- Anatomie des Fußes und Funktion der Tibialis-anterior-Sehne
- Was sind die Ursachen für eine Ruptur der Tibialis-anterior-Sehne?
- Symptome: Schmerzen im Schienbein
- Wie untersucht der Arzt die Tibialis-anterior Sehne?
- Sehnenentzündung: Therapie ohne Operation
- Operation bei Ruptur der Tibialis-anterior-Sehne
Anatomie des Fußes und Funktion der Tibialis-anterior-Sehne
Die Bewegung des Fußes und der Zehen wird durch die intrinsische und extrinsische Fußmuskulatur gewährleistet. Intrinsische Fußmuskeln setzen am Fußskelett selbst an und bewegen Teile des Fußes. Die extrinsischen Fußmuskeln setzen am Unterschenkel an und übertragen ihre Kraft auf Fuß und Sprunggelenk. Sie spielen eine wichtige Rolle für die dynamische und statische Unterstützung des Körpers. Sowohl auf ebenem als auch auf unebenem Untergrund sorgen sie für Stabilität im Stand und in der Bewegung.


© Dr. Thomas Schneider
Der vordere Schienbeinmuskel (Musculus tibialis anterior) ist Teil dieser extrinsischen Fußmuskulatur. Er liegt am Unterschenkel im sogenannten vorderen Kompartment und entspringt kniegelenknah zwischen Schienbein (Tibia) und Wadenbein (Fibula). Die Sehne des Muskelbauches zieht über die Innenseite des Fußrückens in den Fuß und setzt am ersten Mittelfußknochen und am Os cuneiforme (Keilbein), etwa in der Mitte der Fußwölbung, an. Sie dreht sich dabei um 90° zwischen dem Übergang von Muskel zur Sehne und der breiten Ansatzstelle. An dieser Stelle treten besonders häufig Schädigungen der Tibialis-anterior-Sehne auf. In ihrem Verlauf wird sie von zwei Retinakula (Haltebändern) stabilisiert. An diesen Stellen verläuft die Sehne in einer Sehnenscheide. Im Bereich zwischen dem oberen Retinakulum und der Sehnenansatzstelle ist die Tibialis-anterior-Sehne häufig geringer durchblutet. Daher kommt es in diesem Sehnenabschnitt oftmals zu Verschleiß und Schädigungen.
Die Sehne ist über eine Kraftübertragung des vorderen Schienbeinmuskels auf den Fuß für eine Anhebung (Dorsalflexion) des Fußes und eine seitliche Kippung des Sprunggelenks nach innen verantwortlich. Beim Gehen lässt die Sehne den Fuß nach Auftritt der Ferse langsam auf den Vorfuß abstellen. Nach einem Abdruck des Vorfußes hebt die Tibialis-anterior-Sehne ihn wieder an.

Ursachen für Schädigungen der Tibialis-anterior-Sehne
Ursächlich für eine Ruptur (Riss) der Tibialis-anterior-Sehne können falsche Belastung oder schlechte Konditionierung sein. In jungen Jahren sind vor allem Laufsportler von dieser seltenen Erkrankung betroffen. Plötzliche Trainingssteigerungen oder eine falsche Technik begünstigen häufig einen Sehnenriss. Die Sehne wird insbesondere beim Aufwärts- und Abwärtslaufen stark belastet. Aber auch eine verkürzte Wadenmuskulatur oder altersbedingte Sehnenveränderungen führen zu einer Schädigung der Sehne, an deren Ende ein Riss stehen kann. Dabei erleiden Männer häufiger eine Ruptur der Tibialis-anterior-Sehne als Frauen. Spontane Rupturen des Sehnenansatzes betreffen meist mittelalte Athleten, die zusätzlich unter einer Begleiterkrankung wie Diabetes mellitus oder einer entzündlichen Gelenkerkrankung leiden. Auch die Einnahme von Kortikoiden (Kortison) kann Sehnenentzündungen oder Rupturen der Tibialis-anterior-Sehne begünstigen. Die frische und spontane Verletzung der Sehne ist hingegen altersunabhängig und kann durch jeden scharfen Gegenstand verursacht werden.
