- Was ist ein Impingement des Sprunggelenkes?
- Ursachen für ein Impingement des Sprunggelenks
- Wie kann das Sprunggelenk-Impingement zu einer Arthrose führen?
- Diagnose des Sprunggelenk-Impingements
- Therapie bei Impingement des oberen Sprunggelenkes
- Erfahrung mit der Operation des Sprunggelenk-Impingements
- Übungen und Physiotherapie bei Sprunggelenk-Impingement
Impingement des oberen Sprunggelenks: Die knöchernen Anbauten am Schienbein (Tibia) und Sprungbein (Talus) führen zu einer Blockade des oberen Sprunggelenks (OSG). © Gelenk-Klinik
Ein Impingement im Sprunggelenk ist eine mechanische Blockade und somit eine Einschränkung der Beweglichkeit des Sprunggelenks (engl. to impinge: “anschlagen”). Die Patienten empfinden dieses Impingement des Sprunggelenks als stechenden Schmerz im Rückfuß oder im Sprunggelenk.
Meistens tritt der Schmerz bei bestimmten Bewegungen oder forcierten Streckungen des Fußes oder Sprunggelenks auf. Fußballer, Läufer und Tänzer sind besonders gefährdet. Die Blockade kann durch eine Vielzahl von Ursachen im Bereich der Weichteile oder der Knochen ausgelöst werden. Sprunggelenk-Impingements, die durch Bindegewebe verursacht werden, treten meist als Folge von Traumata und Unfällen auf.
Die Therapie des Sprunggelenk-Impingements richtet sich nach der Klassifikation nach Scranton. Die Einteilung gibt an, in welchem Ausmaß Knochenveränderungen vorhanden sind.
Was ist ein Impingement des Sprunggelenkes?
Welche Sprunggelenk-Impingements gibt es?
- Vorderes Impingement des Sprunggelenks: Tritt z. B. nach einer Bandverletzung am vorderen Ende des Sprungbeins auf und betrifft häufig Fußballer.
- Impingement der Syndesmose: Tritt nach einer Syndesmosenverletzung oberhalb des Sprunggelenkes auf.
- Fibulocalcaneares Impingement: Impingement zwischen Wadenbein und Fersenbein, z. B. durch eine Stellung des Fersenbeins nach innen (Varusstellung).
- Hinteres Sprunggelenk-Impingement: Tritt am hinteren Ende des Sprungbeins auf. Ursächlich ist meist eine knöcherne Fehlbildung, das sogenannte Os trigonum.
- Talocalcaneares Impingement: Impingement am unteren Sprunggelenk, das vor allem durch einen Knick-Senkfuß auftritt.
Der englische Begriff Impingement bedeutet, dass die normale Funktion eines Gelenks durch eine Blockade gestört ist. Das Sprunggelenk kann also seinen normalen Bewegungsablauf nicht mehr ausüben. Die Knochenveränderungen entstehen dabei immer zuerst auf der Seite des Schienbein und erst im weiteren Verlauf am gegenüberliegenden Sprungbein.
Bei einem Impingement im vorderen Bereich des Sprunggelenks spricht man auch von einem Soccer Player´s Ankle (Fußballergelenk). Sportler mit langjähriger Belastung des oberen Sprunggelenks im Rahmen von Kontaktsportarten wie Fußball leiden unter dieser Bewegungsblockade.
