1. Wann wird die Minced Cartilage-Therapie eingesetzt?
  2. Wie funktioniert die Minced Cartilage-Methode?
  3. Vorteil der Minced Cartilage-Methode: Alles in einem Eingriff
  4. Wie verläuft der Heilungsprozess nach Minced Cartilage?
  5. Wie ist die Prognose nach Minced Cartilage?
Knorpeldefekt im Kniegelenk mit Knorpelchips Die Aufnahme zeigt einen Knorpeldefekt im Kniegelenk. Der Defekt wurde mit körpereigenen Knorpelchips und Blutplasma des Patienten aufgefüllt. Beides befindet sich unterhalb des Instruments. © Gelenk-Klinik

Minced Cartilage ist ein modernes Verfahren, um Knorpelschäden im Kniegelenk zu reparieren. Gesundes körpereigenes Knorpelgewebe der Betroffenen wird während eines operativen Eingriffs entnommen und mechanisch in kleine «Chips» zerhackt (englisch: to mince, zerhacken). Diese Knorpelchips werden mit körpereigenen Stoffen aus dem Blut des Patienten vermischt und in den Bereich des Knorpelschadens eingebracht. Die gesamte Prozedur findet während einer einzigen Operation statt.

Statt Minced Cartilage-Verfahren werden in der Medizin auch die Bezeichnungen Knorpelchips-Implantation oder AutoCart™ verwendet.

Wann wird die Minced Cartilage-Therapie eingesetzt?

Die Spezialisten der Gelenk-Klinik können Knorpeldefekte des Kniegelenkes mit verschiedenen Therapiekonzepten behandeln. Das Ziel jeder Knorpeltherapie ist die Regeneration des Knorpeldefekts mit einer möglichst hohen Knorpelqualität und somit mit einem langfristigen Therapieerfolg für die Patienten:

Therapiekonzepte bei Gelenkknorpelschäden:

Welches dieser Verfahren für den jeweiligen Knorpelschaden geeignet ist, entscheidet der behandelnde Knorpelspezialist anhand der Defektgröße, der -lokalisation sowie der Tiefe des Schadens und dem Alter des Patienten. Allerdings ist die Vitalität des Gelenkknorpels dabei wichtiger als das tatsächliche Alter des Patienten. Das Behandlungskonzept wird durch die Kniespezialisten der Gelenk-Klinik anhand dieser Kriterien für jeden Patienten individuell erstellt.

Minced Cartilage: Einsatz bei kleinen und ausgedehnten Knorpelschäden am Kniegelenk

Die Minced Cartilage-Therapie ist ein relativ neues Verfahren und Langzeitergebnisse klinischer Studien, die älter als fünf Jahre sind, liegen bisher nicht vor. Das Verfahren ist für kleine, für ausgedehnte Knorpelschäden und für Knorpel-Knochenschäden geeignet. Die Knorpelmasse lässt sich sehr gut in den Defekt hinein modellieren.

Die bisherigen klinischen Daten über 2-Jahresergebnisse bescheinigen der Minced Cartilage-Methode gute postoperative Ergebnisse:

  • Die Behandlung führt bei den Patienten zu einer deutlichen Verbesserung der Schmerzen und der Funktion des Kniegelenks.
  • Die Komplikationsrate ist nicht höher als bei anderen Knorpelersatztherapien.
  • Die Minced Cartilage-Technik ist eine einzeitige Knorpelzelltransplantation. Das bedeutet, dass die vollständige Behandlung während einer einzigen Operation stattfindet. Der Operateur kann somit direkt auf Knorpelschäden während des Eingriffs reagieren.

Die Kniespezialisten der Gelenk-Knie wenden das Minced Cartilage-Verfahren seit zwei Jahren an und können diese positiven Ergebnisse bestätigen.

Wie funktioniert die Minced Cartilage-Methode?

Unsere Gelenkspezialisten führen die Minced Cartilage-Operation über eine kleine Inzision arthroskopisch gestützt durch. Das heißt, sie operieren über kleine Einschnitte und mithilfe einer Kamera und Spezialwerkzeugen.

