- Was ist ein Hallux valgus?
- Wie kann man der Hallux valgus-Operation vorbeugen?
- Wann ist die Hallux valgus-Operation notwendig?
- Ziele der Hallux valgus-Operation
- Operationsmöglichkeiten bei Hallux valgus
- Kontraindikationen und Risiken der Hallux valgus-Operation
- Prognose und Nachsorge der Hallux valgus-Operation
- Häufige Patientenfragen zur Hallux valgus-Operation an Dr. med. Thomas Schneider von der Gelenk-Klinik

Ihre Großzehe neigt sich immer stärker nach außen und bedrängt die kleineren Zehen des Fußes? Sie haben nach längerem Gehen oder gleich zu Beginn des Tages Fußschmerzen? Diese Schmerzen behindern Ihre Beweglichkeit und Mobilität im Alltag? Dann leiden Sie wie viele unserer weiblichen Patienten an einem Hallux valgus (Ballenzeh).
Die Fachärzte unseres Zentrums für Fuß- und Sprunggelenkchirurgie (ZFSmax) haben sich auf die schonende Behandlung von Fehlstellungen der Großzehe mit minimalinvasiven Eingriffen am Vorfuß spezialisiert. Heilung und Rehabilitation verlaufen in diesen Fällen wesentlich schneller und Komplikationen nach der Hallux valgus-Operation werden vermieden.
Zielsetzung der Operateure ist die schnelle Mobilität der Patienten und eine dauerhafte medizinische und kosmetische Verbesserung des Vorfußes. Weiterhin soll die Hallux valgus-Operation einen belastbaren, schmerzfreien Fuß mit kosmetisch schöner Form wiederherstellen.
Je schwerer die Hallux valgus-Fehlstellung, umso aufwändiger wird die Operation. Das ist der Grund, sich bei Hallux valgus frühzeitig durch einen Spezialisten für Fußerkrankungen über operative Korrekturmöglichkeiten beraten zu lassen.
Was ist ein Hallux valgus?
Der Hallux valgus wird auch als Ballenzeh oder Schiefzehe bezeichnet und ist eine besonders bei Frauen weit verbreitete Fehlstellung der Großzehe. Der große Zeh weicht dabei auffällig zum Fußaußenrand hin ab und verdrängt dort die kleineren Zehen. Diese Fehlstellung überlastet das Großzehengrundgelenk, wodurch als Folge langfristig eine schmerzhafte Arthrose der Großzehe (Hallux rigidus) entstehen kann.
Symptome des Hallux valgus
- Der hervortretende Fußballen am Großzehengrundgelenk entzündet sich schmerzhaft und kann anschwellen.
- Der große Zeh zeigt nicht mehr gerade nach vorne, sondern in Richtung der kleinen Zehen. Er drückt diese zusammen und verursacht oft Schwielen und Hautirritationen.
- Am Großzehengrundgelenk bildet sich häufig Hornhaut durch den Konflikt mit Schuhen an der Stelle des Überbeins (Exostose). In vielen Fällen begleitet eine Schleimbeutelentzündung (Bursitis) am Zehenballen den Hallux valgus und verstärkt die Problematik.
- Durch die veränderte Lastverteilung vom Großzeh auf die benachbarten kleinen Zehen kommt es in vielen Fällen zu Mittelfußschmerzen (Transfermetatarsalgien).
- Viele Patienten mit Hallux valgus im fortgeschrittenen Stadium klagen über chronische Schmerzen im Vorfuß aufgrund von Knorpelschäden im Großzehengrundgelenk (Hallux rigidus).
Zur Behandlung des Hallux valgus sowie zur Linderung der Fußschmerzen existieren zahlreiche konservative Verfahren.
Wie kann man der Hallux valgus-Operation vorbeugen?
Fachartikel von Dr. Schneider
Eine frühzeitige Umstellung auf gesunde Schuhe mit viel Zehenraum und eine konsequente konservative Behandlung können das Fortschreiten des Hallux valgus verzögern. Nach dem Auftreten der Fehlstellung sollten Sie daher nicht zu lange mit der Therapie warten.
Wenn die konservative Behandlung des Hallux valgus keine Verbesserung mehr bringt, zieht der Orthopäde eine Operation in Betracht. Auch dabei sollte es schnell gehen. Die zunehmende Versteifung des Großzehengelenks und die Fehlstellungen der benachbarten Zehen des Fußes machen den Hallux valgus mit der Zeit immer schwerer operierbar. Langfristige Folgeschäden wie Hallux rigidus werden dann immer wahrscheinlicher.
Wann ist die Hallux valgus-Operation notwendig?
Anzeichen für Hallux valgus
- Der Zehenballen ist druckschmerzhaft, entzündet und drückt innen gegen den Schuh.
- Die verdrängten Kleinzehen zeigen weitere Vorfußdeformitäten wie Hammerzehen oder Krallenzehen.
