- Wann wird ein Hohlfuß operiert?
- Planung der Hohlfußoperation
- Sehneneingriffe am Hohlfuß
- Cole-Osteotomie: Keilentnahme an der Fußwurzel
- Fersenbeinumstellung bei Hohlfuß
- Schienbeinumstellung bei Hohlfuß
- Triple-Arthrodese: Versteifung des unteren Sprunggelenks
- Welche Komplikationen können nach Hohlfußoperation auftreten?

Wann wird ein Hohlfuß operiert?
Erst wenn die konservative Therapie an ihre Grenzen gerät, sollte über eine Operation nachgedacht werden. Folgende Indikationen sprechen für eine Operation:
- Der Hohlfuß schreitet schnell voran, er ist progredient.
- Fußsohlen und Haut des Hohlfußes weisen Verletzungen und wunde Stellen auf, die nicht mehr beherrschbar sind.
- Gangunsicherheit und Schmerzen nehmen zu.
- Das Abknicken des Fußes nach außen belastet die Außenbänder sehr stark.
Wenn der Fuß mit konservativen Mitteln nicht mehr schmerzfrei und stabil ist, ziehen die Spezialisten für Fuß- und Sprunggelenkchirurgie eine Operation des Hohlfußes in Betracht.
Eine Operation ist immer nur komplikationsfrei möglich, wenn der Fuß gut durchblutet ist. Bei Bedarf klärt ein Gefäßspezialist die Durchblutungssituation vor der Operation ab.
Planung der Hohlfußoperation
Das Ziel der Hohlfußoperation ist ein stabiler, schmerzfreier Fuß, der für den Patienten im Alltag gut belastbar ist. Daneben wollen wir auch für die Zukunft die noch beweglichen Gelenke an Fuß und Sprunggelenk erhalten. Hier steht häufig das wichtige obere Sprunggelenk (OSG) im Vordergrund, das bei Hohlfuß arthrosegefährdet ist.
Der Hohlfuß tritt bei jedem Patienten in individueller Form und Intensität auf. Daher entwickelt der Operateur für jeden Einzelfall ein genaues Verständnis des individuellen Hohlfußes. Die Analyse der Weichteilsituation, z. B. mögliche Sehnenkontrakturen, Sehnenschäden oder Muskelschwäche, sind ein wichtiger Bestandteil der funktionellen Diagnose. Knochenstellung und Stellung einzelner Gelenke sowie der Grad der Arthrose in den Fußgelenken und sonstige Folgeschäden müssen am Anfang der Behandlung ebenfalls analysiert werden.
Experten-Vortrag: Ursachen, Diagnostik und Behandlung des Hohlfußes mit unserem Fußspezialisten Dr. Schneider:
Externer Inhalt von youtube.com
Welche Faktoren spielen bei der Wahl der operativen Behandlung eine Rolle?
- Grad der Fehlstellung
- Kontraktheit und Schäden der Sehnen in der Fehlstellung
- Krankheitsursachen
- Begleitschäden an Vorfuß, Sprunggelenk und Fersenbein
- Leistungsfähigkeit der Muskulatur
Die bei Hohlfuß im Einzelfall gewählten operativen Eingriffe sind also abhängig von der Ausprägung, dem individuellen Beschwerdebild und dem Stadium der Erkrankung. Einen einheitlichen Standard für die Hohlfuß-Operation gibt es daher nicht.
Arthrose im Sprunggelenk vermeiden
Die Spezialisten der Gelenk-Klinik entwickeln mit Hilfe einer ausführlichen Diagnostik auch eine Prognose über die zukünftige Entwicklung des Hohlfußes beim Patienten. Sie möchten möglichst viel Beweglichkeit erhalten und nach Möglichkeit gelenkerhaltend und erst in zweiter Linie gelenkversteifend therapieren. So ist bei der Behandlung des Hohlfußes häufig begleitend die Entwicklung einer Sprunggelenksarthrose zu berücksichtigen.
