- Was ist Arthrose im Ellenbogen?
- Symptome der Arthrose im Ellenbogen
- Ursachen der Arthrose im Ellenbogen
- Diagnose der Ellenbogenarthrose
- Konservative Behandlung der Arthrose im Ellenbogen
- Übungen für zu Hause bei Arthrose im Ellenbogen
- Operative Behandlung der Arthrose im Ellenbogen
Was ist Arthrose im Ellenbogen?
Arthrose im Ellenbogen ist ein degenerativer Gelenkverschleiß im Ellenbogen. Der Knorpel im Ellenbogengelenk wird dabei vorzeitig abgenutzt. Arthrose kann auch in allen andere Gelenken des Körpers auftreten, nicht nur im Ellenbogen. Die Arthrose im Ellenbogen kann sehr schmerzhaft sein. Außerdem können Betroffene ihren Arm nur noch eingeschränkt bewegen.

Die Arthrose im Ellenbogen wird auch Ellenbogengelenksarthrose oder Cubitalarthrose genannt. Sie tritt verglichen mit Kniearthrose oder Hüftarthrose eher selten auf, da das Ellenbogengelenk nicht zu den lasttragenden Gelenken gehört. Die Arthrose im Ellenbogen tritt in den meisten Fällen sekundär als Folge von Knochenbrüchen, Ausrenkungen (Luxationen) oder bestehenden Grunderkrankungen wie Rheuma auf.
Die Behandlung erfolgt stadien- und schmerzorientiert. Neben einer Vielzahl von konservativen Therapien steht den Spezialisten der Gelenk-Klinik bei schwerer Ellenbogenarthrose die Möglichkeit eines operativen Vorgehens von einer Arthroskopie bis hin zur Prothese zur Verfügung.
Symptome der Arthrose im Ellenbogen
- Anlaufschmerzen
- Ellenbogenschmerzen bei Bewegung des Arms
- Ruheschmerzen im Ellenbogen, häufig nachts
- Gelenkgeräusche (Krepitation)
- Schwellung des Ellenbogens
- Eingeschränkte Beweglichkeit, Ellenbogensteife
Im Frühstadium einer Ellenbogenarthrose leiden Betroffene unter Anlaufschmerzen, also Schmerzen, die nach längeren Pausen auftreten und sich nach leichter Bewegung bessern. Die Schmerzen im Ellenbogen werden im weiteren Verlauf der Arthrose zunehmend stärker und treten dann nicht mehr nur bei Bewegung des Arms sondern auch in Ruhe und nachts auf.

Patienten mit Ellenbogenarthrose berichten von hör- und spürbaren Knack- und Reibegeräuschen im Ellenbogengelenk, die typisch für degenerative Gelenkerkrankungen sind. Schmerzhafte Schwellungen und eine eingeschränkte Beweglichkeit bis hin zur Ellenbogensteife schränken die Betroffenen bei vielen Tätigkeiten in Beruf und Freizeit ein.
Ursachen der Arthrose im Ellenbogen
In den wenigsten Fällen entsteht eine Arthrose im Ellenbogengelenk als reine Verschleißerscheinung. In diesem Fall spricht man von einer primären Arthrose. Häufiger tritt die Ellenbogenarthrose als sogenannte sekundäre Arthrose nach z. B. schlecht verheilten Brüchen auf. Stufen in der Gelenkfläche oder Fehlbelastungen durch Fehlstellung, Instabilitäten oder direkte Knorpelschäden begünstigen die Arthroseentwicklung. Begleitend kommt es häufig auch zur Ausbildung von Narben und Verwachsungen (Arthrofibrose) oder freien Gelenkkörpern im Ellenbogengelenk.

