- Wie entsteht eine Sprunggelenksarthrose?
- Wie läuft die Knorpeltransplantation des oberen Sprunggelenks ab?
- Wann ist die Knorpelzelltransplantation erfolgversprechend?
- Wer eignet sich für die körpereigene Knorpeltransplantation?
- Welche Alternativen gibt es zur autologen Knorpeltransplantation?

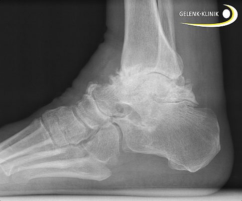
Ursache für eine schmerzhafte Arthrose des Sprunggelenks mit Sprunggelenkschmerzen sind häufig Verletzungen des Gelenkknorpels. Doch im Gegensatz zu anderen Gelenken resultieren die meisten Knorpelschäden am oberen Sprunggelenk (OSG) aus Unfällen.
Beim Umknicken des Sprunggelenks nach außen kommt es zu einer übermäßigen Scherbelastung des Knorpels am äußeren Sprungbein (Talus). Folge ist eine massive Druckbelastung am inneren Anteil des Sprungbeins mit Quetschung des unter dem Knorpel liegenden Knochens.
Im frühen Stadium des Knorpelschadens kann die Knorpeltransplantation dabei helfen, die Gelenkflächen zu regenerieren und die wichtige Funktion des Sprunggelenks im Abrollvorgang zu erhalten.
Wie entsteht eine Sprunggelenksarthrose?

In den meisten Fällen entsteht eine Arthrose im höheren Lebensalter aufgrund von veränderten Stoffwechselprozessen, Übergewicht, Fehlstellungen der Gelenke und häufig Bewegungsmangel.
Die Sprunggelenksarthrose hat jedoch meist traumatische Ursachen. Das bedeutet, ein Unfall, eine Sprunggelenksfraktur oder ein verrenkter Knöchel verursachen eine Schädigung der Bänder. Dieses Trauma legt die Grundlage für den vorzeitigen Verschleiß des Sprunggelenks.
Weiterhin können Knochensporne (Osteophyten) an der vorderen Schienbeinkante zu Knorpelschäden im Sprunggelenk führen. Auch avaskuläre Osteonekrosen (Knochentod) wie die Osteochondrosis dissecans (OD) sind häufig Auslöser für eine Schädigung der Gelenkfläche. Hierbei stirbt der unter dem Knorpel liegende Knochen aus unbekannter Ursache ab, sodass die Knorpelschicht letztendlich in den entstehenden Knochendefekt einbricht.
Wie läuft die Knorpeltransplantation des oberen Sprunggelenks ab?
Externer Inhalt von youtube.com
Die größten Erfahrungen existieren bei Knorpeltransplantationen am Kniegelenk. Die Übertragung dieser schonenden Behandlungsmethode auf das obere Sprunggelenk (OSG) war daher die logische Folge. In den letzten Jahren haben die orthopädischen Spezialisten für Fuß- und Sprunggelenkchirurgie intensive Erfahrungen mit Knorpeltransplantationen im Sprunggelenk gesammelt. Heute transplantieren wir die beim Patienten entnommenen Knorpelzellen arthroskopisch und ohne Verwendung von Fremdmaterialien.
Schritte der Knorpeltransplantation im Sprunggelenk

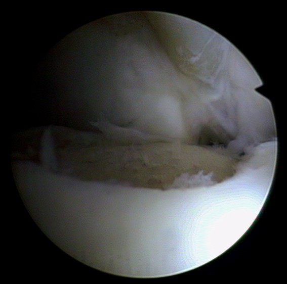
Die endoskopische Abbildung zeigt im weißen, gesunden Knorpel einen grauen Bereich mit einer Knorpelverletzung im Sprunggelenk. Unbehandelt vergrößert sich diese Knorpelverletzung. Die Läsion ist örtlich begrenzt und eignet sich für eine autologe Knorpelzelltransplantation.

Minimalinvasiv werden gesunde Knorpelzellen des Patienten gewonnen und außerhalb des Körpers im Labor vermehrt. In einem zweiten Eingriff bringt der Arzt die autologen (körpereigenen) Knorpelzellen in die geschädigte Stelle des Knorpels ein. Die Knorpelverletzung wird mit den Knorpelkügelchen bedeckt, die nach wenigen Sekunden am Untergrund haften.

