- Was ist ein Knorpelschaden im oberen Sprunggelenk?
- Ursachen für einen Knorpelschaden im oberen Sprunggelenk
- Diagnose des Knorpelschadens im oberen Sprunggelenk
- Konservative Therapie von Knorpelschäden im oberen Sprunggelenk
- Fußübungen für eine bessere Belastbarkeit, Beweglichkeit und zur Stabilisierung
- Operative Therapieansätze für eine bessere Knorpelstruktur

Im Rahmen einer Verletzung, einer entzündlichen Erkrankung oder Stoffwechselstörung kann es zu einem Riss in der Knorpelschicht des Sprungbeins (Talus) kommen. Diese Veränderung geht häufig mit starken Schmerzen und Beschwerden beim Laufen einher. Durch den Knorpelschaden im Sprunggelenk kann die Gelenkschmiere in Kontakt zum Knochen treten und ihn zusätzlich schädigen. Oftmals bildet sich ein Knochenödem mit einer nachfolgenden Veränderung der Durchblutung. Diese krankhaften Veränderungen werden als Osteochondrose bezeichnet und können bis zum Knochentod und zum Abbau des Knochens führen. Zusätzlich bilden sich häufig Knochenzysten.
Externer Inhalt von youtube.com
Was ist ein Knorpelschaden im oberen Sprunggelenk?