Eine weitere häufige Ursache für die Arthroseentwicklung sein systemische Grunderkrankungen. Hier ist an erster Stelle die rheumatoide Arthritis zu nennen. Rheuma führt zu chronischer Gelenkreizung und in der Folge zu zunehmendem Knorpelverlust und Entwicklung schwerster Arthrosen. Fortschritte in der medikamentösen Rheumatherapie haben jedoch diese schweren Verläufe in den letzten Jahren reduzieren können.
Eine weitere systemische Ursache für eine frühe Arthrose des Ellenbogengelenks stellt die Hämophilie oder Bluterkrankheit dar. Im Rahmen dieser Erkrankung kommt es zu wiederholten Einblutungen in Gelenke, die langfristig den Knorpel angreifen.
Eine weitere Patientengruppe mit Arthrose im Ellenbogen hat beruflich oder im Sport Arm und Ellenbogen über einen langen Zeitraum überlastet. Dazu gehören beispielsweise Bauarbeiter, die häufig Presslufthammer bedienen, sowie Wurfsportler, Boxer und Kraftsportler. Die Ursachen sind individuell unterschiedlich, so können bei Schlag- und Wurfbewegungen langfristig leichte Instabilitäten des Ellenbogengelenkes entstehen, welche den Knorpelabrieb begünstigen.
Risikofaktoren für eine Ellenbogenarthrose
- Ausrenkung (Luxation) des Ellenbogengelenks
- freie Gelenkkörper im Ellenbogen (Osteochondrosis dissecans)
- Bruch des Radiusköpfchens (Radiusköpfchenfraktur)
- fehlverheilte Brüche (Frakturen) in Gelenknähe von Elle, Speiche oder Oberarm
- Bänderriss am Ellenbogen (Riss des ulnaren Seitenbandes)
- spät oder nicht erkannte Monteggia-Fraktur
- Rheumatoide Arthritis
- andere Grunderkrankungen (Hämophilie, Gicht)
Die sich ständig wiederholenden, kleinen Bewegungen verursachen Mikroverletzungen, die zu entzündlichen Reaktionen im Gelenk führen. Bestimmte Entzündungsmediatoren aus der Gruppe der Zytokine fördern die Knorpelerweichung und den fortlaufenden Abbau des Knorpels. Bei Kraftsportlern kann es auch eine reine Überlastung sein, welche den Knorpelverlust begünstigt. Langfristig kann Ellenbogenarthrose die Folge sein.
Diagnose der Ellenbogenarthrose

