- Bei welchen Erkrankungen wird ein künstliches Hüftgelenk eingesetzt?
- Wie lange hält eine Hüftprothese?
- Optimale Vorbereitung auf die Hüftprothesen-Operation
- Minimalinvasive Operation der Hüftprothese: gewebeschonend und muskelerhaltend
- Aufbau und Funktion moderner Hüftprothesen
- Verankerung der Hüftprothese: zementiert oder zementfrei einwachsend?
- Patientenbeispiele: Welcher Prothesentyp für welchen Patienten?
- Häufige Patientenfragen zu Hüftprothesen an Dr. Martin Rinio von der Gelenk-Klinik
Bei welchen Erkrankungen wird ein künstliches Hüftgelenk eingesetzt?

Indikationen für eine künstliche Hüfte
- Hüftarthrose (Coxarthrose)
- Hüftkopfnekrose
- Hüftdysplasie oder Fehlstellung der Gelenkpfanne
- rheumatoide Arthritis
- Oberschenkelhalsbruch
Die Hüftprothese wird bei schmerzhafter Hüftarthrose (Coxarthrose) und bei verschobenen Oberschenkelhalsbrüchen mit Durchblutungsstörung des Hüftkopfes (Hüftkopfnekrose) notwendig. Hüftarthrose ist der schmerzhafte Verschleiß des Gelenkknorpels mit knöchernen Veränderungen, die oft mit Entzündungen der Gelenkhaut (Synovialitis) verbunden sind.
Hüftarthrose führt zum Funktionsverlust des Hüftgelenks mit spürbarer Einsteifung und beeinträchtigt die alltägliche Mobilität des Patienten im Alltag und sein Gangbild erheblich. Eine Hüftprothese stellt diese Beweglichkeit und in einem gewissen Maß die Sportfähigkeit zuverlässig wieder her. Zudem beseitigt sie in erheblichem Ausmaß die starken Gelenkschmerzen.
Zwar ist die Implantation eines künstlichen Hüftgelenks heutzutage eine Routineoperation, die dennoch aufgrund der individuellen Umstände jedes Patienten und der Vielfalt an verfügbaren Materialien, Prothesentypen und Befestigungstechniken viel Erfahrung seitens des Operateurs erfordert.
Ziel der Prothesenplanung durch den orthopädischen Hüftspezialisten ist eine haltbare, gut funktionierende Hüftprothese, die den spezifischen Ansprüchen des Patienten gewachsen ist und ihm ein “natürliches Gefühl” vermittelt. Wir sprechen hier von einer sogenannten “forgotten Hip”, die dem Patienten ein so natürliches Körpergefühl vermittelt, dass er im Alltag keinen Unterschied zur nicht operierten, gesunden Hüfte spürt und die OP bereits wieder vergisst.
Eine Prothese sollte heutzutage mindestens 20–25 Jahre halten, bevor Lockerung oder Verschleiß einen operativen Prothesenwechsel (Revision der Hüftprothese) erforderlich macht.
Die Behandlungsalternativen, die sich aus Prothesenmodellen, operativen Methoden und Befestigungstechniken ergeben, passen die Hüftspezialisten der Gelenk-Klinik optimal an den jeweiligen Patienten an. Sie berücksichtigen spezifische Faktoren wie Alter, Aktivität, Knochenqualität und individuelle Anatomie bei Planung und Ausführung der Hüftprothesenoperation.
Wie lange hält eine Hüftprothese?
Die Studienlage zur Frage, ob sportliche Aktivität die Standzeiten einer Hüftprothese verkürzt, ist aktuell noch unzureichend. Eine trainierte, kräftige Muskulatur sowie regelmäßige sportliche Bewegung besitzen nachgewiesenermaßen einen positiven Einfluss auf die allgemeine Gesundheit und können auch nach Prothesenimplantation fortgeführt werden. Wir raten unseren Patienten zu Sportarten mit einem harmonischen, gleichmäßigen Bewegungsablauf wie zum Beispiel Radfahren oder Crosstrainer-Benutzung.
Eine Hüftprothese hat – wie andere Prothesentypen auch – eine begrenzte Haltbarkeit. Bei fachgerechter Operation beträgt die Lebensdauer der Hüft-TEP 20 bis 25 Jahre, in manchen Fällen sogar länger. Patienten, die älter als 65 Jahre sind, haben sehr gute Aussichten, in ihrem Leben keinen Prothesenwechsel mehr durchzumachen.
Was begünstigt die Lebensdauer einer Hüftprothese?
- Verzicht auf gelenkbelastende Sportarten wie Skifahren oder Tennis,
- sportliche Aktivitäten mit geringer Stoßbelastung wie Schwimmen, Radfahren oder Wandern,
- eine intensive Reha und umfangreicher Muskelaufbau im Anschluss an die Hüft-Operation,
- sorgfältige Planung der individuellen Biomechanik durch einen erfahrenen Operateur.
Längere Haltbarkeit durch Anpassung von Material und Prothesenmodell
Aufgrund der zunehmenden Zahl jüngerer Hüftpatienten benötigen wir angepasste Versorgungsformen, die den altersentsprechenden Anforderungen gerecht werden. Nach wie vor werden die späteren Prothesenlockerungen überwiegend durch den Abrieb der Gleitpaarung (Hüftkopf und Pfannen-Inlay) verursacht. Gerade an dieser Stelle erzielte die Medizintechnik in den letzten Jahren deutliche Verbesserungen. Abriebarme Materialien wie Keramik oder keramisiertes Metall (Oxinium®) beugen der frühen Lockerung der Hüft-TEP aufgrund von Plastikabrieb (Polyethylen-Abrieb) vor. Ebenso hat die Verwendung von ultrahoch vernetztem Polyethylen-Kunststoff (Highly crosslinked PE, XLPE) zu einer deutlichen Reduktion des Abriebs geführt.

