- Was ist der Schneiderballen?
- Diagnose: Woran erkennt der Arzt einen Schneiderballen?
- Wie wird der Schneiderballen operiert?
- Wie erfolgt die Nachbehandlung der Chevron-Osteotomie?
- Welche Komplikationen können nach Vorfußoperationen entstehen?

Der Schneiderballen ist eine häufig schmerzhafte Fehlstellung des kleinen Zehs, der nach innen wegknickt. Mithilfe von Fußübungen, Zehenspacer (Zehenspreizer), geeigneten Schuhen und Einlagenversorgung lassen sich die Beschwerden meist konservativ therapieren. Wenn die Fehlstellung aber zu verfestigt ist und die Schmerzen durch eine konservative Behandlung nicht verschwinden, kann eine Operation des Schneiderballens notwendig sein.
Was ist der Schneiderballen?
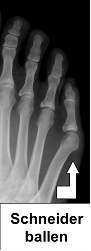
Der Schneiderballen (Digitus quintus varus) ist eine Fehlstellung des kleinen Zehs, bei der es zu Reizungen an der Außenkante des Fußes kommt. Man bezeichnet ihn in der Medizin auch als Bunionette. Dabei handelt es sich um einen Schiefstand des kleinen Zehs, ganz ähnlich wie bei der Hallux valgus-Fehlstellung der Großzehe.
Beim Schneiderballen ist der kleine Zeh in seinem Grundgelenk nach innen gerichtet und kann die benachbarten Zehen überlagern. Im Bereich dieser Fehlstellung entsteht häufig eine Gelenkarthrose oder eine schmerzhafte Schleimbeutelentzündung (Bursitis). Auch Schwielen und Hornhaut an der betroffenen Stelle werden häufig beobachtet.
Zu den häufigsten Ursachen des Schneiderballens gehören entzündliche Erkrankungen (Rheuma). Ein weiterer Faktor sind spitz zulaufende Schuhe, die erheblichen Druck auf die Kleinzehe ausüben können.
Diagnose: Woran erkennt der Arzt einen Schneiderballen?

Die Diagnose Schneiderballen stellt der Arzt meistens schon durch einfache Betrachtung des Fußes. Auf Höhe des fünften Mittelfußköpfchens bildet sich häufig eine Druckstelle an der Fußaußenkante mit verdickter Hornhaut und Hühneraugen. Typische Symptome wie entzündliche Schwellung im Zehengrundgelenk der kleinen Zehe und bewegungsabhängige Schmerzen beim Abrollen des Fußes liefern weitere Hinweise.
Vor einer Operation wird eine Röntgenaufnahme unter Belastung des Vorfußes erstellt. Anhand der Bildgebung beurteilt der Arzt die Große des Mittelfußköpfchens des fünften Zehs. Zudem misst er den Winkel zwischen den Mittelfußknochen der vierten und fünften Zehe (Intermetatarsale-IV/V-Winkel), der normal etwa 8 Grad beträgt und den Winkel zwischen der fünften Zehe und dem Mittelfuß (normal 5 Grad). Die operative Therapie stützt sich auf diese Befunde.
Wie wird der Schneiderballen operiert?