Anatomie des Sprunggelenks von vorne: Drei Knochen bilden das Sprunggelenk: Tibia (Schienbein) und Fibula (Wadenbein) gleiten über den Talus (Sprungbein). Jede schmerzhafte Einschränkung der Sprunggelenksbeweglichkeit vorne (anterior), hinten (posterior oder dorsal) oder seitlich (lateral) wird als Sprunggelenksimpingement bezeichnet. © Viewmedica
Ursachen für ein Impingement des Sprunggelenks
Ursachen:
- Verletzungen der Bänder
- Überlastung des Vorderrandes des oberen Sprunggelenks z. B. bei Fußballspielern
- Knochenfehlbildungen wie das Os trigonum des Sprungbeins
- Überbeweglichkeit des Sprunggelenks
- chronische Instabilität des Sprunggelenks
- Wucherungen des Bindegewebes durch wiederholte Traumata
- Knochensporne (Osteophyten) am vorderen Gelenkrand
- Fehlstellungen wie Knick-Senkfuß
Durch immer wiederkehrende kleine Verletzungen der vorderen Sprunggelenkkapsel entstehen Knochenanbauten (Osteophyten). Man spricht auch von sogenannten Traktionsosteophyten, also unter Zug entstehenden Knochenanbauten. Teilweise brechen diese ab und können als freie Gelenkkörper im vorderen Gelenkabschnitt die Beweglichkeit stören und das Sprunggelenk schädigen. In einigen Fällen entwickelt sich eine schwere Sprunggelenksarthrose, besonders wenn weitere ältere Verletzungen des Gelenkes vorhanden sind. Hier sind Bandverletzungen, Sprunggelenksbrüche und Knorpel-Knochen-Verletzungen wie bei der Osteochondrosis dissecans zu erwähnen. Ein Sprunggelenk-Impingement ist außerdem eine häufige Spätfolge bei fehlverheilten Sprunggelenksfrakturen.
Wie entsteht ein Impingement am Sprunggelenk?
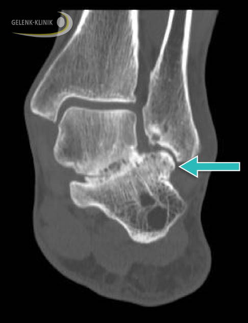
Fibulocalcaneares Impingement: Das Röntgenbild zeigt eine Einklemmung im oberen Sprunggelenk zwischen Wadenbein (Fibula) und Fersenbein (Calcaneus). © Gelenk-Klinik
Bei einem Impingement bilden sich je nach Ausmaß knöcherne Auswüchse am Schienbein und später auch am Sprungbein im vorderen Abschnitt des Sprunggelenks. An diesen Knochenvorsprüngen klemmen Weichteile wie die Gelenkschleimhaut oder Kapselanteile ein. Das Abrollen des oberen Sprunggelenkes (OSG) ist dann häufig schmerzhaft und die Beweglichkeit durch die Einklemmungen zunehmend eingeschränkt. Häufig leiden betroffene Sportler unter Sprunggelenkschmerzen beim Sport oder nach der Belastung. Die Freude am Sport wird hierdurch häufig zerstört.
Einschränkung der Beweglichkeit des Sprunggelenks durch einen Hohlfuß
Mit einem Hohlfuß (Pes excavatus), der ein stark erhöhtes Fußlängsgewölbe aufweist, geht häufig auch eine deutlich reduzierte Beweglichkeit des Sprunggelenks einher. Der Hohlfuß belastet durch die Steilstellung der Fußwurzelknochen den Vorfuß. Zusätzlich sorgt der hohe Spann für die Entstehung eines Impingements, wodurch die Beweglichkeit des Fußes nach oben (Dorsalextension) eingeschränkt wird.
Chronische Schmerzen nach Bandverletzung
Etwa 20 % aller Patienten entwickeln nach einer Distorsionsverletzung (Umknickverletzung) des Sprunggelenks chronische Schmerzen. Bei etwa 30 % dieser Patienten werden die chronischen Sprunggelenkschmerzen durch ein Impingement des Sprunggelenks verursacht. Damit ist ein schmerzhaftes Sprunggelenk-Impingement eine recht häufige Erscheinung. Das Umknicken des Sprunggelenks gehört zu den häufigsten Sportverletzungen überhaupt.
Knöcherne Ursachen von Sprunggelenkschmerzen
Beim Zehenspitzentanz befindet sich der Fuß in einer extremen Plantarflexion unter der Last des gesamten Körpers. Auf diese Weise kann ein dorsales Impingement entstehen. © Istockphoto
Eine relativ häufige Ursache eines knöchernen Konfliktes ist ein überzähliger (akzessorischer) Knochen, das sog. Os trigonum: Dieses Os trigonum ist bei den meisten Menschen mit dem Sprungbein verwachsen.
Wenn dieser Knochen hinter dem Talus abgetrennt vom Sprungbein vorliegt, entstehen aufgrund eines rückwärtigen (dorsalen) Impingements des Sprunggelenks häufig Rückfußschmerzen. Bestimmte Sportarten wie Ballett können dieses Syndrom verstärken.