Kurzschaftprothesen oder Oberflächenersatzprothesen (McMinn-Prothese) ermöglichen dem Arzt eine knochensparende Prothesenversorgung. Dabei bleibt der Oberschenkelknochen (Femur) im Bereich des Schenkelhalses weitgehend erhalten. Für eine mögliche Wechseloperation steht dann die gesamte Knochensubstanz des Femurs zur Verfügung. Das erlaubt auch bei der Revision (Austausch der Prothese) durch eine herkömmliche Geradschaftprothese eine sehr stabile Versorgung des Patienten.
Den Zeitpunkt der Hüftprothesen-Operation können Patienten weitgehend selbst bestimmen. In der Regel haben sie ausreichend Zeit, bevor sie sich der Implantation unterziehen. Vorher können sie sich in Ruhe Informationen rund um den Eingriff beschaffen und gesundheitliche Vorbereitungen treffen.
Checkliste: An was sollten Sie vor Ihrer Hüftoperation denken?
- Suchen Sie nach einem Hüftspezialisten und einem auf Hüftprothetik spezialisierten Endoprothetikzentrum.
- Holen Sie eine qualifizierten Zweitmeinung ein um sicherzugehen, dass alle Besonderheiten Ihres Falles bei der Entscheidung berücksichtigt wurden.
- Achten Sie auf eine umfassende ärztliche Untersuchung: Knochendichtemessung, Muskelaktivitätsmessung, Blutuntersuchung auf Entzündungswerte, computergestützte Prothesenplanung mithilfe standardisierter Röntgenaufnahmen.
- Lassen Sie sich vom Hüftexperten Ihrer Wahl zum optimalen Prothesenmodell, Gleitpaarungsmaterial und der Verankerungsform Ihrer Hüft-TEP ausführlich beraten.

