- Was ist Omarthrose (Schulterarthrose)?
- Ursachen: Wie entsteht Omarthrose?
- Symptome der Omarthrose
- Diagnose: Wie untersucht der Spezialist Omarthrose?
- Konservative Behandlung der Omarthrose
- Schulterprothese: Behandlung von schwerer Omarthrose
- Selbsthilfe bei Schulterarthrose: Übungen, pflanzliche Mittel und Ernährungstipps
- Häufig gestellte Patientenfragen zu Omarthrose an PD Dr. med. habil. Bastian Marquaß von der Gelenk-Klinik

Omarthrose ist der Knorpelverschleiß des Schultergelenks. Omarthrose verursacht langfristig die schmerzhafte Einsteifung des Schultergelenks. Patienten mit Schulterarthrose leiden am Morgen zunächst unter Anlaufschmerzen. Auf ein schmerzfreies Intervall folgen Schmerzen bei jeder Belastung und Bewegung der Schulter.
Die Beschwerden bei Schulterarthrose beginnen oft schleichend. Betroffene nehmen die Anfangssymptome der Omarthrose häufig nicht ernst und die Schmerzen steigern sich über mehrere Jahre. Bei rechtzeitiger ärztlicher Behandlung kann die Omarthrose durch einen Schulterspezialisten in vielen Fällen gelenkerhaltend behandelt werden. Im Endstadium der Omarthrose stehen dem Spezialisten verschiedene Modelle an Schulterprothesen zur Verfügung, die er individuell an die Bedürfnisse der Patienten anpasst und mit denen er ihnen wieder zu guter Schulterfunktion und -beweglichkeit verhilft.
Was ist Omarthrose (Schulterarthrose)?
Omarthrose ist der stetig fortschreitenden Verlust an hyalinem Gelenkknorpel im Schultergelenk. Dieser Knorpelabrieb verursacht im späteren Krankheitsverlauf Schulterschmerzen und das Schultergelenk versteift. Die Betroffenen sind in ihrem Bewegungsumfang zunehmend eingeschränkt und viele Aktivitäten des täglichen Lebens sind durch die verminderte Beweglichkeit des Schultergelenks nicht mehr möglich. Das betrifft vor allem Bewegungen über Kopf wie Haarewaschen oder Wurfbewegung und Bewegungen mit Abspreizen des Arms nach hinten, wenn man zum Beispiel eine Hose hochziehen möchte.
Externer Inhalt von youtube.com
Ursachen: Wie entsteht Omarthrose?
Omarthrose tritt am häufigsten ohne bekannte Ursache (idiopathisch) auf. Diese Gelenkveränderung bezeichnet der Arzt auch als primäre Omarthrose. Von der primären Form ist die sekundäre Arthrose abzugrenzen. Der Verschleiß des Schultergelenks wird dabei von einem vorangegangenen Trauma ausgelöst.
Primäre Omarthrose: unklare Ursache des Gelenkverschleißes

Die primäre Omarthrose entsteht ohne auslösendes Ereignis und ist die häufigste Form der Schulterarthrose. Der Verlust des Gelenkknorpels führt zur Reizung des Gelenks, was die knorpelabbauenden Prozesse weiter fördert. Langfristig kommt es zur Deformierung des Gelenks mit Ausbildung von knöchernen Anbauten (Osteophyten) im vorderen, unteren oder hinteren Bereich, was die Beweglichkeit weiter einschränkt.
Sekundäre Omarthrose: Gelenkverschleiß durch auslösendes Ereignis
Die sekundäre Omarthrose wird vor allem durch erhebliche Schäden im Gelenk verursacht wie z. B. Knochenbrüche mit Beteiligung des Schultergelenks oder chronische Entzündungen. Verlieren die Gelenkpartner ‒ Oberarmkopf (Humeruskopf) und Gelenkpfanne (Glenoid) ‒ ihre Passform zueinander, reibt sich der Gelenkknorpel verstärkt ab.
Auch chronische Fehlbelastungen der Schulter beim Sport oder bei körperlich schweren Arbeiten begünstigen den Verschleiß im Schultergelenk.
Häufige Ursachen sekundärer Omarthrose
- Bruch des Oberarmkopfes (proximale Humerusfraktur),
- Auskugeln des Schultergelenks (Schulterluxation) mit anhaltender Instabilität,
- Bruch der Schulterblattpfanne (Glenoidfraktur),
- kontinuierliche Abnutzung durch übermäßige Belastung, z. B. im Kraftsport,
- Schäden an der Rotatorenmanschette,
- chronisch-entzündliche Erkrankungen (z.B. Arthritis oder Rheuma),
- Absterben des Oberarmkopfes (Osteonekrose) durch Unfälle, spontan oder begünstigt durch Chemotherapeutika,
- bakterielle Infektionen im Schultergelenk,
- seltenere Auslöser sekundärer Omarthrose sind Chondromatose, Gicht, Hämochromatose, Syringomyelie, diabetische Osteoarthropathie.
Entzündungen erweichen den Knorpel und er verschleißt schneller. Knorpelfragmente können sich lösen sich und bilden freie Gelenkkörper in der Gelenkflüssigkeit (Synovia). Diese freien Gelenkkörper (loose bodys) können wiederum entzündliche Episoden auslösen (aktivierte Arthrose), die das Knorpelgewebe weiter schwächen.
