- Was ist ein Knick-Senkfuß?
- Ursachen: Wie entsteht ein Knick-Senkfuß?
- Symptome: Welche Beschwerden hat man mit Knick-Senkfuß?
- Diagnose des Knick-Senkfußes
- Konservative Behandlung des Knick-Senkfußes
- Operation des Knick-Senkfußes
- Übungen zur Stabilisierung des Fußlängsgewölbes

Der Knick-Senkfuß ist eine Fußfehlstellung, bei der das Fersenbein nach innen wegknickt, während das Fußlängsgewölbe dauerhaft nach innen absinkt. Schäden an der Sehne des hinteren Schienbeinmuskels (Tibialis-posterior-Sehne) können einen erworbenen Knick-Senkfuß bei Erwachsenen begünstigen, da eine intakte Sehne für die Aufrechterhaltung des Fußlängsgewölbes wichtig ist.
Neben rheumatischen Erkrankungen können auch Verletzungen und Unfälle die Sehne schädigen. Belastungsabhängige Schmerzen am Fußinnenrand und am Innenknöchel sind typisch für den Knick-Senkfuß. Die Schmerzen können bis in den Außenknöchel und den Unterschenkel ziehen. Das Laufen fällt den Betroffenen zunehmend schwerer.
Man behandelt den Knick-Senkfuß zunächst konservativ mit orthopädischen Einlagen , spezieller Physiotherapie oder Kälteanwendungen. In einigen Fällen empfiehlt der Fuß- und Sprunggelenkspezialist einen operativen Eingriff, z. B. eine Knochenumstellung (Osteotomie) des Fersenbeins oder eine Transplantation der Tibialis posterior-Sehne.
Externer Inhalt von youtube.com
Was ist ein Knick-Senkfuß?
Der gesunde Fuß ermöglicht uns das Stehen und Gehen. Ein Längs- und Quergewölbe bilden die normale Fußform. Die Bezeichnung Knick-Senkfuß oder auch Knick-Plattfuß leitet sich von der äußeren Form dieser Fehlstellung ab:
- Der Knickfuß bezeichnet die Fehlstellung der Ferse, die nach innen wegknickt, anstatt senkrecht vom Boden nach oben zu verlaufen. Deutlich sichtbar bei Betroffenen ist auch der hervortretende Innenknöchel, der von einer Änderung der Beinachse herrührt.
- Der Senkfuß beschreibt die Abflachung des Fußlängsgewölbes. Die Fußsohle liegt flach auf dem Boden auf. In extremen Fällen des Senkfußes spricht man auch vom Plattfuß. Unterschiedlich ist hierbei lediglich das Ausmaß der Fehlstellung.
Da Knickfuß und Senkfuß meistens zusammen auftreten, spricht man vom Knick-Senkfuß (Pes planovalgus). Eine weitere nicht im Namen der Fehlstellung vorkommende Abweichung ist eine von oben gesehene Verdrehung des Mittel- und Vorfußes zum Fußrand.
Externer Inhalt von viewmedica.com
Wer bekommt einen Knick-Senkfuß?
Der Knick-Senkfuß tritt manchmal als Störung oder Verzögerung der Fußreifung bei Kleinkindern auf. Der kindliche Knick-Senkfuß wächst sich meist ohne ärztliche Behandlung von allein wieder aus.
Bei Erwachsenen gibt es einmal die Gruppe der Patienten, die einen Knick-Senkfuß aus der Kindheit zurückbehalten haben, der sich nicht von allein zurückgebildet hat. Dieser kann im mittleren Lebensalter Beschwerden verursachen. Zum anderen kann eine andere Ursache dem Knick-Senkfuß bei Erwachsenen zugrunde liegen: eine erworbene Schädigung der Tibialis-posterior-Sehne. Diese lange Sehne zieht vom Unterschenkel bis in den Fuß und hält mit ihrer Spannung das Fußlängsgewölbe im gesunden Fuß aufrecht.
Bei Erwachsenen sind Frauen zwischen 40 und 50 Jahren überdurchschnittlich häufig vom Knick-Senkfuß betroffen. Der Grund für das dreifach häufigere Auftreten dieser Fußfehlstellung bei Frauen ist nicht bekannt. Auch Patienten mit Diabetes und Bluthochdruck besitzen häufiger Knick-Senkfüße. Eine weitere Häufung findet man unter Patienten, die über längere Zeit Steroide oder Kortison eingenommen haben. Mehr als die Hälfte der Knick-Senkfuß-Patienten sind stark übergewichtig.
Aufbau und Funktion des Fußlängsgewölbes
Vereinfacht beschrieben werden die Fußwurzelknochen neben den Bändern durch eine Schlinge gehalten, die die Form eines Steigbügels hat. Die Sehnen der Schienbein- und Wadenmuskeln ziehen vom Unterschenkel innen um den Innenknöchel und um den Außenknöchel.
Innen am Fuß verläuft die Sehne des hinteren Schienbeinmuskels (Musculus tibialis posterior), die am inneren Fußrand am Kahnbein, einem der Fußwurzelknochen, ansetzt. Am Außenfuß verläuft die Sehne des langen Wadenbeinmuskels (Musculus peroneus longus), die außen um den Mittelfuß zieht und den Steigbügel innen komplettiert. Weitere Bandstrukturen stabilisieren den Komplex.
Ursachen: Wie entsteht ein Knick-Senkfuß?

