- Warum kann eine Umstellungsosteotomie den Verschleiß im Knie verlangsamen?
- Wie kann die Umstellungsosteotomie einen Kniegelenkersatz (Endoprothese) hinauszögern oder idealerweise verhindern?
- Welche Diagnostik wird für eine Umstellungsosteotomie durchgeführt?
- Wie führt der Orthopäde eine Umstellungsoperation durch?
- Reha und Nachbehandlung nach einer Umstellungsosteotomie
- Postoperative Übungen für das Knie
- Wann darf ich nach einer Umstellungsosteotomie des Knies wieder Sport treiben?
Die Beinachse jedes Menschen ist individuell geformt und es gilt: Nicht jede Beinachse ist komplett gerade. Allerdings können ausgeprägte Fehlstellungen der Beine dazu führen, dass das Kniegelenk einseitig belastet wird.
Die häufigsten angeborenen Fehlstellungen sind das O-Bein (Genu varum) und das X-Bein (Genu valgum). Bei diesen Fehlstellungen wird vor allem der innere (O-Bein) oder der äußere Gelenkknorpel (X-Bein) über Jahre hinweg durch die Fehlbelastung verschlissen. Unbehandelt können solche Deformitäten der Beinachse zu einer schweren Kniearthrose führen.
Achsveränderungen des Beines sind nicht immer angeboren, sondern entstehen auch als Folge von Unfällen. So können ein Kreuzbandriss mit nachfolgender Instabilität oder ein fehlerhaft verheilter Knochenbruch des Schienbeinkopfes (Tibiakopffraktur) eine Fehlbelastung im Kniegelenks auslösen.
Die Umstellungsosteotomie (Achskorrektur) des Knies zählt zu den gelenkerhaltenden Operationen und korrigiert die Beinachse des Patienten. Mit diesem Eingriff beseitigt der orthopädische Kniespezialist die Fehlbelastung im betroffenen Kniegelenk. Das Bein wird dazu nahe an die normale Beinachse ausgerichtet. Ein arthrotischer Gelenkverschleiß wird auf diese Weise idealerweise aufgehalten, zumindest aber verlangsamt.
Warum kann eine Umstellungsosteotomie den Verschleiß im Knie verlangsamen?
Fehlstellungen im Kniegelenk verändern die Belastungssituation des Knies und können zu Knorpelschäden führen. Eine Umstellungsoperation im Kniegelenk kann die Last, die beim Stehen und Gehen auf einen kleinen Bereich der Knorpelflächen wirkt, wieder gleichmäßig verteilen. Auf diese Weise verlängert sich die Lebensdauer des Gelenkknorpels.


Eine Achskorrektur des Kniegelenks ist auch dann noch sinnvoll, wenn bereits erste Schäden am Knorpel eingetreten sind. Der Fortschritt der Arthrose im Kniegelenk verlangsamt sich durch die teilweise Entlastung und die Patienten berichten von deutlich weniger Schmerzen.
Die Spezialisten der Gelenk-Klinik führen achskorrigierende Operationen am Kniegelenk mit minimalinvasiven Operationsmethoden durch. Eine Operation entlastet die geschädigten Knorpelanteile, indem die Beinachse und damit die Richtung der Kniebelastung verändert wird.
Wie kann die Umstellungsosteotomie einen Kniegelenkersatz (Endoprothese) hinauszögern oder idealerweise verhindern?
Der Erhalt des eigenen Kniegelenkes ist immer dem Einsatz einer Knieteilprothese oder Knieendoprothese (TEP) vorzuziehen. Eine operative Umstellungsosteotomie bewahrt die natürliche Funktion des Kniegelenks, da der Kniespezialist im Gelenk selbst keine Veränderung vornimmt.
Die Gesundheit der Gelenkflächen im Knie ist davon abhängig, dass der Knorpel nicht übermäßig belastet wird. Zu stark belasteter Gelenkknorpel stirbt mit der Zeit ab. Es entstehen Knorpelschäden und langfristig entwickelt sich eine schmerzhafte Arthrose im Kniegelenk.
Bei der gelenkerhaltenden Kniechirurgie schalten die Ärzte der Gelenk-Klinik diejenigen Faktoren aus, die zu einer lokalen Überlastung des Gelenkknorpels führen. Eine der Hauptursachen für Arthrose im Kniegelenk sind das X- oder das O-Bein. Durch diese recht häufigen Fehlstellungen lastet jeweils zu viel Gewicht auf dem inneren oder dem äußeren Teil des Kniegelenkes. Folge dieser Überlastung ist eine übermäßige Knorpelabnutzung im betroffenen Bereich des Gelenks.
Eine Umstellungsoperation korrigiert die Achse des Kniegelenkes. So wird die Last auf den Knorpelflächen beim Stehen und Gehen wieder regelgerecht umverteilt. Die lokale Überlastung sinkt. Mithilfe einer Beinachsenkorrektur lässt sich in vielen Fällen der Einsatz eines künstlichen Kniegelenkes umgehen oder zumindest hinauszögern.
Welche Diagnostik wird für eine Umstellungsosteotomie durchgeführt?