Optimale Vorbereitung auf die Hüftprothesen-Operation
- Mit Sport und Bewegungstherapie mindestens 3 Wochen vor Operation beginnen, falls Gelenkfunktion und Schmerzen dies noch zulassen.
- Ernährungsanpassung auf nährstoffreiche, vitaminreiche, eiweißreiche und hochwertige Lebensmittel
- Verzicht auf Nikotin und Alkohol
- Reduktion von Süßigkeiten und Kohlenhydraten
- Gründliche Vorbereitung und Planung der Reha
Mindestens zwei bis drei Wochen vor der geplanten Operation sollten Sie sich körperlich viel bewegen, sofern dies Ihre Gelenkfunktion und die Schmerzen zulassen. Ideale Aktivitäten bei Hüftarthrose sind zum Beispiel Radfahren oder Aquajogging. Die Bewegungstherapie fördert die Durchblutung und revitalisiert das Gewebe. So unterstützen Sie eine komplikationsfreie Wundheilung nach der Operation.
Wir haben für unsere OP-Patienten eine Anleitung zur Prävention ausgearbeitet, die Bewegung, Mikronährstoffe und Nahrungsergänzungsmittel zu einem ganzheitlichen Konzept der OP-Vorbereitung integriert. Sie können dieses Vorbereitungskonzept unter Anleitung unserer Fachärzte für Rehabilitative Medizin PD Dr. Pawel Bak und Dr. Bernhard Dickreiter durchführen. Nach gründlicher Voruntersuchung können Sie mit Ihrer OP-Vorbereitung beginnen. Die Effekte erstrecken sich bis in die postoperative Heilungsphase.
Minimalinvasive Operation der Hüftprothese: gewebeschonend und muskelerhaltend
Jährlich werden in Deutschland über 200.000 künstliche Hüftgelenke eingesetzt. Der Anteil der minimalinvasiv operierten Hüftprothesen nimmt stetig zu. In der orthopädischen Gelenk-Klinik Gundelfingen führen wir seit dem Jahr 2004 ausschließlich minimalinvasive Operationen der Hüftprothese nach der AMIS- bzw. ALMIS-Methode durch.
Externer Inhalt von youtube.com
Vorteile der minimalinvasiven Hüftprothesen-OP:
- Kleinere Wundflächen
- Geringerer Blutverlust
- Weniger Schmerzmittel nach der Implantation notwendig
- schnellere Mobilisierung der Patienten, da Muskelfunktion erhalten bleibt
- weniger chronische Hüftschmerzen / Trochanterschmerzen nach OP
- geringere Narbenbildung
- geeignet auch bei beleibten Patienten
- keine Durchtrennung von Muskeln, die der Operateur nach Prothesenimplantation wieder refixieren muss
Diese operative Spezialisierung ist mit einer umfassenden Ausbildung der orthopädischen Hüftexperten verbunden. Ein neuer operativer Zugang veranlasst den Operateur, sich intensiv mit den neuen räumlichen Verhältnissen und der exakten Positionierung der Prothesenkomponenten auseinanderzusetzen.
Aus diesem Grund sind unvorteilhafte Operationen mit großflächiger Muskelverletzung in Krankenhäusern noch weit verbreitet. Die Operateure der Gelenk-Klinik sind z. T. selbst Instruktoren für minimalinvasive Operationen am Hüftgelenk und sehr erfahren auf diesem Sepzialgebiet.
Was beachtet der Arzt beim Einsatz der Hüft-TEP?
- exakte Wahl von Schaftlänge und Durchmesser der Hüft-TEP
- korrekte Einstellung der Muskelvorspannung zur Vermeidung von Prothesenschmerzen
- genaue Einstellung von Beinlänge und Offset (Abstand der Obschenkelschaftachse zum Drehzentrum)
- physiologischer geometrischer Winkel von Hüftkopf und Hüftpfanne
Die minimalinvasive Implantation der Hüftendoprothese schont das umliegende Gewebe und die Muskulatur. Der Zugang erfolgt über anatomisch vorhandene Lücken zwischen den Muskeln: Die Muskeln bleiben unverletzt und haben postoperativ schnell wieder ihre Funktion. Unmittelbar nach der Operation kann der Patient wieder mit Vollbelastung aufstehen.
Die gesamte Nachbehandlung und vor allem die frühe Rehabilitation nach der Hüftprothesen-Operation sind in der ersten Wochen nach einem minimalinvasiven Eingriff schmerzfreier, schneller und einfacher als nach einem offenen Eingriff. Wir ermutigen unsere Patienten bei unserer Visite ebenfalls, wieder möglichst schnell zu einem normalen Bewegungsumfang der Hüfte zurückzukehren. Einschränkungen bezüglich der Beugung existieren kaum.
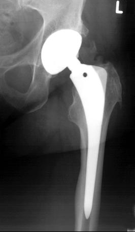
Aufbau und Funktion moderner Hüftprothesen

Das biologische Hüftgelenk besteht aus dem kugelförmigen Oberschenkelkopf und der ihm gegenüberliegenden Hüftpfanne (Acetabulum). Dazwischen sorgt Gelenkknorpel als Gleitschicht für eine Dämpfung des mechanischen Drucks durch die Gelenkbewegung und reduziert massiv die Reibung der Gelenkpartner.

Wenn das Hüftgelenk durch Arthrose einsteift und dadurch dauerhaft schmerzt und unbeweglich wird, bietet ein künstliches Hüftgelenk die Möglichkeit, das geschädigte Hüftgelenk wieder dauerhaft beweglich zu machen. Ohne diese Mobilisierung droht dem Patienten eine dauerhafte, schwere Einschränkung seiner Mobilität in Alltag, Beruf und Freizeit. Schmerz- und einsteifungsbedingte Ausweichbewegungen gefährden zusätzlich die anderen Gelenke und erhöhen des Sturzrisiko. Die reduzierte Mobilität beeinträchtigt Gesamtbefinden und Lebensfreude des Patienten enorm. Vor allem bei älteren Patienten beobachten wir oft, wie Konstitution und Kondition schnell abbauen.
Aufbau und Bestandteile einer Hüftprothese