Die Erhaltung der Beweglichkeit des oberen Sprunggelenks ist sehr wichtig. Um dieses Ziel zu erreichen, kann es notwendig sein, die Beweglichkeit anderer Fußgelenke einzuschränken und eine Versteifung (Arthrodese) durchzuführen. Diese Versteifung z. B. des Gelenks zwischen Sprungbein (Talus) und Fersenbein (Calcaneus) kann die Beinachse im Fuß stabilisieren und damit die Voraussetzung für eine verschleißfreie Funktion des Sprunggelenks schaffen.
Alter des Patienten bestimmt Art der Operation
Bei den besprochenen Operationen wird auch das Alter der Patienten berücksichtigt. Insbesondere bei jungen Menschen sind Weichteileingriffe, isoliert durchgeführt oder in Kombination mit Knocheneingriffen, besonders effektiv. Dabei werden die beteiligten Fußgelenke erhalten. Die Korrektur erfolgt lediglich über die operative Änderung des Sehnenzuges. Dieses Ziel kann durch Weichteileingriffe und Sehnentransplantationen erreicht werden.
Bei älteren Patienten gelten häufig andere Kriterien. Oftmals sind Knocheneingriffe notwendig. Die alleinige Behandlung durch einen Sehnentransfer, wie er bei Kindern und Jugendlichen durchgeführt wird, ist nicht mehr ausreichend, sondern wird lediglich als Begleiteingriff durchgeführt. Diese knöchernen Eingriffe sind für die Haltbarkeit einer möglichen Sprunggelenksprothese, aber auch für die Belastungsfähigkeit des Fußes nach einer Sprunggelenksarthrodese (Versteifung) sehr wichtig.
Sehneneingriffe am Hohlfuß
Bei der Operation des Hohlfußes ist ein ganzes Spektrum von Eingriffsmöglichkeiten gegeben. Wir wollen deshalb im Folgenden mögliche Eingriffe grundsätzlich beschreiben.
Sehneneingriffe können die Stellung des Fußgewölbes ändern, wenn die betroffenen Muskeln normal funktionieren. Wenn die Muskelfunktion aber abnimmt oder gar nicht mehr vorhanden ist und Fußgelenke durch Arthrose vorgeschädigt sind, hilft oft nur noch eine Osteotomie (Knocheneingriff).
Versetzen von Sehnen: Sehnentransfer
Sehnen steuern durch Muskelzug die Form des Fußgewölbes sowie die Beweglichkeit des Fußes. Die Form und Ausprägung des Fußgewölbes wird von verschiedenen Muskelzügen an Sehnen innen und außen am Fußgewölbe beeinflusst. Sind Zugverhältnisse vorhanden, die zu Fußfehlstellungen führen, können Sehnentransfers die ursprünglichen Muskelgleichgewichte wiederherstellen. Sie können als teilweise oder als vollständige Sehnentransfers durchgeführt werden. Durch Sehnentransfers werden also die für die Funktion des Fußes erforderlichen Sehnen an der richtigen Position angebracht.
Als eine der wichtigsten Sehnentransferoperationen gilt die Transplantation des Großzehenbeugers (Musculus flexor hallucis longus) auf den äußeren Rand des Fußes. Dadurch wird der stark belastete Außenrand des Fußes nach oben gezogen und die Fußsohle außen entlastet.
Ablösen der Plantarsehne
In vielen Fällen ist die Plantarsehne bei einem Hohlfuß bereits versteift und nicht mehr elastisch und dehnbar. In diesen Fällen kann die Plantarsehne vom Fersenbein gelöst und neu befestigt werden, um die Spannung zu reduzieren.
Jones-Prozedur: Umsetzen des Großzehenstreckers
Bei der Jones-Prozedur wird der Großzehenstrecker (Extensor hallucis longus) umgesetzt, um die Dorsalflexion des Fußes (Anziehen nach oben) zu verbessern. Dafür wird diese Sehne am ersten Mittelfußknochen befestigt.
