- Ellenbogenprothesen: Was leisten sie?
- Wann implantiert der Spezialist eine Ellenbogenprothese?
- Welche Prothesenmodelle gibt es?
- Wie operiert der Spezialist die Ellenbogenprothese?
- Wie ist die Prognose nach Einsatz einer Ellenbogenprothese?
- Reha und Sport nach Operation der Ellenbogenprothese
- Häufig gestellte Patientenfragen zur Ellenbogenprothese an PD Dr. med. habil. Bastian Marquaß von der Gelenk-Klinik
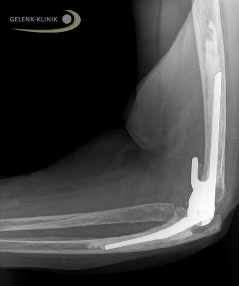
Seitliche Röntgenaufnahme des Ellenbogengelenks nach Implantation einer Ellenbogenprothese in den Knochenschaft des Oberarms (Humerus) und der Elle (Ulna). Alle Komponenten des Ersatzgelenks sind miteinander verbunden (gekoppelte Ellenbogenprothese) und arbeiten wie ein Scharnier. Der Kopplungsmechanismus übernimmt die stabilisierende Funktion des Bandapparats und gewährleistet eine gute Gelenkstabilität. © Gelenk-Klinik
Die Ellenbogenprothese ersetzt das abgenutzte oder zerstörte Ellenbogengelenk. Schmerzhafte Funktionsstörungen des Ellenbogens durch fortgeschrittene Ellenbogenarthrose oder komplizierte Brüche (Monteggia-Fraktur, Radiusköpfchenfraktur) schränken die Lebensqualität der Betroffenen stark ein. Der künstliche Gelenkersatz kommt für Patienten infrage, bei denen gelenkerhaltende Therapien die Funktion, Beweglichkeit und Schmerzfreiheit des Ellenbogengelenks nicht wiederherstellen können.
Das Ellenbogengelenk kann durch die Prothese vollständig oder teilweise ersetzt werden.
Die Ellenbogenspezialisten der Gelenk-Klinik wählen das passende Prothesenmodell anhand der Art des Gelenkschadens sowie den individuellen Bedürfnissen und der körperlichen Aktivität des Patienten aus.
Ellenbogenprothesen: Was leisten sie?
Drei Knochen, die gelenkig miteinander verbunden sind, bilden das Ellenbogengelenk: Oberarmknochen (Humerus), Elle (Ulna) und Speiche (Radius) des Unterarms. Durch die Kombination aus knöcherner Gelenkführung, Seitenbändern und Sehnenansätzen ist das Gelenk stabil. Aufgrund seiner möglichen Beuge- und Streckbewegung sowie der Einwärts- und Auswärtsdrehung bezeichnet man den Ellenbogen als Drehscharniergelenk. Das hoch bewegliche Gelenk ermöglicht gemeinsam mit dem Schultergelenk den großen Aktionsradius des Arms.
Bei einem stark geschädigten Ellenbogengelenk leiden die Betroffenen unter massiven Schmerzen bei Bewegung und deutlich eingeschränkter Funktion des Arms.
Das künstliche Ellenbogengelenk ahmt die Funktion und Form eines natürlichen Ellenbogengelenks nach. Die Gelenkprothese ermöglicht den Betroffenen, zuvor eingeschränkte und schmerzhafte Bewegungen des alltäglichen Lebens wieder schmerzfrei aufzunehmen. Autofahren, Haare kämmen und Gegenstände tragen und heben sind bei den meisten Betroffenen wieder problemlos möglich.
Wann implantiert der Spezialist eine Ellenbogenprothese?
Der Einbau eines künstlichen Ellenbogengelenkes ist ein routinemäßig angewandtes und fest etabliertes orthopädisches Verfahren in der Gelenk-Klinik. Das vorrangige Ziel der Prothesenimplantation ist, den Patienten ihre Schmerzen zu nehmen. Die gleichzeitige Entfernung von störenden Kapselverdickungen und Knochenanbauten (Osteophyten) verbessert zusätzlich die Beweglichkeit im Ellenbogengelenk.
