- Anatomie: Der Humeruskopf ist ein wichtiger Teil des Schultergelenks
- Ursachen der Humeruskopffraktur: Wann bricht der Oberarmkopf?
- Welche akuten Symptome treten bei einer proximalen Humerusfraktur auf?
- Folgeschäden nach Humeruskopffraktur
- Diagnose: Wie untersucht der Orthopäde eine Humeruskopffraktur?
- Therapie: Wie behandelt der Schulterspezialist einen Bruch des Oberarmkopfes?
- Wie sieht die Nachbehandlung der proximalen Humerusfraktur aus?
- Prognose der proximalen Humerusfraktur
- Häufig gestellte Patientenfragen zur Humeruskopffraktur
Ein Bruch des Oberarmkopfes, der Kugel des Schultergelenks (Humeruskopf), entsteht bei jüngeren Patienten meist durch Unfälle. Bei älteren Patienten kommt der Bruch des Oberarmkopfes meist im Zusammenhang mit vermehrtem Knochenabbau (Osteoporose) vor. Nach dem Oberschenkelhals- und dem Unterarmbruch am Handgelenk ist der Bruch des Oberarmkopfes die dritthäufigste Fraktur bei älteren Patienten.
Die Schulter ist das beweglichste Gelenk im menschlichen Körper. Der Humeruskopf – der obere Teil des Oberarmknochens – ist ein wichtiger Teil der Schulter. Brüche des Humeruskopfes führen akut und eventuell auch langfristig dazu, dass der Patient die Schulter nur noch eingeschränkt bewegen kann.
Anatomie: Der Humeruskopf ist ein wichtiger Teil des Schultergelenks
Der Oberarmknochen (Humerus) ist ein langer, gerader Röhrenknochen. Das obere (proximale) Ende des Humerus ist ein kugeliger Kopf, der mit der Gelenkfläche des Schulterblattes (Glenoid) das Schultergelenk bildet. Es handelt sich damit um ein Kugelgelenk. Das untere (distale) Ende des Humerus ergibt mit den beiden Knochen Elle (Ulna) und Speiche (Radius) das Ellenbogengelenk.

Die gelenkseitige Oberfläche des Oberarmkopfes ist von einer Knorpelschicht überzogen. Diese ist etwa viermal größer als die flache Schultergelenkpfanne, in die sich der Oberarmkopf einfügt. Dieses Missverhältnis ermöglicht die enorme Beweglichkeit des Schultergelenks.
Von allen Gelenken hat die Schulter den größten Bewegungsumfang. So kann der Mensch den Arm in alle Richtungen bewegen. Die angrenzenden Weichteile (Sehnen, Muskeln und Bänder) stabilisieren das Schultergelenk.
An die Gelenkfläche des Humeruskopfes schließt sich der Hals des Oberarmknochens an (Collum anatomicum). Zwei kräftige Höcker dienen als Ansatzstellen für die Sehnen der Rotatorenmanschette: Die Supraspinatussehne setzt am Tuberculum majus an, die Subscapularissehne am kleineren Tuberculum minus. Eine kleine Rinne trennt die beiden knöchernen Vorsprünge voneinander. In dieser Vertiefung verläuft die lange Bizepssehne.
Darunter verschlankt sich der Humerus zum Collum chirurgicum, das eine mechanische Schwachstelle im Knochen darstellt: In diesem Bereich treten die häufigsten Knochenbrüche des proximalen Humerus auf.
Daran schließt sich der Humerusschaft an, an dessen Aussenseite der Deltamuskel (Musculus deltoideus) ansetzt. Er ist unter anderem für das Heben des Armes zuständig. Die Innenseite des oberen Humerusschaftes ist Ansatzpunkt für den Pektoralismuskel. Dieser kräftige Brustmuskel zieht den Oberarm im Fall eines Bruches häufig nach innen zur Körpermitte.
Als Folge eines Unfalls können unterschiedliche Strukturen des Oberarmkopfes verletzt werden. Diese Verletzungen unterscheiden sich in ihren Symptomen, ihrer Diagnostik, ihrer Therapie und ihrer Prognose.
Ursachen der Humeruskopffraktur: Wann bricht der Oberarmkopf?
Mögliche Ursachen des Oberarmkopfbruches:
Bei einer proximalen Humeruskopffraktur hat sich der Patient einen Bruch am oberen Ende des Oberarmknochens zugezogen. Dabei können ein oder mehrere Bruchteile entstehen, die eventuell zueinander verschoben (disloziert) sind. Außerdem muss der behandelnde Arzt exakt bestimmen, an welcher Stelle der Oberarmkopf gebrochen ist.
Eine Humeruskopffraktur betrifft sehr häufig ältere Menschen mit einer verminderten Knochendichte. Ein typischer Unfallhergang ist ein Sturz auf den ausgestreckten Arm. Das bedeutet, die Fraktur entsteht indirekt durch eine Stauchung auf die ausgestreckte Hand oder den Ellenbogen. Selten entstehen Humeruskopffrakturen durch direkte Gewalteinwirkung.
Oberarmkopfbruch bei älteren Patienten mit Knochenschwund (Osteoporose)
Bei Patienten mit Osteoporose reicht oft ein einfacher Sturz aus geringer Standhöhe: Stolpern über die Bordsteinkante oder Ausrutschen auf glattem Untergrund genügt, damit der Oberarmkopf bricht. Knochen mit schwacher Knochensubstanz brechen bereits bei geringer Sturzenergie.
Osteoporose tritt häufig mit zunehmendem Alter auf und beginnt etwa mit den Wechseljahren. Menschen über 60 Jahren sind besonders gefährdet, eine Humeruskopffraktur zu erleiden. Frauen sind dabei doppelt so häufig betroffen wie Männer.
Oberarmkopfbruch bei jungen Patienten

Ursachen für Frakturen des Oberarmkopfes bei jüngeren Menschen, sind meist Unfälle mit hoher Sturzenergie (Hochrasanztrauma). Dies passiert beispielsweise im Rahmen eines Verkehrsunfalls, beim Skifahren oder Mountainbiking. Auch im Reitsport treten Oberamkopfbrüche nach Stürzen gehäuft auf.
