- Was ist ein Spreizfuß?
- Symptome und Folgen des Spreizfußes
- Ursachen des Spreizfußes
- Wann sollten Sie mit Spreizfuß zum Arzt?
- Konservative Therapie des Spreizfußes
- Fußgymnastik und Übungen bei Spreizfuß
- Operation des Spreizfußes

Bei einem Spreizfuß (lat. Pes transversoplanus) ist das Fußquergewölbe eingesunken. Die Mittelfußknochen weichen fächerförmig auseinander, statt gerade nach vorne zu zeigen. Der Vorfuß ist stark verbreitert, sodass Betroffene Schwierigkeiten haben, passende Schuhe zu finden. Auslöser für die Spreizfuß-Fehlstellung können Bindegewebsschwächen, Übergewicht und falsches Schuhwerk sein.
Die schmerzhaften Folgen eines Spreizfußes sind vor allem Schwielenbildung und Mittelfußschmerzen im Bereich der 2. bis 4. Mittelfußköpfchen, da diese durch das veränderte Gangbild übermäßig belastet werden. Auch eine Schleimbeutelentzündung (Bursitis) im Bereich des Vorfußes kann aus der Spreizfußfehlstellung resultieren. Der Spreizfuß wird vor allem konservativ behandelt mithilfe von orthopädischen Schuhanpassungen, Einlagen und Fußübungen. In schweren Fällen kann eine Spreizfußoperation bei einem Spezialisten für Fußerkrankungen den Betroffenen Linderung ihrer Fußschmerzen verschaffen.
Was ist ein Spreizfuß?
Im Gegensatz zum Senkfuß oder Plattfuß, bei dem das Fußlängsgewölbe abgeflacht ist, senkt sich beim Spreizfuß das vordere Quergewölbe des Fußes ab und der Vorfuß verbreitert sich. Das führt zu einer veränderten Belastung der Vorfußknochen. Auch die 2. bis 4. Mittelfußknochen werden massiv überlastet. Mit zunehmendem Alter tritt der Spreizfuß immer häufiger auf.
Der Spreizfuß resultiert aus einer zunehmenden Ermüdung oder Schwäche des Bindegewebes im Fuß. Übergewicht und langes Stehen im Beruf können die Spreizfußfehlstellung zusätzlich verstärken. Diese Strukturen verändern sich durch die ungewohnte Belastung. Der Spreizfuß ist Auslöser von Druckschwielen, Hühneraugen und schmerzhaften Veränderungen von Weichteilen (Schleimbeutel) und Knochen im Vorfuß.
Im Anfangsstadium ist der Spreizfuß meist noch nicht mit Schmerzen verbunden. Je mehr Druck auf die Mittelfußköpfchen der kleinen Zehen wirkt, umso deutlicher treten die schmerzhaften Folgen des Spreizfußes in den Vordergrund: Mittelfußschmerzen, Zehenfehlstellungen wie Hammerzehen oder Krallenzehen, Schleimbeutelentzündungen und Nerveneinklemmungen (Morton Neurom) gehören zu den häufigsten Folgen des Spreizfußes.
Wer ist von einem Spreizfuß betroffen?
Ein Spreizfuß betrifft Frauen wesentlich häufiger als Männer. Gründe dafür sind wahrscheinlich anatomische Unterschiede, aber auch die den Vorfuß einengende und belastende Schuhmode.
Der Spreizfuß ist kein fixierter Zustand. Die Fehlstellung entwickelt sich in einem fortwährenden Prozess. Die für einen Spreizfuß typischen Symptome verstärken sich immer weiter und die Funktion des Fußes verschlechtert sich.
Symptome und Folgen des Spreizfußes
Häufig ist der Spreizfuß über längere Zeit vollkommen beschwerdefrei. Erst später klagen Patienten meist über Schmerzen im Vorfußballen. Seltener, aber häufig besonders unangenehm, sind die Beschwerden im Übergang zwischen Mittelfußknochen und Fußwurzel. Diese Fußschmerzen legen häufig den Verdacht rheumatischer Erkrankungen nahe, die sich dann doch als Folge der Fehlbelastung durch den Spreizfuß herausstellen.
Der Spreizfuß kann zu Schwielen, zum Abbau der für die Dämpfung wichtigen Fettkörper der Fußsohle und zu Druckstellen führen, die sehr schmerzhaft und unästhetisch sind.
Vorfußschmerzen
Vorfußschmerzen können auch quer verlaufend im Bereich der gesamten Mittelfußköpfchen auftreten. Vor allem bei Belastung wird dieser Bereich schmerzhaft. Als typische Ausweichbewegung geht der Patient über die Außenkante des Fußes. Auf diese Weise verformen sich die Schuhe und die Fußsohle nutzt an der Außenseite stärker ab. Dies kann zur Schonhaltung des Fußes und zur Entlastung des zentralen Vorfußes über den Großzeh – also den 1. Zehenstrahl – führen.