Dennoch bleiben auch nach dem Einsatz der Prothese geringgradige Bewegungseinschränkungen im Ellenbogengelenk bestehen. Das künstliche Ellenbogengelenk weist außerdem eine etwas höhere Lockerungsrate als Kunstgelenke an Schulter, Knie oder Hüfte auf.
Die Ellenbogenspezialisten der Gelenk-Klinik beraten die Patienten über eine Ellenbogenprothese erst dann, wenn der Gelenkschaden so gravierend ist, dass konservative und gelenkerhaltende Therapien weder Beweglichkeit oder Funktionalität des Ellenbogengelenks ausreichend wiederherstellen, noch die Schmerzen der Betroffenen lindern.
Die Ellenbogenspezialisten entwickeln mit den Betroffenen anhand der Ursache für die Gelenkbeschwerden einen individuellen Therapieplan. Dabei stehen nicht nur die medizinischen Befunde im Vordergrund. Der Spezialist berücksichtigt ebenso die Erwartungshaltung der Patienten an die Therapie, ihr persönliches medizinischen Risiko bei einem operativen Eingriff und die Belastung des Ellenbogengelenks durch die körperliche Aktivität.
Der Einsatz einer Ellenbogenprothese ist vor allem sinnvoll bei älteren Patienten mit komplexer Fraktur im Ellenbogenbereich oder fortgeschrittenem Gelenkverschleiß mit nicht adäquat behandelbaren Schmerzen.
Typische Ursachen für eine fortgeschrittene Schädigung des Ellenbogens
- Ellenbogenarthrose (Cubitalarthrose)
- rheumatische Gelenkentzündung (rheumatoide Arthritis)
- ungünstig ausgeheilter Gelenkbruch des distalen Humerus, der Ulna oder des Radiusköpfchens
- akuter komplexer Bruch des Ellenbogengelenks
- schlechtes Ergebnis einer früheren Ellbogenoperation
- seltener: Hämochromatose, Tumore, ehemalige Gelenkinfektionen
Auch bei einem akuten Bruch des unteren Oberarmknochens (distaler Humerus) bei älteren Patienten kann der Ellenbogenspezialist anstelle einer Knochenrekonstruktion direkt eine Ellenbogenprothesen einsetzen. Gerade bei älteren Patienten mit komplizierten Knochenbrüchen kann die Knochenheilung eingeschränkt sein. Der Einbau der Ellenbogenprothese hilft den Patienten, ihren Arm rasch wieder bewegen und belasten zu können.
Die Abbildung zeigt eine implantierte Ellenbogenprothese nach einem komplizierten Bruch des Ellenbogengelenks von hinten. Die roten Linien markieren die Frakturlinien. © Gelenk-Klinik
Der Operateur zementiert die Prothese in den nicht gebrochenen Knochenschaft ein. © Gelenk-Klinik
Aufgrund des Risikos einer Prothesenlockerung sowie der verringerten Belastbarkeit des Ellenbogens nach Protheseneinsatz ist es bei jüngeren Patienten sinnvoll, einen Gelenkersatz am Ellenbogen hinauszuzögern.
Der Ellenbogenspezialist behandelt die Betroffen mithilfe von konservativen Methoden oder gelenkerhaltende Operationen.
Mögliche Therapien bei schmerzhaftem Ellenbogengelenk
Konservative Therapiemöglichkeiten:
- Stoßwellentherapie
- Physiotherapie
- Ultraschalltherapie
- ZRT®-Matrix-Therapie
- Kälte- und Wärmeanwendungen
- entzündungshemmende Schmerzmittel (nichtsteroidale Antirheumatika)
- Säure-Basen-Therapie (Basensalze, Balneotherapie, warme Wickel)
Gelenkerhaltende Operationen:
- Gelenkspiegelung (Arthroskopie) des Ellenbogengelenks
- Knorpelzelltransplantation im Ellenbogengelenk
Welche Prothesenmodelle gibt es?
