- Was ist das Syndesmoseband am Sprunggelenk?
- Ursachen für einen Syndesmosebandriss
- Diagnose einer Verletzung des Syndesmosebands
- Symptome: Worunter leiden Patienten mit Syndesmosebandriss?
- Formen des Syndesmosebandrisses und mögliche Fehlstellungen
- Wie verhindert man Langzeitschäden nach Syndesmosebandriss?
- Konservative Behandlung bei Syndesmoseriss
- Operative Behandlung von Sprunggelenkbeschwerden nach Syndesmosenverletzung

Die Akutbehandlung einer akuten Verletzung mit Syndesmosebandriss (Syndesmosenruptur) am Sprunggelenk erfolgt meist in einem Krankenhaus in Wohnortnähe. Als Spätfolgen einer nicht umfassend geführten Behandlung der Syndesmosenverletzung oder des Syndesmoserisses drohen den Patienten chronische Sprunggelenkschmerzen, Bewegungseinschränkungen oder fortschreitender Gelenkverschleiß im Sprunggelenk (Sprunggelenksarthrose).
Die Spezialisten für Fuß- und Sprunggelenkchirurgie der Gelenk-Klinik bieten Betroffenen im Rahmen der Behandlung nach Syndesmosenverletzung die Klärung folgender Fragen:
- Wie ist die genaue Situation und Beweglichkeit Ihres Sprunggelenks nach der Verletzung?
- Welche Heilungsprognose besteht in Ihrem Fall nach aktuellem Stand der Wissenschaft?
- Besteht bei Ihnen die Gefahr einer Sprunggelenksarthrose oder gibt es bereits erste Hinweise?
- Welche konservativen oder operativen Methoden können die Prognose Ihrer Syndesmosenverletzung verbessern?
- Wie sieht ein konservativer oder ggf. operativer Langzeitbehandlungsplan bei Ihrer speziellen Verletzung aus?
Was ist das Syndesmoseband am Sprunggelenk?
Die Syndesmose ist ein Band aus festem Bindegewebe und stellt einen wichtigen Teil des oberen Sprunggelenks (OSG) dar.
Das obere Sprunggelenk wird gebildet aus dem Wadenbein (Fibula) mit dem Außenknöchel, dem Schienbein (Tibia) mit dem Innenknöchel und dem unterhalb (distal) liegenden Sprungbein (Talus). Die körperfernen (distalen) Anteile von Schien- und Wadenbein bilden die sogenannte Sprunggelenksgabel (Malleolengabel), die das Sprungbein wie eine Gabel von oben umfasst. Die Kontaktfläche ist mit einer Knorpelschicht überzogen und die Gelenkpartner passen zu annähernd 100 Prozent aufeinander. Diese hohe Passgenauigkeit bezeichnet man als kongruent.
Syndesmoseband besteht aus drei Anteilen

Das obere Sprunggelenk wird durch Außen- und Innenbänder in Position gehalten. Das Syndesmoseband stabilisiert mit seiner komplexen Struktur maßgeblich die Sprunggelenksgabel, verhindert ihr Auseinandergleiten und sorgt für eine elastische, federnde Aufhängung.
Das Syndesmoseband im Sprunggelenk besteht aus drei Anteilen, der vorderen, der mittleren oder interossären und der hinteren Syndesmose.
Ursachen für einen Syndesmosebandriss
Bei Drehbewegungen des Sprunggelenks kann es zu starken Belastungen der Sprunggelenksgabel und der Syndesmose kommen, insbesondere, wenn zusätzlicher Druck von außen auf das Gelenk wirkt.
Auch nach einem Umknicktrauma mit gedrehtem Sprunggelenk kann das Syndesmoseband aufgrund der Scherbewegung zwischen Schien- und Wadenbein reißen. Ein Syndesmoseriss tritt typischerweise als Sportverletzung bei Fußballspielern auf.
Welche Spätschäden sind nach Verletzung oder Riss des Syndesmosebandes zu befürchten?