Eine Verengung der Gelenkkapsel des Schultergelenks als Folge der Arthrose kann die Außenrotation des Arms begrenzen. Der Oberarmkopf wird im Gelenk an den hinteren Rand der Gelenkpfanne gedrückt (posteriore Subluxation). Die Gewichtsverteilung an den Gelenkflächen wird zunehmend ungleichmäßig. Deshalb schreitet eine Arthrose der Schulter am hinteren Rand des Schultergelenks am stärksten fort.
Diese Subluxation kann sehr gut physiotherapeutisch behandelt werden. Das Muskeltraining korrigiert die Stellung des Oberarmkopfes und gleicht die Subluxation aus.
Symptome bei Omarthrose
- Diffuse Schulterschmerzen,
- eingeschränkte Schulterbeweglichkeit und Steifheit des Schultergelenks,
- Druckschmerzen im Liegen und beim Schlafen,
- Schmerzen beim Drehen (Rotation) des Arms im Schultergelenk,
- Schmerzen beim Abspreizen (Abduktion) des Arms,
- Knirsch- und Reibegeräusche im Schultergelenk (Krepitation),
- Schmerzen im Nacken oder Halsbereich (HWS-Syndrom).
Betroffene leiden bei Schulterarthrose unter allmählich einsetzenden, aber stetig zunehmenden Schulterschmerzen, die zunächst mit nur leichten Einschränkungen in der Beweglichkeit verbunden sind.
Typisch für Omarthrose sind nachlassende Schulterschmerzen nach einer Anlaufphase. Die Schmerzen kehren dann in Ruhe um so stärker wieder. Im fortgeschrittenen Stadium der Omarthrose kommt es zu Dauerschmerzen und Nachtschmerzen. Arbeitsleben, Sport und Alltag sind durch den Gelenkverschleiß der Schulter stark beeinträchtigt und die Betroffenen belastet ein hoher Leidensdruck. Das normalerweise frei bewegliche Schultergelenk verliert bei fortschreitender Arthrose seine Beweglichkeit in alle Richtungen. Schmerzbedingt nehmen Betroffene mit der erkrankten Schulter häufig eine Schonhaltung ein.
Omarthrose-Patienten berichten oft von spür- und hörbaren Reibegeräuschen (Krepitation) und Knacken im Schultergelenk. Die Schulterschmerzen können bis in die Schulter- und Nackenmuskulatur ausstrahlen (HWS-Syndrom).
Bei Verdacht auf Omarthrose raten wir Betroffenen zu einer frühzeitigen orthopädische Beratung. Je früher Diagnose und Behandlung beginnen, umso besser kann der behandelnde Arzt den Gelenkverschleiß kontrollieren.
Welche Bewegungen schmerzen bei Omarthrose?

- Greifen nach oben in ein hohes Regal,
- Greifen nach hinten, um etwas aus der Hosentasche zu holen oder hinten zu binden,
- Überkopfbewegungen wie Haare waschen oder trocknen,
- Wurfbewegungen in Freizeit oder Sport.
Warum schmerzt Omarthrose?
Bedeckt der Gelenkknorpel nicht mehr die knöchernen Gelenkpartner Oberarmkopf und Schultergelenkspfanne, liegen Knochenoberflächen frei und reiben aufeinander. Erst, wenn der Gelenkknochen Schaden nimmt, wird Omarthrose für die Betroffenen schmerzhaft, denn Knorpelgewebe selbst hat keine Schmerzrezeptoren. Arthrose der Schulter bleibt daher bei manchen Menschen bis zum fortgeschrittenen Stadium völlig schmerzfrei.
Diagnose: Wie untersucht der Spezialist Omarthrose?
Das Gespräch mit dem Patienten über seine Beschwerden (Anamnese), verbunden mit der körperlichen Untersuchung und die apparative Bildgebung, ermöglichen dem Schulterspezialisten das frühzeitige Erkennung einer Omarthrose. In diesem Zusammenhang gibt bereits die Krankengeschichte des Patienten wichtige Hinweise.
Anamnese und klinische Untersuchung
Der behandelnde Orthopäde befragt seinen Patienten detailliert zum bisherigen Krankheitsverlauf und nach Art und Dauer seiner Beschwerden. Fragen zur Lebensweise sowie Arbeits- oder Sportbelastungen geben dem Arzt wichtige Informationen über mögliche Ursachen und begünstigende Faktoren der Omarthrose. Auch Unfälle oder Stürze der Vergangenheit geben wichtige Hinweise auf die Auslöser eines Gelenkschadens.
Wie bei jeder Arthrose ist auch die Familiengeschichte des Patienten bedeutsam. Auch generelle Fragen zur Krankengeschichte des Patienten sind wichtig für den Spezialisten: Hat der Patient eine allgemeine Knorpelschwäche? Gab es eine Infektion oder andere Erkrankung, die mit der Schulterarthrose in Beziehung stehen könnte? Auch Medikamente können als Auslöser der Omarthrose in Frage kommen. Zum Beispiel können Steroide das Absterben des Oberarmknochens (Osteonekrose) verursachen.
Checkliste für Ihr Arztgespräch:
- Wann sind die Beschwerden erstmals aufgetreten?
- Welche Bewegungen verstärken die Schulterschmerzen?
- Welche Bewegungen gehen nicht mehr oder nur unter Schmerzen?
- Hatten Sie Unfälle oder Stürze, bei denen die Schulter beteiligt war?
- Hatten Sie bereits Operationen an der Schulter?
- Sind andere Gelenke ebenfalls von Arthrose betroffen (Polyarthrose)?
- Nahmen oder nehmen Sie Steroide (Kortison) ein?
- Gibt es in Ihrer Familie bereits Fälle von Arthrose oder Schulterarthrose?