Die Diagnose einer Ellenbogenarthrose wird nach eingehender Untersuchung durch den Ellenbogen-Spezialisten gestellt.
Körperliche Untersuchung und Anamnese
Die Basis bildet das Arzt-Patientengespräch mit Erhebung der Krankengeschichte (Anamnese). Folgende Fragen klärt der Orthopäde dabei ab:
- Wo genau schmerzt der Ellenbogen (Abgrenzung zur Epicondylitis)?
- Seit wann treten die Ellenbogenschmerzen auf?
- Treten die Schmerzen bei Belastung, Bewegung, in Ruhe oder nachts auf?
- Gibt es schmerzfreie Intervalle?
- Welche Behandlungen und welche Hilfsmittel werden bereits eingesetzt?
Es schließt sich eine körperliche Untersuchung an, bei der der Arzt den Ellenbogen abtastet und auf Druckschmerz testet. Der Orthopäde untersucht den Bewegungsradius des Ellenbogens und die Schmerzhaftigkeit bestimmter Bewegungen. Zur Absicherung seiner Diagnose ordnet der Spezialist bildgebende Untersuchungen an.
Bildgebung ergänzt körperliche Untersuchung
Arthrotische Prozesse im Ellenbogengelenk stellen sich im Röntgen für den Experten deutlich dar. Um der Ursache einer Arthrose im Ellenbogen genauer auf den Grund zu gehen, ist es häufig sinnvoll, dass er ergänzende Aufnahmen der Computertomographie (CT) oder MRT anfertigt. CT und MRT stellen Veränderungen von Knorpel und umgebenden Weichgewebe im Ellenbogen besser als eine Röntgenaufnahme dar. Diese Untersuchungen sind besonders bei Kraftsportlern sinnvoll, bei denen sich der Knorpelschaden oft aufgrund von reiner Überlastung ausbildet.
Differentialdiagnosen: Welche Erkrankungen müssen von Arthrose im Ellenbogen abgegrenzt werden?
- Arthrofibrose
- Tennisarm (Epicondylitis humeri radialis)
- Golferarm (Epicondylitis humeri ulnaris)
- Arthritis
- Rheumatoide Arthritis
Konservative Behandlung der Arthrose im Ellenbogen
Eine Ellenbogenarthrose kann mit konservativen Maßnahmen nicht geheilt werden. Der Facharzt kann ihr Fortschreiten beim Patienten allerdings mithilfe von konservativen Möglichkeiten verhindern oder zumindest verlangsamen.
Spezielle physiotherapeutische Übungen erhalten die Beweglichkeit des Ellenbogens und kräftigen die umgebende Muskulatur. In manchen Fällen ermöglicht die Einnahme von entzündungshemmenden und schmerzstillenden Medikamenten (NSAR) den Patienten die schmerzfreie Durchführung der Übungen. Bereits die Kombination aus Schmerzmedikamenten und Krankengymnastik hilft vielen Patienten dabei, ihren Arm wieder bei Tätigkeiten im Alltag einzusetzen.
Je nach Schweregrad der Ellenbogenarthrose erfolgt eine zusätzliche Behandlung mit physikalischen Verfahren, zu denen Elektrotherapie, Wärme-, Kälteanwendungen, Stoßwellentherapie und die transkutane elektrische Nervenstimulation (TENS) zählen.
Akupunktur, stützende Kinesio-Tapes oder auch Injektionsbehandlungen runden die Optionen der nicht operativen Behandlung einer Ellenbogenarthrose ab. Erst, wenn alle konservativen Möglichkeiten bei einem Patienten ohne Besserung der Schmerzen ausgeschöpft sind oder, wenn konkrete orthopädische Ursachen der Arthrose zugrunde liegen, erwägt der Orthopäde einen operativen Eingriff.
Externer Inhalt von youtube.com
Übungen für zu Hause bei Arthrose im Ellenbogen
Übungen können die Ellenbogenarthrose nicht beseitigen. Sie sind jedoch sehr wichtig, da durch die regelmäßige Durchführung die Beweglichkeit Ihres Ellenbogens erhalten bzw. verbessert und die Schmerzen verringert werden können. Die folgenden Übungen können Sie selbstständig zu Hause durchführen. Dies ist eine Auswahl von einfachen Übungen, die durch Ihren Arzt und Ihren Physiotherapeuten noch besser auf Sie abgestimmt und erweitert werden können.
Seien Sie sehr aufmerksam bei der Durchführung der Übungen. Treten während einer Übung Schmerzen auf, sollten diese unmittelbar danach wieder nachlassen. Ist dies nicht der Fall, lassen Sie die Übung bis auf Weiteres weg und halten Sie Rücksprache mit Ihrem Arzt oder Physiotherapeuten.
Verbesserung der Beweglichkeit mit Fokus auf der Streckung
Beugung / Streckung des Ellenbogens im Sitzen


Übungsziel: belastungsarme Bewegungserweiterung des Ellenbogens.
Ausgangsstellung: Sitz, der betroffene Arm ist auf einem Tisch abgelegt, sodass die Hand am Rande des Tisches liegt.
Durchführung: Wischen Sie mit dem Unterarm über den Tisch bis der Ellenbogen gestreckt ist. Kehren Sie anschließend in die Ausgangsposition zurück.
Wiederholen Sie die Übung 15–20 mal. Dies entspricht einem Satz. Führen Sie 2–3 Sätze durch mit jeweils 30 Sekunden Pause zwischen den Sätzen.
Ellenbogenstreckung in Rückenlage


Hilfsmittel: Handtuch o.ä.
Übungsziel: belastungsarme Verbesserung der Streckung des Ellenbogens.
Ausgangsstellung: Liegen Sie auf dem Rücken auf Ihrem Bett, solange es nicht zu weich ist, oder auf dem Boden. Legen Sie ein kleines aufgerolltes Handtuch unter den Oberarm direkt oberhalb des Ellenbogens.
Durchführung: Strecken Sie den Ellenbogen so weit, wie es schmerzfrei möglich ist, wobei die Handfläche nach oben zeigt. Achten Sie darauf, dass sich die Schulter nicht zu weit vom Bett anhebt. Sie können ggf. die nicht betroffene Hand auf die betroffene Schulter legen, um diese nach unten zu halten. Halten Sie die Endposition für ein paar Sekunden und kehren anschließend in die Ausgangsposition zurück.
Wiederholen Sie die Übung 15–20 mal. Dies entspricht einem Satz. Führen Sie 2–3 Sätze durch mit jeweils 30 Sekunden Pause zwischen den Sätzen.
Ellenbogenstreckung im Sitzen