Bei mehr als ein Drittel aller Patienten, die sich mit schwerer Sprunggelenksarthrose in der Gelenk-Klinik vorstellen, können wir eine Verletzung im Bereich der Syndesmose feststellen.
Jede Verletzung der Sprunggelenksgabel und viele Sprunggelenksfrakturen sind mit einer Verletzung oder einem Riss der Syndesmose verbunden. Derartige Verletzungen erhöhen die Gefahr für eine Arthrose im oberen Sprunggelenk um ein Vielfaches. Nur eine exakte und umfassende Diagnostik in einem möglichst frühen Stadium sowie die operative Wiederherstellung der Sprunggelenksgabel und umgebender Strukturen können Spätschäden durch Arthrose vermeiden.
Es gilt für den orthopädischen Facharzt, die im Rahmen von Verletzungen eintretenden Schädigungen möglichst früh zu erkennen und eine optimale Behandlung einzuleiten.
Diagnose einer Verletzung des Syndesmosebandes
Bereits in der Akutphase der Syndesmosenverletzung und im Fall persistierender Beschwerden trotz medizinischer Versorgung ist eine genaue Diagnostik sehr wichtig.
Die Fuß- und Sprunggelenkspezialisten führen bei Verdacht auf Syndesmosebandriss ein röntgenbasiertes Schnittbildverfahren auf beiden Seiten durch, die digitale Volumentomographie (DVT). Die DVT zeigt beim stehenden Patienten , ob die Sprunggelenksgabel unter Belastung aufgeweitet und damit instabil ist. Eine weitere bildgebende Methode zur sicheren Diagnose einer Syndesmosenverletzung ist die noch recht neue und nicht sehr verbreitete Methode der Weight-bearing-Computertomographie (WBCT).
Die Beurteilung der Syndesmosenverletzung ist nach einer DVT-Untersuchung viel genauer möglich als nach Magnetresonanztomographie oder Röntgen. Aktuelle Röntgenaufnahmen ermöglichen dem behandelnden Arzt allerdings, das Ausmaß der gesamten Verletzung einzuschätzen, insbesondere bei begleitenden Sprunggelenkfrakturen. Gerade aufgrund der Häufigkeit eines Syndesmoserisses bei Freizeit- und Leistungssportlern bietet das DVT als bildgebendes Verfahren der Gelenk-Klinik ideale Voraussetzungen für eine exakte Diagnosestellung.
Symptome: Worunter leiden Patienten mit Syndesmosebandriss?
Viele Patienten stellen sich nach einer vorangegangenen Verletzung des oberen Sprunggelenks mit folgenden Restbeschwerden bei uns in der Sprechstunde vor:
- Sprunggelenkschmerzen und Schwellung, meist im vorderen Sprunggelenksbereich an der Außenseite,
- plötzlich einschießende Schmerzen beim Gehen auf unebenem Gelände, chronische Instabilität im Sprunggelenk,
- Sprunggelenkschmerzen nach sportlicher Aktivität,
- Zunahme der Beschwerden nach Entfernung von Implantaten nach Osteosynthese bei Sprunggelenksfrakturen.
Dabei sind Art und Stärke der Beschwerden abhängig von der zugrundeliegenden Verletzung der Syndesmose:
Ist das Syndesmoseband durch eine Verdrehung des Fußes überdehnt, kommt es zu Knöchelschwellung und leichten Schmerzen beim Auftreten, ohne dass die Betroffenen unter einem instabilen Sprunggelenk leiden.
Bei einem Teilriss des Syndesmosebandes beobachten wir meist eine starke Knöchelschwellung und Schmerzen beim Gehen und Stehen - immer noch bei stabilem Sprunggelenk.
Patienten mit einem kompletten Syndesmoseriss können nicht mehr gehen und haben starke Schmerzen und einen Bluterguss (Hämatom). Sie spüren, dass ihr Sprunggelenk instabil ist und können den Fuß nicht mehr rotieren.
Warum kommen viele Patienten erst nach Monaten oder nach operativer Vorbehandlung in die Gelenk-Klinik?