Eine Ellenbogenprothese ahmt nicht nur die Form des natürlichen Ellenbogens nach, sondern gewährleistet auch dessen Funktion und Stabilität.
Die Ellenbogenprothese ersetzt verschlissene Gelenkflächen und Gelenkanteile. Welches Prothesenmodell in Frage kommt, richtet sich nach dem Grad der Zerstörung des Gelenks.
Der Ellenbogenspezialist wählt das Prothesenmodell angepasst an die individuelle Situation seines Patienten aus. Bei seiner Entscheidungsfindung spielen neben den medizinischen Befunden auch die körperlichen Aktivität oder körperliche Einschränkungen der Betroffenen (z.B. Verwendung einer Gehilfe) eine wichtige Rolle.
Ellenbogenprothesen gibt es in verschiedenen Größen und Ausführungen, die individuell an den Ellenbogen der Patienten angepasst werden können.
Varianten der Totalendoprothese am Ellenbogen
Ist das gesamte Gelenk geschädigt, implantiert der Ellenbogenspezialist eine Totalendoprothese, um die Gelenkanteile des Ellenbogens von Oberarm (Humerus) und Elle (Ulna) vollständig zu rekonstruieren.
Gekoppelte Ellenbogenprothese
Bei der gekoppelten Ellenbogenprothese sind alle Komponenten des Ersatzgelenks miteinander verbunden. Die Prothese arbeitet wie ein Scharnier. Der Kopplungsmechanismus übernimmt die stabilisierende Funktion des Bandapparats und gewährleistet eine gute Gelenkstabilität. Der Ellenbogenspezialist wählt dieses Modell vor allem bei fortgeschrittener Zerstörung des Gelenks, z.B. durch eine Rheuma-Erkrankung. Die Lockerungsrate der gekoppelten Ellenbogenprothese liegt etwas höher als bei ungekoppelten Prothesen. Verursacht wird eine mögliche vorzeitige Lockerung durch die stärkere Belastung der Prothesen-Knochen-Verbindung. Vor allem körperlich aktive Patienten, die ihr Ellenbogengelenk stark belasten, haben ein höheres Risiko für eine vorzeitige Prothesenlockerung.
Die Ellenbogenprothese besteht aus zwei Schenkeln aus hochwertigem Metall. Diese beiden Schenkel werden in den Schaftanteilen von Ober- und Unterarm fest verankert und ersetzen die Knochenanteile, die das natürliche Ellenbogengelenk formen. Sie sind durch ein Scharnier aus Metall und Kunststoff miteinander verbunden, das die Beugung des künstlichen Ellenbogengelenks ermöglicht. © Gelenk-Klinik
Ungekoppelte Ellenbogenprothese
Die ungekoppelte Ellenbogenprothese ersetzt ebenfalls die geschädigten Gelenkflächen von Oberarmkopf (Humeruskopf) und Elle (Ulna). Die einzelnen Komponenten des künstlichen Ellenbogengelenks sind frei gegeneinander beweglich und nicht durch ein Scharnier verbunden.
Die Stabilität der ungekoppelten Ellenbogenprothese wird durch die körpereigene Bandführung gewährleistet. Die Implantation ist nur bei intaktem Kapsel-Bandapparat möglich. Dieses Prothesenmodell hat eine geringere Lockerungsrate als die gekoppelte Ellenbogenprothese. Davon profitieren hauptsächlich jüngere und aktive Patienten, bei denen ein höheres Risiko besteht, dass später ein Prothesenwechsel notwendig wird.