Schematische Darstellung der Minced Cartilage-Methode am Kniegelenk

Entnahme von Knorpelgewebe, Zerkleinern zu Knorpelchips 1. Schritt: Entnahme von Knorpelgewebe, Zerkleinern zu Knorpelchips. © Gelenk-Klinik Vermischen der Knorpelchips mit körpereigenem PRP 2. Schritt: Vermischen der Knorpelchips mit körpereigenem thrombozytenreichem Plasma (PRP). © Gelenk-Klinik
 Auffüllen des Defekts 3. Schritt: Auffüllen des Defekts mit dem pastenartigen Knorpelchips-PRP-Gemisch. © Gelenk-Klinik Fixieren des Knorpelimplantats mit Thrombin 4. Schritt: Fixieren des Knorpelimplantats mit Thrombin aus dem Patientenblut. © Gelenk-Klinik

Entnahme und Verarbeitung von Knorpelchips

Entnahme von Knorpelchips aus dem Knie Kniearthroskopie: Mit einem feinen Instrument werden 0,3-0,4 mm kleine Knorpelchips aus dem Knie entnommen, gesammelt und mit körpereigenem thrombinhaltigen Plasma vermischt. © Gelenk-Klinik

Zuerst entfernt der Operateur das defekte Knorpelgewebe im Kniegelenk durch ein spezielles Instrument, das einem scharfen Löffel ähnelt. Nachdem er den geschädigten Knorpelbereich gründlich gesäubert hat, gewinnt er aus dem Randbereich des Defektes gesundes Knorpelgewebe. Dieser Knorpel wird direkt nach Entnahme zerkleinert und es entstehen die wichtigen Knorpelchips. Sie bilden die Grundbausteine für die Reparatur.

Eigenblut als Gewebekleber

Knorpelchips-PRP-Paste im Defekt Kniearthroskopie: Die Knorpelchips-PRP-Paste wird mit dem Tasthaken gleichmäßig im Defekt verteilt. © Gelenk-Klinik

Zeitgleich entnimmt der Arzt dem Patienten Blut und gewinnt daraus thrombozytenreiches Plasma (platelet-rich plasma, PRP). Die Blutplättchen (Thrombozyten) setzen Wachstumsfaktoren frei und beschleunigen die Wundheilung am Knorpel um ein Vielfaches.

Das PRP aus dem Blut des Patienten wird mit den Knorpelchips zu einer Paste vermengt und der Operateur füllt den Knorpeldefekt damit auf.

Fixieren des Knorpeltransplantats mit Thrombin

Versiegelung der Knorpelchips-Paste Kniearthroskopie: Versiegelung der Knorpelchips-Paste durch körpereigenes Thrombin und Plasma. © Gelenk-Klinik

Im letzten Schritt bedeckt der Spezialist die Knorpelchips-Paste mit Thrombin, das ebenfalls aus dem Eigenblut des Patienten gewonnen wurde. Thrombin ist entscheidend für die Blutgerinnung und bildet sofort mit dem PRP eine Art Netz. Dieser natürliche Gewebekleber härtet umgehend aus und fixiert die transplantierten Knorpelchips fest im Knorpelschaden.

Ziel von Minced Cartilage: stabiler Knorpelersatz

fertige Knorpeltransplantat ist nun stabil Kniearthroskopie: Das fertige Knorpeltransplantat ist nun stabil und füllt den ehemaligen Defekt aus. © Gelenk-Klinik

Während des Heilungsprozesses füllt sich der ehemalige Knorpeldefekt homogen mit neu gebildetem Gewebe. Dieses ist insbesondere in den ersten 3 Monaten nach einem Eingriff noch labil und härtet zunehmend aus. Das Knie wird mit der Zeit immer belastbarer. Bis zur vollständigen Regeneration mit glatter Gelenkfläche im Knie können 12 und mehr Monate vergehen.