- Der Patient leidet unter Schmerzen im Mittelfuß (Metatarsalgie) aufgrund der veränderten Fußbelastung.
- Als Folge der Knorpelabnutzung entstehen Arthroseschmerzen im Großzehengrundgelenk.
Ein Hallux valgus ist für viele Patientinnen – insbesondere in offenen Schuhen – vor allem ein kosmetisches Problem. Dennoch stellt die Ästhetik keine ausreichende Indikation für eine Operation dar. Eine Voraussetzung für eine Operation ist die schmerzhafte Fehlstellung. Nur wenn die Füße im Alltag deutlich weniger belastbar sind, der Hallux valgus bereits schmerzhaft und die Mobilität eingeschränkt ist, ist es medizinisch gerechtfertigt, die Operation zu empfehlen. Die Fehlstellung lässt sich auch durch Schuhwechsel, Einlagenbehandlung oder Fußgymnastik nicht therapieren. Einlagen verschaffen bei einem schmerzhaften Hallux valgus zwar Erleichterung, sie verbessern die Fehlstellung aber nicht nachhaltig.
Bei der Operationsplanung und Durchführung dieses plastisch-chirurgischen Eingriffs an der Großzehe legen wir auf ein ansprechendes kosmetisches Ergebnis trotzdem großen Wert. So können wir die Lebensqualität der Patienten, also Belastbarkeit und schmerzfreies Gehen, wieder vollständig herstellen.
Die konservativen Behandlungsmöglichkeiten sollten vor dem Entschluss zur Operation vollständig ausgeschöpft sein. Das ist nach einer konservativen Therapie etwa nach sechs Monaten absehbar.
Die konservativen Maßnahmen sollen die Fehlstellung in erster Linie eindämmen. Eine echte Besserung durch eine konservative Behandlung ist normalerweise nur am wachsenden Skelett bei Jugendlichen möglich.
Individuelle Planung der Hallux valgus-Operation
Mögliche Begleiterkrankungen des Hallux valgus:
- Überbein am Zehenballen
- Arthrose des Großzehengrundgelenks: Hallux rigidus
- Bursitis (Schleimbeutelentzündung) am Zehenballen
- Bursitis an den benachbarten Kleinzehen
- Transfermetatarsalgie: Mittelfußschmerzen wegen schmerzhafter Überlastung der Kleinzehen
- Krallenzehen
- Hammerzehen
Der Hallux valgus kombiniert stets verschiedene Krankheitsprozesse. Neben der Fehlstellung der Großzehe treten beispielsweise Hautveränderungen und Schleimbeutelentzündungen auf. Die schiefe Großzehe verdrängt die benachbarten Kleinzehen, woraus eine schmerzhafte Überlastung resultiert. Die Operationsplanung muss sich mittels eingehender Diagnose an der individuellen Situation des Patienten orientieren.
Im Folgenden stellen wir die Standardoperationen eines Hallux valgus dar. Die Entscheidung zur Operation hängt dabei vom konkreten Einzelfall, von der Lebensweise des Patienten sowie Begleiterkrankungen ab und wird im Arzt-Patientengespräch eingehend geprüft.
Ziele der Hallux valgus-Operation
Kosmetische Ergebnisse der Hallux valgus-Operation:
- Begradigung der Großzehe
- Normalisierung der Fehlstellung von Hammer- und Krallenzehen
- Abtragung des geschwollenen Zehenballens (Exostosenabtragung)
- Möglichst kleine Operationsnarben im nicht sichtbaren Bereich des Fußes
In frühen Stadien ist das Ziel der operativen Behandlung des Hallux valgus (Ballenzeh), neben der Geradestellung der Großzehe das von Arthrose bedrohte Großzehengrundgelenk zu erhalten. Die Hallux valgus-Operation korrigiert die Fehlstellung dauerhaft. Nur Füße in ihrer normalen Form stellen das natürliche Gangbild wiederher. Beim gesunden Gang rollt der Fuß über die Großzehe hinweg ab. Beim Hallux valgus ist dieser Abrollvorgang gestört. Die kleinen Zehen übernehmen den Abrollvorgang. Sie werden dadurch überlastet und verformen sich mit der Zeit ebenfalls.
Eine Hallux valgus-Operation richtet die schief gestellte Knochenachse der Großzehe wieder gerade aus. Zudem normalisiert der Eingriff den Zug der Sehnen und Muskeln. Sie würden sonst den Großzeh bei jedem Schritt stärker zur Seite ziehen. Dabei ist es sehr wichtig, Muskeln und Sehnen schonend zu operieren und so wenig wie möglich zu verletzen.
Die Operation stellt die gestörte Ausrichtung des Gelenk also so weit wie möglich wieder her und verbessert die Einwärtsdrehung des Zehs (Pronation) dauerhaft.