Die Zerstörung von Knorpel im oberen Sprunggelenk entsteht – anders als am Hüftgelenk oder Kniegelenk – häufig im Rahmen einer Verletzung. Den Knorpelschaden selbst bezeichnet man nicht als Arthrose, aber infolge des Knorpeldefektes kann sich eine Arthrose des Sprunggelenks ausbilden. Die Schädigung des Knorpels bedarf einer ursächlichen Therapie. Zum Beispiel kann sich durch Fehlbelastungen nach einem fehlverheilten Sprunggelenksbruch oder Überbeweglichkeiten (Instabilitäten) der Knorpelzustand kontinuierlich verschlechtern. Eine erfolgreiche Therapiestrategie lässt sich nur entwickeln, wenn diese Ursachen frühzeitig erkannt werden.
Welche Eigenschaften hat der Knorpel im Sprunggelenk?
Man unterscheidet verschiedene Arten von Knorpelgewebe. Der Gelenkknorpel des Sprunggelenkes besteht aus sogenanntem hyalinen Knorpel. Er überzieht alle beweglichen Knochenanteile des Sprunggelenkes, dient als Gleitschicht und als wichtigster Stoßdämpfer. Das Knorpelgewebe ist aus Knorpelzellen (Chondrozyten) und Zwischenzellsubstanz (Matrix) aufgebaut. Seine wichtigste Funktion ist die Druckverteilung. Diese Funktion erfüllt der Knorpel durch Kollagenfasern und Proteoglykane in der Zwischenzellsubstanz.
Die Knorpelschicht auf dem Sprungbeinknochen (Talus) ist mit einer dichtenden und dämpfenden Gummischicht vergleichbar. Im oberen Sprunggelenk passen die Gelenkpartner sehr gut ineinander. Die Gelenkschmiere (Synovia) wird durch die gute Passform der beiden Gelenkpartner optimal im Gelenk verteilt und in den gesunden Knorpel eingepresst. Dies führt trotz der extrem hohen Belastung im gesunden Gelenk zu einer besonderen Resistenzfähigkeit des Knorpels. Obwohl die Knorpelschicht im Sprunggelenk sehr dünn ist, ist sie extrem stabil.
Für die Entstehung eines Knorpelschadens und die Therapieentscheidung ist es wichtig zu wissen, dass es im Knorpel weder Gefäße noch Nervenzellen gibt. Die Versorgung des Knorpels mit Nährstoffen erfolgt ausschließlich über Diffusion. Diffusion ist ein Nährstofftransport durch Konzentrationsunterschiede. Die Nährstoffe kommen bei einem gesunden Sprunggelenk in ausreichendem Maße aus der Gelenkschleimhaut (Synovialis). Der Gelenkknorpel wird außerdem durch den Wechsel zwischen Belastung und Entlastung des Sprunggelenkes ernährt. Er ist vergleichbar mit einem Schwamm, der nach dem Auswringen wieder Flüssigkeit aufsaugt.
Externe Fachartikel von Dr. Schneider
Ursachen für einen Knorpelschaden im oberen Sprunggelenk
- Unfall mit osteochondralem Bruch (Fraktur)
- Knochensporne an der vorderen Schienbeinkante
Eine Verletzung mit Umknicken des Sprunggelenks nach außen kann die Knorpelschicht schädigen. Bei dieser Sprunggelenksverletzung treten massive, quer verlaufende Scherkräfte am äußeren Knorpel des Sprungbeins (Talus) auf. Der Knorpel auf der Innenseite des Sprunggelenks wird maximal zusammengedrückt (komprimiert). Durch den Druck auf den Knorpel kann es an der Stelle zu Verletzungen des Knochens unterhalb des Knorpels kommen, was für die Patienten zu starken Sprunggelenkschmerzen führt. Die Beweglichkeit des Sprunggelenks ist eingeschränkt. Die Verletzung hat kleinste Knochenbrüche unterhalb des Knorpels zur Folge (subchondrale Mikrofrakturen). Diese Verletzungen können, wenn sich dadurch Instabilitäten im oberen oder unteren Sprunggelenk ergeben, zu einer osteochondralen Läsion führen. Hierbei heilt die Verletzung unter dem Knorpel nicht aus, sondern es bildet sich eine Narbe zwischen dem Knochen und dem beweglichen Knorpel-Knochenstück.
Der Auslösemechanismus dieses Schadens ist vergleichbar mit einem heruntergefallenen Apfel. Durch den Sturz bleibt die zähe Außenhaut des Apfels intakt, das darunterliegende stützende Apfelfleisch bricht ein. Je nach Energie des Aufpralls kann die Haut auch reißen.
Ein anderer Mechanismus, der für die Entstehung von Knorpelschäden am Sprungbein (Talus) verantwortlich ist, sind Knochenanbauten (Osteophyten) an der Schienbeinvorderkante (Anterior-Spur-Syndrom, Impingement des oberen Sprunggelenkes). Dieser häufig bei Fußballspielern und Extremsportlern auftretende Schaden entsteht, da der Knochensporn mit hoher Reibung am Knorpel schleift. Nicht unfallbedingte Ereignisse sind selten Auslöser für Knorpeldefekte.
Stadien des Knorpelschadens im Sprunggelenk
Knorpelschäden teilt der Arzt in vier Schweregrade entsprechend der Klassifikation nach Outerbridge ein.
- Grad 0: Der Knorpel ist glatt glänzend und bei der Beurteilung mit dem Tasthaken stabil (Normalbefund).
- Grad 1: Der Knorpel ist glatt, gibt bei Druck aber nach.
- Grad 2: Der Knorpel ist oberflächlich aufgefasert.
- Grad 3: Der Knorpel ist aufgerissen bis auf die darunterliegende Knochenlamelle.
- Grad 4: Der großflächige Knorpelverlust reicht bis auf den Knochen.
Spätfolge des Knorpelschadens: Sprunggelenksarthrose