Als künstliches Hüftgelenk wird üblicherweise eine Hüfttotalendoprothese, kurz Hüft-TEP, eingesetzt. Die vollständige Hüftprothese ersetzt beide knöchernen Teile des Hüftgelenks: den Hüftkopf (Femurkopf) und die Hüftpfanne (Acetabulum) und setzt sich aus folgenden Komponenten zusammen:
- im Oberschenkelknochen verankerter Prothesenschaft,
- runder Prothesenkopf,
- Inlay als Gleitkomponente,
- Implantat in der Hüftgelenkspfanne.
Der Arzt verankert die Hüftprothese fest im Oberschenkel- und im Beckenknochen des Patienten.
Um dem Patienten eine optimale Beweglichkeit im Hüftgelenk zu ermöglichen, muss die Prothese zwei wesentliche Funktionen erfüllen:
- Die Hüftprothese muss fest im knöchernen Skelett sitzen und verankert sein.
- Die gleitenden Prothesenkomponenten, die Hüftkopf und Hüftpfanne nachbilden und als Gleitpaarung bezeichnet werden, müssen frei beweglich sein.
Abhängig von Alter, Knochenbau, Lebensweise und evtl. Vorerkrankungen eines Patienten eignen sich unterschiedliche Prothesentypen und Gleitpaarungen.
Externer Inhalt von youtube.com
Welche Anforderungen stellen sich an das Material von Hüftprothesen?
- Alle Materialien müssen korrosionsbeständig sein.
- Die Gleitpaarung in der Mitte der Hüftprothese muss eine hohe Abriebfestigkeit aufweisen.
- Alle verwendeten Materialien müssen uneingeschränkt biologisch verträglich sein und eine hohe Widerstandsfähigkeit gegenüber Druck und Gewicht besitzen.
Welche Materialien verwendet man bei Hüftprothesen?
- Zementierte Prothesen werden häufig aus einer Chrom-Molybdän-Legierung hergestellt.
- Zementfreie, sogenannte einwachsende Hüftprothesen bestehen meist aus einer knochenfreundlichen Titanlegierung. Die Titanoberfläche einer Prothese bietet dem Knochen gute Voraussetzungen zum Einwachsen. Der Knochen verzahnt sich sehr großflächig mit der rauhen Prothesenoberfäche, sodass ein direkter Kontakt zwischen Prothese und Knochen entsteht. Dies sorgt für eine hohe Stabilität (Sekundärstabilität) und eine lange Haltbarkeit.
Zwischen dem Kopf der Hüftprothese und der Hüftpfanne befindet sich als Knorpelersatz die Gleitschicht oder Gleitpaarung der Hüftprothese. Diese Gleitpaarung besteht aus zwei Anteilen: Der Kugelkopf - meist aus Keramik - gleitet in einem muldenförmigen Einsatz, dem Pfanneninlay, in der Gelenkpfanne des Beckenknochens. Die gebräuchlisten modernen Gleitpaarungen sind heute:
- Keramik-Keramik-Gleitpaarung
- Keramik- Polyethylen-Gleitpaarung mit i.d.R. sehr abriebfestem, ultra hochvernetztem Polyethylen (XLPE)
Externer Inhalt von youtube.com
Wie erhält die Hüftprothese ihren stabilen Sitz im Gelenk des Patienten?
Befestigung im Oberschenkel:
- Entweder zementierter Prothesenschaft oder
- zementfreier Prothesenschaft, ebenfalls mit Press-Fit-Verankerung und nachfolgendem Einwachsen des Knochens in die Prothesenoberfläche.
Befestigung in der Gelenkpfanne:
- Entweder zementierte Gelenkpfanne oder
- zementfreie Press-Fit-Verankerung der Gelenkpfanne mit nachfolgendem Einwachsen des Knochens in die Prothesenoberfläche.
Bei beiden Techniken ist unmittelbar nach der Operation eine Vollbelastung möglich. Bei genauer Passung der Gelenkflächen bildet sich auf der Oberfläche ein schützender Flüssigkeitsfilm, der den Prothesenabrieb stark reduziert.
Der Prothesenschaft verankert die Hüftprothese im Oberschenkelknochen (Femur). Im Beckenbereich übernimmt die im Beckenknochen verankerte Gelenkpfanne die Fixierung der Prothese. Die computerunterstützte Planung anhand standardisierter Röntgenbilder gewährleistet, dass der Hüftspezialist die Bewegungsgeometrie im Hüftgelenk sowie die Beinlänge des Patienten erhält. So können wir für unsere Patienten ein natürliches Tragegefühl der Hüftprothese erreichen und Luxationen (Ausrenken des Hüftkopfes) vorbeugen.
Abriebfestigkeit der Gleitpaarung
Die Gleitpaarung erfüllt eine entscheidende Funktion: Sie soll mit körperverträglichen Materialien über 20–25 Jahre hinweg trotz hoher Belastung die Beweglichkeit der Hüftprothese sicherstellen und als Gleitfläche intakt und reibungsfrei bleiben. Bei jüngeren Patienten unter 60 Jahren oder bei sehr sportlichen Patienten sehen wir besondere Anforderungen. Auf diese Ansprüche gehen wir durch die optimale Auswahl von Prothesenmodelle, Gleitpaarung, Verankerungstechnik und Operationsmethode individuell ein.
Komplikation Prothesenlockerung
Man unterscheidet bei der Prothesenlockerung eine sogenannte Frühlockerung innerhalb der ersten 2 Jahre und eine Spätlockerung, die oft erst nach 20 Jahren und mehr stattfindet. Ursache für die Frühlockerung ist häufig eine Infektion, während bei den Ursachen für die Spätlockerung der Abrieb der Gleitpaarung dominiert. Diese Lockerungsform wird als "aseptische Lockerung" bezeichnet, da sie durch eine nicht-bakterielle Entzündung entsteht. Der Materialabrieb aus der Prothesengleitpaarung wird dabei vom Körper als Fremdkörper erkannt, von einwandernden Makrophagen aus dem Blut ("Fresszellen") aufgenommen, was wiederum knochenabbauende Zellen (Osteoklasten) aktiviert. Die Folge sind ausgedehnte Knochendefekte (Osteolysen) im Prothesengebiet, was schließlich zur Lockerung führt.
Wir bevorzugen daher möglichst abriebarme Materialien, um die Gefahr einer Osteolyse zu minimieren und eine möglichst lange Prothesenstandzeit zu gewährleisten.
Verankerung der Hüftprothese: zementiert oder zementfrei einwachsend?