Die Knorpelverletzung ist nach dem ca. 30 Minuten dauernden minimalinvasiven Eingriff mit den haftenden Knorpelzellkügelchen abgedeckt. Nach dem Eingriff ist ein dreitägiger stationärer Krankenhausaufenthalt erforderlich. Nach 6 Wochen kann der Patient das Sprunggelenk teilbelasten, nach 3 Monaten voll belasten. Der Langzeiterfolg der Knorpeltransplantation ist gut.
Wann ist die Knorpelzelltransplantation erfolgversprechend?
Die autologe Knorpeltransplantation bietet eine vielversprechende Methode, im Labor gezüchtete Knorpelzellen zu transplantieren und die Arthrose im Sprunggelenk zu behandeln.
Da das implantierte körpereigene Material über ähnliche biomechanische Eigenschaften wie der natürliche Knorpel verfügt, betrachtet der Organismus es nicht als Fremdkörper. Die lebenden Knorpelzellen (Chondrozyten) sind in der Lage, eine funktionierende Knorpelschicht aufzubauen. In der Regel hat sich beim Patienten bereits nach wenigen Wochen neues Knorpelgewebe im Sprunggelenk gebildet. Um dieses Gewebe langfristig zu erhalten, therapiert der Arzt parallel Begleitverletzungen und Fehlbelastungen durch Achsfehlstellungen.
Wer eignet sich für die autologe Knorpeltransplantation?
Für die autologe Knorpelzelltransplantation werden in einem ersten Eingriff Knorpelzellen beim Patienten entnommen und in einem Speziallabor vermehrt. Nach einem Zeitraum von 6–8 Wochen können die Knorpelzellen in einer zweiten Sitzung implantiert werden.
Bestens geeignet ist die Methode bei:
- Patienten unter 40 Jahren
- lokal begrenzten (fokalen) Knorpelschäden des Sprunggelenks
- weniger als 1,5 cm2 großen Knorpeldefekten
Von besonderer Bedeutung ist es, Überbeweglichkeiten im Sprunggelenk (Sprunggelenksinstabilität) oder Achsfehlstellungen des Beins zu berücksichtigen. Diese muss der Orthopäde zeitgleich behandeln, damit die Knorpelzellen optimal einheilen können. Ansonsten werden die neu eingebrachten Knorpelzellen wieder abgetragen.
Welche Alternativen gibt es zur autologen Knorpeltransplantation?
Knorpelschäden im oberen Sprunggelenk können nur begrenzt mit knochenmarkstimulierenden Methoden wie Knochenanbohrung oder Mikrofrakturierung (Microfracturing) behandelt werden. Im oberen Sprunggelenk eignen sich diese Methoden bei Defekten unter 1 cm2 und mittiger Lage im Sprungbein. Das Ersatzgewebe aus Faserknorpel ist allerdings weniger haltbar gegenüber mechanischen Belastungen.
Man verwendet für die Mikrofrakturierung einen speziellen Knochenbohrer, um die Knochenheilung unter dem geschädigten Knorpel zu aktivieren. Bei der Anbohrung entsteht Hitze, die den Knochen möglicherweise schädigt und die Bildung von Ersatzknorpel anregen soll.
Externer Inhalt von viewmedica.com
Literaturangaben
- Adkisson, H. D., Martin, J. A., Amendola, R. L., Milliman, C., Mauch, K. A., Katwal, A. B. et al. (2010). The Potential of Human Allogeneic Juvenile Chondrocytes for Restoration of Articular Cartilage. The American journal of sports medicine.
- Ding, C., Cicuttini, F., Scott, F., Cooley, H., Boon, C. & Jones, G. (2006). Natural history of knee cartilage defects and factors affecting change. Archives of internal medicine, 166, 651–8.
- Ferkel, R. D., Scranton, P. E., Stone, J. W. & Kern, B. S. (2010). Surgical treatment of osteochondral lesions of the talus. Instructional course lectures, 59, 387–404.
- Gikas, P. D., Bayliss, L., Bentley, G. & Briggs, T. W. (2009). An overview of autologous chondrocyte implantation. The Journal of bone and joint surgery. British volume, 91, 997–1006.
- Hughes, R. J. & Houlihan-Burne, D. G. (2011). Clinical and MRI considerations in sports-related knee joint cartilage injury and cartilage repair. Seminars in musculoskeletal radiology, 15(1), 69–88.
- Rauch, A., Rembeck, E., & Kohn, L. (2018). Operative Therapie von Knorpelschäden. Der Orthopäde, 47(11), 961–973.
- Stufkens, S. A., Knupp, M., Horisberger, M., Lampert, C. & Hintermann, B. (2010). Cartilage lesions and the development of osteoarthritis after internal fixation of ankle fractures: a prospective study. The Journal of bone and joint surgery. American volume, 92, 279–86.
- Ull, C., Dudda, M., Schildhauer, T. A., Seybold, D., & Geßmann, J. (2016). Osteochondrosis dissecans des Talus im Überblick. Trauma und Berufskrankheit, 18(1), 48–55.
- Waizy, H., Weber, C., Berthold, D., Vogt, S., & Arbab, D. (2018). Osteochondrale Läsionen des Talus. Arthroskopie, 31(2), 104–110.
- Winalski, C. S. & Alparslan, L. (2008). Imaging of articular cartilage injuries of the lower extremity. Seminars in musculoskeletal radiology, 12(4), 283–301.
- Zengerink, M., Struijs, P. A., Tol, J. L. & van Dijk, C. N. (2010). Treatment of osteochondral lesions of the talus: a systematic review. Knee surgery, sports traumatology, arthroscopy: official journal of the ESSKA, 18, 238–46.