Hilfsmittel: Handtuch o.ä.
Übungsziel: Belastungsarme Verbesserung der Streckung des Ellenbogens.
Ausgangsstellung: Stehen oder sitzen Sie. Legen Sie die Handflächen auf einem Handtuch, das gut rutscht, auf einem Tisch ab.
Durchführung: Schieben Sie die Hände auf dem Tisch entlang und strecken Sie die Ellenbogen dabei so weit, wie es schmerzfrei möglich ist. Kehren Sie anschließend in die Ausgangsposition zurück.
Wiederholen Sie die Übung 15–20 mal. Dies entspricht einem Satz. Führen Sie 2–3 Sätze durch mit jeweils 30 Sekunden Pause zwischen den Sätzen.
Wand hochkrabbeln


Übungsziel: Verbesserung der Streckung des Ellenbogens
Ausgangsstellung: Stehen Sie mit dem Gesicht zu einer Wand. Setzen Sie die Hand des betroffenen Armes an der Wand ab.
Durchführung: Krabbeln Sie nun mit den Fingern der Hand an der Wand aufwärts, bis Sie zu Ihrer maximalen Streckung in der Schulter und im Ellenbogen gelangen und anschließend auf die gleiche Weise wieder zurück. Wiederholen Sie die Übung 15-mal. Absolvieren Sie 3 Sets mit jeweils 30 Sekunden Pause dazwischen.
Verbesserung mit der Beweglichkeit mit Fokus auf Beugung


Ausgangsstellung: Im Stand halten Sie ein Miniband in den Händen und heben die Arme gestreckt auf Brusthöhe.
Durchführung: Spannen Sie das Miniband, indem Sie einen Ellenbogen weit nach hinten ziehen, während Sie den anderen Arm gestreckt halten. Das Becken zeigt nach vorne, die Drehung geschieht aus dem oberen Rücken heraus. Sie spüren die Bewegung im oberen Rücken und auf der Schulterrückseite. Kehren Sie in die Ausgangsposition zurück, und wiederholen Sie die Übung mit dem anderen Arm.
Extension mit abgespreiztem Arm


Übungsziel: Aktivieren der Extensorenmuskeln
Ausgangsstellung: Aufrechter Stand. Ein Gymnastikband ist vor Ihnen sicher auf Höhe Ihrer Schulter befestigt Sie halten das leicht gespannte Gymnastikband mit gestrecktem Arm.
Durchführung: Führen Sie den Ellenbogen nach hinten, beugen Sie ihn dabei gleichzeitig an und ziehen Sie das Schulterblatt Richtung Wirbelsäule. Der Arm bleibt dabei immer auf der Höhe Ihrer Schulter. Es kann bei dieser Übung zu einer leichten Drehung im Oberkörper kommen. Kehren Sie anschließend in die Ausgangsposition zurück. Geben Sie dabei kontrolliert dem Zug des Bandes nach.
Wiederholen Sie diese Übung 15-mal. Absolvieren Sie 3 Sets mit jeweils 30 Sekunden Pause dazwischen.
Verbesserung der Dynamik und Kraft
Faustschlag mit Trainingsband


Ausgangsstellung: Stehen Sie aufrecht, ein Trainingsband etwa in Brusthöhe hinter sich sicher befestigt. Spannen Sie das Band leicht an.
Durchführung: Reichen Sie mit dem Arm gerade nach vorne. Versuchen Sie, nur durch Bewegen des Arms so weit nach vorne zu reichen wie möglich. Beugen Sie den Arm dann kontrolliert wieder an und in die Ausgangsposition zurück.
Pezziball prellen


