- Ursachen der Kniearthrose
- Symptome der Kniearthrose
- Diagnose der Kniearthrose
- Vorbeugen und Sport bei Kniearthrose
- Konservative Behandlung der Kniearthrose
- Operation bei Kniearthrose
- Patientenfragen zu Kniearthrose an Prof. Sven Ostermeier aus der Gelenk-Klinik
Leiden Sie morgens bei den ersten Schritten unter Anlaufschmerzen? Oder fühlt sich Ihr Knie nach dem Wandern oder Joggen schmerzhaft, überwärmt und geschwollen an? Dann könnte eine Kniearthrose (Gonarthrose) für Ihre Beschwerden verantwortlich sein. Dabei handelt es sich um einen Verschleiß der Knorpelflächen im Kniegelenk. Bei fortgeschrittener Kniearthrose reiben die Knochen im Knie ohne schützende Knorpelschicht schmerzhaft aneinander. Häufig wird der Gelenkverschleiß im Knie begleitet von Entzündungsprozessen, die mit Schwellung, typischen Knieschmerzen (Gonalgie), eingeschränkter Beweglichkeit und im Spätstadium sogar mit einer Versteifung des Knies einhergehen können.
Wenn Sie diese Symptome bei sich feststellen, sollten Sie sich von einem Kniespezialisten untersuchen lassen. Je länger Sie bei Knieschmerzen die Diagnose und Behandlung hinauszögern, desto eingeschränkter werden die Therapiemöglichkeiten Ihres behandelnden Arztes.
Häufigkeit der Gonarthrose in Deutschland
Kniearthrose gehört zu den häufigsten orthopädischen Erkrankungen: Sie ist eine "Volkskrankheit". Unsere komplexen Kniegelenke sind bei Arbeit und Sport besonders starken Belastungen und Verletzungsrisiken ausgesetzt. Fast die Hälfte aller Patienten mit Arthrose leiden unter Gonarthrose. Das sind etwa 5 % aller Erwachsenen. Erst an zweiter Stelle folgt die Hüftarthrose. Dass Arthrose im Knie in über 120.000 Fällen pro Jahr mit einer Knieendoprothese behandelt wird, ist inzwischen allgemein bekannt. Dabei sind Frauen wesentlich häufiger von Kniearthrose betroffen als Männer.
Arthrosezeichen sind bei über 50-Jährigen weit verbreitet. Die Rotterdamstudie zeigte 1997, dass von 1040 untersuchten Patienten zwischen 55 und 65 Jahren nur 12 % frei waren von jedem Arthrosezeichen.
Die Ansicht, dass man Arthrose im Knie nicht mehr verbessern, sondern nur den Verlauf therapeutisch verlangsamen kann, ist inzwischen überholt.
Im folgenden Artikel wollen wir daher die für viele Patienten großen Chancen auf eine gelenkerhaltende Perspektive zeigen: Immer mehr Patienten mit Knorpelschaden erhalten an spezialisierten Kliniken eine Chance auf ein gesundes Knie. Die Kniespezialisten der Gelenk-Klinik wenden die modernen Verfahren der gelenkerhaltenden Knorpelzüchtung (Knorpeltransplantation) bereits seit über 15 Jahren mit großem Nutzen für die Patienten an.
Fakten zu Kniearthrose
- Kniearthrose ist der häufigste Grund für die Implantation eines künstlichen Gelenks (Knieprothese).
- 70 % aller Patienten mit Kniearthrose haben eine beidseitige Arthrose in den Kniegelenken.
- In einem Zeitraum von 11 Jahren entwickelten auch Patienten mit einseitiger Arthrose eine Kniearthrose auf der gegenüberliegenden Seite.
- Kniearthrose entwickelt sich zu 47 % zwischen Oberschenkel- und Schienbeinknochen.
- 10 % aller Fälle von Kniearthrose bei Männern entstehen zwischen Oberschenkel und Kniescheibe (patellofemorale Arthrose).
- Bei Frauen ist die patellofemorale Kniearthrose mit einem Anteil von 21 % wesentlich häufiger.
- 41 % aller Kniearthrosen sind Mischformen.
- Bei beiden Geschlechtern ist die mediale Kniearthrose am häufigsten, also Arthrose innen am Knie.
Anatomie des Kniegelenks

Drei Knochen bilden das Kniegelenk: Der Oberschenkelknochen (Femur) mit den mächtigen, walzenförmigen Femurkondylen (Gelenkköpfen) lagert in der Oberfläche des Unterschenkelknochens (Tibia). Er ist zudem mit der Kniescheibe (Patella) gelenkig verbunden, die als Sesambein die Kraftübertragung der Oberschenkelmuskeln auf das Gelenk unterstützt. Sowohl die Gleitverbindung des Oberschenkels zur Kniescheibe (patellofemorales Gelenk) als auch das Gelenk zum Schienbein mit seinen beiden Bereichen (innen: medial, außen: lateral) können von Gonarthrose betroffen sein. Die Freiburger Kniespezialisten differenzieren diese unterschiedlichen Lokalisationen der Kniearthrose. Die Unterscheidung ist vor allem für die operative Behandlung wichtig.
Wo kann Kniearthrose auftreten?

- Laterale Kniearthrose: Diese Form der Arthrose im Knie tritt insbesondere bei X-Beinstellung auf. Hier ist vor allem der äußere Bereich des Knies geschädigt. Man bezeichnet sie auch als Valgusgonarthrose. Betroffene leiden unter Knieschmerzen außen.
- Mediale Kniearthrose: Diese Art der Kniearthrose betrifft den innen liegenden (medialen) Teil des Knies. Die mediale Gonarthrose tritt vor allem bei O-Bein-Fehlstellung auf. Man bezeichnet sie medizinisch auch als Varusgonarthrose und Betroffene leiden besonders unter Knieschmerzen auf der Innenseite.
- Retropatellararthrose: Die Arthrose hinter der Patella (Kniescheibe) betrifft das Gelenk zwischen der Kniescheibe und dem Oberschenkelknochen. Man bezeichnet es als Femoropatellargelenk. Diese Arthrose heißt daher auch femoropatellare Arthrose und verursacht Knieschmerzen vorne hinter der Kniescheibe. Patienten berichten von belastungsabhängigen Knieschmerzen, zum Beispiel beim Treppensteigen oder beim Beugen und Hocken.
- Pangonarthrose: Bei der Pangonarthrose sind alle Bereiche des Knies geschädigt, also die Gelenkflächen des Oberschenkelknochens, des Schienbeins und der Kniescheibe. Durch chronische Entzündungen mit nächtlichen Knieschmerzen kann sich eine lokale Arthrose ohne Behandlung in eine Pangonarthrose des gesamten Kniegelenks weiterentwickeln.
Mithilfe von gelenkerhaltenden operativen Therapien versuchen die Freiburger Spezialisten, die Kniearthrose auf das betroffene Kompartiment einzugrenzen. Durch Knorpeltransplantation (Knorpelzüchtung), Inlays oder Knieteilprothesen bzw. retropatellare Prothesen können sie häufig den größten Teil des Kniegelenks erhalten. So verlängert sich die Lebenszeit des Kniegelenks auch mit Arthrose um viele Jahre.
Die Rolle des Gelenkknorpels bei Arthrose im Knie
Externer Inhalt von youtube.com
Gonarthrose ist zunächst eine Erkrankung des Gelenkknorpels im Knie. Knorpel ist die weiße Substanz, die für die Gleitfähigkeit der Knochen im Gelenk sorgt. Zentral für die Funktion des Knorpels sind gesunde Knorpelzellen. Diese bilden um sich herum ein stark wasserhaltiges und elastisches Bindegewebe.

Wenn bei Arthrose die Knorpelzellen absterben, kann dieses elastische Bindegewebe nicht mehr ausreichend gebildet und erneuert werden.
Gesunder Knorpel sieht aus wie das Innere einer Kokosnuss: Weiß, saftig und elastisch. Gelenkknorpel im Knie hält durch Zähigkeit und Elastizität auch dem Druck von vielen hundert Kilos mühelos stand. Er ist so einzigartig glatt, dass sogar die Reibung zweier Eisblöcke deutlich höher ist.
Diese Belastbarkeit ist im Knie besonders wichtig: Oberschenkelknochen, Schienbein und Kniescheibe bilden das Kniegelenk des Menschen. Die Belastung ist so hoch, dass zusätzlich zum Gelenkknorpel noch die Menisken als Stoßdämpfer zwischen den Knochen dienen, um die Belastung der Gelenkflächen zu reduzieren.
