- Was ist eine Sprunggelenksfraktur?
- Ursachen einer Sprunggelenksfraktur
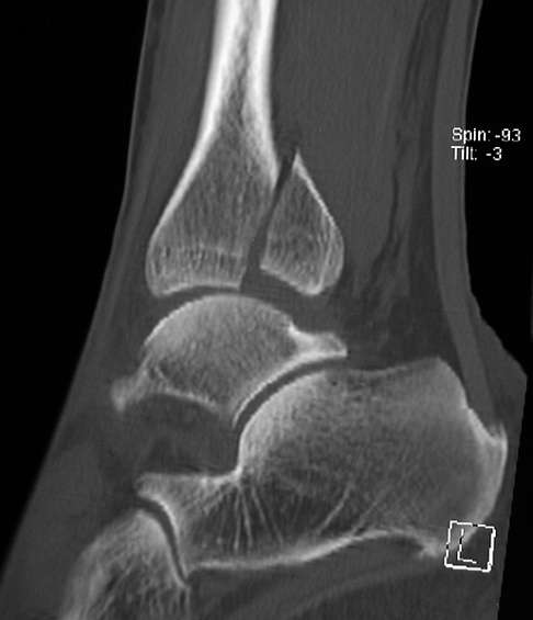
- Diagnose: Wie untersucht der Orthopäde das Sprunggelenk?
- Konservative Behandlung der Sprunggelenksfraktur
- Operative Therapie der Sprunggelenksfraktur
- Was sind mögliche Spätfolgen einer Sprunggelenksfraktur?
- Häufige Patientenfragen zur Sprunggelenksfraktur an Dr. Thomas Schneider von der Gelenk-Klinik

Einteilung nach Weber
- Weber-A-Fraktur:
Fraktur des OSG unterhalb der Syndesmose - Weber-B-Fraktur:
Fraktur auf Höhe der Syndesmose. Sie ist daher häufig mit verletzt. - Weber-C-Fraktur:
Fraktur oberhalb der Syndesmose. Sie ist daher stets mit verletzt (Syndesmosebandriss).
Sprunggelenksfrakturen kommen in jedem Alter vor. Diese Knochenbrüche im Bereich des Knöchels werden in Deutschland typischerweise nach der Weber-Klassifikation eingeteilt. Da das Sprunggelenk komplex aus drei verschiedenen Knochen aufgebaut ist, teilt man Frakturen nach der Lage der Brüche und der Anzahl der gebrochenen Knochen ein. Sprunggelenksfrakturen gehen mit starken Schmerzen im Sprunggelenk einher.
Externer Inhalt von youtube.com
Was ist eine Sprunggelenksfraktur?
Unter einer Sprunggelenksfraktur versteht man Frakturen der Knöchelregion: Es kommen sowohl isolierte Frakturen des Außenknöchels oder des Innenknöchels vor. Die Mehrzahl aller Frakturen betrifft aber den aus dem Wadenbein (Fibula) bestehenden Außenknöchel. Auch Kombinationsverletzungen beider Knöchel sind möglich. Man spricht dann von einer bimalleolären Fraktur des Sprunggelenks, wenn Fibula (Wadenbein, außen) und Tibia (Schienbein, innen) betroffen sind.
Die Einteilung der Sprunggelenksfrakturen erfolgt systematisch anhand der Lage der Fraktur an Innen- und Außenknöchel.

Klassifikation der Sprunggelenksfraktur nach Weber
- Weber-A: Die Fraktur liegt unterhalb der Syndesmose (Bandverbindung zwischen Schienbein und Wadenbein), die Syndesmose ist also nicht beschädigt. Hier ist meistens die Behandlung durch Ruhigstellung (Eingipsen) ausreichend.
- Weber-B: Bei der Weber-B-Verletzung ist der Bereich um die Syndesmose in die Fraktur miteinbezogen. Die Syndesmose kann auch gerissen sein. Meistens ist bei der Weber-B-Verletzung des Sprunggelenks eine operative Behandlung der Fraktur notwendig.
- Weber-C: Hier liegt die Fraktur oberhalb der Syndesmose. Deswegen ist die Syndesmose immer auch gerissen. Die Membran zwischen Schienbein und Wadenbein (Membrana interossea cruris) ist meistens auch verletzt. Diese Weber-C-Verletzung des Sprunggelenks wird in einer bestimmten Ausprägung auch als Maisonneuve-Fraktur bezeichnet. Auch bei der Weber-C-Fraktur ist eine operative Versorgung notwendig, um die Sprunggelenksgabel wiederherzustellen.