Vor allem unter Sportlern ist das Sprunggelenk-Impingement ein relativ häufiger Grund für chronische Beschwerden, Schmerzen und Schwellungen am Sprunggelenk.
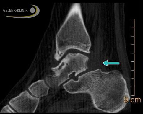
Aufsicht mit dem CT auf das Sprunggelenk von außen: Markiert (gelber Kreis) ist das dorsale Sprunggelenk mit dem hinteren Talusfortsatz. Dieser Fortsatz kann als Frakturfragment (Knochensplitter) abbrechen. Als Os trigonum kann dieser Fortsatz auch als akzessorischer Knochen zurückbleiben. Ein weiterer Kreis markiert das vordere Sprunggelenk. Hier sind meist Bandverletzung und Narbenbildung die Ursache des Impingements. © Von Hellerhoff - Eigenes Werk, CC BY-SA 3.0
Wie kann das Sprunggelenk-Impingement zu einer Arthrose führen?
Problematisch ist neben der Bewegungseinschränkung der häufig eintretende Knorpelschaden an der Oberfläche des Sprungbeins (Talus). Die Knochenanbauten (Osteophyten) hinterlassen teilweise deutliche Schliffspuren. Diese entstehen einseitig und können bei längerem Bestehen den Knorpel vollständig abnutzen. Die üblichen Mechanismen mit Entzündung der Gelenkschleimhaut durch den Knorpelabrieb und Reizung des Gelenkes fördern so im Verlauf die Arthrose im Sprunggelenk.
Diagnose des Sprunggelenk-Impingements
Wichtige Differentialdiagnosen:
- Achillodynie
- Entzündung der Peronealsehne
- Tarsaltunnelsyndrom
- Retrocalcaneare Bursitis (Schleimbeutelentzündung am Rückfuß)
- L5 oder S1 Radikulopathie (Nerveneinklemmung an der Wirbelsäule)
- Entzündung des Flexor hallucis longus
Bei der Diagnose des Impingements am Sprunggelenk liefert die klinische Untersuchung die ersten deutlichen Hinweise. Der Orthopäde achtet auf Fehlstellungen, Schwellungen und druckschmerzhafte Bereiche. Bei welchen Bewegungen wird das Sprunggelenk schmerzhaft? Welche Bewegungsrichtungen sind durch zunehmende Blockaden (Impingements) eingeschränkt? Durch den Schubladentest untersuchen wir eine mögliche Instabilität des Sprunggelenks durch Bandrupturen.
Vorderes Sprunggelenk-Impingement: Diese Form des Sprunggelenk-Impingements äußert sich durch Druckschmerz und Sensibilität im vorderen Bereich des Sprunggelenks. Typischerweise verstärkt sich dieser Schmerz beim Hochziehen (Dorsiflexion) des Fußes, wie z. B. beim Treppensteigen oder bergaufwärts Gehen. Dieses vordere Impingement wird auch dann schmerzhaft, wenn der Patient tief in die Hocke geht.
Hinteres Sprunggelenk-Impingement: Zeichen des dorsalen (hinteren) Impingements sind schwieriger zu lokalisieren, weil die Strukturen tiefer liegen. Ein knöchernes Impingement aufgrund eines trigonalen Fortsatzes oder Os trigonums führt zu hinten außen liegender Druckschmerzhaftigkeit. Druckschmerzhaftigkeit des Sprunggelenks hinten innen weist eher auf eine Entzündung des Flexor hallucis longus (FHL) hin. Eine typische Bewegung, bei der sich die Schmerzen des hinteren Impingements verstärken, ist die plantare Flexion, also durch ein Ausstrecken des Fußes nach unten, etwa wie beim Ballett-Spitzentanz.
Syndesmosen-Impingement: Vorne oberhalb des Sprunggelenks spüren die Patienten mit einem Impingement des Syndesmosenbandes eine teilweise extreme Druckschmerzempfindlichkeit. Durch eine Außenrotation des Sprunggelenks lässt sich dieser Schmerz über dem Sprunggelenk noch verstärken.
Fibulocalcaneares Impingement: Bei dieser Form des Sprunggelenk-Impingements verspürt der Patient bei der Abrollbewegung des Fußes oder beim Gehen auf der Außenseite Beschwerden und heftige Schmerzen. Diese Schmerzen sind vor dem äußeren Sprunggelenk (Knöchel) oder unter dem Außenknöchel lokalisiert.