Die Fußspezialisten der Gelenk-Klinik beachten bei der Hallux valgus-Operation auch immer die Position der Sesambeine (Os sesamoideum). Die Sesambeine sind kleine Knochen, die in die Sehne des Großzehenbeugers eingebettet sind. Sie dienen hier als kleine Abstandshalter der Sehne zum Knochen, damit die Sehne ihre Funktion mit optimaler Hebelkraft ausüben kann. Die Hallux valgus-OP muss Lage und Funktion der Sesambeine regulieren. Die Sesambeine beeinflussen durch den Sehnenzug die Fehlstellung der Großzehe, was wiederum den Hallux valgus verstärkt.
Operationsmöglichkeiten bei Hallux valgus
Bei den meisten Hallux valgus-Operationen kombiniert der behandelnde Orthopäde mehrere der folgenden Eingriffe:
- Knochenumstellung (Osteotomie der Großzehe):
Knochenumstellung bedeutet ein Durchtrennen und Einheilen der Knochen in neuer Position. Die Einheilung erfolgt meist mit Hilfe von kleinen Metallschienen oder Schrauben, die den Knochen in der neuen Position fixieren. Man erreicht so eine dauerhafte Geradeausstellung der Großzehe. - Raffung der Gelenkkapsel:
Die Gelenkkapsel des Großzehengrundgelenks ist innen durch die Hallux-Fehlstellung gedehnt. Durch Raffung des Kapselgewebes werden die Großzehenknochen in die gewünschte Richtung gebracht. - Sehnenkorrektur:
Die Sehnen müssen nach der Hallux-Operation wieder einen Zug entlang des Zehenstrahls ausüben. Die Sehnenlänge muss hierfür korrigiert werden, damit der Sehnenzug die Großzehe nicht wieder deformiert. - Korrektur der Sesambeinchen:
Die sehnenführenden Sesambeinchen müssen wieder zentriert rechts und links vom Großzehenknochen liegen. Dies vermindert das Risiko für die erneute Entstehung eines Hallux valgus. - Versorgung des Großzehengrundgelenks:
In einigen Fällen ist eine gelenkerhaltende Cheilektomie oder bei starker Arthrose eine Versteifung des Großzehengrundgelenks (Arthrodese) erforderlich.
Erst wenn alle konservativen Behandlungsmöglichkeiten des Hallux valgus ausgeschöpft sind, denkt der Orthopäde an eine Operation. Zu den Langzeitfolgen des Hallux valgus gehört oft die Arthrose des Großzehengrundgelenks. Diese schränkt manchmal auch die Bewegung des Großzehengrundgelenks ein.
Je stärker der Hallux valgus, desto weiter hinten am Zeh erfolgt die Umstellung

Um einen Hallux valgus zu korrigieren, stehen mehrere bewährte Operationstechniken zur Verfügung, aus denen wir in jedem Einzelfall auswählen. Dabei gilt folgendes Prinzip: Je stärker die Fehlstellung, umso weiter hinten am Zehenstrahl wird die Großzehe operiert und korrigiert. Auch der Heilungsprozess und die Nachbehandlung sind entsprechend langwieriger. Dennoch können die Orthopäden der Gelenk-Klinik auch bei einer starken Fehlstellung mit Großzehenarthrose langfristig ein ähnliches Ergebnis wie nach einer leichten Fehlstellung erreichen.
Die Korrektur der Stellung des Großzehs und des Großzehengrundgelenks begleiten stets Eingriffe an den Weichteilen (Muskeln, Kapseln und Sehnen). Welche Technik im Einzelfall angewendet wird, hängt vom anatomischen Ort der Deformität und dem Ausmaß der Fehlstellung ab. Die Auswahl der geeigneten Hallux valgus-Operationsmethode trifft der Orthopäde in Absprache mit dem Patienten. Dabei beachtet er die Ergebnisse der klinischen Untersuchung und der Röntgendiagnostik.
Operationstechnik hängt von Grad der Fehlstellung ab
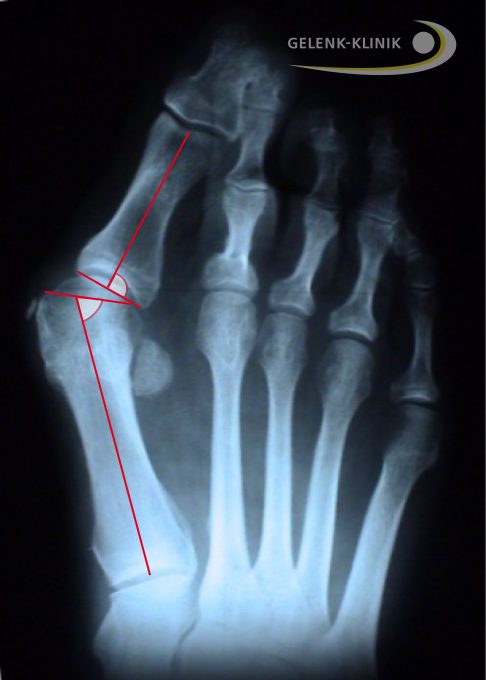
Ausschlaggebend für die gewählte Operationsmethode ist der Intermetatarsalwinkel, also der Winkel zwischen dem 1. und 2. Mittelfußstrahl. Die Operationen des Hallux valgus betreffen dabei verschiedene anatomische Bereiche des Fußes:
- Distale Knochenumstellung am äußeren Ende der Großzehe: minimalinvasive Korrektur des Hallux valgus und Akin-Osteotomie.