Der Schaft der Hüftprothese wird in den inneren Markraum des Oberschenkelknochens eingebracht. Am Prothesenschaft befindet sich oben ein freistehender Steckkonus. Dieser verbleibt außerhalb des Oberschenkelknochens. Auf ihn wird später der kugelförmige Prothesenkopf aufgesetzt. Der Prothesenschaft verankert die Hüftprothese möglichst lockerungsfrei im Oberschenkel.
Der Prothesenschaft soll die Hüftprothese möglichst lockerungsfrei im Oberschenkel verankern.
Externer Inhalt von youtube.com
Die zementfreie (einwachsende) Hüftprothese ist sehr belastbar.

Eine sehr belastbare Form der Befestigung im Knochen ist die einwachsende Hüftprothese: Der Schaft hat eine raue Titanoberfläche, die die Verbindungsfläche vergrößert und so die Verbindung zwischen Knochen und Metall zusätzlich stabilisiert. Auf diese Weise kann das Knochengewebe des Oberschenkels dauerhaft einwachsen.
Bei der Operation wird die einwachsende Hüftprothese zunächst stabil in das Innere des ausgehöhlten Röhrenknochens eingebracht und verkeilt. Sechs Wochen nach der Operation ist die knöcherne Integration des Prothesenschaftes durch einwachsendes Knochengewebe weitgehend abgeschlossen.
Nach drei Monaten ist jede Form sportlicher Belastung möglich. Bei Patienten mit Knochenschwund (Osteoporose) raten wir zu Vorsicht: Bei einer Störung des Knochenstoffwechsels kann der knöcherne Einbau der Hüftprothese bis zu einem Jahr dauern. Eine zementierte Hüft-TEP kann bei Osteoporose-Patienten von Vorteil sein, da sofort die Befestigung im Knochen gesichert ist.
Zementierte Hüftprothese: Alternative bei schlechter Knochenqualität
Bei nicht optimaler Knochenqualität des Patienten z. B. bei Osteoporose existieren Alternativen zur zementfreien Befestigung der Hüftprothese. Der Schaft kann auch mithilfe von Knochenzement aus Polymethylacrylat (PMMA), einer Art körperverträglichem Klebstoff, im Knochen verankert werden.
Die Zementschicht zwischen Knochen und Prothesenschaft ist dabei nur 1 bis 2 mm dick. Der Knochenzement härtet sofort aus und führt zu einer sofortigen Vollbelastbarkeit der Prothese.
Weil die Stabilität der Zementschicht in dieser Verbindung eine extrem kritische Rolle spielt, achten wir sehr auf eine technisch sorgfältige Zementierung der Hüftprothese ohne Lufteinschlüsse und frei von Verunreinigungen.
Eine sehr seltene Komplikation bei zementierten Prothesen ist die Zementembolie. Dabei gelangen Partikel des Knochenzements in die Körpervenen. So kann es zu Gefäßverstopfungen kommen, insbesondere in der Lunge.
Hüftpfannen zementiert oder zementfrei befestigen?

Auch die Hüftpfanne am Becken kann vom Operateur zementiert oder einwachsend befestigt werden. Es ist zudem möglich, die Befestigungsform in einer sogenannten Hybridprothese zu "mischen": Ein einwachsender Prothesenschaft der Oberschenkel-Komponente kann mit einer zementierten Pfanne als beckenseitiger Komponente kombiniert werden.
In der orthopädischen Gelenk-Klinik kommen zementierte Pfannen fast nicht mehr zum Einsatz. Die Zementschicht stellt immer eine kritische Komponente in der Befestigung dar. Wir arbeiten vorrangig mit zementfreien "Press-Fit"-Pfannenkomponenten. Diese Pfannenprothesen werden in den vorbereiteten Beckenknochen geklemmt und erhalten dadurch bereits unmittelbar nach der OP einen festen Sitz. Zusätzlich wächst in den Wochen nach der Operation der Beckenknochen in die raue Oberfläche der Hüftpfanne ein.
Warum ist die Gleitpaarung bei der Wahl der Hüftprothese so wichtig?