Bildgebungen zur Feststellung eines Impingements im Sprunggelenk
Neben der klinischen Untersuchung des Sprunggelenks und einer umfassenden Einschätzung und Lokalisierung der Schmerzen liefern bildgebende Verfahren wie Röntgen und MRT (Magnetresonanztomographie) dem Arzt wichtige Hinweise auf ein mögliches Impingement im Sprunggelenk.
Jede Untersuchung beginnt mit einer Röntgenaufnahme in verschiedenen Ebenen. Das ist meistens ausreichend, um eine eindeutige Diagnose zu stellen. Alle knöchernen Ursachen des Sprunggelenk-Impingements, vor allem Osteophyten an den Gelenkflächen, Exostosen und alle Varianten des hinteren Fortsatzes des Talus (Processus trigonum) bis hin zu Frakturen, macht das Röntgenbild sichtbar.
Eine Ultraschalluntersuchung kann zudem die Weichteilsituation in der Umgebung des Sprunggelenks sehr gut zeigen. Diese Weichteile (Bindegewebe, Sehnen, Bänder, Fettgewebe, Schleimbeutel) werden von einem Röntgenbild nicht erfasst.
Um alle möglichen Umstände auszuschließen, ist in jedem Fall auch eine Magnetresonanztomographie hilfreich. Die MRT kann sehr gut Knochenveränderungen wie Ödeme, osteochondrale Läsionen (Knochen-Knorpel-Verletzungen), aber auch Sehnenentzündungen, Entzündungen der Gelenkschleimhaut und der Sehnenscheiden zeigen.
Das Röntgenbild in mehreren Ebenen zeigt knöcherne Veränderungen des Sprunggelenks, die typisch für ein Impingement sind. © Gelenk-Klinik
Therapie bei Impingement des Sprunggelenks
In vielen Fällen ist die konservative Therapie nicht geeignet, ein Sprunggelenk-Impingement zu therapieren. Für die Behandlung kommen vor allem minimalinvasive Eingriffe infrage. Im Rahmen einer Arthroskopie des Sprunggelenkes kann der Arzt die Diagnose sichern und gleichzeitig die Therapie durchführen. Er entfernt dabei Einklemmungen von Weichteilen wie Sehnen, Gelenkkapsel oder Gelenkschleimhaut. Mit einer speziellen Fräse trägt der Operateur die knöchernen Auswüchse ab. Dabei behandelt er die Knorpelschäden stadienabhängig.
Konservative Therapie zur symptomatischen Behandlung
Konservative Therapie
- NSAR (entzündungshemmende Medikamente wie z. B. Ibuprofen)
- Ruhigstellen
- Kühlung durch Eis
- Orthesen und Schuhzurichtung
- Physiotherapie und Fußschule
Je nach konkreter Ursache des Sprunggelenk-Impingements ist die konservative Therapie häufig nicht sehr erfolgreich bei der Beseitigung der Bewegungsblockaden. Vor allem bei bindegewebigen Veränderungen, knöchernen Impingements oder Bandinsuffizienzen kann die konservative Behandlung lediglich Symptome lindern.
Im Falle von Weichteil- und Sehnenentzündungen ist die medikamentöse Behandlung mit entzündungshemmenden nichtsteroidalen Antirheumatika häufig erfolgreich. Dazu kommt Ruhigstellung und bei schweren Entzündungen auch eine abschwellende Behandlung mit Eis (Kühlung). Bei einem vorderen Impingement kann eine Absatzerhöhung den vorderen Rand des Sprunggelenks entlasten.
Mithilfe der Physiotherapie können wir das Sprunggelenk bei Überbeweglichkeit stabilisieren. Eine Schulung der Propriozeption (auf Körperwahrnehmung beruhende Schutzreflexe gegen Umknicken) kann wiederholtes Umknicken verhindern und einige Fälle von Impingement nachhaltig verbessern.
Operative Therapie des Sprunggelenk-Impingements
In den meisten Fällen ist es möglich, die Gelenkblockade über einen minimalinvasiven, arthroskopischen Eingriff zu beseitigen. Wenn im Alltag schwere, schmerzhafte Einschränkungen auftreten und wenn die konservative Therapie über längere Zeit keine Erfolge gebracht hat, empfehlen wir die Operation des Impingements am Sprunggelenk. Zusätzlich muss die bildgebende Untersuchung eine eindeutige Pathologie aufzeigen.
