1. Was ist Wirbelgleiten (Spondylolisthesis)?
  2. Die häufigsten Ursachen des Wirbelgleitens
  3. Typische Symptome des Wirbelgleitens
  4. Diagnose des Wirbelgleitens
  5. Welche Therapie hilft bei Wirbelgleiten?
  6. Operation der Gleitwirbel: Welche Möglichkeiten gibt es?
  7. Übungen nach Operation lumbaler Gleitwirbel
Spondylolisthese (Wirbelgleiten) Eine Spondylolisthesis (Wirbelgleiten) entsteht häufig durch Verschleißprozesse in der Lendenwirbelsäule. Die Wirbelsäule wird instabil und Betroffene leiden unter starken Rückenschmerzen. © Henrie, Fotolia

Verschieben sich einzelne Wirbelkörper gegeneinander, spricht man von Spondylolisthesis oder auch von Wirbelgleiten. Ursächlich sind meist degenerative Verschleißprozesse der Wirbelsäule (Wirbelsäulenarthrose oder Spondylarthrose). Aber auch Fehlbildungen, Unfälle oder ein Knochendefekt im Bereich des Wirbelbogens (Wirbelbruch) können für diese Instabilität der Wirbelsäule verantwortlich sein. Meist betrifft das Wirbelgleiten die stark belastete Lendenwirbelsäule (LWS).

Die Wirbelsäulenspezialisten der Gelenk-Klinik legen bei ihrer Therapie den Fokus auf eine Reduktion der Schmerzen und das Vermeiden neurologischer Ausfälle beim Patienten. Neben einer Vielzahl von konservativen Maßnahmen stehen operative Behandlungsmöglichkeiten wie eine Versteifungsoperation (Spondylodese) zur Verfügung.

Was ist Wirbelgleiten (Spondylolisthesis)?

Wichtige Begriffe zum Wirbelgleiten:

  • Spondylolisthesis:
    Einzelne Wirbelkörper der Wirbelsäule sind gegeneinander überbeweglich, sodass eine Einklemmung des Rückenmarks (Stenose) entstehen kann.
  • Listhese:
    Kurzform für Spondylolisthesis
  • Anterolisthesis:
    Verschiebbarkeit der Wirbelkörper nach vorne.
  • Retrolisthesis:
    Verschiebbarkeit der Wirbelkörper nach hinten.
  • Spondylolysis:
    Meist sportbedingte Stressfraktur in einem Bereich des Facettengelenks der Wirbelsäule, die zu Wirbelgleiten führen kann.
  • Spondylodese:
    Operative Fusion von Wirbelkörpern, um eine Instabilität oder Überbeweglichkeit zu behandeln.

Als Spondylolisthese oder Wirbelgleiten bezeichnet man das Verschieben eines Wirbelkörpers mitsamt seiner Bogenwurzeln, der Querfortsätze und oberen Gelenkfortsätze. Ein Gleiten über den nächstgelegenen Wirbel nach vorne bezeichnet man als Anterolisthesis und nach hinten als Retrolisthesis.

Die Verschiebung der Position der Wirbel kann das Rückenmark einengen und es kommt zu einer Spinalkanalstenose. Dies führt zu Schmerzen und neurologischen Funktionsausfällen. Wenn Nerven komprimiert werden, sind Bewegungseinschränkungen bis hin zu Lähmungen, Taubheit und Gefühlsstörungen (Parästhesien) die Folge. In schweren Fällen verliert der Patient sogar die Kontrolle über Blase oder Darm.

Die Überbeweglichkeit der Wirbelkörper belastet auch die Wirbelgelenke (Facettengelenke) in den betroffenen Segmenten der Bandscheibe. Das kann über längere Zeit zu einer schmerzhaften Arthrose der Facettengelenke (Spondylarthrose) führen.

Durch das Wirbelgleiten nutzen die Bandscheiben zwischen den gleitenden Wirbelkörpern stark ab und degenerieren vorzeitig. Das kann zusätzlich zu Rückenschmerzen und zu einem Bandscheibenvorfall führen. Wenn die Bandscheiben zwischen den Wirbelkörpern an Höhe und Elastizität verlieren, verstärkt dies das Wirbelgleiten durch den fehlenden Puffer zusätzlich.