Externer Inhalt von youtube.com
Die Rolle der Syndesmose
In schweren Fällen erfolgt die Fraktur des Sprunggelenks mit Beteiligung der Syndesmose. Die Syndesmose ist die flächige Bandverbindung zwischen Schienbein und Wadenbein. Sie stabilisiert die Sprunggelenksgabel und hält sie zusammen. Bei Beschädigung der Syndesmose bei Sprunggelenksfrakturen besteht die Gefahr, dass die Sprunggelenksgabel dauerhaft instabil bleibt. Die Destabilisierung der Sprunggelenksgabel ist eine wichtige Ursache für die Arthrose des Sprunggelenks, wenn sie nicht rechtzeitig versorgt wird. Daher ist die Beteiligung der Syndesmose das Kriterium, nach der die Einteilung von Sprunggelenksfrakturen erfolgt.
Verlauf einer Sprunggelenksfraktur
Welche Schäden treten am Sprunggelenk auf?
- osteochondrale Läsionen (Knochen-Knorpelschäden)
- Außenbandrupturen
- Innenbandrupturen
- Schäden an der Syndesmose
- Nervenschäden
- Schäden an Blutgefäßen
- Schäden am Weichteilmantel des Sprunggelenks
Brüche des Sprunggelenks entstehen immer aus einer Verrenkung des Gelenks. Wenn die Gelenkpartner aus dem Gelenk herausgedreht werden, entstehen erst Dehnungen, dann Zerrungen oder Risse an Sehnen und Bändern. Zudem können osteochondrale Läsionen des Sprunggelenks resultieren. Sie treten aber nicht immer begleitend zu Sprunggelenksfrakturen auf. Osteochondrale Läsionen sind gleichzeitig auftretende Schäden an Knorpel und Knochen im Gelenk. Werden die Kräfte der Distorsion (Verdrehung) durch Umknicken nach innen oder nach außen stärker, reißen häufig auch Bänder am Sprunggelenk. Bei noch stärkerer Scherbelastung brechen auch Schienbein und Wadenbein. Dabei ist meistens zuerst das dünnere Wadenbein (Fibula) betroffen.
Bei sehr starken Kräften oder Krafteinwirkung mit hoher Geschwindigkeit kann neben Außen- und Innenknöchel auch der hintere Teil des Schienbeinknochens brechen (trimalleoläre Fraktur). Entsteht dabei ein dreiecksförmiges Knochenfragment, spricht man vom sogenannten Volkmann-Dreieck.
Ausmaß der OSG-Fraktur:
- Bruch des Außenknöchels:
Nur das Wadenbein ist gebrochen - Bimalleoläre Sprunggelenksfraktur:
Sowohl Wadenbein als auch Schienbein sind gebrochen - Trimalleoläre Sprunggelenksfraktur:
Innenknöchel, Außenknöchel und der hintere Teil der Schienbeinkante sind gebrochen - Maisonneuve-Fraktur:
Es besteht eine Innenknöchelfraktur oder Innenbandverletzung in Kombination mit einer hohen Fibulafraktur. Die Syndesmose ist bei Maisonneuve immer gerissen.
Aus diesem kontinuierlichen Verlauf folgt, dass Sprunggelenksfrakturen mit einem ganzen Set an Verletzungen an Weichteilen, Gelenkkapsel, Knorpel, Knochen und Bändern einhergehen: Diese müssen alle bei der Therapie berücksichtigt werden.
Vor allem osteochondrale Läsionen werden im Röntgenbild häufig leicht übersehen. Das ist besonders wichtig für die Nachbehandlung: Häufig orientiert sich die Erstbehandlung nach der Fraktur an den zunächst größten Schäden. Allerdings beobachten wir nach der knöchernen Ausheilung häufig weitere Schäden aufgrund einer Jahre zurückliegenden fehlverheilten Sprunggelenksfraktur. Diese beeinträchtigen die Funktion des Sprunggelenks langfristig und führen zu Beschwerden und Gelenkverschleiß.
Offene oder geschlossene Sprunggelenksfraktur?
Ein offener Knöchelbruch geht mit einer Hautverletzung einher: Eine offene Wunde nach der Fraktur erhöht das Risiko von Infektionen, die die Knochenheilung deutlich verzögern können.
Fraktur des Volkmannschen Dreiecks und die komplexe Pilon-Fraktur

Es gibt verschiedene Verletzungsmechanismen der Syndesmose. Das Syndesmoseband selbst kann reißen. Aber auch seine Verankerung im Knochen kann ausreißen.