Operation des vorderen (anterioren) Impingements
Beim vorderen Impingement muss der arthroskopische (minimalinvasive) Eingriff genau an den Befund angepasst sein. Pathologisches Gewebe muss entfernt und Knochensporne und Exostosen müssen abgetragen werden. Eine Gelenkschleimhautentzündung (Synovialitis) beseitigt der Operateur durch Gelenkspülung und Abtragen der entzündeten Gelenkschleimhaut. Fibrotisches Gewebe (Bindegewebswucherungen, Narbengewebe) an Bändern und Bindegewebe, die zu Einklemmungen führen, werden arthroskopisch abgetragen. Ebenso entfernen wir freie Gelenkkörper aus dem Sprunggelenk arthroskopisch.
Die arthroskopische Operation des vorderen Impingements am Sprunggelenk führt bei der überwiegenden Mehrzahl der Patienten mit Impingement – je nach Untersuchung 77–100 % – zu einer deutlichen klinischen Verbesserung. Der minimalinvasive operative Ansatz zur Beseitigung von Sprunggelenk-Impingements ist also sehr erfolgreich. Dabei ist die Komplikationsrate mit ca. 1,2 % niedrig. Es besteht also kein hohes Operationsrisiko durch die Sprunggelenksarthroskopie.
Dorsale (hintere) Sprunggelenksarthroskopie
Röntgenbild (seitlich) nach Entfernung des Os trigonum zur Therapie eines dorsalen Sprunggelenksimpingements (grüner Pfeil): Auch bei vollständiger Plantarextension (Ausstrecken) des Fußes kann nun hinter dem Sprungbein keine Enge durch Einklemmen des Knochenfragments (Os trigonum) mehr auftreten. © Dr. Thomas Schneider
Die Operation des hinteren Impingements erfolgt ähnlich wie beim vorderen Impingement. Sie ist jedoch seltener eine Weichteiloperation, sondern bei etwa 80 % aller Patienten mit Sprunggelenkschmerzen eine knöcherne Korrektur der krankheitsverursachenden Anatomie.
Wenn der Schmerz am hinteren Sprunggelenk durch eine knöcherne Deformation verursacht ist, dann hilft meistens die Entfernung der entsprechenden Fehlbildung. Dabei gibt es unterschiedliche operative Zugänge: Die Operation des hinteren Impingements am Sprunggelenk kann offen, also mit einem größeren Schnitt, oder arthroskopisch (minimalinvasiv) erfolgen. Die Einschränkungen durch die Operation sind beim minimalinvasiven Vorgehen natürlich wesentlich geringer, weil kein offener Schnitt erforderlich ist. Diese schonende hintere Sprunggelenksarthroskopie wird in Bauchlage oder Seitenlage des Patienten durchgeführt.
Neben einer Vielzahl knöcherner Fehlbildungen werden so auch Weichteilimpingements am Sprunggelenk behandelt: Vernarbungen, eine verdickte hintere Gelenkkapsel, freie Gelenkkörper (Loose bodys) oder Verkalkungen.
Bei richtiger Indikationsstellung geben in Studien fast 100 % der behandelten Patienten eine deutliche klinische Verbesserung nach einer arthroskopischen Operation des hinteren Impingements am Sprunggelenk an. Dabei kehren arthroskopisch behandelte Patienten etwa 4 Wochen früher zur vollen Aktivität zurück als offen operierte Patienten (Studie)
Erfahrung mit der Operation des Sprunggelenk-Impingements
Als zertifiziertes Zentrum für Fuß- und Sprunggelenkschirurgie ist die Gelenk-Klinik auf Operationen des Sprunggelenks spezialisiert. Das Zertifikat bescheinigt uns höchste Qualität in Patientenberatung, Diagnose, Operation und Nachsorge bei Erkrankungen und Verletzungen am Fuß oder Sprunggelenk. Unsere Spezialisten für Operationen bei Sprunggelenk-Impingement sind Dr. Thomas Schneider und Dr. Martin Rinio.