Bei Meniskusschäden oder wenn ein Meniskus ganz entfernt wurde, verschlechtert sich die Situation für den Gelenkknorpel erheblich. Die Wahrscheinlichkeit, nach kurzer Zeit eine Kniearthrose zu entwickeln, ist sehr hoch.
Ursachen der Kniearthrose
Externer Inhalt von youtube.com
Am Beginn der Kniearthrose steht meist eine Verletzung oder eine Überlastung durch Beruf oder Sport. Neben diesem auslösenden Ereignis können andere Faktoren wie Stoffwechsel, Hormonhaushalt und Lebensweise die Entwicklung der Kniearthrose beschleunigen.
Auch wenn der Knorpelverschleiß zunächst im Zentrum der Betrachtung steht, ist die Kniearthrose eine Erkrankung des gesamten Kniegelenks: Damit sind alle Strukturen des Kniegelenks – Knochen, Bänder, Knorpel – vom Krankheitsprozess betroffen. Durch Überlastung, Stoffwechselprobleme oder traumatische Schädigung können alle diese Strukturen Auslöser der Arthroseentwicklung sein. Gonarthrose ist daher nicht nur ein Phänomen der Knorpelschicht im Kniegelenk.
Alterung und Überlastung der Gelenke
Der Knorpel unterliegt wie alle anderen Bindegewebe einer altersbedingten Degeneration. Die Fähigkeit des Bindegewebes, Wasser zu speichern, nimmt mit zunehmendem Lebensalter ab. Solange der Abbau der Knorpelfunktion altersgerecht ist, spricht man von einer nicht behandlungsbedürftigen Arthrose. Erst wenn das Gelenkalter erheblich höher scheint als das biologische Alter, zieht der Orthopäde eine Therapie in Betracht. Es lohnt sich in jedem Alter, den Stoffwechsel im Knorpel durch regelmäßige, möglichst sanfte Bewegung zu fördern. Das pflegt die Gelenke und erhält Reserven für die natürliche Knorpelregeneration.
Kniearthrose als Nebenwirkung von Medikamenten
Es gibt Medikamente wie bestimmte Antibiotika (Gyrasehemmer), die bei langer und intensiver Anwendung kollagenreiche Strukturen schädigen können. Diese Medikamente haben nachteilige Folgen für den Stoffwechsel von Knorpel und Sehnen. Zu diesen Wirkstoffen zählt beispielsweise Ciprofloxacin, ein häufig verschriebenes Antibiotikum.
Stoffwechsel und Adipositas (krankhaftes Übergewicht)
Das metabolische Syndrom (Bluthochdruck, hohe Blutfettwerte, reduzierte Glukosetoleranz bzw. Diabetes) ist ein starker Risikofaktor für die Entwicklung einer Arthrose. Übergewicht führt zu einer deutlich erhöhten mechanischen Gelenkbelastung. Normalgewichtige Patienten bekommen im Vergleich zu übergewichtigen Patienten durchschnittlich 13 Jahre später ihre erste Knieprothese. Gewichtskontrolle ist also eine der effektivsten gelenkerhaltenden Maßnahmen.
Neben dem mechanischen Aspekt des auf den Gelenken lastenden Übergewichts spielt auch der veränderte Stoffwechsel eine Rolle bei der Entstehung der Kniearthrose. So bildet Fettgewebe hormonähnliche Botenstoffe: die Adipokine. Diese Adipokine fördern Entzündungen. Entzündungshormone begünstigen den Abbau von Knorpelgewebe in den Gelenken. Knorpelgewebe wird also durch diesen Prozess weicher und weniger belastbar. Eine ausgewogene arthrosegerechte Ernährung kann diese Entwicklung günstig beeinflussen.
Weitere knorpelschädigende Stoffwechseländerungen sind vor allem Störungen des Harnsäurestoffwechsels (Gicht) und des Eisenhaushalts (Hämochromatose).
Kniearthrose nach Unfällen und Verletzungen
Unfälle und Traumata sind eine wichtige Ursache von Arthrose im Kniegelenk. Alles, was den normalen Bewegungsablauf und die Lastverteilung im Kniegelenk nachhaltig verändert, kann auch den Knorpel schädigen. Diese Schäden können Sehnen und Bänder betreffen, aber auch die Gelenkflächen sowie das Knorpelgewebe selbst:
- Instabilität des Kniegelenks z. B. nach Außenbandverletzungen und Kreuzbandriss
- Brüche der Gelenkfläche nach Unfällen (Tibiakopffraktur)
- Meniskusschäden und Meniskusteilresektion
- komplexe Verletzungen des Kniegelenks mit Beteiligung von Kreuzband und Innenmeniskus und osteochondralen Läsionen (Knochen-Knorpelschäden)
Neben unfallbedingten Schäden können auch angeborene Fehlstellungen im Kniegelenk (X-Beine oder O-Beine) oder Fehlbelastungen durch eine Haltungsstörung die Lastverteilung im Kniegelenk beeinträchtigen und Kniearthrose begünstigen.
Nur die frühzeitige Wiederherstellung der natürlichen Belastungslinien im Knie etwa durch arthroskopische Bandrekonstruktion nach Bandverletzungen kann die Entstehung der Kniearthrose verhindern.

Meniskusriss und Meniskusverschleiß
Eine häufige Ursache für Gonarthrose ist eine Schädigung der Menisken. Sind sie beschädigt, üben sie ihre mechanische Pufferfunktion nicht mehr ausreichend aus. Diese Meniskusdegeneration beschleunigt sich mit zunehmender Kniearthrose. Auch eine Instabilität des Knies nach einem Kreuzbandriss erhöht den Meniskusverschleiß. Meniskusrisse können z. B. durch Bildung scharfer Kanten den Knorpelabrieb erhöhen. Der Verlust der Meniskusfunktion (Stoßdämpfung) verstärkt den Arthroseprozess.
Osteonekrose und Osteochondrosis dissecans
Auch die Gesundheit der Knochen hat einen starken Einfluss auf die Gleitfähigkeit der Gelenkflächen im Kniegelenk. Neben Knochenbrüchen unter Beteiligung der Gelenkflächen schädigen auch Durchblutungsstörungen, Störungen der knöchernen Gelenkoberfläche und Stoffwechselstörungen den Knochen.
- Aseptische Osteonekrose im Knie (Morbus Ahlbäck): Die Durchblutungsstörung des Oberschenkelknochens geht mit einer Demineralisierung und Destabilisierung des Knochens unter der Gelenkfläche einher. Bricht der Knochen unter der Gelenkfläche ein, verliert das Gelenk seine Gleitfähigkeit.
- Morbus Osgood-Schlatter: Die Knochennekrose im Schienbein (Tibia) schädigt ebenfalls die Gelenkfläche und kann zur Kniearthrose führen.
- Osteochondrosis dissecans im Kniegelenk: Eine lokale Durchblutungsstörung des Knochens führt zur oberflächlichen Ablösung eines Knochenfragmentes aus der Gelenkfläche.
- Osteoporose: Häufig nimmt die Knochendichte aufgrund des Östrogenrückgangs in den Wechseljahren der Frau deutlich ab.
Entzündungen im Kniegelenk
Ursachen von Entzündungen:
- rheumatoide Arthritis
- bakterielle Gelenkentzündung des Knies
Entzündliche Erkrankungen des Kniegelenks sind eine wichtige Ursache für Knorpelverschleiß. Verschiedene Prozesse können ursächlich für die Entzündungen sein. So können bakterielle Entzündungen im Kniegelenk auftreten, aber auch aseptische Autoimmunerkrankungen (rheumatoide Arthritis) oder Rheuma. Für die Gleitfähigkeit des Knorpels im Knie ist es sehr wichtig, diese entzündlichen Episoden so schnell wie möglich zu beenden.
Genetische Ursachen der Kniearthrose: erbliche Knorpelschwäche
Genetische Ursachen können ein familiär gehäuftes Auftreten von Knorpelschwäche und eine frühe Entwicklung von Arthrose erklären. Man spricht von Veranlagung oder Disposition. In diesen Fällen ist eine angeborene Instabilität des Knorpelgewebes verantwortlich.
Aktivierte Arthrose: schubartig wiederkehrende Entzündung im Knie
Das lokale Auftreten von Entzündungshormonen im Kniegelenk wirkt stark knorpelabbauend und knorpelerweichend. Es ist daher von großer Bedeutung, Episoden der entzündlich aktivierten Arthrose so kurz wie möglich zu halten und ein erneutes Auftreten zu verhindern.
- Der Patient spürt bei entzündeter ("aktivierter") Arthrose eine zunehmende Überwärmung des Kniegelenks.