Symptome: Schmerzen im Schienbein
Treten nach sportlicher Betätigung Schmerzen im vorderen Schienbein auf, kann eine Schädigung der Tibialis-anterior-Sehne dafür verantwortlich sein. Die Beschwerden sind vor allem im Verlauf des Muskelbauches des Schienbeinmuskels, am inneren Fußrücken oder in der Beugefalte des Sprunggelenks spürbar und können bereits während der Belastung auftreten oder wie Muskelkater einige Tage anhalten. Solche Symptome sollten frühzeitig von einem Arzt abgeklärt werden, um eine drohende Ruptur der Tibialis-anterior-Sehne zu verhindern. Verspürt ein mittelalter Athlet plötzlich eine Unsicherheit beim Gehen oder Stehen, kann bereits ein Sehnenriss vorliegen. Teilweise tritt eine Schwellung im Bereich des Sehnenverlaufs und eine Kraftminderung beim Anheben des Fußes auf. Setzt der Patient den Fuß aufgrund einer gestörten Fußhebung zunächst mit der Fußspitze auf, spricht man auch von einem Steppergang. Nicht immer ist eine solche Ruptur mit Schmerzen verbunden. Da die benachbarten Muskeln die Verletzung teilweise kompensieren können, wird die richtige Diagnose in einigen Fällen erst nach Wochen gestellt. Die Erkrankung der Tibialis-anterior-Sehne kann außerdem leicht mit anderen Krankheitsbildern wie einer Schädigung des Wadenbeinnervs (Peroneusnerv) oder einer L5-Nervenwurzelsymptomatik der Lendenwirbelsäule verwechselt werden, die ähnliche Schmerzen im Bereich des Schienbeins verursachen.

Wie untersucht der Arzt die Tibialis-anterior Sehne?
Um den Zustand der Tibialis-anterior-Sehne beurteilen zu können, führt der Fußspezialist zunächst eine Tastuntersuchung durch. Dabei erkennt er Verdickungen oberhalb des Sprunggelenks, die auf eine Tendinopathie (schmerzhafte Sehnenveränderung) hindeuten können. Fühlt er bei der Untersuchung eine Delle, ist das ein Hinweis für einen Sehnenriss. Durch die Kraft des Großzehen- und Kleinzehenhebers ist das Anheben des Fußes trotz Ruptur auch weiterhin möglich. Es treten allerdings Schmerzen und eine Schwäche beim Anheben des Fußes gegen Widerstand auf. Einen kompletten Ausfall der Fußhebung beobachtet man auch bei einer frischen Schnittverletzung der Sehne nicht.
Die deutlichsten Veränderungen bei einer Ruptur der Tibialis-anterior-Sehne treten in der Region unterhalb des Haltebandes (Retinakulum) auf. Häufig ist eine ausgeprägte Krepitation (Knirschen) tastbar.
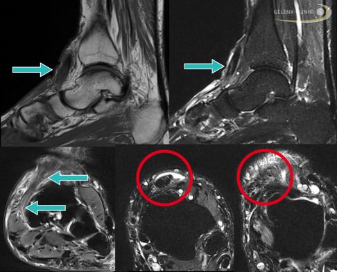
Um Lokalisation und Ausmaß der Sehnenschädigung richtig einschätzen zu können, sind bildgebende Verfahren wie Ultraschall und MRT (Magnetresonanztomografie) indiziert. Anhand der Bildgebungen kann der Arzt die Durchgängigkeit der Tibialis-anterior-Sehne und ihre Struktur beurteilen. Auch mögliche Veränderungen der umliegenden Weichteile (z. B. Sehnenscheiden) können auf diese Weise sichtbar gemacht werden.

Differentialdiagnostik – welche Erkrankungen verursachen ebenfalls Schmerzen im Fußgelenk?
Verschiedene Erkrankungen verursachen ähnliche Symptome wie die Ruptur oder Entzündung der Tibialis-anterior-Sehne. Hier ist vor allem die Stressfraktur zu nennen, ein überlastungsbedingter Knochenbruch, der häufig im Bereich des Fußes auftritt. Zudem kann eine Schädigung des Wadenbeinnervs (Peroneusnerv) oder der Nervenwurzel L5 an der Lendenwirbelsäule zu Schmerzen im Unterschenkel und am Fuß führen. Aber auch Gelenkerkrankungen des Sprunggelenks (z. B. Arthrose), ein chronisches Kompartmentsyndrom (Gewebeschädigung durch erhöhten Druck) oder eine tibiale Periostitis (Knochenhautentzündung des Schienbeins) sind von der Erkrankung der Tibialis-anterior-Sehne abzugrenzen.
Was tun bei einer Sehnenentzündung im Fuß?