Der erworbene Knick-Senkfuß entwickelt sich meist als Folge einer Schädigung der Sehnen und Muskeln, die das Fußgewölbe ausbilden und im Gleichgewicht halten. Sehnenscheidenentzündungen, Rheuma, Arthritis oder Außenbandverletzungen können die Sehnenzugverhältnisse am Fuß entscheidend ändern und das Fußgewölbe zum Knick-Senkfuß einsinken lassen.
Häufig verschleißt die Tibialis-posterior-Sehne zwischen ihrem Ansatzpunkt am Kahnbein (Os naviculare) und dem Innenknöchel. Dadurch verschiebt sich die Sehnenschlinge, die das Fußgewölbe stützt, nach unten. Der außen ansetzende Wadenbeinmuskel wirkt weiterhin auf den Fuß ein, wodurch das Fußlängsgewölbe absinkt und Mittel- und Vorfuß nach außen gleiten.
Eine chronische Entzündung der Sehnenscheide im Rahmen einer rheumatischen Erkrankung kann eine Funktionsstörung der Tibialis-posterior-Sehne auslösen. Weiterhin scheint die ungünstige Lage der Sehne hinter dem Innenknöchel die Störung zu begünstigen. Zudem können Verletzungen durch Unfälle zum Knick-Senkfuß führen.
Neben der Sehnenscheide kann sich auch die Sehne selbst entzünden oder teilweise bzw. vollständig reißen. Eine Verlängerung oder ein kompletter Funktionsverlust mit gravierenden Folgen für das Fußlängsgewölbe sind dann unvermeidbar.
Der Knick-Senkfuß kann auch eine angeborene Ursache haben, die sich während der embryonalen Entwicklung im Mutterleib ausbildet: Verwachsungen von zwei oder mehr Knochen im Mittelfuß- oder Rückfußbereich. Man spricht medizinisch von tarsalen Koalitionen.
Symptome: Welche Beschwerden hat man mit Knick-Senkfuß?

Die Betroffenen beschreiben den Fußexperten der Gelenk-Klinik häufig im Gespräch Fußschmerzen bei Belastung über dem Fußinnenrand im Bereich des Innenknöchels. Zum Teil lokalisieren die Patienten die Beschwerden um den Knöchel herum bis in den Unterschenkel reichend. Häufig wird auch eine Knöchelschwellung beschrieben, die innen und außen auftreten kann. Die Schmerzintensität ist dabei abhängig vom Erkrankungsstadium und der Lebensweise der Patienten.
Regelmäßig geben Patienten nur einen Belastungsschmerz am Fußaußenrand vor dem Außenknöchel an. Neben diesen konkreten Beschwerden klagen viele Frauen über eine verminderte Gehstrecke, leichte Ermüdbarkeit und Schwäche im Fuß.
Die zunehmende Fehlstellung kann der Orthopäde häufig an den Veränderungen am getragenen Schuhwerk feststellen. Vor allem am Innenrand sind die Schuhsohlen besonders stark abgenutzt. Das Fußbett ist wegen der starken Belastung am Innenrand oft durchgetreten.
Diagnose des Knick-Senkfußes