Übungen und Physiotherapie bei Sprunggelenk-Impingement
Die klassische Therapie des Sprunggelenk-Imgingements ist der minimalinvasive Eingriff. Trotzdem sollte immer zuerst ein konsequenter konservativer Behandlungsversuch erfolgen, wenn die Diagnostik eine mögliche Besserung verspricht. Dies gilt vor allem dann, wenn Instabilitäten im Sprunggelenk zur Entstehung der Beschwerden und der Symptomatik beitragen.
An diesem Punkt helfen physiotherapeutische Maßnahmen mit Propriozeptions-, Gleichgewichts- und Koordinationstraining. Manuelle Therapien, physikalische Maßnahmen und Elektrotherapie können die Behandlung ergänzen.
Folgende Übungen können Sie nach Rücksprache mit Ihrem Orthopäden zu Hause absolvieren. Seien Sie sehr aufmerksam bei der Durchführung der Übungen. Treten während einer Übung Schmerzen auf, sollten diese unmittelbar danach wieder nachlassen. Ist dies nicht der Fall, lassen Sie die Übung bis auf Weiteres weg und halten Sie Rücksprache mit Ihrem Arzt oder Physiotherapeuten.
Übung 1: Fußstellung variieren
Ausgangsstellung: Stehen Sie vor einem Spiegel. Die Knie sind leicht gebeugt.
Ausführung: Beobachten Sie Ihre Fußstellung beim Belasten des Fußinnenrandes und beim Belasten des Fußaußenrandes.
Diese Übung dient der Selbstwahrnehmung. Versuchen Sie, die Auswirkung der Beinbewegungen auf die Fußstellung zu spüren.
Absolvieren Sie mindestens 10 Wiederholungen, aber nur bis zur Ermüdung. Im Zweifel fragen Sie Ihren Arzt oder Physiotherapeuten.
Belastung des Fußes auf der Außenkante. © Gelenk-Klinik
Belastung des Fußes auf der Innenkante. © Gelenk-Klinik
Übung 2: isolierte Kräftigung bei Instabilität der Innenbänder
Übung zur Kräftigung der Innenbänder und der Tibialis-posterior-Sehne. © Gelenk-Klinik
Übungsziel: Kräftigung der Tibialis-posterior-Sehne.
Hilfsmittel: Theraband.
Ausgangsstellung: Wickeln Sie im Sitzen ein Gymnastikband so um den Vorfuß, dass der Zug des Bandes von außen kommt. Der Fuß wird in Vorspannung (leichte Spannung auf dem Gymnastikband) positioniert.
Durchführung: Ziehen Sie das Band mit dem Fuß nach innen. Der Fuß sollte zu Beginn der Übung leicht ausgestreckt sein. Die Zehen können verstärkend mitaktiviert werden. Ein Einkrallen ist möglich. Auf der Innenseite des Unterschenkels sollten Sie eine Anspannung fühlen. Diese lässt sich auch tasten.
Wiederholen Sie die Dehnung 15-mal und führen Sie 2 bis 3 Sätze durch. Zwischen jedem Satz sollten etwa 30 Sekunden Pause liegen. Absolvieren Sie die Übung an 2 bis 3 Tagen pro Woche.
Übung 3: Einbeinstand zur Verbesserung der Koordination im Sprunggelenk
Übungsziel: Verbesserung der Koordination und Kräftigung der Fuß- und Beinmuskulatur
Ausführung: Bringen Sie Ihr Körpergewicht im Stehen auf den betroffenen Fuß und achten Sie darauf, dass die Ferse gerade ist (Achillessehne steht senkrecht). Das Fußgewölbe ist aufgerichtet. Das leicht gebeugte Knie befindet sich lotrecht über dem Vorfuß. „Tappen“ Sie nun mit dem freien Bein in einem Dreieck hin und her. Achten Sie darauf, dass das Standbein stabil stehen bleibt.
Absolvieren Sie mindestens 10 Wiederholungen, aber nur bis zur Ermüdung. Im Zweifel fragen Sie Ihren Arzt oder Physiotherapeuten.
Mit dem Fuß nach vorne tappen. © Gelenk-Klinik
Mit dem Fuß zur Seite tappen. © Gelenk-Klinik
Mit dem Fuß nach hinten tappen. © Gelenk-Klinik
Übung 4: Stand auf weichem Untergrund
Übungsziel: Verbesserung der Koordination im Sprunggelenk.