- Diese Wärme ist auch von außen auf der Haut fühlbar und ein wichtiges diagnostisches Arthrosezeichen für den Kniespezialisten.
- Manchmal zeigt sich diese Erwärmung in Verbindung mit einer Schwellung, einem Gelenkerguss.
Das sind deutliche Anzeichen einer Entzündungsreaktion. Entzündlich aktivierte Arthrose deutet auf eine weit fortgeschrittene Schädigung des Knorpels im Kniegelenk hin.
In dieser Situation hat die Arthrose bereits zu Abrieb der Knorpelfläche im Knie geführt: Knochen- und Knorpeltrümmer lösen sich und bewegen sich frei in der Gelenkkapsel. Dieser Abrieb wirkt entzündungsfördernd. Entzündliche Episoden wiederum verstärken den für Gonarthrose typischen Abbau des Knorpels.
Wenn das Knorpelgewebe geschädigt ist und der feste Verbund an bindegewebigen Fasern sich auflöst, führen die täglichen Belastungen des Knies zu einem rasch fortschreitenden degenerativen Verschleiß im Gelenk.
Symptome der Kniearthrose
Kniearthrose zeigt sich bei jedem etwas anders. Oft leiden Betroffene unter Anlaufschmerzen und Morgensteifigkeit, also einem schwer beweglichen Knie morgens nach dem Aufstehen. Später kommen Knieschmerzen unter Belastung hinzu, die in bestimmten Situationen wie Treppensteigen, Hocken oder nach dem Sport spürbar sind. Bei fortgeschrittener Kniearthrose treten die Schmerzen auch nachts und in Ruhepausen auf.
Woran erkennen Sie, ob Sie unter Kniearthrose leiden?
- Sie leiden an chronischen Knieschmerzen, die bereits über mehrere Wochen oder Monate andauern.
- Bestimmte Belastungen wie in die Hocke gehen oder Treppensteigen sind besonders schmerzhaft und lösen Knieschmerzen aus.
- Es kommt zu Knieschmerzen nach Ruhephasen, längerem Sitzen oder morgens nach dem Aufstehen. Ihr Kniegelenk ist wie "eingerostet". Nach kurzer Warmlaufphase wird es beweglicher.
- Sie bemerken Knacken und Reibegeräusche (Krepitationen) beim Bewegen des Knies, zum Beispiel beim Aufstehen vom Stuhl.
- Die maximale Gehstrecke verringert sich.
- Es besteht ein Gefühl der Instabilität im Knie und eine verringerte Trittsicherheit.
- Das Kniegelenk ist überwärmt, schmerzhaft geschwollen und verformt. In dieser Zeit spüren Sie Knieschmerzen besonders in Ruhe und nachts. Man spricht von einer entzündlich aktivierten Arthrose im Knie, die sich mit schmerzhaften Schüben bemerkbar macht.
- Fehlstellungen wie X-Beine oder O-Beine können sich verstärken.
- Frühere Knieverletzungen (gelenknahe Frakturen, Bandverletzungen, Meniskusriss) erhöhen die Wahrscheinlichkeit, dass Sie an Kniearthrose erkranken.
Diagnose der Kniearthrose
Die ersten Schritte in der Diagnostik sind ein ausführliches Arzt-Patienten-Gespräch und eine körperliche Untersuchung. Eine Therapie der Gonarthrose ist nur unter ganzheitlicher Einbeziehung der Vorgeschichte und der Lebensumstände der Patienten möglich. Der Orthopäde erkundigt sich nach besonderen beruflichen oder sportlichen Belastungen. Auch Medikamenteneinnahme, Arthrose an anderen Gelenken, vorangegangene Infektionserkrankungen wie Borreliose und Unfälle sind ein wichtiger Teil der Krankengeschichte (Anamnese).
Klinische Untersuchung: Prüfung von Gelenkfunktion und Beinachse
- Erhebung der Patientengeschichte
- Inspektion des Beins und des Gangbildes
- Prüfung auf verkürzte, rückgebildete Muskulatur
- Prüfung der Außenbänder und Kreuzbänder des Knies
- Untersuchung auf schonungsbedingten Muskelabbau (Muskelatrophie)
- Muskelfunktionsmessung (Elektromyografie)
- Untersuchung der Koordinationsfähigkeit
- Prüfung von Zustand und Funktion der Menisken
Zu Beginn inspiziert der Kniespezialist das Kniegelenk ebenso wie das gesamte Bein. Der Arzt erfasst Fehlstellungen der Beinachse wie O-Bein und X-Bein, Beinlängenunterschiede, Schwellungen oder eine Rückbildung der Muskulatur. Ebenso sind Fehlstellungen im Sprunggelenk und im Fuß wie z. B. fehlverheilte Sprunggelenksbrüche oder ein Knick-Senkfuß von erheblicher Bedeutung, weil sie das benachbarte Kniegelenk zusätzlich belasten.
Durch die Tastuntersuchung (Palpation) stellt der Orthopäde druckschmerzhafte Gelenkergüsse fest.

Mithilfe von Tests des Bewegungsumfangs prüft der Arzt, ob die Beweglichkeit des Kniegelenks durch die Arthrose bereits vermindert ist. Er versucht, den Schmerz exakt im Knie zu lokalisieren. Je nachdem, ob der Schmerz hinter der Kniescheibe (retropatellar), im gesamten Knie oder in einem der beiden Kompartimente sitzt, kann der Orthopäde Rückschlüsse auf den Schwerpunkt der Kniearthrose ziehen.
Weiterhin untersucht er den Zustand der Menisken, denn oft sind unbehandelte Sportverletzungen im Knie Auslöser einer vorzeitigen Kniearthrose.
Differentialdiagnosen von Knieschmerzen
Nicht alle Knieschmerzen werden durch eine Arthrose im Knie verursacht. Häufig kommen Patienten mit Verdacht auf ein Knieproblem in die Sprechstunde und es handelt sich dann um eine ausstrahlende Hüft- oder Rückenproblematik. Der Orthopäde schließt folgende mögliche Ursachen von Knieschmerzen aus:
- einstrahlende Knieschmerzen durch Bandscheibenvorfall,
- Hüftarthrose (Coxarthrose),
- Fehlstellung der Hüfte (Hüftdysplasie),
- Knick-Senkfuß und Fehlstellungen der Beinachse,
- Meniskusverletzungen,
- Infektionen und Entzündungen im Gelenk wie Schleimbeutelentzündung im Knie,
- Schmerzen in der Kniekehle aufgrund von Sehnenreizungen, Muskelfaserriss oder einer Bakerzyste,
- Veränderungen und Entzündungen der Kniescheibe: Patelladysplasie und Patellaspitzensyndrom,
- Arthritis und Rheuma,
- aseptische Osteonekrose (Morbus Ahlbäck).

Eine Prüfung der Beweglichkeit des Hüftgelenks gibt dem Orthopäden Hinweise darauf, ob die Knieschmerzen durch Arthrose oder Bewegungseinschränkungen des Hüftgelenks ausgelöst werden. Wenn durch die Innenrotation der Hüfte das Knie schmerzt, liegt die Ursache eher in der Hüfte. Auch bei Nervenerkrankungen und Nerveneinklemmungen, etwa bei einem Bandscheibenvorfall, können Schmerzen im Knie auftreten.
Bildgebende Verfahren: Röntgen, Ultraschall und MRT

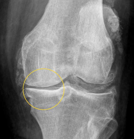
Der wichtigste Schritt zur Darstellung von Knorpelschäden bei Gonarthrose ist eine Röntgenaufnahme des Knies. Es zeigt deutlich Veränderungen des Gelenkspalts. Wo Knorpel im Knie abgebaut wurde, nimmt der Abstand der Knochen im Röntgenbild ab. Für ein eindeutiges Ergebnis ist es wichtig, dass das Röntgenbild im Stehen unter Gewichtsbelastung angefertigt wird. Ohne Belastung ist eine Verschmälerung des Gelenkspalts oft nicht sichtbar. Röntgen ist der Goldstandard der Diagnostik einer Gonarthrose.
Folgende radiologische Arthrosezeichen geben einen eindeutigen Hinweis auf Kniearthrose:
- Der Gelenkspalt im Knie ist verengt.
- Es kommt zur Sklerosierung (Verdichtung) des Knochens unter dem Knorpel aufgrund der erhöhten Belastung im Kniegelenk. Man sieht eine Aufhellung im Knochen.
- Es bilden sich Knochensporne (Osteophyten).
- Manchmal ist eine Chondrokalzinose (Ablagerung von Kalzium in Knorpel) sichtbar, die aber keinen krankheitsauslösenden Effekt haben muss.