Im Rahmen der Erstversorgung einer Syndesmosenverletzung wird auch heute noch häufig auf hochwertige Bilddiagnostik mit Schnittbildern unter Belastung verzichtet. Auch die postoperative Kontrolle der Sprunggelenksgabel und damit der Situation der Syndesmose wird nicht regelmäßig durchgeführt.
Die in der Folge entstehenden Beschwerden führen daher häufig zur Konsultation eines auf Sprunggelenkserkrankungen spezialisierten, orthopädischen Facharztes. Dieser zieht im Fall eingeschränkter Beweglichkeit im Sprunggelenk auch die Entstehung einer Arthrofibrose bei der anschließenden Therapie in Erwägung. Bei einer Arthrofibrose findet eine überschießende Vermehrung von Bindegewebe im Rahmen des Heilungsprozesses statt und es kann hierdurch zu Gelenkblockaden kommen.
Beratung und Therapieentscheidung machen daher eine individuelle Analyse der Situation, eine aufwändige Diagnostik sowie eine hohe Spezialisierung des Orthopäden notwendig.

Formen des Syndesmosebandrisses und mögliche Fehlstellungen

Akute Verletzungen benötigen ein anderes Vorgehen als chronische Verletzungen mit bleibenden Beschwerden und Instabilitäten. Patienten mit Sprunggelenksarthrose erfordern ebenfalls andere Schwerpunkte in der Diagnostik und in der Therapieplanung.
Daher erfragt der behandelnde Arzt möglichst genau den Unfallhergang, die bisher erfolgten Behandlungen, die persönliche Situation und die Möglichkeiten der Nachbehandlung bei den Patienten.
Die Behandlungsmöglichkeiten sind wesentlich vom Unfallmechanismus und vom Verletzungsmuster abhängig. És gibt verschiedene Arten von Bandverletzungen der Syndesmose. Je nach Anzahl und Abschnitt der Syndesmose sind verschiedene Behandlungsoptionen möglich.

Knöcherner Ausriss der Syndesmose: eine besondere Herausforderung
Weiterhin sind knöcherne Ausrisse der Syndesmose im vorderen, hinteren oder im interossären Bereich möglich. Diese Verletzungen haben eine besondere Relevanz für die Therapie. Diese knöchernen Verletzungen sollte man im Rahmen der Frakturversorgung oder auch bei einer notwendigen Revision möglichst genau wiederherstellen, um Fehlstellungen der Sprunggelenksgabel zu vermeiden.
Bei nicht optimaler Wiederherstellung der Knochenstellung (Reposition) nach knöchernem Ausriss der Syndesmose ergeben sich fast unvermeidbar Folgeschäden. Meist resultiert eine bleibende massive Syndesmoseninstabilität. Ob eine Operation angeraten ist, hängt immer auch von der Größe der Bandfragmente ab und wie genau der Ausriss verläuft.

Mögliche Fehlstellungen des Wadenbeins nach Syndesmoseriss
Für die Funktion der Sprunggelenksgabel sind die Stellung und die Stabilität der Fibula im distalen Tibiofibulargelenk entscheidend. So wirken sich die Verbreiterung der Sprunggelenksgabel aber auch die Verdrehung auf Position und Kraftübertragung von Sprungbein auf den Unterschenkel aus - mit weitreichenden Folgen.
Folgende Fehlstellungen des Wadenbeins existieren:
- Diastase: Aufweitung der Sprunggelenksgabel,
- Shift: Verschiebung des Wadenbeins nach vorne oder hinten,
- Drehung und Verschiebung des Wadenbeins.

Insbesondere bei Erstdiagnostik und Erstbehandlung werden abhängig vom Verletzungsmuster unterschiedliche Behandlungsansätze und operative Behandlungen durchgeführt. Aktuelle Studien konnten nachweisen, dass eine möglichst optimale Ausrichtung der Sprunggelenksgabel wesentlich zur Stabilität im Schienbein-Wadenbeingelenk beiträgt.