Oberarmkopfbruch bei bösartiger Erkrankung
In seltenen Fällen verursacht ein bösartiger Tumor oder eine Tochtergeschwulst (Metastase) im Knochen einen Bruch des Oberarmkopfes, da die innere Knochensubstanz geschwächt ist. Diese Brüche verlaufen oft spontan, also ohne traumatisches Ereignis.
Welche akuten Symptome treten bei einer proximalen Humerusfraktur auf?
Symptome der Humeruskopffraktur:
- Schulterschmerzen
- Bewegungseinschränkungen
- Schonhaltung
- Schwellung von Schulter und Oberarm
- Bluterguss (Hämatom)
Wie bei allen Brüchen (Frakturen) ist auch bei einer Humeruskopffraktur das Hauptsymptom der Schmerz. Die meisten Patienten können ihren Arm nicht mehr schmerzfrei bewegen und halten den verletzten Arm typischerweise in Schonhaltung eng am Brustkorb. Die Schulter und der Oberarm schwellen manchmal deutlich an.
Etwas verzögert können bei einer Humeruskopffraktur Blutergüsse (Hämatome) auftreten, die sich nach ein paar Tagen über den gesamten Arm ausbreiten. Selten treten Verletzungen von Nerven oder offene Frakturen (Brüche mit verletzter Haut) auf.
Sonderfall: Schulterluxation mit Humeruskopffraktur
Eine Sonderform der Schultergelenkverletzung ist eine Fraktur des Oberarmkopfes kombiniert mit einer Verrenkung (Luxation) des Humeruskopfes aus der Schultergelenkpfanne. Dieser Typ der Verletzung ist selten und entsteht meist bei jungen Patienten nach Sportunfällen.
Fast immer sind diese Luxationen nach vorn gerichtet. Der vordere Rand der Gelenkpfanne kann dabei eine Delle in den hinteren Oberarmkopf drücken (sogenannte Hill-Sachs-Läsion). Das Hauptproblem liegt in der hohen Sturzenergie dieser Verletzungen, die häufig mit einer massiven Verschiebung der Gelenkfläche (Kalotte) einhergehen. Die versorgenden Blutgefäße zerreißen und Knochen und Gelenkfläche sterben ab (Nekrose).

Folgeschäden nach Humeruskopffraktur
Mögliche Folgeschäden der Humerusfraktur:
Die Behandlung einer Humeruskopffraktur durch den Arzt hängt zum einen vom Grad der Verschiebung der Knochenfragmente und zum anderen von Begleiterkrankungen und dem Gesundheitszustand des Patienten ab.
Chronische Schmerzen und Folgeschäden am Oberarmkopf nach Therapie können die Funktion des eigentlich hoch beweglichen Schultergelenks stark einschränken. Die Patienten sind erheblich in ihrem Alltag und ihrer Lebensqualität beeinträchtigt. Eine verminderte Knochendichte (Osteoporose) erschwert dabei die vollständige Wiederherstellung der Funktion des Schultergelenks.
Verschleiß des Schultergelenks (Omarthrose)
Verletzungen des Oberarmkopfs können zu Gelenkfehlstellungen oder Unebenheiten der knorpelbedeckten Flächen führen. Auch das “Durchwandern” von Schrauben in die Gelenkfläche oder Knochennekrosen sind problematisch und müssen frühzeitig vom behandelnden Arzt erkannt werden. Durch die mechanischen Konflikte kommt es zum vermehrten Knorpelabrieb und schließlich zur Schulterarthrose (Omarthrose).
Patienten mit Omarthrose klagen häufig über Schulterschmerzen und eine eingeschränkte Beweglichkeit des Gelenks. Typischerweise fallen den Betroffenen folgende Aktivitäten besonders schwer:
- Bewegungen über Kopf wie Haare waschen oder Wurfbewegungen
- Bewegungen, bei denen die Arme nach hinten abgespreizt werden wie beispielsweise Hose hochziehen
- Schwierigkeiten, den betroffenen Arm nach außen zu drehen (Außenrotation), bei fortgeschrittener Omarthrose
- diffuse Schulterschmerzen, die in bestimmten Liegepositionen auftreten
Im fortgeschrittenen Stadium leiden die Patienten unter derart starken Schmerzen, dass sie Arm und Schulter in einer Schonhaltung belassen. Die Folge dieser Schonhaltung ist eine weitere Versteifung des Gelenks und die Rückbildung der Muskulatur mit dauerhafter Funktionseinschränkung.
Bewegungseinschränkungen durch Schultersteife (“Frozen Shoulder”)
Nach einem Unfall mit Bruch des Oberarmkopfes können sich Narben und Verwachsungen im Schultergelenk bilden. Die Gelenkkapsel verdickt sich und Schultersteife ist eine mögliche Folge.
Ursache für die sogenannte “Frozen Shoulder” kann eine zu lange Ruhigstellung des Gelenks bei konservativer Therapie, aber auch nach einer Operation sein. Der behandelnde Arzt grenzt diagnostisch die primäre idiopathische Frozen Shoulder ab. Diese entsteht ohne Unfall und wird von einer entzündeten Gelenkkapsel begleitet.
Patienten mit einer Frozen Shoulder nach einem Oberarmkopfbruch können das Schultergelenk nur unter Schmerzen oder gar nicht bewegen. Insbesondere die Außenrotation (Drehen der Arme nach außen) fällt ihnen schwer.
Absterben des Knochens wegen Durchblutungsstörungen (Humeruskopfnekrose)
Je umfangreicher die Verletzungen am Oberarmkopf sind, desto höher ist das Risiko einer Humeruskopfnekrose.