Für die Röntgendiagnostik der Kniearthrose sehr wichtig ist die seitenvergleichende Aufnahme beider Kniegelenke unter Belastung. Der Patient beugt seine Kniegelenke dabei um 20 Grad.

Die Ultraschalluntersuchung (Sonografie) zeigt Entzündungsprozesse im Kniegelenk. Eine Schleimhautentzündung (Synovialitis) oder einen Meniskusverschleiß mit Bakerzyste stellt das Ultraschall besonders gut dar.
Die Magnetresonanztomografie kann bei Kniearthrose folgende Zeichen sichtbar machen:
- Verdickung der Gelenkschleimhaut (Synovialitis),
- Wassereinlagerungen im Knochen (Knochenödeme),
- Unterscheidung zwischen begrenzt (fokal) oder tiefgehendem Knorpelschaden und
- Schleimbeutelentzündung am Kniegelenk (Bursitis).
Die Veränderungen des Kniegelenks bei einer Kniearthrose betreffen nicht nur den Gelenkknorpel. Auch alle anderen Strukturen des Kniegelenks sind von der Arthrose betroffen. Die Untersuchung dieser arthrosetypischen Veränderungen an Knochen, Meniskus, Kreuzbändern und Seitenbändern des Kniegelenks ist für die Diagnose und Therapie der Kniearthrose wesentlich.
Die vier Stadien der Kniearthrose
Der Orthopäde teilt die Kniearthrose entsprechend dem Schweregrad in vier Stadien ein (Klassifikation nach Outerbridge). Das Ausmaß der verschleißbedingten Schäden bestimmt die nachfolgende Behandlung.
Kniearthrose 1. Grad:
Betroffene sind noch beschwerdefrei. In einer Gelenkspiegelung ist lediglich die Auffaserung der Oberfläche des Gelenkknorpels zu erkennen.
Kniearthrose 2. Grad:
Das 2. Stadium der Kniearthrose ist weitgehend beschwerdefrei, eine operative Behandlung ist meist nicht erforderlich. Der Knorpel erweicht an der Oberfläche und fasert etwas auf. Es entstehen Risse, die aber nicht bis zum Knochen durchdringen. Die Beweglichkeit des Knies ist trotz beginnender Arthrose noch nicht beeinträchtigt. In diesem Stadium können knorpelregenerierende Verfahren erfolgreich zum Einsatz gebracht werden. Das erfolgreichste Verfahren ist die autologe Knorpeltransplantation.
Kniearthrose 3. Grad:
Die Knorpeloberfläche weist im 3. Stadium bereits bis zum Knochen reichende Risse oder Krater sowie eine starke Auffaserung auf. Die Schäden reichen tief in den Knorpel hinein und finden sich häufig an beiden Gelenkflächen. Noch ist der Knochen an allen Stellen mit Knorpel bedeckt.
Im 3. Stadium kann häufig eine Teilprothese (Repicci-Prothese oder HemiCap) die intakten Anteile des Knies erhalten. Die Schadstellen können zum Beispiel mithilfe knorpelregenerierender Verfahren wie Minced Cartilage behandelt werden, um die weitere Schädigung des Knorpels einzudämmen.
Kniearthrose 4. Grad:
Im 4. Stadium der Kniearthrose liegen schwere Knorpelschäden vor. Der Knochen ist an vielen Stellen nicht mehr von Knorpel bedeckt. Man spricht von einer Knochenglatze. Die Knochen reiben direkt aufeinander, was bei den Betroffenen starke Knieschmerzen auslöst. Der Abrieb im Knie sorgt dafür, dass sich eine entzündlich aktivierte Arthrose mit schmerzhafter Entzündung und Schwellung (Gelenkergüsse) bildet und das Gelenk langsam versteift.
Faktoren, die Kniearthrose verschlechtern
Die entscheidenden Fragen für eine gelenkerhaltende Behandlung sind: Wie geschädigt sind Knorpel und Knochen bereits? Und wie gut sind die Aussichten, eine Arthrose aufhalten oder verlangsamen zu können? Folgende Befunde können sich negativ auf eine Kniearthrose auswirken:
- Ödeme und Geröllzysten im Knochen,
- Knochensporne im Knie oder hinter der Patella,
- Synovialitis: Entzündung der Gelenkschleimhaut,
- Bandschäden am Knie sowie
- Muskelabbau und Muskelverkürzungen.
Ödeme und Geröllzysten im Knochen
Die Knochen lagern mit zunehmendem Knorpelabbau Wasser ein und entwickeln schmerzhafte Ödeme. Ödembildung entsteht auch bei Verstauchungen des Gelenks. Die Wassereinlagerung sorgt bei Arthrose für ähnliche Symptome: stechende Schmerzen und Reizung im Knochen bei stark verminderter Belastbarkeit.
Unter den Gelenkflächen wird der Knochen schließlich durch Wassereinlagerung und Zystenbildung instabil. Die harte Knochenoberfläche kann einbrechen (Geröllzysten). Dies schädigt die Gelenkoberfläche nachhaltig. Eine gelenkerhaltende Behandlung der Kniearthrose ist dann nicht mehr möglich.
Knochensporne im Knie oder hinter der Patella
Die abnehmende Knorpelschicht erhöht die mechanische Last in Teilbereichen des Kniegelenks. Der Knochen reagiert auf diese Überlastung durch die Bildung von Knochenspornen (Osteophyten). Diese im Röntgenbild sichtbaren Knochenanbauten vergrößern die verfügbare Knochenoberfläche, führen aber zur Versteifung des Knies. Aufgrund der erhöhten Reibung werden die geschädigten Gelenkflächen immer unebener, was wiederum den Knorpelabrieb verstärkt.
Synovialitis: Entzündung der Gelenkschleimhaut
Der Entzündungsprozess des Kniegelenks umfasst häufig auch die Gelenkschleimhaut (Synovia). Die entzündete Synovia wuchert und bildet nicht mehr die für den Knorpel lebensnotwendige Gelenkschmiere mit der wichtigen Hyaluronsäure. Damit verliert der Knorpel seine Fähigkeit, ausreichend Wasser zu binden.
Die Entzündung führt zudem zu einer Veränderung des knorpeligen Bindegewebes. Die Knorpelschicht weicht durch Entzündungen immer weiter auf. Daher beschleunigen Entzündungen im Kniegelenk den Knorpelabbau erheblich.
Um diese gelenkschädigenden Prozesse aufgrund einer Synovialitis zu vermeiden und zu therapieren, ist es häufig erforderlich, die Gelenkschleimhaut mittels Kniearthroskopie zu entfernen. In kurzer Zeit bildet sich eine neue, gesunde Gelenkschleimhaut.
Bandschäden am Knie

Kniearthrose greift die Seitenbänder und die Kreuzbänder des Kniegelenks ebenfalls an. Die Bänder können das Knie immer weniger stabilisieren, was den Krankheitsprozess wiederum beschleunigt. Lockere oder geschädigte Kreuzbänder sind ein häufiger Auslöser von Gelenkverschleiß im Knie. Ober- und Unterschenkel sind dann nicht mehr stabil miteinander verbunden. Diese Überbeweglichkeit begünstigt den Knorpelabbau an den Gelenkflächen.
Muskelabbau und Muskelverkürzungen
Schmerzen und reflektorische Verspannung verschlechtern den Zustand der gelenkführenden Muskulatur stetig. Die geschwächte, verkürze und häufig auch verhärtete Muskulatur kann das Kniegelenk nicht mehr effizient führen: Auch hier wirkt das Symptom auf die Krankheits zurück und verstärkt die Arthrose im Kniegelenk. Muskelkräftigende und dehnende Übungen helfen beim Aufbau einer stabilen Kniemuskulatur.
Vorbeugen und Sport bei Kniearthrose
Der Knorpel im Knie eines Erwachsenen erneuert sich kaum, daher kann eine Kniearthrose in der Regel nur verlangsamt, aber nicht geheilt werden. Patienten mit Gonarthrose können durch konsequentes Anpassen ihres Lebensstils und ihrer Gewohnheiten viel dafür tun, dass sie weniger Schmerzen und mehr Lebensqualität erleben:
- Umstellung zu einer arthrosefreundlichen Ernährung
- Normalgewicht
- Anpassen der sportlichen Aktivitäten an die Kniearthrose
Sportarten mit plötzlichen Stopps und Richtungswechseln wirken sich sehr ungünstig auf eine bestehende Gonarthrose aus. Dazu zählen u. a. viele Ball- und Wurfsportarten sowie Alpin Skifahren.