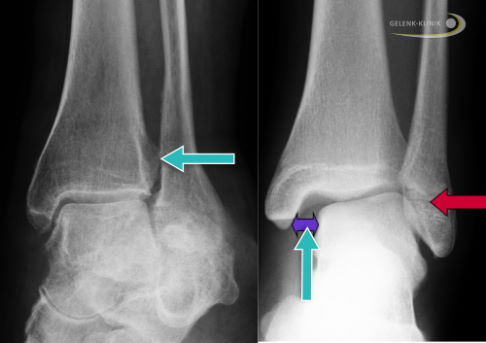
Bei unzureichender Positionierung des Wadenbeins in der Sprunggelenksgabel kann sich im Röntgenbefund unter Belastung und im DVT eine sogenannte Diastase darstellen - ein nach außen hin vergrößerter Abstand der beiden Unterschenkelknochen.
Möglich ist auch eine Verschiebung (Shift) des Wadenbeins, nach vorne häufig begleitet von einer Innenrotation. Eine Verschiebung nach hinten (dorsal) tritt nicht selten mit einer Außenrotation der Fibula auf.
Weitere Schäden am Wadenbein wie Verkürzungen haben ebenfalls großen Einfluss auf die Kontaktfläche des Sprungbeins in der Sprunggelenksgabel und damit auf die Gelenkstabilität.
Was bedeutet eine veränderte Kontaktfläche im oberen Sprunggelenk?

Im Wesentlichen wird der Behandlungserfolg bei Verletzungen im oberen Sprunggelenk durch Verlaufskontrollen gesichert. Nicht nur nach Verletzung der Sprunggelenksgabel, sondern auch nach Außenband- oder Innenbandverletzungen können sich biomechanische Veränderungen im Sprunggelenk des Patienten ergeben, die einer Behandlung bedürfen.
Bei den Kontrollen ermittelt der Orthopäde eventuelle Fehlstellungen sowie den noch bestehende Kontakt der Gelenkpartner im oberen Sprunggelenk. Die hohe Passgenauigkeit (Kongruenz) im Sprunggelenk ist erfahrungsgemäß sehr empfindlich gegenüber Abweichungen: Bereits eine Erweiterung der Sprunggelenksgabel um 1 mm reduziert Studien zufolge die Kontaktfläche um bis zu 40 %. In der Folge werden andere lokale Gelenkabschnitte überlastet und verschleißen.
Wie verhindert man Langzeitschäden nach Syndesmosebandriss?
Nach einer Verletzung prüft der Arzt die Stabilität des oberen Sprunggelenks entweder unter Lokalanästhesie oder im Rahmen einer belasteten DVT-Untersuchung. Die Aufnahmen werden beidseitig vergleichend durchgeführt, falls es eine unverletzte Seite gibt. Dieses Vorgehen ermöglicht die sichere Beurteilung von unfallbedingten Abweichungen im Gelenk.
Das wesentliche Ziel des Orthopäden ist, die Position der knöchernen Gelenkpartner möglichst gut wiederherzustellen.
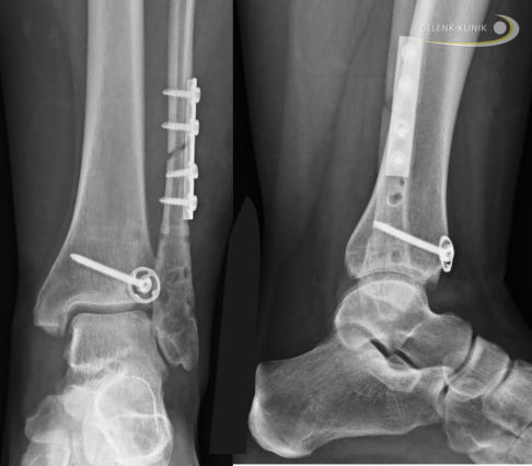
Weiterhin ist eine frühzeitige Abklärung von weiteren Knochen- und Weichteilverletzungen im Rahmen von Sprunggelenksfrakturen oder einer Maisonneuve-Verletzung wichtig. Bei einer Weber-C-Sprunggelenksfraktur mit gleichzeitiger Verletzung von Wadenbein und Syndesmoseband erfolgt in der Regel der Einsatz eines Implantats in einer Osteosynthese.
