- Was sind tarsale Koalitionen?
- Welche Beschwerden verursachen tarsale Koalitionen?
- Wie diagnostiziert der Fußspezialist tarsale Koalitionen?
- Vorsicht: Spätfolgen von unerkannten Koalitionen am Fuß
- Konservative Therapie: vor allem für Erwachsene geeignet
- Operation der tarsalen Koalition
- Wie sind die Ergebnisse einer Operation der tarsalen Koalition?
Magnetresonanztomographie (MRT) bei einem Patienten mit kompletter Koalition zwischen Sprungbein und Fersenbein (Kreis). Blick von hinten auf die Ferse: Rechts besteht eine nicht normale Verbindung der beiden Knochen. Man spricht von einer talokalkanearen Koalition. © Gelenk-Klinik
Die Tarsale Koalition bezeichnet eine Verwachsung zwischen zwei oder mehreren Knochen im Rückfuß- oder Mittelfußbereich. Die Fußknochen sind normalerweise durch eine knorpelige Gelenkfläche getrennt. Bei der tarsalen Koalition findet die Trennung der Knochen während der Embryonalentwicklung nicht statt, daher handelt es sich um eine angeborene Fehlbildung. Mediziner gehen davon aus, dass etwa 1 % der Bevölkerung von tarsalen Koalitionen betroffen sind.
Nicht jede tarsale Koalition verursacht Beschwerden. Meist treten erst im Jugend- oder Erwachsenenalter Bewegungseinschränkungen und Schmerzen im Fußbereich auf. Häufig sind die Fußknochen vollständig miteinander verwachsen. Bei einer inkompletten Koalition können Knorpel- oder Bindegewebsbrücken zwischen den Knochen bestehen.
Was sind tarsale Koalitionen?
Tarsale Koalitionen sind angeborene Fehlbildungen des Fußskeletts aus zwei oder mehr Knochen im Rückfuß- oder Mittelfußbereich. Brückenartige Verbindungen verbinden Fußknochen, die normalerweise über ein Gelenk beweglich zueinander sind.
Die Verwachsung zwischen den Fußknochen kann bestehen aus:
- beweglichem, faserigen Bindegewebe: Synfibrosen,
- aus Knorpel: Synchondrosen oder
- als steife Verbindung aus festem Knochen (Synostose).
Der Fuß- und Sprunggelenksspezialist unterscheidet zwischen kompletten und inkompletten (partiellen) Koalitionen. Knöcherne Verwachsungen (Synostosen) bilden vor allem komplette Koalitionen. Inkomplette oder partielle Verwachsungen bestehen meist aus Knorpel- oder Bindegewebe mit einer geringen Restbeweglichkeit der Fußknochen.
Eine tarsale Koalition verhindert die Beweglichkeit zwischen den Fußknochen und fixiert den Rückfuß in einer unphysiologischen Position. Tarsale Koalitionen können bereits im Kindesalter zu Fußfehlstellungen wie eine Knick-Senkfuß-Stellung führen.
Wie entsteht eine Verwachsung zwischen Fußknochen?
Bei der tarsalen Koalition findet keine Trennung der Fußwurzelknochen während der embryonalen Entwicklung im Mutterleib statt. Die Betroffenen besitzen diese Fehlbildung also ab ihrer Geburt. Die genaue Ursache dieser Entwicklungsstörung ist bisher nicht bekannt. Mediziner nehmen an, eine Mutation im zuständigen Gen blockiert die Teilung der Fußwurzelknochen.
Obwohl sich eine Koalition bereits während der Schwangerschaft bildet, wird die Verwachsung oft erst in der späten Kindheit oder Jugend bemerkt. Die Hälfte der Betroffenen leidet unter Verwachsungen an beiden Füßen.
Welche Beschwerden verursachen tarsale Koalitionen?