Sportarten mit geringer Gewichtsbelastung und sanften Bewegungen wie Fahrradfahren, Wandern und Kraulschwimmen sind optimal für einen gesunden Knorpelstoffwechsel und besitzen auch einen positiven Effekt auf die Psyche der Patienten. Zusätzlich hilft regelmäßige Aktivität dabei, das Normalgewicht zu halten.
Externer Inhalt von youtube.com
Wie können Sie Kniearthrose vorbeugen?
Wenn bei Ihnen Arthrose im Frühstadium festgestellt wurde (Grad 2 oder Grad 3), lohnt sich vorbeugendes Verhalten ganz besonders. Auf diese Weise verlangsamen Sie das Fortschreiten der Schäden an Ihrem Gelenkknorpel und reduzieren den Gelenkverschleiß. Vorbeugen ist die beste Therapie der Gonarthrose. Es hilft bereits, sich einfache Bewegungsprinzipien für kniefreundliches Verhalten klar zu machen und im Alltag anzuwenden:
Externer Inhalt von youtube.com
7 Tipps für Ihren Alltag mit Kniearthrose:
- Vermeiden Sie Bergablaufen! Während Bergablaufen häufig Knieschmerzen auslöst, kräftigt Bergaufgehen die Muskeln und bringt weniger Last auf Ihr Knie.
- Wenn Sie Treppen abwärts gehen, dann mit dem erkrankten Knie voraus.
- Beim Treppensteigen gehen Sie mit dem gesunden Knie voraus. Das erkrankte Bein folgt.
- Tragen Sie Schuheinlagen! Schuhinnenrand- oder außenranderhöhung bringen Ihre gesunden Kniebereiche in die Belastungszone. Die Einlagen können Sie sich von Ihrem Orthopäden verordnen lassen.
- Vermeiden Sie langes Sitzen ohne Positionswechsel! Strecken Sie Ihre Beine möglichst immer aus und stehen Sie häufig auf.
- Vermeiden Sie Last auf dem gebeugten Knie! Arbeiten Sie nicht in der Hocke. Sie bringen dabei viel Last auf Ihr Knie. Besser: ein Knie gut gepolstert auf dem Boden, das andere in 90°-Position aufgestellt (90°-Regel).
- Radfahren in Rückenlage schmiert Ihre Gelenke, ohne sie zu belasten. Mit dieser Übung fördern Sie Knorpelernährung und venösen Abfluss.
Konservative Behandlung der Kniearthrose
Externer Inhalt von youtube.com
Konservative Maßnahmen:
Eine frühzeitige Behandlung der Arthrose im Knie kann die schützende Knorpelschicht bei vielen Patienten vor zu schneller oder vorzeitiger Abnutzung bewahren. Bei den konservativen Behandlungsmethoden setzen die Kniespezialisten alle nichtoperativen Möglichkeiten ein. Häufig lassen sich die Behandlungen auch kombinieren. Sie zielen darauf ab, Schmerzen zu lindern, Entzündungen zu stoppen, Mobilität und Beweglichkeit zu erhalten sowie die Lebensqualität der Patienten nachhaltig zu verbessern.
Eine konservative Behandlung der Gonarthrose verbessert das Befinden der Patienten und ihre Beweglichkeit. Die konservativen Therapieoptionen bilden die Basis einer umfassenden Arthrosebehandlung, die sich aus vielen Einzelkomponenten zusammensetzt. Der behandelnde Orthopäde stimmt den Therapieplan auf die individuellen Bedürfnisse und Ansprüche des Patienten ab.
Pyramidenschema der Therapie bei Kniearthrose
Die allgemeingültigen Abläufe einer Arthrosebehandlung lassen sich in Form einer Pyramide veranschaulichen, die ein Patient von der Basis her beginnt und die umso seltener zum Einsatz kommen, je weiter oben eine Therapie in der Pyramide steht.

Ernährungsumstellung, sportliche Aktivität und ein abgestimmter Diätplan sind die Grundbausteine einer erfolgreichen Arthrosetherapie. Ein geringeres Gewicht entlastet die Gelenke, verbessert den Stoffwechsel und senkt die Wahrscheinlichkeit für einen entzündlichen Abbau des Gelenkknorpels.
Eine regelmäßige und individuell abgestimmte Physiotherapie kräftigt Muskeln und Sehnen und sorgt für gesunde Bewegungsabläufe. Trainierte Bänder und Muskeln stabilisieren und unterstützen das Kniegelenk in seiner Funktion.
Eine medikamentöse Therapie aus der zweiten Stufe kommt in der Gelenk-Klinik zum Einsatz, wenn Schmerzen und Beschwerden den Patienten in seinem Alltag stark einschränken. Die Kniespezialisten geben einer kausalen Therapie den Vorzug vor einer symptomorientierten Behandlung mit Schmerzmitteln. Eine langfristig effektive Knorpeltherapie sowie die Beseitigung konkreter mechanischer Ursachen der Kniearthrose haben Vorrang vor einer langfristigen medikamentösen Behandlung mit ihren unerwünschten Nebenwirkungen.
Gelenkerhaltende operative Eingriffe sind bei Arthrose im Knie dann eine geeignete Behandlungsmethode, wenn sie den Verschleißprozess direkt verlangsamen oder vollständig stoppen können. Dabei werden mechanische Probleme des Kniegelenks wie zum Beispiel ein Meniskusriss beseitigt. Eine Überbeweglichkeit im Kniegelenk aufgrund gerissener Bänder kann der Orthopäde durch eine Kreuzbandnaht oder Kreuzbandtransplantation korrigieren. Durch eine operative Knochenumstellung am Schienbein (Osteotomie) aufgrund einer Beinfehlstellung verteilt sich die Gewichtsbelastung im Gelenk besser.
Anpassung der Lebensweise
Im Zuge der Erhebung der Krankengeschichte (Anamnese) führt der behandelnde Orthopäde ein ausführliches Gespräch mit dem Patienten, bei dem folgende Schwerpunkte für eine Arthrosebehandlung besonders wichtig sind:
- Wie sieht die allgemeine Lebenssituation des Patienten aus?
- In welchem Umfang sind Bewegung und sportliche Aktivitäten in den Alltag integriert?
- Welchen beruflichen oder sportlichen Belastungen ist der Patient ausgesetzt?
Gemeinsam entwickeln Arzt und Patient Möglichkeiten, den beruflichen und privaten Alltag aktiver und arthrosegerechter zu gestalten. Verschiedene pflanzliche Wirkstoffe zur Behandlung der Arthrose können in dieser Phase ebenfalls unterstützen.
Anpassung der Ernährung: Gewichtskontrolle und arthrosegerechte Nährstoffe

Vorrangig geht es dem Orthopäden um die Entlastung des von Arthrose betroffenen Gelenkes. Das lässt sich im Alltag am ehesten mit einer Gewichtsreduzierung erreichen. Hier entwirft der Arzt einen persönlichen Ernährungsplan. Die Fachärzte der Gelenk-Klinik haben besonders gute Erfahrungen mit einer kohlenhydratreduzierten, proteinreichen Diät gemacht.
Neben der Gewichtskontrolle ist auch die Zusammensetzung der Ernährung von großer Bedeutung für die Entwicklung einer Gonarthrose. Es gibt entzündungsfördernde, knorpelschädigende Genussmittel wie Alkohol und Nikotin, von deren Konsum wir dringend abraten.
Auch andere Nahrungsmittel fördern Entzündungen im Kniegelenk. Vor allem die in Rind- und Schweinefleisch enthaltene Arachidonsäure verstärkt das Entzündungsgeschehen im Körper. Zudem gelten Kohlenhydrate mit geringem Nährstoffanteil wie Zucker als gelenkschädliche Entzündungstreiber.
Demgegenüber haben Lebensmittel mit einem hohen Anteil ungesättigter Fettsäuren wie Meeresfisch und einige Pflanzenöle einen entzündungshemmenden Effekt. Das macht sich nicht nur im Herz-Kreislauf-Bereich, sondern auch bei der Gelenkgesundheit und der Vorbeugung von Kniearthrose positiv bemerkbar. Zusätzlich enthalten einige pflanzliche Nahrungsmittel wie Lauchgemüse knorpelschützende Inhaltsstoffe.
Physiotherapie: Mobilisierung und Kräftigung der Muskulatur
Physiotherapeutische Übungen helfen dabei, bei Kniearthrose das Kniegelenk muskulär zu kräftigen. Knieübungen stärken die Muskeln, entlasten das Kniegelenk und verlangsamen Kniearthrose. Durch Bewegungsschulung können Betroffene die natürliche Funktion der Bänder wiederherstellen.

