- Was ist eine Schleimbeutelentzündung (Bursitis) der Hüfte?
- Symptome der Bursitis trochanterica
- Warum ist die Diagnosestellung schwierig?
- Ursachen für Schleimbeutelentzündungen der Hüfte
- Welche Möglichkeiten zur Therapie einer Schleimbeutelentzündung gibt es?
- Der Schleimbeutelentzündung vorbeugen: Übungen für zuhause
- Häufig gestellte Patientenfragen zur Schleimbeutelentzündung an der Hüfte an Dr. Martin Rinio von der Gelenk-Klinik
Sichtbar ist eine schmerzhafte Verkalkung der Schleimbeutel am Hüftgelenk. © Gelenk-Klinik
Hüftschmerzen oder Leistenschmerzen sind das häufigste Symptom einer Schleimbeutelentzündung im Hüftgelenk. Es kann zu diffusen oder sehr lokal begrenzten Hüftschmerzen oder Leistenschmerzen kommen. Am häufigsten tritt die Erkrankung als Bursitis trochanterica an der Außenseite der Hüfte auf. Typisch ist die Schmerzverstärkung beim Bewegen und Belasten des Beines. Oft treten auch Schmerzen im Bereich der hüftumgreifenden Muskulatur auf.
Schmerzen in Seitenlage sind typisch für eine Schleimbeutelreizung über dem Trochanter major (großer Rollhügel), ein seitlicher Knochenvorsprung des Femurs (Oberschenkelknochen). An dieser Stelle tritt die Schleimbeutelentzündung im Hüftgelenk am häufigsten auf. Man spricht dann von einer Bursitis trochanterica. Aber auch andere Schleimbeutel in der Hüfte oder Leiste können betroffen sein (z. B. Bursitis iliopectinea in der Leiste). Ursächlich ist meist eine Überlastung aufgrund von immer wiederkehrenden einseitigen Bewegungen (z. B. beim Joggen oder Weitsprung). Daher zählt die Schleimbeutelentzündung auch zu den Sportverletzungen.
Was ist eine Schleimbeutelentzündung (Bursitis) der Hüfte?
Externer Inhalt von youtube.com
Die Schleimbeutel am Hüftgelenk schützen umliegende Strukturen vor mechanischer Reizung. © Gelenk-Klinik
Das Hüftgelenk besitzt mehrere Schleimbeutel. Entzünden sich diese, spricht man von einer Bursitis. Schäden am Schleimbeutel sind ursächlich für Hüftschmerzen oder Leistenschmerzen. Diese Symptome werden häufig mit denen der Hüftarthrose (Coxarthrose) verwechselt. Sportler und Menschen mit Fehlbelastungen durch andere Erkrankungen am Bewegungsapparat sind besonders häufig betroffen.
Schleimbeutelentzündung an der Außenseite des Hüftgelenks: Bursitis trochanterica
MRT-Bild einer Ruptur der Sehne des Gluteus medius (mittlerer Gesäßmuskel): Die Markierung zeigt die gerissene Sehne. Durch den Riss ist die Sehne nicht schwarz dargestellt, sondern im Inneren weiß. Der Sehnenriss hat zu einer starken Entzündung des Schleimbeutels über dem Trochanter major geführt (Bursitis trochanterica). Die weiße Fläche zeigt den mit entzündlicher Flüssigkeit gefüllten Schleimbeutel. © Gelenk-Klinik
Im Bereich der Hüfte entzündet sich am häufigsten der Schleimbeutel über dem großen Rollhügel (Trochanter major) an der Außenseite der Hüfte. Dieser Knochenvorsprung am Oberschenkelknochen (Femur) wird bedeckt von zahlreichen Hüft- und Gesäßmuskeln. Unter anderem der Gluteus maximus (großer Gesäßmuskel), der dem Volumen nach größte Muskel des menschlichen Körpers, liegt in der Umgebung des Trochanter majors. Seine Sehne zieht am großen Rollhügel vorbei. Aber auch der Gluteus medius (mittlerer Gesäßmuskel) und der Gluteus minimus (kleiner Gesäßmuskel) liegen in diesem Bereich der Hüfte.
