- Was ist eine Triple-Arthrodese des unteren Sprunggelenks?
- Einschränkungen durch die Triple-Arthrodese
- Ziele der Triple-Arthrodese des unteren Sprunggelenks
- Indikation: Wann erwägen wir eine Triple-Arthrodese?
- Wie läuft die Operation der Triple-Arthrodese ab?
- Nachbehandlung und Rehabilitation nach der Triple-Arthrodese
- Ergebnisse und Zufriedenheit mit der Triple-Arthrodese

Die Triple-Arthrodese ist eine operative Gelenkversteifung des unteren Sprunggelenks (USG). Man denkt an Versteifung immer dann, wenn gelenkerhaltende Behandlungsmöglichkeiten nicht mehr zur Verfügung stehen. Dies kann z. B. bei schwerer Arthrose der Fußgelenke oder bei nicht korrigierbaren Fehlstellungen des Fersenbeins oder des Rückfußes der Fall sein.
Insgesamt werden bei einer Triple-Arthrodese drei Gelenke und insgesamt vier Knochen des Rückfußes versteift. Die Arthrodese stabilisiert bei starker Fußfehlstellung oder bei Arthrose den gesamten Rückfuß und das Fußlängsgewölbe. Damit lässt sich auch die Achse im Sprunggelenk des Patienten korrigieren. Ziel der Versteifung dieser Fußgelenke ist es, dass der Patient seine Füße wieder schmerzfrei und uneingeschränkt belasten kann.
Was ist eine Triple-Arthrodese?
- Fersenbein (Calcaneus):
Unterstützt das Sprungbein. - Sprungbein (Talus):
Bildet mit den Unterschenkelknochen das Sprunggelenk. - Kahnbein (Os naviculare):
Schließt vorne gelenkig an das Sprungbein an. - Unteres Sprunggelenk:
Wird aus Fersenbein, Sprungbein, Kahnbein und Würfelbein gebildet. - Arthrodese (Versteifung):
Operativ durch Schrauben und Platten herbeigeführtes versteifendes Zusammenwachsen von Knochen in Gelenken. - Chopart-Gelenk:
Setzt sich zusammen aus dem Gelenk zwischen Sprungbein und Kahnbein (talonaviculares Gelenk) und dem Gelenk zwischen Fersenbein und Würfelbein (calcaneocuboidales Gelenk).
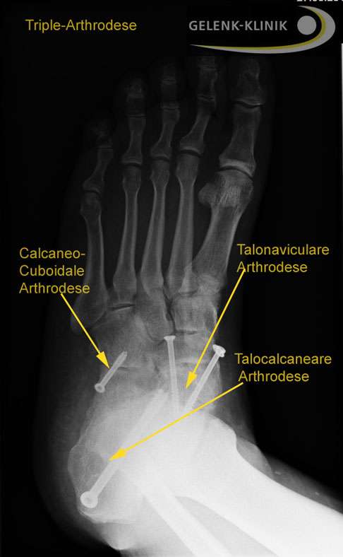
Bei einer Triple-Arthrodese werden alle drei Anteile des unteren Sprunggelenks versteift, also alle Fußgelenke, die mit dem Sprungbein verbunden sind. Dazu zählen das zwischen dem Sprungbein und dem Fersenbein liegende talocalcaneare Gelenk (TCG oder Subtalargelenk) und die beiden vor dem Sprungbein liegenden Gelenke: das Sprungbein-Kahnbein-Gelenk (talonaviculares Gelenk, TNG) und das Fersenbein-Würfelbein-Gelenk (calcaneocuboidales Gelenk, CCG), welche gemeinsam das sog. Chopart-Gelenk bilden.
Die Triple-Arthrodese ist ein Verfahren, das erst dann vorgeschlagen wird, wenn alle anderen Möglichkeiten, eine Arthrose oder Fehlstellung des unteren Sprunggelenks gelenkerhaltend zu therapieren, ausgeschöpft sind:
- Einlagen und Schuhzurichtung,
- Physiotherapie (Fußschule),
- Hyaluronsäure-Injektionen,
- Schmerzmittel,
- Arthroskopie des unteren Sprunggelenks,
- Knorpeltransplantation und
- Knochenumstellung (Osteotomie).