Physiotherapie dehnt und kräftigt Muskeln und Bänder rund ums Knie. Die verbesserte Koordination des Bewegungsablaufs stabilisiert das Knie und sorgt für eine natürliche Verteilung der Knorpelbelastung, die der Kniearthrose entgegenwirkt.
Die Physiotherapeuten der Gelenk-Reha haben für Sie hier Knie-Übungen gegen Kniearthrose zusammengestellt, mit denen Sie zu Hause Ihr Knie kräftigen und Ihre Koordination verbessern können.
Behandlung schmerzender Muskulatur
Verschiedene Behandlungsansätze wirken den reaktiven Muskelschmerzen bei Kniegelenksarthrose entgegen und lockern die beteiligte Muskulatur:
- Bewegungsübungen nach Anleitung durch den Physiotherapeuten,
- Dehnung der Muskelgruppen,
- Wärmeanwendungen sowie
- Behandlungen mit Bädern (Balneotherapie).
Viele der Anwendungen können Patienten selbständig zu Hause durchführen: Basenbäder und lokale Basenwickel wirken krampflösend und verbessern den Stoffwechsel der Muskulatur rund um das Kniegelenk. Eine gelockerte Muskulatur und geringe Schmerzen ermöglichen den Patienten, von Übungen bei Kniearthrose zu profitieren.
Welche Medikamente helfen bei Kniearthrose?
Die medikamentöse Therapie von Arthroseschmerzen im Knie verfolgt zwei Ziele: Die Schmerztherapie soll die Knieschmerzen lindern und die knorpelschädigende Entzündung bei entzündlich aktivierter Kniearthrose rasch verringern.
Die Schmerzbehandlung soll den Patienten ermöglichen, im Alltag wieder ausreichend belastbar und mobil zu sein. Die medikamentöse Behandlung verlängert zusätzlich die maximale Gehstrecke.
Häufig setzt der Arzt Schmerzmedikamente aus der Gruppe der nichtsteroidalen Antirheumatika ein, die zusätzlich entzündungshemmend wirken. Die entzündlichen Prozesse im Knie verkürzen sich und die Knorpelschädigungen nehmen ab. Knieschwellung und Überwärmung gehen ebenfalls zurück.
Mithilfe pflanzlicher Wirkstoffe senken viele Patienten ihren Verbrauch an Schmerzmitteln gegen Arthroseschmerzen deutlich. Damit reduzieren sie die Nebenwirkungen synthetischer Schmerzmittel und gestalten ihre Arthrosetherapie verträglicher.
Physikalische Therapie: Kälte, Wärme und Elektrotherapie
Kälteanwendungen besitzen einen positiven Effekt auf Entzündungen im Kniegelenk. Kälte reduziert örtlich den Stoffwechsel und damit gehen Schwellung und Überwärmung im Knie zurück.
Liegt keine Entzündung vor, sondern eine schmerzhafte Verspannung durch verkürzte Muskulatur am Oberschenkel, helfen Wärmeanwendungen. Tiefenwärme regt den Stoffwechsel an und entspannt die Muskulatur. Neben Packungen aus Mineralschlamm (Fango) können die Patienten mit warmen Basenwickeln oder Basenbädern den Prozess unterstützen.
Ein wichtiges Element der Elektrotherapie ist das TENS-Verfahren (Transkutane Elektrische Nervenstimulation), das niedrig dosierten elektrischen Strom zur Schmerzbehandlung einsetzt.
Akupunktur bei Gonarthrose
In einer großen deutschen Akupunkturstudie mit 70.000 Teilnehmern (GERAC-Studie) konnte der Nutzen der Akupunktur für Patienten mit Gonarthrose nachgewiesen werden. Experten nehmen an, dass die Akupunktur nicht direkt auf den Gelenkknorpel wirkt. Stattdessen mildert sie die Begleitschmerzen in Nerven- und Bindegewebe in der Umgebung des Kniegelenks. Dies ist deswegen von Bedeutung, weil bei vielen Patienten die ausstrahlenden Schmerzen in der Muskulatur deutlich stärker ausfallen als die Arthroseschmerzen im Bereich des Gelenks und der Gelenkkapsel selbst.
Die Ergebnisse der GERAC-Studie haben dazu geführt, dass Akupunktur bei Kniearthrose von den gesetzlichen Krankenkassen erstattet wird. Daher bietet die Gelenk-Klinik seit vielen Jahren Akupunktur bei Gonarthrose an.
Die Ärzte der Gelenk-Klinik sind in der Anwendung der Akupunktur ausgebildet und erfahren. Die abschwellende und entzündungshemmende Wirkung von Akupunktur bei Kniearthrose ist laut Studie mit der Wirkung oraler entzündungshemmender Schmerzmittel vergleichbar.
Schuheinlagen und Schienen
Häufig sind Fehlstellungen im Knie (X-Bein, O-Bein) oder Sprunggelenk (Knick-Senkfuß) ursächlich für die Kniearthrose. In diesen Fällen können folgende nichtoperativen Maßnahmen die Ausrichtung des Gelenks verbessern:
- Außen- oder Innenranderhöhung im Schuh: Randerhöhungen im Schuh können leichte Fehlstellungen im Knie ausgleichen. So lässt sich die Belastung auf den weniger geschädigten Teil des Knies verlagern. Studien konnten bisher jedoch keine signifikante Verbesserung der Schmerzen bei Schuhzurichtungen zeigen. Wahrscheinlich ist der Effekt im Kniegelenk zu klein.
- Schienen direkt am Knie: Varus- oder Valgusorthesen können die bei einer Fehlstellung ungleiche Gewichtsverteilung im Kniegelenk verändern und eine X- oder O-Bein-Fehlstellung ausgleichen. Der biomechanische Effekt auf die Bewegungsänderung ist deutlich. Eine Orthese ist wirksamer als Einlagen, da sie direkt auf das betroffene Gelenk einwirkt. Die Akzeptanz dieser etwas klobigen Gestelle am Bein fällt bei den Patienten erfahrungsgemäß nicht gut aus, da sie unter der Kleidung deutlich auftragen.
Eigenblutbehandlung
Aus dem Blut des Patienten gewonnenes thrombozytenreiches Plasma (autologes plättchenreiches Plasma, A-PRP) hat sich in den letzten Jahren zunehmend in der Behandlung der Kniearthrose bewährt.
Für die Behandlung entnimmt der Arzt dem Patienten Blut, das zentrifugiert wird, um die Blutzellen vom Blutplasma zu trennen. Dann wird das Plasma mit körpereigenen Blutplättchen (Thrombozyten) angereichert. Die Blutplättchen verbessern die Wundheilung und unterstützen den Knorpel bei seiner Regeneration.
Grenzen der konservativen Therapie
Der orthopädische Spezialist muss den Verlauf der Beinfehlstellung im Kniegelenk genau beobachten. Wenn sie zunimmt und die Achsabweichung im Bein größer wird oder sich die Bandstabilität im Knie trotz konservativer Therapie verschlechtert, kommen die nichtoperativen Maßnahmen an ihre Grenzen. Der Orthopäde muss einen operativen Eingriff in Betracht ziehen.
Operation bei Kniearthrose
Mögliche operative Eingriffe
Wenn die konservativen Maßnahmen an ihre Grenzen stoßen, kann eine Operation die Kniearthrose stoppen oder verlangsamen. Im Anfangsstadium ist es oft möglich, strukturelle Schäden im Knie mithilfe einer Gelenkspiegelung (Arthroskopie) zu beseitigen.
Bei einer X- oder O-Bein-Fehlstellung verschleißt entweder der innere oder der äußere Anteil des Knies vorzeitig. Eine Begradigung der Beinachse (Umstellungsosteotomie) stellt die normalen Belastungslinien im Kniegelenk wieder her.
Ist der Knorpeldefekt lokal begrenzt und nicht großflächig, ist eine autologe (körpereigene) Knorpeltransplantation vielversprechend. Dabei wird dem Patienten intakter Gelenkknorpel entnommen und im Labor vermehrt. In einem zweiten Eingriff bringt der Arzt die gezüchteten Knorpelzellen wieder ins Kniegelenk ein.
Das Minced-Cartilage-Verfahren ist ein einzeitiger Eingriff, bei dem kleine Knorpelchips des Patienten gewonnen und als Gemisch mit plättchenreichem Plasma (PRP) und Thrombin aus dem Blut des Patienten in den Knorpeldefekt eingebracht werden.
Eine weitere Möglichkeit bei sehr begrenzten Knorpelschäden bietet die Mikrofrakturierung. Dabei verletzt der Arzt den unter dem Knorpel liegenden Knochen. Dadurch strömt Blut aus dem Inneren des Knochens in die Knorpelfläche ein. Stammzellen aus dem Blut differenzieren sich nun zu faserigem Ersatzknorpel.
