- Wann kann ein Bänderriss nicht durch Ruhigstellung behandelt werden?
- Wie läuft die Operation eines Bänderrisses im Sprunggelenk ab?
- Wie erfolgt die Nachbehandlung nach einer Außenbandplastik?
- Welche Komplikationen können bei einer Operation am Außenband des Sprunggelenks auftreten?
- Wie lange bin ich nach der Außenbandplastik krankgeschrieben?
- Spätfolgen einer Sprunggelenksinstabilität nach Bänderriss
Durch ein Umknicken beim Sport kann das Außenband im Sprunggelenk überdehnen oder reißen. © massimhokuto, stock.adobe.com
Für die Operation nach einem Bänderriss am Sprunggelenk kommen verschiedene Methoden zum Einsatz. Ziel dieser Operationen ist es, eine dauerhafte Überbeweglichkeit im Sprunggelenk zu vermeiden, da sich ansonsten langfristig ein Knorpelschaden und schließlich eine Sprunggelenksarthrose mit Sprunggelenkschmerzen entwickeln können.
Meist ist ein Umknicken des Fußes für die Verletzung der äußeren Seitenbänder verantwortlich. Führt eine konservative Behandlung mittels Ruhigstellung nicht zum Erfolg, kann eine Operation die Stabilität des Sprunggelenks nach einem Bänderriss wiederherstellen.
Wann sollte ein Bänderriss operiert werden?
Ein Bänderriss aufgrund einer Umknickverletzung im Sprunggelenk wird heutzutage in den wenigsten Fällen operiert. Stattdessen stellt man das verletzte Sprunggelenk durch eine Orthese ruhig. Dabei ist weiterhin eine Vollbelastung des Fußes möglich. Die Orthese verhindert lediglich das Umknicken des Sprunggelenks nach innen oder außen. Nach vier bis sechs Wochen kann der Patient die Orthese ablegen: Die Funktion des Außenbandes ist dann in der Regel wiederhergestellt. Klinische Studien haben gezeigt, dass diese sogenannte frühfunktionelle Behandlung der operativen Therapie in den meisten Fällen ebenbürtig ist.
Einige Verletzungen des Außenbandes im Sprunggelenk sprechen auf die frühfunktionelle Behandlung mittels Ruhigstellung jedoch nicht gut an. In 10 bis 20 % aller Fälle des Außenbandrisses im Sprunggelenk lässt sich nach Abschluss der frühfunktionellen Behandlung noch eine Instabilität feststellen.
Dazu gehört der Ausriss des Außenbandes aus seiner knöchernen Verankerung (Enthese). Auch ein kompletter Abriss des Außenbandes wächst in einigen Fällen nicht wieder von alleine zusammen.
In der Untersuchung muss der Arzt den Fuß außerdem auf Begleitverletzungen wie Knochenschäden untersuchen. Besonders bei aktiven Patienten kann die richtige Diagnose entscheidend für die spätere Rehabilitation sein.
Neben einer Verletzung des Außenbandes kann es durch das Umknicktrauma zu weiteren Begleitverletzungen kommen. Diese Grafik zeigt einen Ausriss des Außenbandes aus seiner knöchernen Verankerung und knöcherne Verletzungen des Sprungbeins. © Gelenk-Klinik
Wie läuft die Operation eines Bänderrisses im Sprunggelenk ab?
Externer Inhalt von viewmedica.com
Eine Therapie erfolgt abhängig vom Schaden im Sprunggelenk. Ist ein Bandersatz am Sprunggelenk geplant, erfolgt im Vorfeld eine arthroskopische Untersuchung des Sprunggelenkes. Hierbei prüft der Arzt die Knorpelverhältnisse und entfernt einklemmende Bandstümpfe.
Verschiedene Methoden kommen bei einem Bänderriss zur Anwendung. Ziel aller Bandersatzoperationen ist es, das Gelenk nach der Ausheilung zu stabilisieren. Hierzu erfolgen verstärkende Bandnähte bei noch erhaltenen Bandresten. Freie oder ortsständige Sehnentransplantate kommen bei starken Schädigungen des Außenbandes ohne Restgewebe zur Anwendung.