Der Spreizfuß ändert das Gangbild
Der Spreizfuß spielt nicht nur beim Stehen eine Rolle. Auch beim Gehen und Joggen beim Abrollen und Abdrücken ("Push Off") des Fußes verändert der Spreizfuß in jeder Gangphase die Belastung in Mittelfuß und Vorfuß. Die Hauptbelastung des Vorfußes liegt beim Spreizfuß nicht mehr auf der Großzehe, sondern auf den Mittelfußköpfchen der 2., 3. und 4. Zehe. Ein Patient mit Spreizfuß rollt immer weniger gerade über den Vorfuß ab, sondern zunehmend über die Kleinzehen oder die Außenkante des Fußes. Dadurch biegt sich der Schuh nach außen und läuft sich schief ab. Auch längeres Gehen oder längere Gehstrecken werden schmerzhaft.
Rückbildung des Fußballenfettpolsters
Durch die verstärkte Belastung der Fußballen unter dem 2. bis 4. Zehenköpfchen kann sich das Fußballenfettpolster entzünden und langfristig zurückbilden. Die Rückbildung erhöht die Belastung der Gelenke, Sehnen, Bänder und Schleimbeutel. Je stärker sich das Fettpolster verringert, desto eher schmerzt es, wenn der Patient über den Vorfuß abrollt.
Es gibt mehrere mögliche Ursachen des verminderten Fettpolsters an der Fußsohle:
- Fehlbelastung und Überlastung des Vorfußes
- Rückbildung des Sohlenfettpolsters als Nebenwirkung von Kortisonbehandlungen
- Altersdegeneration des Sohlenfettpolsters
Metatarsalgie (Mittelfußschmerzen)
Beim fortgeschrittenen Spreizfuß kann es zu sehr heftigen Schmerzen im Bereich der Grundgelenke kommen. Man bezeichnet diese Schmerzen auch als zentrale Metatarsalgie (Mittelfußschmerzen).
Entzündliche Veränderungen der Zehengrundgelenke
Die ständige Überstreckung der Zehengrundgelenke, z. B. durch hochhackige Schuhe oder auch durch sehr weiche Schuhe ohne Halt im Zehenraum ("Flip Flops"), überdehnt die Gelenkkapseln. Das kann die Zehengrundgelenke reizen und zu Gelenkentzündungen führen, die bei jedem Schritt schmerzen.
Schwielen- und Hornhautbildung unter den Zehenköpfchen
Häufige Anzeichen für einen Spreizfuß sind schmerzhafte Schwielen und Hühneraugen unter den Zehenköpfchen. Die Abtragung der neugebildeten Hornhaut zeigt hier häufig nur einen geringen Effekt. Sie verstärkt die mechanische Belastung der Haut oft sogar. Folge ist eine chronische Entzündung.
Belastungsschmerzen und Ermüdbarkeit des Spreizfußes
Am häufigsten äußert sich ein Spreizfuß durch belastungsabhängige Schmerzen. Sie treten besonders beim Gehen und Stehen auf. In Ruhe lassen sie wieder nach.
Symptome wie Kribbeln, Brennen, unruhige Füße oder Taubheitsgefühl haben keine orthopädischen, sondern eher neurologische Ursachen. Diese Symptome können im Rahmen von Restless Legs, Burning Feets oder einer Polyneuropathie (Nervenschädigung) auftreten.
Spätfolgen des Spreizfußes: Hallux valgus, Hammerzehen, Metatarsalgie
Mit zunehmender Fehlstellung wird der Spreizfuß immer schmerzhafter. Das für den Spreizfuß charakteristische, durchgetretene Quergewölbe führt zu zahlreichen Folgeerkrankungen an Vorfuß, Mittelfuß, Zehen und Nerven. Dies schränkt die Gehfähigkeit ein. Um diese Folgeerkrankungen zu vermeiden, ist es besonders wichtig, den Spreizfuß durch Fußgymnastik (Übungen) und Therapie zu stabilisieren.
Hallux valgus:
Durch die Verbreiterung und Absenkung des Vorfußes entsteht häufig ein Hallux valgus (Ballenzeh).
Schneiderballen:
Gleichzeitig wandert die Kleinzehe zunehmend nach innen. Dies führt zu Veränderungen am Kleinzehengrundgelenk, zu Entzündungen der Schleimbeutel und zu schmerzhaften Schwellungen. Ein Schneiderballen entsteht.
Krallenzehen und Hammerzehen:
Die Zehengrundgelenke nehmen eine Fehlstellung ein. Schmerzhafte Hammerzehen oder Krallenzehen sind die Folge.
