- Was ist eine Haglundferse (Haglundexostose)?
- Überlegungen vor einer Haglundfersen-Operation
- Offene Operation der Haglundferse
- Minimalinvasive Operation der Haglundferse
- Sanierung der Achillessehne
- Umstellungsoperation zur Korrektur des Fersenbeins
Was ist eine Haglundferse (Haglundexostose)?

Die Haglundferse (Haglundexostose) äußert sich in einem stechenden, häufig belastungsabhängigen oberen Fersenschmerz. Dieser Schmerz an der Ferse kann durch einen oberer Fersensporn, durch krankhafte Sehnenveränderungen oder durch eine Schleimbeutelentzündung (Bursitis) entstehen.
Am Ansatz der Achillessehne tritt die Ferse bei einer Haglundexostose als Überbein deutlich hervor. Dies überlastet die Achillessehne und alle umgebenden Gewebe. Man spricht von der Haglundexostose oder Haglundferse.
In aller Regel behandeln die Fußspezialisten der Gelenk-Klinik die Haglundferse konservativ. Durch passende Schuhe mit ausreichend Fersenraum, Kühlen und Entlastung kann die schmerzhafte Entzündung zurückgehen. Sehnenansatzbeschwerden können wir meist konservativ mithilfe von Stoßwellentherapie oder ZRT®-Matrix-Therapie behandeln. Wenn die Knochenvorwölbung an der schmerzhaften Ferse sehr stark ausgeprägt ist oder alle konservativen Maßnahmen ausgeschöpft sind, stehen den Fußspezialisten der Gelenk-Klinik unterschiedliche operative Strategien zur Verfügung.
Überlegungen vor einer Haglundfersen-Operation
Vor der Entscheidung für eine Operation ist die exakte Beurteilung der Fersenstellung notwendig. Besonders Hohlfußfehlstellungen können zu einer Fehlstellung des Fersenbeins und dadurch zu einer verstärkten Vorwölbung der Ferse führen. Diese Vorwölbung verstärkt mögliche Druckschmerzen an der Ferse. Es ist sehr wichtig zu unterscheiden, ob die schmerzhafte Haglundferse aufgrund einer Fehlstellung, einer natürlichen stärker nach hinten gewölbten Ferse oder einer ungünstigen Trainingsbelastung herrührt. Häufig beruht der Fersenschmerz auf einer Mischung aller möglichen Ursachen. Die Schwellung im Fersenbereich aufgrund einer anatomischen Fehlbildung lässt sich während der körperlichen Untersuchung nicht immer eindeutig von einer Überlastung als Ursache des Fersenschmerzes abgrenzen.
Offene Operation der Haglundferse
Bei Schäden am Sehnenansatz (Insertionstendinopathien) stellt eine offene Abtragung des Knochenüberstandes mit Eröffnung der Achillessehne und Behandlung des Sehnenschadens die empfohlene Standardbehandlung dar. Die Knochenabtragung entlastet die Achillessehne. Auch ein entzündeter Schleimbeutel kann bei diesem Eingriff entfernt werden. Der offene Zugang bietet eine direkte Sicht auf die Achillessehne. Der Operateur kann bei der offenen Operation ihren Zustand mitbeurteilen. Eine Behandlung der Achillessehne erfolgt nach Bedarf.
Nachbehandlung bei offener Operation der Haglundferse
Für ein erfolgreiches Operationsergebnis ist nach einer offenen Operation der Achillessehne eine Ruhigstellung des Fußes mithilfe einer Orthese notwendig. Bevor der betroffene Fuß wieder eine komplette Abrollbewegung machen darf, muss die Sehne vollständig verheilt sein. Dies ist etwa nach 6 Wochen der Fall. Weitgehende Schonung und Teilbelastung fördern den Heilungsprozess.
Minimalinvasive Operation der Haglundferse
Ist im Vorfeld absehbar, dass die Achillessehne nur gering entzündlich verändert ist, besteht die Möglichkeit, die Operation der Haglundexostose endoskopisch und unter Röntgensteuerung über einen kleinen Hautzugang durchzuführen. Ähnlich wie bei der offenen Operation wird bei diesem Verfahren der Knochen am Fersenbein abgetragen, evtl. entzündete Schleimbeutel und Gewebe entfernt und die Achillessehne endoskopisch behandelt.
Externer Inhalt von viewmedica.com
Vorteile der minimalinvasiven Operation der Haglundferse
Die orthopädischen Fachärzte der Gelenk-Klinik prüfen bei jedem Patienten, ob statt des offenen Operationsverfahrens die endoskopische minimalinvasive Methode eingesetzt werden kann. Die umfangreiche Erfahrung hat einige Vorteile der minimalinvasiven Haglundoperation ergeben:
- Viel kleinere Narben, die sich nicht über die gesamte Länge der Ferse ziehen und in festen Schuhe zu Irritationen, Druckgefühl und Fersenschmerzen führen
- deutlich geringere Weichteilverletzung
- schnellere Heilung und Regeneration, Fadenzug i. d. R. bereits nach 7 Tagen
Nachbehandlung bei minimalinvasiver Haglundfersenoperation
In den ersten Tagen nach dem Eingriff sollte der Patient seinen operierten Fuß schonen und ruhigstellen. Eine Entlastung mithilfe von Unterarmgehstützen ist sinnvoll. Danach darf der Fuß voll belastet werden.
Physiotherapeutische Maßnahmen in den ersten Monaten nach der Operation unterstützen den Aufbau der Muskelfunktion und tragen zum Erhalt der physiologischen Beweglichkeit bei. Dies verbessert das Operationsergebnis und senkt die Komplikationsrate und somit die Gefahr eines erneuten Eingriffs (Revision).
Sanierung der Achillessehne
Ist der Achillessehnenansatz stark geschädigt oder degeneriert, muss auch der Zustand der Achillessehne mitbehandelt werden. Die geschädigten Anteile der Achillessehne werden dabei entfernt (Debridement) und die gesunden Anteile durch eine Naht verstärkt, ähnlich wie bei einer Achillessehnennaht. Auch Sporne am Achillessehnenansatz erfordern die Sehnennaht: Diese lassen sich operativ nur sehr schwer behandeln. Hierzu müssen Teile des Achillessehnenansatzes abgelöst und nach Entfernen des Spornes wieder fixiert werden. Hierzu werden Fadenanker verwendet und die Sehne darüber straffend vernäht.
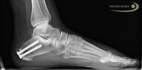
Umstellungsoperation zur Korrektur des Fersenbeins
Die Abtragung des Knochenüberstandes ist nur ein Teil aller möglichen Therapien. Je nach Form der Ferse kann auch eine Umstellungsoperation unter Schonung des empfindlichen Sehnenansatzes sinnvoll sein. Dieses Verfahren nennt man Zadek-Operation. In der Gelenk-Klinik ziehen die Fußspezialisten eine Umstellungsoperation nach Zadek des Fersenbeins bei folgenden Indikationen in Betracht:
- Die Ferse des Patienten ist massiv verbreitert und der Achillessehnenansatz gereizt (Achillodynie).
- Die Röntgenaufnahme beim stehenden Patienten zeigt eine Steilstellung des Fersenbeins.
- Es liegen Begleiterkrankungen der Sehnen und Bänder bei einer Fehlstellung des Fersenbeins vor.
Ablauf der Umstellungsoperation
Bei der Umstellungsoperation wird durch eine Keilentnahme am Fersenbein die Fehlstellung dauerhaft ausgeglichen. Die Sehne wird dadurch langfristig geschont. Die Zadek-Operation hat für manche Patienten deutliche Vorteile. Prinzipiell handelt es sich bei der Zadek-Operation um eine offene Operation. Seit 2014 führen die Spezialisten der Gelenk-Klinik diesen Eingriff allerdings mehr und mehr endoskopisch durch.