Körperliche Untersuchung

Der nächste wichtige Schritt ist die klinische Untersuchung der Schulter durch den Schulterexperten. Der Facharzt stellt dabei fest, inwieweit eine Schwäche der Sehnen oder eine Bewegungseinschränkung des Schultergelenks vorliegt. Er kann durch seine Untersuchung auch andere Erkrankungen der Schulter erkennen oder ausschließen (Differentialdiagnosen).
Differentialdiagnose: Welche Erkrankungen haben ähnliche Beschwerden wie Omarthrose?
- Frozen Shoulder (Schultersteife)
- Schultereckgelenksarthrose (AC-Gelenksarthrose)
- Verletzung des AC-Gelenks: AC-Gelenksprengung
- Riss der Sehnen der Rotatorenmanschette
- Absterben von Knochengewebe (Osteonekrose)
- Kalkschulter
- Einklemmungssyndrom der Schulter (Impingement der Schulter)
- Schleimbeutelentzündung (Bursitis subacromialis)
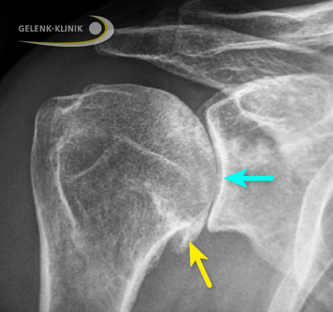
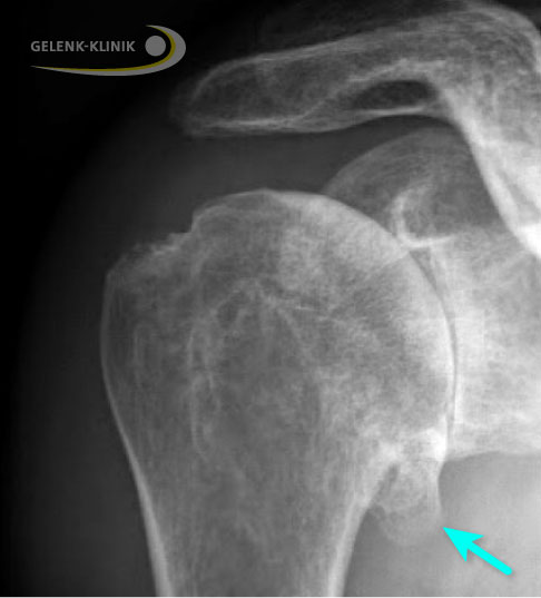
Bildgebung: Röntgen, MRT und CT bei Omarthrose
Zur Sicherung der Diagnose röntgt der Schulterspezialist die betroffenen Schulter und führt bei unklarem Zustand der Sehnen der Rotatorenmanschette eine Kernspintomographie (MRT) durch.
Bestehen Knochendefekte, wie sie bei einem langen Verlauf der Schulterarthrose vor allem im hinteren Bereich der Pfanne (Glenoid) auftreten können, ergänzt der Schulterspezialist die Diagnostik durch eine Computertomographie (CT). Die CT-Technik ermöglicht dem Arzt bei große Knochendefekten eine 3-D-Planung zur optimalen Vorbereitung, wenn er eine Operation in Betracht zieht.


Wichtige Fragen ans Röntgen:
- Gibt es Knochensporne (Osteophyten) am Gelenkrand?
- Ist der Gelenkspalt schmaler geworden?
- Gibt es Hohlräume (Zysten) im Knochen des Oberarmkopfes?
- Sind Verkalkungen in den Weichteilen sichtbar?
- Ist der Oberarmkopf verformt?
- Ist der Oberarmkopf nach hinten verschoben (Subluxation)?

Auf Röntgenaufnahmen erkennt der Schulterspezialist die typische Verschmälerung des Gelenkspalts bei Omarthrose. Die primäre Schulterarthrose zeigt in vielen Fällen eine Knorpelabnutzung der hinteren Anteile der Gelenkpfanne. Osteophyten sind Zeichen einer fortgeschrittenen Arthrose. Im späten Krankheitsstadium kann der Oberarmkopf ebenfalls verformt (deformiert) sein.
Kernspintomographie (MRT): Darstellung der Weichteile

Die MRT-Untersuchung unterstützt den Spezialisten dabei, die Weichteilstrukturen der betroffenen Schulter, insbesondere die Sehnen der Rotatorenmanschette, zu beurteilen. Funktion und Stabilität des Schultergelenks werden durch die Einheit von Muskeln und Sehnen der Rotatorenmanschette gewährleistet.
Computertomographie: Wie ist der Knochen beschaffen?
Die Computertomographie (CT) gibt dem Orthopäden Auskunft über die Knochenqualität. Die Qualität der Knochensubstanz ist besonders wichtig, wenn der Arzt die Verankerung von Implantaten zur Behandlung der Omarthrose plant. Vor allem bei älteren Patienten mit einer bereits eingetretenen Cuff-Arthropathie ist die CT-Untersuchung wichtig, um die Knochensubstanz des Gelenkpfanne (Glenoid) zu bewerten.
Konservative Behandlung der Omarthrose
Wie bei allen Formen der Arthrose ist es wichtig, dass Omarthrose-Patienten ihr Schultergelenk beweglich halten. Im Frühstadium der Omarthrose ist eine konservative oder gelenkerhaltende Behandlung die Therapie der Wahl, um ein Fortschreiten des Gelenkschadens zu verhindern.
Bei einer fortgeschrittenen Schulterarthrose mit komplett aufgebrauchten Gelenkknorpel kann der Schulterspezialist dem Patienten den operativen Gelenkersatz mit einer Schulterprothese als Option bieten.