Vergrößerung des Fußes:
Durch die Spreizfußfehlstellung verlängert sich der Fuß etwas und die Schuhgröße kann sich erhöhen. Die Betroffenen haben oft Probleme, geeignetes Schuhwerk mit genügend Platz für den verbreiterten Fuß zu finden.
Hallux rigidus:
Hallux rigidus ist die Arthrose des Großzehengrundgelenks. Neben dem Hallux valgus ist die Großzehengrundgelenksarthrose die häufigste Folge des Spreizfußes.
Morton Neurom:
Das Morton Neurom ist die entzündliche Vergrößerung der Nervenhülle des Mittelfußnerven. Die Folge der auf den Nerven drückenden Gewebswucherung sind stechende Fußschmerzen oder Taubheit in den Zehen.
Metatarsalgie (Mittelfußschmerzen):

Durch die zunehmende Belastung der abgesunkenen Mittelfußköpfchen 2 bis 4 entstehen Schmerzen im Mittelfuß, eine sogenannte Metatarsalgie. Ursache sind neben Weichteilreizungen (Schleimbeutelentzündungen) überlastete Zehengrundgelenke und Mittelfußknochen. Die erhöhte Belastung der Mittelfußknochen kann zudem zu einer Marschfraktur (Ermüdungsbruch) der Mittelfußknochen führen.
Fußwurzelarthrose (Lisfranc-Arthrose):
Die veränderte Belastung der Mittelfußköpfchen kann eine Schädigung und Arthrose der Fußwurzelgelenke verursachen.
Ursachen des Spreizfußes
Einen Spreizfuß erwirbt man fast immer im Erwachsenenalter. Selten ist er angeboren. Der Spreizfuß ist eine Aufspreizung des Vorfußes durch eine Belastung, die die Tragfähigkeit des Bandapparates überfordert. Auch die Leistungsfähigkeit der intrinsischen Fußmuskulatur (Muskulatur, die im Fuß selbst lokalisiert ist) reicht nicht aus, um das normale Fußgewölbe aufrechtzuerhalten. Die Ursachen dafür können sehr unterschiedlich sein. Häufig sind sie im Bereich der Lebensweise zu finden. Frauen betrifft der Spreizfuß aufgrund der im Durchschnitt sehr fußschädlichen Schuhmode wesentlich häufiger als Männer.
Auch wenn Kleinkinder immer frühzeitiger Schuhe mit starrer oder gar stützender Fußsohle tragen, behindert dies die normale Fußreifung. Das ist ein kultureller Faktor, der Fußfehlstellungen auch im Erwachsenenalter begünstigt.
Genetische Ursachen des Spreizfußes: familiäre Häufung
In einzelnen Familien tritt der Spreizfuß vermehrt auf. Wahrscheinlich beruht die Häufung auf einer genetischen Veranlagung zu schwächeren Bändern und Bindegeweben. Weitere genetische Ursachen sind Fehlstellungen von Fußwurzelgelenken, Instabilität der Fußwurzel oder eine angeborene Schwäche der intrinsischen (d. h. am Fuß lokalisierten) Fußmuskeln.
Es können schon Kinder von einem Spreizfuß betroffen sein. Dann steckt meist eine genetische Veranlagung dahinter.
Erkrankungen und Verletzungen als Ursache des Spreizfußes
Bestimmte Grunderkrankungen und Verletzungen können zu einem Spreizfuß führen:
- Traumata und Verletzungen
- Lähmungen durch Schädigungen des Nervensystems
- Bandschwäche
- Knochenerkrankungen wie z. B. Knochennekrosen
- rheumatische Erkrankungen
- Hohlfuß mit Steilstellung der Mittelfußknochen
Überlastung, Schuhmode und Übergewicht als Ursache des Spreizfußes

Zu den häufigsten Ursachen des erworbenen Spreizfußes gehören Umstände aus der Lebensweise der Patienten. Die starke Belastung der Füße überfordert die zunehmend unelastischen Bänder. Auf diese Weise verkümmert die intrinsische Fußmuskulatur und ein Spreizfuß entsteht. Deshalb ist der Spreizfuß eine Erkrankung, die meist in der zweiten Lebenshälfte auftritt.
Die massiv veränderte Belastung der Gelenke und Zehen und die ungünstige Zehenstellung beim Abrollen führen zu Folgeschäden und Fußschmerzen. Die Gelenkkapseln der Grundgelenke werden ständig überdehnt und können im Verlauf reißen. Dies ist ein wesentlicher Grund für die entstehende Fehlstellung der Kleinzehen.