Bei der Erstversorgung einer Maisonneuve-Verletzung, bei der das Syndesmoseband, die Membrana interossea cruris und das Volkmann-Dreieck verletzt sind, werden in der Gelenk-Klinik häufig stabilisierende Stellschrauben eingesetzt. Wir belassen die Stellschrauben wie auch die Schrauben nach Osteosynthese für mindestens 8 Wochen im Sprunggelenk.
Auch die primäre Versorgung der Maisonneuve-Verletzung mit guter Einstellung der Fibula ist elementar bei ausgeprägter Instabilität. Hier werden häufig 2 stabilisierende Träger verwendet. Bei der Weber C-Fraktur mit gleichzeitiger Syndesmosenverletzung wird oft nur ein Implantat verwendet. Vorteile der statischen Schraubenfixierung im Vergleich zur dynamischen Behandlung sind bei wissenschaftlichen Untersuchungen bisher nicht festgestellt worden.
Zunehmend belassen die Spezialisten der Gelenk-Klinik die implantierten Stellschrauben nach Syndesmosenverletzung auch nach der 8. Woche. Die längere Stabilisierung ergibt bei den schweren Verletzungen des Sprunggelenkgabel insgesamt eine bessere Heilungschance.
Welche Konsequenzen hat die Sprunggelenksarthrose nach langjähriger Syndesmosenschädigung?
Stellen wir beim Patienten eine bereits fortgeschrittene Arthrose des oberen Sprunggelenks mit Instabilität der Sprunggelenksgabel durch die langjährige Syndesmoseschädigung fest, ist eine prothetische Versorgung nur mit gleichzeitiger Versteifung (Arthrodese) des Schienbein-Wadenbein-Gelenks möglich.
Hierzu werden Stellschrauben mit Knochenanlagerung zur Fixierung der Sprunggelenksgabel im Rahmen der prothetischen Versorgung eingebracht. Alternativ kann eine Versteifung des oberen Sprunggelenkes unter gleichzeitiger Fusion (Arthrodese) des distalen Tibiofibulargelenkes durchgeführt werden.
Auch bei der Fusion des Sprunggelenks führen wir keine Ablösung des Außenknöchels durch. Wir beabsichtigen immer, die Sprunggelenksgabel zu erhalten und es erfolgt die Anlagerung von Knochen zur Stabilisierung des Tibiofibulargelenks.
Sollte im Rahmen der weiteren Behandlung eine prothetische Versorgung nach oberer Sprunggelenksversteifung beabsichtigt sein, ist die Sprunggelenksgabel stabil und ermöglicht diese Versorgung auch sekundär. Oberstes Ziel ist dabei stets, eine Sprunggelenksarthrose zu vermeiden.
Konservative Behandlung bei Syndesmoseriss
Syndesmosenverletzungen insbesondere der vorderen Syndesmose kann der Arzt konservativ mithilfe von Ruhigstellung und Schonung behandeln. Dabei schränkt er die Kippung des Fußes in Richtung Unterschenkel (Pronation und Supination) sowie die Beweglichkeit im oberen Sprunggelenk (Dorsalextension und Plantarflexion) ein.
Beim konservativen Behandlungsansatz sollten knöcherne Ausrissverletzungen der Syndesmose sowie begleitende Schäden vom Spezialisten sicher ausgeschlossen werden.
Behandlung von knöchernen Verletzungen bei Syndesmosebandriss
Ein Syndesmosenausriss kann mit der Ablösung von Knochenfragmenten verbunden sein: Man spricht beim vorderen Ausriss an der ventralen Seite des Schienbeins vom "Tubercule de Tillaux Chaput" und beim wadenbeinseitigen Ausriss vom "Wagstaffe-Fragment". Beide Knochenfragmente können mit Schrauben refixiert werden.