Eine genaue klinische Untersuchung durch den erfahrenen Arzt sichert die Diagnose des erworbenen Knick-Plattfußes.
Tritt der Patient nur einseitig auf dem Fuß auf, kann das ein Hinweis auf die Erkrankung sein. Es kann aber auch bedeuten, dass sich ein bereits vorhandener Senkfuß einseitig verschlechtert hat. Der Arzt achtet zudem auf vorhandene Fehlstellungskomponenten, Schwellungen, Druckschmerzhaftigkeit über dem Sehnenverlauf oder auch über dem außen liegenden Sinus tarsi.
Orthopädische Tests bei Knick-Senkfuß
Spezielle Tests helfen dem behandelnden Orthopäden, die Verdachtsdiagnose Knick-Senkfuß weiter einzugrenzen. Beim Too-many-Toes-Test sieht der Orthopäde von der Ferse aus beim Knick-Senkfuß aufgrund der veränderten Fußlängsachse drei schräg nach außen stehende Kleinzehen (Too-many-Toes-Sign). Beim fußgesunden Patienten zeigen alle Zehen gerade nach vorne.
Beim Einbeinzehenspitzenstand (Single-Heel-Rise-Test) überprüft der Arzt die Funktion der Tibialis-posterior-Sehne. Dem Patienten ist der Zehenspitzenstand auf einem Bein nicht möglich, wenn die Sehne gerissen oder funktionsgestört ist (Single-Heel-Rise-Sign).
Eine Untersuchung der angrenzenden Fußabschnitte, Bewegungsprüfung der Gelenke, Stabilitätstests der Bänder und Kraftuntersuchungen der Muskulatur grenzen differentialdiagnostisch andere Erkrankungen ab. Wichtig ist dabei, dass der Arzt die Korrigierbarkeit der Fehlstellung prüft, um die bestmögliche Therapieentscheidung zu treffen.
Bildgebende Untersuchungen: Röntgen und Ultraschall

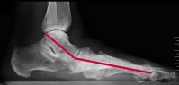
Mithilfe einer Röntgenuntersuchung des Fußes unter Belastung bestimmt der Orthopäde den Winkel zwischen Sprungbein (Talus) und erstem Mittelfußknochen (metatarsotalaren Index). Das Ergebnis ermöglicht ihm, das Ausmaß der Fehlstellung abzuschätzen.
Eine Ultraschalluntersuchung zeigt direkt die Verdickung oder den Riss (Ruptur) der Tibialis-posterior-Sehne.
Fußdruckmessung und dynamische Ganganalyse bei Knick-Senkfuß

Die Podometrie oder Pedobarografie misst die Druckverteilung unter den Fußsohlen beim Stehen und Gehen. Aus der Druckverteilung an der Fußsohle kann der Orthopäde Fehlstellungen, Sehneninsuffizienzen und muskuläre Ungleichgewichte ablesen. Die muskuläre Führung beeinflusst den messbaren Fußabdruck beim Gehen und Abrollen direkt. Über die statische Druckverteilung im Fuß kann der Arzt den Zustand und die Funktion des Fußes und der Belastungsachse von Fuß und Bein schmerzfrei und ohne Operation ermitteln: Fußfehlstellungen (Knick-Senkfuß, Spreizfuß, Hohlfuß) und Deformitäten bis hin zu Sprunggelenkserkrankungen erkennt der Orthopäde mit dieser Untersuchung zweifelsfrei.
Die dynamische Ganganalyse trägt wesentlich zur Diagnostik eines Knick-Senkfußes bei. Dafür läuft der Patient über ein Laufband mit integrierter Messstation. Über den Bodendruck, den der Fuß beim Abrollen ausübt, erkennt der Arzt mögliche Fußfehlstellungen. Sehr stark belastete Bereiche sind rot eingefärbt. Bereiche mit geringer Belastung erscheinen blau. Die Ganganalyse stellt einen Zusammenhang zwischen Bewegung, Haltung und Schmerzen her.

Konservative Behandlung des Knick-Senkfußes
Konservative Therapie
- physikalische Therapie, z. B. Ultraschallbehandlung, Kältetherapie
- nichtsteroidale Antirheumatika (NSAR)
- Physiotherapie zur Kräftigung des Muskels
- orthopädische Schuhe mit stützendem Fußbett
- orthopädische Einlagen
Der erworbene Knick-Senkfuß ist bei den meisten Patienten konservativ ohne Operation behandelbar. Liegt noch kein Sehnenriss vor, kann mithilfe von speziellen physiotherapeutischen Übungen und entzündungshemmenden Medikamenten die Tibialis-posterior-Sehne gekräftigt werden.
Vorsicht mit Kortison!
Häufig werden Sehnenentzündungen noch mit Kortisoninjektionen behandelt. Kortison lässt eine Entzündung zwar kurzfristig deutlich zurückgehen, dafür steigt die Gefahr für einen Riss der Tibialis-posterior-Sehne deutlich an. Wir raten von Kortison daher ab.
Uneingeschränkt empfehlen wir Patienten mit Beschwerden das Tragen von Einlagen. Diese Schuheinlagen unterstützen das Fußlängsgewölbe und lindern die Fußschmerzen deutlich. Die Einlagen sind am Fußinnenrand deutlich erhöht und sollten in einen stabilen Schuh eingelegt werden. Ein fester Schuh verhindert das Durchtreten des Innenrandes. Die Qualität der Einlagen und der Schuhe sind ganz besonders wichtig für den Erfolg der konservativen Therapie des Knick-Senkfußes.
In der Gelenk-Klinik werden daher alle Schuhe und Einlagen in enger Zusammenarbeit mit einem orthopädischen Schuhmacher gefertigt. Schuhe und Einlagen werden engmaschig überprüft und angepasst.
Operation des Knick-Senkfußes