Der Eingriff betrifft zwar nur eine Sehne, er beeinflusst aber die Funktion des gesamten Fußes: Die Kraft der Fußheberfunktion wird durch die Jones-Prozedur umfassend gestärkt.
Knöcherne Eingriffe am Hohlfuß: Osteotomien
Mit zunehmendem Alter des Patienten werden Knocheneingriffe zur Korrektur der Muskelzüge und der Knochenstellung wahrscheinlicher. Auch Korrekturen der Fehstellung mit Versteifungen in den Gelenken der Fußwurzel sind zunehmend notwendig.
Bei der Osteotomie der Fußknochen werden Sägeschnitte an den Knochen durchgeführt. Danach befestigt man die Knochen in einer veränderten Stellung mithilfe von Implantaten oder Schrauben. Man spricht daher von Umstellungsosteotomie. Das Ziel einer Osteotomie besteht darin, die Stellung der Knochen und Gelenke langfristig zu verbessern und in neuer Position zu fixieren.
Fersenbeinumstellung bei Hohlfuß


Eine der am häufigsten durchgeführten knöchernen Korrekturen des Hohlfußes ist die sogenannte Fersenbeinosteotomie. Diese Umstellungsoperation ersetzt die regelmäßig beobachtete Varusstellung des Fersenbeins, das Abknicken nach innen, durch eine regelrechte Stellung des Fersenbeins. Auch der Ansatz der Achillessehne und der Verlauf der Beinachse im Rückfuß werden korrigiert: Der Sehnenzug der Achillessehne ist nach der Umstellung wieder konform mit dem Verlauf der Beinachse im Rückfuß.
Die Korrektur der Fersenbeinstellung führt somit auch zu einer Begradigung des Sprungbeins in der Sprunggelenksgabel. Damit beugt die Fersenbeinumstellung einer Arthrose im Sprunggelenk vor. Die Operation des Ansatzes der Achillessehne am Fersenbein normalisiert somit auch die Funktion der Achillessehne und der Wadenmuskulatur. Auch eine Haglundferse - eine schmerzhafte Veränderung von Weichteilen und Knochen des oberen Fersenbeines - kann auf diese Weise verhindert werden, weil der Druck des Schuhs auf das Fersenbein deutlich abnimmt.
Die Korrektur des Fersenbeins verbessert zudem die motorischen Fähigkeiten des Patienten. Die Neigung zu Umknickverletzungen ist reduziert und die Gangsicherheit nimmt zu. Langfristig reduziert sich die Belastung für die Außenbänder des Sprunggelenks.
Der nach Fersenbeinumstellung flachere Rückfuß senkt das Fußlängsgewölbe spürbar ab. Die Verdrehung des Rückfußes gegenüber dem Vorfuß verringert sich.
Cole-Osteotomie: Keilentnahme an der Fußwurzel
Bei Patienten mit Hohlfuß erhöht sich die Belastung der Zehen. Eine Cole-Osteotomie im Scheitelpunkt des Hohlfußes kann dem entgegenwirken. Der erhöhte Fußspann wird durch die Cole-Osteotomie abgeflacht. Diese Operation kann nur bei jüngeren Patienten mit gutem Erfolg durchgeführt werden.

Ziel der Cole-Osteotomie beim Hohlfuß ist es, die Sehnen der Zehen am Fußrücken zu entspannen und die Höhe des Fußgewölbes zu verringern. Je nach Ausprägung kann die erforderliche Keilgröße präoperativ bestimmt werden. Die Stellungskorrektur bewirkt eine gute Entspannung der Weichteile und entlastet die Zehen. Auch die Überlastung des Vorfußes wird insgesamt verringert. Dies ist gerade bei jüngeren Patienten mit Schwielen im Bereich des Vorfußes und Zehenfehlstellungen indiziert.
Die Nachbehandlung erfordert eine Vorfußentlastung für 8 bis 12 Wochen. Ergänzende Weichteiloperationen sind nach einer knöchernen Hohlfußkorrektur selten erforderlich.