Knorpelschäden im Sprunggelenk sind verantwortlich für die Entstehung einer Sprunggelenksarthrose. Die Ursachen und Mechanismen, die zur Arthrose im Sprunggelenk führen, sind sehr unterschiedlich. Ist eine konservative Therapie des Knorpelschadens nicht ausreichend, können moderne arthroskopische Knorpeltransplantationen oder Knorpel-Knochentransplantationen helfen, den Krankheitsverlauf zu verzögern.
Kann Knorpel sich regenerieren?
Der menschliche Organismus kann Knorpelgewebe nur begrenzt regenerieren. Dies ist nicht nur im Sprunggelenk so, sondern in allen Gelenkknorpeln des Körpers. Je nach Alter erneuern sich Knorpelzellen im Gewebe nur zu etwa 4 %. Das entspricht einem sehr geringen Anteil an teilungsfähigen Knorpelzellen im Sprunggelenk. Ein wichtiges Ziel jeder Therapie ist es, den Abbau von Knorpelzellen und damit die weitere Schädigung zu unterbinden. Auf diese Weise erholt sich der Knorpel langsam. Knorpelschäden im Sprunggelenk stellen daher ein schwerwiegendes therapeutisches Problem dar.
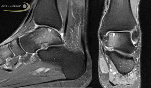
Diagnose des Knorpelschadens im Sprunggelenk
Externer Inhalt von youtube.com
Ob eine konservative Therapie ausreichend ist oder ob der Knorpelschaden operativ versorgt werden muss, hängt vom Alter, der Ursache des Knorpelschadens und ggf. von zuvor erfolgten Therapien ab.
Der Grad des Knorpelschadens lässt sich mit weiteren diagnostischen Maßnahmen feststellen. Moderne Methoden sichern die Diagnose, um zum einen den Verlauf bei einer nichtoperativen Behandlung kontrollieren zu können und zum anderen vor einer Operation das genaue Vorgehen festzulegen.
Dafür erfolgen zur Stellungskontrolle der einzelne Knochen des Sprunggelenks Röntgenaufnahmen unter Belastung. Gleichzeitig kann eine Knochenschichtung im Rahmen einer DVT (digitale Volumentomographie) erstellt werden. Auch die klinische Untersuchung zur Klärung der Bandstabilität des Sprunggelenkes ist unbedingt notwendig.

Die Kernspintomographie (MRT) ist wenig geeignet, um einen Knorpelschaden am Sprungbein direkt darzustellen. Dafür zeigt das MRT gegebenenfalls ein Knochenödem oder Knochenzysten als Zeichen der Knochenreaktion.

Arthrografie zur Diagnose eines Knochenschadens im Sprunggelenk

Stellt der Arzt eine Veränderung der Knochenstruktur fest, muss er immer entscheiden, ob diese Schädigung durch einen Knorpelschaden entstanden ist oder ob der Knochen ohne eine Schädigung des Knorpels erkrankt ist wie bei der Osteochondrosis dissecans.
Hier sind verschiedene Ansätze in der Diagnostik sinnvoll. Der direkte Nachweis einer Schädigung der abdichtenden und dämpfenden Knorpelschicht kann nur im Rahmen einer invasiven Arthrografie erfolgen.