Welche konservativen Therapien empfehlen wir bei Omarthrose?
- Physiotherapeutische Übungen und manuelle Therapie mobilisieren ein versteiftes Schultergelenk.
- Kryotherapie (Kältetherapie): Die Kältetherapie drängt Entzündungen zurück. Gerade bei aktivierter (entzündlicher) Schulterarthrose verkürzt die Kryotherapie den Verlauf der Entzündung deutlich.
- Physikalische Therapie: Die Physikalische Therapie arbeitet mit Reizen wie Wärme, Kälte oder elektrischen Reizen. Die natürlichen Reaktionen auf diese Reize unterstützen die Heilungsreaktion und wirken bei Schulterarthrose schmerzlindernd.
- ZRT®-Matrix-Therapie: Biomechanische Stimulation und Tiefenwärme verbessern den Zellstoffwechsel in Knorpel und Weichteilen der Schulter und verlangsamen die Schulterarthrose, reduzieren Entzündungen und verbessern die Beweglichkeit.
- Stoßwellenbehandlung: Energiereiche Schallwellen, die in das Gewebe gelangen, fördern die natürliche Heilungsreaktion und reduzieren Entzündungen.
- Entzündungshemmende und schmerzstillende Medikamente: Nichtsteroidale Antirheumatika (NSAR) beenden knorpelschädigende Entzündungsreaktionen bei Schulterarthrose. Auf Unverträglichkeiten und Nebenwirkungen muss geachtet werden.
- Injektionen ins Schultergelenk: Hyaluronsäure-Injektionen können Schulterschmerzen bei Omarthrose zeitweise reduzieren. Als Dauertherapie ist eine Injektionstherapie nicht sinnvoll, da kein Knorpelaufbau stattfindet.
- Omarthrose-Patienten sollten ihr Verhalten in Alltag, Beruf und Freizeit anpassen, zum Beispiel mit Reduktion der Schulterbelastung, Wechsel der Sportart oder Techniktraining.

Schulterarthrose kann je nach Verlauf, Symptomen und Erkrankungsursache konservativ mit physiotherapeutischen Übungen oder medikamentös behandelt werden.
Die konservative Behandlung ist in den meisten Fällen ausreichend, um den Verlauf der Schulterarthrose zu mildern oder ganz aufzuhalten. Im Gegensatz zu anderen Arthrose in anderen Gelenken ist die operative Therapie der Omarthrose selten.
Je früher die Therapie bei Arthrose des Schultergelenks erfolgt, umso besser lässt sich die Omarthrose langfristig kontrollieren. Die Behandlung wird individuell für jeden Patienten geplant.
Aber: Konservative Maßnahmen heilen Omarthrose nicht. Sie können nur helfen, die Funktion der Schulter zu erhalten und das Fortschreiten der Arthrose zu verlangsamen.
Ziele der konservativen Therapie bei Omarthrose
- Linderung der Schulterschmerzen
- Mobilisierung des Schultergelenks und Aufheben der Versteifung
- Lösung der verengten Schulterkapsel
- Kräftigung der Schultermuskulatur
- Fortschreiten der Omarthrose verlangsamen
- Bekämpfen von Entzündungen im Schultergelenk
- Schulung des Patienten im Umgang mit seiner Erkrankung
Gelenkerhaltende Eingriffe bei Omarthrose
Das therapeutische Ziel der Schulterspezialisten der Gelenk-Klinik ist, Ihr Schultergelenk trotz Omarthrose zu erhalten. Erreichen die konservativen Therapien keine Besserung, wird der behandelnde Orthopäde die Möglichkeiten gelenkerhaltender Eingriffe mit dem Betroffenen besprechen. Eine Schulterarthroskopie oder eine Knorpeltherapie in Kombination mit konsequenter Physiotherapie können das Fortschreiten der Omarthrose verlangsamen und die Schmerzen lindern.
Schulterarthroskopie: Schlüssellochchirurgie im Schultergelenk
Die arthroskopische Schulteroperation bei Omarthrose wird vor allem bei jüngeren Patienten angewandt, um die Beschwerden zu lindern, da vor allem bei dieser Patientengruppe von einer geringeren Haltbarkeit der endoprothetischen Implantate ausgegangen wird.
Die Schulterarthroskopie behandelt nicht die Ursache, reduziert aber die Schulterschmerzen und verbessert die Schulterfunktion. Im Rahmen der Arthroskopie entfernt der Schulterspezialist freie Gelenkkörper und entzündete Schleimbeutel (Bursitis). Zeitgleich kann er den Gelenkknorpel glätten, die Gelenkkapsel lockern und die eventuell geschädigte Bizepssehne behandeln.
Der Operateur entfernt störende Osteophyten und kann bei Bedarf eine Neurolyse durchführen, um Schmerzen und Funktionsausfälle aufgrund einer Nervenenge zu beseitigen. Dieses arthroskopische Vorgehen mit der Summe aller genannten Einzelschritte wird auch als CAM-Prozedur (Comprehensive Arthroscopic Management) bezeichnet.
Mikrofrakturierung: Anbohren des Knochens

In manchen Fällen liegt ein kleiner, definierter Knorpeldefekt im Schultergelenk vor. Bei solchen fokalen Defekten kann die Mikrofrakturierung die Knorpelfläche wieder schließen. Durch gezieltes Anbohren des unter dem Defekt liegenden Knochens wird bei der Mikrofrakturierung eine Einblutung in die defekte Stelle ausgelöst. Durch die Heilungsreaktion entsteht an dieser Stelle knorpelähnliches Narbengewebe. Dieser Faserknorpel ist allerdings weniger elastisch und haltbar wie natürlicher Knorpel.