Häufig bricht das Schienbein z. B. im hinteren Bereich oder im vorderen Bereich unter Einschluss der Gelenkfläche. Ein Bruch in diesem Bereich nennt man Volkmann-Fraktur. Je nachdem, welches Ende der Tibia betroffen ist, spricht man vom hinteren oder vom vorderen Volkmannschen Dreieck. Die Volkmann-Fraktur ist besonders schwerwiegend, weil sie immer die Gelenkfläche mit einschließt. Frakturen des Volkmannschen Dreiecks bringen eine besonders hohe Rate an Komplikationen nach der Ausheilung mit sich.
Es gibt besonders komplexe Formen der Sprunggelenksfraktur: Wenn der horizontale Anteil des Sprunggelenks, der das Körpergewicht trägt, in mehrere Fragmente bricht, ist das mit einem Substanzverlust des Sprunggelenks verbunden. Man nennt diese schweren Fälle dann Pilon-Fraktur. Häufig entstehen diese komplexen Frakturen bei Stürzen aus großer Höhe, weil hier aufgrund der hohen Geschwindigkeit besonders große Kräfte wirken.
Ursachen der Sprunggelenksfrakturen
Knöchelfrakturen kommen in jedem Alter vor. Meist handelt es sich um Niedrigrasanzverletzungen, wie z. B. Umknicken beim Sport (Fußball, Tennis, Wandern).
Pilonfrakturen sind meist Folge von Hochrasanzverletzungen, z. B. Stürze aus großer Höhe, Verkehrsunfälle mit Pedalintrusion beim Auto oder Motorrad, Absturz bei Bergsteigern, Fallschirmspringern oder Paraglidern.
Diagnose: Wie untersucht der Orthopäde das Sprunggelenk?
Untersuchung der Sprunggelenksfraktur:
Nach einer Sprunggelenksfraktur spüren alle Patienten sofort einseitig heftige Schmerzen und eine resultierende Instabilität beim Gehen und Stehen. Gehen ist nach einem Knöchelbruch nicht mehr möglich. Die Schwellung des Knöchels als Frakturfolge ist ein deutliches Signal für den untersuchenden Orthopäden. Der Hergang des Unfalls ist aufschlussreich, um die Art der zu erwartenden Schäden genauer abzuschätzen. Wie bei jeder Knochenfraktur stellt der Orthopäde die Diagnose vor allem mithilfe der Röntgenuntersuchung.
Konservative Behandlung der Sprunggelenksfraktur
Die konservative Therapie der Fraktur besteht in der Ruhigstellung für 6 Wochen im Gips um Unterschenkel und Fuß. Nur bei nicht verschobenen (dislozierten) Sprunggelenksfrakturen ohne Syndesmosebeteiligung vom Typ Weber-A ist diese Behandlung durch Ruhigstellung möglich.
Bei komplexen oder verschobenen Frakturen ist eine konservative Behandlung nur dann vertretbar, wenn eine Kontraindikation gegen die operative Versorgung des Sprunggelenks besteht. Das kann z. B. bei schweren Durchblutungsstörungen der Fall sein.
Die Heilung der Fraktur wird durch Röntgenbilder überwacht. Dabei überprüft der Orthopäde in erster Linie die Stellung des Sprunggelenks. Erst bei nachgewiesener Heilung darf der Gips entfernt werden. Nach der Gipsabnahme ist zusätzlich eine Nachbehandlung notwendig, um Muskulatur und Koordination des betroffenen Beines wiederherzustellen. Das bedeutet, dass schon so viel Bewegung wie möglich erlaubt wird, aber noch so viel Ruhigstellung erfolgt, wie erforderlich ist.
Operative Therapie der Sprunggelenksfraktur
Bei verschobenen Frakturen oder bei Fraktur des Sprunggelenks unter Beteiligung der Syndesmose ist eine operative Therapie immer vorteilhaft: Nur so können die exakten anatomischen Verhältnisse des natürlichen Sprunggelenks wieder möglichst genau hergestellt werden. Hier sind vor allem drei Aspekte ausschlaggebend für ein gutes Ergebnis:
- Reposition: anatomische und stufenfreie Wiederherstellung der Gelenkstellung und der normalen Sprunggelenkachse
- Retention: übungsstabile Fixation der Bruchstücke zueinander, zum Beispiel mit Schrauben und Platten
- funktionelle Nachbehandlung: frühe Bewegung unter krankengymnastischer Anleitung des verletzten Gelenks, um ein bestmögliches Ergebnis zu erzielen
Die Therapie von Weber-B und Weber-C-Frakturen erfolgt stets durch operative Stabilisierung durch Platten und Schrauben.