Hierbei wird die Gelenkschmiere mit einem jodhaltigen Kontrastmittel versetzt. Um die Verteilung der Gelenkschmiere genau darzustellen, benötigt man eine Darstellung mit Röntgenstrahlen ähnlich einer Computertomographie oder einer digitalen Volumentomographie (DVT). Letztere kann unter Belastung durchgeführt werden, womit sich zeitgleich eine Stellungsbeurteilung durchführen lässt.
Konservative Therapie bei Knorpelschäden im oberen Sprunggelenk
Es gibt verschiedene Ansätze einer konservativen Behandlung von Knorpelschäden im oberen Sprunggelenk. Physiotherapie gehört zum Standardrepertoire der konservativen Therapie. Der Einsatz und die Auswahl einer passenden Therapie basiert auf empirischen Überlegungen und Erfahrungen.
Folgende Fragen muss der orthopädische Facharzt beantworten, um eine fundierte Therapieentscheidung gemeinsam mit dem Patienten treffen zu können:
- Ist das Sprunggelenk instabil?
- Besteht beim Patienten eine Fehlstellung?
- Liegt Arthrose vor?
- In welchem Ausmaß ist die Knorpelschicht verletzt?
- Ist der Knochen unter dem Knorpel verletzt?
Ziel der Behandlung ist es, Schmerzen, Reizzustände und Funktionseinschränkungen des Sprunggelenkes gezielt zu therapieren und die Beweglichkeit wiederherzustellen.
Konservative Behandlungsansätze
- angepasste Schmerztherapie mit nichtsteroidalen Antirheumatika (NSAR)
- Optimierung der Druckverhältnisse im Gelenk und Vermeidung von Belastungsspitzen
- Verbesserung der Diffusion
- Entstauung
Ist das Sprunggelenk nach einem Unfall geschwollen oder schwillt bei Belastung an, eignen sich folgende Maßnahmen, um das Gelenk bei der Regeneration zu unterstützen:
Bein hochlagern
Legen Sie Ihr betroffenes Bein in Rückenlage etwas erhöht ab (Fuß höher als Knie, Knie höher als Hüfte). Als Unterlage eignen sich z. B. dicke Kissen und zusammengefaltete Decken. Dies unterstützt den Körper beim Abtransport der Schwellungsflüssigkeit. Nehmen Sie diese Position während der akuten Phase nach einer Verletzung möglichst oft ein.
Anwendung von Kinesio-Tape:
Man unterscheidet zwei Arten von Tape: Das feste, unelastische weiße Sporttape und das elastische Kinesio-Tape. Beides hat im Rahmen eines Knorpelschadens eine Anwendungsberechtigung.
Das feste Sporttape kann stabilisierend und präventiv eingesetzt werden, um z. B. das Umknicken bei einem sportlichen Wettkampf zu verhindern. Auf diese Weise reduziert sich das Risiko für Knorpelschäden. Dieses Tape sollten Sie jedoch nur kurzzeitig während der Belastung tragen, da es den Stoffwechsel im betreffenden Gebiet einschränkt.
Das elastische kinesiologische Tape trägt zur Steigerung des Stoffwechsels und zur Schmerzlinderung bei. Es hat zudem eine leicht stützende Wirkung. Sie können dieses Tape über mehrere Tage tragen. Es eignet sich damit sowohl zur Regeneration als auch zur Prävention.
Externer Inhalt von youtube.com
Fußübungen für eine bessere Belastbarkeit, Beweglichkeit und zur Stabilisierung
Um den Fuß wieder an eine normale Belastung zu gewöhnen und eventuelle Bewegungseinschränkungen aufzuheben, eignen sich die folgenden Übungen. Führen Sie die Übungen nur dann durch, wenn Sie von Ihrem Arzt die Erlaubnis für Belastung und Bewegung haben.
Übung: Belastungsverteilung der Fußsohle
Hilfsmittel: Stab/Besenstiel etc.
Übungsziel: Erlernen einer normalen Belastung Ihres verletzten Fußes
Ausgangsstellung: Stand
Durchführung: Führen Sie Pendelbewegungen des Körpers nach vorne/hinten und rechts/links durch. Erspüren Sie die Hauptbelastungszonen, Auflageflächen, Hohlräume und den Spannungszustand der Zehen.
Hinweise: Vergleichen Sie die Änderungen der Druckverteilung zwischen rechtem und linkem Vor- und Rückfuß sowie Außen- und Innenseite.
Variante: Führen Sie die Übung mit geschlossenen Augen durch.




Übung: Fuß schleifen im Sitz
Hilfsmittel: Handtuch
Übungsziel: Verbesserung der Beweglichkeit im Sprunggelenk
Ausgangsstellung: Sitz evtl. mit Handtuch unter dem betroffenen Fuß
Durchführung: Schieben Sie mit leichtem Druck den Fuß vor und zurück. Achten Sie darauf, dass Groß- und Kleinzehenballen sowie die Ferse guten Kontakt zum Boden halten und der Fuß senkrecht unter der Kniescheibenspitze verläuft.