Knorpeltransplantation am Schultergelenk
Auch im Schultergelenk steht bei Knorpelschäden ‒ ähnlich wie am Kniegelenk ‒ die autologe Knorpeltransplantation (ACT) zur Verfügung. Dabei werden körpereigene Knorpelzellen des Patienten in einem Speziallabor angezüchtet und vermehrt. In einem weiteren arthroskopischen Eingriff werden diese Knorpelzellen nach 6-8 Wochen in den defekten Bereich im Schultergelenk übertragen. Dort wachsen sie an und bilden normales, elastisches Knorpelgewebe.
Eine Alternative zur Knorpeltransplantation sind der Einsatz von zellfreien Membranen oder die Minced Cartilage-Technik. Bei den zellfreien Membranen wird der Knorpeldefekt mit einem kollagenhaltigem Gewebe aufgefüllt. Dieses dient regenerativen Zellen als Gerüst, an dem sie anhaften und den Defekt füllen können. Bei der Minced Cartilage-Methode bringt der Operateur kleine Knorpelchips in den Defekt ein, die dann die Knorpelregeneration in Gang setzen.
Schulterprothese: Behandlung von schwerer Omarthrose
Bei schwerer Omarthrose empfehlen Spezialisten den Einsatz einer Schulterprothese zur Wiederherstellung schmerzfreier Beweglichkeit der Schulter. Die verschlissenen Gelenkanteile von Oberarmkopf und Schulterpfanne können durch ein künstliches Gelenk ersetzt werden.
Schulterprothesen verbessern bei den Patienten deutlich die Schmerzsituation und die Beweglichkeit der Schulter. Die Wahl des geeigneten Prothesenmodells für den Patienten hängt von folgenden Faktoren ab:
- vom Alter des Patienten,
- den individuellen Wünschen und Ansprüchen,
- der Intaktheit der Sehnen der Rotatorenmanschette und
- der Qualität der Knochensubstanz.


Grundsätzlich erhält der Operateur beim Verschleiß des Schultergelenks so viel Knochensubstanz wie möglich. Ist die Rotatorenmanschette intakt, setzt der Schulterspezialist vor allem Kappenprothesen mit Glenoidersatz ein. Den Verzicht auf eine künstliche Pfanne (Glenoidersatz) empfehlen die Orthopäden der Gelenk-Klinik nicht, da die Operationsergebnisse erfahrungsgemäß mittel- bis langfristig schlechter sind.
Bedeutung einer intakten Rotatorenmanschette
Häufig werden durch Entzündungsprozesse bei einer Omarthrose die Bänder um das Schultergelenk angegriffen. Vor allem die Rotatorenmanschette ist von zentraler Bedeutung für die optimale Funktion einer Prothese.
In Fällen, bei denen die Rotatorenmanschette und insbesondere die Supraspinatussehne geschädigt ist, wählt der Orthopäde eine sogenannte inverse (umgekehrte) Schulterprothese: Der Prothesenkopf befindet sich dabei am Schulterblatt und die Gelenkpfanne wird am Oberarmkopf eingesetzt. Durch diese Umkehr der ursprünglichen Anatomie wird das Drehzentrum des Schultergelenks verändert. Der Deltamuskel kann nun den Arm auch ohne die Hilfe der Sehnen der Rotatorenmanschette bewegen. Dieses Modell eignet sich auch für den Wechsel (Revision) von kleineren Kappenprothesen.
Inverse Prothese? Wichtige Fragen für die Wahl des Prothesenmodells
- Ist die Rotatorenmanschette noch intakt?
- Ist der Knorpel der Schultergelenkspfanne noch erhalten?
- Ist der Oberarmknochen intakt oder liegt eine Knochennekrose (Osteonekrose) vor?
- Sind die Sehnen rund um das Schultergelenk gesund?
Selbsthilfe bei Omarthrose: Übungen, pflanzliche Mittel und Ernährungstipps
Die überwiegende Mehrzahl der Patienten mit Schulterarthrose erleidet eine fortschreitende Abnutzung des Gelenkknorpels. Allmählich entstehen Knorpeldefekte im Schultergelenk, die die Gleitfähigkeit der Knochen in der Schulter immer weiter herabsetzen.
Bei rechtzeitiger Diagnose kann eine Schulterarthrose mit Physiotherapie und vorausschauender, gesunder Lebensweise sehr gut kontrolliert werden.
Externer Inhalt von youtube.com
Übungen für zu Hause bei Omarthrose
Mit dem "Armpendel" fördern Sie die Bildung von Gelenkschmiere in der Schulter

Lassen Sie den Arm locker herabhängen. Die Schulter entweder ohne oder mit leichtem Gewicht in der Hand locker hin und herschwingen. Auch eine Wasserflasche kann hier gute Dienste leisten. Die Bewegung unter völliger Entlastung des Schultergelenks bei herabhängendem Arm hilft bei der Bildung von Gelenkflüssigkeit.
Die sanfte Bewegung mit vorübergehender Entlastung der Schulter fördert die Regeneration von Gelenkknorpel bei Arthrose. Durch das Armpendel die Bildung und gleichmässige Verteilung von Gelenkschmiere (Synovia) gefördert.