Ausgangsstellung: Halten Sie im Stand einen Pezziball.
Durchführung: Prellen Sie den Ball mit einer Hand und in verschiedene Richtungen.
Übungen zur Senkung des Muskeltonus
Dehnung der Handgelenkstrecker


Übungsziel: Die Dehnung der Handgelenkstrecker reduziert deren Spannung hilft bei Schmerzen im Ellenbogen, da die Muskeln mit dem Ellenbogen verbunden sind.
Ausgangsstellung: Der betroffene Arm ist vor dem Körper. Ballen Sie eine Faust und winkeln Sie Ihr Handgelenk nach vorne ab. Drehen Sie es zur Kleinfingerseite.


Durchführung: Umgreifen Sie nun mit der freien Hand Ihre andere Hand. Bewegen Sie Ihren Arm und Ellenbogen langsam in Streckung. Spüren Sie dabei den Zug in Ihrem Ellenbogen. Ein leichter Dehnschmerz ist normal. Halten Sie diese Position. Wenn der Schmerz nachlässt, bewegen Sie sich weiter in die Ellenbogenstreckung.
Halten Sie diese Dehnung für mindestens 30 Sekunden und wiederholen Sie die Übung 2–3 mal.
Dehnung der Handgelenkbeuger

Übungsziel: Die Dehnung der Handgelenkbeuger kann eine positive Wirkung auf die Schmerzen am Ellenbogen haben, indem Muskelspannungen im Unterarm reduziert werden. Ein Teil der Muskeln ist zudem mit dem Ellenbogen verbunden.
Ausgangsstellung: Strecken Sie Ihren betroffenen Arm vor dem Körper aus. Achten Sie darauf, dass der Ellenbogen gestreckt ist. Die Unterseite des Unterarms zeigt dabei nach oben.
Durchführung: Mit der anderen Hand ziehen Sie Ihr Handgelenk sanft in eine gebeugte Position. Spüren Sie dabei den Zug in Ihrem Ellenbogen. Ein leichter Dehnschmerz ist normal. Halten Sie diese Position. Wenn der Schmerz nachlässt, bewegen Sie sich weiter in die Ellenbogenstreckung.
Halten Sie diese Dehnung für mindestens 30 Sekunden und wiederholen sie die Übung 2–3 mal.
Dehnung des Bizeps

Übungsziel: Die Dehnung der Musculus biceps als Hauptbeugemuskel des Ellenbogens kann die Beweglichkeit sowie die Schmerzen im Ellenbogen verbessern.
Ausgangsstellung: Strecken Sie den Arm in Bauchlage nach vorne.

Durchführung: Drehen Sie den Körper langsam in die Seitlage, der zu beübende Arm liegt unten. Halten Sie die Dehnung für mindestens 30 Sekunden und wiederholen sie die Übung 2–3 mal.
Dehnung des Trizeps

Übungsziel: Die Dehnung der Musculus triceps als Hauptstreckmuskel des Ellenbogens kann die Beweglichkeit sowie die Schmerzen im Ellenbogen verbessern.
Ausgangsstellung: Strecken Sie in Bauchlage den zu beübenden Arm nach vorne, die Kleinfingerseite liegt am Boden.

Durchführung: Führen Sie den Arm mithilfe des anderen Arms in Richtung Rücken. Halten Sie diese Dehnung für mindestens 30 Sekunden und wiederholen sie die Übung 2–3 mal.
Faszienrollen


Hilfsmittel: Faszienball oder -rolle.
Übungsziel: Verbesserung der Durchblutung und Entspannung der Muskulatur.
Ausgangsstellung: Legen Sie Ihren Unterarm auf einem Tisch ab.
Durchführung: Rollen Sie mit dem Faszienball oder der -rolle langsam und sanft die schmerzhafte Muskulatur entlang. Es eignet sich dafür sowohl die Muskulatur am Unterarm, als auch am Oberarm. Leichte Schmerzen sind in Ordnung. Diese sollten direkt nach der Übung wieder nachlassen.
Sie können die Anwendung mehrfach durchführen, bis die Schmerzen nachlassen.
Variante:

