- Was ist Osteochondrosis dissecans im Sprunggelenk?
- Symptome der Osteochondrosis dissecans im Sprunggelenk
- Ursachen der Osteochondrosis dissecans im Sprunggelenk
- Diagnose: Wie untersucht der Arzt Osteochondrosis dissecans im Sprunggelenk?
- Konservative Behandlung der Osteochondrosis dissecans im Sprunggelenk
- Operation der Osteochondrosis dissecans im Sprunggelenk
- Wie ist die Prognose bei Osteochondrosis dissecans im Sprunggelenk?

Was ist Osteochondrosis dissecans im Sprunggelenk?
Osteochondrosis dissecans (OD) im Sprunggelenk ist eine Erkrankung der Gelenkfläche und beschreibt das Absterben begrenzter Bezirke zwischen Knorpel und Knochen. Osteochondrosis dissecans wird medizinisch auch als osteochondrale Läsion bezeichnet. Im Endstadium der Osteochondrosis dissecans löst sich ein Knochen-Knorpelfragment (Dissekat) ab, was zur schmerzhaften Blockade des Sprunggelenks (Impingement im Sprunggelenk) und langfristig zur Sprunggelenksarthrose führen kann.
Die Osteochondrosis dissecans am Sprunggelenk ist eine seltene Erkrankung: In 75 % aller Fälle von Osteochondrosis dissecans ist das Kniegelenk betroffen, nur 5 % aller Fälle betreffen das Sprunggelenk.
Dem orthopädischen Spezialisten für Sprunggelenkserkrankungen stehen verschiedene operative Möglichkeiten bei der Behandlung der Osteochondrosis dissecans im Sprunggelenk zur Verfügung, die er individuell für jeden Patienten abwägt. Die Wahl der Therapie richtet sich dabei vorrangig nach dem Patientenalter und dem Stadium der Erkrankung.
Wer ist von Osteochondrosis dissecans im Sprunggelenk betroffen?
Bei Patienten mit Osteochondrosis dissecans des Sprunggelenks handelt es sich hauptsächlich um junge Erwachsene oder sportlich sehr aktive Menschen. Jungen erkranken doppelt so häufig wie Mädchen.
Je jünger ein Patient ist, desto eher gelingt es dem Orthopäden, das nicht mehr durchblutete (nekrotische) Knochenstück im Sprungbein wieder in den natürlichen Wachstumsprozess einzubeziehen. Wenn dieser Bereich wieder durchblutet wird und anwächst, kann das obere Sprunggelenk ohne operativen Eingriff ausheilen. Diese Möglichkeit zur Selbstheilung nutzen auch die konservativen Therapieansätze bei Osteochondrosis dissecans.
Dagegen besitzt das erwachsene Skelett eine sehr viel geringere Fähigkeit zur Selbstreparatur.
Externer Inhalt von viewmedica.com
Krankheitsverlauf und Stadien der Osteochondrosis dissecans im Sprunggelenk

Im Verlauf der OD kann es zur Ausstoßung eines Knochen-Knorpelstücks (Dissekat) aus seinem Lager (Mausbett) in den Gelenkraum kommen. Im schmalen Gelenkraum des Sprunggelenks verursacht der freie Gelenkkörper (Gelenkmaus) schmerzhafte Einklemmungserscheinungen und Gelenkblockaden. Sowohl das Dissekat als auch das Mausbett können rasch zu einer Sprunggelenksarthrose führen.
Stadium I: Knorpelverletzung und Verdickung (Sklerosierung) im dem OD-Bezirk gegenüberliegenden Gelenkknochen.
Stadium II: Knorpelverletzung mit Bruch des darunter liegenden Knochens: osteochondrale Läsion mit partieller Ablösung des Knochenstücks.
Stadium III: Komplett losgelöster Erkrankungsherd ohne Verschiebung des Knochenfragments. Die Knorpeloberfläche kann noch intakt sein.
