- Wie schnell ist der Daumen nach der OP wieder griffbereit?
- Was ist der Unterschied zur klassischen Operationsmethode nach EPPING?
- Was sind die Vorteile einer Daumensattelgelenksprothese gegenüber der klassischen Operation nach EPPING?
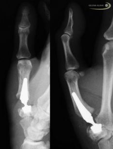
Das Röntgenbild zeigt eine Daumensattelgelenksprothese mit Kugelgelenk. © Gelenk-Klinik
Bei der Daumensattelgelenksprothese wird die Mechanik des Daumensattelgelenks nachgebildet und durch ein Kugelgelenk ersetzt. Die Prothese ist ähnlich aufgebaut wie eine Hüftprothese.
In der etwa einstündigen Operation, bei der der komplette Arm betäubt ist, entfernt der Operateur einen Teil des ersten Mittelhandknochens und setzt die kleine Prothese ein. Die Prothese ist eine Therapie bei schwerer Arthrose des Daumensattelgelenks (Rhizarthrose).
Wie schnell ist der Daumen nach der OP wieder "griffbereit"?
Die Operation stellt die Beweglichkeit und Schmerzfreiheit des Daumens wieder her. © GCapture, Fotolia
Die Prothese ermöglicht die frühe Einsatzfähigkeit der operierten Hand: Nach vier Wochen kann der Patient normale Alltagsbelastungen ohne schweres Heben bereits wieder ausführen.
Was ist der Unterschied zur klassischen Operationsmethode nach EPPING?
Bei der Methode nach EPPING wird das Os trapezium (großes Vieleckbein = einer der acht Handwurzelknochen) operativ entfernt. Dann fixiert der Arzt den ersten Mittelhandknochen mithilfe einer aus dem Handgelenk entnommenen Sehne. Der Daumen muss nach der Operation für mindestens drei Wochen im Gips ruhiggestellt werden. Die langsame Mobilisierung dauert bis zu vier Monate.
Was sind die Vorteile einer Daumensattelgelenksprothese gegenüber der klassischen Operation nach EPPING?
- deutlich schnellere Einsatzfähigkeit der Hand
- vollwertiger Ersatz des Gelenkes
- kosmetisch besseres Ergebnis
Literaturangaben
- Rehabilitation in Orthopädie und Unfallchirurgie: Methoden - Therapiestrategien – Behandlungsempfehlungen (German Edition). (2004) (1 ed). Springer.
- Minimally Invasive Surgery in Orthopedics. (2009) (1st Editio ed). Springer.
- Hand Surgery. 2 Volume Set. (2003) (1 ed). Lippincott Williams & Wilkins.