Einschränkungen durch die Triple-Arthrodese
Die Triple-Arthrodese führt zu einer deutlichen Einschränkung der Funktion des unteren Sprunggelenks. Das ist vor allem auf unebenem Boden spürbar: Die Neigung im unteren Sprunggelenk ermöglicht das Gehen am Hang oder auf unebenem Grund. Dieser Neigungsausgleich funktioniert nach einer Arthrodese im unteren Sprunggelenk nicht mehr. Das führt vor allem im unebenen Gelände zu einer zusätzlichen Belastung des oberen Sprunggelenks, das diesen fehlenden Ausgleich nun zu spüren bekommt.
Durch die wiedergewonnene Stabilität und Belastbarkeit des Fußes im Alltag und die Schmerzfreiheit in den Fußgelenken kann der therapeutische Nutzen der Triple-Arthrodese diese Einschränkungen dennoch aufwiegen.

Auswirkungen auf das obere Sprunggelenk

Im Falle von starken Fehlstellungen des Rückfußes schafft die Begradigung der Sprunggelenkachse die Möglichkeit, das obere Sprunggelenk vor einer Arthrose zu bewahren. Wenn eine Sprunggelenksprothese geplant ist, kann die Geradestellung des Fußes durch die Triple-Arthrodese die Voraussetzungen für ein haltbares Implantat und damit für eine langfristige Beweglichkeit im oberen Sprunggelenk schaffen. Diese Ziele erreicht eine Triple-Arthrodese sehr zuverlässig.
Versteifungen sind mit der Funktion des menschlichen Fußes gut vereinbar
Wichtige Arthrodesen am Fuß:
- Arthrodese des oberen Sprunggelenks
- Arthrodese des unteren Sprunggelenks (USG)
- Arthrodese des Talonaviculargelenks
- Arthrodese des Tarsometatarsalgelenks
- Arthrodese des Großzehengrundgelenks
- Arthrodesen der Interphalangealgelenke (Zehengelenke)
Der menschliche Fuß hat eine Evolution durchlaufen: Vom Greiforgan der Primaten (baumlebende Vorfahren der Menschen) entwickelte er sich erst beim zweibeinigen Menschen zu einem Bewegungs- und Stützorgan.
Viele der Gelenke am Fuß waren bei unseren vormenschlichen Vorfahren in ihrer gesamten Beweglichkeit wichtig. Sie sind beim Menschen zwar noch vorhanden, jedoch hat sich die Beweglichkeit durch die Evolution im Interesse der Stabilität eines zweibeinigen Dauerläufers stark verringert. Der Fuß des Menschen hat eine ganz andere Aufgabe, als der handähnliche Greiffuß der menschlichen Vorfahren. So ist z. B. die Beweglichkeit der Zehengelenke zwar noch vorhanden, spielt aber beim Gehen und Stehen fast keine Rolle mehr. Auch die Mittelfußgelenke sind beim gesunden Fuß schon beinahe unbeweglich.
Andererseits besteht zwischen diesen Gelenken trotz der eher statischen Funktion noch eine Gleitschicht aus Knorpelzellen. Diese aus der beweglichen Frühzeit des Fußes verbliebene Knorpelschicht kann nach Unfällen, Überlastung oder nach Fehlstellungen – wie in allen anderen Gelenken auch – degenerieren und eine schmerzhafte Arthrose ausbilden.
Eine operative Versteifung kann durch das Zusammenwachsen dieser Gelenkflächen die schmerzfreie Funktion der vor allem als Stützorgan dienenden Fußknochen wiederherstellen.