Stadium IV: Komplett losgelöster Erkrankungsherd mit Verschiebung des abgestorbenen Knochens im Inneren des Gelenkraums: Loose bodys.
Symptome der Osteochondrosis dissecans im Sprunggelenk
Symptome der OD:
- Ruheschmerzen tief im oberen Sprunggelenk
- Belastungsschmerzen nach dem Sport
- Beschwerden beim Gehen, Entlastungshinken
- Spätstadium: Knacken, schmerzhafte Blockade des Sprunggelenks durch freie Gelenkkörper
Die Beschwerden einer osteochondralen Läsion am oberen Sprunggelenk (OSG) sind diagnostisch meist nicht eindeutig. In frühen Krankheitsphasen treten oft keine Beschwerden auf. Möglicherweise ergibt sich Osteochondrosis dissecans als Zufallsbefund in Stadium I oder II bei Röntgenuntersuchungen aus anderen Gründen
Zunächst bemerken die Betroffenen diffuse Schmerzen in tiefliegenden Bereichen des Sprunggelenks. Direkt lokalisierbare Schmerzen, Krepitation oder Blockaden sind zu Beginn selten.
Für einen eindeutigen Befund ist eine ergänzende bildgebende Diagnostik erforderlich. Weil die Behandlungsmöglichkeiten umso größer sind, je früher die Erkrankung entdeckt wird, sollten diese unspezifischen Frühsymptome besonders beachtet werden.
Bis zur Abstoßung des Dissekats sind die Schmerzen im Sprunggelenk geringfügig und die klinischen Symptome uncharakteristisch. Die durch den Knorpelabbau ausgelöste Entzündung der Gelenkschleimhaut (Synovitis) kann zu Schwellungen und Ergüssen (Ödeme) im Sprunggelenk führen. Die Synovitis ist ebenfalls mit Gelenkschmerzen verbunden.
Typische Spätsymptome der Osteochondrosis dissecans im Sprunggelenk sind plötzliche und wechselnde Einklemmungen und eine Gelenksperre. Die Erkrankung kann auch zu Instabilitäten im Sprunggelenk führen.
Ursachen der Osteochondrosis dissecans im Sprunggelenk
Bisher existiert keine genaue Ursache für das Entstehen einer Osteochondrosis dissecans. Sie tritt eigentlich immer an der Oberseite des Sprungbeins in der gewichttragenden Hauptbelastungszone auf. Ihr Auftreten steht erfahrungsgemäß immer in Verbindung mit mechanischer Belastung.
- Frische Verletzung des Sprunggelenks mit nachfolgender osteochondraler Läsion.
- Bruch und Nekrose des Sprungbeins (Talusfraktur und Talusnekrose).
- Chronische Bandschäden (Bänderriss und Bänderdehnung), die über die Mehrbeweglichkeit und andauernde Scherkräfte zu kleinsten Verletzungen (Mikrotraumata) führen.
- Instabilitäten und Achsfehlstellungen im Sprunggelenk als Folge von fehlverheilten Sprunggelenksbrüchen.
- Angeborene und erworbene Fußfehlstellungen wie Hohlfuß oder Knick-Senkfuß
- Angeborene Verformungen (Dysplasie) der Gelenkflächen im Sprunggelenk.
Fehlstellungen im Sprunggelenk können angeboren sein oder sich nach fehlverheilten Sprunggelenksbrüchen entwickeln.
Experten sehen die Osteochondrosis dissecans auch als Folge eines Abscherbruchs. In diesen Fällen führt eine unfallbedingte Verdrehung (Distorsion) des Sprunggelenks zu einem lokalen Schaden am Knorpel und an dem darunterliegenden Knochen. Unterbricht gleichzeitig die Blutzufuhr zum Knochen, wird dieser nicht mehr ernährt und stirbt ab (Talusnekrose).