Bei ca. 2–4 % der Bevölkerung bleibt der Gleitwirbel ohne Beschwerden und deshalb unbemerkt. Der 5. Lendenwirbel ist mit 80 % am häufigsten betroffen, der 4. Lendenwirbel am zweithäufigsten mit 15 %.

Gut die Hälfte aller Fälle von Wirbelgleiten verursachen über lange Zeit keine Beschwerden. Daher sollten wir bei nicht dauerhaft bestehenden, aber chronisch wiederkehrenden Rückenschmerzen – vor allem in Verbindung mit in Arme oder Beine ausstrahlenden Schmerzen – an ein Wirbelgleiten denken.

Die häufigsten Ursachen des Wirbelgleitens

Typische Symptome des Wirbelgleitens

Bei einer Spondylolisthese leidet der Patient unter bewegungs- und belastungsabhängigen Schmerzen im Rücken. Zum Teil finden sich auch neurologische Symptome bei höheren Graden des Gleitwirbels, weil es dann zur zunehmenden Einengung der Nervenwurzeln kommt. Weiterhin finden sich bei manchen Patienten Instabilitätsgefühle im Bereich der Lendenwirbelsäule.

Es ist außerdem möglich, dass es durch das Wirbelgleiten zu ausstrahlenden Schmerzen kommt, je nach betroffenem Wirbelsäulenbereich in Hüfte und Beine bzw. Nacken, Schulter und Arme. Diese entstehen durch eine Kompression der versorgenden Spinalnerven aus dem Wirbelkanal.

Externer Inhalt von viewmedica.com

Zustimmen

Diagnose des Wirbelgleitens

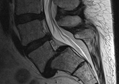
MRT einer Spondylolisthese (Wirbelgleiten) Seitliche MRT-Aufnahme einer Spondylolisthesis der Lendenwirbelsäule. Deutlich sichtbar ist die Stufenbildung zwischen den Wirbeln. © Gelenk-Klinik

Die Diagnosestellung beginnt mit der Erfragung von Krankengeschichte (Anamnese) und Risikofaktoren. Wichtig sind vor allem Vorerkrankungen, Verletzungen und das familiäre Auftreten von Wirbelsäulenerkrankungen. In der klinischen Untersuchung inspiziert der Rückenspezialist den Rücken von außen und achtet dabei auf eine mögliche Stufenbildung der Wirbelsäule. Wichtig sind zudem die allgemeine Körperhaltung und der Stand des Beckens. Ein Schiefstand des Beckens kann auf Probleme in der Wirbelsäule hindeuten.

Außerdem untersucht der Arzt die Nervenfunktion des Patienten und überprüft Sensibilität, Motorik und Reflexe. Dafür stehen ihm verschiedene Funktionstests zur Verfügung. Eine Messung der Nervenleitgeschwindigkeit oder eine Elektromyografie liefern Hinweise auf eine mögliche Nervenschädigung.

Weiterhin wichtig für die Diagnose und anschließende Behandlung sind bildgebende Verfahren. Das Röntgenbild zeigt Verschiebungen einzelner Wirbelkörper gegeneinander. Ein MRT oder CT kann zudem die Situation der Weichteile darstellen und zeigt, an welchen Stellen bereits eine Kompression der Nerven stattgefunden hat.

Spezielle orthopädische Untersuchungen wie die 3D-Wirbelsäulenmessung und eine dynamische Bewegungs-und Ganganalyse runden die Befundung für eine nachfolgende Therapieplanung ab.

Klassifikation der Spondylolisthesis nach Meyerding

Die Einteilung der Spondylolisthesis erfolgt anhand der Klassifikation nach Meyerding. Dafür wird der Grad der Abweichung eines Wirbelkörpers zum darunterliegenden Wirbel beurteilt. Die Behandlung richtet sich nach dem Schweregrad der Spondylolisthese. Folgende Grade des Wirbelgleitens ergeben sich in der Einteilung nach Meyerding:

  • Grad 1 nach Meyerding: unter 25 % Verschiebung
  • Grad 2 nach Meyerding: 25–50 % Verschiebung
  • Grad 3 nach Meyerding: 50–75 % Verschiebung
  • Grad 4 nach Meyerding: über 75 % Verschiebung
  • Grad 5 nach Meyerding: Spondyloptose (Wirbel haben den Kontakt zueinander verloren)
Klassifikation des Wirbelgleitens nach Meyerding Die Spondylolisthesis wird in 5 Schweregrade nach Meyerding eingeteilt. © Gelenk-Klinik

Welche Therapie hilft bei Wirbelgleiten?