Übungen zur Stabilisierung des Sprunggelenks
Entscheiden sich Arzt und Patient für eine konservative Behandlung, ist eine Stabilisierung des Sprunggelenks sinnvoll, um das Risiko von weiteren Traumata (v. a. ein Umknicken des Fußes) und damit verbundenen Schäden zu reduzieren. Führen Sie die Übungen nur dann durch, wenn Sie von Ihrem Arzt die volle Freigabe zur Belastung und Bewegung haben. Die Übungen eignen sich besonders für Patienten, die mit ihrem Sprunggelenk regelmäßig nach außen wegknicken.
Übung mit dem Wackelkissen
Übungsziel: Verbesserung der Koordination
Hilfsmittel: schräggestellte Matte/Kissen
Ausgangsstellung: hüftbreiter Stand mit leicht gebeugten Knien, die Arme hängen locker neben dem Körper
Ausführung: Bleiben Sie möglichst ruhig auf der Fläche stehen. Variieren Sie die Beugestellung der Kniegelenke.
Steigerung: Führen Sie die Übung im Einbeinstand durch.


Übung zur Ausrichtung des Fersenbeins

Übungsziel: Bewusste Regulierung der Fersenbeinstellung
Ausgangsstellung: Stand, die Füße stehen hüftbreit auseinander.
Durchführung: Lenken Sie Ihre Aufmerksamkeit auf beide Fersen. Führen Sie abwechselnd eine rhythmische Gewichtsverlagerung des Rückfußes (Ferse) auf die Außenkante/Innenkante durch. Langsam mit den Pendelbewegungen kleiner werden, bis die Achillessehne gerade/senkrecht eingestellt ist. Die Ferse sollte nun tendenziell auf der äußeren Seite belastet sein. Versuchen Sie diese Fußstellung immer wieder in Ihrem Alltag einzunehmen.
Übung zur Kräftigung der Außenbänder
Übungsziel: Kräftigung des Musculus Peroneus tertius und der Zehenstrecker
Ausgangsstellung: Sitz auf einem Stuhl mit ausgestreckten Bein. Befestigen Sie eine Gummibandschleife vor dem Fuß in Verlängerung des Beines. Der Fuß wird in Vorspannung positioniert.
Ausführung: Ziehen Sie das Band mit dem Fuß nach oben. Wichtig ist hierbei die Hebung des Fußaußenrandes. Der Fuß sollte zu Beginn der Übung leicht ausgestreckt sein und dann kontinuierlich angezogen werden.
Überprüfung: Der markierte Bereich an der Unterschenkelinnenseite muss sich bei der Übung spürbar anspannen.


Übung zur Verbesserung der Koordination im Sprunggelenk
Übungsziel: Verbesserung der Koordination und Kräftigung der Fuß- und Beinmuskulatur
Ausgangsstellung: Stand
Ausführung: Bringen Sie Ihr Körpergewicht auf den betroffenen Fuß und achten Sie darauf, dass die Ferse gerade ist (Achillessehne steht senkrecht). Das Fußgewölbe ist aufgerichtet. Das leicht gebeugte Knie befindet sich lotrecht über dem Vorfuß. „Tappen“ Sie nun mit dem freien Bein in einem Dreieck hin und her. Achten Sie darauf, dass das Standbein stabil stehen bleibt.



Übung zur Kräftigung der Fuß- und Beinmuskulatur
Übungsziel: Verbesserung der Koordination und Kräftigung der Fuß- und Beinmuskulatur
Ausgangsstellung: Stand
Ausführung: Springen Sie zunächst langsam von einem auf das andere Bein. Achten Sie darauf, dass der Fuß stabil bleibt und nicht zu sehr wegknickt. Steigern Sie das Tempo.