Dehnung des Brustmuskels zentriert das Schultergelenk

Die Schulter- bzw. Brustmuskeln werden durch Anlehnen und Aufstützen im Türrahmen gedehnt. Die Schultern werden durch die entspannte Brustmuskulatur nicht mehr so sehr nach vorne gezogen, sondern sie sitzen wieder zentriert in der Gelenkpfanne. Das führt zu einer gleichmäßigen Belastung des Knorpels im Schultergelenk. Die Normalisierung der Position des Oberarmkopfes verlangsamt die Schulterarthrose und hilft gegen Schulterschmerzen.
Die Außenrotation der Unterarme kann das Schultergelenk in Position bringen

Legen Sie die Ellenbogen am Körper an und bewegen Sie die waagerecht ausgestreckten Unterarme kreisförmig nach außen. Sie können den Kraftaufwand durch die Verwendung eines Therabandes erhöhen, indem Sie diese Bewegung gegen den elastischen Bandwiderstand durchführen.
Auch diese Übung kräftigt die Muskeln der Rotatorenmanschette und zentriert Ihre Schulter. Sie hilft gegen akute Schulterschmerzen und stärkt die Außenrotatoren.
Sport mit Omarthrose: Was sollten Sie beachten?

Generell gilt: Betroffenen sollten alle Sportarten vermeiden, die die Schulter extrem belasten. Dazu zählen Kontakt- und Wurfsportarten sowie Aktivitäten mit großer Hebelwirkung wie Golfen oder Tennisspielen. Sämtliche Bewegungen, bei denen hohe Zug- und Scherbelastungen entstehen, und Sportarten mit erhöhter Sturzgefahr eignen sich ebensowenig. Hierzu gehören Klettern, Inlineskaten und Mountainbiken.
Auch die Intensität der sportlichen Aktivität spielt eine Rolle: Ein Freizeitsportler, der gelegentlich auf sein Mountainbike steigt, ist weniger gefährdet als ein Extremsportler.
Wir empfehlen unseren Patienten alle Sportarten, die der allgemeinen Fitness dienen und die Schulter nicht zu stark belasten. Dazu zählen Walking, Joggen, Radfahren und Brustschwimmen.
Pflanzenmittel gegen Schulterarthrose
Welche Pflanzen setzt man bei Omarthrose ein?
- Brennesselblätter
- Wurzel der Teufelskralle (Harpagophyti Radix)
- Teezubereitung aus Pappelblättern, Pappel und Eschenrinde
Entzündungshemmende pflanzliche Zubereitungen helfen allgemein gegen Gelenkentzündungen und Gelenkschmerzen. Je nach Stadium der Schulterarthrose und der Konzentration der verwendeten Wirkstoffe ist die Wirksamkeit von Pflanzenstoffen unterschiedlich gut. Viele Patienten können unterstützt durch die Phytotherapie erhebliche Mengen an synthetischen Schmerzmitteln (Nichtsteroidale Antirheumatika (NSAR) einsparen.
Ernährungstipps bei Schulterarthrose
Ungünstige Nahrungsmittel bei Omarthrose:
- Gesättigte Fettsäuren aus tierischen Fetten (Käse, Fleisch) oder gehärteten Fetten (Fertiggerichte)
- Lebensmittel mit hohem Anteil an Arachidonsäure: Fleisch, Wurst, Innereien, Eier
- Kaffee, Alkohol, Nikotin
Günstige Nahrungsmittel bei Omarthrose:
- Kalziumreiche Nahrungsmittel wie Milchprodukte, Spinat, Broccoli
- Ungesättigte Fette (Olivenöl)
- Kaltwasserfische
- Knoblauch, Lauch, Zwiebeln
Immer besser verstehen wir den Zusammenhang zwischen Arthrose und Ernährung. Der für Hüfte und Knie so wichtige Faktor Körpergewicht spielt im Bereich der Schulter eine untergeordnete Rolle, weil die Schulter kein Körpergewicht trägt.
Die Inhaltsstoffe der Nahrung können eine Omarthrose positiv oder negativ beeinflussen. Eine ganze Reihe von Nahrungsmitteln sind entzündungsfördernd und beschleunigen dadurch den Knorpelabbau im Schultergelenk: Entzündungshemmend und knorpelschonend wirken Lebensmittel mit einem hohen Anteil an ungesättigten Fettsäuren, etwa aus pflanzlichen Ölen.
Helfen Knorpelaufbaustoffe bei Schulterarthrose?
Knorpelaufbauende Nährstoffe stellen dem Körper Bestandteile des Gelenkknorpels über Nahrungsergänzungsmittel bereit. Bisher konnte kein Effekt auf den Verlauf der Arthrose nachgewiesen werden. Einige Patienten berichten von einer günstigen Wirkung dieser Nahrungsergänzungsmittel auf ihre Schulterarthrose.
Hyaluronsäure wird vom Arzt direkt in das schmerzende Schultergelenk gespritzt. Die Injektion stellt dem defekten Knorpel direkt und in hoher Konzentration notwendige Baustoffe zur Verfügung. Eine Besserung der Schmerzen ist möglich - je nach Stadium und individueller Ursache der Schulterarthrose. Die Neubildung von Knorpel wird durch diese Behandlung nicht unterstützt. Lediglich die Gleitfähigkeit im Arthrose-geschädigten Gelenk wird für eine gewisse Zeit verbessert.
Die Nahrungsergänzungsmittel Glucosamin und Chondroitinsulfat können eine sinnvolle Ergänzung zu einer ausgewogenen Ernährung sein und werden oral eingenommen. Ebenso wie bei der Injektionstherapie gilt auch hier, dass konkrete Ursachen wie z. B. Instabilitäten oder Sehnenrisse durch Nahrungsergänzung nicht behoben werden.