Digitale Volumentomographie einer inkompletten Coalitio calcaneonavicularis. Zwischen dem rechts liegenden Kahnbein und dem links oben liegendem Fersenbein besteht eine Brücke aus Bindegewebe. © Gelenk-Klinik
Die Verwachsungen der Fußknochen kommen bei Kinderfüßen mit 1 % relativ häufig vor. Nicht jede tarsale Koalition verursacht Symptome und der Großteil der Betroffenen bleibt beschwerdefrei.
Eine eingeschränkte Fußbeweglichkeit und Fußschmerzen entwickeln sich meist im Jugendalter. Die Verbindung der Knochen ist anfangs noch bindegewebig, dann knorpelig, und später zunehmend knöchern. Durch die Verknöcherung der Verwachsung kann der Fuß versteifen und sehr schmerzhaft werden. Für die Patienten wird es zunehmend schwieriger, alltägliche Aktivitäten wie Gehen und Treppensteigen zu bewältigen. Besonders das Gehen auf unebenem Gelände ist beschwerlich.
Meist stellen sich Betroffene in unserer Praxis nach einer Umknickverletzung vor, die trotz konservativer Therapien und spezieller Schienen (Orthesen) keine Besserung ihrer Beschwerden erleben. Die Patienten beschreiben die Schmerzen als belastungsabhängig, da sie meist bei und nach körperlicher Arbeit und sportlicher Aktivität auftreten.
Symptome geben wichtige Hinweise auf die Lokalisation der Koalition
Die beiden häufigsten Koalitionen am Fuß verursachen aufgrund ihrer Lage typischerweise unterschiedliche Beschwerden. Beide Koalitionen führen zu einer mehr oder weniger vollständigen Einschränkung der Beweglichkeit im unteren Sprunggelenk und können zu einer Fußfehlstellung mit Ausbildung eines Knick-Senkfußes oder Plattfußes führen.
Die häufigsten tarsalen Koalitionen sind:
- Coalitio calcaneonavicularis: Verwachsung zwischen Fersenbein (Calcaneus) und Kahnbein (Os naviculare)
- Coalitio talocalcanearis: Verwachsung zwischen Sprungbein (Talus) und Fersenbein (Calcaneus)
Beschwerden bei Coalitio calcaneonavicularis
Ein frühes Symptom der Koalition zwischen Fersenbein und Kahnbein ist die eingeschränkte Fußbeweglichkeit. Diese Fehlbildung verursacht zur Zeit der Verknöcherung zwischen dem 8. und 12. Lebensjahr die häufigsten Beschwerden. Die Jugendlichen leiden vor allem unter Schmerzen bei der Einwärtsdrehung (Supination) des Fußes. Häufig verstärken sich die Beschwerden, wenn der untersuchende Spezialist Druck auf die erkrankte Stelle am äußeren (lateralen) Fußrücken ausübt, unmittelbar über der Verwachsung. Möglicherweise treten krampfartige Beschwerden am äußeren Fußrand auf, da durch die Verwachsung der Druck in der Sehne des langen Wadenbeinmuskels (M. peroneus longus) kompensatorisch erhöht ist.
Beschwerden bei Coalitio talocalcanearis
Magnetresonanztomographie (MRT) einer partiellen Koalition zwischen Sprungbein und Fersenbein (Pfeil) mit deutlichem Knochenödem als Zeichen einer akuten Entzündung. © Gelenk-Klinik
Die Koalition zwischen Sprungbein und Fersenbein wird meist erst zwischen dem 12. und 16. Lebensjahr symptomatisch. Die Heranwachsenden haben besonders bei Bewegungen im unteren Sprunggelenk wie Supination, Pronation, Inversion und Eversion des Fußes Schmerzen unter der Innenknöchelspitze.
Erwachsene haben andere Symptome
Wurde eine Tarsale Koalition bisher nicht diagnostiziert, leiden Erwachsene häufig an unspezifischen Überlastungsbeschwerden, z. B. an der Achillessehne oder den Sehnen der Wadenbeinmuskeln. Sportliche Aktivitäten wie Inline Skaten, Tanzen oder Laufen auf unebenem Untergrund sind für Betroffene schmerzhaft. Die Beschwerden gleichen den Symptomen einer Sprunggelenksarthrose.