Übung zur Verbesserung der Schutzreflexe im Sprunggelenk
Übungsziel: Verbesserung der Koordination und der Schutzreflexe im Sprunggelenk
Ausgangsstellung: hüftbreiter Stand auf einem Kreisel
Ausführung: Balancieren Sie Ihr Gleichgewicht auf dem Kreisel aus. Am Anfang bietet es sich an, sich mit den Händen an einem Geländer o. Ä. festzuhalten.
Fortgeschrittene können die Schwierigkeit erhöhen, indem sie...
- ...einen schwereren Ball zwischen den Händen mit großen Bewegungen hin und hergeben. Achten Sie darauf, dass Rumpf und Beine dabei stabil stehen bleiben.
- ...leichte Kniebeugen machen.
- ...das Gewicht des Oberkörpers verändern, indem Sie sich langsam in der Hüfte beugen und strecken.
- ...die Übungen einbeinig durchführen.


Seitlicher Zug mit dem Theraband zur Stabilisierung des Sprunggelenks
Ausgangsstellung: Befestigen Sie das Gymnastikband dicht über dem Boden an einem stabilen Haltepunkt (z. B. Heizung). Nehmen Sie das andere Ende des Gymnastikbandes in die Hand. Stellen Sie sich nun so seitlich zum Ankerpunkt, dass das betroffene Bein näher am Haltepunkt ist. Ihr Körpergewicht lastet auf dem betroffenen Bein.
Durchführung: Ziehen Sie mit dem Arm der nicht betroffenen Seite das Gymnastikband nach schräg oben außen. Achten Sie darauf, dass das Knie des Standbeines immer lotrecht über dem Fuß bleibt und nicht nach innen fällt. Knicken Sie mit dem Fuß nicht nach innen weg.


Operative Therapieansätze für eine bessere Knorpelstruktur
Ein operativer Eingriff soll die Schmerzen des Patienten reduzieren und die Struktur des Knorpels im Sprunggelenk verbessern. Folgende Möglichkeiten stehen zur Verfügung:
- Die Abtragung (Debridement) von geschädigtem Knorpel (früher häufig angewendet)
- Spülung (Lavage) des Sprunggelenks (früher häufig angewendet)
- Knochenmarkstimulation durch Anbohrung des Knochens (Mikrofrakturierung)
- zelluläre Transplantation als autologe (körpereigene) Knorpel-Knochen-Zylinder (OATS)
- autologe Chondrozyten-Transplantation (ACT) am Sprunggelenk
Externer Inhalt von youtube.com
Mikrofrakturierung bei Knorpelschaden am Sprunggelenk

Eine bewährte Technik zur Regeneration des Knorpels im Sprunggelenk ist die Mikrofrakturierung. Dabei wird der unter dem Knorpeldefekt liegende Knochen mit einer Stanze bearbeitet, sodass minimale Einrisse im Knochen entstehen (Mikrofrakturen). Durch die Knochenverletzung kommt es zur Einblutung, dabei strömen Stammzellen aus dem Blut in die defekte Knorpelfläche. Diese Stammzellen differenzieren sich nach einigen Wochen zu Faserknorpel. Der Faserknorpel ist nicht ganz so robust wie der ursprüngliche hyaline Knorpel, erfüllt seinen Zweck zur Auffüllung der Knorpelfläche dennoch sehr gut.

Bild 1:
Der Knochen (grau) unter dem Knorpeldefekt (Lücke) wird mit einem kleinen Bohrer leicht angebohrt.

Bild 2:
Durch die Knochenverletzung kommt es zur Blutung (rot). Stammzellen aus dem Knochenmark strömen aus dem Knochen heraus.