Ist der Knorpelschaden bereits fortgeschritten, kommt eine Prothese in Frage. Betrifft der Knorpelschaden nur einen Bereich des Kniegelenks, ist eine Teilprothese (Repicci-Prothese) ausreichend. Sie erhält die Bandstrukturen und somit die natürliche Beweglichkeit des Kniegelenks. Eine Totalendoprothese (Knie-TEP) ist bei fortgeschrittener Kniearthrose eine Möglichkeit, das Knie wieder schmerzfrei und beweglich zu machen.
Externer Inhalt von youtube.com
Patientenfragen zu Kniearthrose an Prof. Sven Ostermeier aus der Gelenk-Klinik
Wie zeigt sich Arthrose im Knie?
Der Patient stellt sich meist aufgrund von Schmerzen und Bewegungseinschränkungen im Kniegelenk beim Facharzt vor. Nach einem ausführlichen Gespräch mit dem Patienten und der körperlichen Untersuchung fertigt der Arzt Röntgenaufnahmen des betroffenen Knies an. Auf dem Röntgenbild sieht man bei einer Arthrose im Kniegelenk deutlich einen verschmälerten Gelenkspalt. Der betroffene Bereich erscheint heller, da sich hier Kalksalze ablagern. Wie stark die Beschwerden des Patienten sind, kann der Arzt häufig nicht alleine aus dem Röntgenbild heraus interpretieren. Eine genaue ärztliche Untersuchung umfasst deshalb auch immer entsprechende Funktionstests an Muskulatur, Bandstrukturen und Meniskus.
Was hilft wirklich bei Kniearthrose?
Generell gilt bei bestehender Kniearthrose das Prinzip: Entlastung und Bewegung. Regelmäßige körperliche Bewegung ohne hohe Stoßbelastung für das Knie unterstützt sowohl den intakten als auch den geschädigten Knorpel im Gelenk. Bewegung fördert den Stoffwechsel im Kniegelenk und hilft, die Knorpelzellen ausreichend mit Nährstoffen zu versorgen.
Da Übergewicht ein Risikofaktor für die Entstehung und das Fortschreiten einer Arthrose darstellt, können eine gezielte Gewichtsreduktion sowie eine Ernährungsumstellung sinnvoll sein.
In enger Absprache mit dem behandelnden Arzt können Schmerzmedikamente, sogenannte nichtsteroidale Antirheumatika, hilfreich sein. Diese Medikamente sind schmerzlindernd und entzündungshemmend. Eine Akupunkturbehandlung kann ebenfalls einen schmerzlindernden Effekt bei Kniearthrose haben. Leichte Beinfehlstellungen wie X- oder O-Beine, die zur vorzeitigen Kniearthrose führen, lassen sich teilweise durch orthopädische Schuhzurichtungen mit Innen- oder Außenranderhöhung ausgleichen.
Physikalische Therapie wie Kälte, Wärme und Elektrotherapie (TENS-Verfahren) wird ebenfalls zur Schmerztherapie und Entzündungshemmung eingesetzt. Um die Selbstheilungskräfte im Knie und die Knorpelregeneration zu aktivieren, stehen dem Arzt weitere konservative Verfahren wie ZRT®-Matrix-Therapie und die Behandlung mit Eigenblut (autologes plättchenreiches Plasma) zur Verfügung.
Erst wenn die konservativen Behandlungsmöglichkeiten ausgeschöpft sind, der Patient noch immer unter starken Schmerzen leidet und Bewegungseinschränkungen im Knie sowie Beinfehlstellungen weiter fortschreiten, zieht der Orthopäde einen operativen Eingriff in Betracht. Dazu zählen die Kniearthroskopie, die Knorpelzelltransplantation, die Beinachsenkorrektur sowie der Einsatz einer Knieteilprothese oder Knievollprothese.
Kann Kniearthrose durch zu viel Sport entstehen?
An dieser Stelle ist es wichtig festzustellen, dass es gegen Kniearthrose nicht hilft, Bewegungen zu vermeiden oder inaktiv zu sein. Ganz im Gegenteil – den Gelenken schadet es sogar, zu wenig bewegt zu werden.
Man kann einem vorzeitigen Gelenkverschleiß vorbeugen, indem man Sportarten mit hoher Stoßbelastung und schnellen, abrupten Richtungswechseln wie beispielsweise Tennis oder Fußball vermeidet. Aktivitäten mit gleichmäßigen Bewegungsabläufen wie Schwimmen, Nordic Walking oder Radfahren eignen sich wegen der geringgradigen Gelenkbelastungen optimal zur Arthroseprophylaxe.
Hilft Akupunktur bei Kniearthrose?
Die Akupunktur ist eine anerkannte, unterstützende Maßnahme zur Linderung von Schmerzen. Sie wird auch bei Beschwerden durch Kniearthrose zur Reduktion der Schmerzen angewandt. Die Akupunktur beeinflusst nicht die Regeneration von geschädigten Knorpelbereichen.
Eine professionell ausgeführte Akupunktur stellt eine gute Ergänzung der konservativen (nicht operativen) Therapiemöglichkeiten der Kniearthrose dar und kann den Patienten dabei unterstützen, die notwendige Menge an Schmerzmedikamenten zu verringern.
Was ist der Unterschied zwischen Arthrose und Arthritis?
Bei der Arthrose handelt es sich um einen abnutzungsbedingten Verschleiß von Gelenkknorpel, der im höheren Lebensalter bis zu einem gewissen Grad normal ist.
Arthritis bezeichnet eine entzündliche Gelenkerkrankung. Der behandelnde Arzt klärt diagnostisch ab, ob eine bakterielle, unter Umständen lebensbedrohliche Infektion des Gelenkes vorliegt oder eine nicht-bakterielle, entzündliche Erkrankung wie beispielsweise rheumatoide Arthritis (Rheuma) oder die Arthritis bei Stoffwechselerkrankungen.
Wie diagnostiziert der Orthopäde eine Kniearthrose?
Eine sichere Diagnose wird durch den orthopädischen Facharzt gestellt. Bei der klinischen Untersuchung des betroffenen Knies erfasst der Facharzt die Schmerzpunkte sowie Beinfehlstellungen, Bandinstabilitäten und Bewegungseinschränkungen des Gelenkes. Zur bildgebenden Diagnostik fertigt er Röntgenaufnahmen des Knies an. Ergänzend folgt eine MRT-Untersuchung, mit deren Hilfe der Orthopäde Veränderungen an verschiedenen Geweben wie Bändern, Muskeln und Sehnen gut erkennt. Anhand all dieser Untersuchungsergebnisse stellt der Facharzt die Diagnose einer Kniegelenksarthrose.
Wann muss Kniearthrose operiert werden?
Wenn sich unter der konservativen Therapie die Beinfehlstellung vergrößert und sich die Bandinstabilität im Kniegelenk verschlechtert, muss der Facharzt eine Operation in Betracht ziehen.
Bei der Behandlung der Kniearthrose sollte deshalb eine genaue ärztliche Verlaufskontrolle erfolgen. So kann der Zeitpunkt erfasst werden, wann die konservative Therapie an ihre Grenzen stößt. Die Operation kann den weiteren Verlauf der Kniearthrose verlangsamen oder im optimalen Fall stoppen. Welches operative Verfahren für den Patienten am besten ist, entscheidet der Arzt anhand der vorliegenden Befunde.
Um Strukturschäden im Kniegelenk zu beseitigen, ist häufig eine Kniearthroskopie (sogenannte “Kniespiegelung”) ausreichend. Wird die Kniearthrose durch eine Beinfehlstellung (X- oder O-Bein) verursacht, kann die Begradigung der Beinachse (Umstellungsosteotomie) die normalen Belastungslinien im Kniegelenk wiederherstellen. Wenn der vorliegende Knorpelschaden auf eine Stelle begrenzt ist, kann eine körpereigene (autologe) Knorpelzelltransplantation helfen, diesen Defekt zu beseitigen. Dabei wird dem Patienten intakter Gelenkknorpel entnommen und im Labor vermehrt. In einem weiteren Eingriff injiziert der Arzt diesen gezüchteten Gelenkknorpel wieder ins Kniegelenk. Liegt ein schwerwiegender Knorpelschaden vor, bei dem der Knochen im Kniegelenk nicht mehr von Knorpel bedeckt ist, reichen diese operativen Maßnahmen nicht aus. Der Knochen reibt bei jeder Bewegung direkt aneinander und der Patient leidet unter starken Schmerzen. In diesem Fall wird der Orthopäde den Einsatz einer Knieteilprothese oder Knievollprothese empfehlen.