Naht des Außenbandes
Das abgerissene Außenband wurde mit einem Fadenanker im Wadenbein (Fibula) befestigt. © Gelenk-Klinik
Bei frischen, aber auch bei alten und chronischen Verletzungen lassen sich die Bänder am Sprunggelenk häufig wieder annähen. Dies ist meist im Rahmen einer minimalinvasiven Operation möglich. Dafür setzen wir kleinste Hautschnitte am Sprunggelenk, durch die der Operateur die Instrumente einführt. Dann näht er die Bandstümpfe zusammen oder befestigt sie wenn nötig mit einem Fadenanker am Knochen.
Außenbandplastik
Eine Außenbandplastik stellt die Funktion der Bänder durch körpereigenes Ersatzgewebe wieder her. Dafür stehen Bandreste, Knochenhautteile des Außenknöchels oder Kapselgewebe zur Verfügung.
Reichen diese Gewebe nicht aus, bieten Sehnenplastiken eine Möglichkeit zur Wiederherstellung der Bandfunktion. In der Nähe der Außenbänder verlaufende Sehnen sollen das geschädigte Außenband ersetzen. Diese Ersatzplastik ist nicht anatomisch, da sie abhängig von der verwendeten Sehne einen anderen Verlauf als die normalen Außenbänder hat.
Wenn immer es möglich ist, versucht man, die Außenbänder entsprechend ihrem anatomischen Verlauf zu ersetzen. Wir verwenden bei der chronischen Instabilität die Außenbandplastik nach Broström. Dabei dienen die noch vorhandenen Bandstümpfe oder Narbenstrukturen einem anatomiegerechten Ersatz der Außenbänder. Diese Reste werden gerafft und gedoppelt, um die ursprüngliche Länge der Außenbänder zu erreichen. Um die Außenbandplastik zu sichern, werden Haltestrukturen der Strecksehnen an den Außenknöchel verlagert und übernäht.
Experten-Tipp von unserem Fußspezialisten Dr. Schneider: Welche Schuhe bei instabilem Sprunggelenk?
Externer Inhalt von youtube.com
Wie erfolgt die Nachbehandlung nach einer Außenbandplastik?
In den ersten 12 Tagen nach der Operation sollten Sie das Sprunggelenk durch Gehstützen entlasten. © lightwavemedia, Fotolia
Nach der Operation erhalten Sie einen speziell angepassten Gehschuh. Bis zur gesicherten Wundheilung nach 12 Tagen sollten Sie mit Gehstützen laufen. Weitere 3 Wochen können Sie ohne Gehstützen mit dem Gehschuh laufen. Der Gehschuh kann nach 4 Wochen für die Beugung und Streckung im oberen Sprunggelenk freigegeben werden. Nach 6 Wochen erfolgt die Abnahme des Gehschuhes. Intensive Physiotherapie und Eigenübungen sind wichtig, um Kraft und Beweglichkeit wiederherzustellen.
Welche Komplikationen können bei einer Operation am Außenband des Sprunggelenks auftreten?
- Gefühlsstörung an der Außenseite des Fußes (max. 2 %, häufig vorübergehend)
- Infektion (unter 1 %, Therapie mit Antibiotika, teilweise Operation)
- Bewegungseinschränkungen im oberen Sprunggelenk (etwa 2 %)
- Außenbandinstabilität (oft erneute Verletzung)
Wie lange bin ich nach der Außenbandplastik krankgeschrieben?
Sitzende Tätigkeiten dürfen Sie, wenn unbedingt notwendig, nach einer Woche ausüben. Wir empfehlen Ihnen allerdings erst nach gesicherter Wundheilung (ca. nach 2 Wochen) wieder in den Job zurückzukehren. Autofahren dürfen Sie nicht. Schwere körperliche Arbeit ist erst nach zwei bis drei Monaten wieder möglich.