Dwyer-Osteotomie: Hohlfußkorrektur kombiniert mit Fersenbeinumstellung
Bei einem medialen Ballenhohlfuß wird vor allem die Außenseite des Fußes stark belastet und es kommt zu einer Entwicklung von Krallenzehen. Eine Umstellung des ersten Mittelfußknochens kann helfen. Diese Korrektur hat eine hohe Wirksamkeit auf die Kippung des gesamten Fußes in der Längsachse. Häufig muss die Osteotomie des ersten Zehenstrahls mit einer Fersenumstellung oder weiteren knöchernen Umstellungsoperationen am Schienbein kombiniert werden.
Schienbeinumstellung bei Hohlfuß

Die operative Umstellung des Schienbeins über dem Sprunggelenk kann zur Entlastung des medialen Sprunggelenks notwendig werden. Der Hohlfuß muss dabei ebenfalls operativ korrigiert werden. Bei dieser Umstellung des Schienbeins handelt es sich um eine gelenkerhaltende Operation am Sprunggelenk.
Wir wollen den Schaden am oberen Sprunggelenk möglichst aufhalten, bevor durch die atypische Belastungslinie der bei Hohlfuß verdrehten Beinachse Gelenkverschleiß entsteht.
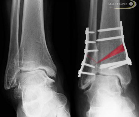
Triple-Arthrodese: Versteifung des unteren Sprunggelenks

Eine der häufigsten Ursachen für den Hohlfuß ist die CMT-Erkrankung (Charcot-Marie-Tooth-Erkrankung).
Dabei ist die Triple-Arthrodese des unteren Sprunggelenks bei der CMT-Erkrankung ein letztes Mittel der operativen Stabilisierung.
Meist kann diese Erkrankung konservativ behandelt werden. Es gibt jedoch schnell fortschreitende Formen der CMT-Erkrankung. Bei diesen tritt als Folge eine progrediente Muskelschwäche und damit eine ausgeprägte Hohlfußfehlstellung auf. Das führt zu starken, degenerativen Veränderungen an Sprunggelenk und Fußwurzelgelenken.
Die Stabilisierung des Fußlängsgewölbes durch eine Triple-Arthrodese kann in diesem Fall die Funktion des Sprunggelenks erhalten. Bei dieser Operation wird der Rückfuß durch eine Versteifung des unteren Sprunggelenks stabilisiert und das Fußlängsgewölbe in der gewünschten Position fixiert. Dadurch reduziert sich die Überlastung des oberen Sprunggelenks und der Verschleiß wird gestoppt. Die Beweglichkeit des oberen Sprunggelenkes bleibt nach Triple-Arthrodese vollständig erhalten.
Welche Komplikationen können nach Hohlfußoperation auftreten?
Bei jeder Operation können Komplikationen wie zum Beispiel Infektionen auftreten. Bei eingebrachten Implantaten, wie es bei der Arthrodesierung der Fall ist, besteht vor allem durch eingeschleppte Hautbakterien ein gewisses Risiko.
Daneben gibt es sehr spezifische Komplikationen für die knöchernen Operationen des Hohlfußes:
- Ausbleibende Verheilung von Knochen: Pseudarthrosenbildung
- Planungsfehler: Unzureichende Korrektur
- Planungsfehler: Überkorrektur
- Wiederauftreten des Hohlfußes
- Fortschreiten des Hohlfußes
- Nervenbeschädigung durch die Operation
- Bleibende Fußschmerzen trotz Operation
Diese Operationsfolgen treten selten auf. In der Praxis der erfahrenen Fußspezialisten der Gelenk-Klinik sind die angebotenen Verfahren sehr zuverlässig. Dennoch gehört die Kenntnis der möglichen Nebenwirkungen und Risiken zu einer vollständigen Operationsaufklärung dazu. Eine Operation des Hohlfußes sollte daher nur nach Ausschöpfung aller konservativen Therapien beschlossen werden.