- Korrekturen am Mittelfußknochen: Chevron-Osteotomie und Scarf-Osteotomie
- Operationen am Gelenk zwischen Fußwurzel und Mittelfuß: Lapidus-Osteotomie
Die Operationsmöglichkeiten beginnen bei leichter Fehlstellung vor dem Großzehengrundgelenk. Eine mittlere Fehlstellung operiert man am Mittelfußknochen (Metatarsalknochen). Bei schwerer Hallux-Fehlstellung erfolgt die Umstellung bzw. Versteifung am Metatarsophalangealgelenk. Das ist die Verbindung zwischen dem Mittelfußknochen des Zehenstrahls und den Fußwurzelknochen.
Minimalinvasive Hallux valgus-Operation bei leichter bis mittlerer Fehlstellung

Die sehr schonend durchführbare minimalinvasive Hallux valgus-Operation kommt mit kleinsten Schnitten und Weichteileingriffen aus.
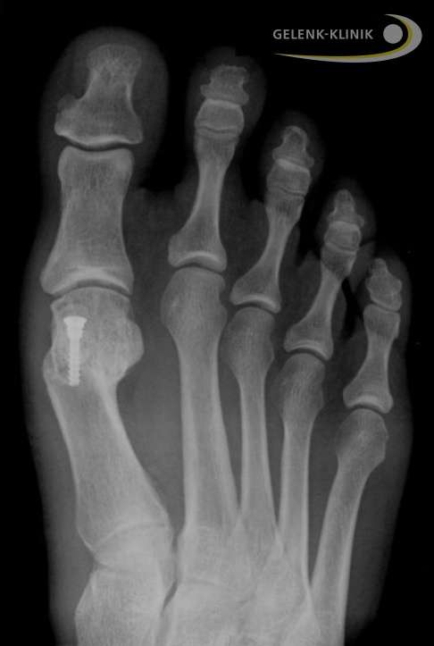
Wir bemühen uns stets, die Knochenumstellung und Narbenbildung so gering wie möglich zu halten. Zukünftig besteht unser Ziel darin, einen Hallux valgus nur noch mit Weichteileingriffen zu korrigieren. Bisher ist das noch nicht vollständig möglich. Meist sind angepasste Schrauben und Implantate zur Fixierung der Knochen notwendig.
Die minimalinvasive Operation ist eine distale Umstellung: Die Großzehe wird also hinter dem Großzehengrundgelenk (körperfern) umgestellt. Diese kosmetisch vorteilhafte und narbenvermeidende Operation setzen wir besonders bei leichten bis mittelgradigen Fehlstellungen der Großzehe ein.
Die Hallux-OP kommt unter Verwendung gut verträglicher Titanschrauben meist ohne Nachoperation zur Schraubenentfernung aus. Die Schrauben können beschwerdefrei belassen werden.
Wenn sich durch die Hallux valgus-Fehlstellung bereits eine Arthrose des Großzehengrundgelenks (Hallux rigidus) entwickelt hat, ist dieses minimalinvasive Verfahren nicht mehr anwendbar. Dann muss der Eingriff die Versorgung des Großzehengrundgelenks einbeziehen.
Ablauf der minimalinvasiven Hallux valgus-Operation
Die minimalinvasive Operation des Hallux valgus kommt mit zwei kleinen Hautschnitten auf beiden Seiten des Großzehs aus. Dadurch verletzt der Operateur die Weichteile kaum. Die Heilungsdauer und die postoperative Komplikationsrate sind bei diesem Eingriff – im Vergleich zu offenen Hallux valgus-Operationsmethoden – viel geringer. Gerade älteren Patienten kommt dieser Umstand zugute: Sie sind schneller mobil und sportfähig. Wegen der geringeren Weichteilverletzungen fällt auch die postoperative Schwellung des Fußes deutlich geringer aus als bei anderen Verfahren.