Wie diagnostiziert der Fußspezialist tarsale Koalitionen?
Differentialdiagnose bei tarsalen Koalitionen
Patienten mit einer tarsalen Koalition können unter unspezifischen Beschwerden leiden. Daher ist die Diagnosestellung durch einen erfahrenen Fuß- und Sprunggelenkspezialisten erforderlich. Er kann andere Fußerkrankungen ausschließen (Differentialdiagnose) und frühzeitig eine angepasste Therapie einleiten.
Klinische Untersuchung durch den Fußspezialisten
Patient mit deutlicher Rückfußfehlstellung des Fersenbeins im Stehen aufgrund einer tarsalen Koalition. Das Fersenbein ist stark nach außen geneigt, das Fußgewölbe ist abgeflacht (Knick-Senkfuß-Stellung). © Gelenk-Klinik
Sehr oft erkennt der Fußspezialist zuerst eine Fehlstellung des betroffenen Fußes, größtenteils besteht ein Knick-Senkfuß. Bei der klinischen Untersuchung ist das untere Sprunggelenk in seinem Bewegungsradius eingeschränkt. Die Ferse der Patienten ist nach außen geneigt und ändert ihre Stellung auch im Zehenspitzenstand nicht.
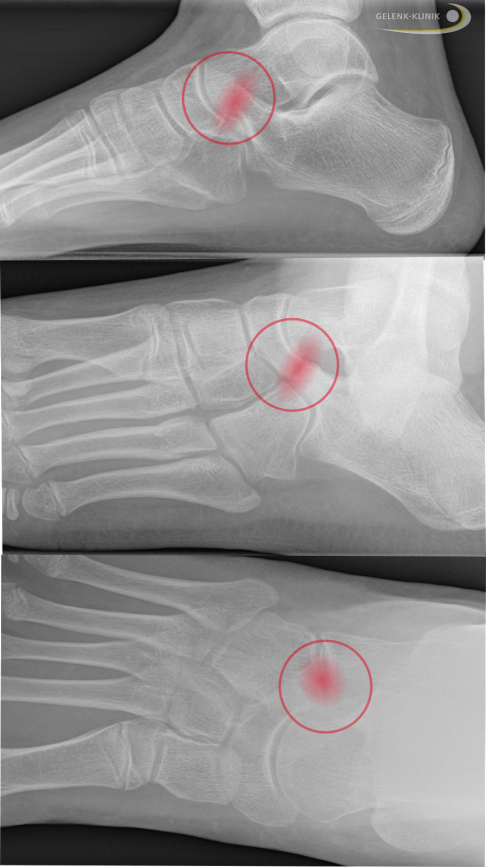
Typische Röntgenzeichen bei tarsalen Koalitionen
Röntgenbefund einer Coalitio calcaneonavicularis in 3 Ebenen (von der Seite, Schrägaufnahme, von oben). Man erkennt die bandförmige knöcherne Verbindung zwischen Fersenbein und Kahnbein (rot). © Gelenk-Klinik
Tarsale Koalitionen können durch spezielle bildgebende Verfahren zuverlässig diagnostiziert werden.
Die erste Untersuchung erfolgt überwiegend durch eine Röntgenaufnahme des betroffenen Fußes in mehreren Ebenen. Der Fuß wird seitlich, von oben und in einem schrägen Winkel (45°) geröntgt.
Der Spezialist erkennt bei einer Coalitio calcaneonavicularis auf dem Röntgenbild die typische Verbindung zwischen dem vorderen Fersenbein und dem lateralen Kahnbeinanteil.
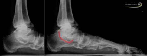
Bei Verdacht auf eine Coalitio talocalcanearis sucht der Fußspezialist nach dem sogenannten “C-Zeichen”: Die knöcherne Verbindung zwischen Sprungbein und Fersenbein erscheint im Röntgenbild wie ein auf dem Rücken liegendes "C".