Die Bewegung einer Hüftprothese findet stets zwischen den zwei Gelenkpartnern Hüftkopf und Hüftpfanne statt. Hierfür sind verschiedene Materialkombinationen entwickelt worden, die sogenannten Gleitpaarungen. Sie unterscheiden sich in Härte und Oberflächenbeschaffenheit.
Die Gleitpaarung soll vor allem abriebfest sein, damit die Prothese lange hält. Abriebfestigkeit vermeidet auch die Anreicherung körperfremder Partikel in der Umgebung der Prothese und wirkt einer Prothesenlockerung entgegen.
Folgende Kombinationen an Gleitpaarungen sind heutzutage üblich:
- Metall mit Kunststoff:
Die Metall-Polyethylen-Gleitpaarung ist die konventionelle Gleitpaarung, mit der die größten Erfahrungen vorliegen. In der Gelenk-Klinik verwenden wir nur noch keramikbeschichtete Metallköpfe (Oxinium) mit abriebfestem, hoch vernetztem Polyethylen (XLPE) als Gleitpartner in der Hüftpfanne. - Metall mit Metall:
Die Metall-Metall-Gleitpaarung wird vor allem bei Oberflächenersatzprothesen, den McMinn-Prothesen, eingesetzt. - Keramik mit Kunststoff:
Keramik-Kunststoff ist eine Hart-Weich-Gleitpaarung. Sie ist flexibler hinsichtlich der Position von Gelenkkopf und Pfanne zueinander. - Keramik mit Keramik:
Keramik-Gleitpaarungen sind sehr abriebfest. Die Toleranz dieser Gleitpaarung gegenüber Abweichungen von Kopf- und Pfannenposition ist dagegen sehr gering. Das erfordert eine sehr genaue, möglichst computerunterstützte Planung des Implantates. Probleme mit der Keramik-Gleitpaarung, die gelegentlich in der Anfälligkeit gegenüber hohen Druckbelastungen bestanden, können wir heute durch moderne, bruchsichere Keramikentwicklungen vermeiden. Bei uns haben sich Keramik-Hüftprothesen bei jüngeren Patienten zwischen 40 und 60 Jahren zu einer routinemäßig eingesetzten Behandlungsform entwickelt.
Aufbau des Pfanneninlays

Die Hüftpfanne der Prothese enthält das Pfanneninlay. Das ist der eigentliche Gleitpartner des Oberschenkelkopfes. Es existiert eine Vielzahl von Modellen und diese Vielfalt ist berechtigt: Sie gibt uns Orthopäden die Möglichkeit, mit der spezifischen Auswahl des Prothesenmodells genau auf den Patienten einzugehen.
Die Hüftpfanne wird heute in der Regel zementfrei implantiert. Die zementierte Hüftpfanne setzen wir nur sehr selten ein, da es dann vor allem bei jungen und aktiven Patienten öfter zu einer Lockerung der Prothese kommt als bei der zementfreien Variante.
Die künstliche Gelenkpfanne ist ein einteiliges System aus einer Metallschale mit einem Kunststoffinlay, z. B. Polyethylen mit oder ohne aufgebrachte Metallnetzstruktur. Das Inlay kleidet also die Hüftpfanne aus, ist Teil der Gleitpaarung und bildet das gleitende Gegenstück zum Kopf der Hüftprothese.
Patientenbeispiele: Welcher Prothesentyp für welchen Patienten?
Lockerung der Hüftprothese und Prothesenwechsel
Die Hüftendoprothetik ist eine sehr komplexe Operation. Die korrekte Positionierung einer Prothese anhand der anatomischen und medizinischen Besonderheiten jedes Patienten erfordert viel Erfahrung.
Deswegen arbeiten wir in der klinischen Praxis mit so wenigen Systemen wie möglich. Bewährte Prothesenmodelle und Operationsmethoden setzen wir möglichst jahrelang ein. Nur so erhalten wir die größtmögliche Sicherheit, wenn es um die Besonderheiten und das Wohlergehen jedes Patienten geht.
Im Folgenden wollen wir Ihnen die grundlegenden Entscheidungsstrategien anhand von Patientenbeispielen vorstellen. Auch wenn die Schilderungen nicht jedem Patienten gerecht werden, erhalten Sie anhand dieser vier Fälle einen Eindruck in unsere Überlegungen und die Planung einer Hüftprothese.
Fall 1: Patient jünger als 60 Jahre mit tragfähigem Oberschenkelkopf

Jungen und aktiven Patienten empfehlen wir stets eine knochensparende Versorgung. Die Lebenserwartung junger Patienten liegt über der Tragezeit einer Hüftprothese. Ein späterer Prothesenwechsel ist also wahrscheinlich.
Mit einer Oberflächenersatzprothese können wir Oberschenkelkopf und den gesamten Oberschenkelhals erhalten. So vermeiden wir das Entfernen des Oberschenkelkopfes und das Aufbohren des Oberschenkelknochens. Für eine spätere Revisionsoperation in 15 oder 20 Jahren steht dann noch der gesamte Oberschenkelknochen für die Verankerung der Hüftprothese zur Verfügung.
Die Oberflächenersatzprothese wenden wir nur bei Männern an. Bei weiblichen Patienten verwenden wir die knochensparende Kurzschaftprothese als Alternative.
Fall 2: Patient jünger als 60 Jahre mit nicht mehr tragfähigem Oberschenkelkopf

Ist der Oberschenkelkopf nicht mehr tragfähig, z. B. nach einer Hüftkopfnekrose, empfehlen wir als knochensparendes Verfahren ein künstliches Hüftgelenk mit Kurzschaft. Diese Kurzschaftprothese ersetzt den Oberschenkelkopf. Der Markraum des Oberschenkelknochens wird lediglich im Bereich des Oberschenkelhalses ausgehöhlt.
Bei den Kurzschaftprothesen steht neben der Metall-Polyethylen-Gleitpaarung auf Wunsch auch die im Vergleich zum weicheren Kunststoff abriebärmere Keramikgleitpaarung zur Verfügung.
Fall 3: Patient älter als 60 Jahre mit hoher Knochendichte