Durchblutungsstörungen des Knochens, Stoffwechselstörungen oder auch erbliche Faktoren gelten bei Experten ebenfalls als Ursache einer Osteochondrosis dissecans. Für eine Belastungsabhängigkeit der OD spricht die Tatsache, dass meist die gewichttragenden Teile der Gelenkflächen betroffen sind. Im Sprunggelenk betrifft dies die konvexen Ränder des Sprungbeins.
Welche Anteile des Sprunggelenks sind von Osteochondrosis dissecans betroffen?
Die Osteochondrosis dissecans entsteht immer auf der Oberseite des Talus (Sprungbein). Meist sind die oberen Kanten des Sprungbeins betroffen. Die stärker belastete innere (mediale) Kante ist häufiger erkrankt als die äußere. Diese Beobachtung stimmt mit der Überlastungstheorie zur Entstehung der Osteochondrosis dissecans überein.
Diagnose: Wie untersucht der Arzt Osteochondrosis dissecans im Sprunggelenk?
Differentialdiagnosen zur OD:
- Knochennekrose (Talusnekrose): Je älter ein Patient ist, umso wahrscheinlicher ist die Nekrose des Sprungbeins.
- Eine osteochondrale Schädigung durch ein Trauma ist immer dann wahrscheinlich, wenn der Patient einen Unfall erlitten hat.
Die Diagnose Osteochondrosis dissecans wird häufig erst spät im Krankheitsverlauf gestellt, da die Veränderungen im Röntgenbild des Sprunggelenkes erst lange nach der auslösenden Durchblutungsstörung sichtbar werden. Die Röntgenuntersuchung erfolgt immer beidseitig, da die OD in fast der Hälfte der Fälle beide Sprunggelenke betrifft. Folgende Fragen klärt der Orthopäde mit seiner Untersuchung:
- Was für eine Schädigung liegt vor: Knochen, Knorpel oder beides?
- Wie groß und wo genau liegt die osteochondrale Schädigung?
- Wie ist der Knochen unter dem Knorpel verändert: Liegt eine Knochennekrose, eine Zyste oder eine abgelöste Gelenkmaus vor?
- Hat der umliegende Knochen auf die Schädigung mit Sklerosierung oder Ödembildung reagiert?
- Liegt bereits eine Sprunggelenksarthrose vor?
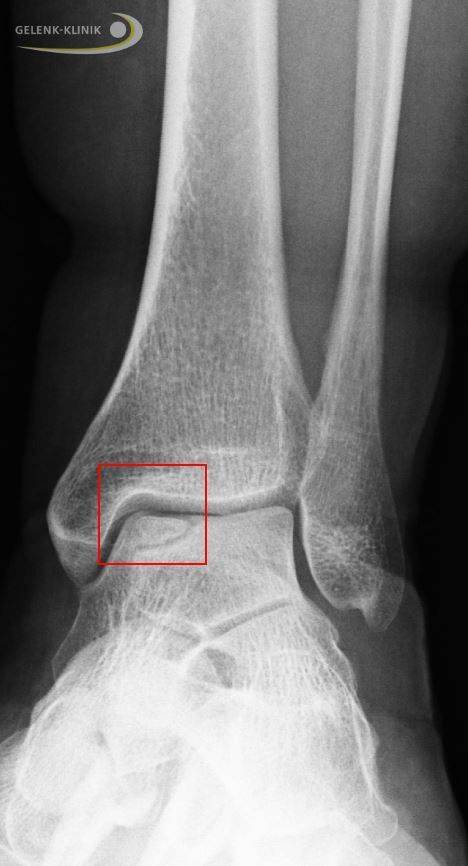
Röntgendiagnostik

Eine Röntgenuntersuchung des stehenden Patienten kann Form, Dichte, Struktur und die Stellung der Knochen darstellen. Hierfür werden folgende Aufnahmen angefertigt:
- Sprunggelenk im Stehen von vorne
- gesamter Fuß im Stehen von der Seite
- Fußes von oben im Stehen
- Saltzman-Aufnahme: eine stehende Aufnahme, die die Stellung des Fersenbeins zeigt
Die standardisierte Aufnahmetechnik hilft Fehlstellungen auszuschließen. Weiterhin kann das Röntgen auch Knochenschäden darstellen. Hierbei ist zu beachten, dass durch die Überlagerung von Knochenstrukturen der Schaden nicht immer gut zu beurteilen ist. Weiterhin kann der Arzt mithilfe des Röntgen Arthrose im Sprunggelenk ausschließen.