Einsatz einer Teilprothese am Ellenbogen
Muss der Spezialist nur das beschädigte Radiusköpfchen ersetzen, kann er dieses durch eine Teilprothese erneuern. Die Radiusköpfchenprothese kommt bei komplexen Trümmerbrüchen, Pseudarthrosen oder bei einem Verschleiß des äußeren Ellenbogengelenks zwischen Speiche und Oberarm (radiohumerale Arthrose) zum Einsatz.
Wie operiert der Spezialist die Ellenbogenprothese?
Die Implantation einer Ellenbogenprothese ist aufgrund der komplexen Anatomie des Ellenbogengelenks eine anspruchsvolle Operation. Der Ellenbogenspezialist erhält bei der Operation des künstlichen Gelenkersatzes viel gesunde Knochensubstanz und kann so das Implantat sicher im Knochen verankern.
Die Orthopädische Gelenk-Klinik ist zertifiziertes EndoProthetikZentrum (EPZ) und ihre Ellenbogenspezialisten zeichnen sich durch langjährige Erfahrung in der Prothesenversorgung aus. Als EndoProthetikZentrum (EPZ) prüfen die Spezialisten der Gelenk-Klinik nicht nur die Qualität der Prothesenoperationen, sondern erfüllen auch die hohen Anforderungen der exakten Diagnosestellung, der individuellen Beratung und Nachsorge für jeden Patienten.
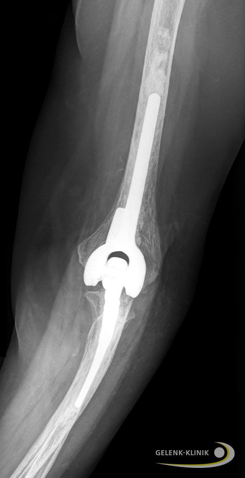
Seitliche Röntgenaufnahme einer gekoppelten Ellenbogenprothese mit Verankerung in Oberarm (Humerus) und Elle (Ulna). Das Radiusköpfchen wurde in diesem Fall gekürzt, um ein mechanisches Anstoßen an das Kunstgelenk zu vermeiden. Der gekoppelte Mechanismus stabilisiert die Ellenbogenprothese gegenüber Seitbewegungen. © Gelenk-Klinik
Die intakten Sehnen und Muskeln übernehmen die Beuge- und Streckfunktion des Ellenbogengelenks. Es ist durch die Prothese wieder aktiv schmerzfrei beweglich.© Gelenk-Klinik
Wie können sich Patienten optimal auf die orthopädische Operation vorbereiten?
- Patienten teilen dem Operateur und Anästhesisten mit, welche Medikamente sie aktuell einnehmen. Dazu gehören auch Medikamente, Nahrungsergänzungsmittel oder pflanzliche Mittel, die Patienten rezeptfrei erhalten.
Zwei Wochen vor der Operation
- Patienten, die blutverdünnende Medikamente (Antikoagulantien) einnehmen, stellen die Therapie in Absprachen mit dem Hausarzt und den Spezialisten der Gelenk-Klinik um. Gerinnungshemmer können während und nach der Operation zu Komplikationen wegen verstärkten Blutungen oder Nachblutungen führen.
- Der Operateur erklärt den Patienten, welche Medikamente sie am Tag der Operation unbedenklich einnehmen können.
- Patienten mit bekanntem Diabetes mellitus achten vor der Operation auf einen HbA1c-Wert im Normbereich.
- Rauchen erhöht das Infektionsrisiko und verzögert die Wundheilung nach einer Operation. Optimalerweise hören die Patienten vor dem Eingriff auf zu rauchen.
- Bei akuten Infektionen und Fieber, z.B. durch eine Erkältung, Grippe oder Herpes muss der Operationstermin gegebenenfalls verschoben werden. Patienten sollten ihren behandelnden Arzt in jedem Fall darüber informieren, wenn sie sich krank fühlen.
Ablauf der Operation der Ellenbogenprothese
- Die Operation erfolgt in der Regel in Vollnarkose, häufig in Kombination mit einem regionalen Anästhesie (Plexusanästhesie), um Beschwerden nach dem Eingriff so gering wie möglich zuhalten.