Röntgenaufnahme einer Coalitio talocalcanearis: Die rote Linie markiert die Verknöcherung zwischen Talus und Calcaneus und bildet ein liegendes "C." © Gelenk-Klinik
Optimale Therapieplanung durch digitale Volumentomographie oder Computertomographie
3D-Bildgebung durch DVT unter Belastung bei talocalcanearer Verwachsung: Die Verwachsung zwischen Sprungbein und Fersenbein wird im Detail gezeigt. Die abweichende grüne Linie von der Mittellinie markierte die massive Fehlstellung der Ferse zur anatomisch korrekten Stellung. © Gelenk-Klinik
Die DVT- oder CT-Untersuchungen stellen knöcherne Brücken zwischen den Fußknochen optimal dar. Auch eine bereits eingetretene Arthrose wird mit diesen Untersuchungen erfasst. Mithilfe der DVT unter Belastung des betroffenen Fußes ermittelt der Spezialist die genaue Fußstellung.
Beide Untersuchungen geben detaillierte Informationen zur genauen Lage und zum Ausmaß der Koalition. Im Hinblick auf eine operative Therapie kann der Spezialist mit diesen Befunden die vollständige Resektion der Verwachsung exakt planen.
Magnetresonanztomographie bei nicht-knöchernen Koalitionen
In Einzelfällen sind Koalitionen nicht eindeutig sichtbar, vor allem, wenn sie noch nicht verknöchert sind, sondern aus Bindegewebe oder Knorpel bestehen. In diesen Fällen führt der Fußspezialist bei Verdacht auf eine Koalition eine Magnetresonanztomographie (MRT) durch.
MRT eines Jugendlichen mit Koalition zwischen Fersenbein und Kahnbein (Coalitio calcaneonavicularis, Pfeil). Knochenstrukturen erscheinen im MRT dunkel. Die sichtbaren weißen, knöchernen Veränderungen sind mit einer vermehrten Flüssigkeitsansammlung gleichzusetzen (Knochenödem) und deuten auf eine Reizung des Knochens hin. © Gelenk-Klinik
SPECT: exakte Diagnostik zur Lokalisation der Schmerzauslöser
Nicht jeder radiologische Befund durch Röntgen, MRT oder CT gibt eindeutige Hinweise auf die Schmerzursache im betroffenen Fuß.
Die Single-Photon-Emissionscomputertomographie (SPECT) ist eine nuklearmedizinische Untersuchung, bei der eine radioaktiv markierte Substanz (Tracer) zur Lokalisation von Regionen mit einem veränderten Knochenstoffwechsel verabreicht wird. Dank dieser Bildgebung lassen sich Koalitionen mit einem aktiven Knochenstoffwechsel genau identifizieren. Die Traceranreicherung im Bereich der Verwachsung steht in einem starken Zusammenhang mit den beschriebenen Schmerzen.
SPECT-Untersuchung, links: reizfreie Koalition ohne Tracer-Anreicherung. Rechts: aktiver Knochenstoffwechsel einer Koalition zwischen Sprungbein und Fersenbein bei einem Erwachsenen mit beginnender Arthrose. Die starke Anreicherung des Tracers steht im Zusammenhang mit den Schmerzen des Patienten. © Gelenk-Klinik
Vorsicht: Spätfolge von unerkannten Koalitionen am Fuß
DVT-Darstellung einer partiellen Coalitio mit deutlichen Arthrosezeichen. Rot markiert ist ein knöcherner Kontakt zwischen Sprungbein (Talus) und Fersenbein (Calcaneus). © Gelenk-Klinik
Bleibt die Koalition im Jugendalter ohne Symptome, kann es im Erwachsenenalter zu vorzeitigem Gelenkverschleiß (Arthrose) oder schmerzhaften Bewegungseinschränkungen im betroffenen Fuß kommen. Die Verwachsung zwischen den einzelnen Fußknochen verursacht eine erhöhte Belastung der umliegenden Strukturen. Die gesunden Knorpelflächen der übrigen Rückfuß- und Mittelfußgelenke werden vorzeitig verschlissen, sodass die Betroffenen eine schmerzhafte Arthrose, z. B. subtalare Arthrose oder talonaviculare Arthrose ausbilden können.