Auch eine indirekte Beurteilung des Knorpels im Sprunggelenk ist möglich. Im Stehen kann bei Arthrose der sichtbare Gelenkspalt im Sprunggelenk eingeengt sein: Der Durchmesser des Gelenkspalts im Stehen lässt eine indirekte Aussage über die Festigkeit und die Menge des vorhanden Knorpels zu.
MRT-Untersuchung des Sprunggelenks
Wichtige MRT-Befunde bei Osteochondrosis dissecans:
- Beurteilung des unter dem Knorpel liegenden (subchondral) Knochens
- Ödeme als Hinweis auf eine Nekrose
- Verschmälerung des Gelenkknorpels
- freie Knochenfragmente
Die kernspintomographische Untersuchung (MRT) ist bei der Diagnostik einer Osteochondrosis dissecans am zuverlässigsten. Die MRT ermöglicht dem Arzt auch die Stadieneinteilung der Erkrankung.
Die MRT zeigt die genaue Größe des Dissekats (Gelenkmaus), die Abgrenzung zum umgebenden Knochen, eine Sklerosierung und die Situation im Gelenkknorpel. Im Frühstadium der OD kann das MRT die für eine Knochennekrose typischen Wassereinlagerungen (Ödeme) im Talus zeigen.
Computertomographie (CT)

Eine CT-Untersuchung hilft dem behandelnden Orthopäden, Größe und Lage des Knochendefektes genau zu bestimmen. Durch die Schnittbildführung können auch Hohlräume innerhalb des Knochens genau abgebildet werden. Ein SPECT-CT zeigt die Stoffwechselaktivität des Knochens im sklerosierten (verdichteten) Knochenbereich.
Gelenkspiegelung am Sprunggelenk: diagnostische Arthroskopie
Die Arthroskopie ist stets Teil der Therapie des Sprunggelenks. Sie erlaubt einen direkten Einblick in erkrankte Knochen, Knorpel und Bänder mit kleinsten optischen Geräten. Der Untersucher kann die Festigkeit und Funktion von Knorpel und Gelenkflächen mit Tasthaken genau untersuchen. Knorpelschäden kann er häufig durch Farbveränderungen und Änderungen der Oberflächenbeschaffenheit beurteilen.
Konservative Behandlung der Osteochondrosis dissecans im Sprunggelenk
Die Therapie einer OD bzw. OCD des Sprunggelenkes richtet sich nach dem Erkrankungsstadium und dem Patientenalter. Im Wachstumsalter vor Verknöcherung der Wachstumsfugen des Skeletts und bei stabilen OD-Herden sind konservative Maßnahmen sinnvoll. Eine Lösung des Dissekats darf vor dem Einleiten der konservativen Behandlung noch nicht stattgefunden haben.
Ruhigstellung, Medikamente und Gehhilfen
Im frühen Stadium nach dem Auftreten von Verletzungen gehört dazu vor allem eine Ruhigstellung mit Belastungsreduktion des Sprunggelenks für bis zu 6 Wochen. Der Patient sollte in der Zeit der Ruhigstellung Gehhilfen (Orthesen) verwenden und jede sportliche Aktivität einstellen. Die Ruhigstellung führt häufig zu einer raschen Ausheilung des Herdes.