- Der Spezialist eröffnet das Ellenbogengelenk auf der Rückseite des Ellbogens. Der Patient befindet sich in Seitenlage.
- Zuerst identifiziert der Operateur den Ulnarisnerv, um eine Verletzung des Nervs während der Operation zu verhindern.
- Je nach gewähltem Zugang löst der Operateur die Trizepssehne vom Olekranon ab oder schiebt die Sehne beiseite. Dadurch legt er das Ellenbogengelenk frei und kann krankhaftes Gewebe und zerstörte Knochenteile entfernen.
- In die eröffneten Markräume der beteiligten Knochen führt der Operateur die Enden der Prothesenkomponente ein und verankert diese im Knochen des Oberarms und der Elle.
- Das künstliche Ellenbogengelenk wird meist mit Knochenzement fixiert und gewährleistet so die Stabilität des Armes unabhängig von der Knochenqualität.
- Im Falle einer gekoppelten Prothese verbindet der Ellenbogenspezialist anschließend beide Prothesenteile von Ulna und Humerus miteinander.
- Beim Einsatz einer gekoppelten Ellenbogenprothese kürzt der Spezialist gegebenenfalls das Radiusköpfchen, um ein mechanisches Anstoßen des Knochens an die Prothese zu vermeiden. Die Stabilität des Ellenbogengelenkes bleibt auch dann durch den Kopplungsmechanismus der Prothese erhalten.
- Der Operateur verschließt das Gewebe um das neue Gelenk, fixiert die ggf. abgelöste Trizepssehne wieder und vernäht die Wunde.
- Die Schmerzen nach der Prothesenoperation sind durch die Plexusanästhesie vor dem Eingriff erfahrungsgemäß recht gering. Bei Bedarf erhalten die Patienten eine orale Schmerzmedikation.
- Anfangs rät der Arzt den Patienten, ihren Arm in einer Schiene ruhigzustellen, um den Ein- und Abheilungsprozess zu begünstigen.
Wie ist die Prognose nach Einsatz einer Ellenbogenprothese?
Die Implantation der Ellenbogenprothese hilft den Betroffenen, ein großes Stück Lebensqualität wiederzuerlangen.
Durch den künstlichen Gelenkersatz können die Patienten alltägliche Bewegungen wie Gegenstände heben und tragen, schreiben und Autofahren wieder schmerzfrei selbständig durchführen. Die Prothese verbessert auch die Beweglichkeit des Gelenks.
Die Ellenbogenprothese hat – wie andere Prothesentypen auch – eine begrenzte Haltbarkeit. Die sogenannte Standzeit einer Ellenbogenprothese beträgt im Normalfall etwa 10 bis 15 Jahre.
Wenn sich die Ellenbogenprothese nach diesem Zeitraum lockert oder schadhaft wird, kann der Spezialist das künstliche Gelenk in einer Revisionsoperation ersetzen. Dabei ist es möglich, dass der Operateur nur einzelne Prothesenkomponenten austauscht, die gelockert oder geschädigt sind.
Häufig ist es allerdings notwendig, dass der Spezialist eine zuvor ungekoppelte Prothese durch einen gekoppelten Mechanismus ersetzt, um die Gelenkstabilität weiterhin zu gewährleisten.
Externer Inhalt von youtube.com
Verschiedenen Faktoren beeinflussen die Lebensdauer einer Ellenbogenprothese:
- Gewicht des Patienten
- Lebensalter
- körperliche Aktivität des Patienten
- Belastungsgrad der Ellenbogenprothese
- Qualität und Beschaffenheit der Knochen
Die Lockerung der Ellenbogenprothese ist der Hauptgrund für die Durchführung einer Revisionsoperation.
Vorsicht: Vorzeitige Prothesenlockerung durch Überbelastung!
Die Standzeit einer Ellenbogenprothese hängt vor allem davon ab, wie stark sie belastet wird.