Bereits die Verschiebung von Knochenfragmenten von wenigen Millimetern bergen eine hohe Gefahr, dass in der Nähe liegende Blutgefäße Schaden nehmen. Sie zerreißen und der Knochen wird nur noch mangelhaft durchblutet: Das Knochengewebe am Oberarmkopf stirbt ab. Hat der Patient durch den Unfall zusätzlich zum Bruch eine Schulterluxation (Ausrenkung) erlitten, liegt das Risiko für eine Nekrose besonders hoch.
Nekrosen des Humeruskopfes werden häufig erst spät erkannt. Sie entwickeln sich schleichend. Das Schultergelenk toleriert große Einschränkungen in der Blutversorgung, bevor der Patient unter Beschwerden wie Schmerzen und Funktionsverlust leidet.
Vor allem bei Patienten mit Osteoporose können Implantate (Platten oder Schrauben), die der Operateur zur Stabilisierung des Bruchs eingebracht hat, versagen. Die Implantate können sich lockern oder brechen aus und die vorher fixierten Knochenfragmente verschieben sich erneut. Bei nur leichten Beschwerden reicht es teilweise aus, störendes Material zusammen mit Narbengewebe zu entfernen, um eine Linderung zu erzielen.
Ist der Oberarmkopf bereits stark zerstört, besteht die Behandlung der Wahl aus der Versorgung mit einem künstlichen Gelenk (Endoprothese).
Nach der Behandlung können die Knochenfragmente abkippen oder sich verschieben
Auch nach ärztlicher Behandlung ist es möglich, dass sich die gebrochenen Knochenanteile des Oberarmkopfes erneut verschieben oder gegeneinander verdrehen (sekundäre Verschiebung). Die Ursache liegt oft darin, dass die Patienten das Schultergelenk zu früh belasten und der Bruch noch nicht vollständig verheilt ist. Eine bestehende Osteoporose begünstigt Abkippungen. Grund dafür ist, dass mögliche Schrauben im weichen Knochen nur wenig Halt finden. So besteht beispielsweise die Gefahr, dass das Kopffragment abrutscht oder das Tuberculum majus durch den Sehnenzug ausreißt.
Bleiben die Verschiebungen im Bereich weniger Millimeter, kann der Patient sie häufig noch tolerieren. Für größere Verschiebungen – gerade wenn sie zeitnah zum Unfall oder einer Operation auftreten – bietet sich die Möglichkeit einer operativen Korrektur.
Mögliche Spätfolgen einer Humeruskopffraktur
Die Ärzte der Gelenk-Klinik legen ihr Augenmerk besonders auf die Therapie der Beschwerden, die nach der Akutbehandlung einer Oberarmkopffraktur noch Monate und Jahre später auftreten können. Die Patienten erhalten eine umfassende und individuell zugeschnittene Versorgung, wodurch der Arzt in den meisten Fällen Komplikationen nach einem gebrochenen Oberarmkopf verhindert.
Unter welchen Spätfolgen leiden Patienten möglicherweise langfristig, obwohl ein Arzt ihre Humeruskopffraktur akut behandelt hat?
All diese Symptome schränken die Patienten in Alltag und Freizeit stark ein. Eine Behandlung durch Spezialisten kann langfristige Komplikationen vermeiden und stimmt die Therapie individuell auf die Bedürfnisse der Patienten ab. Dabei arbeiten die Orthopäden und Unfallchirurgen stets mit gelenkerhaltender Zielsetzung.
Es stellt immer eine Herausforderung für den Arzt dar, den Patienten nachhaltig zu behandeln und ihm wieder zu einer natürlichen Schulterbewegung zu verhelfen. Im Folgenden möchten wir ein tieferes Verständnis für die Möglichkeiten der Diagnostik und Behandlung einer Humeruskopffraktur vermitteln.
Wie untersucht der Orthopäde eine Humeruskopffraktur?
Diagnose einer Fraktur des Oberarmkopfes:
Zur Einschätzung der Verletzungsschwere fragt der Arzt nach dem Unfallhergang, untersucht den Patienten und inspiziert die Verletzung. Zur korrekten Diagnose und Einleitung therapeutischer Maßnahmen ist in der Regel eine Bildgebung (z. B. mittels Röntgen oder MRT) notwendig.
Der Unfallhergang ist diagnoseweisend
Für den Arzt ist es wichtig, dass der Patient den Unfallhergang genau schildert. Ältere Patienten mit Osteoporose berichten oft von leichten Stürzen aus dem Stand. Bei jüngeren Patienten ist meist ein Aufpralltrauma (Hochrasanztrauma) bei einem Verkehrs- oder Sportunfall die Ursache einer proximalen Humerusfraktur.
Typische Schonhaltung weist auf Humeruskopffraktur
Wie bei allen Brüchen sind Schmerzen und die eingeschränkte Beweglichkeit des Arms Hauptsymptome bei einer Humeruskopffraktur. Der Patient hält den Oberarm in typischer Schonhaltung an den Oberkörper gepresst, um ihn zu stabilisieren und die Schmerzen zu verringern. Das Ellenbogengelenk ist angewinkelt und der Patient stützt den verletzten Arm am Handgelenk.
Das Schultergelenk kann stark geschwollen sein, häufig begleitet von einem Bluterguss (Hämatom) bis zum Ellenbogen.
Bildgebende Diagnostik
Röntgenbilder von mehreren Seiten der Schulter ermöglichen dem Arzt zu beurteilen, ob Knochenteile verschoben sind und wie komplex der Bruch ist. Vor allem bei schweren Unfällen ergänzt die Computertomografie (CT) die Diagnostik. Das Verfahren hilft dem Orthopäden, komplexe Verletzungen des Schultergelenks und des Schulterblatts zu erkennen.
Lähmungen bei Nervenverletzungen
Wenn der Patient Probleme bei der Hebung (Abduktion) des Arms und Empfindungsstörungen an der Außenseite der Schulter hat, schließt der Unfallchirurg durch Funktionsprüfungen eine Verletzung des Axillarisnervs aus.