Ziele der Triple-Arthrodese des unteren Sprunggelenks

Die Arthrodese der unteren Sprunggelenke führt zu einer Stabilisierung der Rückfußstellung. Sie begradigt insbesondere die Stellung des Fersenbeins. Durch die Versteifung im talonavikularen Gelenk wird das bei ausgeprägtem Knick-Senkfuß meist eingesunkene Fußlängsgewölbe wieder aufgerichtet.
Die Triple-Arthrodese erhält die Beweglichkeit im oberen Sprunggelenk nahezu vollständig. Das Ziel der Arthrodese des unteren Sprunggelenks ist ein stabiler, schmerzfreier Rückfuß. Die Beweglichkeit im oberen Sprunggelenk (OSG) soll daher so weit wie möglich erhalten bleiben.
Indikation: Wann erwägen wir eine Triple-Arthrodese?
Indikation der Triple-Arthrodese:
- Fußdeformitäten mit Ursachen in der Funktion des Nervensystems
- rheumatische Fußdeformitäten
- angeborener Knick-Senkfuß
- erworbener Knick-Senkfuß
- Valgus- und Varus-Fehlstellungen des Fußes die konservativ nicht behandelbar sind
- fortgeschrittene Fehlfunktion der Tibialis-posterior-Sehne
- Hohlfuß-Fehlstellung
- diverse neuromuskuläre Erkrankungen
- schmerzhafte Arthrose des unteren Sprunggelenks
- posttraumatische Fehlstellungen des Fußes
- Geradestellung des USG als Vorbereitung einer Implantation einer Endoprothese des oberen Sprunggelenks (Begleiteingriff) >
Die Versteifungsoperation des unteren Sprunggelenks ist irreversibel. Die Knochen werden durch Verschraubung und Anbringen von Platten dazu gebracht, dauerhaft miteinander zu verwachsen. Daher sind wir sehr zurückhaltend in der Empfehlung der Arthrodese des unteren Sprunggelenks. Die Voraussetzung für die Triple-Arthrodese ist stets eine schmerzhafte degenerative Gelenkerkrankung der unter dem Sprungbein befindlichen Fußgelenke.
Diese Schmerzen treten normalerweise auf, wenn der Fuß Unebenheiten des Untergrunds ausgleichen muss. Auch Stehen auf der Innenkante oder der Außenkante des Fußes kann diese Symptome auslösen. Das passive Bewegen des Fußes in bestimmte Bewegungsrichtungen ist ein Auslöser dieser typischen Arthroseschmerzen. Auch gezielter Druck während der klinischen Untersuchung kann diese für Arthrose der Fußgelenke typischen Schmerzen und Beschwerden auslösen.
Kontraindikationen der Triple-Arthrodese
- konservativ therapierbare, passiv ausgleichbare Fehlstellungen
- Fehlstellungen, die gelenkerhaltend durch Weichteileingriffe und Eingriffe an Sehnen und Bändern therapierbar sind
- starke Osteoporose
- bakterielle Infektionen der Fußgelenke
Die Wahrscheinlichkeit von Begleitarthrosen in benachbarten Gelenken, vor allem dem oberen Sprunggelenk, ist vorhanden. Diese Nachbargelenke können zwar stets einen Teil der verlorengegangenen Beweglichkeit kompensieren. Allerdings führt das langfristig zu untypischen Belastungen mit der Gefahr der Arthrose. Die nichtoperativen Behandlungsverfahren sollten also auf jeden Fall ausgeschöpft werden, bevor eine Arthrodese an einem Fußgelenk erwogen wird.
Wenn eine Arthrodese notwendig ist, sollten so wenige Gelenke wie möglich versteift werden. Eine eingehende Diagnose, auch mit bildgebenden Verfahren, hilft uns, den Status der Fußgelenke im Sinne einer beweglichkeitserhaltenden Versorgung zu beurteilen.