Patienten mit einem künstlichen Gelenkersatz dürfen die Prothese durch schweres Tragen oder Heben nicht zu stark beanspruchen und sollen ihren Arm daher nicht mit mehr 3-5 kg belasten. Vor allem für jüngere und körperlich aktive Patienten ist der Einsatz einer Ellenbogenprothese deshalb nicht optimal.
Lockert sich die Ellenbogenprothese, leiden die Betroffenen erneut unter zunehmenden Schmerzen und Bewegungseinschränkungen im Ellenbogengelenk.
Der Ellenbogenspezialist kann durch eine Röntgenuntersuchung, Kernspintomographie oder Computertomographie den Sitz der Ellenbogenprothese prüfen. Hat sich das künstlichen Ellenbogengelenk gelockert, empfiehlt der Spezialist die Revisionsoperation. Dabei ist wichtig zu beachten: Eine zweite Ellenbogenoperation ist in der Regel nicht so erfolgreich wie die erste und Schmerzen oder Bewegungseinschränkungen des Gelenks können bestehen bleiben.
Reha und Sport nach Operation der Ellenbogenprothese
Die Physiotherapeuten der Gelenk-Klinik bewegen das operierte Ellenbogengelenk bereits am ersten Tag nach der Operation passiv und führen schonende passive Übungen bis zur Entlassung der Patienten aus der Klinik fort. In der übungsfreien Zeit stellen die Patienten ihren Arm in einer Softcast-Schiene ruhig.
Im Anschluss trainieren die Betroffenen durch ambulante Physiotherapie den operierten Arm mit aktiven assistierten Übungen. Die Dauer der Einheilung und Rehabilitation nach Operation einer Ellenbogenprothese beträgt 4-8 Wochen.
Besonders geeignet: Aktivitäten, die nur Bein- und Rumpfmuskulatur belasten
Nach Operation einer Ellenbogenprothese eignen sich vor allem Sportarten, bei denen die Betroffenen nur die Bein- und Rumpfmuskulatur belasten. Dazu gehören Laufen, Wandern, Tanzen und Nordic Walking. Beim Nordic Walking können Patienten die unterstützenden Gehstöcke problemlos einsetzen.
Ebenso können Betroffenen Inlineskaten oder Eislaufen. Allerdings ist die Sturzgefahr mit Aufprall auf die ausgestreckte Hand oder den Unterarm sehr hoch.
Patienten, die gern Radfahren, sollten auf eine aufrechte Körperhaltung beim radeln achten und Fahrstrecken ohne größere Erschütterungen wählen.
Häufig gestellte Patientenfragen zur Ellenbogenprothese an PD Dr. med. habil. Bastian Marquaß von der Gelenk-Klinik
Was ist eine Ellenbogenprothese?
Eine fortgeschrittenen Arthrose oder Knochenbrüche im Ellenbogenbereich lösen bei Betroffenen meist starke Schmerzen oder Bewegungseinschränkungen im Gelenk aus. Die Ellenbogenprothese ersetzt die geschädigten Gelenkanteile und ahmt die Form und die Beweglichkeit des natürlichen Ellenbogens nach. Die Patienten können nach dem Einsatz der Gelenkprothese zuvor eingeschränkte und schmerzhafte Bewegungen, wie Autofahren, Haare kämmen und Gegenstände tragen und heben, wieder schmerzfrei aufzunehmen.
Was ist eine gekoppelte Ellenbogenprothese?
Alle Prothesenanteil sind bei einer gekoppelten Ellenbogenprothese miteinander verbunden. Mechanisch funktioniert dieser künstliche Gelenkersatz wie ein Scharnier. Durch die Verbindung der Prothesenkomponenten ist das Gelenk stabil auch bei einem geschädigten Bandapparat.
Wie lange hält eine Ellenbogenprothese?