Beim Gehen, Laufen und Springen verschieben sich diese Strukturen im Hüftgelenk gegeneinander und reiben am Knochen. Die Schleimbeutel dienen als Polsterung, um Reizungen und Schäden an Muskeln, Sehnen und Bändern zu verhindern. Wiederholte Beugung des Hüftgelenks (z. B. bei Sportlern) überlastet die Schleimbeutel und sie können sich entzünden. Die Entzündung des Schleimbeutels am Trochanter major heißt Bursitis trochanterica. Betroffen sind vor allem Frauen im mittleren Alter.
Die Schleimbeutelentzündung an der äußeren Hüfte geht mit sichtbaren Rötungen und Schwellungen einher, da der Schleimbeutel nah an der Hautoberfläche sitzt.
Externer Inhalt von viewmedica.com
Schleimbeutelentzündung in der Leiste: Bursitis iliopectinea
Die Bursa iliopectinea ist ein großer Schleimbeutel im Bereich der Leiste. Er befindet sich an der Eminentia iliopubica, eine Knochenerhöhung zwischen Schambein (Os pubis) und Darmbein (Os ilium) im inneren Becken. Seine Aufgabe ist die Polsterung des Musculus iliopsoas (Hüftbeuger) gegenüber dem Hüftknochen. Ebenso wie die Bursitis trochanterica entsteht die Bursitis iliopectinea durch Überlastung und einseitige Bewegungen.
Da die Schleimbeutelentzündung tief in der Leiste lokalisiert ist, sind meist keine äußeren Symptome wie Rötungen oder Schwellungen sichtbar. Betroffene verspüren Schmerzen in der Leiste, die sich durch äußeren Druck verstärken.
MRT-Bild einer Bursitis iliopectinea: Der Pfeil deutet auf den entzündeten Schleimbeutel. Da er mit entzündlicher Flüssigkeit gefüllt ist, erscheint der Schleimbeutel in der Bildgebung weiß. © Gelenk-Klinik
Welche Aufgaben erfüllen die Schleimbeutel?
Schleimbeutel sind überall dort im Körper eingelagert, wo Gewebeschichten stark gegeneinander verschoben werden. Die Schleimbeutel bilden eine Gleitschicht aus lockerem Bindegewebe und Schleimhaut. Sie sollen Körperstrukturen, die sich gegeneinander bewegen, vor Reizungen und Schäden durch Reibung schützen.
Der am häufigsten entzündete Schleimbeutel am Hüftgelenk liegt auf dem großen Rollhügel (Trochanter major), einem Knochenvorsprung des Oberschenkelknochens an der seitlichen Hüfte. Hier verläuft eine starke Sehnenplatte über dem Knochen des Oberschenkels. Weitere Schleimbeutel liegen tiefer in der Hüfte vor der Hüftgelenkkapsel, zwischen den stark ausgebildeten hüftgelenkumgebenden Muskeln.
Am Trochanter major auf der Außenseite des Oberschenkelknochens befindet sich der am häufigsten entzündete Schleimbeutel am Hüftgelenk. © Gelenk-Klinik
Symptome der Bursitis trochanterica
Symptome der Schleimbeutelentzündung:
- Schwellung, Rötung
- Schmerzen bei Druck auf den Schleimbeutel
- Schmerzen in der Hüfte beim Liegen auf der Seite
- starke bewegungsabhängige Schmerzen
- häufig auch Ruheschmerzen
- ausstrahlende Schmerzen bis ins Knie oder ins Gesäß
- Bewegungseinschränkungen
- bei bakterieller Infektion: Fieber, Abgeschlagenheit
Die Entzündung des Schleimbeutels im Hüftgelenk geht meist mit äußerlich sichtbaren Rötungen und Schwellungen einher. Die Hüfte ist nur noch eingeschränkt beweglich. Meist leiden die Patienten unter Schmerzen in der Hüfte beim Liegen auf der Seite. Zudem gehen die starken Schmerzen oft auch in Ruhe nicht zurück. Diese Schmerzen können bis ins Knie oder ins Gesäß ausstrahlen. Steckt eine bakterielle Infektion hinter der Bursitis trochanterica, hat der Patient zudem meist Fieber und fühlt sich schlapp und kraftlos.