Bei Schwellungen, entzündlichen Veränderungen im Gelenk und Schmerzen wird die Erkrankung mittels nichtsteroidalen Antirheumatika (NSAR, z.B. Ibuprofen) behandelt. Der Orthopäde beobachtet bei der regelmäßigen Wiedervorstellung während der Entlastung vor allem die Entwicklung der Symptome. Er kontrolliert das Einheilen des Fragmentes durch Röntgen und MRT, um den klinischen Befund abzusichern.
Wenn Ruhigstellung und Teilentlastung des Beins nicht helfen und die Beschwerden andauern, zieht der Arzt operative Maßnahmen in Betracht. Wenn die Osteochondrosis dissecans erst in fortgeschrittenen Stadien entdeckt wurde, ist die konservative Behandlung selten erfolgreich.
Konservative Behandlung ist hauptsächlich bei Kindern und Jugendlichen erfolgreich
Die allgemeine Regel für den nicht-operativen Therapieerfolg am Sprunggelenk ist: Je jünger der Patient ist, desto besser ist die Prognose und umso schneller heilt die OD durch Knochenneubildung aus.
Bei erwachsenen Patienten ist eine operative Refixierung oder eine Knochentransplantation meist unvermeidlich. Bei Kindern mit Osteochondrosis dissecans hilft oft eine 6- bis 12-wöchige Ruhigstellung des Sprunggelenks. Im Vergleich dazu lässt sich ein Knochenschaden durch OD bei Erwachsenen durch konservative Therapie viel seltener wiederherstellen. Die konservative Ausheilung ist aber hoch genug, um bei Erwachsenen mit OD im Anfangsstadium den Behandlungsversuch zu rechtfertigen, bevor eine Operation erwogen wird.
Operation der Osteochondrosis dissecans im Sprunggelenk
Eine OP ist erforderlich, wenn:
- die konservative Behandlung nach 6 Monaten keine Besserung der Symptome bringt,
- Knochen-Knorpelfragmente bereits abgelöst sind und nicht an der Defektstelle verbleiben (Stadium III).
- ein Knochenfragment sich als freier Gelenkkörper abgelöst hat.
Bei Erwachsenen bedarf die Erkrankung zumindest ab Stadium III (knöcherne Verdichtung des Nekrosebezirks) fast immer einem operativen Eingriff. Die Wahrscheinlichkeit ist dann groß, dass das Knochenfragment nicht mehr von selbst einheilen wird und Probleme im Sprunggelenk verursacht. Wichtig ist eine operative Behandlung, bevor das losgelöste Dissekat den Gelenkknorpel großflächig schädigen kann.
Verschiedene gelenkerhaltende operative Behandlungen stehen zur Verfügung. Diese können zum Teil im Rahmen einer minimalinvasiven Gelenkspiegelung (Arthroskopie) des Sprunggelenks durchgeführt werden. Wichtig zur Beurteilung der geeigneten Operationsmethode sind:
- Stadium der Osteochondrosis dissecans
- Größe des OD-Herdes
- Intaktheit bzw. Beschädigung des Gelenkknorpels
- Alter des Patienten
- Symptome und Schmerzen des Patienten
Die individuell geeignete Behandlung der OD legt der Arzt gemeinsam mit dem Patienten nach Auswertung aller Umstände in einer ausführlichen Untersuchung fest.
Wiederbefestigung des abgelösten Dissekats
Das abgelöste, intakte Knochenfragment kann mit Schrauben oder Stiften am Knochen stabilisiert werden. Dieser Eingriff kann die Ablösung des Dissekats verhindern und eventuell das Einheilen des Fragments fördern. Nach der Wiederbefestigung ist eine postoperative Entlastung für ca. 6 Wochen notwendig.
Retrograde Anbohrung
Der Arzt kann den OD-Herd im Sprungbein von unten anbohren, ohne den Gelenkknorpel zu verletzen. Diese retrograde Anbohrung ist nur bei noch intaktem Knorpelgewebe über dem Knochenschaden sinnvoll. Eine Anbohrung mit gezielter Verletzung des Knochens soll eine Heilungsreaktion im Knochen mit wieder einwachsenden Blutgefäßen auslösen.