Häufige Patientenfragen zu Omarthrose an PD Dr. med. habil. Bastian Marquaß von der Gelenk-Klinik
Was ist Omarthrose?
Omarthrose ist der vorzeitige Verschleiß des Schultergelenks durch vermehrten Knorpelabrieb. Dieser Gelenkschaden schreitet ohne Behandlung weiter fort und verursacht bei den Betroffenen Schulterschmerzen, zunehmende Unbeweglichkeit der Schulter und als Spätfolge meist eine Einsteifung des Schultergelenks. Sowohl die Lebensqualität wie auch die Möglichkeiten, an Sport und beruflichen Leben teilzunehmen, werden durch die Omarthrose immer mehr eingeschränkt.
Wie entsteht Omarthrose?
Omarthrose kann ohne ein bestimmtes, auslösendes Ereignis entstehen. Der Mediziner bezeichnet dies als primäre Arthrose des Schultergelenks. Es ist die häufigste Form der Schulterarthrose.
Bei der sogenannten sekundäre Omarthrose verursacht ein spezifische Ereignis den Gelenkverschleiß, z. B. Knochenbrüche im Bereich des Schultergelenks oder chronische Entzündungen des Gelenks.
Wie lange ist man mit Omarthrose krank?
Die Dauer einer Krankschreibung ist sehr individuell und hängt besonders vom Ausmaß der Schulterarthrose und von der Art der ärztlichen Behandlung ab. Konservative Behandlungen erfolgen in der Regel berufsbegleitend. Nach operativer Therapie wie z. B. der Implantation eines künstlichen Schultergelenks liegt die Dauer der Arbeitsunfähigkeit je nach notwendiger körperlicher Anstrengung zwischen 4 Wochen (Büroarbeit) und 12 Wochen (körperlich belastende Tätigkeit).
Wie macht sich Omarthrose bemerkbar?
Schmerzen bei Omarthrose setzen meist schleichend ein und nehmen erst im Verlauf ständig zu. Zu Beginn sind die Beschwerden unspezifisch und verursachen leichte Bewegungseinschränkungen der Schulter. Vor allem Bewegungen, wie nach oben oder nach hinten Greifen,etwas aus der Hosentasche holen, Überkopfbewegungen beim Haare waschen oder Wurfbewegungen sind schmerzhaft.
Wie kann ich mit Schulterarthrose schlafen?
Durchschlafstörungen sind ein verbreitetes Problem bei Patienten mit Omarthrose, da der Schmerz häufig in Ruhe und im Liegen zunimmt. Hilfreich kann für Betroffene ein leicht erhöht gelagerter Oberkörper oder die Lagerung des kranken Arms auf einem Kissen sein.
Welche Schmerzmittel helfen bei Schulterarthrose?
Gegen die Schmerzen bei Omarthrose können entzündungshemmende, schmerzstillende Medikamente aus der Gruppe der nichtsteroidalen Antirheumatika (NSAR) helfen. Zu ihnen gehören beispielsweise Diclofenac, Acetylsalicylsäure, Ibuprofen und verschiedene Coxibe.
Welchen Sport kann ich bei Omarthrose machen?
Wir empfehlen Betroffenen alle Sportarten, die die Schulter nicht zu stark belasten, zum Beispiel Wandern, Nordic Walking, Joggen, Radfahren und Schwimmen. Belastende Sportarten mit erhöhter Sturzgefahr sowie Wurfsportarten sollten Sie vermeiden.
Welche Schmerzen hat man bei Schulterarthrose?
Betroffene berichten zu Beginn meist von diffusen Schulterschmerzen mit leichten Bewegungseinschränkungen und Steifheit. Charakteristisch sind Gelenkschmerzen beim Drehen und Abspreizen des Arms. Die Beschwerden nehmen im Krankheitsverlauf immer weiter zu. Ganz typisch sind nachlassende Schmerzen während einer Schulterbewegung, die dann in Ruhe umso stärker auftreten. Im fortgeschrittenen Stadium leiden Betroffene häufig unter Dauer- und Nachtschmerzen.
Was tun, wenn konservative Behandlungen nicht helfen?
Erlangen Sie durch die konservativen Therapien keine Besserung Ihrer Schulterbeschwerden, kann Ihr behandelnder Schulterspezialist Sie zu gelenkerhaltenden operativen Behandlungen beraten. Dazu zählen die Schulterarthroskopie und verschiedene Formen der Knorpeltherapie.
Erst bei fortgeschrittener Omarthrose mit komplett verschlissenem Gelenkknorpel kann der künstliche Gelenkersatz durch eine Schulterprothese notwendig sein. Individuell wird mit dem Patienten über das spezielle Modell einer Schulterprothese entschieden, die dann die Schmerzen und Einschränkungen im Schulterbereich deutlich verringern.
Welcher Arzt hilft mir bei Schulterarthrose?
Wenn Sie an Schulterschmerzen oder Arthrose im Schultergelenk leiden, sollten Sie einen Facharzt für Orthopädie mit Schwerpunkt Schulterchirurgie aufsuchen. Die Schulterspezialisten der Gelenk-Klinik sind auf die Behandlung von Schulterschmerzen und Arthrose spezialisiert. Gelenkerhaltung und konservative Behandlungsansätze stellen für uns den Beginn der Behandlung dar und haben höchste Priorität. Alle Schulterspezialisten der Gelenk-Klinik zeichnen sich auch durch langjährige operative Erfahrung im Bereich der Schulterendoprothetik (Kunstgelenke) aus. Die Gelenk-Klinik Freiburg ist außerdem ein zertifiziertes EndoProthetikZentrum (EPZ).