Folgende Umstände und Gewohnheiten, die sich in Kombination gegenseitig verstärken, erhöhen die Belastung der Bänder und Muskulatur im Vorfuß und verursachen den Spreizfuß mit dem typischen abgeflachten Fußquergewölbe:
- Das Tragen von spitz zulaufenden Schuhen (Pumps) lässt die Fußmuskulatur verkümmern.
- Das Tragen von hohen Absätzen (High Heels) bringt dauerhaft zu viel Last auf den Vorfuß und die Zehengelenke.
- Übergewicht erhöht die Last auf das Quergewölbe des Vorfußes.
- Häufiges – auch beruflich bedingtes – Stehen belastet den Fuß.
- Durch Vermeiden unebener Böden und Barfußlaufen fehlen dem Fuß Außenreize.
- Mit zunehmendem Alter nimmt das Fettpolster an der Fußsohle ab.
Wann sollten Sie mit Spreizfuß zum Arzt?
Mit einem Spreizfuß sollten Sie so frühzeitig wie möglich zum Arzt. Eine geeignete Therapie, Übungen und Einlagen können das Fortschreiten der Fußfehlstellung stark verlangsamen. Das Ziel der konservativen Therapie ist die Vermeidung der oben geschilderten, schwerwiegenden und schmerzhaften Folgeerkrankungen des Spreizfußes. Auch Fragestellungen, inwiefern z. B. Barfußlaufen noch sinnvoll ist oder inzwischen sogar schädlich sein kann, sind durch den Arzt zu prüfen. Hierzu ist die Ganganalyse oder podometrische Untersuchung (Fußdruckmessung) des Ganges besonders hilfreich.
Spätestens, wenn Sie durch die Fußfehlstellung schon Schmerzen haben und Ihre Gehstrecken im Alltag eingeschränkt sind, sollten Sie einen Fußspezialisten aufsuchen.
Untersuchung des Spreizfußes

Der Spreizfuß ist häufig eine Blickdiagnose: Die fächerförmige Ausbreitung der Mittelfußknochen ist typisch. Dazu kommen die Veränderungen der Zehen und der Haut unter den Zehenköpfchen. Das alleine reicht für die Diagnosestellung aber noch nicht aus.
Anhand der Befragung des Betroffenen und der körperlichen Untersuchung kann der Arzt häufig bereits die Diagnose stellen. Ein Spreizfuß weist an der Fußsohle unter den Zehenköpfchen ein typisches Muster an Schwielen und Hühneraugen auf.
Dieses Muster entsteht durch die Fehlstellungen der Zehen und des Vorfußes.
Klinische Untersuchung des Spreizfußes
Die klinische Untersuchung der Wadendehnung bei gestrecktem und gebeugtem Kniegelenk ist ebenfalls wichtig. Sie liefert Hinweise auf eine erhöhte Vorfußbelastung durch ein verändertes Abrollverhalten (Silfverskjöld-Test). Auch die Beweglichkeit des oberen Sprunggelenkes ist maßgeblich für die Beurteilung der Belastung des Vorfußes. Wenn das Sprunggelenk nur noch eingeschränkt beweglich ist, müssen die Fußgelenke, aber auch der Vorfuß dies als zusätzliche Belastung kompensieren.
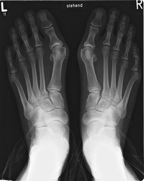
Röntgenuntersuchung des Spreizfußes

Im Röntgenbild kann der Arzt die veränderten Winkel zwischen den Mittelfußknochen messen, um so das Ausmaß des Spreizfußes abzuschätzen. Das Röntgenbild sollte unter Belastung durchgeführt werden. Der Patient muss also stehen und sein ganzes Körpergewicht auf den Fuß bringen. Anhand der Bilder erkennt der Arzt auch Folgeschäden an den Gelenken. Indirekte Zeichen für eine Instabilität, z. B. die Lisfranc-Gelenklinie (gedachte Linie zwischen Fußwurzel und Mittelfußknochen), können sichtbar gemacht werden.
Dynamische Ganganalyse bei einem Spreizfuß

Bei der dynamischen Ganganalyse läuft der Patient über ein Laufband mit integrierter Messstation. Dies misst den Bodendruck, den der Fuß beim Abrollen ausübt. Die Bereiche mit einer hohen Belastung sind rot eingefärbt. Bereiche mit geringer Belastung erscheinen in blau.
Bei einem Spreizfuß ändert sich die Belastung des Vorfußes durch das eingesunkene Quergewölbe. Dies zeigt auch die Ganganalyse. Das System stellt einen Zusammenhang zwischen Bewegung, Haltung und Schmerzen her.