Die Operation eines Knick-Senkfußes wird vom Fußspezialisten individuell an die Situation des Patienten angepasst. Je nach Ausmaß der Sehnenschädigung und der Fehlstellung kommen verschiedene operative Verfahren zum Einsatz. Bei leichten Fehlstellungen können Eingriffe an der Tibialis-posterior-Sehne ausreichend sein (Synovektomie). Eine innovative Behandlungsmethode bietet die Gewebeablation mittels hochfrequenter Ultraschallenergie. Dabei werden die geschädigten Sehnenanteile präzise identifiziert, verflüssigt und über eine Sonde abgesaugt.
Ist die Sehne schwerer geschädigt, kann ein körpereigenes (autologes) Sehnentransplantat sie ersetzen. Da das Transplantat die ursprüngliche Sehnenfunktion nur teilweise wiederherstellt, führt der Operateur zusätzlich einen knöchernen Begleiteingriff durch.
Eine Möglichkeit ist die Verlängerung des Fußaußenrandes (Evans-Osteotomie) mit Knochenteilen aus dem Beckenkamm oder Wadenbein des Patienten. So kann das Fußlängsgewölbe wieder aufgerichtet und der Sehnenzug entlastet werden. In einigen Fällen wird zusätzlich eine Arthrodese (Versteifung) des Gelenks zwischen Fersenbein und Würfelbein durchgeführt.
Eine weitere Möglichkeit bietet die Umstellung des Fersenbeins nach innen (Fersenbeinosteotomie), um die Fehlstellung des Rückfußes auszugleichen.
Je nach Art des operativen Eingriffs kann es für den Patienten relativ lange dauern, bis er den Fuß wieder vollständig belasten kann. Daher wägen die Fußexperten zusammen mit dem Patienten diese Eingriffe im Vorfeld sorgfältig ab.
Externer Inhalt von youtube.com
Übungen zur Stabilisierung des Fußlängsgewölbes
Betroffene können das Fußgewölbe durch Muskeltraining und sensorische Übungen gezielt wieder aufbauen. Wenn die Tibialis-posterior-Sehne intakt ist, stabilisiert regelmäßiges Training mit den nachfolgenden Übungen das Längsgewölbe. Gesunde Patienten mit leichten Beschwerden können durch diese Übungen dem Knick-Senkfuß vorbeugen. Wenn Sie bereits deutliche Beschwerden oder eine akute schmerzhafte Reizung des Fußes haben, sollten Sie die Übungen nicht ohne gründliche ärztliche Untersuchung und Beratung durchführen. Insbesondere die Stabilität und Entzündungsfreiheit Ihrer Tibialis-posterior-Sehne sollte gegeben sein, bevor Sie anfangen, das Fußgewölbe durch Übungen zu kräftigen.
Übung 1: Gewölbe bauen

Übungsziel: Kräftigung der kurzen Fußmuskulatur zur Verbesserung des Längsgewölbes.
Ausgangsstellung: Sitz. Der Fuß ist unbelastet, flächig auf dem Boden platziert.
Ausführung: Ziehen Sie die Zehengrundgelenke kräftig zurück in Richtung Ferse. Sie können beobachten, wie sich das Fußlängsgewölbe hebt. Achten Sie darauf, dass Sie nicht mit den Zehen krallen und dass Groß- und Kleinzehenballen Kontakt zum Boden haben.
Führen Sie 1–2 Minuten eine rhythmische, federnde Bewegung durch.
Übung 2: Kräftigung der kurzen Fußmuskulatur

Übungsziel: Kräftigung des Längsgewölbes.
Ausgangsstellung: Stand: Das eine Ende des Gymnastikbandes ist unter dem äußeren Drittel der Ferse platziert, das andere Ende unter dem Großzehengrundgelenk. Bringen Sie nun das Gymnastikband auf Spannung.
Ausführung: Achten Sie darauf, dass Sie besonders an den Punkten des Gymnastikbandes fest verwurzelt sind. Auch Kleinzehenballen und die Zehen sollten einen satten Kontakt zum Boden haben. Richten Sie Ihr Längsgewölbe auf, ohne die Enden des Gymnastikbandes zu verlieren.
Übung 3: Kräftigung der tiefen Schienbeinmuskulatur