Wann wird operiert?

  • Neurologische Ausfällen
  • Zunahme des Wirbelgleitens
  • Hoher Leidensdruck und Schmerzen
  • Versagen der konservativen Therapie

Ziel der Therapie des Wirbelgleitens ist die Beseitigung oder Reduktion von Schmerzen und von neurologischen Ausfallerscheinungen. Außerdem zielen die Maßnahmen darauf ab, ein weiteres Fortschreiten der Erkrankung zu verhindern.

Die Behandlung der Spondylolisthesis erfolgt in den meisten Fällen konservativ. Der Gleitvorgang kann spontan in jedem Stadium zum Stillstand kommen. Je weiter sich jedoch der Wirbel verschiebt, desto größer wird die Wahrscheinlichkeit für das Auftreten von neurologischen Symptomen.

Die konservative Therapie beinhaltet eine ausführliche Beratung des Patienten, eine medikamentöse Therapie, Physiotherapie und Orthopädietechnik.

Operation der Gleitwirbel: Welche Möglichkeiten gibt es?

Externer Inhalt von youtube.com

Zustimmen

Operativ steht die Versteifungsoperation (Spondylodese) bei Wirbelgleiten im Vordergrund. Dieser Eingriff erfordert eine individuell zugeschnittene Lösung. Dabei bestehen je nach Art und Ausprägung des Wirbelgleitens, Alter und Aktivität des Patienten, Zustand der Bandscheibe und der angrenzenden Wirbelkörper ganz unterschiedliche Ansätze. Erst, wenn alle Details geklärt sind, bietet der Rückenspezialist dem Patienten ein individuelles Konzept zur Versteifungsoperation an.

Die Stabilisierung der Wirbelsäule im Rahmen einer minimalinvasiven Operation erfolgt mit speziellen Schrauben und Verbindungsstangen. Wurden durch den Gleitwirbel Nervenwurzeln eingeengt, müssen diese zunächst freigelegtund entlastet werden.

Versteifung der Lendenwirbelsäule im Röntgen Eine operative Versteifung (Spondylodese) kann eine durch Wirbelgleiten instabil gewordene Wirbelsäule mittels Schrauben stabilisieren. © praisaeng, Fotolia

Wie lange bin ich nach einer Operation der Gleitwirbel arbeitsunfähig?

Nach einer operativen Versteifung bei Wirbelgleiten dürfen Sie etwa 4 bis 6 Wochen nicht arbeiten. Je nach Tätigkeit kann die Arbeitsunfähigkeit aber auch länger bestehen. Achten Sie bei der Rückkehr in Ihren Job unbedingt auf einen ergonomisch eingerichteten Arbeitsplatz mit höhenverstellbarem Schreibtisch. Vermeiden Sie es, über längere Zeit in der gleichen Position oder mit übereinandergeschlagenen Beinen zu sitzen. Dies belastet die Wirbelsäule sehr.

Führen Sie regelmäßig Übungen zur Kräftigung und Dehnung der Rückenmuskulatur durch und mobilisieren Sie Ihren Rücken auch während der Arbeitszeit.

Wann darf ich nach operativer Versteifung wieder Sport machen?

Um die Einheilung nach der Versteifung der Wirbelsäule nicht zu gefährden, sollten Sie sich unmittelbar nach der Operation körperlich schonen. Auf Sport sollten Sie generell für etwa einen Monat verzichten. Dann dürfen Sie mit sanften Sportarten wie Schwimmen oder Radfahren beginnen. Bewegungsübungen sind in Absprache mit Ihrem Arzt oder Physiotherapeuten möglich. Kontaktsportarten wie Fußball oder verletzungsanfällige Sportarten wie Skifahren sollten Sie frühestens 3 Monate nach der Operation wieder ausüben.

Übungen nach Operation lumbaler Gleitwirbel

Während der Einheilungsphase nach der Operation ist ein korrektes Bewegungsverhalten von großer Wichtigkeit, um das Operationsergebnis nicht zu gefährden. Dabei spricht man u. a. von der En-bloc-Mobilsation. Achten Sie darauf, die Bewegungsübergänge wie beschrieben durchzuführen. Diese Bewegungsabläufe sollten automatisiert werden, um Fehler zu vermeiden. Ihr Physiotherapeut kann Sie beim Erlernen der Bewegungen unterstützen.