Die Vorteile der minimalinvasiven Umstellung des Fersenbeins liegen auf der Hand: kaum Narben an der Ferse, die in Schuhen Probleme bereiten, weniger Weichteilverletzungen und schnellere Heilung. Parallel zur Knochenkorrektur kann der Operateur entzündete Schleimbeutel entfernen, die Achillessehne sanieren oder Nerven denervieren. Die Zadek-Operation wird auf jeden Patienten individuell angepasst und erfordert ein hohes Maß an Erfahrung durch den behandelnden Orthopäden. Dies wird in der Gelenk-Klinik durch die Zertifizierung als Zentrum für Fuß- und Sprunggelenkschirurgie (ZFS) garantiert.

Voraussetzungen für die Umstellungsoperation
Für eine erfolgreiche Umstellung des Fersenbeins ist eine ausreichende Knochenqualität beim Patienten grundlegend wichtig. Störungen im Knochenstoffwechsel wie Osteoporose oder Vitamin D-Mangelzustände haben ungünstige Effekte auf die Knochenheilung und werden im Vorfeld der Operation diagnostisch ermittelt. Der Arzt nimmt auch eine Beurteilung der dynamischen Belastungsverhältnisse an Fuß und Sprunggelenk mithilfe der videogestützten Ganganalyse vor und bezieht die Ergebnisse in seine Therapieentscheidung ein.
Weitere Kontraindikationen für eine Zadek-Operation sind Infektionen an der Achillessehne, gravierende Bandschäden und -instabilitäten im Sprunggelenk, Spitzfußstellung, Verwachsungen von Fußknochen (Koalitionen), Durchblutungsstörungen in den Beinen, zum Beispiel als Folge einer pAVK und teilweise rheumatische Erkrankungen.
Nachbehandlung bei der Umstellungsoperation nach Zadek
Je nach begleitenden Eingriffen gestaltet sich die Nachbehandlung bei der Umstellungsoperation des Fersenbeins unterschiedlich. Der Operateur entwickelt für den Patienten einen angepassten Nachbehandlungsplan am Tag der Operation. In der Regel dürfen die Patienten in einer Unterschenkelorthese für 6 Wochen den Fuß mit 20 bis 30 Kilogramm teilbelasten. Bei minimalinvasivem Vorgehen reduziert sich dieser Zeitraum auf 4 Wochen. Die Orthese muss dabei nur bei Belastung getragen werden. Ein Kraftaufbau beginnt nach 4 bis 6 Wochen nach radiologischer Untersuchung des Fersenbeins mithilfe von digitaler Volumentomographie oder CT.
Wann kann ich wieder Sport treiben und Auto fahren?
Erfahrungsgemäß heilt der Fersenbeinknochen sehr gut, eventuell ist der Achillessehnenansatz noch eine Zeit lang geschwollen und druckempfindlich. Komplikationen wie Infektionen, Schäden an Gefäßen, Nerven, Bändern, Sehnenreizungen und eine erneut notwendige Operation sind möglich, aber verglichen mit anderen Operationsmethoden selten.
Autofahren ist erst nach vollständiger Belastungsfähigkeit erlaubt. Mit schonenden Sportarten wie Radfahren und Schwimmen können die meisten Patienten nach 6 Wochen beginnen. Fußbelastende Aktivitäten wie Walken und Laufen können etwa nach 12 Wochen wieder aufgenommen werden. Bei jeder Art geplanter Aktivität sollte stets Rücksprache mit dem Arzt gehalten werden.