Retrograde Spongioplastik
Bei bereits abgestorbenem Knochengewebe und noch intaktem Gelenkknorpel kann der Knochenschaden unter dem Knorpel retrograd durch körpereigenes Knochenmaterial aufgefüllt werden. Auch bei diesem Eingriff erfolgt der Zugang nicht durch die Knorpeloberfläche. Die Verpflanzung von körpereigenem Knochengewebe erfolgt meist aus dem Beckenkamm und kann die abgestorbene Zone wieder auffrischen.
Mikrofrakturierung
Die Mikrofrakturierung ist die Anbohrung der Knochenoberfläche von oben. Durch kleine Bohrungen in die Tiefe des Knochens wird das noch gesunde Knochengewebe zur Ersatzknorpelbildung angeregt. Dieser bindegewebige Ersatzknorpel besitzt nicht die typischen Eigenschaften von hyalinem Gelenkknorpel.
Die Mikrofrakturierung wird bei Patienten mit Knorpelschäden oder Knorpel-Knochenschäden im Alter von 18 bis etwa 55 Jahren angewendet. Der Knorpel in der Umgebung der Schadstelle sollte intakt sein. Je größer die Schadfläche, umso geringer sind die Erfolgsaussichten einer Behandlung durch Mikrofrakturierung.
Knochentransplantation mit AMIC-Membran
Bei größeren Defekten von Knochen und Knorpel kann der Orthopäde ein Stück Beckenkammknochen des Patienten in die Schadstelle transplantieren. Ein autologes (körpereigenes) Knorpeltransplantat oder eine azelluläre AMIC-Membran (AMIC = autologe matrixinduzierte Chondrogenese) können das Transplantat überdecken und die Gleitfähigkeit des Knochens unterstützen. Diese Membran ist eine Kollagenmatrix, die Knorpelzellen aufnehmen und ansiedeln soll, um die Regeneration des Knorpelgewebes zu erleichtern. Für diese Operation ist nur ein Eingriff notwendig.
Durch die zweizeitige Operation und die Kosten der Knorpelzüchtung ist eine Knorpeltransplantation ( autologe Chondrozytentransplantation) für die Kostenträger wesentlich kostspieliger.
Die Kosten für die Knorpelzüchtung (ACT) werden von den gesetzlichen Kassen am Sprunggelenk aufgrund der Studienlage noch nicht getragen. Eindeutige wissenschaftliche Belege, die die Mikrofrakturierung, den Einsatz einer AMIC-Membran und die ACT vergleichen, liegen noch nicht vor. Nach unserer Erfahrung mit zahlreichen Nachuntersuchungen ist die ACT den anderen Verfahren allerdings deutlich überlegen.
Knorpel-Knochentransplantation (OATS)
Bei der OATS (kurz für osteochondrale autologe Transplantation) wird ein kleiner Zylinder aus Knorpel und Knochen aus einer wenig belasteten Gelenkregion entnommen und an die Stelle mit Defekt verpflanzt. Bei größeren Schäden werden mehrere dieser Zylinder eingesetzt, die oft aus dem Beckenkamm stammen.
Insbesondere Patienten mit einem umgrenzten Knochen-Knorpelschaden oder mit einem Hohlraum (Zyste) im Sprunggelenk profitieren von der OATS.
Autologe Knorpeltransplantation (ACT)

Gesunde Knorpelzellen des Patienten werden im Labor im Rahmen einer autologen Knorpeltransplantation (ACT) vermehrt. Dieser Knorpel kann nach ca. 6–8 Wochen durch eine minimalinvasive Operation wieder in der Körper an die Stelle des Defekts eingebracht werden. Es sind also immer zwei Eingriffe erforderlich: die Knorpelentnahme und das Einbringen des Transplantats. Bei der Knorpeltransplantation werden keine körperfremden Materialien eingesetzt. Das Transplantat ist reich an Knorpelzellen und hat großes Potential für die nachhaltige Regeneration der Knorpelfläche. Die ACT ist auch für größere Knorpelschäden einsetzbar. Wichtig ist aber immer, dass die gegenüberliegende Knorpelfläche noch intakt ist.