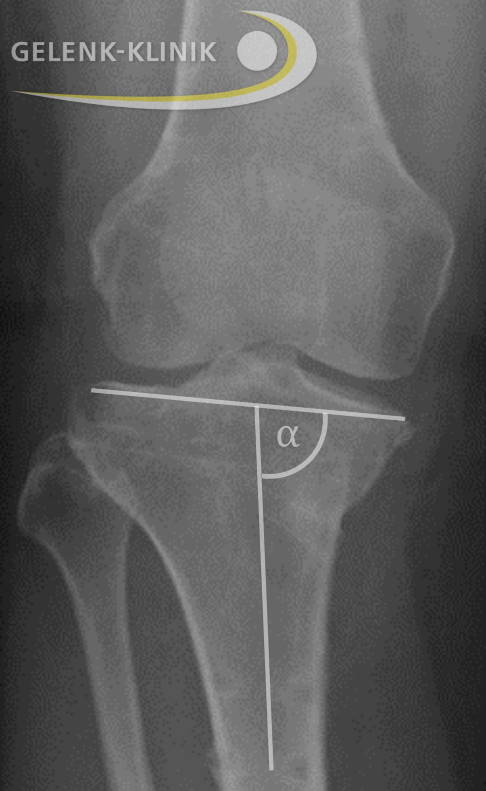
Im ersten Schritt erfasst der Orthopäde die vorliegende Fehlstellung der Beinachse in einer ausführlichen klinischen Untersuchung. Dabei schätzt er die Beinachse im Stehen inspektorisch ein. Röntgenaufnahmen des gesamten Beins von Hüfte bis Fuß lassen das Ausmaß der Achsabweichung exakt bestimmen. Anhand der Bilder kann der Orthopäde die notwendigen Korrekturen planen.
Zusätzlich fertigt der Orthopäde eine Magnetresonanztomografie (MRT) des Kniegelenkes an. Daran kann er Meniskusschäden erkennen und örtlich begrenzte (fokale) Knorpelschäden von flächigen Knorpelveränderungen abgrenzen. Begrenzte Knorpelschäden können im Rahmen einer Gelenkspiegelung (Arthroskopie) geglättet werden.
Wie führt der Orthopäde eine Umstellungsoperation durch?
Externer Inhalt von youtube.com
Planung der Achskorrektur
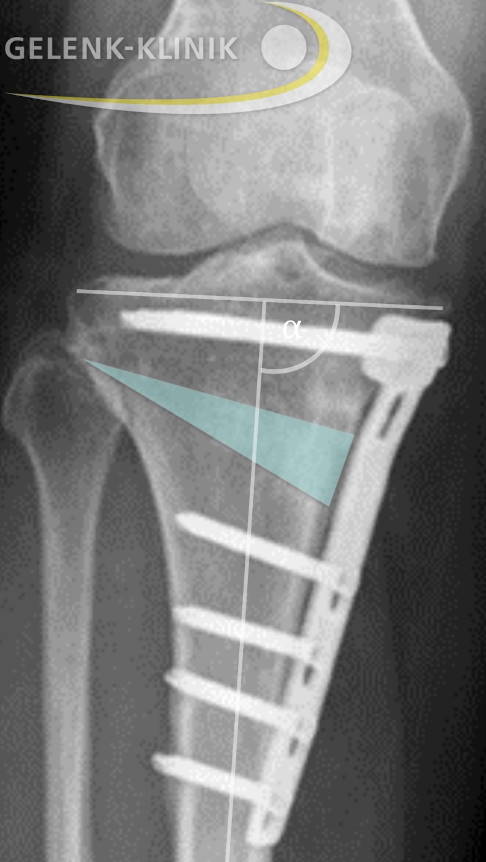
Die Technik zur Korrektur bzw. Umstellung der Beinachse ist abhängig vom genauen Ort der Fehlstellung. Am häufigsten ist der kniegelenknahe Anteil des Schienbeins (proximale Tibia) betroffen. Nur etwa 10 % der Fehlstellungen entfallen auf den unteren Anteil des Oberschenkelknochens (distaler Femur). Dies erfasst der Operateur vor einem Eingriff durch exakte Bestimmung der Beinachse und der Gelenkwinkel.
Ablauf der Achskorrektur
Bei einer O-Bein-Stellung fällt die Gelenklinie im Verhältnis zum Schaft des Unterschenkels häufig zu stark ab. In diesem Fall öffnet man das OP-Gebiet auf der Knieinnenseite am Schienbeinkopf.
Bei einer X-Bein-Stellung ist die Ursache häufiger in einer Fehlstellung des distalen Femurs (körperferner Anteil des Oberschenkelknochens) zu finden. Entsprechend sollte dann auch am Ort der Fehlstellung – also am Oberschenkelknochen – korrigiert werden. Je nach Zugang kann dies öffnend oder schließend erfolgen.
Die öffnende oder Open-Wedge-Technik