Die minimalinvasive Hallux valgus-Operation richtet den schiefstehenden Knochenstrahl mit kleinen Instrumenten, ähnlich zahnärztlichen Werkzeugen, neu aus. In einem weiteren Schritt öffnet der Orthopäde die oft verkürzte Gelenkkapsel durch einen kleinen Schnitt und weitet sie. Dadurch kann sie der normalen Ausrichtung des Großzehs den erforderlichen Raum geben.
Akin-Osteotomie bei leichtem Hallux valgus interphalangeus
Wenn der Zehenknochen vor dem Großzehengrundgelenk fehlgestellt ist, kann eine sogenannte Akin-Osteotomie durchgeführt werden. In diesem Fall liegt ein Hallux valgus interphalangeus vor.
Bei der Akin-Osteotomie erfolgt eine Umstellung des Großzehenknochens distal (körperfern) des Großzehengrundgelenks.
Häufig liegt zudem noch eine weitere Ursache des Hallux valgus vor, welche die Akin-Osteotomie nicht behebt: die Fehlstellung des Mittelfußknochens. Weil der Eingriff nur die Großzehe korrigiert, setzen die Spezialisten der Gelenk-Klinik die Akin-Osteotomie meist in Verbindung mit anderen Hallux valgus-Eingriffen ein.
Die Akin-Osteotomie ändert die Richtung des Großzehs durch eine Keilentnahme aus dem Zehenknochen. Dieser wächst dadurch in neuer, gewünschter Richtung wieder zusammen. Die Stellungskorrektur nach der Akin-Osteotomie kann zudem eine Normalisierung der Sehnenzüge an der Großzehe erreichen.
Chevron-Osteotomie: Hallux valgus-Operation am Mittelfußknochen bei mildem Hallux valgus

Die Chevron-Osteotomie eignet sich für mittelschwere Hallux-Fehlstellungen. Voraussetzung für die Anwendung der Methode ist eine höchstens mittelgradige Arthrose des Großzehengrundgelenks. Beim Chevron-Verfahren entnimmt man in Höhe des Mittelfußköpfchens einen v-förmigen Keil.
Das Mittelfußköpfchen wird nach außen verschoben und wieder stabil mit einer Schraube (Titan) fixiert. Die Gelenkkapsel wird an der Innenseite gerafft, um die reguläre Richtung der Großzehe zu ermöglichen.
Bei einer milden Hallux valgus-Fehlstellung (< 17°) liegen noch keine wesentlichen Gelenkveränderungen (z. B. Arthrose im Großzehengelenk) vor. In diesem Fall eignet sich die Chevron-Osteotomie sehr gut.
Ablauf der Chevron-Osteotomie

Zunächst erfolgt über dem Großzehengrundgelenk am Fußrücken ein kleiner Hautschnitt. Die Schrumpfung der Bänder und der Gelenkkapsel verfestigt die Fehlstellung des Großzehs bei einem Hallux valgus. Daher löst der Arzt die durch die Hallux-Fehlstellung geschrumpften Bänder und die Gelenkkapsel und weitet diese (Weichteileingriff). Anschließend wird das hervorstehende Überbein mit einer kleinen Säge oder einem Meißel abgetragen.
Am ersten Mittelfußknochen setzt der Operateur in Höhe des Mittelfußköpfchens einen Schnitt. Dann verschiebt er das Mittelfußköpfchen nach außen in Richtung Kleinzehe, bis es in gewünschter Stellung unter den Sesambeinen liegt. Die Sesambeine sind kleine Knochen, die der Sehne aufliegen und als Abstandhalter dienen, damit es zu keiner Sehnenreizung kommt.
Dann fixiert der Arzt bei der Chevron-Osteotomie den Zehenknochen mit einer selbstschneidenden Titanschraube oder mit Draht.
Anschließend strafft der Orthopäde die Gelenkkapsel. Die kleinen Titanschrauben verbleiben in der Regel im Zehenknochen. Eine Nachoperation zur Schraubenentfernung ist somit nicht notwendig. Sollten die Titanschrauben jedoch Beschwerden verursachen, können sie nach frühestens drei Monaten ambulant durch eine kleine Operation entfernt werden.
Externer Inhalt von viewmedica.com
Größere Fehlstellungen gehen häufig mit Gelenkveränderungen an der Gelenkkapsel einher. Daher wird meist zusätzlich in Kombination mit der Knochenumstellung eine Weichteiloperation durchgeführt.
Bei der Chevron-Osteotomie ist die laterale (seitliche) Verschiebung der Großzehe nur begrenzt möglich. Um ein Rezidiv (Rückfall) zu vermeiden, empfiehlt sich bereits während der Operation die Kontrolle der erzielten Korrektur mittels Röntgenbildwandler. So kann der Spezialist die genaue Lage der Sesambeine prüfen.