Externer Inhalt von youtube.com
Kontraindikationen der Operation bei Erwachsenen
Bevor die Osteochondrosis dissecans im Sprunggelenk operiert wird, sollte der Arzt eine Instabilität des Gelenks ausgeschlossen haben. Die Bänder des Sprunggelenks müssen intakt sein, ebenso der Knochen des Talus (Sprungbein). Eine Knochennekrose oder Chondromalazie (krankhafte Knorpelerweichung) sollte auf jeden Fall ausgeschlossen werden.
Wie ist die Prognose bei Osteochondrosis dissecans?
Bei jüngeren Kindern kann die Erkrankung durch natürliches Knochenwachstum vollständig von selbst ausheilen. Diese Fähigkeit zur Selbstheilung der Osteochondrosis dissecans nimmt mit zunehmendem Alter ab. Je jünger der Betroffene, desto besser ist die Prognose oder der Verlauf der Osteochondrosis dissecans.
Das Grundproblem der Erkrankung ist das erhöhte Risiko, an einer Sprunggelenksarthrose zu erkranken, da sich unbehandelt mit hoher Wahrscheinlichkeit Schäden an Knochen und Knorpel ausbilden. Patienten im Jugendalter werden auch nach erfolgreicher konservativer Behandlung regelmäßig radiologisch untersucht. Erst wenn das Skelett ausgewachsen ist und die Osteochondrosis dissecans immer noch asymptomatisch ist – also keine Schmerzen verursacht – gelten sie als geheilt. Eine weitere Behandlung ist dann nicht mehr erforderlich.
Am besten sind die Heilungsaussichten bei erwachsenen Patienten, wenn eine Revitalisierung des Knochens gelingt und auf diese Weise das Ablösen des Dissekates verhindert werden kann.
Alle anderen Verfahren wie die Befestigung des Knochenfragments oder Knochenknorpeltransplantate zeigen schlechtere Ergebnisse, denn die Gelenke der unteren Extremität reagieren langfristig sehr sensibel auf kleine Unregelmäßigkeiten der Knorpelflächen.
Literaturangaben
- Boutin, R. D., Januario, J. A., Newberg, A. H., Gundry, C. R. & Newman, J. S. (2003). MR imaging features of osteochondritis dissecans of the femoral sulcus. AJR. American journal of roentgenology, 180, 641–5.
- Bui-Mansfield, L. T., Kline, M., Chew, F. S., Rogers, L. F. & Lenchik, L. (2000). Osteochondritis dissecans of the tibial plafond: imaging characteristics and a review of the literature. AJR. American journal of roentgenology, 175, 1305–8.
- Cahill, B. (1985). Treatment of juvenile osteochondritis dissecans and osteochondritis dissecans of the knee. Clinics in sports medicine, 4, 367–84.
- Clanton, T. O. & DeLee, J. C. (1982). Osteochondritis dissecans. History, pathophysiology and current treatment concepts. Clinical orthopaedics and related research, 50–64.
- Federico, D. J., Lynch, J. K. & Jokl, P. (1990). Osteochondritis dissecans of the knee: a historical review of etiology and treatment. Arthroscopy: the journal of arthroscopic & related surgery: official publication of the Arthroscopy Association of North America and the International Arthroscopy Association, 6, 190-–7.
- Smet, A. A., Fisher, D. R., Graf, B. K. & Lange, R. H. (1990). Osteochondritis dissecans of the knee: value of MR imaging in determining lesion stability and the presence of articular cartilage defects. AJR. American journal of roentgenology, 155, 549–53.