Differentialdiagnosen (Erkrankungen mit ähnlicher Symptomatik) bei Schmerzen im Schulterbereich und eingeschränkter Armbeweglichkeit:
- Impingement der Schulter: Ein Impingement der Schulter (Schulterengpass-Syndrom) entsteht aufgrund einer Reizung und Degeneration der Sehnen und Schleimbeutel. Im Schultergelenk wird es zu eng und der Kopf des Oberarms (Humerus) schlägt an das Schulterdach (Akromion).
- Ruptur der Rotatorenmanschette der Schulter: Vier Muskeln umschließen den Oberarmkopf und die Gelenkpfanne (Glenoid) des Schulterblattes mit ihren Sehnen wie eine Manschette. Eine Riss oder Anriss dieser Sehnen nennt man Rotatorenmanschettenruptur.
- Kalkschulter (lat. Tendinosis calcarea): Kalk lagert sich im Bereich der Sehnen des Schultergelenks an. Dieses Kalkdepot führt zu heftigen Schmerzattacken, die eine Bewegung der Schulter fast unmöglich machen.
- Entzündung (Infektion) der Schulter: Bakterien dringen nach einem Unfall mit offener Verletzung, Spritzen ins Schultergelenk oder Schulteroperationen in die Schulter ein.
- Schultergelenkverschleiß (Omarthrose): Knorpelschädigungen an den Gelenkflächen der Schulter führen zum Gelenkverschleiß. Die Omarthrose ist häufig die Folge von mechanischen Überlastungen durch Sport und Arbeit, Entzündungen oder Unfällen.
- Schulterdistorsion (Verstauchung): Eine Distorsion schädigt Bandstrukturen oder die Gelenkkapsel, weil Gewebefasern stark überdehnt werden. Der natürliche Bewegungsspielraum des Gelenks wurde überschritten.
- Schulterluxation: Bei einer dislozierten Schulter ist der Oberarmkopf vollständig aus der Gelenkpfanne des Schulterblattes ausgekugelt. Die meisten Luxationen treten nach Unfällen auf.
- Idiopathische Frozen Shoulder (ohne bekannte Ursache): Die “eingefrorene” Schulter ist eine Schulterkapselentzündung mit Verklebungen und Verwachsungen. Die Ursache dieser Erkrankungsform ist nicht bekannt. Gehäuft tritt sie in Verbindung mit Diabetes, Schilddrüsenerkrankungen oder Fettstoffwechselstörungen auf.
Welche verschiedenen Bruchformen des Oberarmkopfes gibt es?
Aufgrund der bei einem Unfall wirkenden Muskelkräfte kommt es zu typischen Bruchformen und Bruchstellen, die der Arzt diagnostisch exakt bestimmt. Welche Teile des Oberarmkopfes können von einem Bruch betroffen sein?
- die Gelenkfläche (Kalotte, ohne Muskelzug)
- das Tuberculum majus (großer knöcherner Vorsprung, u. a. mit Ansatz der Supraspinatussehne)
- das Tuberculum minus (kleiner knöcherner Vorsprung mit Ansatz der Subscapularissehne)
- der Schaft (im Halsbereich) mit Zug der Sehne des Brustmuskels (Pektoralismuskel)
Je nach Bruch entstehen zwei bis vier Fragmentteile, die zusätzlich entsprechend dem Sehnenzug verschoben (disloziert) oder verdreht sein können.

Wie behandelt der Schulterspezialist einen Bruch des Oberarmkopfes?
Arzt und Patient haben bei der Behandlung einer proximalen Humerusfraktur das Ziel, die Beweglichkeit des Schultergelenks vollständig und schmerzfrei wieder herzustellen. Berufstätigkeit und Alltag stellen hohe Ansprüche an ein uneingeschränkt funktionierendes Schultergelenk.
Die konservative (nicht-operative) Behandlung der proximalen Humerusfraktur

Wenn die Bruchstücke bei einer Humeruskopffraktur nicht verschoben sind, lässt sich eine Operation in der Regel vermeiden. 60 bis 80 Prozent der proximalen Humerusfrakturen müssen nicht operiert werden, da der Bruch durch die Gelenkkapsel und die umliegenden Muskeln stabilisiert wird. Ein spezieller Verband stellt den Oberarm ruhig (Desault- oder Gilchrist-Verband).
Röntgenaufnahmen kontrollieren den Heilungsverlauf und schließen sekundäre Abkippungen aus. Nach etwa 6 Wochen ist der Knochen stabil verheilt. Während des Heilungsprozesses kann der Patient vorsichtige Pendelübungen durchführen. Das genaue Ausmaß der Ruhigstellung und der Nachbehandlung legt der Arzt je nach Typ des Bruches fest. Nach 6 Wochen darf der Patient den Arm wieder zunehmend bewegen.
Die operative Behandlung der proximalen Humerusfraktur
Ziel einer operativen Wiederherstellung der knöchernen Strukturen ist die Reposition der Knochenfragmente in ihre natürliche, anatomische Lage und die stabile Fixierung. Bei erheblicher Verschiebung der Knochenfragmente muss der Arzt bei älteren Patienten einen künstlichen Ersatz des Oberarmkopfes in Erwägung ziehen. Hierbei spielen Faktoren wie das Alter des Patienten und vorliegende Begleiterkrankungen wie zum Beispiel Osteoporose, Diabetes oder Nierenerkrankungen eine Rolle, da sie den Heilungsprozess beeinflussen.
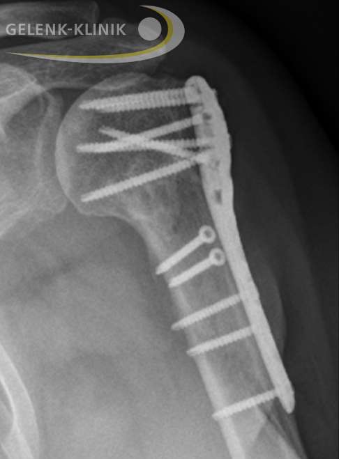
Die Osteosynthese

Mittels Osteosynthese werden die einzelnen Knochenteile in die korrekte Stellung und Achse zum restlichen Oberarm gebracht. Der Operateur fixiert die Knochenfragmente in dieser Position mittels Schrauben und Platten. Der Oberarmkopf des Patienten kann somit erhalten werden.