Wie sieht die Nachbehandlung nach Operation der Sprunggelenksfraktur aus?
Nachbehandlung nach Operation
- physiotherapeutische Behandlung zur Mobilisation und Kräftigung
- klinische Kontrollen
- regelmäßige Röntgenkontrollen der Heilung
- Sport frühestens 3 bis 6 Monate nach OP
- Implantatentfernung etwa 12 Monate nach OP
Die Einführung der winkelstabilen Platten stellt einen erheblichen Fortschritt im Bereich der Osteosynthese (Fixierung der Bruchstücke zueinander) dar. Bei winkelstabilen Platten verblockt der Schraubenkopf stabil in der Platte, was z. B. die stabile Überbrückung von Trümmerzonen gestattet. Je nach Bruchform können diese Platten auch weichteilschonend unter der Haut durchgeschoben werden. Auf diese Weise muss kein großer Hautschnitt und eine direkte großflächige Freilegung des Knochens erfolgen.
Insbesondere bei Pilonfrakturen, die oft mit einem erheblichen Schaden der Weichteile einhergehen, bieten sich diese Verfahren an.
Die dabei verwendeten Implantate bleiben langfristig im Körper und können bei Bedarf nach erfolgter Ausheilung – frühestens aber nach 12 Monaten – entfernt werden.
Die Rehabilitation nach operativer Versorgung ist nicht anders als bei konservativer Versorgung: Stoffwechsel, Mobilität und Koordination – auch auf unebenem Untergrund – müssen in dem verletzten Sprunggelenk durch intensives Training und Physiotherapie wiederhergestellt werden. Man spricht hier von der funktionellen Nachbehandlung. Der Vorteil der operativen Therapie besteht darin, dass die funktionelle Nachbehandlung wesentlich früher einsetzen kann. Nach einer operativen Stabilisierung darf der Patient wegen der stabilen Fixierung des Bruchs sofort wieder mit Übungen beginnen und muss nicht ca. 6 Wochen warten wie bei der konservativen Therapie.
Störung der Knochenheilung durch Falschgelenkbildung (Pseudarthrose)
Komplikationen bei der Operation der Sprunggelenksfraktur
- Nekrosen der Haut
- Infektionen des Gelenks v. a. bei offenen Brüchen: eitrige Arthritis
- Störung der Knochenheilung durch zu frühe Belastung
- Fehlverheilung und später Arthrose bei einer nicht exakten Reposition des Gelenks
- Pseudarthrose (Falschgelenkbildung) bei einer zu großen Beweglichkeit zwischen den Fragmenten des Knochenbruchs
- Instabilität im Sprunggelenk aufgrund einer Syndesmoseverletzung
- Störung der Knochenheilung, z. B. bei Patienten mit Osteoporose (geringe Knochendichte)
Die Bildung einer instabilen Pseudarthrose anstelle der erwarteten Knochenheilung wird zumeist durch zu viel Beweglichkeit zwischen Knochenstücken der Fraktur verursacht. So kann die Knochenheilung nicht erfolgreich ablaufen. Das kann an der Plattenversorgung liegen, aber auch an der Biologie des Gewebes. Auch Überaktivität des Patienten in der Heilungsphase ist eine mögliche Ursache. Negative Einflüsse auf die Stoffwechselsituation wie Diabetes, periphere arterielle Verschlusskrankheit oder Rauchen können Pseudarthrosen verursachen. Die Durchblutungsstörung kann auch durch einen Weichteilschaden als Unfallfolge oder Operationsfolge mitverursacht werden. Der Knochen ist ein durchblutetes, lebendes Organ. Ein intakter Stoffwechsel und eine gute Durchblutung sind essentiell für die Knochenheilung nach Durchführung einer Osteosynthese.
Was sind die Symptome einer unzureichend behandelten Sprunggelenksfraktur?
Probleme nach der Frakturheilung:
- chronische Knöchelschmerzen
- eingeschränkter Bewegungsradius
- eingeschränkte Belastbarkeit
- reduzierte Kraftentwicklung
- Versteifung des Sprunggelenks
- Arthrose des Sprunggelenks
- Bewegungsstörungen und Gefühlsstörungen durch Nervenschäden
- Durchblutungsstörungen nach Gefäßverletzungen
- Verletzungen der Sehnen und Bänder
- Instabilität des Sprunggelenks
- Ausbildung einer Pseudarthrose: verzögerte oder unvollständige Heilung der Fraktur
- Morbus Sudeck bzw. komplexes regionales Schmerzsyndrom (CRPS)
Nicht alle Sprunggelenksfrakturen heilen folgenlos aus. In vielen Fällen kommt es zur posttraumatischen Sprunggelenksarthrose und anderen bleibenden Schäden im betroffenen Knöchel.