Warum ist die Diagnosestellung schwierig?
Über die genaue Lage und Beschwerden von Schleimbeuteln am Hüftgelenk ist wenig bekannt. Weiterhin kommen eine Reihe anderer Ursachen für die Entstehung von Hüft- und Leistenschmerzen infrage. Diese müssen zunächst sorgfältig ausgeschlossen werden. Dafür führt der behandelnde Arzt eine Anamnese (Erhebung der Krankengeschichte) und eine körperliche Untersuchung durch. Diese Maßnahmen geben ihm erste Hinweise auf die Ursache der Hüft- oder Leistenschmerzen. Um seinen Verdacht zu bestätigen, stehen dem Arzt mehrere diagnostische Verfahren zur Verfügung. In den letzten Jahren haben sich die Möglichkeiten der Diagnostik deutlich verbessert.
So können beispielsweise MRT (Magnetresonanztomografie) und Ultraschall einen entzündeten Schleimbeutel darstellen. Ein Röntgenbild zeigt, wenn sich in einem Schleimbeutel bereits Verkalkungen gebildet haben. Zudem kann eine Blutuntersuchung Hinweise auf eine bakterielle Infektion geben, die möglicherweise verantwortlich für die Schleimbeutelentzündung ist.
Differentialdiagnose bei Hüftschmerzen: Enthesiopathie des Gluteus medius
Nicht nur eine Bursitis trochanterica kann einseitige Hüftschmerzen beim Liegen auf der Seite oder beim Gehen verursachen. © Dan Race, Fotolia
Schmerzen an der Außenseite der Hüfte, die sich beim Liegen auf der Seite oder beim Gehen äußern, werden häufig als Schleimbeutelentzündung (Bursitis) diagnostiziert, obwohl eigentlich eine andere Ursache dahintersteckt. Die Sehnenansatzerkrankung des mittleren Gesäßmuskels (Enthesiopathie des Gluteus medius) verursacht ähnliche Symptome und Beschwerden wie eine Bursitis trochanterica. Ursächlich für die Reizung des Sehnenansatzes sind meist Über- oder Fehlbelastungen (z. B. bei ungeübten Läufern), aber auch häufiges Sitzen. Die Diagnose der Enthesiopathie des Gluteus medius ist deshalb schwierig, weil der Muskel durch den Gluteus maximus (großer Gesäßmuskel) fast vollständig bedeckt wird. Für die Palpation (Tastuntersuchung) ist also Erfahrung und eine genaue Kenntnis der anatomischen Strukturen notwendig. Bei Verdacht auf eine Sehnenansatzerkrankung führt der Arzt daher zusätzlich eine Ultraschalluntersuchung durch. Anhand dieser Bildgebung kann er den Zustand von Muskeln und Sehnen genau beurteilen.
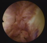
Ursachen für Schleimbeutelentzündungen der Hüfte
Arthroskopische Sicht auf einen entzündeten Schleimbeutel im Hüftgelenk. © Gelenk-Klinik
- mechanische Irritationen
- Druck oder Überbeanspruchung über knöchernen Vorsprüngen
- bakterielle Entzündung
- entzündlich-rheumatische Erkrankungen (Arthritis)
- Fehlstellung des Hüftgelenks
- Kristallarthropathien (Gicht, Kalksalzablagerungen)
Bevor die Schmerzen behandelt oder therapiert werden, muss der Hüftspezialist die exakte Schmerzursache feststellen. Er sollte dabei auch die Lendenwirbelsäule und das Kniegelenk mit in die klinische Untersuchung und ggf. die bildgebende Diagnostik einbeziehen, um ausstrahlende Schmerzen auszuschließen.