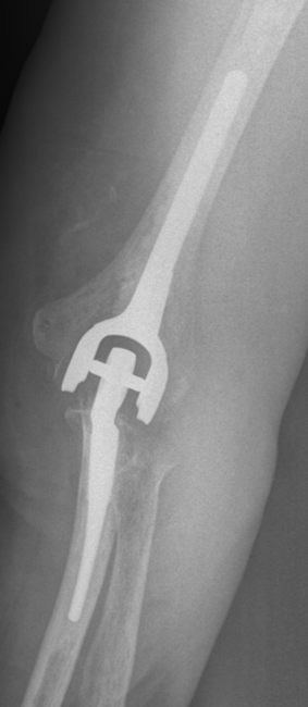
Operative Behandlung der Arthrose im Ellenbogen
Für das Ellenbogengelenk steht die minimalinvasive Gelenkspiegelung (Arthroskopie) zur Verfügung, um die Beschaffenheit des Gelenks zu untersuchen und während des gleichen Eingriffs zu behandeln.

Dabei kann der Operateur freie Gekenkkörper entfernen oder die Gelenkflächen reinigen oder geschädigtes Gewebe abtragen (Debridement).
Stellt sich bei der Arthroskopie heraus, dass es sich um einen örtlich begrenzten, sogenannten fokalen Knorpelschaden handelt, kann der behandelnde Spezialist auch die Möglichkeit einer Knorpelregeneration in Erwägung ziehen. Insbesondere am Kniegelenk wenden die Spezialisten der Gelenk-Klinik regelmäßig Verfahren wie die autologen Knorpelzelltransplantation, Minced Cartilagen oder zellfreie Membranen an. Am Ellenbogengelenk hat sich aufgrund der häufig eher kleineren Defekte die reine Mikrofrakturierung bewährt, so dass den genannten Verfahren am Ellenbogengelenk Seltenheitswert zu kommt.

Unabhängig vom Verfahren ist das Ziel einer knorpelregenerativen Behandlung die Wiederherstellung der geschädigten Gelenkoberfläche. Verlaufen alle gelenkerhaltenden Therapien erfolglos und können die Schmerzen des Patienten nicht verringern, ist als letzter Schritt der Einsatz eines künstlichen Ellenbogengelenks (Ellenbogenprothese) möglich.
Diesen Schritt bespricht der Orthopäde ausführlich mit dem Patienten, da zwar häufig eine deutliche Schmerzreduktion und verbesserte Beweglichkeit erreicht wird, jedoch das Gelenk zukünftig nur noch gering belastet werden sollte, um Lockerungen zu vermeiden.
Literaturangaben
- Papatheodorou, L. K., Baratz, M. E., & Sotereanos, D. G. (2013). Elbow arthritis: current concepts. The Journal of hand surgery, 38(3), 605-613.
- Morrey, B. F. (1992). Primary degenerative arthritis of the elbow. Treatment by ulnohumeral arthroplasty. The Journal of bone and joint surgery.British volume, 74(3), 409-413.
- Sears, B. W., Puskas, G. J., Morrey, M. E., Sanchez-Sotelo, J., & Morrey, B. F. (2012). Posttraumatic elbow arthritis in the young adult: evaluation and management. JAAOS-Journal of the American Academy of Orthopaedic Surgeons, 20(11), 704-714.
- Antuna, S. A., Morrey, B. F., Adams, R. A., & O'driscoll, S. W. (2002). Ulnohumeral arthroplasty for primary degenerative arthritis of the elbow: long-term outcome and complications. JBJS, 84(12), 2168-2173.
- Krishnan, S. G., Harkins, D. C., Pennington, S. D., Harrison, D. K., & Burkhead, W. Z. (2007). Arthroscopic ulnohumeral arthroplasty for degenerative arthritis of the elbow in patients under fifty years of age. Journal of shoulder and elbow surgery, 16(4), 443-448.
- Biswas, D., Wysocki, R. W., & Cohen, M. S. (2013). Primary and posttraumatic arthritis of the elbow. Arthritis, 2013.