Hilfsmittel: schräggestellte Matte/Kissen.
Ausgangsstellung: Stehen Sie hüftbreit mit leicht gebeugten Knien. Die Arme hängen locker neben dem Körper.
Ausführung: Bleiben Sie möglichst ruhig auf der Fläche stehen. Variieren Sie die Beugestellung der Kniegelenke.
Absolvieren Sie mindestens 10 Wiederholungen, aber nur bis zur Ermüdung. Im Zweifel fragen Sie Ihren Arzt oder Physiotherapeuten.
Steigerung: Führen Sie die Übung im Einbeinstand durch.
Achtung: Die nach vorne geneigte Matte eignet sich nicht bei einem posterioren Impingement im Sprunggelenk. Wenn Sie sich unsicher sind, halten Sie Rücksprache mit Ihrem Arzt oder Physiotherapeuten.
Die Knie sind leicht gebeugt. © Gelenk-Klinik
Veränderung der Beugestellung der Kniegelenke. © Gelenk-Klinik
Übung 5: Kräftigung der Außenbänder
Übungsziel: Kräftigung des Musculus peroneus tertius und der Zehenstrecker.
Hilfsmittel: Theraband.
Ausgangsstellung: Sitz auf einem Stuhl mit ausgestreckten Bein. Befestigen Sie eine Gummibandschleife vor dem Fuß in Verlängerung des Beines. Der Fuß wird in Vorspannung positioniert.
Ausführung: Ziehen Sie das Band mit dem Fuß nach oben. Wichtig ist hierbei die Hebung des Fußaußenrandes. Der Fuß sollte zu Beginn der Übung leicht ausgestreckt sein und dann kontinuierlich angezogen werden.
Überprüfung: Der markierte Bereich an der Unterschenkelinnenseite muss sich bei der Übung spürbar anspannen.
Fuß in Vorspannung positionieren. © Gelenk-Klinik
Band mit dem Fuß nach oben ziehen. © Gelenk-Klinik
Übung 6: Seitsprünge zur Kräftigung der Fuß- und Beinmuskulatur
Übungsziel: Verbesserung der Koordination und Kräftigung der Fuß- und Beinmuskulatur.
Ausführung: Springen Sie zunächst langsam von einem auf das andere Bein. Achten Sie darauf, dass der Fuß stabil bleibt und nicht zu sehr wegknickt. Steigern Sie das Tempo.
Belastung des rechten Fußes. © Gelenk-Klinik
Belastung des linken Fußes. © Gelenk-Klinik
Übung 7: Verbesserung der Schutzreflexe im Sprunggelenk
Übungsziel: Verbesserung der Koordination und der Schutzreflexe im Sprunggelenk.
Ausgangsstellung: hüftbreiter Stand auf einem Kreisel
Ausführung: Balancieren Sie Ihr Gleichgewicht auf dem Kreisel aus. Am Anfang bietet es sich an, sich mit den Händen an einem Geländer o. Ä. festzuhalten.
Fortgeschrittene können die Schwierigkeit erhöhen, indem Sie:
- Einen schwereren Ball zwischen den Händen mit großen Bewegungen hin- und hergeben. Achten Sie darauf, dass Rumpf und Beine dabei stabil stehen bleiben.
- Leichte Kniebeugen machen.
- Das Gewicht des Oberkörpers verändern, indem Sie sich langsam in der Hüfte beugen und strecken.
- Die Übungen einbeinig durchführen.
Gleichgewicht auf dem Kreisel ausbalancieren. © Gelenk-Klinik
Übung einbeinig durchführen, um die Schwierigkeit zu erhöhen. © Gelenk-Klinik
Übung 8: seitlicher Zug mit dem Theraband zur Stabilisierung des Sprunggelenks
Ausgangsstellung: Befestigen Sie das Gymnastikband dicht über dem Boden an einem stabilen Haltepunkt (z. B. Heizung). Nehmen Sie das andere Ende des Gymnastikbandes in die Hand. Stellen Sie sich nun so seitlich zum Ankerpunkt, dass das betroffene Bein näher am Haltepunkt ist. Ihr Körpergewicht lastet auf dem betroffenen Bein.