Scarf-Osteotomie: Operation des mittleren bis schweren Hallux valgus
Die Scarf-Osteotomie betrifft mittelschwere bis schwere Hallux valgus-Fehlstellungen (17° bis über 40°). Der Mittelfußknochen des 1. Zehenstrahls ist nach einem Hautschnitt an der Fußinnenseite sichtbar. Durch eine Osteotomie (Knochenumstellung) wird er z-förmig durchtrennt. Dann fixiert man ihn in einer neuen Richtung mit kleinen Schrauben. Auch hier kann ein Weichteileingriff (Raffung) an der Gelenkkapsel des Großzehengrundgelenks erforderlich sein.
Externer Inhalt von viewmedica.com
Die Scarf-Osteotomie kann die bei Hallux valgus häufig vorkommende Verdrehung der Großzehe um ihre Längsachse korrigieren.
Auch diese OP-Methode verbindet die Korrektur des bei Hallux valgus abweichenden Knochens mit einer Operation an den Weichteilen (Sehnen und Kapsel).
Ablauf der Scarf-Osteotomie
Bei der Scarf-Osteotomie erfolgt der Hautschnitt auf der Fußinnenseite von der Zehenbasis bis zur Basis des Mittelfußknochens. Dann sägt der Arzt aus dem ersten Mittelfußknochen seitlich einen z-förmigen Keil im Schaftbereich heraus. Der gelenktragende Teil der Großzehe – das sog. Mittelfußköpfchen – wird bei der Scarf-Osteotomie entlang der Schnittkanten nach außen verschoben. So kann der Operateur es in den richtigen Winkel bringen.
Damit diese Verschiebung ohne Spannung erfolgen kann, verlagert der Arzt die Sehnen, die die Großzehe zur Mitte hin ziehen. Er löst die bei Hallux valgus ebenfalls deformierte Gelenkkapsel auf der Außenseite. Anschließend fixiert er den Knochen mit zwei kleinen Titanschrauben.
Durch den großflächigen Knochenkontakt ist eine gute Heilung des Knochens möglich. Die eingebrachten Titanschrauben werden normalerweise belassen und müssen nicht entfernt werden. Sollten sie Beschwerden verursachen, können sie nach frühestens drei Monaten ambulant entfernt werden.
Liegt eine fortgeschrittene Arthrose des Großzehengrundgelenks (GZG) vor, muss diese operativ behandelt werden. Ein orthopädischer Fußspezialist wird in der Regel auf folgende Methoden zurückgreifen:
- Eine gelenkerhaltende Cheilektomie kann das Gelenk arthroskopisch reinigen und Knochensporne entfernen.
- Häufig ist eine Arthrodese (Versteifung) des Großzehengrundgelenks erforderlich und verhilft den Patienten zu Schmerzfreiheit und Belastbarkeit.
- Auch eine Versorgung mittels Hemiprothese (Teilprothese) ist in schweren Fällen möglich.
Operation am Gelenk zwischen Fußwurzel und Mittelfuß: Lapidus-Arthrodese
Externer Inhalt von viewmedica.com
Die Lapidus-Arthrodese kommt bei sehr starker Hallux valgus-Fehlstellung mit gleichzeitiger Arthrose oder Instabilität im Großzehengrundgelenk des 1. Mittelfußstrahles infrage. Bei diesem Verfahren erfolgt eine Fusion des Tarsometatarsalgelenks zwischen dem ersten Mittelfußknochen und dem Fußwurzelknochen.
Die Lapidus-Arthrodese ist besonders hilfreich bei schweren Fehlstellungen der Großzehe, die einen großen Intermetatarsalwinkel (> 40°) aufweisen. Diese OP-Technik kann auch eine Arthrose des Gelenks zwischen Fußwurzel und Mittelfuß gut behandeln.
Kontraindikationen und Risiken der Hallux valgus-Operation
Periphere arterielle Verschlusskrankheit:
Die wichtigste Kontraindikation für eine Hallux valgus-Operation ist die periphere arterielle Verschlusskrankheit (pAVK). Eine solche Durchblutungsstörung kann zu schweren Wundheilungsstörungen nach der Operation führen.
Wichtig für die Heilung nach einer Vorfußoperation ist eine gute Durchblutung. Der Fuß ist das am weitesten vom Herzen entfernte Bewegungsorgan. Der Weichteilmantel am schwer belasteten Fuß ist sehr dünn. Daher sind alle Umstände, die die natürlicherweise geringe Durchblutung noch weiter vermindern, ungünstig für die Heilung nach der Operation.
Folgende Erkrankungen verhindern oder erschweren eine erfolgreiche Hallux valgus-Operation:
- periphere arterielle Verschlusskrankheit,
- diabetischer Fuß,
- beginnende Polyneuropathie.
In diesen Fällen untersuchen die Fußexperten vor der Entscheidung für die Hallux valgus-Operation eingehend den Durchblutungsstatus des Fußes.
Eine vorangegangene Hallux valgus-Operation erschwert eine Umstellungsoperation ebenfalls erheblich und kann das zu erwartende Ergebnis gefährden.