Die häufigste Ursache für eine Schleimbeutelentzündung im Hüftgelenk sind mechanische Überlastungen der im Hüftgelenk liegenden Bänder, Sehnen und Muskeln. Vor allem immer wiederkehrende gleichförmige Bewegungsmuster reizen diese Strukturen. Daher sind besonders Menschen, die viel Sport treiben, von einer Schleimbeutelentzündung im Hüftgelenk betroffen.
Aber auch bestimmte Grunderkrankungen wie beispielsweise Fehlstellungen im Hüftgelenk, rheumatoide Arthritis oder Gicht können das Auftreten einer Bursitis begünstigen. In manchen Fällen ist auch eine bakterielle Infektion für die Schleimbeutelentzündung verantwortlich. Diese kann z. B. durch eine Operation am Gelenk oder eine offene Verletzung entstehen.
Welche Möglichkeiten zur Therapie einer Schleimbeutelentzündung gibt es?
Konservative Behandlung der Bursitis:
- Stoßwellenbehandlung
- physikalische Therapie
- schmerz- und entzündungshemmende Medikamente
- Physiotherapie
- Kortison-Injektion
Zur Behandlung ist in erster Linie eine physikalische Therapie mit Kälteanwendung und gleichzeitiger Schonung des Hüftgelenks zu empfehlen. Patienten sollten langes Sitzen und Stehen vermeiden und nicht auf der betroffenen Seite liegen. Je nach Lage und Ursache können auch intensivere physikalische Maßnahmen hilfreich sein. Die hochenergetische fokussierte Stoßwellentherapie kann die gereizten Strukturen meist gut beruhigen.
Zur Unterstützung des Heilungsprozesses können zudem nichtsteroidale Antirheumatika eingesetzt werden. Das sind schmerz- und entzündungshemmende Medikamente wie z. B. Ibuprofen oder Diclofenac.
In seltenen Fällen muss der Arzt den entzündeten Schleimbeutel operativ entfernen. Die Operation ist vor allem bei sehr langwierigen oder immer wiederkehrenden Schleimbeutelentzündungen, die nicht auf konservative Maßnahmen anschlagen, notwendig. Auch durch bakterielle Infektionen verursachte Schleimbeutelentzündungen müssen häufig zusätzlich zur Behandlung mit Antibiotika chirurgisch entfernt werden.
Sport mit Schleimbeutelentzündung in der Hüfte?
Bei einer akuten Schleimbeutelentzündung in der Hüfte steht die Entlastung des gereizten Schleimbeutels an erster Stelle. Daher ist eine Sportpause für etwa 4 Wochen meist sinnvoll. Wenn die Schmerzen abgeklungen sind, kann der Betroffene mit leichten Sportarten, die das Hüftgelenk nicht allzu sehr belasten, beginnen. Monotone und wiederkehrende Bewegungen können den Schleimbeutel erneut reizen und sollten in dieser Phase vermieden werden.
Der Schleimbeutelentzündung vorbeugen: Übungen für zuhause
Dehn- und Kräftigungsübungen stärken die Hüftmuskulatur und können einer Schleimbeutelentzündung vorbeugen und die Heilung einer bestehenden Schleimbeutelentzündung beschleunigen. Um einen Effekt zu erreichen, sollten Sie die Übungen etwa 2- bis 3-mal pro Woche durchführen. Sie sollten allerdings nicht in den Schmerz hinein trainieren. Bei akuten Schmerzen steht die Schonung des Hüftgelenks im Vordergrund.
Übung 1: Radfahren
Übung 1: Radfahren. © Gelenk-Klinik
Diese Übung dient dem Aufwärmen der Hüftmuskulatur zu Beginn der Trainingseinheit. Legen Sie sich dafür auf den Rücken, sodass die gesamte Wirbelsäule Kontakt zum Boden hält. Heben Sie die Beine angewinkelt vom Boden ab und imitieren Sie die Bewegung des Radfahrens.