Konservative Therapie: vor allem für Erwachsene geeignet
Die Therapie einer tarsalen Koalition richtet sich nach der Stärke der Beschwerden und dem Ausmaß der Verwachsung. Treten die Symptome erstmals auf, empfehlen unsere Fußspezialisten vor allem erwachsenen Patienten die nicht-operative, konservative Therapie.
Die folgenden Maßnahmen helfen den Betroffenen, ihre Aktivitäten in Sport und Alltag anzupassen, um Überlastungen und Schmerzen durch die tarsale Koalition zu vermeiden:
- Ruhigstellung und Belastungsreduktion des Fußes durch eine Orthese
- gut sitzendes Schuhwerk
- stützende, polsternde Schuheinlagen
- Stoßwellenbehandlung und Injektionen mit Lokalanästhetika und Kortikosteroiden
- Physiotherapie zur Muskelkräftigung
- entzündungshemmende, schmerzstillende Medikamente aus der Gruppe der nichtsteroidalen Antirheumatika (NSAR)
Die genaue Kenntnis über die Lokalisation der Verwachsung ist bei der konservativen Behandlung einer Koalition absolut notwendig. Ist die Therapie mit Injektionen, Stoßwellenbehandlung und gezielten Übungsbehandlung nicht zielgenau auf den Befund des Patienten ausgerichtet, ist sie nicht wirksam. Betroffene sollten sich bei Verdacht auf eine tarsale Koalition oder unklaren chronischen Fußschmerzen bei einem Fußspezialisten vorstellen.
Lindern die konservativen Therapien die Schmerzen des Patienten nur unzureichend, empfiehlt der Fußspezialist einen operativen Eingriff. Das gewählte Behandlungsverfahren ist immer vom Alter des Patienten und seinem Leidensdruck abhängig und wird gründlich mit dem Betroffenen besprochen.
Operation der tarsalen Koalition
Ziel der Operation ist es, die Schmerzen der Patienten dauerhaft zu beseitigen und die Fußstatik gegebenenfalls durch eine Stellungskorrektur des Fußes zu verbessern. Die operative Therapie ist vor allem sinnvoll, wenn der Patient durch die Verwachsung bereits einen kontrakten Knick-Plattfuß entwickelt hat.
Beim kindlichen Fuß ist die tarsale Koalition die am häufigsten operativ behandelte Fußerkrankung, da vor Abschluss des Wachstums bessere Ergebnisse durch Entfernung (Resektion) der Koalition erzielt werden, um Beschwerden zu reduzieren und die Beweglichkeit des Fußes zu gewährleisten.
Die Therapieform richtet sich nach dem Ausmaß der tarsalen Verwachsung. Vor Festlegung des Operationsverfahrens untersucht der Fußspezialist die Stellung des Fußes unter Belastung, um Fehlstellungen zu erkennen und er prüft die verbliebene Mobilität. Optimale Ergebnisse erreicht der Operateur bei der operativen Entfernung einer partiellen Coalitio, die nur einen kleinen Anteil der Gelenkfläche betrifft.
Operative Behandlungsmöglichkeiten von tarsalen Koalitionen
- operative Entfernung (Resektion) der tarsalen Coalitio
- Resektion der tarsalen Coalitio und Korrektur einer Fußfehlstellung
- Ultima ratio: subtalare Versteifung (Arthrodese)
Wie operiert der Spezialist die Coalitio calcaneonavicularis?
Über einen Hautschnitt entfernt der Fußspezialist die Verwachsung zwischen den Knochenanteilen. Wichtig ist die vollständige Resektion aller beteiligten Knochenteile und narbigen Verbindungen. Nur so erzielt der Spezialist eine gute Fußmobilität ohne weiterhin störende knöcherne Kontakte.