Arthritis und rheumatische Erkrankungen sprechen nicht gegen eine Operation. Der Orthopäde berücksichtigt sie bei der Wahl der Operationstechnik angemessen.
Mögliche postoperative Komplikationen nach Hallux valgus-Operation:
- chronische Schmerzen auch nach der Operation
- schmerzhafte Irritationen durch Schrauben oder Implantate
- Druckschmerzen durch die Umverteilung der Belastungszonen beim Gehen nach Osteotomie
- Stressfrakturen aufgrund der Belastungsänderung im Fuß nach der Operation
- postoperative Infektion als grundsätzliches Risiko aller operativen Eingriffe
- Schwellung des Vorfußes
- Narbenbildung nach Einsatz großer Implantate und großflächiger Weichteilschnitte
- Wiederauftreten eines Hallux valgus
Externer Inhalt von youtube.com
Prognose und Nachsorge der Hallux valgus-Operation
Die möglichen Vorteile und Risiken einer Hallux valgus-Operation müssen stets sorgfältig gegeneinander abgewogen werden. In internationalen Studien zu diesem Thema fühlen sich etwa 80 % der Patienten sehr wohl nach der Operation. Etwa 10–15 % fühlen sich besser als vor der Operation, auch wenn weiterhin Beschwerden bestehen. Nur etwa 5 % aller Patienten in den Studien erfahren keine Besserung. Je erfahrener der Operateur, umso wahrscheinlicher ist ein gutes Ergebnis nach der Operation des Hallux valgus.
Wir haben die Erfahrung gemacht, dass eine intensive Nachbereitung durch Fußgymnastik das Ergebnis der Hallux valgus-Operation deutlich verbessert.
Ergebnis nach minimalinvasiver Hallux valgus-Operation

- Die Operation erzeugt nur minimale Weichteilverletzungen. Die Patienten sind schnell wieder voll belastbar.
- Das Großzehengrundgelenk kann unmittelbar nach der Operation wieder bewegt werden.
- Mit einem speziellen Vorfußentlastungsschuh kann der Patient den Fuß nach der Operation sofort voll belasten.
- Das Fixiermaterial aus der Osteotomie kann meist im Körper verbleiben. Es stellt in der Regel keine Belastung für den Patienten dar. In seltenen Fällen kann das Material ambulant durch einen kleinen Eingriff entfernt werden.
Nachbehandlung der Hallux valgus-Operation

Der Heilungsprozess dauert in der Regel zwischen drei und sechs Wochen. Je schwerer die Fehlstellung war, umso länger dauert die Rehabilitation. Genaue Auskunft über den Zustand des operierten Gelenks gibt eine Röntgenkontrolle etwa vier Wochen nach der Operation.
Bei allen in der Gelenk-Klinik durchgeführten Korrekturoperationen des Hallux valgus besteht die Möglichkeit einer funktionellen Nachbehandlung unter Vollbelastung in einem sog. Vorfußentlastungsschuh. Diesen trägt der Patient für einen Zeitraum von vier bis sechs Wochen. Die frühe Vollbelastung verringert zusätzlich das Thromboserisiko. Dennoch empfehlen wir unseren Patienten nach Hallux valgus-OP eine Thromboseprophylaxe.
Postoperative Rehabilitation:
- Teilbelastungsschuh oder Gipsschuh
- redressierende Verbände
- Nachtlagerungsschiene
- Thromboseprophylaxe
- abschwellende Maßnahmen wie Kühlen, Hochlagern
- Lymphdrainage
Eventuell kann nachts eine Redressionsschiene zum Einsatz kommen.
Nach Ablauf von ca. fünf Wochen kann der Patient wieder weite Schuhe tragen. Postoperative Fußgymnastik ist für die muskuläre Balance und zur Stabilisierung und Kräftigung des Fußes unerlässlich.
Auch die Eigenmassage des Fußgewölbes mit einem weichen Tennisball ist empfehlenswert. Die Zeit der Arbeitsunfähigkeit ist abhängig vom Heilungsprozess und von der Art des ausgeübten Berufs.
Häufige Patientenfragen zur Hallux valgus-Operation an Dr. med. Thomas Schneider von der Gelenk-Klinik
Wie lange dauert die Heilung bzw. Krankschreibung nach der Hallux valgus-Operation?
Die Heilung ist nach vier bis sechs Wochen beendet. Die Dauer der Krankschreibung hängt von Ihrem Beruf ab. Ein Patient mit stehendem Beruf benötigt eine längere Auszeit als Menschen mit sitzender Tätigkeit wie beispielsweise am Computer.
Kann ich nach einer Hallux valgus-Operation wieder normal gehen?
Mit einem Vorfußentlastungsschuh können Sie sofort nach der Operation wieder auftreten und gehen. Er verhindert das Abrollen des Fußes über die Großzehe.