Übung 2: Dehnung der Hüftbeuger
Übung 2: Dehnung der Hüftbeuger. © Gelenk-Klinik
Diese Übung dehnt die Beugemuskulatur der Hüfte. Gehen Sie mit geradem Oberkörper in Schrittstellung (links hinten, rechts vorne). Das Knie des hinteren Beins ist gestreckt, das vordere Bein ist leicht angewinkelt. Verlagern Sie nun den Körperschwerpunkt auf das vordere Bein und schieben Sie das Becken nach vorne. Sie sollten die Dehnung in der Leiste des hinteren Beins verspüren. Führen Sie nun den linken Arm gestreckt nach oben und neigen Sie den Oberkörper zur Gegenseite. Halten Sie die Dehnung etwa 20 Sekunden und wechseln Sie dann die Seite.
Übung 3: Kräftigung der Hüftbeuger
Übung 3: Kräftigung der Hüftbeuger. © Gelenk-Klinik
Die Übung dient der Kräftigung der Hüftbeugemuskulatur. Gehen Sie mit geradem Oberkörper in die Schrittstellung. Das hintere Bein und der gegenüberliegende Arm sind gestreckt. Das Standbein und der gegenüberliegende Arm sind gebeugt. Stoßen Sie nun das hintere Bein bei gleichzeitigem Armwechsel kräftig nach vorne ab, sodass das Bein in die Beugung geht. Wiederholen Sie die Übung mit jedem Bein ca. 15-mal.
Übung 4: Dehnung des Tractus iliotibialis
Übung 4: Dehnung des Tractus iliotibialis. © Gelenk-Klinik
Kreuzen Sie das zu dehnende Bein hinter dem Standbein. Strecken Sie den gleichseitigen Arm über den Kopf, neigen Sie die Wirbelsäule zur Seite und schieben Sie das Becken auf die Seite des zu dehnenden Beines. Halten Sie die Position auf jeder Seite etwa 20 Sekunden. Die Übung dehnt den Tractus iliotibialis, eine Struktur in der Faszie der Außenseite des Oberschenkels.
Übung 5: Mobilisation des Hüftgelenks
Mobilisation des Hüftgelenks. © Gelenk-Klinik
Diese Übung dehnt die Abduktoren im Hüftgelenk. Stellen Sie sich mit beiden Beinen hüftbreit hin. Unter dem zu bewegenden Fuß liegt ein Handtuch. Während Sie den Fuß nach außen schieben, halten Sie das andere Bein leicht gebeugt. Führen Sie den Fuß anschließend wieder zurück und wiederholen Sie die Bewegung mit jedem Bein ca. 15-mal.
Häufig gestellte Patientenfragen zur Schleimbeutelentzündung an der Hüfte an Dr. med. Martin Rinio
Welche Ärzte sind für die Behandlung von Schleimbeutelentzündungen an der Hüfte zuständig?
Für die Diagnose und Therapie von Entzündungen von Schleimbeuteln an der Hüfte sind Fachärzte für Orthopädie/Unfallchirurgie zuständig. Sie haben die nötige Expertise, um die passende konservative Behandlung zu verordnen und können, wenn erforderlich, operative Maßnahmen durchführen.
Welche Schmerzmittel helfen bei einer Schleimbeutelentzündung der Hüfte?
Kälte und Schonung sind die wichtigsten Säulen bei der Behandlung einer akuten Schleimbeutelentzündung der Hüfte. Unterstützend kann man entzündungs- und schmerzhemmende nichtsteroidale Antirheumatika (NSAR) einnehmen. Beispiele dafür sind Ibuprofen und Diclofenac. Dabei ist es wichtig, die Verordnung des Arztes zu befolgen.
Gibt es Übungen, die bei einer Schleimbeutelentzündung der Hüfte günstig sind?
Bei akuten Schmerzen ist zunächst Schonung angesagt. Später können spezielle Dehn- und Kräftigungsübungen für die Hüftmuskulatur die Heilung einer Schleimbeutelentzündung an der Hüfte unterstützen. Wann damit am besten begonnen wird, entscheidet der behandelnde Arzt.