Was sind Synostosen am Sprunggelenk?
Synostosen am Sprunggelenk sind knöcherne Verwachsungen zwischen Schienbein und Wadenbein. Man spricht hier von von tibiofibularen Synostosen. Diese sind häufig nicht komplett ausgebildet und beide Knochen bleiben beweglich.
Die Synostosen am Sprunggelenk sind häufig eine Zufallsdiagnose. Symptome entstehen oft nur, wenn gleichzeitig eine Instabilität der Knochen vorhanden sind. Nur selten ist eine alleinige Entfernung der Synostose zielführend im Rahmen der Behandlung. Daher sind häufig zusätzlich stabilisierende Maßnahmen der Syndesmose notwendig.
Heterotope Ossifikationen am Sprunggelenk
Heterotope Ossifikationen sind an vielen Gelenken eine häufige Erkrankung, insbesondere am Hüftgelenk. Heterotope Ossifikationen beeinträchtigen das Behandlungsergebnis hochgradig und stellen zum Teil eine schwere, einschränkende Komplikation dar.
Auch am Sprunggelenk sind heterotope Ossifikationen beschrieben und treten häufig nach Verletzungen und nach Einsatz von Sprunggelenksprothesen auf. Auch die oben beschriebenen Synostosen gehören dazu.
Eine Prophylaxe mit entzündungshemmenden Medikamenten oder eine präoperative Bestrahlung werden selten durchgeführt. Heterotope Ossifikationen, die bei der Implantation einer Sprunggelenksprothese zutage treten, entfernt der Operateur, um die Beweglichkeit der Sprunggelenkprothese zu erhalten.
Operative Behandlung von Sprunggelenkbeschwerden nach Syndesmosenverletzung
Sprunggelenkbeschwerden nach Ausheilung von Verletzungen können auch ihre Ursache in einer Narbenbildungen im Sprunggelenk haben. Dies ist im stark belasteten Sprunggelenk durch die sehr enge Kontaktfläche der Gelenkpartner nicht selten nach Unfällen der Fall. Bewegungseinschränkungen oder Einsteifungen, aber auch immer wiederkehrende Schmerzen im vorderen oder hinteren Sprunggelenk sind die Folge.
Arthroskopie: minimalinvasive Schlüssellochtechnik
Gerade nach Unfällen sind oft nicht nur Knochen und Knorpel im Sprunggelenk betroffen, sondern auch assoziierte Weichteilstrukturen. Daher ist die operative Behandlung einer Weichteileinklemmung im vorderen Sprunggelenk nach Syndesmosenverletzung nach operativer aber auch nach konservativer Verletzungsbehandlung zum Teil sehr hilfreich.
In der Gelenk-Klinik wird hier erfolgreich das schonende Verfahren der Gelenkspiegelung (Arthroskopie) im Sprunggelenk eingesetzt, auch bekannt als Schlüssellocheingriff. Die Arthroskopie dient nicht nur der Abklärung von noch bestehenden Restschäden, sondern der Operateur kann direkt eine Behandlung einleiten. Gerade bei starken Verletzungen kann nach Monaten aber auch nach Jahren die Situation durch einen arthroskopischen Eingriff noch spürbar verbessert werden.

Mit der arthroskopischen Arthrolyse, d. h. die Ablösung und Abtragung von Weichteilen im Gelenk, kann der Arzt eingeklemmtes Narbengewebe oder freie Gelenkkörper (loose bodys) entfernen und dem Patienten zu Schmerzfreiheit verhelfen. Auch bei Arthrofibrose des Sprunggelenks sind stets zusätzliche Weichteilbehandlungen notwendig. In diesen Fällen werden Kapsel- und Sehnengewebe, entzündetes Gewebe über Knochenvorsprüngen wie zum Beispiel Schleimbeutel oder geschädigte Nerven behandelt.
Gute Ergebnisse nach Sprunggelenksarthroskopie
Die Ergebnisse einer arthroskopischen Behandlung durch einen Sprunggelenkspezialisten sind sehr gut, wenn keine Instabilität des oberen Sprunggelenks vorliegt.