Wird der Fuß nach der Operation ruhiggestellt?
Nach der Hallux-OP wird der Fuß weder eingegipst noch ruhig gestellt. Die Großzehe bleibt ebenfalls passiv beweglich. Allerdings sollte der Fuß nach einer Hallux valgus-Operation so oft wie möglich hochgelagert und geschont werden. Wenn Patienten den operierten Fuß zu früh oder zu lange am Stück belasten, kann eine Schwellung im Vorfußbereich auftreten und den Heilungsprozess verlangsamen.
Gibt es Röntgenkontrollen nach der Hallux valgus-Operation?
Die erste Röntgenkontrolle erfolgt in der Gelenk-Klinik unmittelbar nach der Entlassung. Vor dem Abnehmen des Vorfußentlastungsschuhs nach etwa vier Wochen erfolgt in der Regel eine weitere Röntgenkontrolle, die den Heilungsverlauf der Osteotomie darstellt.
Wann werden nach Hallux valgus-OP die Fäden gezogen?
Nach etwa 12 Tagen werden die Fäden gezogen. Bei anreisenden Patienten können Fäden ziehen und Wundkontrollen auch wohnortnah durch einen Allgemeinarzt erfolgen.
Wann kann ich wieder normale Schuhe tragen?
Auch nach Ende der Nachbehandlung mit dem Vorfußentlastungsschuh sollten Sie für weitere 4 bis 6 Wochen weiche, bequeme und weitgeschnittene Schuhe tragen.
Beidseitiger Hallux valgus: Ist eine beidseitige Operation an einem Termin empfehlenswert?
Wir bieten die beidseitige Operation des Hallux valgus nur im Notfall an. Normalerweise ist ein gesunder Fuß sehr wichtig für die Rehabilitation des operierten Fußes. Bei beidseitigen Fehlstellungen sollten Sie einen Zeitabstand von drei Monaten bis zur nächsten OP nicht unterschreiten.
Literaturangaben
- Engelhardt, P., Schuh, R., & Wanivenhaus, A. (2018). Operationen am Hallux und Metatarsale I. Orthopädische Fußchirurgie, 109–135. Springer, Berlin, Heidelberg.
- Fuhrmann, R. A., Rippel, W., & Traub, A. (2017). Konservative Therapie des Hallux-valgus-Syndroms. Der Orthopäde, 46(5), 395–401.
- Geigner, B. (2019). Konservative Therapie häufiger orthopädischer Fußkrankheiten. Orthopädie & Rheuma, 22(2), 43–47.
- Heinze, A. (2019). Hallux valgus. Arthritis und Rheuma, 39(03), 183–187.
- Menz, H. B., Roddy, E., Marshall, M., Thomas, M. J., Rathod, T., Peat, G. M., & Croft, P. R. (2016). Epidemiology of shoe wearing patterns over time in older women: associations with foot pain and hallux valgus. Journals of Gerontology Series A: Biomedical Sciences and Medical Sciences, 71(12), 1682–1687.
- Munteanu, S. E., Menz, H. B., Wark, J. D., Christie, J. J., Scurrah, K. J., Bui, M., ... & Wluka, A. E. (2017). Hallux valgus, by nature or nurture? A twin study. Arthritis care & research, 69(9), 1421–1428.
- Niethard, F. U., Pfeil, J. & Biberthaler, P. (2009). Orthopädie und Unfallchirurgie. Stuttgart: Thieme.
- Putz, C., Hagmann, S., & Dreher, T. (2018). Bildgebende Diagnostik des Fußes. Der Radiologe, 58(5), 400–405.
- Schievink, F. (2017). Orthopädieschuhtechnische Versorgung mit Einlagen und orthopädischen Schuhzurichtungen. Fuß & Sprunggelenk, 15(4), 217–224.
- Stukenborg-Colsman, C. (2017). Hallux valgus. Der Orthopäde, 46(5), 387–387.
- Stukenborg-Colsman, C., Claaßen, L., Ettinger, S., Yao, D., Lerch, M., & Plaaß, C. (2017). Distale Korrekturosteotomie zur Behandlung des Hallux valgus (Chevron-Osteotomie). Der Orthopäde, 46(5), 402–407.
- Thomas, M. (2017). Die erworbene Hallux varus Deformität. Fuß & Sprunggelenk, 15(3), 181–189.
- Waizy, H., Bouillon, B., Stukenborg-Colsman, C., Claaßen, L., Danniilidis, K., Plaaß, C., & Arbab, D. (2017). Weichteiltechniken in der Hallux-valgus-Chirurgie. Der Orthopäde, 46(5), 434–439.
- Zirngibl, B., Grifka, J., Baier, C., & Götz, J. (2017). Hallux valgus. Der Orthopäde, 46(3), 283–296.