Posttraumatische Probleme im betroffenen Sprunggelenk äußern sich durch eine erhöhte Neigung des Knöchels, bei Belastung anzuschwellen. Manchmal hat der Patient ein Reibegefühl im Gelenk. Nach längerem Stehen kann im Knöchel ein Spannungsgefühl auftreten.
Viele Patienten berichten auch von einer bestimmten Bewegungseinschränkung: Insbesondere die Fußhebung ist beeinträchtigt. Der Patient kann beim Gehen nicht mehr richtig abrollen. Das Sprunggelenk ist wie blockiert.
Im weiteren Verlauf können Dauerschmerzen eintreten. Auch einfaches Gehen ist dann nicht mehr schmerzfrei möglich.
Die verminderte Belastbarkeit mit Einschränkung der maximalen Gehstrecke führt zu verminderter Aktivität und Muskelschwäche im verletzten Bein. Sechs Monate nach dem Ende der Therapie einer Sprunggelenksfraktur sollte die normale schmerzfreie Belastbarkeit in Alltag und Sport wieder vorhanden sein. Andernfalls ist eine Nachuntersuchung bei einem Sprunggelenkspezialisten dringend angeraten, um Spätfolgen der Sprunggelenksfraktur rechtzeitig zu therapieren.
Was sind mögliche Spätfolgen einer Sprunggelenksfraktur?
Behandlungsbedürftige Symptome:
- erhöhte Neigung des Sprunggelenks zu Schwellungen
- Bewegungseinschränkungen und Blockaden
- chronische Schmerzen
- belastungsabhängige Schmerzen und Einschränkung der maximalen Gehstrecke
- Fehlstellungen von Fuß und Sprunggelenk
- dauerhafte Instabilität, häufiges Umknicken
- Beschwerden und Einschränkungen, die länger als 6 Monate dauern
Schmerzen, Schwäche oder diffuse Beschwerden im Sprunggelenk sollten Sie ärztlich abklären, um untherapierbare Dauerprobleme zu vermeiden.
Fehlstellungen des Sprunggelenks und des Fußes, insbesondere im Seitenvergleich, sind sehr kritisch: Diese Fehlstellungen können unbehandelt schwere Folgen für die Gesundheit des Sprunggelenks haben. Oft fällt bei der Untersuchung eine unterschiedliche Abnutzung der Schuhe im Seitenvergleich auf. Eine podometrische Untersuchung (Fußdruckmessung) kann Seitenunterschiede und atypische Bewegungsabläufe deutlich zeigen.
Ein weiteres Warnsignal ist ein Instabilitätsgefühl im Sprunggelenk. Der Patient fühlt sich im Gelenk weniger belastbar oder kraftlos. Das Gefühl bei Belastung ist im zuvor gebrochenen Sprunggelenk sehr unterschiedlich zur gesunden Gegenseite.
Länger anhaltende Schmerzen, die mehr als 6 Monate nach dem Unfall immer noch vorhanden sind und zur Einschränkung der Lebensqualität führen, sollten Sie durch einen Facharzt abklären lassen.
Osteochondrale Läsionen (Knochen-Knorpelschäden)
Das Ausmaß des zum Zeitpunkt des Unfalls entstehenden Knorpelschadens (Osteochondrose ) hat einen wesentlichen Einfluss auf das spätere Befinden. Knochen-Knorpelschäden sind Traumata, die sowohl den Knorpel als auch den darunterliegenden Knochen betreffen. Dabei kann die Durchblutung des Knochens gestört werden. Das kann sogar zum Absterben des Knochens (Osteochondrosis dissecans) und damit zu einer Funktionsstörung der eigentlich gleitfähigen und glatten Gelenkfläche im Sprunggelenk führen.
Achsabweichungen und Fehlstellungen
Eine zunehmende Stellungsänderung ist häufig als Folge von Bandschäden oder Sehnenschäden zu erkennen. Auch die Weichteile und die Haut spielen hier eine Rolle: Verkürzte Sehnen wie die Achillessehnen oder auch die Fuß- und Sprunggelenkskapseln ändern die normalen Bewegungsabläufe:
- Spitzfuß mit Fehlbelastung oder Überlastung der vorderen Sprunggelenksanteile
- Bandschaden mit Subluxation des Talus führt zu Arthrose im vorderen Sprunggelenk und einer Bewegungseinschränkung beim Abrollen
Achsabweichungen im Rückfuß oder im Bein und die teilweise nur schwer erkennbaren Rotationsfehlstellungen des Außenknöchels führen nach einer Fraktur häufig zu einer weiteren Verstärkung der posttraumatischen Problematik im schmerzenden Sprunggelenk.