Differentialdiagnose des Spreizfußes
Ein sehr wichtiger Bereich der ärztlichen Diagnose besteht in der Eingrenzung der Schmerzursachen. Es gibt zahlreiche andere Erkrankungen, die zu ähnlichen Beschwerden wie der Spreizfuß führen können:
- infektiöse Entzündungen an der Fußsohle wie ein Schwielenabszess
- Morbus Köhler: Knochennekrose der Mittelfußköpfchen v.a. bei jungen Mädchen
- Rheuma und rheumatoide Arthritis
- Gicht und andere Kristallarthropathien
- Sehnenscheidenentzündung der Beugesehnen
- Sohlenwarzen (ähneln den typischen Druckschwielen unter den Zehenköpfchen)
Konservative Therapie des Spreizfußes
Eine Therapie des Spreizfußes ist erst dann nötig, wenn der Betroffene unter Beschwerden leidet. Eine Prophylaxe sollte der Patient bei sichtbarem Spreizfuß und Veränderung der Fußform aber bereits frühzeitig beginnen, um weitere Schäden zu vermeiden. Diese notwendigen Veränderungen der Lebensweise muss der Patient aus eigenem Antrieb durchführen. Es ist sinnvoll, den Spreizfuß so schnell wie möglich zu therapieren, um das Fortschreiten zu verlangsamen. Meist lässt sich die zunehmende Fehlbelastung mit der damit verbundenen Schädigung der Gewebe des Vorfußes vermeiden.
Spezielle Einlagen mit Pelotten unterstützen das Quergewölbe des Fußes und verhindern, dass es beim Gehen oder Joggen stark einsinkt.

Konservative Behandlungsmöglichkeiten:
- Fußgymnastik und Training der intrinsischen Fußmuskeln
- Entlastung der Druckstellen durch weitere, aber nicht zu weite, bequeme Schuhe
- leichte seitliche Führung des Fußes durch den Schuh
- Einlagen zur Stützung des Quergewölbes über den Zehenköpfchen
- Wechselbäder
- Kühlung des Fußes bei entzündlicher Reizung
- entzündungshemmende und schmerzstillende Medikamente
Eine konservative Therapie des Spreizfußes ist immer sinnvoll, auch wenn ein bereits vorhandener Spreizfuß sich nicht mehr zurückbilden kann. Jede Therapie hat das Potenzial, dem Fortschritt der Fehlstellung und damit der Überlastung der Zehengrundgelenke und Weichteile im Vorfußbereich entgegenzuwirken. Auch wenn sich das vordere Fußgewölbe meist nicht wiederherstellen lässt, können therapeutische Maßnahmen die Schmerzen deutlich reduzieren und die Gewebe im Vorfuß- und Zehenbereich gesund erhalten.
Intensive physikalisch-therapeutische Therapiemaßnahmen können Entzündungen und Überlastungsschmerzen im Vorfußbereich mildern. Sie können dies zu Hause durch Wechselduschen Ihrer Füße durchführen.
Regelmäßige basische Fußbäder ("Totes-Meer-Salz") reduzieren die Entzündungsneigung Ihres Vorfußes und die Schmerzen in den Zehengrundgelenken deutlich.
Medikamentöse Schmerz- und Entzündungstherapie bei Spreizfuß
Bei ausgeprägten entzündlichen Schmerzen im Vorfußbereich helfen nichtsteroidale Antirheumatika (NSAR) wie Ibuprofen oder Diclofenac.
Orthopädietechnik: Schuhe und Einlagen
Spreizfußeinlage
Die am weitesten verbreitete konservative Maßnahme zur Behandlung eines Spreizfußes ist die Einlage. Ein Wulst hebt das Fußgewölbe direkt hinter den Vorfußköpfchen an. Orthopädische Schuhanpassungen beinhalten häufig eine Rolle, die den Druck beim Abrollen des Fußes besser verteilt.
Schmetterlingsrolle
Der Einbau einer Schmetterlingsrolle in den Schuh kann sich lohnen. Diese gibt den Mittelfußköpfchen beim Abrollen genügend Platz nach unten zur Fußsohle. Die Schmetterlingsrolle entlastet gezielt die beim Spreizfuß stark belasteten Mittelfußköpfchen durch eine gepolsterte Aussparung der Schuhsohle.
Fußbandage
Eine Fußbandage hält den verbreiterten Vorfuß zusammen, sodass wieder ein Vorfußgewölbe entsteht. Ein spezieller Einsatz (Pelotte) stützt das Fußquergewölbe aktiv. Dies ist eine relativ unwirksame Maßnahme, die aber teilweise dem Patienten hilft, die Zeit bis zu einer Operation des Spreizfußes zu überstehen.
Tapen der Zehen
Auch das Tapen der Zehen zur Fußsohle hin kann helfen, Beschwerden zu lindern und einer Instabilität entgegenzuwirken.