Die Grunderkrankungen des Patienten bestimmen, welche Therapiealternativen wir anbieten. Um den kleinstmöglichen Eingriff durchzuführen, behandeln wir einen Knick-Senkfuß bevorzugt durch Naht oder Transplantation der Tibialis-posterior-Sehne und durch Stellungskorrektur der Knochen. Im Idealfall kann die Arthrose im unteren Sprunggelenk durch Früherkennung der Sehnenfehlfunktion bereits vor der Entwicklung der Arthrose im Fußgelenk korrigiert werden. Andere Fehlstellungen werden durch Fußgymnastik und Einlagen behandelt.
Ursachen für Fußfehlstellungen
Wenn z. B. nach einer Trümmerfraktur das Fersenbein stark verkürzt ist, kippt das Sprungbein nach hinten weg. Das Sprungbein hat aber eine besondere Anatomie im Rahmen seiner Funktion im oberen Sprunggelenk. Es ist vorne breiter als hinten. So führt diese Fehlstellung über Jahre durch Verkanten des Sprungbeins im oberen Sprunggelenk dort zu einem Arthrose-Schaden.
Es ist also nicht nur wichtig, die Rückfußfehlstellung bei einer subtalaren Versteifungsoperation zu begradigen, sondern auch der Längenausgleich des Fersenbeins ist von besonderer Bedeutung für die Stabilität im oberen Sprunggelenk.
Die Valgus-Fehlstellung (X-Stellung) geht häufig einher mit einem starken Knick-Senkfuß, bei dem das Fußlängsgewölbe stark abgeflacht ist.
Die Varus-Fehlstellung (O-Fehlstellung) geht hingegen häufig mit einer Hohlfuß-Fehlstellung, einer Klumpfußfehlstellung und diversen neurologischen Erkrankungen der Fußmuskulatur einher.
Das calcaneocuboidale Gelenk als Teil der Chopart-Gelenklinie

Die Rolle des Chopart-Gelenks
Die vorderen Anteile des unteren Sprunggelenks (TNG und CCG) bezeichnet man auch als Chopart-Gelenk. Bei einer möglichen Versteifung des oberen Sprunggelenks übernimmt das aus den beiden vorderen Anteilen des unteren Sprunggelenks zusammengesetzte Chopart-Gelenk die gesamte Restbeweglichkeit des Sprunggelenks, also Heben und Senken des Fußes. Das Chopart-Gelenk wird auch als Articulatio tarsi transversa – als vertikal bewegliches Fußgelenk vor dem Sprungbein bezeichnet. Es verläuft an der Fußwurzel quer zur Längsachse des Fußes und erbringt nach einer Versteifung des oberen Sprunggelenks die gesamte noch verfügbare Beweglichkeit des Fußes in vertikaler Richtung. Dabei unterstützt es dann auch in erheblichem Ausmaß die Abrollbewegung des Fußes.
Das calcaneocuboidale Gelenk (CCG) zwischen Fersenbein und Würfelbein trägt am wenigsten zur Gesamtbeweglichkeit des unteren Sprunggelenks bei. Es ist selten alleine von einer Arthrose des unteren Sprunggelenks betroffen, sondern fast immer als Folge von Störungen in den anderen Teilen des unteren Sprunggelenks. Vor allem als Teil des Chopart-Gelenks ist es von Bedeutung.
Manchmal wird lediglich die Versteifung der beiden vorderen unteren Sprunggelenke durchgeführt. Man spricht dann entsprechend von einer Chopart-Arthrodese.
Vorbereitende klinische Untersuchungen
Differentialdiagnosen:
- Gicht
- Rheuma
- Charcot-Erkrankung (diabetisch-neuropathischer Fuß)
Bei schmerzhaften Erkrankungen des Rückfußes sollten Gicht und Rheuma als Ursachen der Fußschmerzen ausgeschlossen werden. Eine Untersuchung des Blutes und der Gelenkflüssigkeit kann hier sehr hilfreich sein. Wenn aufgrund der Fußfehlstellungen und der klinisch feststellbaren, für degenerative Gelenkerkrankungen typischen Schmerzen die Ursache der Erkrankung klar erscheint, sind keine weiteren Laboruntersuchungen erforderlich.