Die anatomischen Veränderungen nach einem Unfall spielen eine wesentliche Rolle für das im Einzelfall auftretende Beschwerdebild: Die Behandlungsmöglichkeiten und die Prognose für die Belastbarkeit und Sportfähigkeit in der Zukunft hängen von der genauen anatomischen Untersuchung ab.
Durch Fehlstellungen der Achse entstehen teilweise Defektzonen im Knochen: Hier sintert der Knochen im Laufe der Heilung und bricht ein. Instabilitäten der Syndesmose nach einem Unfall sind nur schwer zu erkennen und führen durch eine Instabilität in der Sprunggelenksgabel zu erheblichen Schmerzen.
Ist eine Fehlstellung vorhanden, sind Fehlbelastungen die Ursache für Dauerschmerzen und Folgeschäden im Gelenk.
Stufen und Deformität in den Gelenkflächen
Die wichtigsten Informationen liefert die direkte Untersuchung der Gelenkflächen: Sind Stufen im Gelenk und im Gelenkknorpel vorhanden, entstehen sicher und innerhalb kurzer Zeit Folgeschäden. Die Erhöhung der Reibung bzw. die Reduktion der Gleitfähigkeit im Gelenk führt zur schnellen Abnutzung der Knorpelflächen.
Je nach Schwere der Verletzung kann es manchmal für den erstversorgenden Chirurgen nicht mehr möglich sein, die gesamte Gelenkfläche in allen ihren Ebenen anatomisch wiederherzustellen. Manchmal verbleiben Spalten und kleinere Stufen oder Defekte in der Gelenkfläche.
Bandschäden und Syndesmoseschäden am Sprunggelenk
Bei den oft begleitenden Bandschäden am Innen- oder Außenband sind Mehrbeweglichkeiten (Instabilität) des Sprunggelenks nach vorne und zur Seite häufig.
Diese Bandschäden führen zu einer vermehrten Belastung der Gelenkflächen. Das begünstigt weitere Arthroseschäden im Sprunggelenk.
Auch Syndesmoseschäden haben das Potential, eine schädliche Fehlstellung der Sprunggelenksgabel zu verursachen. Man erkennt eine Aufweitung des Gelenks. Diese Weitstellung der Sprunggelenksgabel beeinflusst das Ergebnis der Frakturbehandlung negativ.
Eine Syndesmosenverletzung führt also zu einer Weitstellung der Sprunggelenksgabel. Daraus resultieren Fehlbelastungen der Gelenkflächen durch Überbeweglichkeit im Sprunggelenk.
Weichteilschäden und Verkürzungen
Weichteilschäden mit Verkürzung können ebenfalls Folgeschäden nach einer Verletzung hervorrufen.
Ein starker Spitzfuß, verursacht durch eine Verkürzung oder Schädigung der hinten liegenden Weichteile, führt zu einer Fehlbelastung des Sprunggelenks und häufig zu einer vorne im Gelenk liegenden Sprunggelenksarthrose.
Auch Narben im Weichteilmantel rund um das Sprunggelenk können zum Teil signifikante Spätfolgen nach einer Sprunggelenksfraktur mit sich bringen.
Freie Gelenkkörper und Knochenfragmente im Gelenkspalt
Auch freie Gelenkkörper (Loose Bodys) oder Knochenpartikel im Gelenk schädigen den Knorpel auf Dauer. Trümmer im Gelenkspalt können wie Sand im Getriebe wirken. Die Konsequenzen sind eine deutliche Schädigung der Gelenkflächen, bis hin zum Auftreten einer Sprunggelenksarthrose.
Wie schnell kommt es zu einer Arthrose des Sprunggelenks?
Die Geschwindigkeit der Arthroseentwicklung hängt im Wesentlichen vom Ausmaß der Verletzung, der Stellung des Gelenks und der Gelenkfragmente zueinander ab. Pilonfrakturen entwickeln wesentlich häufiger eine Arthrose als einfache Brüche des Wadenbeins. Teilweise können die ersten Arthrosezeichen schon nach wenigen Monaten beobachtet werden.
Häufige Patientenfragen zur Sprunggelenksfraktur an Dr. Schneider von der Gelenk-Klinik Freiburg
Welche Erfahrungen haben die Orthopäden der Gelenk-Klinik mit der Sprunggelenksfraktur?