Vorteil der Minced Cartilage-Methode: alles in einem Eingriff

Bei der Knorpelersatztherapie durch Minced Cartilage ist nur eine Operation notwendig. Für die Patienten ist dieses Verfahren zeitsparender und schonender als andere Verfahren. Der Kniespezialist kann den Eingriff minimalinvasiv durchführen und sogar mit anderen notwendigen Eingriffen am geschädigten Kniegelenk kombinieren. Da es sich um eine einzeitige Methode handelt, kann der Operateur bei einem Knorpelschaden sofort reagieren. Die gewonnen Knorpelchips setzt er nach der Aufbereitung unmittelbar in den Knorpeldefekt ein.

Nur körpereigene Stoffe kommen zum Einsatz

Bei der Knorpeltransplantation durch Minced Cartilage verwendet der Gelenkspezialist ausschließlich körpereigene Stoffe des Patienten, die entfernt, bearbeitet und direkt wieder eingesetzt werden. Der Patient selbst stellt die wichtigen Bestandteile für seine Heilung bereit. Das gewährleistet eine optimale Verträglichkeit. Dabei regen körpereigenes Thrombin als Bindestoff und PRP als Wachstumsfaktor die Regeneration und das Wachstum des Knorpeltransplantats an.

Wie verläuft der Heilungsprozess nach Minced Cartilage?

Nach einer Knorpeltransplantation mit dem Minced Cartilage-Verfahren bleiben die Patienten 3 Tage in stationärer Betreuung in der Gelenk-Klinik. In dieser Zeit beurteilt der Gelenkspezialist den Heilungsverlauf und kann akute Komplikationen wie Nachblutungen ode stärkere Schmerzen sofort erkennen und behandeln. Meist ist eine orale Schmerzmedikation völlig ausreichend.

Das behandelte Gelenk muss etwa sechs Wochen lang entlastet werden, benötigt aber dennoch Bewegung, um eine Versteifung zu vermeiden und den Regenerationsprozess des Knorpels zu stimulieren. Dies kann je nach Heilungsstadium und Ort des Knorpelschadens durch motorisierte Bewegungsschienen, ambulante Physiotherapie oder leichtes Radfahren auf dem Ergometer erreicht werden.

Nach 6 Monaten sind die Patienten in der Regel wieder komplett sportfähig. Besonders gelenkschonende Sportarten wie Fahrradfahren oder Schwimmen eignen sich zum Wiedereinstieg.

Wie ist die Prognose nach Minced Cartilage?

In klinischen Studien publizierten Spezialisten zufriedenstellende 2-Jahresergebnisse nach einer Minced Cartilage-Operation.

Die Behandlung durch die Implantation von Knorpelchips führte bei den Betroffenen zu einem deutlichen Rückgang der Schmerzen und einer Verbesserung der Kniegelenksfunktion.

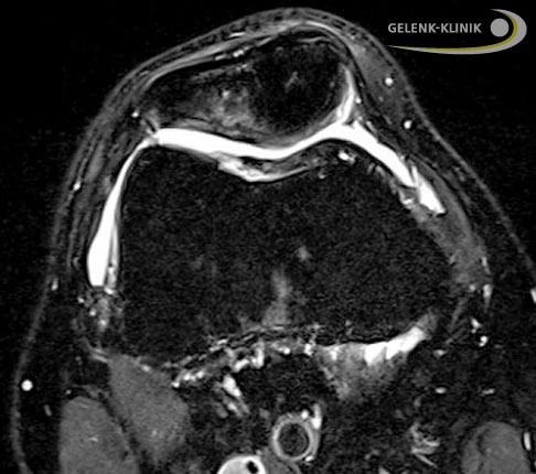
Nachuntersuchungen durch MRT bestätigen eine gute Regeneration des Knorpeltransplantats

Nachuntersuchungen durch Magnetresonanztomographie (MRT) zeigen im Verlauf nach einer Minced Cartilage-Operation eine sehr gute Qualität des Knorpelersatzgewebes und die Wiederherstellung des subchondralen Knochens. Das Minced Cartilage-Verfahren kann sicher angewendet werden und die Komplikationsraten sind nicht höher als bei anderen Knorpelersatztherapien.