Wie läuft die Operation der Triple-Arthrodese ab?

Für die Triple-Arthrodese entfernt der Fußchirurg zunächst den Knorpel in den betroffenen Gelenken: im Sprungbein-Fersenbein-Gelenk, im Sprungbein-Kahnbein-Gelenk und im Fersenbein-Würfelbein-Gelenk an der Fußwurzel.
Als nächstes werden die Knochenflächen vorbereitet, damit sie optimal zusammenpassen. In einigen Fällen ist es notwendig, Teile des Knochens zu entfernen oder zu glätten. Dann fixiert der Operateur die Knochen in der gewünschten Position. Dies kann mithilfe von Schrauben, Platten, Nägeln oder Drähten erfolgen, die die Knochen stabil aneinander halten.
Nachbehandlung und Rehabilitation nach der Triple-Arthrodese
Patienten bleiben 3 Nächte nach der Operation stationär in der Klinik. Es ist wichtig, den Fuß in den ersten 5 Tagen nach der Operation ständig hochzulegen, um Schwellungen vorzubeugen. Zwei Wochen nach dem Eingriff können die Nähte entfernt werden.
Nach der Versteifungsoperation brauchen die Knochen etwa 8 Wochen, um zusammenzuwachsen. In dieser Zeit muss der operierte Fuß durch Unterarmgehstützen entlastet werden. Um die Fußgelenke ruhigzustellen, trägt der Patient bis etwa 12 Wochen nach der Versteifungsoperation Unterschenkelorthesen.
Während der Fuß nach der Triple-Arthrodese nicht belastet oder bewegt werden darf, muss das obere Sprunggelenk sofort mobilisiert werden. Es sollte aber kein Training gegen Widerstand erfolgen. Lediglich die Beweglichkeit des oberen Sprunggelenks sollte trainiert werden.
Häufige Komplikation nach Triple-Arthrodese: Pseudarthrose
Komplikationen nach Triple-Arthrodese:
- Thrombose durch die lange Entlastung des operierten Fußes →Antikoagulationstherapie
- Pseudarthrosen, vor allem des Talonaviculargelenks → längere Immobilisierung, Stoßwelle.
- Infektionen → Antibiotika-Prophylaxe
- Implantatunverträglichkeit →Implantatentfernung
- Begleitarthrose in den benachbarten Gelenken
- Wundheilungsstörungen, vor allem bei Patienten mit Stoffwechselstörungen →besondere Sorgfalt bei der Weichteilbehandlung während der Operation
- Nervenverletzung → besondere Sorgfalt bei der Operation, Vermeidung von Narben
Die Pseudarthrose ist ein unvollständiges Zusammenwachsen einer Knochenfusion mit einer noch beweglichen, knöchern nicht vollständig durchbauten Verbindung. Diese Pseudarthrosen können sehr schmerzhaft sein und die betroffenen Patienten in ihrer Beweglichkeit stark einschränken. Wichtige Ursachen der mangelhaften Heilung ist eine zu frühe Belastung des operierten Fußes. Eine weitere Ursache für die Ausbildung einer Pseudarthrose nach Versteifung eines Fußgelenks kann in der Operationstechnik liegen: Wenn die Gelenke nicht genau in der optimalen Passform fixiert werden, behindert dies das Zusammenheilen. In einigen Fällen wurden die beiden Gelenkpartner auch vom Operateur unzureichend fixiert.
In Studien konnte aber nicht gezeigt werden, dass eine bestimmte Fusionsmethode besondere Vorteile bringt. Es ist ratsam, dem System zu vertrauen, mit dem der Fußspezialist die meiste Erfahrung und damit auch die größte Sicherheit in der Anwendung hat. Die innere Befestigung mit Schrauben im Vergleich zur äußeren Befestigung mit Platten ist vorteilhaft. Sie führt mit größerer Sicherheit zur vollständigen Arthrodesierung.