Bei der O-Bein-Stellung wird das Schienbein (Tibia) über einen Schnitt auf der Innenseite des kniegelenknahen Unterschenkels fast komplett durchtrennt. Nachfolgend klappt der Orthopäde das Schienbein schonend keilformig auf, bis die gewünschte Position erreicht ist. Eine spezielle winkelstabile Platte aus Titan und Schrauben sichert und fixiert diesen Schnitt im Knochen. Den Eingriff bezeichnet man als öffnende Umstellungsosteotomie oder Open-Wedge-Technik.
Operative Umstellungen werden stationär in der Gelenk-Klinik durchgeführt und die Fachärzte für Kniegelenksoperationen betreuen die Patienten während des gesamten Krankenhausaufenthaltes von der Diagnostik über die Operation bis hin zur Nachsorge.
Kombination mit knorpelregenerativen Verfahren
Die Achskorrektur kann als Methode für sich allein bei überlastungsbedingten Beschwerden gute Erfolge erzielen. Zusätzlich kann sie als Verfahren bei knorpelregenerativen Methoden eingesetzt werden. Die operative Umstellungsosteotomie entlastet das Gelenk mit dem geschädigten Bereich und gewährleistet so eine verbesserte Knorpelregeneration.
In Kombination mit einer autologen Knorpelzelltransplantation (ACT) erzielt eine Korrektur der Beinachse von bereits wenigen Graden einen deutlichen, positiven Effekt auf die arthrotischen Veränderungen und die Schmerzen der Patienten.
Achskorrektur bei chronischer Bandinstabilität
Ziel einer Beinachsenkorrektur – mit und ohne knorpelregeneratives Verfahren – ist die Entlastung des schmerzenden und geschädigten Gelenkanteils. Die untere Gelenkfläche des Knies ist normalerweise leicht nach hinten geneigt. Dies bezeichnet man als tibialen Slope.
Eine Veränderung des Slopes kann im Kniegelenk zu Instabilität führen. Bei einer chronischen Verletzung des hinteren Kreuzbandes entsteht solch ein instabiler Zustand im Kniegelenk. Der Unterschenkel rutscht gegenüber dem Oberschenkel nach hinten weg. Eine Erhöhung des tibialen Slopes im Rahmen einer Achskorrektur kann diese Problematik korrigieren.
Bei Kombinationsschädigungen des hinteren Kreuzbandes und einer mäßigen Arthrose im inneren Gelenkanteil kann die Achs- und Slopekorrektur eine sinnvolle Maßnahme sein, um dem Patienten zu weniger Knieschmerzen und gleichzeitig besserer Stabilität im Knie zu verhelfen.
Sonderfall: Ich habe ein O-Bein, aber eine Beinachsenkorrektur ist nicht möglich
Häufig berichten Patienten über folgende Situation: Sie hatten zeitlebens gerade Beine, die sich dann aber in den letzten Jahren zu einem O- oder X-Bein verändert haben.
In diesen Fällen liegt der Grund der Fehlstellung nicht in einer veränderten knöchernen Anatomie, sondern in einer Arthrose des inneren (O-Bein) oder äußeren (X-Bein) Gelenkanteils des Knies. Der zunehmende Verschleiß des Gelenkknorpels im Knie führt in diesen Fällen zu einem einseitigen Höhenverlust des Gelenkspaltes. Die Gelenkflächen liegen dann schräg aufeinander und eine Achsfehlstellung des Beines resultiert.
Eine Achskorrektur hilft in diesem Fall nicht weiter, da sich die Ursache für die Fehlstellung im Gelenk befindet. In diesen Fällen ist häufig die Implantation einer Knieprothese (Schlittenprothese) möglich. Dieses kleine Kunstgelenk behebt die Ursache der Schmerzen, in dem es den geschädigten Gelenkknorpel ersetzt. Gleichzeitig wird die Beinachse korrigiert, da das Gelenk wieder seine ursprüngliche Gelenkspaltweite und Bandspannung zurückerhält.