Eine Ellenbogenprothese ist 10 bis 15 Jahre haltbar. Ihre sogenannte Standzeit hängt vor allem davon ab, wie stark der Gelenkersatz belastet wird. Um Schäden durch eine vorzeitige Lockerung der Prothese zu vermeiden, raten wir unseren Patienten mit dem betroffenen Arm keine Lasten über 3-5 kg zu heben oder zu tragen.
Wie darf ich die Ellenbogenprothese belasten?
Die Ellenbogenprothese reduziert die Gelenkschmerzen der Betroffenen und stabilisiert das Gelenk. Patienten können durch den künstlichen Gelenkersatz alltägliche Bewegungen, wie anziehen, Auto fahren und schreiben, sowie die Durchführung der körperlichen Hygiene wieder problemlos durchführen. Die Ellenbogenprothese darf durch schweres Tragen oder Heben allerdings nicht zu stark belastet werden. Der Richtwert für die Patienten liegt bei 3-5 kg.
Wie lange bin ich nach der OP einer Ellenbogenprothese krank?
Diese Frage kann der behandelnde Spezialist nur individuell für jeden einzelnen Patienten beantworten. Die Dauer der Rehabilitation und Rückkehr in den Alltag oder Beruf hängt unter anderem vom gewählten operativen Zugang ab. Kann der Spezialist die Ellenbogenprothese implantieren ohne die Sehne des Trizepsmuskels abzulösen, ist eine Ruhigstellung des Ellenbogengelenks nach eine Eingriff kürzer. Muss er die Sehne lösen und am Ende des Eingriffs wieder stabil fixieren, verlängert sich die Einheilungszeit. Auch die Art der Belastung im Alltag und im Beruf des einzelnen Patienten beeinflusst den Genesungsprozess. Als Richtwert können die Betroffenen von einer Dauer der Einheilung und Rehabilitation von 4-8 Wochen ausgehen.
Welche Bewegungen gehen mit Ellenbogenprothese nicht mehr?
Im Idealfall ist der Bewegungsumfang des Ellenbogengelenks nach der Implantation einer Ellenbogenprothese nahezu uneingeschränkt wiederhergestellt. Mitentscheidend für den Operationserfolg ist die Situation vor der Implantation. Gerade nach vorangegangenen Unfällen und Voroperationen müssen die Betroffenen mit weiterbestehenden Bewegungseinschränkungen rechnen, als Betroffene mit einer rheumatisch bedingten Gelenkzerstörung.
Welchen Sport kann ich mit Ellenbogenprothese machen?
Um eine frühzeitige Lockerung der Ellenbogenprothese durch eine Überlastung zu vermeiden, empfehlen wir den Betroffenen Sportarten bei denen sportliche bei denen nur die Bein- und Rumpfmuskulatur belastet wird. Der Einsatz von Stöcken beim Nordic Walking ist gut möglich. Aufrechtes Radfahren ohne größere Erschütterung ebenso.
Literatur zur Ellbogenprothese
- Fusaro, I., Orsini, S., Minelli, G., Kantar, S. S., Giacomo, S. D., dos Santos Flöter, M., ... & Benedetti, M. G. (2018). Rehabilitation After Elbow Prosthesis. In The Elbow (pp. 249-258). Springer, Cham.
- King, G. J., Adams, R. A., & Morrey, B. F. (1997). Total elbow arthroplasty: revision with use of a non-custom semiconstrained prosthesis. JBJS, 79(3), 394-400.
- Meijering, D., Boerboom, A. L., Breukelman, F., Eygendaal, D., Bulstra, S. K., & Stevens, M. (2019). Long-term results of the iBP elbow prosthesis: beware of destructive metallosis! BMC Musculoskeletal Disorders, 20(1), 1-8.
- Schnetzke, M., Aytac, S., Deuss, M., Studier-Fischer, S., Swartman, B., Muenzberg, M., ... & Guehring, T. (2014). Radial head prosthesis in complex elbow dislocations: effect of oversizing and comparison with ORIF. International orthopaedics, 38(11), 2295-2301.