Die Endoprothese
Bei älteren Patienten mit geringer Knochendichte oder fortgeschrittenem Knochenschwund (Osteoporose) ist es für den Operateur nicht in jedem Fall möglich, Schrauben und Platten im Knochen sicher zu verankern. Der Knochenschwund führt dazu, dass der Knochen im Inneren poröser wird und weniger Last tragen kann.
Der Orthopäde informiert betroffene Patienten über die Möglichkeiten einer Schulterprothese, die den kompletten Oberarmkopf ersetzt.
Der Trümmerbruch (Trümmerfraktur)
Wird der Oberarmkopf durch einen Unfall in viele Bruchstücke zertrümmert, sind auch versorgende Blutgefäße zerrissen. Die Blutversorgung der einzelnen Knochenstücke ist nicht mehr gegeben.
Ohne Durchblutung keine Heilung! Auch bei jüngeren Patienten stellt der Einsatz einer Oberarmkopfprothese in diesem Fall eine Alternative dar. Der Arzt trifft im Einzelfall eine Entscheidung, ob eine Osteosynthese und ein kleines Kunstgelenk oder ein sofortiger künstlicher Gelenkersatz operiert werden.
Der Gesundheitszustand und die Lebensweise der Patienten spielen eine entscheidende Rolle: Starke Raucher haben generell eine schlechtere Blutversorgung, ähnlich wie chronisch Kranke (Diabetiker, Dialysepatienten).
Wie behandelt der Orthopäde die Folgeschäden einer Humeruskopffraktur?
Behandlung einer Omarthrose (Verschleiß des Schultergelenkes)
Verletzungen des gelenkbildenden Schulterblattes oder des Oberarmkopfes können zu Unebenheiten der Knorpelflächen oder zu Gelenkfehlstellungen führen. Dadurch kommt es zum vermehrten Knorpelabrieb und letztendlich zur Arthrose im Schultergelenk (Omarthrose).
Spezialartikel zur Omarthrose von Prof. Dr. Sven Ostermeier
Konservative Therapie der posttraumatischen Schulterarthrose
Möglichkeiten der konservativen Behandlung:
- Desault- oder Gilchristverband
- Verzicht auf Kaffee und Alkohol
- Ernährung: viel Obst und Gemüse
- physikalische Therapie
- Stoßwelle
- biomechanische Stimulation
- nichtsteroidale Schmerzmittel (z. B. Ibuprofen)
- Physiotherapie und Bewegungsübungen
Von Schulterarthrose betroffenen Patienten stehen vielfältige Möglichkeiten offen, um eine Operation zu vermeiden oder zumindest hinauszuzögern. Dazu zählen physiotherapeutische Übungen, nicht-operative und medikamentöse Behandlungen.
Der Patient selbst kann den Verlauf der Omarthrose positiv beeinflussen, indem er auf Kaffee und Alkohol verzichtet und auf eine gemüse- und obstreiche Ernährung umstellt.
Die natürlichen Reaktionen des Körpers auf Wärme, Kälte, Licht, Wasser und elektrische Reize unterstützen den Heilungsprozess und lindern die Schmerzen bei Arthrose. Die physikalische Therapie arbeitet mit diesen stimulierenden Triggern und regt damit die Selbstheilung des Körpers an. Verfahren wie Stoßwellenbehandlung, biomechanische Stimulation und Tiefenwärme zielen darauf ab, den Heilungsprozess und die Regeneration zu fördern. Patienten klären am besten im Gespräch mit ihrem behandelnden Arzt, welche Optionen ihnen vor Ort zur Verfügung stehen.
Eine adäquate Schmerztherapie mit pflanzlichen Wirkstoffen (z. B. Brennnesselblättern) und nichtsteroidalen Schmerzmitteln hilft Patienten dabei, die entzündlichen Reaktionen bei Schulterarthrose in Schach zu halten.
Spezielle physiotherapeutische Übungen erhalten und verbessern die Schulterfunktion, lindern die Schmerzen und sorgen für eine gute Beweglichkeit im Schultergelenk durch starke Muskulatur. Der Patient wird zusätzlich geschult und lernt neue Bewegungsabläufe und Verhaltensregeln kennen, um seine Lebensgewohnheiten an die verletzte Schulter anzupassen.
Operative Therapie der posttraumatischen Schulterarthrose
Bei schwerer Schulterarthrose und hohem Leidensdruck des Patienten empfiehlt der Orthopäde eine Schulterprothese. Er ersetzt alle geschädigten Gelenkanteile von Oberarmkopf und Schulterpfanne.
Grundsätzlich erhält der Operateur bei der Implantation einer Prothese so viel patienteneigenen Knochen wie möglich. Die Fachärzte der Gelenk-Klinik setzen nach Möglichkeit eine Kappenprothese der Schulter ein. Diese verankert sich im Kopfbereich und erhält den Knochenschaft, setzt aber intakte Sehnen der Rotatorenmanschette voraus. Sind diese Sehnen bereits geschädigt, existieren Prothesen-Alternativen (z. B. inverse Schulterprothese).
Mobilisation der Schultersteife (“Frozen Shoulder”) nach proximaler Humerusfraktur
Nach einer Oberarmkopffraktur können sich Narben oder Verklebungen mit verdickter Gelenkkapsel bilden, sodass das Schultergelenk unbeweglicher wird und einsteift. Typischerweise kann der Patient den Arm nicht zur Seite anheben und die Außenrotation ist deutlich eingeschränkt.
In einer Arthroskopie (Gelenkspiegelung) entfernt der Operateur Narbengewebe insbesondere im vorderen und unteren Kapselbereich und blockierende Strukturen. Das Schultergelenk ist im Anschluss wieder sehr gut beweglich.