Im höheren Lebensalter ist es wahrscheinlich, dass der Patient in seiner Lebenszeit keinen Prothesenwechsel mehr benötigt. Hier empfehlen wir die Geradschaftprothese, die mit einem geraden Schaft im Oberschenkelknochen verankert wird. Bei Patienten mit sehr guter Knochenqualität bevorzugen wir als Implantat eine einwachsende Prothese. Diese Prothese wird zementfrei im Röhrenknochen verankert. Die Oberfläche verbindet sich organisch mit dem umliegenden Knochengewebe. Auch bei sehr aktiven Patienten besteht keine Gefahr einer Lockerung.
Fall 4: Patient älter als 60 Jahre mit geringer Knochendichte, z.B. durch Osteoporose

Wenn der Knochen nicht mehr vital ist, wachsen die Knochenbälkchen nicht mehr stabil in die raue Prothesenoberfläche ein. Um das Risiko einer Lockerung zu umgehen, können wir den Prothesenschaft mit Knochenzement im Röhrenknochen fixieren. Unmittelbar nach der Operation ist der Zement ausgehärtet und eine Vollbelastung der Prothese möglich. Diese schnelle Mobilisierung bietet vor allem für betagte Patienten einen erheblichen Vorteil. Sie beschleunigt den Start in die Frührehabilitation.
Häufige Patientenfragen zu Hüftprothesen an Dr. med. Martin Rinio von der Gelenk-Klinik
Was muss ich mit einer neuen Hüftprothese beachten?
Die Nachsorge nach einer Hüftprothesen-Operation ist abhängig vom Prothesentyp und Sie sollten alle Fragen mit Ihrem behandelnden Orthopäden klären.
Unabhängig vom Prothesentyp werden Sie gleich nach der Operation an die Vollbelastung herangeführt. Mit jedem Prothesetyp haben Sie aber bestimmte Bewegungseinschränkungen. Sie sollten mit der neuen Prothese unbedingt eine Hüftgelenksverrenkung (Hüftgelenksluxation) vermeiden. Um das neue Hüftgelenk hat sich kurz nach dem Eingriff noch keine Gelenkkapsel gebildet und besteht eine erhöhte Gefahr, dass bei bestimmten Bewegungen der Gelenkkopf aus der Gelenkpfanne springt. Ihr Arzt und Physiotherapeut werden Ihnen Verhaltenstipps geben: Vermeiden Sie Bücken, Spreizen Sie Ihr Hüftgelenk nicht nach außen oder über die Körpermitte ab. Wenn sich nach etwa 6 Monaten die Muskulatur an das neue Gelenk angepasst hat und sich die Gelenkkapsel neu gebildet hat, verringert sich das Risiko für eine Ausrenkung des Hüftgelenks wieder.
Wie lange hält eine Hüftprothese?
Ähnlich wie das natürliche Gelenk ist das künstliche Hüftgelenk nicht unendlich belastbar. Dieser Gedanke sollte auch Ihren Umgang mit dem neuen künstlichen Gelenk bestimmen. Überlasten Sie das neue Hüftgelenk nicht, vermeiden Sie Unfälle und sprechen Sie mit Ihrem Arzt über geeignete sportliche Aktivitäten. Sie können bei den heutigen Hüftprothesen etwa mit einer Lebensdauer von 20 bis 25 Jahren rechnen.
Welcher Sport eignet sich für Patienten mit Hüftprothese?
Wir sprechen mit unseren Patienten über ihre sportlichen Hobbys und empfehlen teilweise einen Wechsel der Sportart, falls sie mit vielen abrupten Richtungswechseln oder einer hohen Unfallgefahr verbunden ist. Wir empfehlen den Patienten zum Beispiel Fahrradfahren, Nordic Walking, Paddeln und Rudern, Wandern, Gymnastik und Kraulschwimmen. Diese Sportarten belasten das Hüftgelenk kaum und sind nicht mit Abspreizbewegungen des Beins verbunden.
Welcher Sport schadet einer Hüftprothese?
Von einigen Sportarten raten wir unseren Patienten dringend ab. Dazu gehören Skifahren, Tennis, Squash spielen, , Golf und alle Kampfsportarten. Auch intensives Lauftraining sehen wir aufgrund der monotonen axialen Belastung der Hüftprothese als eher problematisch an. Setzen Sie sich mit Ihrem Hobby auseinander, absolvieren Sie ein Techniktraining oder probieren Sie einfach mal eine neue Aktivität aus.
Wann kann ich wieder Autofahren mit Hüftprothese?
Etwa nach 6 Wochen können Sie wieder selbst Autofahren. Jeder Patient muss selbst entscheiden, wann er plötzlichen Bremsmanövern im Straßenverkehr wieder gewachsen ist.
Wie lange bin ich krank geschrieben nach Hüftprothesen-Operation?