Durchführung: Ziehen Sie mit dem Arm der nicht betroffenen Seite das Gymnastikband nach schräg oben außen. Achten Sie darauf, dass das Knie des Standbeines immer lotrecht über dem Fuß bleibt und nicht nach innen fällt. Knicken Sie mit dem Fuß nicht nach innen weg.
Ausgangsposition einnehmen. © Gelenk-Klinik
Seitlicher Zug mit dem Theraband im Einbeinstand. © Gelenk-Klinik
Übung 9: Gewölbe bauen
Diese Übung eignet sich vor allem beim fibulocalcanearen Impingement (Impingement zwischen Wadenbein und Fersenbein).
Übung bei Impingement im Sprunggelenk: Gewölbe bauen. © Gelenk-Klinik
Übungsziel: Kräftigung der kurzen Fußmuskulatur zur Verbesserung des Längsgewölbes.
Ausgangsstellung: Sitz. Der Fuß ist unbelastet und flächig auf dem Boden platziert.
Ausführung: Ziehen Sie die Zehengrundgelenke kräftig zurück in Richtung Ferse. Sie können beobachten, wie sich das Fußlängsgewölbe hebt. Achten Sie darauf, dass Sie nicht mit den Zehen krallen und dass Groß- und Kleinzehenballen Kontakt zum Boden haben.
Führen Sie 1–2 Minuten eine rhythmische, federnde Bewegung durch.
Übung 10: Kräftigung der kurzen Fußmuskulatur
Übung bei Sprunggelenk-Impingement: Kräftigung der kurzen Fußmuskulatur. © Gelenk-Klinik
Übungsziel: Kräftigung des Längsgewölbes.
Ausgangsstellung: Stand. Das eine Ende des Gymnastikbandes ist unter dem äußeren Drittel der Ferse platziert, das andere Ende unter dem Großzehengrundgelenk. Bringen Sie nun das Gymnastikband auf Spannung.
Ausführung: Achten Sie darauf, dass Sie besonders an den Punkten des Gymnastikbandes fest verwurzelt sind. Auch die Kleinzehenballen und die Zehen sollten einen satten Kontakt zum Boden haben. Richten Sie Ihr Längsgewölbe auf, ohne die Enden des Gymnastikbandes zu verlieren.
Literaturangaben
- Best, R., & Ahrens, P. (2018). Impingement-Syndrom des oberen Sprunggelenks. Arthroskopie, 31(2), 134–140.
- Buchhorn, T., Koch, M., Weber, J., & Ziai, P. (2016). Impingement des oberen Sprunggelenks. Der Unfallchirurg, 119(2), 115–119.
- Chiereghin, A., Martins, M. R., Gomes, C. M., Rosa, R. F., Loduca, S. M. & Chahade, W. H. (2011). Posterior ankle impingement syndrome: a diagnosis rheumatologists should not forget. Two case reports. Revista brasileira de reumatologia, 51(3), 286–288.
- Galla, M. & Lobenhoffer, P. (2011). Technique and results of arthroscopic treatment of posterior ankle impingement. Foot and ankle surgery, 17(2), 79–84.
- Lamontagne, M., Brisson, N., Kennedy, M. J. & Beaulé, P. E. (2011). Preoperative and postoperative lower-extremity joint and pelvic kinematics during maximal squatting of patients with cam femoro-acetabular impingement. The Journal of bone and joint surgery. American volume, 93 Suppl 2, 40–45.
- Mansour, R., Jibri, Z., Kamath, S., Mukherjee, K. & Ostlere, S. (2011). Persistent ankle pain following a sprain: a review of imaging. Emergency radiology, 18(3), 211–225.
- Mavrogenis, A. F., Dimitriou, R., Benetos, I. S., Korres, D. S. & Papagelopoulos, P. J. (2010). Juxta-articular osteoid osteoma of the talar neck: a case report. Clinics in podiatric medicine and surgery, 27(4), 629–634.
- Milos, R. I., Fritz, L. B., & Schueller-Weidekamm, C. (2017). Impingement-Syndrom des oberen Sprunggelenks. Der Radiologe, 57(4), 309–326.
- Moon, J.-S., Lee, K., Lee, H.-S. & Lee, W.-C. (2010). Cartilage lesions in anterior bony impingement of the ankle. Arthroscopy: the journal of arthroscopic & related surgery, 26(7), 984–989.