Behandlung von abgestorbenen Knochenarealen am Oberarmkopf wegen Durchblutungsstörungen (Humeruskopfnekrose)
Bei der Oberarmkopfnekrose stirbt Knochengewebe ab und der Gelenkkopf wird zerstört und deformiert. In schweren Fällen sinkt die Oberfläche des Humeruskopfes regelrecht ein. Schrauben, die sich von einer früheren Osteosynthese im Knochen befinden, brechen durch die Gelenkfläche. Damit dehnt sich die Verletzung auf die Gelenkpfanne aus und die durchgebrochenen Schrauben müssen zügig entfernt werden.
Je nachdem, wie stark der Patient unter Beschwerden leidet, entscheidet der Arzt, ob er die restlichen Schrauben und Platten belässt oder entfernt. Gleichzeitig kann er Narbengewebe beseitigen und die Schulter erhält eine bessere Beweglichkeit.
Bei grober Deformierung kann auch das Einsetzten einer Schulterendoprothese notwendig werden. Die Entscheidung über die Art der Prothese hängt vom Ausmaß des abgestorbenen Knochenareals ab.
Korrektur einer Fehlstellung nach operativer Stabilisierung des Bruchs

Nach einer Operation mit Stabilisierung der einzelnen Bruchfragmente durch Schrauben und Platten kann es im weiteren Verlauf zu einem Abrutschen des Bruchs kommen. Es bildet sich eine Fehlstellung. Eine erneute Operation kann diese korrigieren.
Behandlung verschobener oder verdrehter Knochenanteile nach konservativem Therapieversuch
Falls die Humerusfraktur eines Patienten konservativ – also ohne Operation – behandelt wird, sind regelmäßige Termine beim Arzt unumgänglich. Der Orthopäde bzw. Unfallchirurg kontrolliert engmaschig, dass während des Heilungsprozesses die Knochenbruchstücke optimal zusammenwachsen.
Eventuell zeigen die Röntgenaufnahmen instabile Knochenteile, sodass später doch operiert werden muss. In dem Fall erfolgt eine operative Fixierung und Ausrichtung mit Schrauben und Platten.
Was tun bei Lockerung der Schultergelenkprothese?
Starke Schmerzen im Schulterbereich können für Patienten mit künstlicher Schulterprothese ein Anzeichen dafür sein, dass sich die Prothese aus ihrer knöchernen Verankerung gelöst hat.
Der Arzt kann die Lockerung der Prothese sicher mithilfe von Röntgen oder CT diagnostizieren. In den meisten Fällen ist ein Prothesenwechsel unausweichlich.
Aufgrund der bereits vorgeschädigten Knochenstruktur nach dem Oberarmkopfbruch handelt es sich um einen aufwendigen und anspruchsvollen Eingriff.
Müssen Platten, Schrauben oder Nägel später wieder entfernt werden?
Ist der Patient beschwerdefrei, kann das Material im Körper verbleiben. Sind jedoch Restbeschwerden vorhanden, entfernt der Arzt die Implantate frühestens 12, eher 18 Monate nach der Osteosynthese. Dabei ist es möglich, diesen Eingriff mit einer Arthrolyse zu kombinieren, die das Gelenk beweglicher macht.
Wie sieht die Nachbehandlung der proximalen Humerusfraktur aus?
Der Patient erhält von seinem Arzt einen Ablaufplan, der die Nachbehandlung individuell auf seine Bedürfnisse abstimmt. Eine große Rolle spielen hierbei das Alter des Patienten, seine Begleiterkrankungen und ob der Humerusbruch konservativ oder mit einer Operation behandelt wurde.
Bei einer konservativen Therapie sollte der Patient die Ruhigstellung des Arms in einem Schlingenverband für mindestens 2 bis 3 Wochen einhalten. In Absprache mit dem behandelnden Arzt darf er den Arm dann wieder zunehmend passiv und aktiv bewegen. Leichte Pendelübungen helfen, dass die Schulter des Patienten nicht einsteift. Anfangs wöchentliche Röntgenkontrollen ermöglichen es dem Arzt, frühzeitig eine Verlagerung der Bruchfragmente zu erkennen.
Für Patienten, die operativ versorgt werden, verkürzt sich die Dauer der Ruhigstellung. Besonders ältere Patienten sind nach kurzer Zeit wieder selbständig und unabhängig von fremder Hilfe. Nach etwa 6 Wochen ist der Oberarmknochen stabil verheilt. Passive Übungen bereits wenige Tage nach der Operation beschleunigen die Heilung.
Welche Prognose hat die proximale Humeruskopffraktur?
Ziel der Behandlung einer Humeruskopffraktur ist es, dass der Patient seinen Oberarm im täglichen Leben, beim Sport und im Beruf wieder schmerzfrei bewegen kann.
In ca. 10 bis 20 Prozent der Fälle bleibt die Beweglichkeit der Schulter jedoch eingeschränkt und der Patient kann seinen Arm – insbesondere seitlich – nicht wie vor dem Unfall bewegen. Die Prognose von Oberarmkopfbrüchen hängt vor allem von der Komplexität des Bruches ab: Mit steigender Anzahl der knöchernen Bruchfragmente und deren Verschiebung sinkt die Wahrscheinlichkeit, dass der Patient die volle Schulterfunktion zurückerhält. Bereits bestehende Schäden aufgrund einer Osteoporose oder Sehnenverletzungen sind ebenfalls nachteilig für den Patienten. In jedem Fall gehört ein Patient, der in Folge eines Oberarmbruches unter Beschwerden leidet, unbedingt in die Hände eines orthopädischen bzw. unfallchirurgischen Gelenkspezialisten.
Häufig gestellte Patientenfragen zur Humeruskopffraktur
Schmerzt eine Humeruskopffraktur?
Ja. Patienten, die nach einem Unfall oder Sturz einen Bruch des Oberarmkopfes erlitten haben, leiden unter starken Schmerzen in der Schulter und halten den Arm typischerweise in Schonhaltung am Körper.
Jede Bewegung der Schulter ist erschwert oder sogar unmöglich und schmerzt. Der Arzt stellt bei der Untersuchung eine Schwellung und gelegentlich einen großen Bluterguss (Hämatom) fest. Die Schulter ist auch druckempfindlich und teilweise verspüren die Patienten ein Knirschen im Gelenk, wo die einzelnen Bruchstücke aneinanderreiben.