Starre Schuhsohle
Wenn stark entzündete Zehengrundgelenke schon zu stechenden Schmerzen und Metatarsalgie (Mittelfußschmerzen) geführt haben, kann eine starre Fußsohle diese zeitweise entlasten. Die Entzündung kann sich zurückbilden. Die starre Schuheinlage sollte immer bereitgehalten werden, um die Zehen bei einem möglichen Rückfall wieder zu entlasten.
Fußgymnastik und Übungen bei Spreizfuß
Physiotherapeutische Übungen kräftigen die gesamte intrinsische Muskulatur des Fußes und wirken dadurch der fortschreitenden Spreizfußfehlstellung entgegen.
Sie können diese Übungen von spezialisierten Physiotherapeuten erlernen. Die weit verbreiteten Greifübungen mit den Zehen sollten Sie hingegen nicht durchführen, da sie schädlich sind und Fehlstellungen sogar verstärken.
Wirksame Übungen schulen die Wahrnehmung des Fußes. Sie müssen immer bei gestreckten Zehen erfolgen. Regelmäßige Eigenübungen sind der Schlüssel zum Erfolg.
Die intensive Physiotherapie des Fußes muss auch die Wadenmuskulatur einbeziehen, da diese häufig von Fehlstellungen im Bereich der Fußgewölbe betroffen ist. Aus der Wade verlaufen zahlreiche Sehnen in den Fuß hinein. Eine verkrampfte, schmerzhafte und wenig leistungsfähige Wadenmuskulatur ist nicht geeignet, um ein gesundes Fußgewölbe zu steuern.
Folgende Übungen können Ihnen dabei helfen, Ihr Quergewölbe zu trainieren und den Spreizfuß zu verringern. Manche dieser Übungen erfordern eine gezielte Ansteuerung der betroffenen Muskeln. Lassen Sie sich nicht entmutigen, wenn die Übungen nicht auf Anhieb wie beschrieben funktionieren. Bei Gymnastik zum Spreizfuß gilt: Übung macht den Meister.
Übung 1: dynamische Kräftigung des langen Wadenbeinmuskels (M. peronaeus longus)
Hilfsmittel: Gymnastikband.
Ausgangsstellung: Sitzen Sie auf einem Stuhl. Das Knie des betroffenen Fußes ist leicht nach außen gekippt und sollte während der gesamten Übung in dieser Position bleiben. Der Fuß ist auf den Außenrand gekippt. Schieben Sie das Ende des Gymnastikbandes unter das äußere Drittel der Ferse und fixieren Sie es damit. Ziehen Sie dann eine Schlaufe um das Großzehengrundgelenk. Führen Sie das Band anschließend nach außen und halten und fixieren es dort.
Durchführung: Drücken Sie nun das Großzehengrundgelenk gegen den Widerstand des Gymnastikbandes zum Boden und achten Sie dabei darauf, dass das Knie nach außen gekippt bleibt und die Ferse nur außen belastet wird.
Wiederholen Sie die Übung pro betroffenem Fuß 10-mal. Dies entspricht einem Satz. Führen Sie 2–3 Sätze durch mit jeweils circa 30 Sekunden Pause zwischen den Sätzen. Üben Sie mindestens 2- bis 3-mal pro Woche.



Übung 2: Mobilisation des Quergewölbes

Ausgangsstellung: Sitz auf dem Boden oder einem Stuhl. Nehmen Sie Ihren Vorfuß in beide Hände, sodass die Finger die Fußsohle berühren und die Handballen jeweils am Groß- und Kleinzehenballen anliegen.
Durchführung: Rollen Sie beide Zehenballen behutsam nach unten innen und üben Sie gleichzeitig mit den Fingerkuppen eine sanften Druck in der Mitte der Fußsohle aus. Sie sehen nun, wie sich ein schönes Quergewölbe aufbaut und die Zehenknöchel in einem gleichmäßigen C- Bogen aufgereiht sind.
Wiederholen Sie diese Bewegung pro betroffenem Fuß 10-mal rhythmisch und leicht. Dies entspricht einem Satz. Führen Sie 2–3 Sätze durch mit jeweils circa 30 Sekunden Pause zwischen den Sätzen. Üben Sie mindestens 2- bis 3-mal pro Woche.
Übung 3: Ansteuerung der kleinen Fußmuskeln
Ausgangsstellung: Sitz auf dem Boden oder Stuhl. Nehmen Sie den Vorfuß in eine Hand und geben Sie einen sanften Druck an Groß- und Kleinzehenballen, sodass ein schönes Quergewölbe entsteht.
Durchführung: Lassen Sie nun den Druck durch Ihre Hand langsam los und halten Sie durch Anspannen Ihrer kleinen Fußmuskeln das Quergewölbe aufrecht. Halten Sie die Spannung für 10 Sekunden und wiederholen Sie die Übung aufs Neue. Diese Bewegung erfordert Übung. Lassen Sie sich nicht entmutigen, wenn Sie das Quergewölbe zu Beginn nicht aufrechterhalten können.