Ziel der Operation des Schneiderballens ist es, den Vorfuß zu verschmälern und damit den Druck von außen auf den kleinen Zeh zu vermindern.
Die häufigste Methode ist die sogenannte Chevron-Osteotomie. Hierbei erfolgt eine v-förmige Knochendurchtrennung an der Außenseite des fünften Mittelfußknochens. Der Mittelfußkopf wird nach der Knochenabtragung nach innen verschoben und mit einem Draht oder einer Schraube befestigt. Der verbleibende Knochenüberstand wird abgetragen. Diese Maßnahme korrigiert die Fehlstellung der Kleinzehe (Digitus quintus varus) und verschmälert den Vorfuß.
Die reine Abtragung der Exostosen und die Entfernung des Mittelfußkopfes sind keine zeitgemäße Therapie des Schneiderballens.
Wie erfolgt die Nachbehandlung der Chevron-Osteotomie?
Nach der Operation erfolgt die Mobilisation unter Vollbelastung des Fußes mit einem speziellen Verbandschuh. Sie tragen für 3 Wochen einen Zügelverband mit Korrekturwirkung.
Ein Kontrollröntgen erfolgt 4 Wochen nach der Operation. Wurde ein Kirschnerdraht zur Fixierung der Knochen verwendet, muss dieser in einem zweiten Eingriff in Lokalanästhesie durch einen kleinen Hautschnitt entfernt werden.
Welche Komplikationen können nach Vorfußoperationen entstehen?
- Wundheilungsstörungen
- verzögerte Knochenheilung und Pseudarthrosen
- Durchblutungsstörung im Köpfchen (avaskuläre Nekrose)
Literaturangaben
- Ajis, A., Koti, M. & Maffulli, N. (2005). Tailor's bunion: a review. The Journal of foot and ankle surgery, 44(3), 236–245.
- Beasley, B. D., Grambart, S. T. & King, J. E. (2002). X-ray evaluation using the X-PODite digital radiograph analyzer. A preliminary study. Clinics in podiatric medicine and surgery, 19(4), 477–482.
- Bellacosa, R. A. & Pollak, R. A. (1991). Complications of lesser metatarsal surgery. Clinics in podiatric medicine and surgery, 8(2), 383–397.
- Cohen, B. E. & Nicholson, C. W. (2007). Bunionette deformity. The Journal of the American Academy of Orthopaedic Surgeons, 15(5), 300–307.
- Fallat, L. M. (1990). Pathology of the fifth ray, including the tailor's bunion deformity. Clinics in podiatric medicine and surgery, 7(4), 689–715.
- Gibbs, R. C. & Boxer, M. C. (1982). Abnormal biomechanics of feet and their cause of hyperkeratoses. Journal of the American Academy of Dermatology, 6(6), 1061–1069.
- Harrasser, N., Toepfer, A., Lenze, F., Pohlig, F., & von Eisenhart-Rothe, R. (2015). Hammer – Krallen – Klauen. MMW-Fortschritte der Medizin, 157(11), 43–45.
- Hase, C. (2015). Die orthopädische Untersuchung des ausgewachsenen Fußes. Orthopädie und Unfallchirurgie up2date, 153(06), 505–520.
- Holmes, G. B. (1991). Surgical management of foot disorders: bunions and bunionettes. Current opinion in rheumatology, 3(1), 98–101.
- Koti, M. & Maffulli, N. (2001). Bunionette. The Journal of bone and joint surgery. American volume, 83-A(7), 1076–1082.
- Leiß, F., Baier, C., Schwarz, T., & Grifka, J. (2019). Degenerativer Vorfuß. Zeitschrift für Rheumatologie, 78(3), 255–264.
- Marx, R. C. & Mizel, M. S. (2010). What is new in foot and ankle surgery. The Journal of bone and joint surgery. American volume, 92, 512–23.
- Schuh, A., Jezussek, D., Scheller, A., & Hönle, W. (2016). Kleine Fußübel, die große Schmerzen bereiten. MMW-Fortschritte der Medizin, 158(21-22), 60–62.
- Sullivan, R. J. (2010). The pediatric foot and ankle. Foot and ankle clinics, 15, ix.
- Valderrabano, V., Engelhardt, M. & Küster, H. -. (2008). Fuß & Sprunggelenk und Sport: Empfehlungen von Sportarten aus orthopädischer und sportmedizinischer Sicht. Deutscher Ärzte-Verlag.
- Wulker, N., FRCSIMater, M. M. & III, M. D. (1998). An Atlas of Foot & Ankle Surgery (1st ed). Martin Dunitz.