Drehung von der Rückenlage in die Seitlage

Stellen Sie beide Beine an. Der Arm auf der Seite, auf die Sie sich drehen wollen, liegt in Henkelstellung. Der andere Arm liegt auf dem Bauch. Leiten Sie nun die Drehbewegung zur Seite ein, indem Sie die Rumpfmuskulatur anspannen, das Kinn Richtung Brust ziehen und sich langsam auf die Seite drehen. Wichtig: Schulter und Beckengürtel bewegen sich gleichzeitig Richtung Seitlage (en bloc). Bewegen sich Schulter und Becken getrennt voneinander, führt dies zu ungewollten Rotationsbewegungen in der Wirbelsäule.

Rückenschonendes Drehen nach Operation an der Wirbelsäule Rückenlage. © Gelenk-Klinik Beine aufstellen Stellen Sie die Beine an. © Gelenk-Klinik
En-bloc-Mobilisation Schulter und Beckengürtel bewegen sich gleichzeitig (en bloc). Vermeiden Sie eine Verdrehung der Wirbelsäule. © Gelenk-Klinik

Lagerung auf der Seite

Liegen Sie auf dem Rücken und legen Sie ein flaches Kissen unter den Kopf – nicht unter die Schultern, damit der Körper horizontal gelagert wird. Wenn Sie auf der Seite liegen, können Sie den oberen Arm und das Bein mit Kissen o. Ä. unterlagern, damit Sie stabil liegen und die Wirbelsäule nicht rotiert.

Lagerung auf der Seite nach Wirbelsäulen-OP Seitlage. © Gelenk-Klinik

Aufstehen

Begeben Sie sich zuerst wie oben beschrieben von der Rückenlage in die Seitlage. Beugen Sie nun die Beine und schieben Sie die Fersen über die Bettkante. Zunächst stützen Sie sich mit der oberen Hand vor der Brust etwas nach oben, dann kommt zusätzlich die andere Hand mit dem Ellenbogen als Stütze dazu. Achten Sie darauf, die Füße auf den Boden zu stellen.

Rückenschonendes Aufstehen nach Operation an der Wirbelsäule Schieben Sie die Fersen über die Bettkante. © Gelenk-Klinik Von der Seitenlage in den Sitz Halten Sie Bodenkontakt. © Gelenk-Klinik

Sitzen

richtig Sitzen bei Rückenschmerzen Die Knie sollten beim Sitzen niemals höher als das Gesäß sein. © Gelenk-Klinik

Vermeiden Sie tiefes Sitzen. Die Oberschenkel sollten leicht abfallend sein. Die Betthöhe sollte nur erhöhtes Sitzen zulassen. Sie können sich während des Hinsetzens oder auch beim Sitzen selber immer mit den Händen auf den Oberschenkeln abstützen, um die Wirbelsäule zu entlasten.

Vom Sitzen zum Stehen

Platzieren Sie den Fuß eines Beines etwas nach hinten (Schrittstellung). Stützen Sie sich mit den Händen auf den Oberschenkeln ab und beugen den Oberkörper leicht nach vorne. Der Rücken bleibt dabei gerade. Drücken Sie sich nun mit der vereinten Kraft Ihrer Arme und Beine nach oben. Das Aufstehen kann durch gleichzeitige Ausatmung unterstützt werden.

Sitz auf einem Stuhl Ausgangsposition: Ein Fuß steht etwas hinter dem anderen. © Gelenk-Klinik Aufstehen nach einer Wirbelsäulen-OP Stützen Sie sich mit den Händen auf den Oberschenkeln ab und beugen Sie sich nach vorne. © Gelenk-Klinik aufrechter Stand Der Rücken bleibt stets gerade. © Gelenk-Klinik

Rückengerechtes Arbeiten

Nach einer operativen Versteifung bei Wirbelgleiten dürfen Sie etwa 4 bis 6 Wochen nicht arbeiten. Je nach Tätigkeit kann die Arbeitsunfähigkeit aber auch länger bestehen. Bei der Rückkehr in Ihren Job sollten Sie verschiedene Punkte beachten, um die Belastung Ihres Rückens zu optimieren.