Wiederholen Sie diese Bewegung pro betroffenem Fuß 10-mal. Dies entspricht einem Satz. Führen Sie 2–3 Sätze durch mit jeweils circa 30 Sekunden Pause zwischen den Sätzen. Üben Sie mindestens 2- bis 3-mal pro Woche.


Übung 4: Ball und C-Bogen
Hilfsmittel: Ball.
Ausgangsstellung: Sitz oder Stand. Der betroffene Vorfuß ist leicht auf einem Ball abgestellt.
Durchführung: Modellieren Sie Ihren Groß- und Kleinzehenballen sanft um den Ball. Sie sollten das Gefühl haben, den Ball zu umschließen. Sie sehen jetzt, dass die Grundgelenke der Zehen einen C-Bogen bilden. Dies ist das Quergewölbe. Versuchen Sie diesen Bogen zu halten und lösen Sie langsam den Kontakt zum Ball, bis Sie über ihm schweben. Diese Bewegung erfordert Übung. Lassen Sie sich nicht entmutigen, wenn Sie das Quergewölbe zu Beginn nicht aufrechterhalten können.
Wiederholen Sie diese Bewegung pro betroffenem Fuß 10-mal. Dies entspricht einem Satz. Führen Sie 2–3 Sätze durch mit jeweils circa 30 Sekunden Pause zwischen den Sätzen. Üben Sie mindestens 2- bis 3-mal pro Woche.


Übung 5: Quergewölbe im Gehen aktivieren
Ausgangsstellung: Stand, der betroffene Fuß steht weit hinten. Die Ferse ist losgelöst, die Zehenballen und Zehen haben satten Kontakt zum Boden.
Durchführung: Aktivieren Sie mit einem kräftigen Impuls das Quergewölbe und bringen Sie den Fuß schwungvoll nach vorne. Sie können sich vorstellen, dass Sie einen kleinen Gegenstand vom Boden mitnehmen wollen. Achten Sie darauf, dass wenn Sie nach vorne schnellen, die Zehengrundgelenke gebeugt sind. Sie sollten dabei Ihre Fußnägel noch erkennen können und die Zehen nicht krallen.
Wiederholen Sie diese Bewegung pro betroffenem Fuß 15-mal. Dies entspricht einem Satz. Führen Sie 2–3 Sätze durch mit jeweils circa 30 Sekunden Pause zwischen den Sätzen. Üben Sie mindestens 2- bis 3-mal pro Woche.


Operation des Spreizfußes
Eine operative Therapie des Fußes ist immer dann sinnvoll, wenn anhaltende und differenzierte konservative Behandlungen die Fußschmerzen nicht langfristig gelindert haben. Eine Operation kann die Belastbarkeit des Vorfußes im Alltag wiederherstellen.
In die Planung einer Operation bei einem Spreizfuß muss immer die Gesamtsituation des Fußes integriert werden. Ist die Bewegung des oberen Sprunggelenks eingeschränkt? Sind die Fußwurzelgelenke instabil oder von Arthrose befallen? Geben Wadenmuskulatur und Sehnen andere Bewegungsmuster auch nach einer erfolgreichen Operation frei? Um Misserfolge zu vermeiden, ist für die Planung einer Spreizfußoperation eine spezialisierte fußorthopädische Aufarbeitung des gesamten Fußes und Unterschenkels erforderlich.
Weil-Osteotomie: Umstellungsoperation der Mittelfußknochen
Eine Osteotomie (Knochenumstellung) nahe der Basis der 2. bis 4. Mittelfußknochen hebt diese Knochen an und verschmälert gleichzeitig das Fußskelett. Die Belastung auf Vorfuß und Zehenköpfchen wird wieder normalisiert und die Zehenstrahlen nach vorne ausgerichtet.
Nach der Operation muss der Patient den Fuß bis zur Einheilung der Mittelfußknochen in der neuen Position mit einem Therapieschuh ruhigstellen. Nach dem Eingriff ist Krankengymnastik erforderlich, die Muskeln und Bänder am Fuß und am Unterschenkel kräftigt. Physiotherapeutische Übungen gleichen die Folgen einer schon lange bestehenden Fehlstellung aus. Viele Patienten brauchen je nach Schwere der Veränderung nach der Operation keine Einlegesohlen mehr. Teilweise sind Einlagen aber unterstützend bei schweren Schäden im Verlauf noch sinnvoll.
Nachsorge und Reha nach Weil-Osteotomie
Die Zehenknochen werden bei der Weil-Osteotomie meist mit einer bioresorbierbaren Schraube in der neuen Position fixiert, die vom Körper nach 12 bis 18 Monaten selbst abgebaut wird. Eine Metallentfernung ist daher nicht erforderlich.