Wann muss Omarthrose operiert werden?
Verspüren Sie durch die konservativen Therapiemaßnahmen keine Besserung, kann Ihr behandelnder Schulterspezialist eine Schulterarthroskopie durchführen. Dabei kann er freie Gelenkkörper, störende Knochenanbauten (Osteophyten) und den entzündeten Schleimbeutel (Bursitis) entfernen. Zeitgleich kann der Spezialist den Gelenkknorpel glätten, die Gelenkkapsel lockern und die eventuell gereizte Bizepssehne behandeln.
Bei Knorpeldefekten kann der behandelnde Arzt Ihnen eine Knorpeltransplantation oder Knorpeltherapie empfehlen .
Was ist der Unterschied zwischen Omarthrose und Kalkschulter?
Omarthrose ist der Gelenkverschleiß des Schultergelenks durch vermehrten Knorpelabrieb. Arthrose führt mit der Zeit zu einer Einsteifung des Schultergelenks, die sehr schmerzhaft für die Betroffenen ist.
Die Kalkschulter (Tendinosis calcarea) ist eine schmerzhafte Erkrankung im Bereich der Schultersehnen. Die Ursache für eine Kalkschulter ist eine verminderte Durchblutung der Rotatorenmanschette, was zur Kalkablagerungen in der Supraspinatussehne führt.
Ist Omarthrose heilbar?
Omarthrose ist nicht heilbar. Alle Therapien der Ärzte zielen darauf ab, die Funktion der Schulter zu erhalten und das Fortschreiten der Arthrose zu verlangsamen. Je früher die Behandlung bei Arthrose des Schultergelenks erfolgt, umso besser lässt sich die Omarthrose langfristig kontrollieren.
Literatur
- Abate, M., Pulcini, D., Iorio, A. D. & Schiavone, C. (2010). Viscosupplementation with intra-articular hyaluronic acid for treatment of osteoarthritis in the elderly.. Current pharmaceutical design, 16(6), 631-640.
- Brunner, U. H. Instabilitätsarthropathie. Der Orthopäde.
- Chan, K., Knowles, N. K., Chaoui, J., Gauci, M. O., Ferreira, L. M., Walch, G., & Athwal, G. S. (2017). Characterization of the Walch B3 glenoid in primary osteoarthritis. Journal of Shoulder and Elbow Surgery, 26(5), 909-914
- Echtermeyer, V. & Bartsch, S. (2005). Praxisbuch Schulter : Verletzungen und Erkrankungen systematisch diagnostizieren, therapieren, begutachten ; 10 Tabellen. Thieme.
- FAAOMP, T. J. & FAAOMP, T. S. (2010). Netter's Orthopaedic Clinical Examination: An Evidence-Based Approach (Netter Clinical Science) (2 ed). Saunders.
- Fucentese, S. F., Costouros, J. G., Kühnel, S.-P. & Gerber, C. (2010). Total shoulder arthroplasty with an uncemented soft-metal-backed glenoid component.. Journal of shoulder and elbow surgery / American Shoulder and Elbow Surgeons ... [et al.], 19(4), 624-631.
- Gohlke, F. & Hedtmann, A. (2002). Handbuch Orthopädie, Schulter. Thieme, Stuttgart.
- Kühlwetter, K., Lehmann, M. & Gokeler, A. (2007). Schulter-Schluss: Aktiv gegen den Schulterschmerz (German Edition) (1. Aufl. 2 ed). Steinkopff.
- Löffler, L. (2011). Konservative Therapie von subakromialem Impingement, Rotatorenmanschettenruptur und Omarthrose. Obere Extremität, 1-8.
- Maffulli, N., Longo, U. G., Gougoulias, N., Caine, D. & Denaro, V. (2011). Sport injuries: a review of outcomes.. British medical bulletin, 97(1), 47-80.
- Peterson, C. & Hodler, J. (2010). Evidence-based radiology (part 2): Is there sufficient research to support the use of therapeutic injections into the peripheral joints?. Skeletal radiology, 39(1), 11-18.
- Raiss, P., Pape, G., Becker, S., Rickert, M. & Loew, M. Der zementfreie Oberflächenersatz des Humeruskopfes bei Patienten unter 55 Jahren. Der Orthopäde.
- Saccomanni, B. (2009). Inflammation and shoulder pain--a perspective on rotator cuff disease, adhesive capsulitis, and osteoarthritis: conservative treatment.. Clinical rheumatology, 28(5), 495-500.
- Simmen, B., Schwyzer, H.-K., Flury, M. & Goldhahn, J. (2009). In-situ-Montage einer modularen, nichtzementierten Schulterprothese zur Wiederherstellung komplexer Schulteranatomie. Operative Orthopädie und Traumatologie, 21(1), 35-50.
- Singh, J. A., Sperling, J., Buchbinder, R. & McMaken, K. (2010). Surgery for shoulder osteoarthritis.. Cochrane database of systematic reviews (Online)(10).
- Wiater, J. M. & Fabing, M. H. (2009). Shoulder arthroplasty: prosthetic options and indications.. The Journal of the American Academy of Orthopaedic Surgeons, 17(7), 415-425.
- Wiedemann & E. (2006). Implantation einer Totalendoprothese bei der Omarthrose. Der Unfallchirurg, 109(12), 1085-1089.
- van der Heijden, G. J. (1999). Shoulder disorders: a state-of-the-art review.. Baillière`s best practice & research. Clinical rheumatology, 13, 287-309.