Reha und Nachbehandlung nach einer Umstellungsosteotomie im Knie
Wichtig für die Reha des betroffenen Kniegelenks:
- Eine Achskorrektur kann die Ansätze der Kollateralbänder (Seitenbänder des Kniegelenks) und die stabilisierenden Muskeln reizen.
- Der Patient sollte das Kniegelenks nur im erlaubten Ausmaß und auch nicht zu forciert beugen, da sonst die Gefahr eines Reizergusses entsteht.
Der Krankenhausaufenthalt dauert in der Gelenk-Klinik in der Regel 3 bis 5 Tage. Bei isolierten Achskorrekturen ohne begleitende Behandlungen (z. B. von Knorpelschäden) ist das operierte Bein sofort nach dem Eingriff frei beweglich. Die behandelnden Ärzte empfehlen eine Teilbelastung für mehrere Wochen.
Noch in der Klinik machen die Patienten Übungen zur Thromboseprophylaxe und eine Gangschulung, um die Teilbelastung optimal nutzen zu können. Isometrische Anspannungsübungen für den vorderen Oberschenkelmuskel (M. quadriceps) beugen einer Atrophie dieses Muskels vor.
Fanden begleitende Eingriffe am Knorpel statt wie eine Knorpelzelltransplantation, kann es erforderlich sein, dass die Nachbehandlung mit eingeschränkter Beweglichkeit und Belastung erfolgt.
Physiotherapie und medizinisches Training nach dem Eingriff unterstützen die Heilung und können in unserem Therapiezentrum Gelenk-Reha Gundelfingen terminiert und durchgeführt werden.
Etwa 4 Wochen nach der Umstellungsosteotomie erfolgt eine Röntgenkontrolle. Danach kann der Patient stückweise zur Vollbelastung des operierten Beins übergehen. Spätestens nach 6 Wochen sollte die Vollbelastung erreicht sein. Dann ist auch das Training an Geräten zum Muskelaufbau gut möglich. 12 bis 18 Monate nach der Umstellungsosteotomie entfernt der Orthopäde die eingesetzten Platten und Schrauben.
Heilungsdauer: Wann kann ich nach der Operation mein Knie wieder belasten?
Bereits am Operationstag dürfen die Patienten ihr Kniegelenk mit reduziertem Körpergewicht belasten (Teilbelastung).
Eine Vollbelastung empfiehlt der behandelnde Arzt in der Regel nach ca. 4 bis 6 Wochen. Dies ist auch abhängig davon, ob begleitende Eingriffe wie beispielsweise eine Knorpelzelltransplantation stattfandenMittels physiotherapeutischer Übungen können Sie den Stoffwechsel verbessern und damit die Heilung beschleunigen.
Postoperative Übungen für das Knie
Übungen ab dem ersten Tag nach OP
Die folgenden Übungen können bereits ab dem ersten Tag nach der Operation durchgeführt werden. Sie unterstützen damit den Stoffwechsel und beugen einer Muskelatrophie des vorderen Oberschenkelmuskels vor.
Übung 1: Thromboseprophylaxe
Übungsziel: Unterstützung der Venenfunktion und damit ein besserer Stoffwechsel im Bein.
Ausgangsstellung: Rückenlage, beide Beine sind gestreckt.
Durchführung: Drücken Sie das Knie durch, während Sie im Sekundenrhythmus Zehen und Sprunggelenk vollständig strecken und wieder heranziehen.
Führen Sie 3 x 20 Wiederholungen mehrmals über den Tag verteilt durch.