Nach einer operativen Knochenumstellung ist eine physiotherapeutische Nachbehandlung sinnvoll, um die Folgen der zuvor häufig schon lange bestehenden Fehlstellung auszugleichen.
Nach der Spreizfußoperation trägt der Patient etwa sechs Wochen lang einen speziellen Therapieschuh mit starrer Sohle. Nach 3 Monaten ist Laufsport wieder erlaubt.
Operation von Folgeerkrankungen des Spreizfußes: Fehlstellung der Zehen
Eine Operation kann die Stellung der Mittelfußknochen und durch Spreizfuß verursachte Zehendeformitäten korrigieren (OP von Krallenzehen und Hammerzehen, Hallux-valgus-Operation).
Für die einzelnen Zehen gibt es wiederum unterschiedliche Operationstechniken. Je nach Ausprägung und Schmerzen korrigiert man den Hallux valgus durch eine Verschiebung (Chevron-Osteotomie) oder mittels Keilentnahme. Auch für den Hammerzeh bestehen verschiedene Operationstechniken. Ob die Operation nach Hohmann, nach Weil oder nach Girdlestone im Einzelfall die geeignete ist, muss individuell untersucht werden.
Operation bei Morton Neurom: Nervenentlastung oder Nervenentfernung?
Bei einem schmerzhaften Morton Neurom, einer der häufigsten Folgen des Spreizfußes, kann eine Nervenentfernung helfen. Ein kleines Neurom der Nervi plantares (Nerven an der Fußsohle) kann häufig durch eine Dekompression (Entlastung) behandelt werden. Die Weitung des Transversalbandes und bei starkem Spreizfuß auch eine Osteotomie der Mittelfußknochen kann den Druck auf den entzündeten Nerven reduzieren. Dadurch erfolgt innerhalb weniger Wochen eine Abschwellung des schmerzhaften Morton Neuroms.
Manchmal ist der Durchmesser des Morton Neuroms aber schon recht groß. Dann kann auch eine Entlastung nicht mehr helfen, den Druck auf den Nerven zu reduzieren. In diesem Fall muss der geschwollene Nerv operativ entfernt werden. Auch hier ist zu beachten, dass eine begleitende Dekompression ein erneutes Entzünden des Nervenstumpfes vermeiden kann.
Literaturangaben
- Garten, H. (2016). Konservative Behandlung der Metatarsalgie. Zeitschrift für Komplementärmedizin, 8(03), 34–37.
- Gaulke, R. (2018). Besonderheiten des entzündlich rheumatischen Spreizfußes. Orthopädie & Rheuma, 21(5), 24–28.
- Geigner, B. (2019). Konservative Therapie häufiger orthopädischer Fußkrankheiten. Orthopädie & Rheuma, 22(2), 43–47.
- Grifka, J. (2005). Einlagen, Schuhzurichtungen, orthopädische Schuhe. Thieme Georg Verlag.
- Niethard, F. U., Pfeil, J. & Biberthaler, P. (2009). Orthopädie und Unfallchirurgie. Stuttgart: Thieme.
- Henniger, M., & Rehart, S. (2019). Fußdeformität des Rheumatikers. rheuma plus, 1–6.
- Knies, J., Huneke, M., & Thürriegl, B. (2016). Fußschmerz. Zeitschrift für Komplementärmedizin, 8(03), 42–43.
- Larsen, C. (2017). Heimübungen bei Fußbeschwerden – Für ein gutes Gehvermögen. physiopraxis, 15(03), 35–35.
- Orthofer, P. (2004). Orthopädietechnik. Huber Hans.
- Schievink, F. (2017). Orthopädieschuhtechnische Versorgung mit Einlagen und orthopädischen Schuhzurichtungen. Fuß & Sprunggelenk, 15(4), 217–224.
- Schuh, A., Jezussek, D., Scheller, A., & Hönle, W. (2016). Kleine Fußübel, die große Schmerzen bereiten. MMW-Fortschritte der Medizin, 158(21-22), 60–62.
- Stukenborg-Colsman, C., Claaßen, L., Ettinger, S., Yao, D., Lerch, M., & Plaaß, C. (2017). Distale Korrekturosteotomie zur Behandlung des Hallux valgus (Chevron-Osteotomie). Der Orthopäde, 46(5), 402–407.
- Valderrabano, V., Engelhardt, M. & Küster, H. -. (2008). Fuß & Sprunggelenk und Sport: Empfehlungen von Sportarten aus orthopädischer und sportmedizinischer Sicht. Deutscher Ärzte-Verlag.
- Wülker, N. (2005). Taschenlehrbuch Orthopädie und Unfallchirurgie. Stuttgart: Thieme.