Übungsziel: Kräftigung des Musculus tibialis posterior
Ausgangsstellung: Sitz. Ein Gymnastikband wird seitlich auf Höhe des Fußes befestigt. Wickeln Sie das Band so um den Vorfuß, dass der Zug des Bandes von außen kommt. Positionieren Sie Ihren Fuß in Vorspannung.
Ausführung: Ziehen Sie das Band mit dem Fuß nach innen. Der Fuß sollte zu Beginn der Übung leicht ausgestreckt sein. Die Zehen können verstärkend mitaktiviert werden. Ein Einkrallen ist möglich.
Überprüfung: Der markierte Bereich an der Unterschenkelinnenseite muss sich bei der Übung anspannen. Dies lässt sich tasten.
Übung 4: Kräftigung der tiefen Wadenbeinmuskulatur

Übungsziel: Kräftigung des Musculus peroneus longus
Ausgangsstellung: Sitz. Das Knie des betroffenen Fußes ist nach außen gekippt und bleibt dort während der gesamten Übung. Der Fuß liegt auf dem Außenrand auf dem Boden. Schieben Sie das Ende des Gymnastikbandes unter das äußere Drittel der Ferse und ziehen Sie dann eine Schlaufe um das Großzehengrundgelenk. Führen Sie das Band nach außen und halten oder fixieren Sie es dort.
Ausführung: Drücken Sie das Großzehengrundgelenk zum Boden und achten Sie darauf, dass das Knie außen bleibt und die Ferse nur außen belastet ist.
Literaturangaben
- Cass, A. D. & Camasta, C. A. (2010). A review of tarsal coalition and pes planovalgus: clinical examination, diagnostic imaging, and surgical planning. The Journal of foot and ankle surgery: official publication of the American College of Foot and Ankle Surgeons, 49, 274–93.
- Dohle, J. (2018). Optionen für die operative Korrektur des adulten Knick-Senkfußes. Orthopädie & Rheuma, 21(6), 32–39.
- Evans, A. M. & Rome, K. (2011). A review of the evidence for non-surgical interventions for flexible pediatric flat feet. European journal of physical and rehabilitation medicine.
- Frank, D., Frank, V. J., & Arbab, D. (2019). Posterior tibial tendon insufficiency. OUP, 8, 68–75.
- Götz, J., Grifka, J., & Baier, C. (2016). Adulte Rückfußdeformitäten. Der Orthopäde, 45(1), 97–110.
- Greitemann, B., & Schievink, F. (2019). Orthopädische Schuhtechnik. Physikalische Medizin, Rehabilitationsmedizin, Kurortmedizin, 58(06), 332–353.
- Kumar, S. J., Guille, J. T., Lee, M. S. & Couto, J. C. (1992). Osseous and non-osseous coalition of the middle facet of the talocalcaneal joint. The Journal of bone and joint surgery. American volume, 74, 529–35.
- Lysack, J. T. & Fenton, P. V. (2004). Variations in calcaneonavicular morphology demonstrated with radiography. Radiology, 230, 493–7.
- Nalaboff, K. M. & Schweitzer, M. E. (2008). MRI of tarsal coalition: frequency, distribution, and innovative signs. Bulletin of the NYU hospital for joint diseases, 66, 14–21.
- Niethard, F. U., Pfeil, J. & Biberthaler, P. (2009). Orthopädie und Unfallchirurgie. Stuttgart: Thieme.
- Putz, C., Hagmann, S., & Dreher, T. (2018). Bildgebende Diagnostik des Fußes. Der Radiologe, 58(5), 400–405.
- Sullivan, J. A. (1999). Pediatric flatfoot: evaluation and management. The Journal of the American Academy of Orthopaedic Surgeons, 7, 44–53.
- Sullivan, R. J. (2010). The pediatric foot and ankle. Foot and ankle clinics, 15, ix.
- Walther, M. (2017). Degeneration der Tibialis‑posterior-Sehne. Der Unfallchirurg, 120(12), 1031–1037.
- Wirth, S. H., Viehöfer, A., & Schöni, M. (2017). Der erworbene Pes planovalgus beim Erwachsenen. Swiss Medical Forum, 17(3031), 630–636).
- Wülker, N. (2005). Taschenlehrbuch Orthopädie und Unfallchirurgie. Stuttgart: Thieme.
- Yagerman, S. E., Yeagerman, S. E., Cross, M. B., Positano, R. & Doyle, S. M. (2011). Evaluation and treatment of symptomatic pes planus. Current opinion in pediatrics, 23, 60–7.