Als eines der ersten zertifizierten Zentren für Fuß- und Sprunggelenkschirurgie (ZFS) in Baden-Württemberg unterliegt die Gelenk-Klinik einer ständigen Qualitätskontrolle. Unsere Sprunggelenkspezialisten weisen eine hohe operative Erfahrung bei Eingriffen an Fuß und Sprunggelenk nach. Regelmäßige Begehungen unserer Fachklinik für Sprunggelenke sichern die Qualität unserer diagnostischen und therapeutischen Maßnahmen.
Wie lange ist man krank nach einer Sprunggelenksfraktur?
Die Dauer der Krankschreibung nach einer Sprunggelenksfraktur richtet sich nach dem ausgeübten Beruf und der Art der Fraktur. Menschen mit sitzender Tätigkeit werden in der Regel 4 bis 6 Wochen krankgeschrieben. Schwer körperlich arbeitende Menschen sind länger arbeitsunfähig. Es dauert ca. 3 bis 6 Monate, bis das Sprunggelenk nach einer Fraktur wieder voll belastbar ist.
Wie wird ein Sprunggelenkbruch behandelt?
Sprunggelenksfrakturen vom Typ Weber-A ohne Dislokation (Verschiebung der Knochenfragmente) werden konservativ behandelt. Dazu werden Fuß und Unterschenkel für 6 Wochen in einem Gips ruhiggestellt. Im Anschluss folgt eine physiotherapeutische Nachbehandlung, um die Muskulatur und Koordination im betroffenen Sprunggelenk wiederherzustellen. Komplexere Brüche (Weber Typ B und C) müssen in der Regel operativ versorgt werden.
Kann man mit einem gebrochenen Knöchel noch laufen?
Nach einer frischen Sprunggelenksfraktur ist Auftreten und Laufen aufgrund starker Schmerzen nicht mehr möglich. Die Beweglichkeit des Sprunggelenks ist eingeschränkt.
Muss man mit einer Sprunggelenksfraktur Kompressionsstrümpfe tragen?
Da der Patient nach einer Sprunggelenksfraktur für etwa 6 Wochen einen Gips bekommt, ist das Tragen von Kompressionsstrümpfen in dieser Zeit nicht möglich. Für die Zeit danach kann es durchaus sinnvoll sein, Kompressionsstrümpfe zu tragen, wenn Sie durch die Verletzung in Ihrer Beweglichkeit noch stark eingeschränkt sind. Die Kompressionsstrümpfe beugen der Entstehung einer lebensgefährlichen Thrombose (Blutgerinnsel) vor. Besprechen Sie diese Fragestellung mit Ihrem behandelnden Orthopäden.
Wie ist die Heilungsdauer einer Sprunggelenksfraktur?
Für etwa 6 Wochen darf das Sprunggelenk nach einer Fraktur nicht belastet werden. Ab dann beginnt die Nachbehandlung und der Wiederaufbau der Muskulatur und Koordination. Es dauert etwa 3 bis 6 Monate, bis die normale Belastbarkeit des Sprunggelenks nach einer Sprunggelenksfraktur wiederhergestellt ist.
Welcher Sport ist geeignet nach einer Sprunggelenksfraktur?
Grundsätzlich sind alle Sportarten nach einer Sprunggelenksfraktur wieder möglich. Sportarten, bei denen das Sprunggelenk nicht oder nur wenig belastet wird, wie beispielsweise Schwimmen oder Krafttraining ohne Beteiligung der Beine, sind nach etwa 3 bis 4 Monaten wieder möglich. Mit dem Joggen sollten Sie frühestens nach einem halben Jahr wieder beginnen. Sogenannte High-Impact-Sportarten und Kontaktsportarten, die mit ruckartigen Bewegungen und Drehbewegungen einhergehen, dürfen erst nach einem Jahr wieder aufgenommen werden.
Welche Schuhe sollte man nach einer Sprunggelenksfraktur tragen?
Mit einer Sprunggelenksfraktur sollten Sie bei der Auswahl Ihrer Schuhe auf eine weiche Sohle mit stoßdämpfender Funktion achten. Die Schuhe sollten eher weit geschnitten sein und nicht drücken. Tragen Sie außerdem Schuhe ohne Absatz.
Wann darf man nach einer Sprunggelenksfraktur wieder Auto fahren?