Helfen Kortisoninjektionen bei der Behandlung einer Bursitis trochanterica?
Kortisoninjektionen in den Schleimbeutel können die Schmerzen meist schnell lindern und wirken entzündungshemmend. Sie sollten aber zurückhaltend eingesetzt werden, da sie zum einen nicht die Ursache bekämpfen (z. B. muskuläre Dysbalancen oder Überlastung). Außerdem drohen Nebenwirkungen wie Gewebeatrophien, Infektionen und lokale Reizungen. Weil Kortisoninjektionen nur zeitlich begrenzt wirksam sind, kommt es oft zu einem Wiederauftreten der Beschwerden. Kortisoninjektionen werden deshalb nur dann empfohlen, wenn andere Maßnahmen nicht ausreichen. Außerdem sollten sie prinzipiell nur in einem Gesamtkonzept zum Einsatz kommen, z. B. mit begleitender Physiotherapie.
Welche Folgen hat es, wenn eine Schleimbeutelentzündung der Hüfte verschleppt wird?
Wird eine Schleimbeutelentzündung der Hüfte nicht frühzeitig diagnostiziert und behandelt, kann dies ernste Folgen nach sich ziehen. Die Entzündung kann chronisch werden und zu dauerhaften Beschwerden, Bewegungseinschränkungen und Schäden am Gelenk führen. Eine chronische Schleimbeutelentzündung spricht meist schlechter auf die konservative Therapie an und erfordert häufiger eine Operation. Sind Bakterien die Ursache, droht durch die Verschleppung einer Bursitis die Ausbreitung der Keime in tiefere Gewebeschichten und in den Blutkreislauf (Sepsis).
Literaturangaben
- Banke, I. J., Schauwecker, J., Suren, C., Hertel, G., Gollwitzer, H., & von Eisenhart-Rothe, R. (2019). Hüftschmerz: Ursachen, Differenzialdiagnosen und Therapie. Schmerzmedizin, 35(1), 24–31.
- Di Carlo, M., Draghessi, A., Carotti, M., & Salaffi, F. (2015). An unusual association: iliopsoas bursitis related to calcium pyrophosphate crystal arthritis. Case reports in rheumatology, 2015.
- Gollwitzer, H., Harrasser, N., Hauschild, M., & Banke, I. J. (2018). 18 Bursitis trochanterica und Glutealsehnenpathologien. Hüftarthroskopie: Praxisbuch für die gelenkerhaltende Chirurgie, 207.
- Hefti, F. (2006). Differenzialdiagnose Hüftschmerz. Kinderorthopädie in der Praxis, 276–276.
- Hudson, K., & Delasobera, B. E. (2016). 13 Bursae. Musculoskeletal and Sports Medicine For The Primary Care Practitioner, 111.
- Krapf, R. (2018). Behandlung der glutealen Tendinopathie (Bursitis trochanterica). Swiss Medical Forum, 18(3031), 603–604. EMH Media.
- Lerch, S., Stark, D., & Rühmann, O. (2018). Extraartikuläres Weichteilimpingement am Hüftgelenk. Operative Orthopädie und Traumatologie, 30(2), 80–86.
- Reuther, G. (2015). Bursitis trochanterica als Folge einer Tendinitis calcarea der Sehne des M. gluteus med. RöFo-Fortschritte auf dem Gebiet der Röntgenstrahlen und der bildgebenden Verfahren, 187(4), 297–298.
- Scholz, B. (1935). Fehldiagnosen bei Hüftschmerz. DMW-Deutsche Medizinische Wochenschrift, 61(02), 53–55.
- Streeck, U., Focke, J., Melzer, C., & Streeck, J. (2017). Manuelle Therapie und Rehabilitation der Hüfte. Manuelle Therapie und komplexe Rehabilitation, 435–471. Springer, Berlin, Heidelberg.
- Tschopp, M., & Brunner, F. (2017). Erkrankungen und Überlastungsschäden an der unteren Extremität bei Langstreckenläufern. Zeitschrift für Rheumatologie, 76(5), 443–450.