Übung 2: Isometrie
Übungsziel: Durch diese Übung beugen Sie einer verstärkten Abnahme der Muskelkraft und -masse des vorderen Oberschenkelmuskels (M. quadriceps) vor.
Ausgangsstellung: Rückenlage, beide Beine sind ausgestreckt.
Durchführung: Ziehen Sie die Fußspitzen an. Drücken Sie anschließend das Knie durch und spannen Sie den Oberschenkelmuskel an. Atmen Sie dabei ruhig und gleichmäßig. Die Spannung des vorderen Oberschenkelmuskels sollte deutlich spürbar und tastbar sein. Achten Sie darauf, nicht die Füße oder Fersen gegen einen festen Widerstand, z. B. einen festen Boden, zu drücken.
Halten Sie die Spannung ca. 10 Sekunden und wiederholen Sie die Übung 3-mal. Führen Sie diese Übung mehrmals über den Tag verteilt aus.

Übung 3: Verbesserung der Streckung
Übungsziel: Erhalt oder Verbesserung der Streckfähigkeit des Kniegelenkes.
Ausgangsstellung: Rückenlage, wobei das betroffene Bein ausgestreckt ist. Ist eine volle Kniestreckung noch nicht möglich, können Sie ein zusammengerolltes weiches Handtuch unter die Kniekehle legen.
Durchführung: Ziehen Sie die Zehenspitzen an und drücken Sie das Knie auf die weiche Handtuchrolle bzw. den Boden. Versuchen Sie, die Kniekehle in den Boden zu drücken. Halten Sie diese Position für 5 bis 10 Sekunden und kehren Sie anschließend wieder in die Ausgangsstellung zurück.
Wiederholen Sie die Übung 10-mal. Dies entspricht einem Satz. Führen Sie 2–3 Sätze durch mit jeweils circa 30 Sekunden Pause zwischen den Sätzen. Üben Sie 1- bis 2-mal pro Tag.

Übungen zur Stabilisation und Koordination des Kniegelenks
Nach dem Erreichen der Vollbelastung liegt das Augenmerk der Behandlung nun auf dem Kraftaufbau, dem Training physiologischer Bewegungsabläufe und der Stabilität. Auf diese Weise stellen Sie den Erfolg des Eingriffs langfristig sicher. Beachten Sie, dass Sie diese Übungen nur nach ärztlicher Freigabe aller Bewegungen und Belastungsstufen durchführen dürfen.
Das Knie und somit das ganze Bein und der gesamte Körper müssen sich an die neue Beinachse und die optimierte Statik gewöhnen. Dazu macht es Sinn, die Gelenkwahrnehmung zu verbessern und die Kommunikation zwischen Gehirn und Muskulatur zu fördern.
Übung 4: Einbeinstand auf weichem Untergrund

Übungsziel: Durch diese Übung verbessern Sie die Propriozeption, also das Zusammenspiel zwischen Muskeln und Gehirn.
Ausgangsstellung: Einbeinstand auf weichem Untergrund (z. B. Handtuch, Kissen oder Matratze). Sind Sie zu unsicher, beginnen Sie die Übung auf festem Boden oder verwenden eine stabile Stütze.
Durchführung: Heben Sie das nicht betroffene Bein nach vorne oben und ziehen Sie die Fußspitzen an. Der Oberkörper bleibt dabei aufrecht. Achten Sie darauf, dass Knie und Füße nicht nach innen fallen. Halten Sie die Position für ca. 5 Sekunden und gehen Sie dann wieder in die Ausgangsposition zurück.
Wiederholen Sie die Übung pro Bein 10-mal. Dies entspricht einem Satz. Führen Sie 2–3 Sätze durch mit jeweils circa 30 Sekunden Pause zwischen den Sätzen. Üben Sie 2- bis 3-mal pro Woche.
Übung 5: Ausfallschritt