Die geschaffene Gewebelücke füllt er mit körpereigenem Gewebe des Patienten auf, um ein Wiederverwachsen der Knochen zu vermeiden. Dazu eignet sich vor allem Fettgewebe bzw. Sehnengewebe oder Muskelbauchanteile. Eine umfassende Erfahrung des Operateurs ist für den Erfolg des Eingriffes besonders entscheidend.
Zur optimalen Diagnose und Planung der Operation nutzt der Fußspezialist die digitale Volumentomographie (DVT) des Fußes unter Belastung. Liegt bereits eine Fußfehlstellung aufgrund der Verwachsung vor, führt der Operateur neben der Resektion der Koalition auch eine Stellungskorrektur der Fußknochen (Umstellungsosteotomie) durch.
Besonders schonend: arthroskopische Resektion
Röntgenaufnahme während der minimalinvasiven Operation einer Coalitio calcaneonavicularis bei einem Jugendlichen mit geschlossenen Wachstumsfugen. Unter Bildwandlersicht wurde eine Nadel im Bereich der Verwachsung zwischen Kahnbein und Fersenbein platziert. Die Abtragung der Koalition erfolgte endoskopisch. © Gelenk-Klinik
Neben der klassischen offenen Operation setzen die Fußspezialisten der Gelenk-Klinik vor allem minimalinvasive Operationsverfahren ein. Diese arthroskopische Operation über kleine Hautinzisionen ist schonender für das Gewebe und die Komplikationsrate ist geringer.
Der Spezialist entfernt die Koalition endoskopisch unter Kamerasicht. Die genaue Lokalisation der Verwachsung prüft der Operateur während des Eingriffs mithilfe von Röntgenuntersuchungen durch einen Bildwandler. Der Bildwandler stellt die entsprechende Körperregion in Echtzeit auf einem Monitor dar. Der Operateur kann so Befunde und Operationsergebnisse in Echtzeit beurteilen.
Während er die Vollständigkeit der Abtragung bei der offenen Operation über den Hautschnitt ertasten kann, überwacht er die komplette Resektion beim minimalinvasiven Verfahren anhand der Diagnostik mit dem Bildwandler.
Wie operiert der Spezialist die Coalitio talocalcanearis?
Ist eine Coalitio talocalcanearis nicht vollständig ausgebildet, kann der Spezialist die Fußbeweglichkeit durch Entfernung (Resektion) der Verwachsung bei vielen Patienten wiederherstellen. Bei sehr ausgeprägten Verwachsungen zwischen Sprungbein und Fersenbein korrigiert der Operateur den oft vorhandenen Knick-Plattfuß durch Umstellung der betroffenen Knochen (Osteotomie) in eine anatomisch bessere Position. Beim Knick-Senkfuß sinkt das Fußlängsgewölbe ab, bei gleichzeitiger Fehlstellung des Fersenbeins nach außen (X-Stellung). Die mangelnde Beweglichkeit von Sprungbein und Fersenbein belastet die vorne am Fuß gelegenen Gelenke stark. Das primäre Ziel einer Operation ist, dass der Patient seinen Fuß schmerzfrei belasten kann.
Darstellung einer vollständigen Coalitio talocalcanearis in DVT und Röntgen. © Gelenk-Klinik
Tarsale Arthrodese: Versteifung von Fußknochen
Die operative Entfernung einer tarsalen Koalition erzielt sehr gute Ergebnisse, wenn nicht bereits eine Arthrose durch Fehlbelastung im Fuß- oder Sprunggelenk bzw. eine Fehlstellung vorhanden ist.
Ausgedehnte Koalitionen, die mehr als ein Drittel des hinteren unteren Sprunggelenks (Subtalargelenk) betreffen, können allerdings nicht mehr reseziert werden. In diesen Fällen versorgt der Spezialist die Fehlstellung durch eine sogenannte Korrekturarthrodese.