Ergebnisse und Zufriedenheit mit der Triple-Arthrodese
Voraussetzungen für eine erfolgreiche Arthrodese des unteren Sprunggelenks:
- Stabilität des oberen Sprunggelenks
- keine Arthrose des oberen Sprunggelenks
- keine Deformität bzw. Fehlstellung des oberen Sprunggelenks
- ausreichendes, intaktes Fersenfettpolster
- gute Durchblutung und guter Stoffwechsel
Nach unseren Erfahrungen sind die meisten Patienten auch 5 Jahre nach der Triple-Arthrodese zufrieden mit ihrer Lebensqualität. Postoperative Studien zur Situation von Patienten 5 Jahre nach der Triple-Arthrodese zeigen, dass 72 % der Patienten die Versteifung der Fußgelenke erneut durchführen würden. Nur 19 % der nachuntersuchten Patienten würden eine andere Behandlungsmethode vorziehen. Es stellte sich heraus, dass alle Patienten unzufrieden waren, die nach der Triple-Arthrodese eine Komplikation wie z. B. Pseudarthrose erlebt hatten. Fast immer wird durch eine Pseudarthrose eine Nachoperation (Re-Arthrodesierung) erforderlich. Inzwischen werden Pseudarthrosen auch konservativ mit der Stoßwellentherapie behandelt.
Insgesamt leistet die Triple-Arthrodese auch langfristig einen deutlichen Beitrag zur Verbesserung der Lebensqualität. Die Zufriedenheit nach der Versteifung der Fußgelenke war direkt abhängig von der operativen Sicherheit und Erfahrung des behandelnden Arztes und der korrekt durchgeführten Rehabilitation nach der Operation. Ein weiterer wichtiger Faktor war die Stabilität des oberen Sprunggelenks. Wenn dieses beweglich und arthrosefrei war, konnte die Versteifung des unteren Sprunggelenks gut kompensiert werden.
Röntgenkontrollen und Überprüfung der Heilung
Nach 4 Wochen und nach 8 Wochen sollte eine Röntgenkontrolle erfolgen. Günstig wäre auch eine Röntgenkontrolle nach 12 Wochen. Es ist wichtig, eine Pseudarthrose als Komplikation nach einer Triple-Arthrodese auszuschließen. Die Röntgenbilder geben Aufschluss über die zunehmende knöcherne Durchbauung der versteiften Gelenke nach einer Triple-Arthrodese. Ist eine Pseudarthrose sichtbar, rät der Arzt zu einer verlängerten Immobilisierung. Die Pseudarthrose tritt in 5–10 % aller Fälle auf. Eine Stoßwellentherapie kann diese mangelhafte knöcherne Durchbauung in vielen Fällen verbessern.
Literaturangaben
- Czurda, T., Seidl, M., Seiser, A. S., Schuh, R., Trnka, H. J., & Ritschl, P. (2009). Die Triple-Arthrodese in der Therapie degenerativer Rückfußfehlstellungen: Klinische, radiologische und pedobarografische Resultate. Zeitschrift für Orthopädie und Unfallchirurgie, 147(03), 356–361.
- Fink, B. (2005). Arthrodese des unteren Sprunggelenks. Trauma und Berufskrankheit, 7, 85–89.
- Militz, M., Gabel, J., & Schmeiser, G. (2006). Minimalinvasive Arthrodese des unteren Sprunggelenkes: Operative Technik und erste klinische Erfahrungen. Fuß & Sprunggelenk, 4(2), 118–122.
- Mückley, T., & Klos, K. (2010). Arthrodesen am Sprunggelenk und Rückfuß. Trauma und Berufskrankheit, 4(12), 387–396.
- Rehart, S., Peters, A., & Kerschbaumer, F. (1999). Arthrodesen am unteren Sprunggelenk beim Erwachsenen. Indikationen, Verfahren, Ergebnisse. Der Orthopäde, 28, 770–777.
- Richter, M. (2014). Arthrodese (mit/ohne Korrektur) des oberen und unteren Sprunggelenks. Operative Orthopädie und Traumatologie, 4(26), 385–400.