Verhältnisse am Arbeitsplatz

Unabhängig davon, ob Sie eine überwiegend sitzende oder stehende Tätigkeit ausführen, sollten Ihnen am Arbeitsplatz folgende Dinge möglich sein:

  • körpernahes Arbeiten
  • das Einnehmen einer aufrechten Körperhaltung
  • Bewegung und Haltungswechsel
  • das Abstützen und Entlasten von Körperteilen, z. B. durch Stehhilfen, Fußschemel, Rückenlehnen etc.
Sitzen auf einem umgedrehten Stuhl Die vordere Abstützung des Schreibtischstuhls gibt einen großen Teil der Gewichte von Brustkorb und Schultergürtel ab. © Gelenk-Klinik Abstützen auf den Oberschenkeln Stützen Sie sich mit den Händen auf den Oberschenkeln ab. Der Rücken bleibt gerade. © Gelenk-Klinik

Generell gilt: Machen Sie es sich bei allen Tätigkeiten so leicht wie möglich (optimale Arbeitshöhe, Hilfsmittel wie Rollhocker, Sitzkissen, höhenverstellbarer Schreibtisch etc.).

Aufrechtes und dynamisches Sitzen

aufrechte Sitzposition So sitzen Sie richtig. © Gelenk-Klinik

Die sitzende Arbeitsweise bietet einige Vorteile: So wird der Energieverbrauch reduziert, die Rumpfstabilität verbessert und Hüftgelenke und Beine werden entlastet. Lang andauerndes Sitzen, v. a. in gebeugter Sitzhaltung, ist jedoch eine statische Dauerbelastung, die sich negativ auf Wirbelsäule und Muskulatur auswirken kann. Eine aufrechte Haltung sowie ein regelmäßiger Belastungswechsel können dem vorbeugen. So können Sie Ihre Sitzunterlage mehrmals am Tag ändern, z. B. durch ein Sitzkissen, einen Pezziball oder einen Kniestuhl etc.

Merkmale der aufrechten Sitzposition:

  • Die Fußsohlen sind am Boden und die Beine sind leicht, etwa hüftbreit, geöffnet.
  • Der Winkel zwischen Unter- und Oberschenkel sollte ca. 90° oder etwas mehr betragen.
  • Fuß, Unter- und Oberschenkel befinden sich in einer Ebene.
  • Das Becken ist mittig eingestellt, mit der Tendenz einer Kippung nach vorne.
  • Der Brustkorb ist leicht nach vorne oben angehoben.
  • Das Kinn ist leicht herangezogen (Richtung Kehlkopf, nicht Richtung Brust) und der Nacken lang.
  • Die Schultern liegen locker auf dem aufgerichteten Brustkorb auf.

Gerade zu Beginn stellt das aufrechte Sitzen eine Umstellung unserer gewohnten Bewegungsmuster dar. Verbleiben Sie deshalb nur so lange in dieser Position, wie sie entspannt sind und ruhig atmen können. Versuchen Sie die Position immer wieder tagsüber einzunehmen und für mehrere Minuten zu halten. Im Laufe der Zeit wird es Ihnen zunehmend leichter fallen.

Aktives aufrechtes Stehen

Der aufgerichtete Stand des Menschen kann entweder aktiv durch entsprechende Muskelkraft gehalten werden oder passiv eingenommen werden, indem man sich “in die Bänder fallen lässt”. Diese passive Haltung wird häufig als die angenehmere empfunden, beinhaltet aber eine höhere Belastung für die Bänder und Gelenke. Versuchen Sie deshalb immer wieder, eine aktive aufrechte Haltung einzunehmen.

passive Haltung Passive Haltung. © Gelenk-Klinik aktive Haltung Aktive Haltung. © Gelenk-Klinik

Merkmale des aktiven aufrechten Stehens:

  • Füße gleichmäßig belasten
  • Knie leicht beugen
  • Becken in Mittelstellung
  • Brustkorb leicht nach vorne oben anheben
  • Kinn leicht heranziehen (Richtung Kehlkopf, nicht Richtung Brust) und der Nacken lang
  • Schultern locker auf dem aufgerichteten Brustkorb auflegen