Wann darf ich nach der Außenbandplastik wieder Sport treiben?
Radfahren auf dem Heimtrainer können Sie nach etwa 6 Wochen beginnen. Sanfte Sportarten wie Schwimmen, Laufen und Radfahren (ohne Klickpedale) dürfen Sie nach etwa 10 Wochen wieder ausüben. Mit belastenden Sportarten wie Fußball, Squash, Tennis, Golf usw. sollten Sie etwa 16 Wochen warten.
Schwimmen zählt zu den gelenkschonenden Sportarten. Patienten mit Bänderriss dürfen bereits 10 Wochen nach einer Operation wieder schwimmen. © takoburito, Fotolia
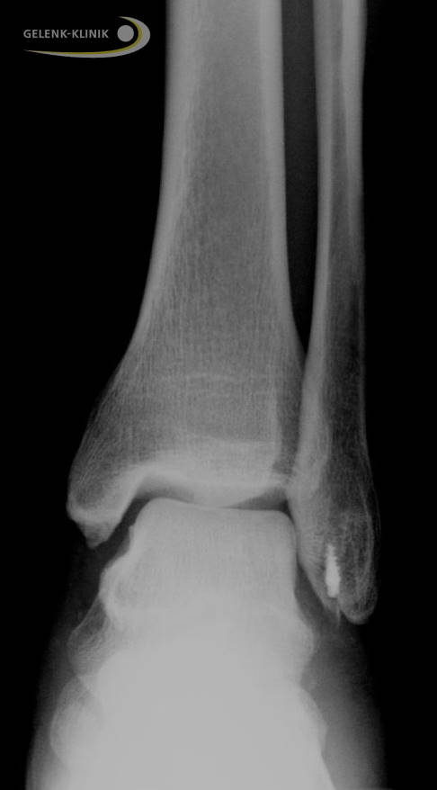
Spätfolgen einer Sprunggelenksinstabilität nach Bänderriss
Bandverletzungen am Sprunggelenk können trotz guter frühfunktioneller Behandlung zu einer anhaltenden Außenbandschwäche führen. Diese Bandinstabilität der Außenbänder kann dazu führen, dass Betroffene bereits bei geringen Anlässen umknicken oder dass es bei Drehbelastung zu einem vermehrten Gelenkspiel kommt. Dies ist vergleichbar mit einem ausgeschlagenen Lenkkopflager am Auto. Der Schaden würde im Radlager eines Fahrzeuges zu einem raschen Verschleiß führen. Auch am Sprunggelenk entsteht durch die Außenbandschwäche eine Überbeweglichkeit.
Die durch die Überbeweglichkeit immer wieder eintretenden Verletzungen schädigen das Gelenk. Der Knorpel im Gelenk kann der vermehrten Scherbelastung nur eine gewisse Zeit widerstehen. Im Verlauf bricht die Oberfläche des Gelenkknorpels auf und ein Knorpelschaden entsteht.
Eine frühe Sprunggelenksarthrose ist die Folge. Wenn das Außenband im Sprunggelenk durch konservative Behandlung nicht von alleine wieder heilt, kann eine Operation die Bandfunktion wiederherstellen.
Eine Überbeweglichkeit des Sprunggelenks kann zu einer frühen Sprunggelenksarthrose führen. Die Markierung zeigt eine deutliche Verschmälerung des Gelenkspalts im oberen Sprunggelenk aufgrund des fehlenden Knorpels. © Gelenk-Klinik
Literaturangaben
- Baumhauer, J. F., Alosa, D. M., Renström, A. F., Trevino, S. & Beynnon, B. (1995). A prospective study of ankle injury risk factors. The American journal of sports medicine, 23, 564–70.
- Falk, S. S., & Mittlmeier, T. (2017). Biomechanik des Sprunggelenks. Orthopädie und Unfallchirurgie up2date, 12(05), 491–518.
