate klinische Kontrollen der Beinachsen, bis eine Begradigung bzw. minimale Überkorrektur eingetreten ist, damit keine erneute Fehlstellung entsteht (Rebound-Phänomen). Meistens ist dies nach ungefähr 10 bis 12 Monaten der Fall. Dann müssen die Implantate in einer weiteren minimalinvasiven Operation entfernt werden. Um eine häufige Strahlenbelastung durch Röntgen bei den Kontrollen zu vermeiden, kann eine Ganganalyse zur Beurteilung der statischen und dynamischen Beinachsen erfolgen.
Nach Abschluss der Wundheilung hat der Patient keine Einschränkungen der Sportfähigkeit oder Lebensqualität zu erwarten. Die Prognose ist sehr gut, da keine einseitige Gelenkbelastung mehr vorliegt, die zu Folgeschäden wie Arthrose oder Problemen an benachbarten Gelenken führen kann.


Literaturangaben
- Farr, S., Radler, C., Meizer, E., & Ganger, R. (2014). Rezidive nach Korrektur von Achsfehlstellungen mittels temporärer Hemiepiphysiodese.
- Gladbach, B., Pfeil, J., & Heijens, E. (2000). Beinlängenausgleich und Achskorrekturen durch die perkutane Epiphysiodese nach Canale. Minimal-invasive Verfahren in der Orthopädie und Traumatologie, 263–268. Springer, Berlin, Heidelberg.
- Halasz, C. (2017). Fuß- und Beinachsenentwicklung vom Säugling bis zum Erwachsenen. Osteopathische Medizin, 18(3), 15–18.
- Keshmiri, A., Matussek, J., Wagner, F., & Springorum, H. R. (2013). 18 Monate alter Patient mit ausgeprägten Genua vara. Osteologie, 22(02), 140–142.
- Kraus, T., & Steinwender, G. (2014). Kindliche Beinachsen und Füße in ihrer physiologischen Entwicklung. Pädiatrie & Pädologie, 49(3), 8–13.
- Manner, H. (2012). Fehlstellungen und Beinlängendifferenzen im Kindes- und Jugendalter. Pädiatrie, 12(2), 24–30.
- Möckel, E. (2019). Entwicklung der unteren Extremität beim Kind aus osteopathischer Sicht. Osteopathische Medizin, 20(3), 4–9.
- Niethard, M., Deja, M., & Rogalski, M. (2010). Die kniegelenksnahe Achskorrektur im Wachstumsalter durch temporäre Hemiepiphyseodese mit der eight-Plate®. Zeitschrift für Orthopädie und Unfallchirurgie, 148(02), 215–221.
- Radler, C., Ganger, R., Suda, R., Petje, G., & Grill, F. (2007). Die Eight Plate-Ein neues Implantat zur Hemiepiphyseodese. 29. Jahrestagung der ÖGO, (Abstra), 38–39.
- Schelling, K., Rupprecht, M., & Breyer, S. (2015). Temporäre Hemiepiphyseodese zur Beinachsenkorrektur im Kindes- und Jugendalter. Arthritis und Rheuma, 35(06), 385–388.
- Schmitt, E., Heisel, J., Jani, L., & Schuhmacher, G. (2002). Kniegelenknahe Beinachsenfehlstellung. Leitlinien der Orthopädie. Deutsche Gesellschaft für Orthopädie und orthopädische Chirurgie. Deutscher Ärzte-Verlag, Köln.
- Schnabel, D. (2018). Knochenmineralisationsstörungen im Kindes-und Jugendalter. Kinder-und Jugendmedizin, 18(02), 101–107.
- Vaitl, T., Grifka, J., Bolm-Audorff, U., Eberth, F., Gantz, S., Liebers, F., ... & Spahn, G. (2012). Beinachsen-und Fußfehlstellung. Trauma und Berufskrankheit, 14(4), 444–445.
- Westhoff, B., Jäger, M., & Krauspe, R. (2007). Kindliche Beinachsen. Der Orthopäde, 36(5), 485–500.
- Willegger, M., Kolb, A., & Chiari, C. (2017). Achskorrektur am wachsenden Skelett – therapeutisches Vorgehen. Zeitschrift für Orthopädie und Unfallchirurgie, 155(02), 232–248.