Ablauf und Risiken einer Versteifung:
Die Arthrodese führen die Fußspezialisten in der Gelenk-Klinik vor allem minimalinvasiv durch. Bei dieser arthroskopischen Operation löst der Operateur das verwachsene Gelenk, stellt es korrekt ein und fixiert es, indem er die knöcherne Verwachsung der Gelenke absichtlich herbeiführt. Dadurch stabilisiert er die Rückfußstellung und begradigt die Stellung des Fersenbeins.
- Durch die Versteifung am talonavicularen Gelenk wird das bei ausgeprägtem Knick-Senkfuß meist eingesunkene Fußlängsgewölbe wieder aufgerichtet. Das versteifte Gelenk ist nach dem Ausheilen belastbar und schmerzfrei.
- Die Versteifungsoperation ist irreversibel und die Entscheidung, wie viele der betroffenen Fußgelenke versteift werden, sichern die Fußspezialisten der Gelenk-Klinik durch eine Spect-CT-Untersuchung.
- Durch die Arthrodese werden die benachbarten Fußgelenke stärker belastet als vorher, wodurch langfristig ein Risiko für Begleitarthrosen besteht.
- Die Fußspezialisten der Gelenk-Klinik treffen die Entscheidung zur subtalaren Arthrodese bei großen Koalitionen zwischen Sprung- und Fersenbein sowie bei Patienten mit schlechter Knorpelqualität im Bereich des hinteren unteren Sprunggelenks.
Wie sind die Ergebnisse der Operation einer tarsalen Koalition?
Durch die Resektion einer tarsalen Koalition erreicht der Fußspezialist die besten Therapieergebnisse, wenn
- die Verwachsung nur einen kleinen Teil der Gelenkfläche betrifft und noch eine geringe Restbeweglichkeit vorhanden ist,
- die Fußfehlstellung minimal ist und keine Arthrose besteht.
In jedem Fall klärt der Spezialist die Betroffenen ausführlich darüber auf, dass auch nach erfolgreicher Resektion der Verwachsung, nach körperlicher Belastung oder sportlicher Aktivität noch Restbeschwerden auftreten können. Die vollständige Wiederherstellung der physiologischen Funktion und Form der betroffenen Fußgelenke ist oft nicht möglich.
Unsere Spezialisten informieren die Patienten ebenfalls, dass in seltenen Fällen weitere Operationen im Verlauf notwendig werden können, z.B.
- eine erneute Resektion bei erneuter Verknöcherung (Rezidiv der Verwachsung),
- eine spätere Versteifung bei zunehmenden Beschwerden und Fortschreiten der Fußfehlstellung mit Verschleißerscheinungen.
Literatur
- Bohne, W. H. (2001). Tarsal coalition. Current opinion in pediatrics, 13(1), 29-35.
- Conway, J. J., & Cowell, H. R. (1969). Tarsal coalition: clinical significance and roentgenographic demonstration. Radiology, 92(4), 799-811.
- Crim, J. R., & Kjeldsberg, K. M. (2004). Radiographic diagnosis of tarsal coalition. American Journal of Roentgenology, 182(2), 323-328.
- Herzenberg, J. E., Goldner, J. L., Martinez, S., & Silverman, P. M. (1986). Computerized tomography of talocalcaneal tarsal coalition: a clinical and anatomic study. Foot & Ankle, 6(6), 273-288.
- Kulik Jr, S. A., & Clanton, T. O. (1996). Tarsal coalition. Foot & ankle international, 17(5), 286-296.
- Leonard, M. A. (1974). The inheritance of tarsal coalition and its relationship to spastic flat foot. The Journal of Bone and Joint Surgery. British volume, 56(3), 520-526.
- Stormont, D. M., & Peterson, H. A. (1983). The relative incidence of tarsal coalition. Clinical Orthopaedics and Related Research, (181), 28-36.
- Varner, K. E., & Michelson, J. D. (2000). Tarsal coalition in adults. Foot & Ankle International, 21(8), 669-672.