Auto fahren dürfen Sie nur, wenn Sie Ihr Sprunggelenk wieder durchgehend schmerzfrei belasten können. Die Koordination im Sprunggelenk muss gegeben sein, um eine sichere Teilnahme am Straßenverkehr zu gewährleisten. Falls das linke Sprunggelenk betroffen ist, ist bei einem Automatikgetriebe Fahren gegebenenfalls schon früher möglich. Dennoch sollten Sie schmerzfrei sein, damit Ihre Aufmerksamkeit nicht gestört wird.
Ab wann darf man nach einer Sprunggelenksfraktur ohne Krücken laufen?
Nach einer operativen Versorgung einer Sprunggelenksfraktur darf das Sprunggelenk für etwa sechs Wochen nicht oder nur teilweise belastet werden. Für diese Zeit erhalten Sie Krücken und einen Gips.
Bei nicht verschobenen Weber-A-Frakturen erhält der Patient ebenfalls für 6 Wochen einen Gips. Mit diesem ist Laufen nach Absprache mit dem behandelnden Orthopäden auch ohne Krücken möglich und ratsam.
Wann darf man nach einer Sprunggelenksfraktur wieder joggen?
Mit einer Sprunggelenksfraktur sollte man frühestens nach 6 Monaten wieder langsam mit dem Joggen anfangen. Ansonsten besteht die Gefahr von Folgeschäden wie der Entstehung einer Pseudarthrose (Falschgelenkbildung).
Wie lange trägt man nach einer Sprunggelenksfraktur einen Gips?
Mit einer Sprunggelenksfraktur trägt man etwa 6 Wochen lang einen Gips um Fuß und Unterschenkel. Die Therapie einer Sprunggelenksfraktur durch Ruhigstellung im Gips ist allerdings nur bei einer nicht verschobenen Weber-Fraktur-A möglich. Komplexere Sprunggelenksfrakturen werden in der Regel operativ versorgt.
Wie lange dauert die Schwellung nach einer Sprunggelenksfraktur?
Nach einer Sprunggelenksfraktur ist die Beweglichkeit des Fußes stark eingeschränkt. Es treten oftmals Schwellungen und Blutergüsse auf. Wie lange die Schwellung anhält, hängt von der Schwere der Verletzung ab. Es kann mehrere Tage oder Wochen dauern, bis die Schwellung zurückgeht.
Literaturangaben
- Auner, B., & Marzi, I. (2013). Oberes Sprunggelenk. Trauma und Berufskrankheit, 15(2), 217–223.
- Baumbach, S. F., Böcker, W., & Polzer, H. (2020). Arthroskopisch assistierte Frakturversorgung und offene Reposition des posterioren Malleolus: Neue Strategien zur Versorgung komplexer Sprunggelenksfrakturen. Videobeitrag. Unfallchirurg, 330–338.
- Grass, R., Biewener, A., Rammelt, S., & Zwipp, H. (2003). Frakturen des oberen Sprunggelenks Klassifikation und operative Standardversorgung. Trauma und Berufskrankheit, 5(2), 272–276.
- Irlenbusch, L., & Schendel, K. (2016). Nachbehandlungsschemata der unteren Extremität. Operationsberichte Orthopädie und Unfallchirurgie, 359–363. Springer, Berlin, Heidelberg.
- Kamin, K., Notov, D., Al-Sadi, O., Kleber, C., & Rammelt, S. (2020). Versorgung der Sprunggelenkfraktur. Der Unfallchirurg, 123(1), 43–56.
- Klos, K., Simons, P., Mückley, T., Karich, B., Randt, T., & Knobe, M. (2017). Frakturen des oberen Sprunggelenks beim älteren Patienten. Der Unfallchirurg, 120(11), 979–992.
- Mayer, C., & Siems, W. (2011). Weber A-, B-und C-Fraktur. 100 Krankheitsbilder in der Physiotherapie, 214–217. Springer, Berlin, Heidelberg.
- Mittlmeier, T. (2017). Paradigmenwechsel bei Sprunggelenksfrakturen. Orthopädie & Rheuma, 20(5), 22–22.
- Rammelt, S., & Manke, E. (2018). Syndesmosenverletzungen. Der Unfallchirurg, 121(9), 693–703.
- Schneidmüller, D., & Marzi, I. (2016). Sprunggelenk. Kindertraumatologie, 441–475. Springer, Berlin, Heidelberg.
- Seidel, A. (2019). Sprunggelenkfrakturen im Alter – wann konservativ, wann operativ behandeln? Orthopädie & Rheuma, 22(1), 40–43.
- Wiebking, U., Kohake, M., Krettek, C., & Gaulke, R. (2019). Welche Bedeutung hat die Syndesmosenverletzung bei Weber-B-Frakturen? 1. Arthritis und Rheuma, 39(03), 150–155.