Übungen zur segmentalen Stabilisation

Die lokalen Muskeln (Musculi multifidi und Musculus transversus abdominus) an der Wirbelsäule und die Beckenbodenmuskeln haben eine wichtige Funktion für die Stabilität. Bei vielen Menschen mit Rückenproblemen sind diese Muskeln in der motorischen Kontrolle beeinträchtigt (die Aktivierung funktioniert nicht gut bzw. verzögert). Diese Übungen zeichnen sich durch ein geringes Maß an Bewegung, aber ein hohes Maß an bewusster Kontrolle aus. Regelmäßiges Üben ist essentiell, um einen Erfolg zu erzielen (mind. 4-mal pro Woche). Diese Übungen können Sie auch schon wenige Tage nach der Operation anwenden, wenn sie Ihnen keine Schmerzen bereiten.

Sanftes Einziehen des Unterbauches

Ausgangsstellung: Rückenlage, die Beine sind leicht angestellt. Der Rücken ist entspannt. Eine Hand liegt oberhalb und eine Hand unterhalb des Bauchnabels auf.

Durchführung: Atmen Sie mehrmals tief bis in Ihren Bauch. Spüren Sie, wie sich Ihre Hände heben. Versuchen Sie nun, beim Ausatmen Ihren Unterbauch langsam und fein einzuziehen. Halten Sie die Spannung für 10 Sekunden und atmen Sie dabei weiter. Es sollte sich nun nur noch die obere Hand bewegen. Wichtig: Das Becken und die Wirbelsäule bewegen sich nicht.

Wiederholung: Spannung 10-mal nacheinander für 10 Sekunden halten. Keine Pressatmung.

in Rückenlage Unterbauch einziehen Spüren Sie bei der Übung, wie sich Ihre Hände heben. © Gelenk-Klinik

Beckenbodenmuskeln anspannen

Aufrechter Sitz auf einem Stuhl. Die Hände liegen auf Schambein und Steißbein. Spüren Sie die Bewegung in Ihren Händen. © Gelenk-Klinik

Ausgangsstellung: Setzen Sie sich aufrecht auf einen Stuhl. Legen Sie eine Hand oben auf das Schambein und die andere Hand auf das Steißbein.

Durchführung: Versuchen Sie nun, mit den Beckenbodenmuskeln das Schambein und das Steißbein langsam und behutsam zueinander zu ziehen (von vorne nach hinten). Achten Sie darauf, sich nicht zu verspannen, die Gesäßmuskeln zusammen zu kneifen oder das Becken zu bewegen. Sie sollten eine leichte Spannung im Beckenboden spüren.

Wiederholung: Spannung 10-mal nacheinander für 10 Sekunden halten. Keine Pressatmung.

Bauch und Beckenboden anspannen

Ausgangsstellung: Rückenlage, die Beine sind leicht angestellt. Der Rücken ist entspannt. Legen Sie einen Finger jeder Hand etwa 2 cm innerhalb des vorderen oberen Darmbeinstachels auf.

Durchführung: Atmen Sie langsam ein und durch den leicht geöffneten Mund wieder aus (Lippenbremse). Bei der Ausatmung versuchen Sie, den Beckenboden nach oben innen zu ziehen (Vorstellung: “Harndrang unterdrücken”). Den unteren Bauch ziehen Sie zudem sanft nach unten in Richtung Wirbelsäule. Wichtig: Becken und Wirbelsäule bewegen sich dabei nicht. Sie sollten eine sanfte Spannung unter Ihren Fingern spüren und eine leichte Bewegung des Unterbauchs nach innen. Halten Sie die Spannung für 10 Sekunden. Atmen Sie dabei weiter, ohne die Spannung zu lösen.

Wiederholung: Spannung 10-mal nacheinander für 10 Sekunden halten. Keine Pressatmung.