Bild 3:
Die Stammzellen differenzieren sich zu Faserknorpel (hellblau), der den Defekt nach wenigen Wochen auffüllt.
Wie lange bin ich nach einer Operation am Sprunggelenk krankgeschrieben?
Die Krankschreibung nach einer Operation am Sprunggelenk hängt vom durchgeführten Eingriff und von Ihrem Beruf ab. In der Regel dauert es etwa 6 bis 10 Wochen, bis Sie wieder arbeiten dürfen. Zusätzliche Operationen wie Korrekturen von Fehlstellungen oder Bandplastiken verlängern die Zeit der Krankschreibung.
Wann darf ich nach einer Operation am Sprunggelenk wieder Sport machen?
Sie dürfen 6 bis 8 Wochen nach der Operation mit sanften Sportarten wie Schwimmen oder Radfahren beginnen. Kontaktsportarten sollten Sie frühestens nach einem Jahr wieder aufnehmen. Bewegungsübungen im Rahmen einer physiotherapeutischen Begleitung sind sinnvoll, um das Sprunggelenk für die Rückkehr in Alltag und Sport zu stabilisieren. Die Übungen sollten in Absprache mit Ihrem Arzt und Physiotherapeuten individuell an Ihre persönliche Situation angepasst werden.
Literaturangaben
- Adkisson, H. D., Martin, J. A., Amendola, R. L., Milliman, C., Mauch, K. A., Katwal, A. B. et al. (2010). The Potential of Human Allogeneic Juvenile Chondrocytes for Restoration of Articular Cartilage. The American journal of sports medicine.
- Anders, S., Götz, J., Grifka, J., & Baier, C. (2017). Knorpelreparative Eingriffe am oberen Sprunggelenk. Der Orthopäde, 46(11), 938–946.
- Aurich, M., Albrecht, D., Angele, P., Becher, C., Fickert, S., Fritz, J., ... & Walther, M. (2017). Behandlung osteochondraler Läsionen des Sprunggelenks: Empfehlungen der Arbeitsgemeinschaft Klinische Geweberegeneration der DGOU. Zeitschrift für Orthopädie und Unfallchirurgie, 12(01), 92–99.
- Braunstein, M., Baumbach, S. F., Böcker, W., Mutschler, W., & Polzer, H. (2016). Arthroskopisch assistierte Frakturversorgung am oberen Sprunggelenk. Der Unfallchirurg, 119(2), 92–99.
- Ferkel, R. D., Scranton, P. E., Stone, J. W. & Kern, B. S. (2010). Surgical treatment of osteochondral lesions of the talus. Instructional course lectures, 59, 387–404.
- Gikas, P. D., Bayliss, L., Bentley, G. & Briggs, T. W. (2009). An overview of autologous chondrocyte implantation. The Journal of bone and joint surgery. British volume, 91, 997–1006.
- Hughes, R. J. & Houlihan-Burne, D. G. (2011). Clinical and MRI considerations in sports-related knee joint cartilage injury and cartilage repair. Seminars in musculoskeletal radiology, 15(1), 69–88.
- Jerosch, J. (2019). Knorpelschäden am Sprunggelenk. Orthopädie & Rheuma, 22(3), 30–33.
- Niethard, F. U., Pfeil, J. & Biberthaler, P. (2009). Orthopädie und Unfallchirurgie. Stuttgart: Thieme.
- Orthofer, P. (2004). Orthopädietechnik. Huber Hans.
- Winalski, C. S. & Alparslan, L. (2008a). Imaging of articular cartilage injuries of the lower extremity. Seminars in musculoskeletal radiology, 12(4), 283–301.
- Winalski, C. S. & Alparslan, L. (2008b). Imaging of articular cartilage injuries of the lower extremity. Seminars in musculoskeletal radiology, 12(4), 283–301.
- Wulker, N., FRCSIMater, M. M. & III, M. D. (1998). An Atlas of Foot & Ankle Surgery (1st ed). Martin Dunitz.
- Zengerink, M., Struijs, P. A., Tol, J. L. & van Dijk, C. N. (2010). Treatment of osteochondral lesions of the talus: a systematic review. Knee surgery, sports traumatology, arthroscopy: official journal of the ESSKA, 18, 238–46.