Je nach Ausprägung lässt sich eine Sehnenentzündung (Tendinitis) am Fuß durch verschiedene konservative Maßnahmen behandeln. Bei einer Entzündung der Tibialis-anterior-Sehne sollte der Fuß in erster Linie geschont und entlastet werden. Die Ruhigstellung wird für mindestens zwei Wochen empfohlen. Zudem helfen Kühlung und entzündungshemmende Medikamente, um die Schmerzen an der Innenseite des Fußes zu lindern. Ist die Tibialis-anterior-Sehne stärker entzündet, kann auch eine Ruhigstellung in einem Spezialschuh von etwa 4 bis 6 Wochen notwendig werden. Dieser ermöglicht das Anziehen des Fußes in Richtung Schienbein, verhindert aber die Absenkung des Fußes zur Fußsohle (Plantarflexion) über eine 0°-Stellung hinaus. So kann sich die Tibialis-anterior-Sehne erholen und Schmerzen bzw. Schwellungen reduziert werden.
Operation bei Ruptur der Tibialis-anterior-Sehne
Liegt eine vollständige oder partielle Ruptur (Riss) der Tibialis-anterior-Sehne vor, ist der Fuß durch die Muskelschwächung in seiner Funktion stark eingeschränkt. Bei jüngeren und aktiven Patienten sollte eine Operation daher innerhalb von 3 bis 6 Wochen erfolgen. Ältere Menschen, die keine längeren Strecken mehr gehen, kommen auch ohne Operation aus, allerdings müssen sie mit eingeschränkter Beweglichkeit des Fußes rechnen.
Reißt die Tibialis-anterior-Sehne ein, bleibt das verdickte Ende des Sehnenstumpfes häufig an einem der Haltebänder (Retinakula) der Sehne hängen. An dieser Stelle entsteht eine Schwellung, die der Fußspezialist durch die Haut ertasten kann. Anhand seiner Einschätzung kann er dann die Rekonstruktion der Sehne vornehmen.
Für den Eingriff öffnet der Operateur die Haut über dem Sehnenverlauf. Eine minimalinvasive Operation ist bei einer Ruptur der Tibialis-anterior-Sehne nicht möglich, da er die gesamte Länge der Sehne einsehen muss. Je nach Alter der Verletzung zeigt die Sehne verschiedene Zustände. Bei einem verletzungsbedingten Riss ist in manchen Fällen eine einfache Naht der Sehne ausreichend. Es kann sich aber auch massives Narbengewebe oder ein starkes Hämatom (Bluterguss) gebildet haben. Auch langstreckige Degenerationen der Sehne zwischen Halteband und Sehnenansatz sind möglich. In diesen Fällen muss die Sehne durch einen Sehnenersatz wiederhergestellt werden. Bei der Rekonstruktion versucht der Arzt stets, das obere Retinakulum zu erhalten, um Verklebungen, Wundheilungsstörungen oder einen Kontaktverlust bei Anspannung der Sehne zu vermeiden. Da geschädigte Sehnenanteile und Narbengewebe entfernt werden, gestaltet sich der Erhalt der Sehnenlänge oft schwierig. Aus diesem Grund verwendet man bei einer verkürzten Sehne häufig Fadenankersysteme, um die volle Funktion der Sehne wiederherzustellen.
Als Sehnenersatz kommt sowohl ein freies Sehnentransplantat aus dem Fußsohlenmuskel (M. plantaris) am Unterschenkel als auch die Gracilissehne an der Innenseite des Knies infrage. Häufig verwendet man auch einen Teil der Sehne des Großzehenstreckers (M. extensor hallucis longus) zur Wiederherstellung. Beim Wundverschluss ist vor allem die Rekonstruktion des Retinakulums wichtig.
Wie lange dauert die Heilung nach Operation der Tibialis-anterior-Sehne?
Der Fuß darf etwa 6 bis 8 Wochen nach einer Operation der Tibialis-anterior-Sehne nicht belastet werden, da ansonsten Komplikationen wie Wundheilungsstörungen oder erneute Rupturen entstehen können. Diese Maßnahme stellt insbesondere für aktive Patienten eine massive Einschränkung dar, die aber sehr wichtig für den postoperativen Verlauf ist. Vor allem in den ersten 14 Tagen sollte der Fuß oft hochgelagert und gekühlt werden, um Schwellungen und damit Spannung auf das Narbengewebe zu vermeiden. Zur Unterstützung des Heilungsprozesses werden spezielle Ruhigstellungsschienen eingesetzt, die eine Plantarflexion (Beugen des Fußes zur Fußsohle) verhindern. Die Bewegung des Fußes nach oben und eine Neutralstellung sind hingegen jederzeit möglich. Hebeübungen des Fußes gegen einen Widerstand sollten erst nach etwa 12 Wochen durchgeführt werden. Jeder Patient, der in unserer Klinik operiert wird, erhält von uns ein individualisiertes Nachbehandlungsschema, das abhängig vom jeweils angewendeten Operationsverfahren auch Hinweise zu passiven Bewegungsübungen enthält. Die vollständige Heilung ist nach 6 Monaten abgeschlossen.