Im Rahmen der arthroskopischen Operation ist die Beurteilung der Syndesmose und der Bänder im oberen Sprunggelenks immer ein wichtiger Teil des Eingriffs. Der Operateur führt während der Operation (intraoperativ) Tests in Narkose zur Kontrolle der Stabilität durch. Er erkennt gleichzeitig Knorpelschäden und Anzeichen für eine Sprunggelenksarthrose und kann möglicherweise mechanische Hindernisse wie Osteophyten sofort entfernen.
Ein besonderer Vorteil der Arthroskopie ist die Möglichkeit einer sofortigen Belastung. Direkt im Anschluss kann die Rehabilitation mit Bewegungstherapie beginnen und am Ende steht ein deutlich besseres Gesamtergebnis als nach Versorgung der frischen Verletzung.
Welche Behandlungsmöglichkeiten gibt es nach Syndesmosenruptur mit bleibender Instabilität?
Auch bei bestehender Instabilität nach Syndesmosenverletzungen und frühzeitiger Diagnose kann eine Sprunggelenksarthrose noch vollständig vermieden werden.
Anfangs kann eine direkte Heilung durch Naht und Fixierung der Syndesmose erreicht werden. Hierdurch wird die Stellung der Unterschenkelknochen korrigiert und fixiert. Die Heilungsphase beträgt in der Regel 8 bis 12 Wochen. Vorbereitend können Eingriffe zur Reposition oder Narbenentfernung im Sprunggelenk notwendig sein.

Ohne die Entfernung der Narben am Innenknöchel sowie bandrekonstruktive Maßnahmen an der Innenseite des Sprunggelenks kann die Stellungsänderung nicht mehr erfolgen und keine Stabilität mehr erreicht werden.
Die Heilung der Syndesmose ist immer hilfreich und sinnvoll. Die Wiederherstellung der Sprunggelenksgabel und die Stabilität kann sowohl direkt nach dem Unfall, als auch bei länger bestehender Schädigung erfolgen. Allerdings gilt: Je länger die Schädigung bereits besteht, desto geringer ist die Chance eine direkten Rekonstruktion und Heilung.
Bandplastik beugt chronischen Schäden vor
Gerade die chronische Schädigung der Syndesmose kann bei Instabilität ohne ausgeprägte Sprunggelenksarthrose im Rahmen eine Syndesmosenplastik gebessert werden.
Eine Bandplastik verwendet körpereigenes Gewebe zur Verstärkung von nicht mehr vorhandenen Bändern. Die Verwendung von Sehnenanteilen hat sich in der Gelenk-Klinik bei der Wiederherstellung der Syndesmosefunktion bewährt. Zur Rekonstruktion der Syndesmose wird ein Anteil einer Sehne aus der Unterschenkelregion verwendet.
Welche Formen von Bandrekonstruktion gibt es?
Für die Wiederherstellung der Syndesmose gibt es verschiedene Möglichkeiten:
- Anfangs kann die Syndesmose durch ausreichende Fixierung stabilisiert werden.
- Bei nicht zu alter Schädigung der Syndesmose kann eine Stellschraube oder auch eine dynamische Fixierung ausreichen. Dies ermöglicht eine Vernarbung und damit auch eine Stabilisierung des Sprunggelenksgabel. Besonders wichtig ist hierbei die richtige Reposition, also die optimale Einstellung des Wadenbeins in der Sprunggelenksgabel. Mithilfe einer Repositionszange kann der Arzt die Einstellung erneuern und anschließend nach Korrektur fixieren. Er beachtet dabei auch die Korrektur einer Verschiebung (Shift) oder eines Aufweitung (Diastase) des Wadenbeins. Daraus resultiert die korrekte Lage des Sprungbeins im Sprunggelenk.