Übung in Rückenlage Becken und Wirbelsäule bewegen sich bei der Übung nicht. © Gelenk-Klinik
Literaturangaben
  • Acker, G., & Vajkoczy, P. (2017). Iatrogenes Wirbelgleiten – Inzidenz, Risikofaktoren, Management. Die Wirbelsäule, 1(02), 129–132.
  • Bartolomei, J. C., Theodore, N. & Sonntag, V. K. (2005). Adjacent level degeneration after anterior cervical fusion: a clinical review. Neurosurgery clinics of North America, 16(4).
  • Binder, A. I. (2007). Cervical spondylosis and neck pain. BMJ (Clinical research ed.), 334(7592), 527–531.
  • Bulsara, K. R., Velez, D. A. & Villavicencio, A. (2006). Rotational vertebral artery insufficiency resulting from cervical spondylosis: case report and review of the literature. Surgical neurology, 65(6), 625–627.
  • Epstein, N. (2002). Posterior approaches in the management of cervical spondylosis and ossification of the posterior longitudinal ligament. Surgical neurology, 58(3–4).
  • Fountas, K. N., Kapsalaki, E. Z., Nikolakakos, L. G., Smisson, H. F., Johnston, K. W., Grigorian, A. A. et al. (2007). Anterior cervical discectomy and fusion associated complications. Spine, 32(21), 2310–2317.
  • Harrop, J. S., Hanna, A., Silva, M. T. & Sharan, A. (2007). Neurological manifestations of cervical spondylosis: an overview of signs, symptoms, and pathophysiology. Neurosurgery, 60(1 Supp1 1).
  • Hoffmann, C. H., Scholz, M., & Kandziora, F. (2016). Indikationen zur Korrekturspondylodese bei degenerativer Spondylolisthesis. Zeitschrift für Orthopädie und Unfallchirurgie, 154(01), 85–99.
  • Jacobs, W., Willems, P. C., van Limbeek, J., Bartels, R., Pavlov, P., Anderson, P. G. et al. (2011). Single or double-level anterior interbody fusion techniques for cervical degenerative disc disease. Cochrane database of systematic reviews (Online)(1).
  • Kalfas, I. H. (2002). Role of corpectomy in cervical spondylosis. Neurosurgical focus, 12(1).
  • Khalil, J. G., Fischgrund, J. S., & Roberts, R. V. (2017). Surgical Management of Lumbar Spondylolisthesis. In Essentials of Spinal Stabilization (299–320). Springer, Cham.
  • Naidoo, R. N. & Haq, S. A. (2008). Occupational use syndromes. Best practice & research. Clinical rheumatology, 22(4), 677–691.
  • Nowak, D. D., Lee, J. K., Gelb, D. E., Poelstra, K. A. & Ludwig, S. C. (2009). Central cord syndrome. The Journal of the American Academy of Orthopaedic Surgeons, 17(12), 756–765.
  • Rao, R. D., Currier, B. L., Albert, T. J., Bono, C. M., Marawar, S. V., Poelstra, K. A. et al. (2007). Degenerative cervical spondylosis: clinical syndromes, pathogenesis, and management. The Journal of bone and joint surgery. American volume, 89(6), 1360–1378.
  • Rao, R. D., Currier, B. L., Albert, T. J., Bono, C. M., Marawar, S. V., Poelstra, K. A. et al. (2008). Degenerative cervical spondylosis: clinical syndromes, pathogenesis, and management. Instructional course lectures, 57, 447–469.
  • Roh, J. S., Teng, A. L., Yoo, J. U., Davis, J., Furey, C. & Bohlman, H. H. (2005). Degenerative disorders of the lumbar and cervical spine. The Orthopedic clinics of North America, 36(3), 255–262.
  • Sari-Kouzel, H. & Cooper, R. (1999). Managing pain from cervical spondylosis. The Practitioner, 243(1597), 334–338.
  • Seo, M. & Choi, D. (2008). Adjacent segment disease after fusion for cervical spondylosis; myth or reality? British journal of neurosurgery, 22(2), 195–199.
  • Tobert, D. G., & Harris, M. B. (2018). Degenerative Lumbar Spinal Stenosis and Spondylolisthesis. In Principles of Orthopedic Practice for Primary Care Providers (pp. 47–59). Springer, Cham.
  • Wieser, E. S. & Wang, J. C. (2007). Surgery for neck pain. Neurosurgery, 60(1 Supp1 1).
  • Witwer, B. P. & Trost, G. R. (2007). Cervical spondylosis: ventral or dorsal surgery. Neurosurgery, 60(1 Supp1 1).
  • Wong, A. S., Massicotte, E. M. & Fehlings, M. G. (2005). Surgical treatment of cervical myeloradiculopathy associated with movement disorders: indications, technique, and clinical outcome. Journal of spinal disorders & techniques, 18 Suppl.