Knorpelschaden im Kniegelenk, seitlich Seitliche MRT-Aufnahme eines Knorpelschadens im Kniegelenk. Der Knorpelschaden erscheint weiss in dem ansonsten homogenen hellgrauen Bereich (gesunder Knorpel) an der Rückfläche der Kniescheibe. © Gelenk-Klinik Knorpelschaden im Kniegelenk, quer Als Folge des Knorpelschadens hat sich zusätzlich eine Flüssigkeitsansammlung im Knochen der Kniescheibe (Patella) gebildet. Das Knochenödem stellt sich als aufgehellter Bereich oben im MRT-Bild dar. © Gelenk-Klinik
 Nach 9 Monaten, seitlich MRT-Aufnahmen des gleichen Knorpelschadens 9 Monate nach operativer Knorpelchips-Transplantation (links seitlich, rechts Querschnitt). © Gelenk-Klinik Nach 9 Monaten, quer Der Gelenkknorpel ist sehr gut wiederhergestellt und das Transplantat hat sich in die Umgebung integriert. Während des Regenerationsprozesses hat sich auch das Knochenmarködem der Kniescheibe zurückgebildet. © Gelenk-Klinik

Weitere Studien laufen

Neuere Auswertungen über einen 5-Jahresverlauf bestätigen den klinischen Nutzen. Die Patienten sind zufrieden und leiden unter deutlich weniger Knieschmerzen nach dem Minced Cartilage-Eingriff.

Es gibt noch keine histologischen Studien zur Therapie mit Minced Cartilage, die Auskunft über die langfristige Qualität des Knorpelregenerats geben. Aufgrund der fehlenden Langzeitergebnisse gilt daher weiterhin die autologe Knorpeltransplantation (ACT) als Goldstandard bei Knorpelschäden.

Literatur
  • Christensen, B. B., Foldager, C. B., Jensen, J., & Lind, M. (2015). Autologous dual-tissue transplantation for osteochondral repair: early clinical and radiological results. Cartilage, 6(3), 166-173.
  • Cole, B. J., Farr, J., Winalski, C. S., Hosea, T., Richmond, J., Mandelbaum, B., & De Deyne, P. G. (2011). Outcomes after a single-stage procedure for cell-based cartilage repair: a prospective clinical safety trial with 2-year follow-up. The American Journal of Sports Medicine, 39(6), 1170-1179.
  • Levinson, C., Cavalli, E., Sindi, D. M., Kessel, B., Zenobi-Wong, M., Preiss, S., ... & Neidenbach, P. (2019). Chondrocytes from device-minced articular cartilage show potent outgrowth into fibrin and collagen hydrogels. Orthopaedic journal of sports medicine, 7(9), 2325967119867618.
  • Lorenz, C. J., Freislederer, F., Salzmann, G. M., & Scheibel, M. (2021). Minced Cartilage Procedure for One-Stage Arthroscopic Repair of Chondral Defects at the Glenohumeral Joint. Arthroscopy Techniques, 10(7), e1677-e1684.
  • Massen, F. K., Inauen, C. R., Harder, L. P., Runer, A., Preiss, S., & Salzmann, G. M. (2019). One-step autologous minced cartilage procedure for the treatment of knee joint chondral and osteochondral lesions: a series of 27 patients with 2-year follow-up. Orthopaedic Journal of Sports Medicine, 7(6), 2325967119853773.
  • Runer, A., & Salzmann, G. M. (2022). Moving towards single stage cartilage repair—Is there evidence for the minced cartilage procedure? Journal of Cartilage & Joint Preservation, 100053.
  • Roth, K. E., Ossendorff, R., Klos, K., Simons, P., Drees, P., & Salzmann, G. M. (2021). Arthroscopic minced cartilage implantation for chondral lesions at the talus: A technical note. Arthroscopy techniques, 10(4), e1149-e1154.
  • Salzmann, G. M., Ossendorff, R., Gilat, R., & Cole, B. J. (2021). Autologous minced cartilage implantation for treatment of chondral and osteochondral lesions in the knee joint: an overview. Cartilage, 13(1_suppl), 1124S-1136S.
  • Schneider, S., Ossendorff, R., Holz, J., & Salzmann, G. M. (2021). Arthroscopic minced cartilage implantation (MCI): a technical note. Arthroscopy techniques, 10(1), e97-e101.