- Bei Fehlstellungen, die bereits mehrere Monate bestehen, empfehlen wir die bandplastische Wiederherstellung. Bei der bandplastischen Rekonstruktion (Castaing Plastik) verwendet man die längs halbierte Sehne des langen Wadenbeinmuskels (Musculus fibularis longus) und rekonstruiert damit alle drei Bandanteile der Syndesmose. Die drei Bandanteile der Syndesmose besitzen eine sehr hohe Stabilität. Daher ist diese Rekonstruktion auch nach Verletzungen eine gute Chance, das Sprunggelenk zu retten.


Wie behandelt man fehlverheilte knöcherne Ausrisse der Syndesmose?
Die Bandplastik ist bei direkter Schädigung der Bandstruktur sinnvoll. Kam es im Rahmen der Verletzung zu einem Ausriss der Syndesmose, kann es auch im Verlauf noch sinnvoll sein, diese Knochenverletzung wieder aufzulösen und zu rekonstruieren. Die Bandanteile sind hierbei ja am Knochen noch befestigt.
Fehlverheilte Verletzungen nach knöchernen Syndesmosenausrissen gibt es in verschiedenen Ausprägungen und an verschiedenen Stellen. Der Ansatzbereich der Syndesmose kann besonders bei frischer Verletzung gut direkt versorgt werden. Ein vorderer oder hinterer knöcherner Ausriss muss bei entsprechender Größe direkt später mit Repositionierung therapiert werden. Unser primäres Ziel ist es, diese Verletzungen für eine gute Prognose möglichst gut wiederherzustellen.
Sind sowohl eine Innenbandverletzung als auch eine Syndesmosenverletzung vorhanden, ergibt sich eine besondere Instabilität des oberen Sprunggelenkes. Nach unserer Erfahrung ist hier eine alleinige Behandlung des Syndesmosebandes nicht ausreichend. Zusätzlich sollte eine Rekonstruktion des nicht ausreichend stabilen Innenbandapparates erfolgen.

Literaturangaben
- Chun, D. I., Cho, J. H., Min, T. H., Yi, Y., Park, S. Y., Kim, K. H., ... & Won, S. H. (2019). Diagnostic accuracy of radiologic methods for ankle syndesmosis injury: a systematic review and meta-analysis. Journal of Clinical Medicine, 8(7), 968.
- Jiao, C., Gui, J., Kurokawa, H., Tanaka, Y., Yung, P., Han, S. H., ... & Ling, S. K. (2021). APKASS Consensus Statement on Chronic Syndesmosis Injury, Part 1: Clinical Manifestation, Radiologic Examination, Diagnosis Criteria, Classification, and Nonoperative Treatment. Orthopaedic Journal of Sports Medicine, 9(6), 23259671211021057.
- Kim, G. B., & Park, C. H. (2021). Hybrid fixation for Danis-Weber type C fractures with syndesmosis injury. Foot & Ankle International, 42(2), 137-144.
- Mak, M. F., Stern, R., & Assal, M. (2018). Repair of syndesmosis injury in ankle fractures: Current state of the art. EFORT Open Reviews, 3(1), 24-29.
- Mercan, N., Yıldırım, A., & Dere, Y. (2022). Biomechanical Analysis of Tibiofibular Syndesmosis Injury Fixation Methods: A Finite Element Analysis. The Journal of Foot and Ankle Surgery.
- Song, L., Liao, Z., Kuang, Z., Qu, S., Zhang, W., Yuan, Y., & Fang, T. (2020). Comparison of tendon suture fixation and cortical screw fixation for treatment of distal tibiofibular syndesmosis injury: A case-control study. Medicine, 99(34).
- Wake, J., & Martin, K. D. (2020). Syndesmosis injury from diagnosis to repair: physical examination, diagnosis, and arthroscopic-assisted reduction. JAAOS-Journal of the American Academy of Orthopaedic Surgeons, 28(13), 517-527.
- Yu, G. S., Lin, Y. B., Xiong, G. S., Xu, H. B., & Liu, Y. Y. (2019). Diagnosis and treatment of ankle syndesmosis injuries with associated interosseous membrane injury: a current concept review. International Orthopaedics, 43(11), 2539-2547.