Welche Ernährung eignet sich zur Vorbeugung von Kniearthrose?
Eine Umstellung der bisherigen Ernährungsgewohnheiten kann eine Arthrose zwar nicht heilen, aber sie beeinflusst nachweislich günstig den Verlauf der Erkrankung. Einen positiven Einfluss auf den Stoffwechsel im Kniegelenk besitzen folgende Nahrungsmittel:
- kalziumreiche Nahrungsmittel wie fettarme Milch- und Quarkprodukte
- Meeresfisch
- Olivenöl und Öle mit vielen ungesättigten Fettsäuren
- Naturreis und andere ballaststoffreiche Nahrungsmittel
- Lauch, Zwiebeln und Knoblauch durch ihre knorpelschützende Wirkung
In einer Ernährungsberatung finden die Experten heraus, wie und in welchem Ausmaß ein Patient seine Ernährung umstellen sollte. Auch über eine Gewichtsreduktion spricht der Patient am besten mit seinem behandelnden Arzt.
Welche Knieübungen helfen, um einer Kniearthrose vorzubeugen?
Übungen, bei denen die Muskulatur im Kniebereich gedehnt und gekräftigt wird und die das Kniegelenk schonend mobilisieren, eignen sich zur Vorbeugung von Knieschmerzen und Kniearthrose. Der Kniespezialist der Gelenk-Klinik Prof. Sven Ostermeier stellt hier die wichtigsten Übungen gegen Kniearthrose vor.
Kann man im Blut feststellen, ob man Kniearthrose hat?
Nein. Alle Bluttest sind negativ und es liegen bei einer Kniearthrose auch keine erhöhten Entzündungswerte im Blut vor. Es gibt keinen positiven Arthrosenachweis im Blut der Patienten. Dennoch gehört die Blutuntersuchung durch den Facharzt immer mit zur Basisdiagnostik. Auf diese Weise kann er andere Erkrankungen als Auslöser für die Knieschmerzen ausschließen.
Literaturangaben zu Kniearthrose
- Abadie, E., Ethgen, D., Avouac, B., Bouvenot, G., Branco, J., Bruyere, O. et al. (2004). Recommendations for the use of new methods to assess the efficacy of disease-modifying drugs in the treatment of osteoarthritis. Osteoarthritis and cartilage / OARS, Osteoarthritis Research Society, 12(4), 263–268.
- Becher, C., Huber, R., Thermann, H., Ezechieli, L., Ostermeier, S., Wellmann, M. et al. (2011). Effects of a surface matching articular resurfacing device on tibiofemoral contact pressure: results from continuous dynamic flexion-extension cycles. Archives of orthopaedic and trauma surgery, 131(3), 413–419.
- Bretin, P., O'Loughlin, P. F., Suero, E. M., Kendoff, D., Ostermeier, S., Hüfner, T. et al. (2010). Influence of femoral malrotation on knee joint alignment and intra-articular contract pressures. Archives of orthopaedic and trauma surgery.
- Chakravarty, E. F., Hubert, H. B., Lingala, V. B., Zatarain, E. & Fries, J. F. (2008). Long distance running and knee osteoarthritis. A prospective study. American journal of preventive medicine, 35(2), 133–138.
- Ding, C., Cicuttini, F., Scott, F., Cooley, H., Boon, C. & Jones, G. (2006). Natural history of knee cartilage defects and factors affecting change. Archives of internal medicine, 166, 651–8.
- Felson, D. T. (2010). Arthroscopy as a treatment for knee osteoarthritis. Best practice & research. Clinical rheumatology, 24, 47–50.
- Foroughi, N., Smith, R. & Vanwanseele, B. (2009). The association of external knee adduction moment with biomechanical variables in osteoarthritis: A systematic review. The Knee.
- Hinkelmann, U. (2007). Die Endoprothese: Das künstliche Hüft- und Kniegelenk Schritt für Schritt erklärt. München: Elsevier.
- Kenawey, M., Liodakis, E., Krettek, C., Ostermeier, S., Horn, T. & Hankemeier, S. (2011). Effect of the lower limb rotational alignment on tibiofemoral contact pressure. Knee surgery, sports traumatology, arthroscopy.
- Kennon, R. E. (2008). Hip And Knee Surgery: A Patient Guide To Hip Replacement, Hip Resurfacing, Knee Replacement, And Knee Arthroscopy. Lulu.com.
- Kloos, F., Becher, C., Fleischer, B., Ettinger, M., Bode, L., Schmal, H., ... & Bode, G. (2022). Discharging the medial knee compartment: comparison of pressure distribution and kinematic shifting after implantation of an extra-capsular absorber system (ATLAS) and open-wedge high tibial osteotomy—a biomechanical in vitro analysis. Archives of Orthopaedic and Trauma Surgery, 1-13.
- Klussmann, A., Gebhardt, H., Nübling, M., Liebers, F., Perea, E. Q., Cordier, W. et al. (2010). Individual and occupational risk factors for knee osteoarthritis: results of a case-control study in Germany. Arthritis research & therapy, 12(3).
- Kwon, Y. D., Pittler, M. H. & Ernst, E. (2006). Acupuncture for peripheral joint osteoarthritis: a systematic review and meta-analysis. Rheumatology (Oxford, England), 45(11), 1331–1337.
- Mills, K., Hübscher, M., O’Leary, H., & Moloney, N. (2018). Aktuelles zum Gelenkschmerz bei Kniearthrose. Schmerz, 1–7.
- Niethard, F. U., Pfeil, J. & Biberthaler, P. (2009). Orthopädie und Unfallchirurgie. Stuttgart: Thieme.
- Ostermeier, S. (2008). Retropatellare Druck-, Bewegungs- und Bandspannungsanalyse nach Rekonstruktion des medialen patellofemoralen Ligaments dynamische In-vitro-Studie unterschiedlicher Operationsverfahren im Vergleich zur Operation nach Insall. Phd Thesis.
- Ostermeier, S. (2011). [Knee arthritis – gait analysis for hyaluronic acid treatment]. Zeitschrift für Orthopädie und Unfallchirurgie, 149(1).
- Ostermeier, S. & Becher, C. M. (2011). Vorderes Knieschmerzsyndrom patellofemoraler Schmerz – patellare Instabilität; mit 8 Tabellen. Dt. Ärzte-Verl.
- Ruchalla, E. (2017). Kniearthrose: Muskelkraft und Vibrationssinn mit Gelenkinstabilität verknüpft. Aktuelle Rheumatologie, 42(03), 192–193.
- Ruchalla, E. (2018). Knie-Arthrose: Lokale Adipokine sind mit verschiedenen Komponenten assoziiert. Aktuelle Rheumatologie, 43(03), 190–190.
- Waller, C., Hayes, D., Block, J. & London, N. (2011). Unload it: the key to the treatment of knee osteoarthritis. Knee Surgery, Sports Traumatology, Arthroscopy, 1–7.
- Zeni, J. A. & Higginson, J. S. (2010). Knee osteoarthritis affects the distribution of joint moments during gait. The Knee.
- Rümelin, A. (2005). Kursbuch Künstliche Gelenke: Wieder schmerzfrei leben – Die neuesten Methoden, Operationen, Nachsorge.
- Rümelin, A. (2003). Kursbuch Arthrose: Gelenkerkrankungen effektiv vorbeugen und typgerecht behandeln. Südwest Verlag.
- Vogelmann, T., Roessler, P. P., Buhs, M., Ostermeier, S., Gille, J., Hoburg, A., ... & Zinser, W. (2022). Long-term cost-effectiveness of matrix-associated chondrocyte implantation in the German health care system: a discrete event simulation. Archives of Orthopaedic and Trauma Surgery, 1-11.
Thema: Arthrose und Arthrose im Knie
- Arthrose: Gelenkerhaltende und knochenerhaltende Therapie
- Kniearthrose (Gonarthrose)
- Knorpeltransplantation (ACT) bei Arthrose
- Symptome der Arthrose im Kniegelenk
- Sport bei Kniearthrose
Therapie der Kniearthrose
- Kniearthrose: Medikamente, Nahrungsergänzung, Injektionen
- Übungen gegen Kniearthrose
- Operation bei Kniearthrose: Knorpeltransplantation, Gelenkerhalt und Knieprothese
- Retropatellararthrose (Kniescheibenarthrose)
- Knieendoprothese (Knie-TEP)
- Kniearthroskopie
- Laterale Knieteilprothese
- Knieteilprothesen