- Frigg, A., Frigg, R., Hintermann, B., Barg, A. & Valderrabano, V. (2007). The biomechanical influence of tibio-talar containment on stability of the ankle joint. Knee surgery, sports traumatology, arthroscopy: official journal of the ESSKA, 15, 1355–62.
- Frigg, A., Magerkurth, O., Valderrabano, V., Ledermann, H.-P. & Hintermann, B. (2007). The effect of osseous ankle configuration on chronic ankle instability. British journal of sports medicine, 41, 420–4.
- Giza, E., Fuller, C., Junge, A. & Dvorak, J. (2003). Mechanisms of foot and ankle injuries in soccer. The American journal of sports medicine, 31, 550–4.
- Hintermann, B., Boss, A. & Schäfer, D. (2002). Arthroscopic findings in patients with chronic ankle instability. The American journal of sports medicine, 30, 402–9.
- Karlsson, J., Bergsten, T., Lansinger, O. & Peterson, L. (1988). Reconstruction of the lateral ligaments of the ankle for chronic lateral instability. The Journal of bone and joint surgery. American volume, 70, 581–8.
- Karlsson, J., Bergsten, T., Lansinger, O. & Peterson, L. (1989). Surgical treatment of chronic lateral instability of the ankle joint. A new procedure. The American journal of sports medicine, 17, 268–73; discussion 2.
- Karlsson, J., Eriksson, B. I., Bergsten, T., Rudholm, O. & Swärd, L. (1997). Comparison of two anatomic reconstructions for chronic lateral instability of the ankle joint. The American journal of sports medicine, 25, 48–53.
- Krips, R., van Dijk, C. N., Lehtonen, H., Halasi, T., Moyen, B. & Karlsson, J. (2002). Sports activity level after surgical treatment for chronic anterolateral ankle instability. A multicenter study. The American journal of sports medicine, 30, 13–9.
- Marx, R. C. & Mizel, M. S. (2010). What`s new in foot and ankle surgery. The Journal of bone and joint surgery. American volume, 92, 512–23.
- Na. Komplikationen in Orthopädie und Unfallchirurgie: vermeiden; erkennen; behandeln.
- Niethard, F. U., Pfeil, J. & Biberthaler, P. (2009). Orthopädie und Unfallchirurgie. Stuttgart: Thieme.
- Oztekin, H. H., Boya, H., Ozcan, O., Zeren, B. & Pinar, P. (2009). Foot and ankle injuries and time lost from play in professional soccer players. Foot (Edinburgh, Scotland), 19, 22–8.
- Pagenstert, G. I., Hintermann, B. & Knupp, M. (2006). Operative management of chronic ankle instability: plantaris graft. Foot and ankle clinics, 11, 567–83.
- Plesch, C., Sieven, R., & Trzolek, D. (2015). Handbuch Sportverletzungen. Meyer & Meyer Verlag.
- Schäfer, D., Boss, A. & Hintermann, B. (2003). Accuracy of arthroscopic assessment of anterior ankle cartilage lesions. Foot & ankle international / American Orthopaedic Foot and Ankle Society [and] Swiss Foot and Ankle Society, 24, 317–20.
- Valderrabano, V., Leumann, A., Pagenstert, G., Frigg, A., Ebneter, L. & Hintermann, B. (2006). [Chronic ankle instability in sports – a review for sports physicians]. Sportverletzung Sportschaden: Organ der Gesellschaft für Orthopädisch-Traumatologische Sportmedizin, 20, 177–83.
- Valderrabano, V., Wiewiorski, M., Frigg, A., Hintermann, B. & Leumann, A. (2007). [Direct anatomic repair of the lateral ankle ligaments in chronic lateral ankle instability]. Der Unfallchirurg, 110, 701–4.
- Wulker, N., FRCSIMater, M. M. & III, M. D. (1998). An Atlas of Foot & Ankle Surgery (1st ed). Martin Dunitz.
- Wülker, N. (2005). Taschenlehrbuch Orthopädie und Unfallchirurgie. Stuttgart : Thieme.