Kann man den Arm bewegen, wenn man eine Humeruskopffraktur erlitten hat?
Ja, ein Bruch schließt eine Beweglichkeit im Schultergelenk nicht aus. Diese wird wahrscheinlich schmerzhaft sein, aber gerade bei nicht oder nur gering verschobenen Frakturen ist eine Beweglichkeit eingeschränkt noch möglich.
Bei grob verschobenen Humeruskopffrakturen versuchen die Patienten instinktiv, den betroffenen Arm ruhig zu halten und ihn mit dem unverletzten Arm zu stützen. Jede Bewegung verursacht starke Schmerzen und wird durch den Bruch fast unmöglich.
Wie lange dauert es, bis eine Humeruskopffraktur geheilt ist?
Jeder Bruch und jeder Heilungsverlauf verläuft unterschiedlich, daher können hier nur Richtwerte genannt werden. Bei unkomplizierten Humeruskopfbrüchen kann in den meisten Fällen eine konservative Behandlung ohne Operation erfolgen. Mehr als die Hälfte aller Oberarmbrüche gehören in diese Kategorie. Der Bruch wird mithilfe einer Armschlinge (z. B. Desault-Verband) für einige Wochen ruhig gestellt. In dieser Zeit sind nur leichte Pendelbewegungen erlaubt. Engmaschig kontrolliert der Arzt im Röntgenbild, ob sich Knochenteile verschoben haben.
Im Anschluss an die Ruhigstellung führt der Patient physiotherapeutische Übungen zur Muskelstärkung durch. Nach etwa 6 Wochen ist der Knochen stabil verheilt und der Arm zunehmend im Alltag einsatzfähig.
Komplizierte Brüche und Trümmerbrüche mit verlagerten Bruchstücken behandelt der Unfallchirurg mit einem operativen Verfahren, der Osteosynthese. Mittels Schrauben oder Platten fixiert der Arzt die Knochenteile an der richtigen Stelle. Nach etwa 2 Wochen beginnt der Patient mit physiotherapeutischen Übungen und nach etwa 6 Wochen ist der betroffene Arm voll belastbar.
Je nach Typ des Bruches und Alter des Patienten entfernt der Operateur Schrauben oder Platten nach etwa 1 Jahr oder sie verbleiben in der Schulter, wenn sie keine Beschwerden verursachen. In besonders schweren Fällen oder bei vorgeschädigten Knochen erhält der Patient eine Voll- oder Teilprothese.
Wie lange muss man den Verband bzw. die Armschlinge nach einer Oberarmkopffraktur tragen?
Die Ruhigstellung mit einem Desault- oder Gilchristverband dauert 3–6 Wochen. In dieser Zeit kann der Patient bereits Pendelübungen durchführen. Mit der Zeit können auch Übungen bis zur Horizontalen zunächst passiv (der Arm wird geführt), später dann aktiv (der Arm wird aus eigener Kraft angehoben) erfolgen.
Bei zu langer Ruhigstellung droht eine Einsteifung des Schultergelenks (Frozen Shoulder). Spezielle Bewegungsübungen, die der Patient bereits mit anliegendem Verband ausführen kann, verhindern die Gelenksteife.
Trägt man den Verband nach einer Humeruskopffraktur auch beim Schlafen oder Duschen?
Die meisten Verbände oder Armschlingen sind vorgefertigte Modelle mit praktischen Klettverschlüssen, die der Patient sehr einfach an- und ablegen kann. Diese Stützhilfen erleichtern den Betroffenen auch das schmerzfreie Liegen und Schlafen. Sie können problemlos nachts getragen werden. Die Verbände halten den Arm in einer stabilen Position und der Patient kann besser durchschlafen. Eine etwas erhöhte Lagerung des verletzten Oberarms oder sogar des gesamten Oberkörpers mit einem Kissen kann für eine bessere Nachtruhe sorgen.
Zum Duschen kann der Verband kurzzeitig abgelegt werden. Es ist wichtig, den Arm in dieser Zeit und gerade bei frischen Brüchen nicht seitlich anzuheben, sondern ihn hängen zu lassen. Wenn zu erwarten ist, dass die Armschlinge länger getragen werden muss, kann der Arzt auch einen zweiten Verband zum Wechseln verschreiben.
Wie kann man mit einer Humeruskopffraktur schlafen?
Das Schlafen auf der betroffenen Schulterseite ist in den ersten Wochen nach dem Unfall nicht möglich. Der Patient sollte dies vermeiden, damit sich Knochenteile nicht verlagern. Er wählt am besten eine leicht schräge Schlafposition, um die Schulter zu entlasten. Eine Barriere aus Kissen im Rücken verhindert, dass er versehentlich nachts auf die verletzte Schulter rollt. Eventuell kann es hilfreich sein, mit leicht erhöhtem Oberkörper zu schlafen.
Patienten können ohne Probleme zusätzlich auch nachts den Verband tragen, denn er stützt den verletzten Arm. Besonders kurz nach dem Unfall kann man bei Schlafproblemen über eine adäquate Einnahme von Medikamenten mit dem behandelnden Arzt sprechen.
Wie lange ist man mit einer Humeruskopffraktur krankgeschrieben?
Wie lange ein Patient nach einem Bruch des Oberarmkopfes arbeitsunfähig ist, hängt von unterschiedlichen Faktoren ab:
- Welche Bruchart mit wie vielen Fragmenten liegt vor?
- Wird der Patient konservativ oder chirurgisch behandelt?
- Welche berufliche Tätigkeit übt der Patient aus?
- Wie sieht die individuelle Heilungsprognose aus und leidet der Patient unter Osteoporose oder chronischen Krankheiten?