Übungsziel: Kräftigung der Oberschenkelmuskulatur und Gleichgewichtstraining.
Ausgangsstellung: Stand.
Durchführung: Stellen Sie das nicht betroffene Bein nach hinten und etwas nach außen. Beugen Sie das zu trainierende Bein leicht. Der Beugewinkel sollte dabei 40 Grad nicht überschreiten. Das Knie sollte bei der Ausführung nicht nach innen oder außen fallen und nicht über die Fußspitzen hinausragen. Halten Sie die Position 3 bis 5 Sekunden und kehren Sie anschließend in die Ausgangsposition zurück.
Variante für Fortgeschrittene: Sie können die Belastung vergrößern, indem Sie das Knie des hinteren Beines möglichst tief in Richtung Boden bewegen (ohne dort aufzusetzen).
Wiederholen Sie die Übung pro Bein 10-mal. Dies entspricht einem Satz. Führen Sie 2–3 Sätze durch mit jeweils circa 30 Sekunden Pause zwischen den Sätzen. Üben Sie 2- bis 3-mal pro Woche.
Übung 6: Koordination wiederherstellen
Übungsziel: Verbesserung des Gleichgewichts.
Ausgangsstellung: Stand.
Durchführung: Bringen Sie Ihr Körpergewicht auf den Fuß der betroffenen Seite und achten Sie darauf, dass die Ferse gerade ist (Achillessehne steht senkrecht). Das Fußgewölbe ist aufgerichtet. Das leicht gebeugte Knie befindet sich lotrecht über dem Vorfuß. Tappen Sie nun mit dem freien Bein in einem Dreieck hin und her. Achten Sie darauf, dass das Standbein stabil stehen bleibt.
Wiederholen Sie die Übung pro Bein 10-mal. Dies entspricht einem Satz. Führen Sie 2–3 Sätze durch mit jeweils circa 30 Sekunden Pause zwischen den Sätzen. Üben Sie 2- bis 3-mal pro Woche.



Kräftigungsübungen
Durch die mehrere Wochen andauernde Teilbelastung nach der Operation kommt es zu einem natürlichen Muskelschwund. Entsprechende Kräftigungsübungen können dies wieder ausgleichen.
Übung 7: die Hocke

Übungsziel: Kräftigung der vorderen Oberschenkelmuskulatur.
Ausgangsstellung: Stand vor einer Wand. Ein Gymnastikball ist zwischen Wand und Rücken eingeklemmt. Die Beine sind gestreckt. Die Füße stehen ein kleines Stück vor den Knien.
Durchführung: Rollen Sie sehr langsam die Wand hinunter. Im Hinunterrollen liegt der Schwerpunkt der Übung. Der Beugewinkel im Kniegelenk sollte dabei 40 Grad nicht überschreiten. Achten Sie auf eine gerade Beinachse: Die Knie sollten während der Übung nicht nach innen oder außen fallen. Anschließend rollen Sie wieder nach oben.
Wiederholen Sie die Übung pro Bein 10-mal. Dies entspricht einem Satz. Führen Sie 2–3 Sätze durch mit jeweils circa 60 Sekunden Pause zwischen den Sätzen. Üben Sie 2- bis 3-mal pro Woche.
Übung 8: Kniebeugen

Übungsziel: Kräftigung der Beinmuskulatur und Training des natürlichen Bewegungsüberganges zwischen Sitzen und Stehen.
Ausgangsstellung: Stand, die Füße stehen schulterbreit.
Durchführung: Gehen Sie langsam in die Kniebeuge, während Sie Ihre Arme nach vorne ausgestreckt halten. Der Beugewinkel im Kniegelenk sollte dabei 40 Grad nicht überschreiten und die Knie in der Endposition nicht über die Fußspitzen hinausragen. Achten Sie zudem darauf, dass Ihre Knie während der Ausführung nicht nach innen oder außen wegknicken.
Wiederholen Sie die Übung 10-mal. Dies entspricht einem Satz. Führen Sie 2–3 Sätze durch mit jeweils circa 60 Sekunden Pause zwischen den Sätzen. Üben Sie 2- bis 3-mal pro Woche.
Übung 9: Kräftigung der Wadenmuskulatur

Übungsziel: Kräftigung der Wadenmuskulatur.
Ausgangsstellung: Beide Füße stehen parallel zueinander auf einer niedrigen Stufe. Die Fersen ragen über die Kante hinaus und schweben in der Luft. Die Zehenballen tragen das Körpergewicht.
Durchführung: Stellen Sie sich auf die Zehenspitzen und lassen Sie sich langsam absinken, bis die Fersen knapp über dem Boden sind, diesen aber nicht berühren. Beim Absinken wird das gesamte Körpergewicht von der Wadenmuskulatur abgebremst. Drücken Sie sich anschließend langsam wieder nach oben.
Wiederholen Sie die Übung 10-mal. Dies entspricht einem Satz. Führen Sie 2–3 Sätze durch mit jeweils circa 60 Sekunden Pause zwischen den Sätzen. Üben Sie 2- bis 3-mal pro Woche.
Wann darf ich nach einer Umstellungsosteotomie des Knies wieder Sport treiben?