Die Länge der Krankschreibung hängt sehr individuell vom Patienten, dem Prothesenmodell und der beruflichen Tätigkeit ab: In der Regel können Sie nach 6 Wochen wieder arbeiten. Ist Ihr Beruf mit häufigem Stehen oder Gehen verbunden, sollten Sie etwa 12 Wochen warten, bis Sie zur Arbeit zurückkehren.
Kann Sport mit Hüftprothese zur Lockerung des Kunstgelenks führen?
Bei bewegungsaktiven Patienten mit zementfreien, einwachsenden Hüftprothesen ist die Stabilität der Knochenbälkchen im Prothesenbereich erfahrungsgemäß besser als bei eher inaktiven Patienten. Es gibt keinen wissenschaftlichen Hinweis darauf, dass gelenkfreundliche Sportarten das Lockerungsrisiko für Prothesen erhöhen. Auch Prothesenwechsel (Revisionen) sind bei aktiven Personen aufgrund der besser ausgebildeten Muskeln und der höheren Knochendichte seltener.
Trotzdem sollten Sie 6 bis 9 Monate warten, bevor Sie wieder intensiv in den Sport einsteigen. Ihre sportliche Aktivität sollte frei von plötzlichen Belastungsspitzen oder Richtungswechseln sein. Vermeiden Sie Rotationsbewegungen und Kreuzen der Beine. Trainieren Sie Ihre Beinmuskulatur und streben Sie Normalgewicht an.
Was ist die beste Jahreszeit für eine Hüft-OP?
Grundsätzlich können Hüftoperationen das ganze Jahr über durchgeführt werden. Wann für Sie der ideale Zeitpunkt gekommen ist, hängt also vor allem von persönlichen Vorlieben, dem Job oder Hobbys ab. In jedem Fall sollte man eine Zeit wählen, in der man sich gut auf die Erholung konzentrieren kann, ohne beruflichen oder familiären Stress.
Einige Quellen besagen, dass bei sehr heißen Temperaturen das Infektionsrisiko nach einer Operation leicht erhöht ist. Der Unterschied zu den Wintermonaten ist allerdings nur marginal, weshalb wir auch im Sommer nicht von einer Hüft-OP abraten. Aus wissenschaftlicher Sicht gibt es also keine klare Empfehlung, welche Jahreszeit die beste für eine Hüftoperation ist. Vielmehr ist der Leidensdruck des Patienten ausschlaggebend für den Zeitpunkt der Operation.
Wie lange benötigt man nach einer Hüft-OP eine Toilettensitzerhöhung?
Nach der Implantation eines künstlichen Hüftgelenkes sollten Sie in jedem Fall eine Toilettensitzerhöhung verwenden, da die Knie beim Sitzen immer tiefer sein sollten als das Hüftgelenk. Wir empfehlen einen Toilettenaufsatz für etwa 6 Monate.
Literatur zu Hüftprothesen
- Afghanyar, Y., Kutzner, K. P., Pfeil, J., Drees, P., Rehbein, P., & Dargel, J. (2022). Zementfreie Kurzschaftprothesen in der Hüftendoprothetik: Möglichkeiten und Limits. Zeitschrift für Orthopädie und Unfallchirurgie.
- Buluş, E., & Buluş, G. S. (2020). The Effect of Ozone and Platelet Rich Plasma (PRP) Methods on Hip Prosthesis Healing Process. Journal of Materials and Electronic Devices, 5(1), 17-19.
- Çelik, T., & Kişioğlu, Y. (2019). Evaluation of new hip prosthesis design with finite element analysis. Australasian physical & engineering sciences in medicine, 42(4), 1033-1038.
- Çelik, T., & Kişioğlu, Y. (2021). New hip prosthesis design and evaluation with using finite element analysis. Politeknik Dergisi, 1-1.
- Chechik, O., Khashan, M., Lador, R., Salai, M., & Amar, E. (2013). Surgical approach and prosthesis fixation in hip arthroplasty world wide. Archives of orthopaedic and trauma surgery, 133(11), 1595-1600.
- Descamps, S., Livesey, C., & Learmonth, I. D. (2010). Determination of digitised radiograph magnification factors for pre-operative templating in hip prosthesis surgery. Skeletal radiology, 39(3), 273-277.
- McKellop, H., Ebramzadeh, E., Niederer, P. G., & Sarmiento, A. (1991). Comparison of the stability of press‐fit hip prosthesis femoral stems using a synthetic model femur. Journal of orthopaedic research, 9(2), 297-305.
- Peltola, M., Malmivaara, A., & Paavola, M. (2013). Hip prosthesis introduction and early revision risk: A nationwide population-based study covering 39,125 operations. Acta orthopaedica, 84(1), 25-31.
- Steinbrück, A., Grimberg, A. W., Elliott, J., Melsheimer, O., & Jansson, V. (2021). Short versus conventional stem in cementless total hip arthroplasty. Der Orthopäde, 50(4), 296-305.