Die Knochen heilen innerhalb von circa 6 Wochen in dem Maß, dass der Arm wieder bewegt werden kann. Die volle Belastbarkeit ist dann häufig noch nicht wieder gegeben, denn die komplette Regeneration dauert länger. Erst nach 3 bis 6 Monaten hat der verletzte Arm seine ursprüngliche Belastbarkeit vollständig wiedererlangt.
Leichte Tätigkeiten – zum Beispiel im Büro am Schreibtisch – kann ein Patient nach 2 bis 6 Wochen wieder ausüben. Bei körperlich schwerer Arbeit, wie sie im Handwerksbereich üblich ist, kann die Ausfallzeit 3 bis 6 Monate betragen und muss je nach Einzelfall entschieden werden.
Eine gute Möglichkeit ist die Wiedereingliederung mit reduzierter Stundenzahl. Patienten können diese Alternative mit dem Arbeitgeber und ihrer Krankenkasse besprechen.
Wann ist der Arm nach einer Humeruskopffraktur wieder voll belastbar?
Ein einfacher Bruch des Oberarmkopfes ist nach etwa 6 Wochen wieder zunehmend belastbar. Die volle Belastbarkeit ist häufig erst nach 3 bis 6 Monaten möglich. Dies gilt sowohl für konservativ wie auch operativ behandelte Brüche. Patienten sprechen den genauen Therapieplan und die mögliche Belastung des Arms mit ihrem behandelnden Arzt ab.
Für komplizierte Brüche oder den Einsatz von Prothesen sind an dieser Stelle keine allgemeingültigen Angaben möglich. Hier ist unbedingt der behandelnde Arzt zu konsultieren.
Literatur zu Humeruskopffraktur
- Hodgson S. Proximal humerus fracture rehabilitation. Clin Orthop Relat Res.2006 Jan;442:131–8. PMID: 16394751.
- Handoll H, Brealey S, Rangan A, Keding A, Corbacho B, Jefferson L, Chuang LH, Goodchild L, Hewitt C, Torgerson D. The ProFHER (PROximal Fracture of the Humerus: Evaluation by Randomisation) trial – a pragmatic multicentre randomised controlled trial evaluating the clinical effectiveness and cost-effectiveness of surgical compared with non-surgical treatment for proximal fracture of the humerus in adults. Health Technol Assess. 2015 Mar;19(24):1–280. doi: 10.3310/hta19240. PMID: 25822598; PMCID: PMC4781052.
- Pencle FJ, Varacallo M. Proximal Humerus Fracture. 2020 Jan 23. In: StatPearls [Internet]. Treasure Island (FL): StatPearls Publishing; 2020 Jan–. PMID: 29262220.
- Launonen AP, Sumrein BO, Reito A, Lepola V, Paloneva J, Jonsson KB, Wolf O, Ström P, Berg HE, Felländer-Tsai L, Jansson KÅ, Fell D, Mechlenburg I, Døssing K, Østergaard H, Märtson A, Laitinen MK, Mattila VM; as the NITEP group. Operative versus non-operative treatment for 2-part proximal humerus fracture: A multicenter randomized controlled trial. PLoS Med. 2019 Jul 18;16(7):e1002855. doi: 10.1371/journal.pmed.1002855. PMID: 31318863; PMCID: PMC6638737.
- Launonen AP, Sumrein BO, Lepola V. Treatment of proximal humerus fractures in the elderly. Duodecim. 2017;133(4):353–8. PMID: 29205983.
- Patel S, Colaco HB, Elvey ME, Lee MH. Post-traumatic osteonecrosis of the proximal humerus. Injury. 2015 Oct;46(10):1878–84. doi: 10.1016/j.injury.2015.06.026. Epub 2015 Jun 19. PMID: 26113032.
- Maier D, Jaeger M, Izadpanah K, Strohm PC, Suedkamp NP. Proximal humeral fracture treatment in adults. J Bone Joint Surg Am. 2014 Feb 5;96(3):251–61. doi: 10.2106/JBJS.L.01293. PMID: 24500588.
- Mellstrand Navarro C, Brolund A, Ekholm C, Heintz E, Hoxha Ekström E, Josefsson PO, Leander L, Nordström P, Zidén L, Stenström K. Treatment of humerus fractures in the elderly: A systematic review covering effectiveness, safety, economic aspects and evolution of practice. PLoS One. 2018 Dec 13;13(12):e0207815. doi: 10.1371/journal.pone.0207815. PMID: 30543644; PMCID: PMC6292626.
- Vachtsevanos L, Hayden L, Desai AS, Dramis A. Management of proximal humerus fractures in adults. World J Orthop. 2014 Nov 18;5(5):685–93. doi: 10.5312/wjo.v5.i5.685. PMID: 25405098; PMCID: PMC4133477.
- Carbone S, Razzano C, Albino P, Mezzoprete R. Immediate intensive mobilization compared with immediate conventional mobilization for the impacted osteoporotic conservatively treated proximal humeral fracture: a randomized controlled trial. Musculoskelet Surg. 2017 Dec;101(Suppl 2):137–143. doi: 10.1007/s12306-017-0483-y. Epub 2017 Aug 2. PMID: 28770512.
- Beeres FJP, Quaile OM, Link BC, Babst R. Repositionstechniken bei minimal- invasiver Stabilisierung proximaler Humerusfrakturen [Reduction techniques for minimally invasive stabilization of proximal humeral fractures]. Oper Orthop Traumatol. 2019 Feb;31(1):63–80. German. doi: 10.1007/s00064-018-0586-0. Epub 2019 Jan 25. PMID: 30683977.
- Keener JD, Chalmers PN, Yamaguchi K. The Humeral Implant in Shoulder Arthroplasty. J Am Acad Orthop Surg. 2017 Jun;25(6):427–438. doi: 10.5435/JAAOS-D-15-00682. PMID: 28459709.
- Rugg CM, Coughlan MJ, Lansdown DA. Reverse Total Shoulder Arthroplasty: Biomechanics and Indications. Curr Rev Musculoskelet Med. 2019 Dec;12(4):542–553. doi: 10.1007/s12178-019-09586-y. PMID: 31773478; PMCID: PMC6942071.