Wenig gelenkbelastenden Sportarten wie Schwimmen oder Radfahren können die Patienten je nach Begleiteingriff nach 4 bis 6 Wochen wieder nachgehen. Sportliche Aktivitäten mit schnellen, ruckartigen Bewegungen und starken Belastungen des Kniegelenks sollten Betroffene eher vermeiden. In jedem Fall sollten Sie sich mit Ihrem behandelnden Arzt abstimmen.
Literaturangaben
- Assennato, G., Bachetti, A., Baviera, M., Assennato, P. & Barci, V. (1990). [Surgical treatment of gonarthrosis]. La Clinica terapeutica, 133(6), 355–364.
- Bode G et al. (2013). A non-randomized controlled clinical trial on autologous chondrocyte implantation (ACI) in cartilage defects of the medial femoral condyle with or without high tibial osteotomy in patients with varus deformity of less than 5 degrees. Archives of orthopaedic and trauma surgery, 133, 43–49.
- Brouwer, R. W. & Verhaar, J. A. (2004). [Osteotomy at knee level for young patients with gonarthrosis]. Nederlands tijdschrift voor geneeskunde, 148(40), 1955–1960.
- DeMeo, P. J., Johnson, E. M., Chiang, P. P., Flamm, A. M. & Miller, M. C. (2010). Midterm follow-up of opening-wedge high tibial osteotomy. The American journal of sports medicine, 38(10), 2077–2084.
- Deutsche Gesellschaft für Orthopädie und Unfallchirurgie (2017). Nachbehandlungsempfehlungen.
- Grifka, J. (2005). Einlagen, Schuhzurichtungen, orthopädische Schuhe. Thieme Georg Verlag.
- Kort, N. P., Deutman, R., van Raay, J. J. & van Horn, J. R. (2004). [Medial unicompartmental knee prosthesis for patients with unicompartmental gonarthrosis]. Nederlands tijdschrift voor geneeskunde, 148(40), 1960–1965.
- Orthofer, P. (2004). Orthopädietechnik. Huber Hans.
- Pape, D. & Kohn, D. (2007). [Soft tissue balancing in valgus gonarthrosis]. Der Orthopäde, 36(7), 657–666.
- Pongsoipetch, B. & Tantikul, C. (2009). Open-wedge high tibial osteotomy in varus knee osteoarthritis: a 5-year prospective cohort study. Journal of the Medical Association of Thailand = Chotmaihet thangphaet, 92 Suppl 6.
- Sherman, C. & Cabanela, M. E. (2010). Closing wedge osteotomy of the tibia and the femur in the treatment of gonarthrosis. International orthopaedics, 34(2), 173–184.
- Simenach, B. I. & Remizov, V. B. (1982). [Osteotomy of the tibia as a method of treating gonarthrosis]. Ortopediia travmatologiia i protezirovanie(5), 68–74.
- Sobczak, S., Baillon, B., Feipel, V., Jan, S. V., Salvia, P. & Rooze, M. (2011). In vitro biomechanical study of femoral torsion disorders: effect on tibial proximal epiphyseal cancellous bone deformation. Surgical and radiologic anatomy : SRA, 33(5), 439–449.
- Wright, J. M., Crockett, H. C., Slawski, D. P., Madsen, M. W. & Windsor, R. E. (2005). High tibial osteotomy. The Journal of the American Academy of Orthopaedic Surgeons, 13(4), 279–289.
- Wülker, N. (2005). Taschenlehrbuch Orthopädie und Unfallchirurgie. Stuttgart: Thieme.
- Zügel, N., Kundel, K., Braun, W. & Rüter, A. (1995). [Stabilization of interligamentous valgus procedure in tibial head osteotomy using staples]. Zeitschrift für Orthopädie und ihre Grenzgebiete, 133(5), 437–441.